JavaScript is disabled in your browser. Please enable JavaScript to view this website.
AB133532

Anti-PTEN antibody [EPR4408-76]

4

(1 Review)

|

(2 Publications)

Rabbit Recombinant Monoclonal PTEN antibody. Suitable for WB and reacts with Rat, Human, Mouse samples. Cited in 2 publications.

View Alternative Names

MMAC1, TEP1, PTEN, Inositol polyphosphate 3-phosphatase, Mutated in multiple advanced cancers 1, Phosphatase and tensin homolog

5 Images
Western blot - Anti-PTEN antibody [EPR4408-76] (AB133532)
  • WB

Lab

Western blot - Anti-PTEN antibody [EPR4408-76] (AB133532)

Lanes 1- 2 : Merged signal (red and green). Green - ab133532 observed at 47 kDa. Red - Anti-Vinculin antibody [VIN-54] observed at 124 kDa.

ab133532 was shown to react with PTEN in wild-type HeLa cells in western blot. Loss of signal was observed when knockout cell line ab255419 (knockout cell lysate ab263829) was used. Wild-type HeLa and PTEN knockout HeLa cell lysates were subjected to SDS-PAGE. Membrane was blocked for 1 hour at room temperature in 0.1% TBST with 3% non-fat dried milk. ab133532 and Anti-Vinculin antibody [VIN-54] overnight at 4°C at a 1 in 10000 dilution and a 1 in 20000 dilution respectively. Blots were developed with Goat anti-Rabbit IgG H&L (IRDye®800CW) preadsorbed (ab216773) and Goat anti-Mouse IgG H&L (IRDye®680RD) preadsorbed (ab216776) secondary antibodies at 1 in 20000 dilution for 1 hour at room temperature before imaging.

All lanes:

Western blot - Anti-PTEN antibody [EPR4408-76] (ab133532) at 1/10000 dilution

Lane 1:

Wild-type HeLa cell lysate at 20 µg

Lane 2:

PTEN knockout HeLa cell lysate at 20 µg

Lane 2:

Western blot - Human PTEN knockout HeLa cell line (<a href='/en-us/products/cell-lines/human-pten-knockout-hela-cell-line-ab255419'>ab255419</a>)

Predicted band size: 47 kDa

Observed band size: 47 kDa

false

Western blot - Anti-PTEN antibody [EPR4408-76] (AB133532)
  • WB

Unknown

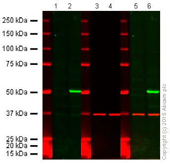
Western blot - Anti-PTEN antibody [EPR4408-76] (AB133532)

Lanes 1 and 2 : Green signal from target - ab133532 observed at 47 kDa
Lanes 3 and 4 : Red signal from loading control - ab8245 observed at 37 kDa
Lanes 5 and 6 : Merged (red and green) signal

ab133532 was shown to specifically react with PTEN in wild-type HAP1 cells. No band was observed when PTEN knockout samples were used. Wild-type and PTEN knockout samples were subjected to SDS-PAGE, ab133532 and ab8245 (loading control to GAPDH) were diluted to 1/10,000 and 1/2000 respectively and incubated overnight at 4°C. Blots were developed with Goat anti-Rabbit IgG H&L (IRDye® 800CW) preadsorbed (ab216773) and Goat anti-Mouse IgG H&L (IRDye® 680RD) preadsorbed (ab216776) secondary antibodies at 1/10,000 dilution for 1hr at room temperature before imaging.

Lanes 1 - 2:

Western blot - Anti-PTEN antibody [EPR4408-76] (ab133532) at 1/10000 dilution

Lanes 3 - 4:

Western blot - Anti-PTEN antibody [EPR4408-76] (ab133532) at 1/2000 dilution

Lanes 5 - 6:

Western blot - Anti-PTEN antibody [EPR4408-76] (ab133532)

Lanes 1, 3 and 5:

PTEN knockout HAP1 cell lysate at 20 µg

Lanes 2, 4 and 6:

Wild-type HAP1 cell lysate at 20 µg

Predicted band size: 47 kDa

false

Western blot - Anti-PTEN antibody [EPR4408-76] (AB133532)
  • WB

Lab

Western blot - Anti-PTEN antibody [EPR4408-76] (AB133532)

Lanes 1 - 3 : Merged signal (red and green). Green - ab133532 observed at 47 kDa. Red - loading control, ab8245 (Mouse anti-GAPDH antibody [6C5]) observed at 37 kDa.

ab133532 was shown to react with PTEN in wild-type HeLa cells in western blot. The bands observed in PTEN knockout cell line ab255419 (PTEN knockout cell lysate ab263829) below 47 kDa may represent truncated forms and cleaved fragments. This has not been investigated further. HeLa wild-type and PTEN knockout cell lysates were subjected to SDS-PAGE. Membranes were blocked in 3 % milk in TBS-T (0.1 % Tween®) before incubation with ab133532 and ab8245 (Mouse anti-GAPDH antibody [6C5]) overnight at 4 °C at a 1 in 10000 dilution and a 1 in 20000 dilution respectively. Blots were incubated with Goat anti-Rabbit IgG H&L (IRDye® 800CW) preabsorbed (ab216773) and Goat anti-Mouse IgG H&L (IRDye® 680RD) preabsorbed (ab216776) secondary antibodies at 1 in 20000 dilution for 1 h at room temperature before imaging.

