JavaScript is disabled in your browser. Please enable JavaScript to view this website.
AB227657

Anti-PTEN antibody [SP170] - N-terminal

Be the first to review this product! Submit a review

|

(0 Publication)

Rabbit Recombinant Monoclonal PTEN antibody. N-terminal. Suitable for Flow Cyt (Intra), WB, IHC-P and reacts with Human samples.

View Alternative Names

MMAC1, TEP1, PTEN, Inositol polyphosphate 3-phosphatase, Mutated in multiple advanced cancers 1, Phosphatase and tensin homolog

13 Images
Western blot - Anti-PTEN antibody [SP170] - N-terminal (AB227657)
  • WB

Supplier Data

Western blot - Anti-PTEN antibody [SP170] - N-terminal (AB227657)

All lanes:

Western blot - Anti-PTEN antibody [SP170] - N-terminal (ab227657) at 1/25 dilution

All lanes:

MCF7 (human breast adenocarcinoma) cell lysate

Predicted band size: 47 kDa

false

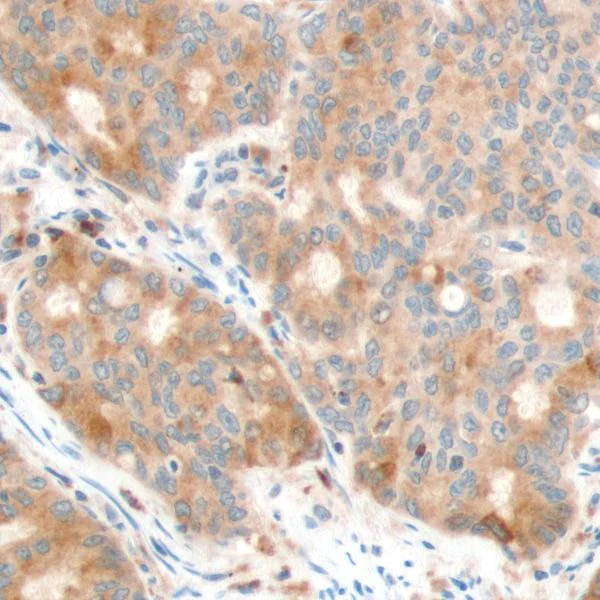
Immunohistochemistry (Formalin/PFA-fixed paraffin-embedded sections) - Anti-PTEN antibody [SP170] - N-terminal (AB227657)
  • IHC-P

Supplier Data

Immunohistochemistry (Formalin/PFA-fixed paraffin-embedded sections) - Anti-PTEN antibody [SP170] - N-terminal (AB227657)

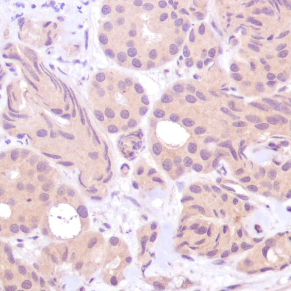
Formalin-fixed paraffin-embedded human prostate adenocarcinoma tissue stained for PTEN using ab227657 at 1/100 dilution in immunohistochemical analysis.

Flow Cytometry (Intracellular) - Anti-PTEN antibody [SP170] - N-terminal (AB227657)
  • Flow Cyt (Intra)

Supplier Data

Flow Cytometry (Intracellular) - Anti-PTEN antibody [SP170] - N-terminal (AB227657)

Flow cytometric analysis of A431 (human epidermoid carcinoma cell line) cell line labeling PTEN with ab227657 at 1/400 dilution (green) compared with a Rabbit IgG negative control (blue).

Immunohistochemistry (Formalin/PFA-fixed paraffin-embedded sections) - Anti-PTEN antibody [SP170] - N-terminal (AB227657)
  • IHC-P

Supplier Data

Immunohistochemistry (Formalin/PFA-fixed paraffin-embedded sections) - Anti-PTEN antibody [SP170] - N-terminal (AB227657)

Formalin-fixed paraffin-embedded human prostate adenocarcinoma tissue stained for PTEN using ab227657 at 1/100 dilution in immunohistochemical analysis.

Immunohistochemistry (Formalin/PFA-fixed paraffin-embedded sections) - Anti-PTEN antibody [SP170] - N-terminal (AB227657)
  • IHC-P

Supplier Data

Immunohistochemistry (Formalin/PFA-fixed paraffin-embedded sections) - Anti-PTEN antibody [SP170] - N-terminal (AB227657)

Formalin-fixed paraffin-embedded human prostate adenocarcinoma tissue stained for PTEN using ab227657 at 1/100 dilution in immunohistochemical analysis.

