JavaScript is disabled in your browser. Please enable JavaScript to view this website.
AB109454

Anti-PTEN (phospho T366) antibody [EP229]

  • BOND RX™ Validated
  • 20ul selling size
  • RabMAb
  • Recombinant
  • What is this?

Be the first to review this product! Submit a review

|

(14 Publications)

Rabbit Recombinant Monoclonal PTEN phospho T366 antibody. Suitable for IHC-P, Dot, WB and reacts with Human, Mouse, Rat, Synthetic peptide samples. Cited in 14 publications.

View Alternative Names

MMAC1, TEP1, PTEN, Inositol polyphosphate 3-phosphatase, Mutated in multiple advanced cancers 1, Phosphatase and tensin homolog

6 Images
Immunohistochemistry (Formalin/PFA-fixed paraffin-embedded sections) - Anti-PTEN (phospho T366) antibody [EP229] (AB109454)
  • IHC-P

Lab

Immunohistochemistry (Formalin/PFA-fixed paraffin-embedded sections) - Anti-PTEN (phospho T366) antibody [EP229] (AB109454)

This data was developed using the same antibody clone in a different buffer formulation - BSA and Azide free (ab208104).

Recommended concentration for ab109454 : 1/200 dilution.

The human prostate cancer sections were performed by Heat mediated antigen retrieval with Tris-EDTA buffer (pH 9.0, epitope retrieval solution2) for 20 mins, then treated with or without alkaline phosphatase. After alkaline phosphatase treatment, the sections were labelled with ab208104 at 1/2000 dilution for 30 mins at room temperature. The Rabbit specific IHC polymer detection kit HRP/DAB (ab209101) were used as secondary antibody. The sections Counterstained with hematoxylin. The immunostaining was performed on a Leica Biosystems BOND® RX instrument.

Human prostate cancer without alkaline phosphatase treatment (image A), no signal was detected when treated with alkaline phosphatase (image B).

Immunohistochemistry (Formalin/PFA-fixed paraffin-embedded sections) - Anti-PTEN (phospho T366) antibody [EP229] (AB109454)
  • IHC-P

Unknown

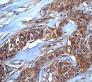
Immunohistochemistry (Formalin/PFA-fixed paraffin-embedded sections) - Anti-PTEN (phospho T366) antibody [EP229] (AB109454)

ab109454 at 1/100 dilution staining PTEN in Human breast ductal carcinoma by Immunohistochemistry, Paraffin-embedded tissue.

Perform heat mediated antigen retrieval before commencing with IHC staining protocol.

Western blot - Anti-PTEN (phospho T366) antibody [EP229] (AB109454)
  • WB

Lab

Western blot - Anti-PTEN (phospho T366) antibody [EP229] (AB109454)

This data was developed using the same antibody clone in a different buffer formulation - BSA and Azide free (ab208104). Recommended concentration for ab109454 : 1/10000 dilution (0.1ug/ml). Blocking and diluting buffer and concentration : 5% NFDM/TBST, Primary and secondary antibodies were incubated for 1h at room temperature.

All lanes:

Western blot - Anti-PTEN (phospho T366) antibody [EP229] - BSA and Azide free (<a href='/en-us/products/primary-antibodies/pten-phospho-t366-antibody-ep229-bsa-and-azide-free-ab208104'>ab208104</a>) at 1/100000 dilution

Lane 1:

HeLa (Human cervix adenocarcinoma epithelial cell) whole cell lysate at 15 µg

Lane 2:

HeLa (Human cervix adenocarcinoma epithelial cell) treated with 100ng/ml Calyculin A for 30 minutes whole cell lysate at 15 µg

Lane 3:

HeLa (Human cervix adenocarcinoma epithelial cell) treated with 100ng/ml Calyculin A for 30 minutes whole cell lysate, then the membrane was incubated with Alkaline phosphatase at 15 µg

Secondary

All lanes:

