JavaScript is disabled in your browser. Please enable JavaScript to view this website.
AB290651

Anti-PTP zeta/ Phosphacan antibody [EPR26270-86] - BSA and Azide free

Be the first to review this product! Submit a review

|

(1 Publication)

Rabbit Recombinant Monoclonal PTP zeta/ Phosphacan antibody. Carrier free. Suitable for WB, IHC-P and reacts with Mouse, Rat, Human samples. Cited in 1 publication.

View Alternative Names

HTPZP2, PTPRZ, PTPRZ2, PTPZ, PTPRZ1, Receptor-type tyrosine-protein phosphatase zeta, R-PTP-zeta, Protein-tyrosine phosphatase receptor type Z polypeptide 1, Protein-tyrosine phosphatase receptor type Z polypeptide 2, R-PTP-zeta-2

8 Images
Immunohistochemistry (Formalin/PFA-fixed paraffin-embedded sections) - Anti-PTP zeta/ Phosphacan antibody [EPR26270-86] - BSA and Azide free (AB290651)
  • IHC-P

Supplier Data

Immunohistochemistry (Formalin/PFA-fixed paraffin-embedded sections) - Anti-PTP zeta/ Phosphacan antibody [EPR26270-86] - BSA and Azide free (AB290651)

This data was developed using ab290640, the same antibody clone in a different buffer formulation.

Immunohistochemical analysis of paraffin-embedded human astrocytoma tissue labelling PTP zeta/ Phosphacan with ab290640 at 1/2000 (0.259 μg/ml) followed by a ready to use LeicaDS9800 (BOND™ Polymer Refine Detection) was used. Positive staining on human astrocytoma. The section was incubated with ab290640 for 30 mins at room temperature. The immunostaining was performed on a Leica Biosystems BOND® RX instrument.

Counterstained with Hematoxylin.

Secondary antibody only control : Secondary antibody is a ready to use LeicaDS9800 (BOND™ Polymer Refine Detection).

Heat mediated antigen retrieval with Tris-EDTA buffer (pH 9.0, epitope retrieval solution2) for 20 mins.

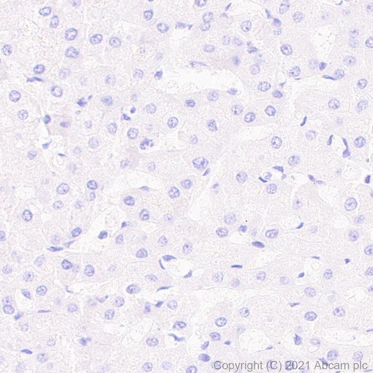
Immunohistochemistry (Formalin/PFA-fixed paraffin-embedded sections) - Anti-PTP zeta/ Phosphacan antibody [EPR26270-86] - BSA and Azide free (AB290651)
  • IHC-P

Supplier Data

Immunohistochemistry (Formalin/PFA-fixed paraffin-embedded sections) - Anti-PTP zeta/ Phosphacan antibody [EPR26270-86] - BSA and Azide free (AB290651)

This data was developed using ab290640, the same antibody clone in a different buffer formulation.

Immunohistochemical analysis of paraffin-embedded human liver tissue labelling PTP zeta/ Phosphacan with ab290640 at 1/2000 (0.259 μg/ml) followed by a ready to use LeicaDS9800 (BOND™ Polymer Refine Detection) . Negative control : no staining on human liver. The section was incubated with ab290640 for 30 mins at room temperature.The immunostaining was performed on a Leica Biosystems BOND® RX instrument. Counterstained with Hematoxylin.

Secondary antibody only control : Secondary antibody is a ready to use LeicaDS9800 (BOND™ Polymer Refine Detection) .

Heat mediated antigen retrieval with Tris-EDTA buffer (pH 9.0, epitope retrieval solution2) for 20 mins.

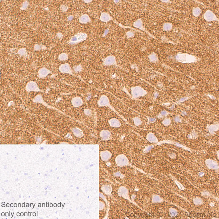
Immunohistochemistry (Formalin/PFA-fixed paraffin-embedded sections) - Anti-PTP zeta/ Phosphacan antibody [EPR26270-86] - BSA and Azide free (AB290651)
  • IHC-P

Supplier Data

Immunohistochemistry (Formalin/PFA-fixed paraffin-embedded sections) - Anti-PTP zeta/ Phosphacan antibody [EPR26270-86] - BSA and Azide free (AB290651)

This data was developed using ab290640, the same antibody clone in a different buffer formulation.