All lanes:

Western blot - Anti-PTEN antibody [EPR4408-76] (ab133532) at 1/10000 dilution

Lane 1:

Wild-type HeLa cell lysate at 20 µg

Lane 2:

PTEN knockout HeLa cell lysate at 20 µg

Lane 2:

Western blot - Human PTEN knockout HeLa cell line (<a href='/en-us/products/cell-lines/human-pten-knockout-hela-cell-line-ab255419'>ab255419</a>)

Lane 3:

HAP1 cell lysate at 20 µg

Predicted band size: 47 kDa

Observed band size: 47 kDa

false

Western blot - Anti-PTEN antibody [EPR4408-76] (AB133532)
  • WB

Unknown

Western blot - Anti-PTEN antibody [EPR4408-76] (AB133532)

All lanes:

Western blot - Anti-PTEN antibody [EPR4408-76] (ab133532) at 1/10000 dilution

Lane 1:

C6 cell lysate at 10 µg

Lane 2:

RAW 264.7 cell lysate at 10 µg

Lane 3:

NIH 3T3 cell lysate at 10 µg

Lane 4:

MCF7 cell lysate at 10 µg

Lane 5:

293T cell lysate at 10 µg

Lane 6:

A431 cell lysate at 10 µg

Lane 7:

HeLa cell lysate at 10 µg

Secondary

All lanes:

HRP labelled goat anti-rabbit at 1/2000 dilution

Predicted band size: 47 kDa

Observed band size: 54 kDa

false

Western blot - Anti-PTEN antibody [EPR4408-76] (AB133532)
  • WB

CiteAb

Western blot - Anti-PTEN antibody [EPR4408-76] (AB133532)

PTEN western blot using anti-PTEN antibody [EPR4408-76] ab133532. Publication image and figure legend from Zhong, C., Wang, K., et al., 2016, J Cell Mol Med, PubMed 27061862.

ab133532 was used in this publication in western blot. This may not be the same as the application(s) guaranteed by Abcam. For a full list of applications guaranteed by Abcam for ab133532 please see the product overview.

Pten is a target gene of miR-19b involved in proliferation. (A) miR-19b negatively regulated Pten at the protein level in cardiac fibroblasts. (B) Pten siRNAs decreased Pten at least at mRNA level. (C) Pten siRNAs significantly abolished the inhibitory effect of miR-19b in proliferation of cardiac fibroblasts. Scale bar, 100 μm. *p < 0.05 versus control; #p < 0.05 versus miR-19b inhibitor. Pten, Phosphatase and tensin homologue.

false

  • Carrier free

    Anti-PTEN antibody [EPR4408-76] - BSA and Azide free (Detector)

Key facts

Host species

Rabbit

Clonality

Monoclonal

Clone number

EPR4408-76

Isotype

IgG

Carrier free

No

Reacts with

Mouse, Rat, Human

Applications

WB

applications

Immunogen

The exact immunogen used to generate this antibody is proprietary information.