Immunohistochemistry (Formalin/PFA-fixed paraffin-embedded sections) - Anti-PTEN antibody [SP170] - N-terminal (AB227657)
  • IHC-P

Supplier Data

Immunohistochemistry (Formalin/PFA-fixed paraffin-embedded sections) - Anti-PTEN antibody [SP170] - N-terminal (AB227657)

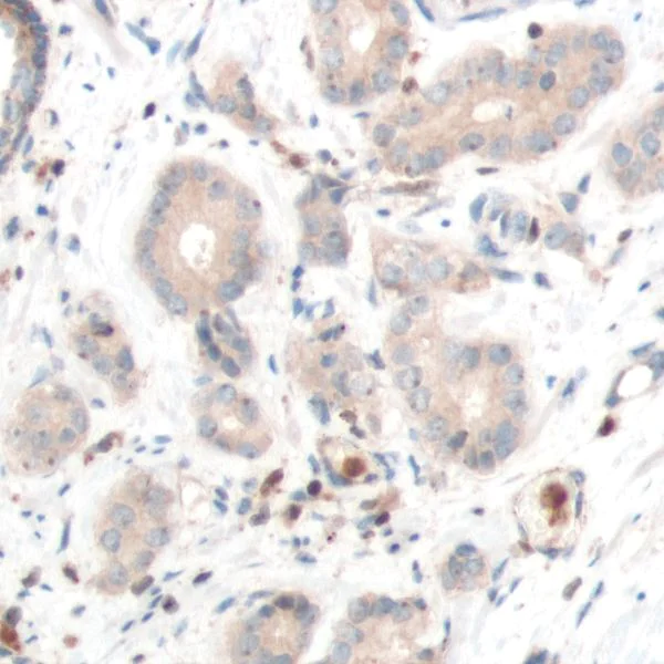
Formalin-fixed paraffin-embedded human prostate tissue stained for PTEN using ab227657 at 1/100 dilution in immunohistochemical analysis.

Immunohistochemistry (Formalin/PFA-fixed paraffin-embedded sections) - Anti-PTEN antibody [SP170] - N-terminal (AB227657)
  • IHC-P

Unknown

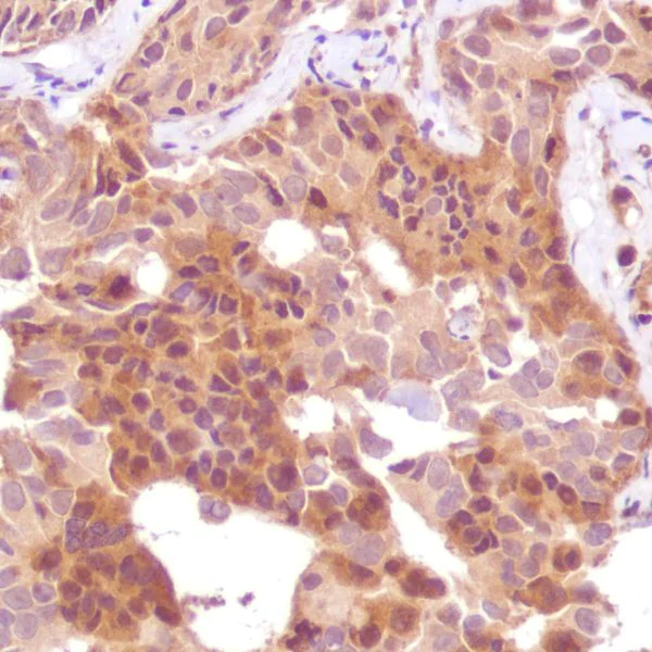
Immunohistochemistry (Formalin/PFA-fixed paraffin-embedded sections) - Anti-PTEN antibody [SP170] - N-terminal (AB227657)