Immunohistochemical analysis of paraffin-embedded human cerebrum tissue labelling PTP zeta/ Phosphacan with ab290640 at 1/2000 (0.259 μg/ml) followed by a ready to use LeicaDS9800 (BOND™ Polymer Refine Detection) was used. Positive staining on human cerebrum. The section was incubated with ab290640 for 30 mins at room temperature.The immunostaining was performed on a Leica Biosystems BOND® RX instrument Counterstained with Hematoxylin.

Secondary antibody only control : Secondary antibody is a ready to use LeicaDS9800 (BOND™ Polymer Refine Detection) was used.

Heat mediated antigen retrieval with Tris-EDTA buffer (pH 9.0, epitope retrieval solution2) for 20 mins.

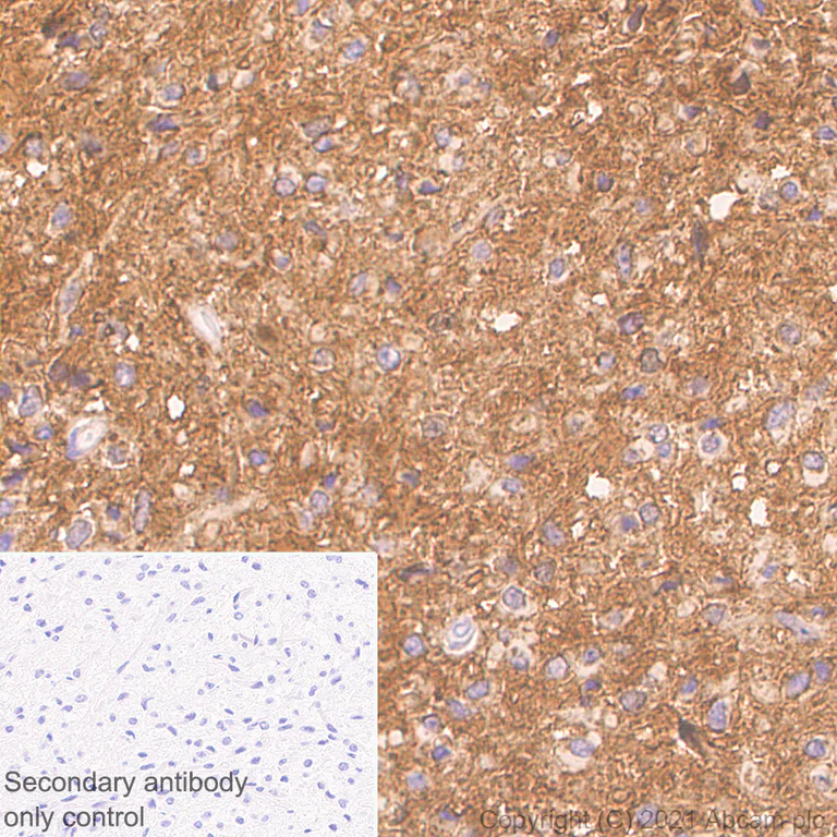
Immunohistochemistry (Formalin/PFA-fixed paraffin-embedded sections) - Anti-PTP zeta/ Phosphacan antibody [EPR26270-86] - BSA and Azide free (AB290651)
  • IHC-P

Supplier Data

Immunohistochemistry (Formalin/PFA-fixed paraffin-embedded sections) - Anti-PTP zeta/ Phosphacan antibody [EPR26270-86] - BSA and Azide free (AB290651)

This data was developed using ab290640, the same antibody clone in a different buffer formulation.

Immunohistochemical analysis of paraffin-embedded rat cerebrum tissue labelling PTP zeta/ Phosphacan with ab290640 at 1/2000 (0.259 μg/ml) followed by a ready to use LeicaDS9800 (BOND™ Polymer Refine Detection) . Positive staining on rat cerebrum. The section was incubated with ab290640 for 30 mins at room temperature.The immunostaining was performed on a Leica Biosystems BOND® RX instrument. Counterstained with Hematoxylin.

Secondary antibody only control : Secondary antibody is a ready to use LeicaDS9800 (BOND™ Polymer Refine Detection) .

Heat mediated antigen retrieval with Tris-EDTA buffer (pH 9.0, epitope retrieval solution2) for 20 mins.

