JavaScript is disabled in your browser. Please enable JavaScript to view this website.
AB300053

Anti-PTGES2/Gbf1 antibody [EPR25169-3] (BSA and Azide free)

Be the first to review this product! Submit a review

|

(0 Publication)

Rabbit Recombinant Monoclonal PTGES2/Gbf1 antibody. Carrier free. Suitable for WB, IHC-P and reacts with Human, Mouse, Rat samples.

View Alternative Names

C9orf15, PGES2, PTGES2, Prostaglandin E synthase 2, Membrane-associated prostaglandin E synthase-2, Microsomal prostaglandin E synthase 2, Prostaglandin-H(2) E-isomerase, mPGE synthase-2, mPGES-2

12 Images
Immunohistochemistry (Formalin/PFA-fixed paraffin-embedded sections) - Anti-PTGES2/Gbf1 antibody [EPR25169-3] (BSA and Azide free) (AB300053)
  • IHC-P

Supplier Data

Immunohistochemistry (Formalin/PFA-fixed paraffin-embedded sections) - Anti-PTGES2/Gbf1 antibody [EPR25169-3] (BSA and Azide free) (AB300053)

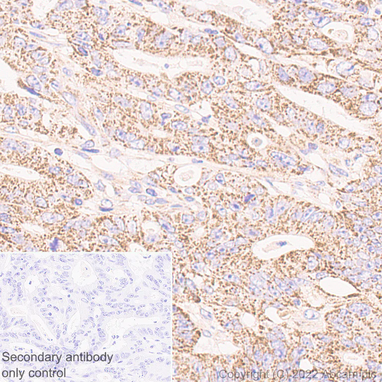
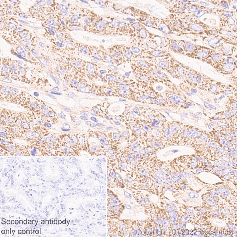
This data was developed using ab300052, the same antibody clone in a different buffer formulation. Immunohistochemical analysis of paraffin-embedded Human colon carcinoma tissue labelling PTGES2/Gbf1 with ab300052 at 1/500 (0.944 µ/ml) followed by a ready to use LeicaDS9800 (BOND™ Polymer Refine Detection). Positive staining on human colon carcinoma. The section was incubated with ab300052 for 30 mins at room temperature.The immunostaining was performed on a Leica Biosystems BOND® RX instrument. Counterstained with Hematoxylin. Secondary antibody only control : Secondary antibody is a ready to use LeicaDS9800 (BOND™ Polymer Refine Detection). Heat mediated antigen retrieval with Tris-EDTA buffer (pH 9.0, epitope retrieval solution2) for 20 mins.

Immunohistochemistry (Formalin/PFA-fixed paraffin-embedded sections) - Anti-PTGES2/Gbf1 antibody [EPR25169-3] (BSA and Azide free) (AB300053)
  • IHC-P

Supplier Data

Immunohistochemistry (Formalin/PFA-fixed paraffin-embedded sections) - Anti-PTGES2/Gbf1 antibody [EPR25169-3] (BSA and Azide free) (AB300053)