Reactivity data

{ "title": "Reactivity Data", "filters": { "stats": ["", "Species", "Dilution Info", "Notes"], "tabs": { "all-applications": {"fullname" : "All Applications", "shortname": "All Applications"}, "IP" : {"fullname" : "Immunoprecipitation", "shortname":"IP"}, "FlowCyt" : {"fullname" : "Flow Cytometry", "shortname":"Flow Cyt"}, "WB" : {"fullname" : "Western blot", "shortname":"WB"}, "IHCP" : {"fullname" : "Immunohistochemistry (Formalin/PFA-fixed paraffin-embedded sections)", "shortname":"IHC-P"}, "ICCIF" : {"fullname" : "Immunocytochemistry/ Immunofluorescence", "shortname":"ICC/IF"} }, "product-promise": { "all": "all", "testedAndGuaranteed": "tested", "guaranteed": "expected", "predicted": "predicted", "notRecommended": "not-recommended" } }, "values": { "Human": { "IP-species-checked": "notRecommended", "IP-species-dilution-info": "", "IP-species-notes": "<p></p>", "FlowCyt-species-checked": "notRecommended", "FlowCyt-species-dilution-info": "", "FlowCyt-species-notes": "<p></p>", "WB-species-checked": "testedAndGuaranteed", "WB-species-dilution-info": "1/10000 - 1/50000", "WB-species-notes": "<p></p>", "IHCP-species-checked": "notRecommended", "IHCP-species-dilution-info": "", "IHCP-species-notes": "<p></p>", "ICCIF-species-checked": "notRecommended", "ICCIF-species-dilution-info": "", "ICCIF-species-notes": "<p></p>" }, "Mouse": { "IP-species-checked": "notRecommended", "IP-species-dilution-info": "", "IP-species-notes": "<p></p>", "FlowCyt-species-checked": "notRecommended", "FlowCyt-species-dilution-info": "", "FlowCyt-species-notes": "<p></p>", "WB-species-checked": "testedAndGuaranteed", "WB-species-dilution-info": "1/10000 - 1/50000", "WB-species-notes": "<p></p>", "IHCP-species-checked": "notRecommended", "IHCP-species-dilution-info": "", "IHCP-species-notes": "<p></p>", "ICCIF-species-checked": "notRecommended", "ICCIF-species-dilution-info": "", "ICCIF-species-notes": "<p></p>" }, "Rat": { "IP-species-checked": "notRecommended", "IP-species-dilution-info": "", "IP-species-notes": "<p></p>", "FlowCyt-species-checked": "notRecommended", "FlowCyt-species-dilution-info": "", "FlowCyt-species-notes": "<p></p>", "WB-species-checked": "testedAndGuaranteed", "WB-species-dilution-info": "1/10000 - 1/50000", "WB-species-notes": "<p></p>", "IHCP-species-checked": "notRecommended", "IHCP-species-dilution-info": "", "IHCP-species-notes": "<p></p>", "ICCIF-species-checked": "notRecommended", "ICCIF-species-dilution-info": "", "ICCIF-species-notes": "<p></p>" } } }

Product details

Patented technology
Our RabMAb® technology is a patented hybridoma-based technology for making rabbit monoclonal antibodies. For details on our patents, please refer to RabMAb® patents.

What are the advantages of a recombinant monoclonal antibody?
This product is a recombinant monoclonal antibody, which offers several advantages including:

  • - High batch-to-batch consistency and reproducibility
  • - Improved sensitivity and specificity
  • - Long-term security of supply
  • - Animal-free batch production

For more information, read more on recombinant antibodies.

Properties and storage information

Form
Liquid
Purity
Tissue culture supernatant
Storage buffer
pH: 7.2 - 7.4 Preservative: 0.05% Sodium azide Constituents: 50% Tissue culture supernatant, 40% Glycerol (glycerin, glycerine), 9.85% Tris glycine, 0.1% BSA
Shipped at conditions
Blue Ice
Appropriate short-term storage conditions
+4°C
Appropriate long-term storage conditions
-20°C

Supplementary information

This supplementary information is collated from multiple sources and compiled automatically.

The PTEN protein also known as phosphatase and tensin homolog is a phosphatase enzyme with a molecular mass of approximately 47 kDa. It acts mechanically by removing phosphate groups from phosphatidylinositol (345)-trisphosphate (PIP3) converting it to phosphatidylinositol (45)-bisphosphate. PTEN is ubiquitously expressed in various tissues with pronounced presence in the brain lung kidney and testis. This enzyme is an important regulator of cellular functions through its impact on signaling pathways.
Biological function summary

PTEN plays important roles in cellular processes like apoptosis cell proliferation and migration. It negatively regulates the PI3K/AKT signaling pathway critical for cell survival and growth. PTEN is not part of a larger protein complex but interacts with various other proteins modulating its activity. It maintains cellular homeostasis by balancing growth-promoting signals with cell cycle arrest and apoptotic pathways.

Pathways

PTEN is an important component in the PI3K/AKT and mTOR signaling pathways. These pathways regulate cell growth metabolism and survival and are interlinked with insulin signaling and cancer progression. PTEN's function directly interacts with proteins such as AKT and mTOR serving as a checkpoint that ensures controlled cellular proliferation. This positions PTEN as a tumor suppressor inhibiting uncontrolled cell growth via modulation of these pathways.

PTEN mutations or deletions are strongly associated with various types of cancers including breast and prostate cancer. PTEN interaction with the PI3K/AKT pathway influences cancer development often through loss-of-function mutations leading to unrestrained cellular growth. Beyond cancer PTEN mutations also relate to neurological disorders like Autism Spectrum Disorder where it affects signaling pathways involving proteins like mTOR. Understanding PTEN's role aids in unravelling the mechanistic underpinnings of these diseases paving the way for targeted therapeutic interventions.