Immunohistochemistry (Formalin/PFA-fixed paraffin-embedded sections) - Anti-PTP zeta/ Phosphacan antibody [EPR26270-86] - BSA and Azide free (AB290651)
  • IHC-P

Supplier Data

Immunohistochemistry (Formalin/PFA-fixed paraffin-embedded sections) - Anti-PTP zeta/ Phosphacan antibody [EPR26270-86] - BSA and Azide free (AB290651)

This data was developed using ab290640, the same antibody clone in a different buffer formulation.

Immunohistochemical analysis of paraffin-embedded mouse cerebrum tissue labelling PTP zeta/ Phosphacan with ab290640 at 1/2000 (0.259 μg/ml) followed by a ready to use LeicaDS9800 (BOND™ Polymer Refine Detection) . Positive staining on mouse cerebrum. The section was incubated with ab290640 for 30 mins at room temperature.The immunostaining was performed on a Leica Biosystems BOND® RX instrument.

Counterstained with Hematoxylin.

Secondary antibody only control : Secondary antibody is a ready to use LeicaDS9800 (BOND™ Polymer Refine Detection) .

Heat mediated antigen retrieval with Tris-EDTA buffer (pH 9.0, epitope retrieval solution2) for 20 mins.

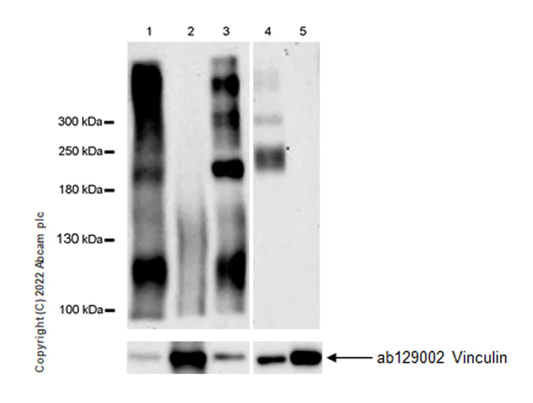
Western blot - Anti-PTP zeta/ Phosphacan antibody [EPR26270-86] - BSA and Azide free (AB290651)
  • WB

Supplier Data

Western blot - Anti-PTP zeta/ Phosphacan antibody [EPR26270-86] - BSA and Azide free (AB290651)

This data was developed using ab289860, the same antibody clone in a different buffer formulation.

Blocking and diluting buffer and concentration was 5% NFDM/TBST.

Several bands in the range from 380 to 70 kDa were observed. The profile is consistent with what has been described in the literature (PMID : 18713734).

Negative control : liver, U-87 MG(PMID : 7477903, 23170925).

All lanes:

Western blot - Anti-PTP zeta/ Phosphacan antibody [EPR26270-86] (<a href='/en-us/products/primary-antibodies/ptp-zeta-phosphacan-antibody-epr26270-86-ab290640'>ab290640</a>) at 1/1000 dilution

Lane 1:

Human cerebellum tissue lysate at 20 µg

Lane 2:

Human liver tissue lysate at 20 µg

Lane 3:

Human spinal cord tissue lysate at 20 µg

Lane 4:

NCI-H69 (human small cell lung cancer ) whole cell lysate at 20 µg

Lane 5:

U-87 MG (human glioblastoma-astrocytoma epithelial cell) whole cell lysate at 20 µg

Secondary

All lanes:

Western blot - Goat Anti-Rabbit IgG H&L (HRP) (<a href='/en-us/products/secondary-antibodies/goat-rabbit-igg-h-l-hrp-ab97051'>ab97051</a>) at 1/100000 dilution

Predicted band size: 255 kDa

Observed band size: 380-70 kDa

false

Exposure time: 3min

Western blot - Anti-PTP zeta/ Phosphacan antibody [EPR26270-86] - BSA and Azide free (AB290651)
  • WB

Supplier Data

Western blot - Anti-PTP zeta/ Phosphacan antibody [EPR26270-86] - BSA and Azide free (AB290651)

This data was developed using ab289860, the same antibody clone in a different buffer formulation.

Blocking and diluting buffer and concentration was 5% NFDM/TBST.

After chondroitinase ABC treatment, several bands in the range from 380 to 70 kDa were observed. The profile is consistent with what has been described in the literature (PMID : 18713734).

Negative control : liver(PMID : 7477903).