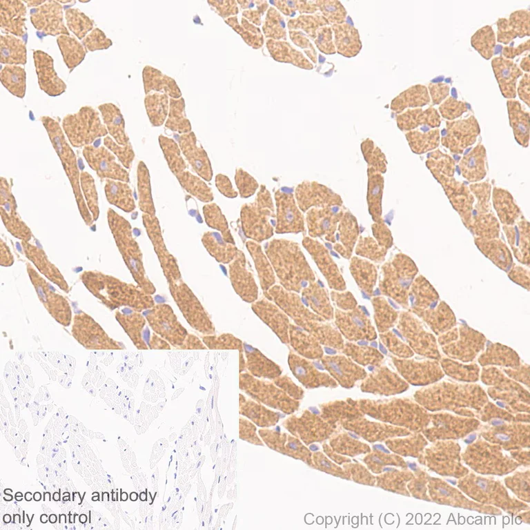
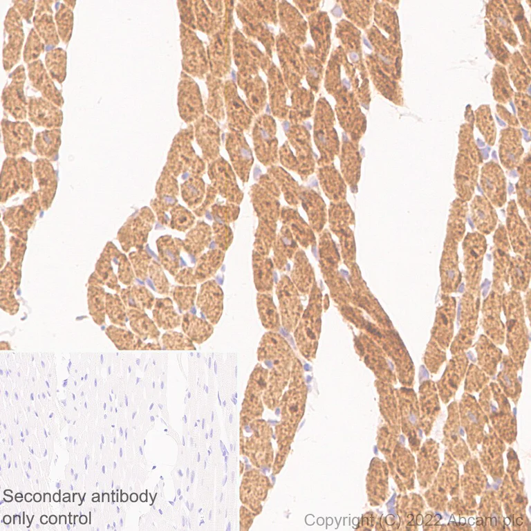
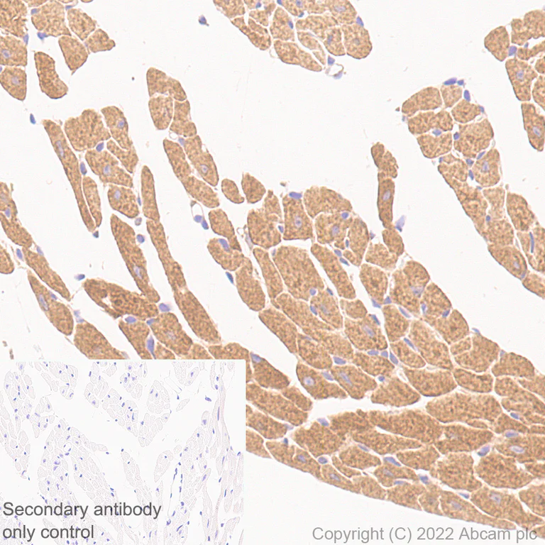
This data was developed using ab300052, the same antibody clone in a different buffer formulation. Immunohistochemical analysis of paraffin-embedded Rat cardiac muscle tissue labelling PTGES2/Gbf1 with ab300052 at 1/100 (4.72 µg/ml) followed by a ready to use LeicaDS9800 (BOND™ Polymer Refine Detection). Positive staining on rat cardiac muscle. The section was incubated with ab300052 for 30 mins at room temperature. The immunostaining was performed on a Leica Biosystems BOND® RX instrument. Counterstained with Hematoxylin. Secondary antibody only control : Secondary antibody is a ready to use LeicaDS9800 (BOND™ Polymer Refine Detection). Heat mediated antigen retrieval with Tris-EDTA buffer (pH 9.0, epitope retrieval solution2) for 20 mins.

Immunohistochemistry (Formalin/PFA-fixed paraffin-embedded sections) - Anti-PTGES2/Gbf1 antibody [EPR25169-3] (BSA and Azide free) (AB300053)
  • IHC-P

Supplier Data

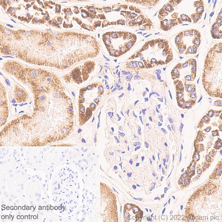
Immunohistochemistry (Formalin/PFA-fixed paraffin-embedded sections) - Anti-PTGES2/Gbf1 antibody [EPR25169-3] (BSA and Azide free) (AB300053)

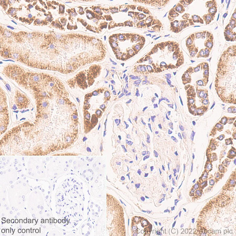
This data was developed using ab300052, the same antibody clone in a different buffer formulation. Immunohistochemical analysis of paraffin-embedded Human kidney tissue labelling PTGES2/Gbf1 with ab300052 at 1/500 (0.944 µg/ml) followed by a ready to use LeicaDS9800 (BOND™ Polymer Refine Detection). Positive staining on human renal tubules. The section was incubated with ab300052 for 30 mins at room temperature. The immunostaining was performed on a Leica Biosystems BOND® RX instrument. Counterstained with Hematoxylin. Secondary antibody only control : Secondary antibody is a ready to use LeicaDS9800 (BOND™ Polymer Refine Detection). Heat mediated antigen retrieval with Tris-EDTA buffer (pH 9.0, epitope retrieval solution2) for 20 mins.