Western blot - Goat Anti-Rabbit IgG H&L (HRP) (<a href='/en-us/products/secondary-antibodies/goat-rabbit-igg-h-l-hrp-ab97051'>ab97051</a>) at 1/20000 dilution

Predicted band size: 47 kDa

true

Exposure time: 80s

Western blot - Anti-PTEN (phospho T366) antibody [EP229] (AB109454)
  • WB

Lab

Western blot - Anti-PTEN (phospho T366) antibody [EP229] (AB109454)

This data was developed using the same antibody clone in a different buffer formulation - BSA and Azide free (ab208104). Recommended concentration for ab109454 : 1/10000 dilution (0.1ug/ml). Blocking and diluting buffer and concentration : 5% NFDM/TBST, Primary and secondary antibodies were incubated for 1h at room temperature.

All lanes:

Western blot - Anti-PTEN (phospho T366) antibody [EP229] - BSA and Azide free (<a href='/en-us/products/primary-antibodies/pten-phospho-t366-antibody-ep229-bsa-and-azide-free-ab208104'>ab208104</a>) at 1/100000 dilution

Lane 1:

C6 (Rat glial tumor glial cell) whole cell lysate at 15 µg

Lane 2:

C6 (Rat glial tumor glial cell) treated with 100 ng/ml Calyculin A for 30 minutes whole cell lysate at 15 µg

Lane 3:

C6 (Rat glial tumor glial cell) treated with 100 ng/ml Calyculin A for 30 minutes whole cell lysate, then the membrane was incubated with Alkaline phosphatase at 15 µg

Secondary

All lanes:

Western blot - Goat Anti-Rabbit IgG H&L (HRP) (<a href='/en-us/products/secondary-antibodies/goat-rabbit-igg-h-l-hrp-ab97051'>ab97051</a>) at 1/20000 dilution

Predicted band size: 47 kDa

true

Exposure time: 20s

Western blot - Anti-PTEN (phospho T366) antibody [EP229] (AB109454)
  • WB

Lab

Western blot - Anti-PTEN (phospho T366) antibody [EP229] (AB109454)

This data was developed using the same antibody clone in a different buffer formulation - BSA and Azide free (ab208104).

Blocking and diluting buffer and concentration : 5% NFDM/TBST.

Primary and secondary antibodies were incubated for 1h at room temperature.

All lanes:

Western blot - Anti-PTEN (phospho T366) antibody [EP229] - BSA and Azide free (<a href='/en-us/products/primary-antibodies/pten-phospho-t366-antibody-ep229-bsa-and-azide-free-ab208104'>ab208104</a>) at 1/100000 dilution

Lane 1:

NIH/3T3 (Mouse embryonic fibroblast) whole cell lysate at 15 µg

Lane 2:

NIH/3T3 (Mouse embryonic fibroblast) treated with 100 ng/ml Calyculin A for 30 minutes whole cell lysate at 15 µg

Lane 3:

NIH/3T3 (Mouse embryonic fibroblast) treated with 100 ng/ml Calyculin A for 30 minutes whole cell lysate, then the membrane was incubated with Alkaline phosphatase at 15 µg

Secondary

All lanes:

Western blot - Goat Anti-Rabbit IgG H&L (HRP) (<a href='/en-us/products/secondary-antibodies/goat-rabbit-igg-h-l-hrp-ab97051'>ab97051</a>) at 1/20000 dilution

Predicted band size: 47 kDa

true

Exposure time: 40s

Dot Blot - Anti-PTEN (phospho T366) antibody [EP229] (AB109454)
  • Dot

Lab

Dot Blot - Anti-PTEN (phospho T366) antibody [EP229] (AB109454)

This data was developed using the same antibody clone in a different buffer formulation - BSA and Azide free (ab208104).

Recommended concentration for ab109454 : 1/1000 dilution.