All lanes:

Western blot - Anti-PTP zeta/ Phosphacan antibody [EPR26270-86] (<a href='/en-us/products/primary-antibodies/ptp-zeta-phosphacan-antibody-epr26270-86-ab290640'>ab290640</a>) at 1/1000 dilution

Lane 1:

Mouse P14 brain tissue lysate at 20 µg

Lane 2:

Mouse P14 brain tissue lysate treated with 0.05U chondroitinase ABC for 3h at 37℃ at 20 µg

Lane 3:

Mouse liver tissue lysate at 20 µg

Secondary

All lanes:

Western blot - Goat Anti-Rabbit IgG H&L (HRP) (<a href='/en-us/products/secondary-antibodies/goat-rabbit-igg-h-l-hrp-ab97051'>ab97051</a>) at 1/100000 dilution

Predicted band size: 255 kDa

Observed band size: 380-70 kDa

false

Exposure time: 48s

Western blot - Anti-PTP zeta/ Phosphacan antibody [EPR26270-86] - BSA and Azide free (AB290651)
  • WB

Supplier Data

Western blot - Anti-PTP zeta/ Phosphacan antibody [EPR26270-86] - BSA and Azide free (AB290651)

This data was developed using ab289860, the same antibody clone in a different buffer formulation.

Blocking and diluting buffer and concentration was 5% NFDM/TBST.

PTPRZ gene generates three isoforms by alternative splicing : two transmembrane isoforms PTPRZ-A and PTPRZ-B, and one secretory isoform PTPRZ-S which is also known as phosphacan. All three isoforms expressed in the brain are highly glycosylated with chondroitin sulfate. After chondroitinase ABC treatment, several bands in the range from 380 to 70 kDa were observed. The profile is consistent with what has been described in the literature (PMID : 18713734).

Negative control : liver(PMID : 7477903).

All lanes:

Western blot - Anti-PTP zeta/ Phosphacan antibody [EPR26270-86] (<a href='/en-us/products/primary-antibodies/ptp-zeta-phosphacan-antibody-epr26270-86-ab290640'>ab290640</a>) at 1/1000 dilution

Lane 1:

Rat brain tissue lysate at 20 µg

Lane 2:

Rat brain tissue lysate treated with 0.05U chondroitinase ABC for 3h at 37℃ at 20 µg

Lane 3:

Rat liver tissue lysate at 20 µg

Lane 4:

Rat spinal cord tissue lysate at 20 µg

Secondary

All lanes:

Western blot - Goat Anti-Rabbit IgG H&L (HRP) (<a href='/en-us/products/secondary-antibodies/goat-rabbit-igg-h-l-hrp-ab97051'>ab97051</a>) at 1/100000 dilution

Predicted band size: 255 kDa

false

Key facts

Host species

Rabbit

Clonality

Monoclonal

Clone number

EPR26270-86

Isotype

IgG

Carrier free

Yes

Reacts with

Mouse, Human, Rat

Applications

IHC-P, WB

applications

Immunogen

The exact immunogen used to generate this antibody is proprietary information.

