JavaScript is disabled in your browser. Please enable JavaScript to view this website.
AB189122

Anti-PTGER3 antibody - Cytoplasmic domain

Be the first to review this product! Submit a review

|

(1 Publication)

Rabbit Polyclonal PTGER3 antibody. Cytoplasmic domain. Suitable for IHC-P and reacts with Human samples. Cited in 1 publication. Immunogen corresponding to Synthetic Peptide within Human PTGER3.

View Alternative Names

Prostaglandin E2 receptor EP3 subtype, PGE receptor EP3 subtype, PGE2 receptor EP3 subtype, PGE2-R, Prostanoid EP3 receptor, PTGER3

1 Images
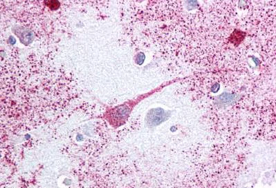
Immunohistochemistry (Formalin/PFA-fixed paraffin-embedded sections) - Anti-PTGER3 antibody - Cytoplasmic domain (AB189122)
  • IHC-P

Supplier Data

Immunohistochemistry (Formalin/PFA-fixed paraffin-embedded sections) - Anti-PTGER3 antibody - Cytoplasmic domain (AB189122)

Immunohistochemical analysis of formalin-fixed, paraffin-embedded human brain cortex tissue labeling PTGER3 with ab189122 at 2 μg/ml.

Key facts

Host species

Rabbit

Clonality

Polyclonal

Isotype

IgG

Carrier free

No

Reacts with

Human

Applications

IHC-P

applications

Immunogen

Synthetic Peptide within Human PTGER3. The exact immunogen used to generate this antibody is proprietary information.

P43115

Specificity

BLAST analysis of the peptide immunogen showed no homology with other human proteins.

Reactivity data

{ "title": "Reactivity Data", "filters": { "stats": ["", "Species", "Dilution Info", "Notes"], "tabs": { "all-applications": {"fullname" : "All Applications", "shortname": "All Applications"}, "IHCP" : {"fullname" : "Immunohistochemistry (Formalin/PFA-fixed paraffin-embedded sections)", "shortname":"IHC-P"} }, "product-promise": { "all": "all", "testedAndGuaranteed": "tested", "guaranteed": "expected", "predicted": "predicted", "notRecommended": "not-recommended" } }, "values": { "Human": { "IHCP-species-checked": "testedAndGuaranteed", "IHCP-species-dilution-info": "2 µg/mL", "IHCP-species-notes": "<p></p> Perform heat-mediated antigen retrieval before commencing with IHC staining protocol." }, "Rat": { "IHCP-species-checked": "predicted", "IHCP-species-dilution-info": "", "IHCP-species-notes": "" }, "Common marmoset": { "IHCP-species-checked": "predicted", "IHCP-species-dilution-info": "", "IHCP-species-notes": "" }, "Cow": { "IHCP-species-checked": "predicted", "IHCP-species-dilution-info": "", "IHCP-species-notes": "" }, "Gorilla": { "IHCP-species-checked": "predicted", "IHCP-species-dilution-info": "", "IHCP-species-notes": "" }, "Horse": { "IHCP-species-checked": "predicted", "IHCP-species-dilution-info": "", "IHCP-species-notes": "" }, "Monkey": { "IHCP-species-checked": "predicted", "IHCP-species-dilution-info": "", "IHCP-species-notes": "" }, "Pig": { "IHCP-species-checked": "predicted", "IHCP-species-dilution-info": "", "IHCP-species-notes": "" }, "Rabbit": { "IHCP-species-checked": "predicted", "IHCP-species-dilution-info": "", "IHCP-species-notes": "" } } }

Properties and storage information

Form
Liquid
Purification technique
Affinity purification Immunogen
Storage buffer
pH: 7.4 Preservative: 0.1% Sodium azide Constituents: 99% PBS
Shipped at conditions
Blue Ice
Appropriate short-term storage duration
1-2 weeks
Appropriate short-term storage conditions
+4°C
Appropriate long-term storage conditions
-20°C
Aliquoting information
Upon delivery aliquot
Storage information
Avoid freeze / thaw cycle

Supplementary information

This supplementary information is collated from multiple sources and compiled automatically.