Dot blot analysis of PTEN (pT366) peptide (Lane 1), and PTEN non-phospho peptide (Lane 2) incubated with ab208104 at a dilution of 1/10000.
ab97051 (Peroxidase conjugated goat anti-rabbit IgG (H+L)) was used as the secondary antibody at a dilution of 1/100,000.

Exposure time : 180s

  • Carrier free

    Anti-PTEN (phospho T366) antibody [EP229] - BSA and Azide free

Key facts

Host species

Rabbit

Clonality

Monoclonal

Clone number

EP229

Isotype

IgG

Carrier free

No

Reacts with

Mouse, Rat, Human

Applications

Dot, IHC-P, WB

applications

Immunogen

The exact immunogen used to generate this antibody is proprietary information.

Specificity

The mouse and rat recommendation is based on the WB results. We do not guarantee IHC-P for mouse and rat.

Reactivity data

{ "title": "Reactivity Data", "filters": { "stats": ["", "Species", "Dilution Info", "Notes"], "tabs": { "all-applications": {"fullname" : "All Applications", "shortname": "All Applications"}, "IHCP" : {"fullname" : "Immunohistochemistry (Formalin/PFA-fixed paraffin-embedded sections)", "shortname":"IHC-P"}, "FlowCyt" : {"fullname" : "Flow Cytometry", "shortname":"Flow Cyt"}, "Dot" : {"fullname" : "Dot Blot", "shortname":"Dot"}, "WB" : {"fullname" : "Western blot", "shortname":"WB"} }, "product-promise": { "all": "all", "testedAndGuaranteed": "tested", "guaranteed": "expected", "predicted": "predicted", "notRecommended": "not-recommended" } }, "values": { "Human": { "IHCP-species-checked": "testedAndGuaranteed", "IHCP-species-dilution-info": "1/2000", "IHCP-species-notes": "<p>The mouse and rat recommendation is based on the WB results. We do not guarantee IHC-P for mouse and rat.</p> Perform heat-mediated antigen retrieval before commencing with IHC staining protocol.", "FlowCyt-species-checked": "notRecommended", "FlowCyt-species-dilution-info": "", "FlowCyt-species-notes": "<p></p>", "Dot-species-checked": "guaranteed", "Dot-species-dilution-info": "", "Dot-species-notes": "", "WB-species-checked": "testedAndGuaranteed", "WB-species-dilution-info": "1/10000", "WB-species-notes": "<p></p>" }, "Mouse": { "IHCP-species-checked": "guaranteed", "IHCP-species-dilution-info": "", "IHCP-species-notes": "", "FlowCyt-species-checked": "notRecommended", "FlowCyt-species-dilution-info": "", "FlowCyt-species-notes": "", "Dot-species-checked": "guaranteed", "Dot-species-dilution-info": "", "Dot-species-notes": "", "WB-species-checked": "testedAndGuaranteed", "WB-species-dilution-info": "1/10000", "WB-species-notes": "<p></p>" }, "Rat": { "IHCP-species-checked": "guaranteed", "IHCP-species-dilution-info": "", "IHCP-species-notes": "", "FlowCyt-species-checked": "notRecommended", "FlowCyt-species-dilution-info": "", "FlowCyt-species-notes": "", "Dot-species-checked": "guaranteed", "Dot-species-dilution-info": "", "Dot-species-notes": "", "WB-species-checked": "testedAndGuaranteed", "WB-species-dilution-info": "1/10000", "WB-species-notes": "<p></p>" }, "Synthetic peptide": { "IHCP-species-checked": "notRecommended", "IHCP-species-dilution-info": "", "IHCP-species-notes": "", "FlowCyt-species-checked": "notRecommended", "FlowCyt-species-dilution-info": "", "FlowCyt-species-notes": "", "Dot-species-checked": "testedAndGuaranteed", "Dot-species-dilution-info": "1/1000", "Dot-species-notes": "<p></p>", "WB-species-checked": "notRecommended", "WB-species-dilution-info": "", "WB-species-notes": "" } } }

Product details

This product has switched from a hybridoma to recombinant production method on 9th June 2023.