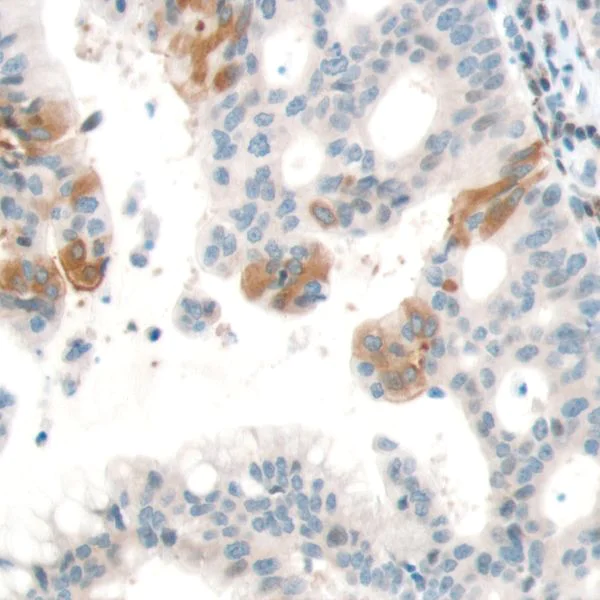
Formalin-fixed paraffin-embedded human stomach adenocarcinoma tissue stained for PTEN using ab227657 at 1/100 dilution in immunohistochemical analysis.

Immunohistochemistry (Formalin/PFA-fixed paraffin-embedded sections) - Anti-PTEN antibody [SP170] - N-terminal (AB227657)
  • IHC-P

Supplier Data

Immunohistochemistry (Formalin/PFA-fixed paraffin-embedded sections) - Anti-PTEN antibody [SP170] - N-terminal (AB227657)

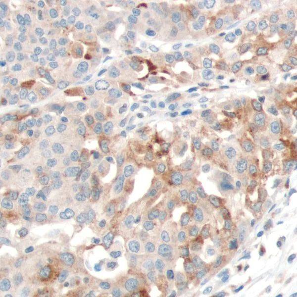
Formalin-fixed paraffin-embedded human cervical squamous cell carcinoma tissue stained for PTEN using ab227657 at 1/100 dilution in immunohistochemical analysis.

Immunohistochemistry (Formalin/PFA-fixed paraffin-embedded sections) - Anti-PTEN antibody [SP170] - N-terminal (AB227657)
  • IHC-P

Supplier Data

Immunohistochemistry (Formalin/PFA-fixed paraffin-embedded sections) - Anti-PTEN antibody [SP170] - N-terminal (AB227657)

Formalin-fixed paraffin-embedded human colon adenocarcinoma tissue stained for PTEN using ab227657 at 1/100 dilution in immunohistochemical analysis.

Immunohistochemistry (Formalin/PFA-fixed paraffin-embedded sections) - Anti-PTEN antibody [SP170] - N-terminal (AB227657)
  • IHC-P

Supplier Data

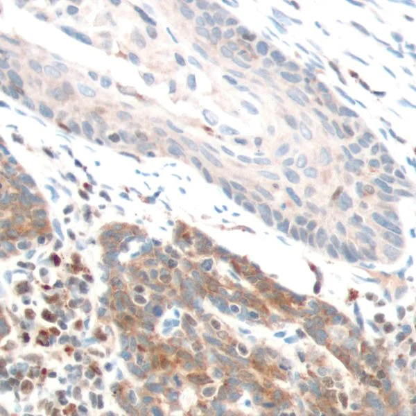
Immunohistochemistry (Formalin/PFA-fixed paraffin-embedded sections) - Anti-PTEN antibody [SP170] - N-terminal (AB227657)

Formalin-fixed paraffin-embedded human lung squamous cell carcinoma tissue stained for PTEN using ab227657 at 1/100 dilution in immunohistochemical analysis.

Immunohistochemistry (Formalin/PFA-fixed paraffin-embedded sections) - Anti-PTEN antibody [SP170] - N-terminal (AB227657)
  • IHC-P

Supplier Data

Immunohistochemistry (Formalin/PFA-fixed paraffin-embedded sections) - Anti-PTEN antibody [SP170] - N-terminal (AB227657)

Formalin-fixed paraffin-embedded human ovarian carcinoma tissue stained for PTEN using ab227657 at 1/100 dilution in immunohistochemical analysis.

Immunohistochemistry (Formalin/PFA-fixed paraffin-embedded sections) - Anti-PTEN antibody [SP170] - N-terminal (AB227657)
  • IHC-P

Supplier Data

Immunohistochemistry (Formalin/PFA-fixed paraffin-embedded sections) - Anti-PTEN antibody [SP170] - N-terminal (AB227657)

Formalin-fixed paraffin-embedded human prostate adenocarcinoma tissue stained for PTEN using ab227657 at 1/100 dilution in immunohistochemical analysis.