Immunohistochemistry (Formalin/PFA-fixed paraffin-embedded sections) - Anti-PTGES2/Gbf1 antibody [EPR25169-3] (BSA and Azide free) (AB300053)
  • IHC-P

Supplier Data

Immunohistochemistry (Formalin/PFA-fixed paraffin-embedded sections) - Anti-PTGES2/Gbf1 antibody [EPR25169-3] (BSA and Azide free) (AB300053)

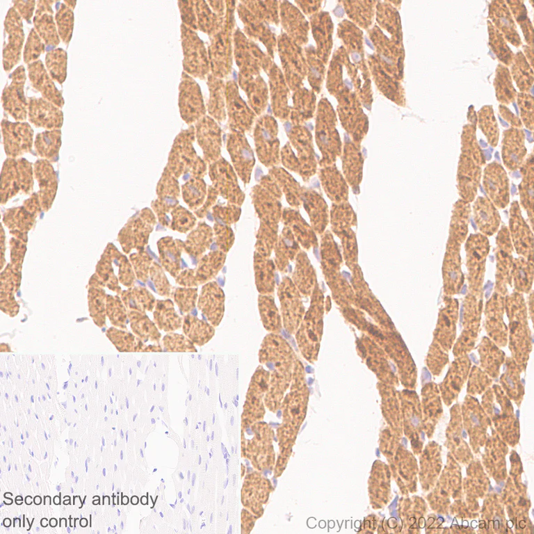
This data was developed using ab300052, the same antibody clone in a different buffer formulation. Immunohistochemical analysis of paraffin-embedded Mouse cardiac muscle tissue labelling PTGES2/Gbf1 with ab300052 at 1/100 (4.72 µg/ml) followed by a ready to use LeicaDS9800 (BOND™ Polymer Refine Detection). Positive staining on mouse cardiac muscle. The section was incubated with ab300052 for 30 mins at room temperature. The immunostaining was performed on a Leica Biosystems BOND® RX instrument. Counterstained with Hematoxylin. Secondary antibody only control : Secondary antibody is a ready to use LeicaDS9800 (BOND™ Polymer Refine Detection). Heat mediated antigen retrieval with Tris-EDTA buffer (pH 9.0, epitope retrieval solution2) for 20 mins.

Western blot - Anti-PTGES2/Gbf1 antibody [EPR25169-3] (BSA and Azide free) (AB300053)
  • WB

Supplier Data

Western blot - Anti-PTGES2/Gbf1 antibody [EPR25169-3] (BSA and Azide free) (AB300053)

This data was developed using ab300052, the same antibody clone in a different buffer formulation.

Blocking, diluting buffer and concentration was 5% NFDM/TBST.

All lanes:

Western blot - Anti-PTGES2/Gbf1 antibody [EPR25169-3] (<a href='/en-us/products/primary-antibodies/ptges2-gbf1-antibody-epr25169-3-ab300052'>ab300052</a>)

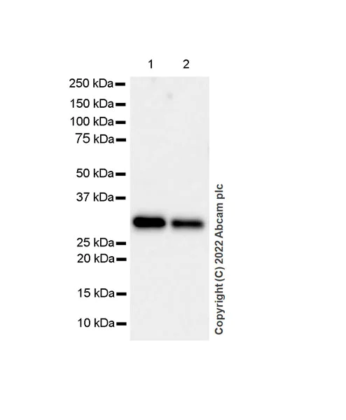
Lane 1:

Human heart tissue lysate at 20 µg

Lane 2:

Human kidney tissue lysate at 20 µg

Secondary

All lanes:

Western blot - VeriBlot for IP Detection Reagent (HRP) (<a href='/en-us/products/reagents/veriblot-for-ip-detection-reagent-hrp-ab131366'>ab131366</a>) at 1/1000 dilution

Predicted band size: 42 kDa

Observed band size: 30 kDa

false

Exposure time: 48s

Western blot - Anti-PTGES2/Gbf1 antibody [EPR25169-3] (BSA and Azide free) (AB300053)
  • WB

Supplier Data

Western blot - Anti-PTGES2/Gbf1 antibody [EPR25169-3] (BSA and Azide free) (AB300053)

This data was developed using ab300052, the same antibody clone in a different buffer formulation.  Blocking, diluting buffer and concentration was 5% NFDM/TBST.