Reactivity data

{ "title": "Reactivity Data", "filters": { "stats": ["", "Species", "Dilution Info", "Notes"], "tabs": { "all-applications": {"fullname" : "All Applications", "shortname": "All Applications"}, "ICCIF" : {"fullname" : "Immunocytochemistry/ Immunofluorescence", "shortname":"ICC/IF"}, "IP" : {"fullname" : "Immunoprecipitation", "shortname":"IP"}, "FlowCyt" : {"fullname" : "Flow Cytometry", "shortname":"Flow Cyt"}, "WB" : {"fullname" : "Western blot", "shortname":"WB"}, "IHCP" : {"fullname" : "Immunohistochemistry (Formalin/PFA-fixed paraffin-embedded sections)", "shortname":"IHC-P"}, "IHCFr" : {"fullname" : "Immunohistochemistry (Frozen sections)", "shortname":"IHC-Fr"}, "FlowCytIntra" : {"fullname" : "Flow Cytometry (Intracellular)", "shortname":"Flow Cyt (Intra)"} }, "product-promise": { "all": "all", "testedAndGuaranteed": "tested", "guaranteed": "expected", "predicted": "predicted", "notRecommended": "not-recommended" } }, "values": { "Human": { "ICCIF-species-checked": "notRecommended", "ICCIF-species-dilution-info": "", "ICCIF-species-notes": "<p></p>", "IP-species-checked": "notRecommended", "IP-species-dilution-info": "", "IP-species-notes": "<p></p>", "FlowCyt-species-checked": "notRecommended", "FlowCyt-species-dilution-info": "", "FlowCyt-species-notes": "<p></p>", "WB-species-checked": "testedAndGuaranteed", "WB-species-dilution-info": "", "WB-species-notes": "<p></p>", "IHCP-species-checked": "testedAndGuaranteed", "IHCP-species-dilution-info": "", "IHCP-species-notes": "<p></p>", "IHCFr-species-checked": "notRecommended", "IHCFr-species-dilution-info": "", "IHCFr-species-notes": "", "FlowCytIntra-species-checked": "notRecommended", "FlowCytIntra-species-dilution-info": "", "FlowCytIntra-species-notes": "<p></p>" }, "Mouse": { "ICCIF-species-checked": "notRecommended", "ICCIF-species-dilution-info": "", "ICCIF-species-notes": "<p></p>", "IP-species-checked": "notRecommended", "IP-species-dilution-info": "", "IP-species-notes": "<p></p>", "FlowCyt-species-checked": "notRecommended", "FlowCyt-species-dilution-info": "", "FlowCyt-species-notes": "<p></p>", "WB-species-checked": "testedAndGuaranteed", "WB-species-dilution-info": "", "WB-species-notes": "<p></p>", "IHCP-species-checked": "testedAndGuaranteed", "IHCP-species-dilution-info": "", "IHCP-species-notes": "<p></p>", "IHCFr-species-checked": "notRecommended", "IHCFr-species-dilution-info": "", "IHCFr-species-notes": "<p></p>", "FlowCytIntra-species-checked": "notRecommended", "FlowCytIntra-species-dilution-info": "", "FlowCytIntra-species-notes": "" }, "Rat": { "ICCIF-species-checked": "notRecommended", "ICCIF-species-dilution-info": "", "ICCIF-species-notes": "<p></p>", "IP-species-checked": "notRecommended", "IP-species-dilution-info": "", "IP-species-notes": "", "FlowCyt-species-checked": "notRecommended", "FlowCyt-species-dilution-info": "", "FlowCyt-species-notes": "<p></p>", "WB-species-checked": "testedAndGuaranteed", "WB-species-dilution-info": "", "WB-species-notes": "<p></p>", "IHCP-species-checked": "testedAndGuaranteed", "IHCP-species-dilution-info": "", "IHCP-species-notes": "<p></p>", "IHCFr-species-checked": "notRecommended", "IHCFr-species-dilution-info": "", "IHCFr-species-notes": "<p></p>", "FlowCytIntra-species-checked": "notRecommended", "FlowCytIntra-species-dilution-info": "", "FlowCytIntra-species-notes": "" } } }

Product details

ab290651 is a carrier free version of ab290640.

Patented technology
Our RabMAb® technology is a patented hybridoma-based technology for making rabbit monoclonal antibodies. For details on our patents, please refer to RabMAb® patents.

What are the advantages of a recombinant monoclonal antibody?
This product is a recombinant monoclonal antibody, which offers several advantages including:

  • - High batch-to-batch consistency and reproducibility
  • - Improved sensitivity and specificity
  • - Long-term security of supply
  • - Animal-free batch production

For more information, read more on recombinant antibodies.

Conjugation ready
Our carrier-free antibodies are typically supplied in a PBS-only formulation, purified and free of BSA, sodium azide and glycerol. This conjugation-ready format is designed for use with fluorochromes, metal isotopes, oligonucleotides, and enzymes, which makes them ideal for antibody labelling, functional and cell-based assays, flow-based assays (e.g. mass cytometry) and Multiplex Imaging applications.

Use our conjugation kits for antibody conjugates that are ready-to-use in as little as 20 minutes with 1 minute hands-on-time and 100% antibody recovery: available for fluorescent dyes, HRP, biotin and gold.

Properties and storage information

Form
Liquid
Purification technique
Affinity purification Protein A
Storage buffer
pH: 7.2 - 7.4 Constituents: PBS
Shipped at conditions
Blue Ice
Appropriate short-term storage conditions
+4°C
Appropriate long-term storage conditions
+4°C

Supplementary information

This supplementary information is collated from multiple sources and compiled automatically.