Immunohistochemistry (Formalin/PFA-fixed paraffin-embedded sections) - Anti-PTEN antibody [SP170] - N-terminal (AB227657)
  • IHC-P

Supplier Data

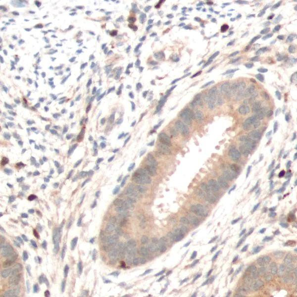
Immunohistochemistry (Formalin/PFA-fixed paraffin-embedded sections) - Anti-PTEN antibody [SP170] - N-terminal (AB227657)

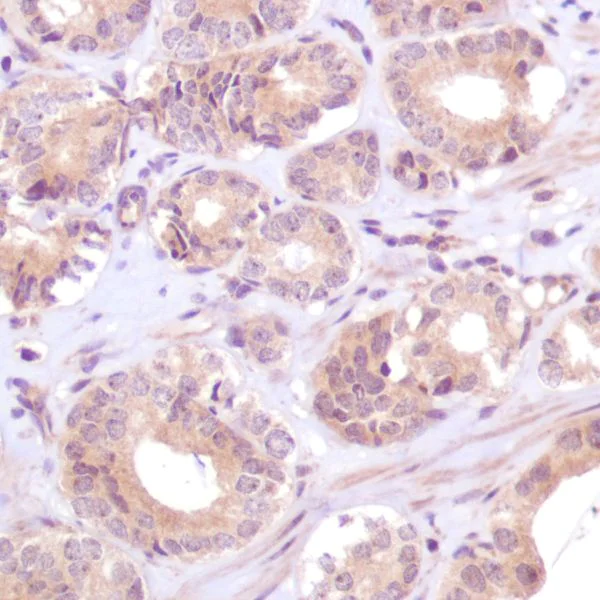
Formalin-fixed paraffin-embedded human ovary tissue stained for PTEN using ab227657 at 1/100 dilution in immunohistochemical analysis.

  • Carrier free

    Anti-PTEN antibody [SP170] - BSA and Azide free

Key facts

Host species

Rabbit

Clonality

Monoclonal

Clone number

SP170

Isotype

IgG

Carrier free

No

Reacts with

Human

Applications

WB, Flow Cyt (Intra), IHC-P

applications

Immunogen

The exact immunogen used to generate this antibody is proprietary information.

Reactivity data

{ "title": "Reactivity Data", "filters": { "stats": ["", "Species", "Dilution Info", "Notes"], "tabs": { "all-applications": {"fullname" : "All Applications", "shortname": "All Applications"}, "FlowCytIntra" : {"fullname" : "Flow Cytometry (Intracellular)", "shortname":"Flow Cyt (Intra)"}, "WB" : {"fullname" : "Western blot", "shortname":"WB"}, "IHCP" : {"fullname" : "Immunohistochemistry (Formalin/PFA-fixed paraffin-embedded sections)", "shortname":"IHC-P"} }, "product-promise": { "all": "all", "testedAndGuaranteed": "tested", "guaranteed": "expected", "predicted": "predicted", "notRecommended": "not-recommended" } }, "values": { "Human": { "FlowCytIntra-species-checked": "testedAndGuaranteed", "FlowCytIntra-species-dilution-info": "1/400", "FlowCytIntra-species-notes": "<p></p>", "WB-species-checked": "testedAndGuaranteed", "WB-species-dilution-info": "1/25", "WB-species-notes": "<p></p>", "IHCP-species-checked": "testedAndGuaranteed", "IHCP-species-dilution-info": "1/100", "IHCP-species-notes": "<p>For antigen retrieval: Boil tissue section in EDTA buffer, pH 8.0 for 10 minutes followed by cooling at room temperature for 20 minutes before commencing with IHC staining protocol.</p>" }, "Mouse": { "FlowCytIntra-species-checked": "predicted", "FlowCytIntra-species-dilution-info": "", "FlowCytIntra-species-notes": "", "WB-species-checked": "predicted", "WB-species-dilution-info": "", "WB-species-notes": "", "IHCP-species-checked": "predicted", "IHCP-species-dilution-info": "", "IHCP-species-notes": "" }, "Dog": { "FlowCytIntra-species-checked": "predicted", "FlowCytIntra-species-dilution-info": "", "FlowCytIntra-species-notes": "", "WB-species-checked": "predicted", "WB-species-dilution-info": "", "WB-species-notes": "", "IHCP-species-checked": "predicted", "IHCP-species-dilution-info": "", "IHCP-species-notes": "" } } }

You may be interested in:

AB206979

Human PTEN ELISA Kit

5

1 Reviews

View product

We recommend this product because it’s often used in the same experiment or related research.