All lanes:

Western blot - Anti-PTGES2/Gbf1 antibody [EPR25169-3] (<a href='/en-us/products/primary-antibodies/ptges2-gbf1-antibody-epr25169-3-ab300052'>ab300052</a>)

Lane 1:

Human heart tissue lysate at 20 µg

Lane 2:

Human kidney tissue lysate at 20 µg

Secondary

All lanes:

Western blot - VeriBlot for IP Detection Reagent (HRP) (<a href='/en-us/products/reagents/veriblot-for-ip-detection-reagent-hrp-ab131366'>ab131366</a>) at 1/1000 dilution

Predicted band size: 42 kDa

Observed band size: 30 kDa

false

Western blot - Anti-PTGES2/Gbf1 antibody [EPR25169-3] (BSA and Azide free) (AB300053)
  • WB

Supplier Data

Western blot - Anti-PTGES2/Gbf1 antibody [EPR25169-3] (BSA and Azide free) (AB300053)

This data was developed using ab300052, the same antibody clone in a different buffer formulation.  Blocking, diluting buffer and concentration was 5% NFDM/TBST.  The expression profile/molecular weight observed is consistent with that described in the literature (PMID : 12835322). Low expression : mouse thymus, rat lung (PMID : 15744024, 11866447).

All lanes:

Western blot - Anti-PTGES2/Gbf1 antibody [EPR25169-3] (<a href='/en-us/products/primary-antibodies/ptges2-gbf1-antibody-epr25169-3-ab300052'>ab300052</a>) at 1/1000 dilution

Lane 1:

Mouse heart tissue lysate at 1/20 dilution

Lane 2:

Mouse kidney tissue lysate at 1/20 dilution

Lane 3:

Mouse thymus tissue lysate at 1/20 dilution

Lane 4:

Rat heart tissue lysate at 1/20 dilution

Lane 5:

Rat lung tissue lysate at 1/20 dilution

Secondary

All lanes:

Western blot - Goat Anti-Rabbit IgG H&L (HRP) (<a href='/en-us/products/secondary-antibodies/goat-rabbit-igg-h-l-hrp-ab97051'>ab97051</a>)

Predicted band size: 42 kDa

Observed band size: 30 kDa,45 kDa

false

Exposure time: 26s

Immunohistochemistry (Formalin/PFA-fixed paraffin-embedded sections) - Anti-PTGES2/Gbf1 antibody [EPR25169-3] (BSA and Azide free) (AB300053)
  • IHC-P

Supplier Data

Immunohistochemistry (Formalin/PFA-fixed paraffin-embedded sections) - Anti-PTGES2/Gbf1 antibody [EPR25169-3] (BSA and Azide free) (AB300053)

This data was developed using ab300052, the same antibody clone in a different buffer formulation.

Immunohistochemical analysis of paraffin-embedded Mouse cardiac muscle tissue labelling PTGES2/Gbf1 with ab300052 at 1/100 (4.72 μg/ml) followed by a ready to use LeicaDS9800 (BOND™ Polymer Refine Detection). Positive staining on mouse cardiac muscle. The section was incubated with ab300052 for 30 mins at room temperature.The immunostaining was performed on a Leica Biosystems BOND® RX instrument. Counterstained with Hematoxylin.

Secondary antibody only control : Secondary antibody is a ready to use LeicaDS9800 (BOND™ Polymer Refine Detection).

Heat mediated antigen retrieval with Tris-EDTA buffer (pH 9.0, epitope retrieval solution2) for 20 mins.