Product protocols

For this product, it's our understanding that no specific protocols are required. You can visit:

Target data

Dual-specificity protein phosphatase, dephosphorylating tyrosine-, serine- and threonine-phosphorylated proteins (PubMed : 9187108, PubMed : 9256433, PubMed : 9616126). Also functions as a lipid phosphatase, removing the phosphate in the D3 position of the inositol ring of PtdIns(3,4,5)P3/phosphatidylinositol 3,4,5-trisphosphate, PtdIns(3,4)P2/phosphatidylinositol 3,4-diphosphate and PtdIns3P/phosphatidylinositol 3-phosphate with a preference for PtdIns(3,4,5)P3 (PubMed : 16824732, PubMed : 26504226, PubMed : 9593664, PubMed : 9811831). Furthermore, this enzyme can also act as a cytosolic inositol 3-phosphatase acting on Ins(1,3,4,5,6)P5/inositol 1,3,4,5,6 pentakisphosphate and possibly Ins(1,3,4,5)P4/1D-myo-inositol 1,3,4,5-tetrakisphosphate (PubMed : 11418101, PubMed : 15979280). Antagonizes the PI3K-AKT/PKB signaling pathway by dephosphorylating phosphoinositides and thereby modulating cell cycle progression and cell survival (PubMed : 31492966, PubMed : 37279284). The unphosphorylated form cooperates with MAGI2 to suppress AKT1 activation (PubMed : 11707428). In motile cells, suppresses the formation of lateral pseudopods and thereby promotes cell polarization and directed movement (PubMed : 22279049). Dephosphorylates tyrosine-phosphorylated focal adhesion kinase and inhibits cell migration and integrin-mediated cell spreading and focal adhesion formation (PubMed : 22279049). Required for growth factor-induced epithelial cell migration; growth factor stimulation induces PTEN phosphorylation which changes its binding preference from the p85 regulatory subunit of the PI3K kinase complex to DLC1 and results in translocation of the PTEN-DLC1 complex to the posterior of migrating cells to promote RHOA activation (PubMed : 26166433). Meanwhile, TNS3 switches binding preference from DLC1 to p85 and the TNS3-p85 complex translocates to the leading edge of migrating cells to activate RAC1 activation (PubMed : 26166433). Plays a role as a key modulator of the AKT-mTOR signaling pathway controlling the tempo of the process of newborn neurons integration during adult neurogenesis, including correct neuron positioning, dendritic development and synapse formation (By similarity). Involved in the regulation of synaptic function in excitatory hippocampal synapses. Recruited to the postsynaptic membrane upon NMDA receptor activation, is required for the modulation of synaptic activity during plasticity. Enhancement of lipid phosphatase activity is able to drive depression of AMPA receptor-mediated synaptic responses, activity required for NMDA receptor-dependent long-term depression (LTD) (By similarity). May be a negative regulator of insulin signaling and glucose metabolism in adipose tissue. The nuclear monoubiquitinated form possesses greater apoptotic potential, whereas the cytoplasmic nonubiquitinated form induces less tumor suppressive ability (PubMed : 10468583, PubMed : 18716620).. Isoform alpha. Functional kinase, like isoform 1 it antagonizes the PI3K-AKT/PKB signaling pathway. Plays a role in mitochondrial energetic metabolism by promoting COX activity and ATP production, via collaboration with isoform 1 in increasing protein levels of PINK1.
See full target information PTEN

Publications (2)

Recent publications for all applications. Explore the full list and refine your search

Nature methods 15:909-912 PubMed30377371

2018

A high-throughput pipeline for validation of antibodies.

Applications

Unspecified application

Species

Unspecified reactive species

Krzysztof Sikorski,Adi Mehta,Marit Inngjerdingen,Flourina Thakor,Simon Kling,Tomas Kalina,Tuula A Nyman,Maria Ekman Stensland,Wei Zhou,Gustavo A de Souza,Lars Holden,Jan Stuchly,Markus Templin,Fridtjof Lund-Johansen

Journal of cellular and molecular medicine 20:1191-7 PubMed27061862

2016

miR-19b controls cardiac fibroblast proliferation and migration.

Applications

WB

Species

Unspecified reactive species

Chongjun Zhong,Kun Wang,Ying Liu,Dongchao Lv,Bo Zheng,Qiulian Zhou,Qi Sun,Ping Chen,Shengguang Ding,Yiming Xu,Haitao Huang
View all publications

Product promise

We are committed to supporting your work with high-quality reagents, and we're here for you every step of the way. In the unlikely event that one of our products does not perform as expected, you're protected by our Product Promise.
For full details, please see our Terms & Conditions

Please note: All products are 'FOR RESEARCH USE ONLY. NOT FOR USE IN DIAGNOSTIC OR THERAPEUTIC PROCEDURES'.

For licensing inquiries, please contact partnerships@abcam.com