PTEN is a protein implicated in several disease, including certain cancers and neurological diseases. PTEN is expressed ubiquitously throughout the body and acts as a phosphatase to dephosphorylate phosphatidylinositol (3,4,5)-trisphosphate. This is important in the inhibition of the Akt signalling pathway, which plays an important role in regulating cellular behaviours such as cell growth, survival, and migration.

Patented technology
Our RabMAb® technology is a patented hybridoma-based technology for making rabbit monoclonal antibodies. For details on our patents, please refer to RabMAb® patents.

What are the advantages of a recombinant monoclonal antibody?
This product is a recombinant monoclonal antibody, which offers several advantages including:

  • - High batch-to-batch consistency and reproducibility
  • - Improved sensitivity and specificity
  • - Long-term security of supply
  • - Animal-free batch production

For more information, read more on recombinant antibodies.

Properties and storage information

Form
Liquid
Purification technique
Affinity purification Protein A
Storage buffer
pH: 7.2 - 7.4 Preservative: 0.01% Sodium azide Constituents: PBS, 40% Glycerol (glycerin, glycerine), 0.05% BSA
Shipped at conditions
Blue Ice
Appropriate short-term storage duration
1-2 weeks
Appropriate short-term storage conditions
+4°C
Appropriate long-term storage conditions
-20°C
Aliquoting information
Upon delivery aliquot
Storage information
Stable for 12 months at -20°C

Supplementary information

This supplementary information is collated from multiple sources and compiled automatically.

The PTEN protein also known as phosphatase and tensin homolog is a phosphatase enzyme with a molecular mass of approximately 47 kDa. It acts mechanically by removing phosphate groups from phosphatidylinositol (345)-trisphosphate (PIP3) converting it to phosphatidylinositol (45)-bisphosphate. PTEN is ubiquitously expressed in various tissues with pronounced presence in the brain lung kidney and testis. This enzyme is an important regulator of cellular functions through its impact on signaling pathways.
Biological function summary

PTEN plays important roles in cellular processes like apoptosis cell proliferation and migration. It negatively regulates the PI3K/AKT signaling pathway critical for cell survival and growth. PTEN is not part of a larger protein complex but interacts with various other proteins modulating its activity. It maintains cellular homeostasis by balancing growth-promoting signals with cell cycle arrest and apoptotic pathways.

Pathways

PTEN is an important component in the PI3K/AKT and mTOR signaling pathways. These pathways regulate cell growth metabolism and survival and are interlinked with insulin signaling and cancer progression. PTEN's function directly interacts with proteins such as AKT and mTOR serving as a checkpoint that ensures controlled cellular proliferation. This positions PTEN as a tumor suppressor inhibiting uncontrolled cell growth via modulation of these pathways.

PTEN mutations or deletions are strongly associated with various types of cancers including breast and prostate cancer. PTEN interaction with the PI3K/AKT pathway influences cancer development often through loss-of-function mutations leading to unrestrained cellular growth. Beyond cancer PTEN mutations also relate to neurological disorders like Autism Spectrum Disorder where it affects signaling pathways involving proteins like mTOR. Understanding PTEN's role aids in unravelling the mechanistic underpinnings of these diseases paving the way for targeted therapeutic interventions.