PTP zeta also known as Phosphacan is a protein tyrosine phosphatase expressed mainly in the central nervous system. It is a chondroitin sulfate proteoglycan with a molecular weight of approximately 340 kDa. This protein is found on neuronal and glial cell surfaces. PTP zeta plays a role in cell signaling by dephosphorylating specific tyrosine residues on target proteins. Its interaction with ECM molecules and receptors supports cell-cell communication and structural organization within neural tissues.
Biological function summary

In development and recovery of nervous system components PTP zeta plays key roles. It engages in signaling networks that regulate cell adhesion migration and proliferation. Phosphacan shares structures with other receptor-like proteins and interfaces with various ligands indicating its involvement in complex multi-protein assemblies. Interaction with growth factors such as pleiotrophin influences neural cell differentiation and axonal growth.

Pathways

PTP zeta integrates into signaling processes controlling neural plasticity and regeneration. It participates in the PI3K/Akt pathway where it modifies cell survival and growth dynamics. The protein also associates with the MAPK/ERK pathway impacting neuronal differentiation and proliferation. Here it interacts with other proteins like fibroblast growth factor (FGF) enhancing its regulatory influence on cellular functions critical to the CNS.

PTP zeta has connections with conditions like glioblastoma and schizophrenia. Altered expression levels associate it with these pathologies as it significantly influences cell proliferation and migration patterns that could contribute to tumor growth or neurodevelopmental anomalies. PTP zeta interacts with integrin proteins which are implicated in mediating these disease mechanisms through their role in ECM and cell cytoskeleton interactions.

Product protocols

For this product, it's our understanding that no specific protocols are required. You can visit:

Target data

Protein tyrosine phosphatase that negatively regulates oligodendrocyte precursor proliferation in the embryonic spinal cord. Required for normal differentiation of the precursor cells into mature, fully myelinating oligodendrocytes. May play a role in protecting oligondendrocytes against apoptosis. May play a role in the establishment of contextual memory, probably via the dephosphorylation of proteins that are part of important signaling cascades (By similarity).
See full target information PTPRZ1

Publications (1)

Recent publications for all applications. Explore the full list and refine your search

Cancer cell 42:1217-1238.e19 PubMed38981438

2024

Multi-scale signaling and tumor evolution in high-grade gliomas.

Applications

Unspecified application

Species

Unspecified reactive species

Jingxian Liu,Song Cao,Kathleen J Imbach,Marina A Gritsenko,Tung-Shing M Lih,Jennifer E Kyle,Tomer M Yaron-Barir,Zev A Binder,Yize Li,Ilya Strunilin,Yi-Ting Wang,Chia-Feng Tsai,Weiping Ma,Lijun Chen,Natalie M Clark,Andrew Shinkle,Nataly Naser Al Deen,Wagma Caravan,Andrew Houston,Faria Anjum Simin,Matthew A Wyczalkowski,Liang-Bo Wang,Erik Storrs,Siqi Chen,Ritvik Illindala,Yuping D Li,Reyka G Jayasinghe,Dmitry Rykunov,Sandra L Cottingham,Rosalie K Chu,Karl K Weitz,Ronald J Moore,Tyler Sagendorf,Vladislav A Petyuk,Michael Nestor,Lisa M Bramer,Kelly G Stratton,Athena A Schepmoes,Sneha P Couvillion,Josie Eder,Young-Mo Kim,Yuqian Gao,Thomas L Fillmore,Rui Zhao,Matthew E Monroe,Austin N Southard-Smith,Yang E Li,Rita Jui-Hsien Lu,Jared L Johnson,Maciej Wiznerowicz,Galen Hostetter,Chelsea J Newton,Karen A Ketchum,Ratna R Thangudu,Jill S Barnholtz-Sloan,Pei Wang,David Fenyö,Eunkyung An,Mathangi Thiagarajan,Ana I Robles,D R Mani,Richard D Smith,Eduard Porta-Pardo,Lewis C Cantley,Antonio Iavarone,Feng Chen,Mehdi Mesri,MacLean P Nasrallah,Hui Zhang,Adam C Resnick,Milan G Chheda,Karin D Rodland,Tao Liu,Li Ding
View all publications

Product promise

We are committed to supporting your work with high-quality reagents, and we're here for you every step of the way. In the unlikely event that one of our products does not perform as expected, you're protected by our Product Promise.
For full details, please see our Terms & Conditions

Please note: All products are 'FOR RESEARCH USE ONLY. NOT FOR USE IN DIAGNOSTIC OR THERAPEUTIC PROCEDURES'.

For licensing inquiries, please contact partnerships@abcam.com