JavaScript is disabled in your browser. Please enable JavaScript to view this website.
AB244328

Anti-PTP1B antibody

Be the first to review this product! Submit a review

|

(1 Publication)

Rabbit Polyclonal PTP1B antibody. Suitable for IHC-P, WB, ICC/IF and reacts with Human samples. Cited in 1 publication. Immunogen corresponding to Recombinant Fragment Protein within Human PTPN1 aa 250 to C-terminus.

View Alternative Names

PTP1B, PTPN1, Tyrosine-protein phosphatase non-receptor type 1, Protein-tyrosine phosphatase 1B, PTP-1B

6 Images
Immunohistochemistry (Formalin/PFA-fixed paraffin-embedded sections) - Anti-PTP1B antibody (AB244328)
  • IHC-P

Supplier Data

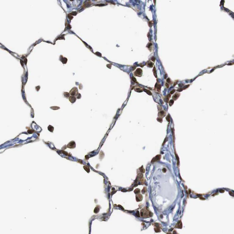
Immunohistochemistry (Formalin/PFA-fixed paraffin-embedded sections) - Anti-PTP1B antibody (AB244328)

Formalin-fixed, paraffin-embedded human lung tissue stained for PTP1B with ab244328 at a 1/50 dilution in immunohistochemical analysis.

Immunohistochemistry (Formalin/PFA-fixed paraffin-embedded sections) - Anti-PTP1B antibody (AB244328)
  • IHC-P

Supplier Data

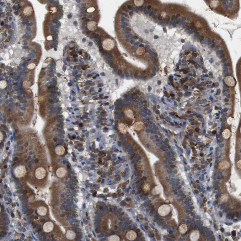
Immunohistochemistry (Formalin/PFA-fixed paraffin-embedded sections) - Anti-PTP1B antibody (AB244328)

Formalin-fixed, paraffin-embedded human duodenum tissue stained for PTP1B with ab244328 at a 1/50 dilution in immunohistochemical analysis.

Immunohistochemistry (Formalin/PFA-fixed paraffin-embedded sections) - Anti-PTP1B antibody (AB244328)
  • IHC-P

Supplier Data

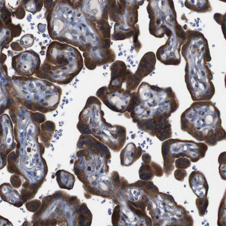
Immunohistochemistry (Formalin/PFA-fixed paraffin-embedded sections) - Anti-PTP1B antibody (AB244328)

Formalin-fixed, paraffin-embedded human placenta tissue stained for PTP1B with ab244328 at a 1/50 dilution in immunohistochemical analysis.

Immunocytochemistry/ Immunofluorescence - Anti-PTP1B antibody (AB244328)
  • ICC/IF

Unknown

Immunocytochemistry/ Immunofluorescence - Anti-PTP1B antibody (AB244328)

PFA fixed, Triton X-100 permeabilized U-2 OS (Human bone osteosarcoma epithelial cell line) cells labeling PTP1B using ab244328 at 4 μg/ml (green) in ICC/IF.

Immunohistochemistry (Formalin/PFA-fixed paraffin-embedded sections) - Anti-PTP1B antibody (AB244328)
  • IHC-P

Supplier Data

Immunohistochemistry (Formalin/PFA-fixed paraffin-embedded sections) - Anti-PTP1B antibody (AB244328)

Formalin-fixed, paraffin-embedded human lymph node tissue stained for PTP1B with ab244328 at a 1/50 dilution in immunohistochemical analysis.

Western blot - Anti-PTP1B antibody (AB244328)
  • WB

Unknown

Western blot - Anti-PTP1B antibody (AB244328)

All lanes:

Western blot - Anti-PTP1B antibody (ab244328) at 0.4 µg/mL

Lane 1:

Control siRNA transfected U-138MG cell lysate

Lane 2:

siRNA#1 transfected U-138MG cell lysate

Lane 3:

siRNA#2 transfected U-138MG cell lysate

Predicted band size: 50 kDa

false

Key facts

Host species

Rabbit

Clonality

Polyclonal

Isotype

IgG

Carrier free

No

Reacts with

Human

Applications

IHC-P, ICC/IF, WB

applications

Immunogen

Recombinant Fragment Protein within Human PTPN1 aa 250 to C-terminus. The exact immunogen used to generate this antibody is proprietary information.