Product protocols

For this product, it's our understanding that no specific protocols are required. You can visit:

Target data

Dual-specificity protein phosphatase, dephosphorylating tyrosine-, serine- and threonine-phosphorylated proteins (PubMed : 9187108, PubMed : 9256433, PubMed : 9616126). Also functions as a lipid phosphatase, removing the phosphate in the D3 position of the inositol ring of PtdIns(3,4,5)P3/phosphatidylinositol 3,4,5-trisphosphate, PtdIns(3,4)P2/phosphatidylinositol 3,4-diphosphate and PtdIns3P/phosphatidylinositol 3-phosphate with a preference for PtdIns(3,4,5)P3 (PubMed : 16824732, PubMed : 26504226, PubMed : 9593664, PubMed : 9811831). Furthermore, this enzyme can also act as a cytosolic inositol 3-phosphatase acting on Ins(1,3,4,5,6)P5/inositol 1,3,4,5,6 pentakisphosphate and possibly Ins(1,3,4,5)P4/1D-myo-inositol 1,3,4,5-tetrakisphosphate (PubMed : 11418101, PubMed : 15979280). Antagonizes the PI3K-AKT/PKB signaling pathway by dephosphorylating phosphoinositides and thereby modulating cell cycle progression and cell survival (PubMed : 31492966, PubMed : 37279284). The unphosphorylated form cooperates with MAGI2 to suppress AKT1 activation (PubMed : 11707428). In motile cells, suppresses the formation of lateral pseudopods and thereby promotes cell polarization and directed movement (PubMed : 22279049). Dephosphorylates tyrosine-phosphorylated focal adhesion kinase and inhibits cell migration and integrin-mediated cell spreading and focal adhesion formation (PubMed : 22279049). Required for growth factor-induced epithelial cell migration; growth factor stimulation induces PTEN phosphorylation which changes its binding preference from the p85 regulatory subunit of the PI3K kinase complex to DLC1 and results in translocation of the PTEN-DLC1 complex to the posterior of migrating cells to promote RHOA activation (PubMed : 26166433). Meanwhile, TNS3 switches binding preference from DLC1 to p85 and the TNS3-p85 complex translocates to the leading edge of migrating cells to activate RAC1 activation (PubMed : 26166433). Plays a role as a key modulator of the AKT-mTOR signaling pathway controlling the tempo of the process of newborn neurons integration during adult neurogenesis, including correct neuron positioning, dendritic development and synapse formation (By similarity). Involved in the regulation of synaptic function in excitatory hippocampal synapses. Recruited to the postsynaptic membrane upon NMDA receptor activation, is required for the modulation of synaptic activity during plasticity. Enhancement of lipid phosphatase activity is able to drive depression of AMPA receptor-mediated synaptic responses, activity required for NMDA receptor-dependent long-term depression (LTD) (By similarity). May be a negative regulator of insulin signaling and glucose metabolism in adipose tissue. The nuclear monoubiquitinated form possesses greater apoptotic potential, whereas the cytoplasmic nonubiquitinated form induces less tumor suppressive ability (PubMed : 10468583, PubMed : 18716620).. Isoform alpha. Functional kinase, like isoform 1 it antagonizes the PI3K-AKT/PKB signaling pathway. Plays a role in mitochondrial energetic metabolism by promoting COX activity and ATP production, via collaboration with isoform 1 in increasing protein levels of PINK1.
See full target information PTEN phospho T366

Publications (14)

Recent publications for all applications. Explore the full list and refine your search

Experimental and therapeutic medicine 23:52 PubMed34934429

2021

Gut microbiota relieves inflammation in the substantia nigra of chronic Parkinson's disease by protecting the function of dopamine neurons.

Applications

Unspecified application

Species

Unspecified reactive species

Tian Zhang,Tan Wang,Xinxu Chen,Zhenqiang Zhao,Zhibin Chen

Biology open 9: PubMed32139393

2020

Methylated at promoter regions induces asthma occurrence via the PI3K/Akt/NFκB-mediated inflammation in IUGR mice.

Applications

Unspecified application

Species

Unspecified reactive species

Yan Xing,Hongling Wei,Xiumei Xiao,Zekun Chen,Hui Liu,Xiaomei Tong,Wei Zhou

Molecular therapy. Nucleic acids 19:814-826 PubMed31958697

2020

The MSC-Derived Exosomal lncRNA H19 Promotes Wound Healing in Diabetic Foot Ulcers by Upregulating PTEN via MicroRNA-152-3p.