We advise that you always check the datasheet to ensure it fits your experiments, or contact ourtechnical teamfor help.

Properties and storage information

Form
Liquid
Purification technique
Affinity purification Protein A/G
Purification notes
Purified from TCS by protein A/G.
Storage buffer
pH: 7.6 Preservative: 0.1% Sodium azide Constituents: PBS, 1% BSA
Shipped at conditions
Blue Ice
Appropriate short-term storage duration
1-2 weeks
Appropriate short-term storage conditions
+4°C
Appropriate long-term storage conditions
-20°C
Aliquoting information
Upon delivery aliquot
Storage information
Avoid freeze / thaw cycle

Supplementary information

This supplementary information is collated from multiple sources and compiled automatically.

The PTEN protein also known as phosphatase and tensin homolog is a phosphatase enzyme with a molecular mass of approximately 47 kDa. It acts mechanically by removing phosphate groups from phosphatidylinositol (345)-trisphosphate (PIP3) converting it to phosphatidylinositol (45)-bisphosphate. PTEN is ubiquitously expressed in various tissues with pronounced presence in the brain lung kidney and testis. This enzyme is an important regulator of cellular functions through its impact on signaling pathways.
Biological function summary

PTEN plays important roles in cellular processes like apoptosis cell proliferation and migration. It negatively regulates the PI3K/AKT signaling pathway critical for cell survival and growth. PTEN is not part of a larger protein complex but interacts with various other proteins modulating its activity. It maintains cellular homeostasis by balancing growth-promoting signals with cell cycle arrest and apoptotic pathways.

Pathways

PTEN is an important component in the PI3K/AKT and mTOR signaling pathways. These pathways regulate cell growth metabolism and survival and are interlinked with insulin signaling and cancer progression. PTEN's function directly interacts with proteins such as AKT and mTOR serving as a checkpoint that ensures controlled cellular proliferation. This positions PTEN as a tumor suppressor inhibiting uncontrolled cell growth via modulation of these pathways.

PTEN mutations or deletions are strongly associated with various types of cancers including breast and prostate cancer. PTEN interaction with the PI3K/AKT pathway influences cancer development often through loss-of-function mutations leading to unrestrained cellular growth. Beyond cancer PTEN mutations also relate to neurological disorders like Autism Spectrum Disorder where it affects signaling pathways involving proteins like mTOR. Understanding PTEN's role aids in unravelling the mechanistic underpinnings of these diseases paving the way for targeted therapeutic interventions.

Product protocols

For this product, it's our understanding that no specific protocols are required. You can visit:

Target data

Dual-specificity protein phosphatase, dephosphorylating tyrosine-, serine- and threonine-phosphorylated proteins (PubMed : 9187108, PubMed : 9256433, PubMed : 9616126). Also functions as a lipid phosphatase, removing the phosphate in the D3 position of the inositol ring of PtdIns(3,4,5)P3/phosphatidylinositol 3,4,5-trisphosphate, PtdIns(3,4)P2/phosphatidylinositol 3,4-diphosphate and PtdIns3P/phosphatidylinositol 3-phosphate with a preference for PtdIns(3,4,5)P3 (PubMed : 16824732, PubMed : 26504226, PubMed : 9593664, PubMed : 9811831). Furthermore, this enzyme can also act as a cytosolic inositol 3-phosphatase acting on Ins(1,3,4,5,6)P5/inositol 1,3,4,5,6 pentakisphosphate and possibly Ins(1,3,4,5)P4/1D-myo-inositol 1,3,4,5-tetrakisphosphate (PubMed : 11418101, PubMed : 15979280). Antagonizes the PI3K-AKT/PKB signaling pathway by dephosphorylating phosphoinositides and thereby modulating cell cycle progression and cell survival (PubMed : 31492966, PubMed : 37279284). The unphosphorylated form cooperates with MAGI2 to suppress AKT1 activation (PubMed : 11707428). In motile cells, suppresses the formation of lateral pseudopods and thereby promotes cell polarization and directed movement (PubMed : 22279049). Dephosphorylates tyrosine-phosphorylated focal adhesion kinase and inhibits cell migration and integrin-mediated cell spreading and focal adhesion formation (PubMed : 22279049). Required for growth factor-induced epithelial cell migration; growth factor stimulation induces PTEN phosphorylation which changes its binding preference from the p85 regulatory subunit of the PI3K kinase complex to DLC1 and results in translocation of the PTEN-DLC1 complex to the posterior of migrating cells to promote RHOA activation (PubMed : 26166433). Meanwhile, TNS3 switches binding preference from DLC1 to p85 and the TNS3-p85 complex translocates to the leading edge of migrating cells to activate RAC1 activation (PubMed : 26166433). Plays a role as a key modulator of the AKT-mTOR signaling pathway controlling the tempo of the process of newborn neurons integration during adult neurogenesis, including correct neuron positioning, dendritic development and synapse formation (By similarity). Involved in the regulation of synaptic function in excitatory hippocampal synapses. Recruited to the postsynaptic membrane upon NMDA receptor activation, is required for the modulation of synaptic activity during plasticity. Enhancement of lipid phosphatase activity is able to drive depression of AMPA receptor-mediated synaptic responses, activity required for NMDA receptor-dependent long-term depression (LTD) (By similarity). May be a negative regulator of insulin signaling and glucose metabolism in adipose tissue. The nuclear monoubiquitinated form possesses greater apoptotic potential, whereas the cytoplasmic nonubiquitinated form induces less tumor suppressive ability (PubMed : 10468583, PubMed : 18716620).. Isoform alpha. Functional kinase, like isoform 1 it antagonizes the PI3K-AKT/PKB signaling pathway. Plays a role in mitochondrial energetic metabolism by promoting COX activity and ATP production, via collaboration with isoform 1 in increasing protein levels of PINK1.
See full target information PTEN

Product promise

We are committed to supporting your work with high-quality reagents, and we're here for you every step of the way. In the unlikely event that one of our products does not perform as expected, you're protected by our Product Promise.
For full details, please see our Terms & Conditions

Associated Products

Select an associated product type
Alternative Product
Primary Antibodies

AB137337

Anti-PTEN antibody

primary-antibodies

pten-antibody-ab137337

4

(1 reviews)

Alternative Product
Primary Antibodies

AB202358

HRP Anti-PTEN antibody [EPR9941-2]

primary-antibodies

hrp-pten-antibody-epr9941-2-ab202358

0

(0 reviews)

Alternative Product
Primary Antibodies

AB109454

Anti-PTEN (phospho T366) antibody [EP229]

primary-antibodies

pten-phospho-t366-antibody-ep229-ab109454

0

(0 reviews)

Alternative Product
Primary Antibodies

AB32199

Anti-PTEN antibody [Y184]

primary-antibodies

pten-antibody-y184-ab32199

5

(15 reviews)

Alternative Product
Primary Antibodies

AB154812

Anti-PTEN antibody [EPR9941]

primary-antibodies

pten-antibody-epr9941-ab154812

4

(1 reviews)

Alternative Product
Primary Antibodies

AB170941

Anti-PTEN antibody [EPR9941-2]

primary-antibodies

pten-antibody-epr9941-2-ab170941

4

(1 reviews)

Alternative Product
Primary Antibodies

AB221782

Anti-PTEN antibody [EPR9941-2] - Low endotoxin, Azide free

primary-antibodies

pten-antibody-epr9941-2-low-endotoxin-azide-free-ab221782

0

(0 reviews)

Alternative Product
Primary Antibodies

AB76431

Anti-PTEN (phospho S380) antibody [EP2138Y]

primary-antibodies

pten-phospho-s380-antibody-ep2138y-ab76431

0

(0 reviews)

Alternative Product
Primary Antibodies

AB271924

Anti-PTEN antibody [EPR9941-2] - BSA and Azide free

primary-antibodies

pten-antibody-epr9941-2-bsa-and-azide-free-ab271924

0

(0 reviews)

Please note: All products are 'FOR RESEARCH USE ONLY. NOT FOR USE IN DIAGNOSTIC OR THERAPEUTIC PROCEDURES'.

For licensing inquiries, please contact partnerships@abcam.com