Immunohistochemistry (Formalin/PFA-fixed paraffin-embedded sections) - Anti-PTGES2/Gbf1 antibody [EPR25169-3] (BSA and Azide free) (AB300053)
  • IHC-P

Supplier Data

Immunohistochemistry (Formalin/PFA-fixed paraffin-embedded sections) - Anti-PTGES2/Gbf1 antibody [EPR25169-3] (BSA and Azide free) (AB300053)

This data was developed using ab300052, the same antibody clone in a different buffer formulation.

Immunohistochemical analysis of paraffin-embedded Human colon carcinoma tissue labelling PTGES2/Gbf1 with ab300052 at 1/500 (0.944 μ/ml) followed by a ready to use LeicaDS9800 (BOND™ Polymer Refine Detection). Positive staining on human colon carcinoma. The section was incubated with ab300052 for 30 mins at room temperature.The immunostaining was performed on a Leica Biosystems BOND® RX instrument. Counterstained with Hematoxylin.

Secondary antibody only control : Secondary antibody is a ready to use LeicaDS9800 (BOND™ Polymer Refine Detection).

Heat mediated antigen retrieval with Tris-EDTA buffer (pH 9.0, epitope retrieval solution2) for 20 mins.

Immunohistochemistry (Formalin/PFA-fixed paraffin-embedded sections) - Anti-PTGES2/Gbf1 antibody [EPR25169-3] (BSA and Azide free) (AB300053)
  • IHC-P

Supplier Data

Immunohistochemistry (Formalin/PFA-fixed paraffin-embedded sections) - Anti-PTGES2/Gbf1 antibody [EPR25169-3] (BSA and Azide free) (AB300053)

This data was developed using ab300052, the same antibody clone in a different buffer formulation.

Immunohistochemical analysis of paraffin-embedded Human kidney tissue labelling PTGES2/Gbf1 with ab300052 at 1/500 (0.944 μg/ml) followed by a ready to use LeicaDS9800 (BOND™ Polymer Refine Detection). Positive staining on human renal tubules. The section was incubated with ab300052 for 30 mins at room temperature.The immunostaining was performed on a Leica Biosystems BOND® RX instrument. Counterstained with Hematoxylin.

Secondary antibody only control : Secondary antibody is a ready to use LeicaDS9800 (BOND™ Polymer Refine Detection).

Heat mediated antigen retrieval with Tris-EDTA buffer (pH 9.0, epitope retrieval solution2) for 20 mins.

Immunohistochemistry (Formalin/PFA-fixed paraffin-embedded sections) - Anti-PTGES2/Gbf1 antibody [EPR25169-3] (BSA and Azide free) (AB300053)
  • IHC-P

Supplier Data

Immunohistochemistry (Formalin/PFA-fixed paraffin-embedded sections) - Anti-PTGES2/Gbf1 antibody [EPR25169-3] (BSA and Azide free) (AB300053)

This data was developed using ab300052, the same antibody clone in a different buffer formulation.

Immunohistochemical analysis of paraffin-embedded Rat cardiac muscle tissue labelling PTGES2/Gbf1 with ab300052 at 1/100 (4.72 μg/ml) followed by a ready to use LeicaDS9800 (BOND™ Polymer Refine Detection). Positive staining on rat cardiac muscle. The section was incubated with ab300052 for 30 mins at room temperature.The immunostaining was performed on a Leica Biosystems BOND® RX instrument. Counterstained with Hematoxylin.

Secondary antibody only control : Secondary antibody is a ready to use LeicaDS9800 (BOND™ Polymer Refine Detection).

Heat mediated antigen retrieval with Tris-EDTA buffer (pH 9.0, epitope retrieval solution2) for 20 mins.

Western blot - Anti-PTGES2/Gbf1 antibody [EPR25169-3] (BSA and Azide free) (AB300053)
  • WB

Supplier Data

Western blot - Anti-PTGES2/Gbf1 antibody [EPR25169-3] (BSA and Azide free) (AB300053)

This data was developed using ab300052, the same antibody clone in a different buffer formulation.

Blocking, diluting buffer and concentration was 5% NFDM/TBST.

The expression profile/molecular weight observed is consistent with that described in the literature (PMID : 12835322).
Low expression : mouse thymus, rat lung (PMID : 15744024, 11866447).