The PTGER3 protein also known as the prostaglandin E2 receptor EP3 subtype is a G-protein coupled receptor (GPCR) with a molecular weight of approximately 53 kDa. This receptor binds prostaglandin E2 (PGE2) and modulates various physiological responses by activating different second messenger systems. PTGER3 exhibits diverse expression patterns being present in tissues such as the smooth muscle kidney uterus neural tissues and certain immune cells. Its expression in various tissues suggests its involvement in multiple functions that rely on PGE2 signaling.
Biological function summary

PTGER3 involves itself in mediating the effects of prostaglandin E2 through the inhibition of adenylate cyclase and the modulation of intracellular calcium levels. It does not operate as part of a larger protein complex but functions independently as a receptor. This receptor's activity influences processes such as smooth muscle contraction regulation of body temperature and modulation of hormone release. The variation in signaling allows PTGER3 to have a broad impact on physiological processes adapting its functions based on tissue and cellular context.

Pathways

PTGER3 is part of the prostaglandin signaling pathway and participates in cAMP signaling. It interacts with G-proteins that act as intermediates to modulate adenylate cyclase activity and control cyclic AMP production. The receptor acts in a network with other prostaglandin receptors such as PTGER1 PTGER2 and PTGER4 coordinating responses to PGE2 by either amplifying or opposing their effects depending on the cellular environment. Such interactions position PTGER3 at the junction of pathways critical for homeostatic control and adaptive responses.

PTGER3 has connections to several conditions including inflammatory diseases and hypertension. Inflammatory diseases such as rheumatoid arthritis show altered PGE2 signaling pathways where PTGER3 plays a role in mediating inflammation and immune responses. Its activity is also implicated in regulating blood pressure by influencing vascular smooth muscle contraction. Additionally its function intersects with proteins like COX-2 which is involved in PGE2 biosynthesis indicating a broader role in maintaining homeostasis within disease contexts.

Product protocols

For this product, it's our understanding that no specific protocols are required. You can visit:

Target data

Receptor for prostaglandin E2 (PGE2) (PubMed : 7883006, PubMed : 7981210, PubMed : 8117308, PubMed : 8135729, PubMed : 8307176). The activity of this receptor can couple to both the inhibition of adenylate cyclase mediated by G(i) proteins, and to an elevation of intracellular calcium (PubMed : 7883006, PubMed : 7981210, PubMed : 8117308, PubMed : 8135729). Required for normal development of fever in response to pyrinogens, including IL1B, prostaglandin E2 and bacterial lipopolysaccharide (LPS). Required for normal potentiation of platelet aggregation by prostaglandin E2, and thus plays a role in the regulation of blood coagulation. Required for increased HCO3(-) secretion in the duodenum in response to mucosal acidification, and thereby contributes to the protection of the mucosa against acid-induced ulceration. Not required for normal kidney function, normal urine volume and osmolality (By similarity).
See full target information PTGER3

Publications (1)

Recent publications for all applications. Explore the full list and refine your search

PloS one 16:e0246375 PubMed33529249

2021

Cross-effect of TRPV1 and EP3 receptor on coughs and bronchopulmonary C-neural activities.

Applications

Unspecified application

Species

Unspecified reactive species

Xiuping Gao,Jianguo Zhuang,Lei Zhao,Wan Wei,Fadi Xu
View all publications

Product promise

We are committed to supporting your work with high-quality reagents, and we're here for you every step of the way. In the unlikely event that one of our products does not perform as expected, you're protected by our Product Promise.
For full details, please see our Terms & Conditions

Please note: All products are 'FOR RESEARCH USE ONLY. NOT FOR USE IN DIAGNOSTIC OR THERAPEUTIC PROCEDURES'.

For licensing inquiries, please contact partnerships@abcam.com