P18031

Reactivity data

{ "title": "Reactivity Data", "filters": { "stats": ["", "Species", "Dilution Info", "Notes"], "tabs": { "all-applications": {"fullname" : "All Applications", "shortname": "All Applications"}, "IHCP" : {"fullname" : "Immunohistochemistry (Formalin/PFA-fixed paraffin-embedded sections)", "shortname":"IHC-P"}, "WB" : {"fullname" : "Western blot", "shortname":"WB"}, "ICCIF" : {"fullname" : "Immunocytochemistry/ Immunofluorescence", "shortname":"ICC/IF"} }, "product-promise": { "all": "all", "testedAndGuaranteed": "tested", "guaranteed": "expected", "predicted": "predicted", "notRecommended": "not-recommended" } }, "values": { "Human": { "IHCP-species-checked": "testedAndGuaranteed", "IHCP-species-dilution-info": "1/50 - 1/200", "IHCP-species-notes": "<p></p> Perform heat-mediated antigen retrieval with citrate buffer pH 6 before commencing with IHC staining protocol.", "WB-species-checked": "testedAndGuaranteed", "WB-species-dilution-info": "0.04-0.4 µg/mL", "WB-species-notes": "<p></p>", "ICCIF-species-checked": "testedAndGuaranteed", "ICCIF-species-dilution-info": "0.25-2 µg/mL", "ICCIF-species-notes": "<p>Fixation/Permeabilization: PFA/Triton X-100.</p>" } } }

Properties and storage information

Form
Liquid
Purification technique
Affinity purification Immunogen
Storage buffer
pH: 7.2 Preservative: 0.02% Sodium azide Constituents: PBS, 40% Glycerol (glycerin, glycerine)
Shipped at conditions
Blue Ice
Appropriate short-term storage duration
1-2 weeks
Appropriate short-term storage conditions
+4°C
Appropriate long-term storage conditions
-20°C
Aliquoting information
Upon delivery aliquot
Storage information
Avoid freeze / thaw cycle

Supplementary information

This supplementary information is collated from multiple sources and compiled automatically.

Protein tyrosine phosphatase 1B (PTP1B) is an enzyme involved in the dephosphorylation of tyrosine residues in proteins. Known also as PTPN1 this protein has a molecular weight of approximately 50 kDa. PTP1B is widely expressed in tissues but is highly present in the liver muscle and adipose tissue. It plays a critical role in regulating signal transduction pathways by removing phosphate groups from phosphotyrosine residues on target proteins. This action generally serves as a 'turn-off' switch for various signaling pathways.
Biological function summary

PTP1B plays important roles in glucose and lipid metabolism. It is not generally considered a part of a complex functioning instead as a singular enzyme. Its main action involves the negative regulation of the insulin signaling pathway by dephosphorylating the insulin receptor as well as its associated substrates. This regulation helps maintain normal levels of insulin sensitivity influencing cellular glucose uptake and metabolism.

Pathways

PTP1B has important functions in the insulin and leptin signaling pathways. It has a regulatory influence in these pathways affecting key metabolic processes. In the insulin signaling pathway PTP1B closely interacts with the insulin receptor as well as with insulin receptor substrates (IRS). Its dephosphorylating activity can lead to decreased insulin sensitivity. In the leptin pathway PTP1B modulates leptin signaling by dephosphorylating the Janus kinase 2 (JAK2) another protein involved in the control of energy balance and metabolism.

Excessive activity of PTP1B links with disorders such as type 2 diabetes and obesity. Overactivity of PTP1B can lead to insulin resistance contributing to the pathogenesis of type 2 diabetes. In obesity PTP1B may interfere with the normal activity of leptin a hormone critical for regulating energy balance. Its interaction with the insulin receptor and JAK2 makes PTP1B a target for therapeutic interventions aimed at improving insulin sensitivity and energy homeostasis.

Product protocols

For this product, it's our understanding that no specific protocols are required. You can visit:

Target data

Tyrosine-protein phosphatase which acts as a regulator of endoplasmic reticulum unfolded protein response. Mediates dephosphorylation of EIF2AK3/PERK; inactivating the protein kinase activity of EIF2AK3/PERK. May play an important role in CKII- and p60c-src-induced signal transduction cascades. May regulate the EFNA5-EPHA3 signaling pathway which modulates cell reorganization and cell-cell repulsion. May also regulate the hepatocyte growth factor receptor signaling pathway through dephosphorylation of MET.
See full target information PTPN1

Publications (1)

Recent publications for all applications. Explore the full list and refine your search

Pharmacogenomics and personalized medicine 16:1041-1053 PubMed38058295

2023

Identification of P3H1 as a Predictive Prognostic Biomarker for Bladder Urothelial Carcinoma Based on the Cancer Genome Atlas Database.

Applications

Unspecified application

Species

Unspecified reactive species

Yuanfeng Zhang,Yang Chen,Zhiming Chen,Xinye Zhou,Shaochuan Chen,Kaijian Lan,Zhiping Wang,Yonghai Zhang
View all publications

Product promise

We are committed to supporting your work with high-quality reagents, and we're here for you every step of the way. In the unlikely event that one of our products does not perform as expected, you're protected by our Product Promise.
For full details, please see our Terms & Conditions

Please note: All products are 'FOR RESEARCH USE ONLY. NOT FOR USE IN DIAGNOSTIC OR THERAPEUTIC PROCEDURES'.

For licensing inquiries, please contact partnerships@abcam.com