All lanes:

Western blot - Anti-PTGES2/Gbf1 antibody [EPR25169-3] (<a href='/en-us/products/primary-antibodies/ptges2-gbf1-antibody-epr25169-3-ab300052'>ab300052</a>) at 1/1000 dilution

Lane 1:

Mouse heart tissue lysate at 1/20 dilution

Lane 2:

Mouse kidney tissue lysate at 1/20 dilution

Lane 3:

Mouse thymus tissue lysate at 1/20 dilution

Lane 4:

Rat heart tissue lysate at 1/20 dilution

Lane 5:

Rat lung tissue lysate at 1/20 dilution

Secondary

All lanes:

Western blot - Goat Anti-Rabbit IgG H&L (HRP) (<a href='/en-us/products/secondary-antibodies/goat-rabbit-igg-h-l-hrp-ab97051'>ab97051</a>) at 1/20000 dilution

Predicted band size: 42 kDa

Observed band size: 30 kDa,45 kDa

false

Exposure time: 26s

Key facts

Host species

Rabbit

Clonality

Monoclonal

Clone number

EPR25169-3

Isotype

IgG

Carrier free

Yes

Reacts with

Human, Mouse, Rat

Applications

IHC-P, WB

applications

Immunogen

The exact immunogen used to generate this antibody is proprietary information.

Reactivity data

{ "title": "Reactivity Data", "filters": { "stats": ["", "Species", "Dilution Info", "Notes"], "tabs": { "all-applications": {"fullname" : "All Applications", "shortname": "All Applications"}, "WB" : {"fullname" : "Western blot", "shortname":"WB"}, "IHCP" : {"fullname" : "Immunohistochemistry (Formalin/PFA-fixed paraffin-embedded sections)", "shortname":"IHC-P"}, "ICCIF" : {"fullname" : "Immunocytochemistry/ Immunofluorescence", "shortname":"ICC/IF"}, "FlowCytIntra" : {"fullname" : "Flow Cytometry (Intracellular)", "shortname":"Flow Cyt (Intra)"}, "IP" : {"fullname" : "Immunoprecipitation", "shortname":"IP"} }, "product-promise": { "all": "all", "testedAndGuaranteed": "tested", "guaranteed": "expected", "predicted": "predicted", "notRecommended": "not-recommended" } }, "values": { "Human": { "WB-species-checked": "testedAndGuaranteed", "WB-species-dilution-info": "", "WB-species-notes": "<p></p>", "IHCP-species-checked": "testedAndGuaranteed", "IHCP-species-dilution-info": "", "IHCP-species-notes": "<p></p> Perform heat-mediated antigen retrieval with Tris/EDTA buffer pH 9.0 before commencing with IHC staining protocol.", "ICCIF-species-checked": "notRecommended", "ICCIF-species-dilution-info": "", "ICCIF-species-notes": "<p></p>", "FlowCytIntra-species-checked": "notRecommended", "FlowCytIntra-species-dilution-info": "", "FlowCytIntra-species-notes": "<p></p>", "IP-species-checked": "notRecommended", "IP-species-dilution-info": "", "IP-species-notes": "<p></p>" }, "Mouse": { "WB-species-checked": "testedAndGuaranteed", "WB-species-dilution-info": "", "WB-species-notes": "<p></p>", "IHCP-species-checked": "testedAndGuaranteed", "IHCP-species-dilution-info": "", "IHCP-species-notes": "<p></p> Perform heat-mediated antigen retrieval with Tris/EDTA buffer pH 9.0 before commencing with IHC staining protocol.", "ICCIF-species-checked": "notRecommended", "ICCIF-species-dilution-info": "", "ICCIF-species-notes": "", "FlowCytIntra-species-checked": "notRecommended", "FlowCytIntra-species-dilution-info": "", "FlowCytIntra-species-notes": "", "IP-species-checked": "notRecommended", "IP-species-dilution-info": "", "IP-species-notes": "<p></p>" }, "Rat": { "WB-species-checked": "testedAndGuaranteed", "WB-species-dilution-info": "", "WB-species-notes": "<p></p>", "IHCP-species-checked": "testedAndGuaranteed", "IHCP-species-dilution-info": "", "IHCP-species-notes": "<p></p> Perform heat-mediated antigen retrieval with Tris/EDTA buffer pH 9.0 before commencing with IHC staining protocol.", "ICCIF-species-checked": "notRecommended", "ICCIF-species-dilution-info": "", "ICCIF-species-notes": "", "FlowCytIntra-species-checked": "notRecommended", "FlowCytIntra-species-dilution-info": "", "FlowCytIntra-species-notes": "", "IP-species-checked": "notRecommended", "IP-species-dilution-info": "", "IP-species-notes": "<p></p>" } } }