Applications

Unspecified application

Species

Unspecified reactive species

Bo Li,Song Luan,Jing Chen,Yue Zhou,Tingting Wang,Zhijuan Li,Yili Fu,Aixia Zhai,Changlong Bi

BMC cancer 19:928 PubMed31533654

2019

Immunohistochemical validation of COL3A1, GPR158 and PITHD1 as prognostic biomarkers in early-stage ovarian carcinomas.

Applications

Unspecified application

Species

Unspecified reactive species

Hanna Engqvist,Toshima Z Parris,Anikó Kovács,Szilárd Nemes,Elisabeth Werner Rönnerman,Shahin De Lara,Jana Biermann,Karin Sundfeldt,Per Karlsson,Khalil Helou

Oncology reports 42:1183-1193 PubMed31233204

2019

Synergistic antitumor effect of BRMS1 and sorafenib via inhibition of the PI3K/AKT/mTOR/ERK signaling pathway.

Applications

Unspecified application

Species

Unspecified reactive species

Jingyun Jin,Yonggang Guo,Yang Liu,Zhenguo Wang,Xiaosa Yang,Shengkai Sun

PloS one 14:e0213831 PubMed30964887

2019

Glycogen synthase kinase 3-β inhibition induces lymphangiogenesis through β-catenin-dependent and mTOR-independent pathways.

Applications

Unspecified application

Species

Unspecified reactive species

Benjamin Stump,Shikshya Shrestha,Anthony M Lamattina,Pierce H Louis,Woohyun Cho,Mark A Perrella,Xingbin Ai,Ivan O Rosas,Florence F Wagner,Carmen Priolo,Jonathan Astin,Souheil El-Chemaly

Medical science monitor : international medical jo 24:8105-8114 PubMed30418964

2018

Up-Regulation of Phosphatase in Regenerating Liver-3 (PRL-3) Contributes to Malignant Progression of Hepatocellular Carcinoma by Activating Phosphatase and Tensin Homolog Deleted on Chromosome Ten (PTEN)/Phosphoinositide 3-Kinase (PI3K)/AKT Signaling Pathway.

Applications

Unspecified application

Species

Unspecified reactive species

Bing-Hui Li,Yang Wang,Chao-Yang Wang,Ming-Juan Zhao,Tong Deng,Xue-Qun Ren

Oncology letters 16:984-990 PubMed29963173

2018

miR-222 promotes invasion and migration of ovarian carcinoma by targeting PTEN.

Applications

Unspecified application

Species

Unspecified reactive species

Li Gong,Weimin Zhang,Yuchao Yuan,Xia Xing,Hui Li,Guifeng Zhao

Experimental and therapeutic medicine 15:2081-2087 PubMed29434809

2018

MicroRNA-30a-3p overexpression improves sepsis-induced cell apoptosis and via the PTEN/PI3K/AKT signaling pathway.

Applications

Unspecified application

Species

Unspecified reactive species

Shuying Yang,Yongqiang Wang,Hongmei Gao,Bing Wang

Oncology letters 12:1139-1143 PubMed27446408

2016

PREX2 promotes the proliferation, invasion and migration of pancreatic cancer cells by modulating the PI3K signaling pathway.

Applications

WB

Species

Human

Jianyi Yang,Xuejun Gong,Lu Ouyang,Wen He,Rou Xiao,Li Tan
View all publications

Product promise

We are committed to supporting your work with high-quality reagents, and we're here for you every step of the way. In the unlikely event that one of our products does not perform as expected, you're protected by our Product Promise.
For full details, please see our Terms & Conditions

Please note: All products are 'FOR RESEARCH USE ONLY. NOT FOR USE IN DIAGNOSTIC OR THERAPEUTIC PROCEDURES'.

For licensing inquiries, please contact partnerships@abcam.com