Product details

Properties and storage information

Form
Liquid
Purification technique
Affinity purification Protein A
Storage buffer
pH: 7.2 - 7.4 Constituents: 100% PBS
Shipped at conditions
Blue Ice
Appropriate short-term storage conditions
+4°C
Appropriate long-term storage conditions
+4°C
Aliquoting information
Upon delivery aliquot

Supplementary information

This supplementary information is collated from multiple sources and compiled automatically.

PTGES2 also known as Gbf1 is a member of the prostaglandin E synthase family and functions as an enzyme involved in the conversion of PGH2 to PGE2 an essential step in prostaglandin biosynthesis. The protein has an approximate mass of 40 kDa. PTGES2 is expressed across various tissues with higher levels observed in the brain kidney and liver. The enzyme operates optimally in the presence of reduced glutathione which is necessary for its activity.
Biological function summary

PTGES2 plays an important role in the synthesis of prostaglandins which are lipid compounds that perform critical functions in inflammation and other cellular processes. As part of the prostaglandin synthesis pathway PTGES2 interacts cooperatively with other enzymes such as cyclooxygenase-2 (COX-2) to produce PGE2. PGE2 is significant for regulating immune responses and maintaining homeostasis. Disruptions in prostaglandin production can lead to various inflammatory disorders.

Pathways

PTGES2 is integral to the arachidonic acid metabolic pathway where it acts in unison with COX-2 and other enzymes to convert arachidonic acid into bioactive prostaglandins. Specifically its role in the PGE2 synthesis pathway is well-documented which ties it closely to proteins involved in eicosanoid synthesis. PGE2 the product of this pathway modulates both pain and inflammation showing how PTGES2 impacts physiological processes beyond its enzymatic function.

PTGES2 has been linked to inflammatory conditions such as rheumatoid arthritis and cancer. Its activity correlates with increased levels of PGE2 a molecule known for promoting inflammation and tumorigenesis. Associations with COX-2 have been studied extensively in the context of cancer especially in relation to its impact on cellular proliferation and immune evasion. As our understanding of PTGES2 continues to evolve its potential as a therapeutic target for inflammatory and neoplastic diseases is being actively investigated.

Product protocols

For this product, it's our understanding that no specific protocols are required. You can visit:

Target data

Isomerase that catalyzes the conversion of PGH2 into the more stable prostaglandin E2 (PGE2) (in vitro) (PubMed : 12804604, PubMed : 17585783, PubMed : 18198127). The biological function and the GSH-dependent property of PTGES2 is still under debate (PubMed : 17585783, PubMed : 18198127). In vivo, PTGES2 could form a complex with GSH and heme and would not participate in PGE2 synthesis but would catalyze the degradation of prostaglandin E2 H2 (PGH2) to 12(S)-hydroxy-5(Z),8(E),10(E)-heptadecatrienoic acid (HHT) and malondialdehyde (MDA) (By similarity) (PubMed : 17585783).
See full target information PTGES2

Product promise

We are committed to supporting your work with high-quality reagents, and we're here for you every step of the way. In the unlikely event that one of our products does not perform as expected, you're protected by our Product Promise.
For full details, please see our Terms & Conditions

Please note: All products are 'FOR RESEARCH USE ONLY. NOT FOR USE IN DIAGNOSTIC OR THERAPEUTIC PROCEDURES'.

For licensing inquiries, please contact partnerships@abcam.com