JavaScript is disabled in your browser. Please enable JavaScript to view this website.
AB252928

Anti-PTP1B antibody [EPR22468-6]

Be the first to review this product! Submit a review

|

(5 Publications)

Rabbit Recombinant Monoclonal PTP1B antibody. Suitable for IP, WB, IHC-P and reacts with Human, Mouse, Rat samples. Cited in 5 publications.

View Alternative Names

PTP1B, PTPN1, Tyrosine-protein phosphatase non-receptor type 1, Protein-tyrosine phosphatase 1B, PTP-1B

10 Images
Immunohistochemistry (Formalin/PFA-fixed paraffin-embedded sections) - Anti-PTP1B antibody [EPR22468-6] (AB252928)
  • IHC-P

Unknown

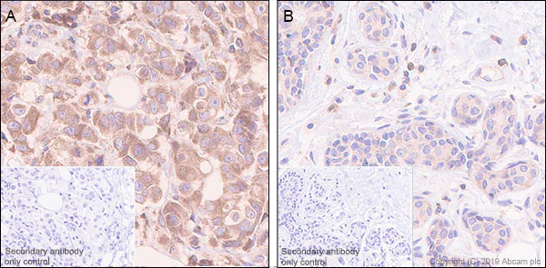
Immunohistochemistry (Formalin/PFA-fixed paraffin-embedded sections) - Anti-PTP1B antibody [EPR22468-6] (AB252928)

Immunohistochemical analysis of paraffin-embedded human breast cancer (panel A) and its adjacent non-cancerous tissue (panel B) labeling PTP1B with ab252928 at 1/1000 dilution, followed by a ready to use Goat Anti-Rabbit IgG H&L (HRP). Higher cytoplasmic staining in human breast cancer tissue (panel A) while weakly staining in its adjacent non-cancerous tissue (panel B) (PMID : 27465552) is observed. Counterstained with hematoxylin.
Secondary antibody only control : Used PBS instead of primary antibody, secondary antibody is a ready to use Goat Anti-Rabbit IgG H&L (HRP).
Perform heat mediated antigen retrieval using ab93684 (Tris/EDTA buffer, pH 9.0).

Immunohistochemistry (Formalin/PFA-fixed paraffin-embedded sections) - Anti-PTP1B antibody [EPR22468-6] (AB252928)
  • IHC-P

Unknown

Immunohistochemistry (Formalin/PFA-fixed paraffin-embedded sections) - Anti-PTP1B antibody [EPR22468-6] (AB252928)

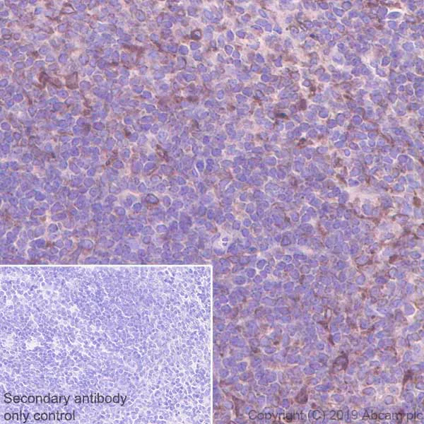
Immunohistochemical analysis of paraffin-embedded mouse spleen tissue labeling PTP1B with ab252928 at 1/1000 dilution, followed by a ready to use Goat Anti-Rabbit IgG H&L (HRP). Cytoplasmic staining in mouse spleen (PMID : 18716132) is observed. Counterstained with hematoxylin.
Secondary antibody only control : Used PBS instead of primary antibody, secondary antibody is a ready to use Goat Anti-Rabbit IgG H&L (HRP).
Perform heat mediated antigen retrieval using ab93684 (Tris/EDTA buffer, pH 9.0).

Immunohistochemistry (Formalin/PFA-fixed paraffin-embedded sections) - Anti-PTP1B antibody [EPR22468-6] (AB252928)
  • IHC-P

Unknown

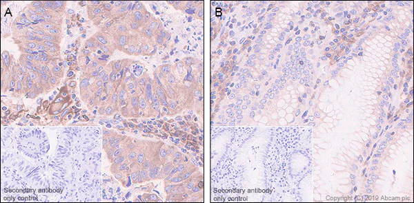
Immunohistochemistry (Formalin/PFA-fixed paraffin-embedded sections) - Anti-PTP1B antibody [EPR22468-6] (AB252928)

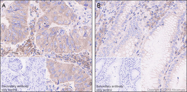
Immunohistochemical analysis of paraffin-embedded human gastric cancer (panel A) and its adjacent non-cancerous tissue (panel B) labeling PTP1B with ab252928 at 1/1000 dilution, followed by a ready to use Goat Anti-Rabbit IgG H&L (HRP). Higher cytoplasmic staining in human gastric cancer tissue (panel A) while weakly staining in its adjacent non-cancerous tissue (panel B) (PMID : 21442314) is observed. Counterstained with hematoxylin.
Secondary antibody only control : Used PBS instead of primary antibody, secondary antibody is a ready to use Goat Anti-Rabbit IgG H&L (HRP).
Perform heat mediated antigen retrieval using ab93684 (Tris/EDTA buffer, pH 9.0).

Immunohistochemistry (Formalin/PFA-fixed paraffin-embedded sections) - Anti-PTP1B antibody [EPR22468-6] (AB252928)
  • IHC-P

Unknown

Immunohistochemistry (Formalin/PFA-fixed paraffin-embedded sections) - Anti-PTP1B antibody [EPR22468-6] (AB252928)

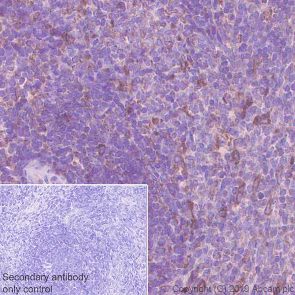
Immunohistochemical analysis of paraffin-embedded rat spleen tissue labeling PTP1B with ab252928 at 1/1000 dilution, followed by a ready to use Goat Anti-Rabbit IgG H&L (HRP). Cytoplasmic staining in rat spleen (PMID : 18716132) is observed. Counterstained with hematoxylin.
Secondary antibody only control : Used PBS instead of primary antibody, secondary antibody is a ready to use Goat Anti-Rabbit IgG H&L (HRP).
Perform heat mediated antigen retrieval using ab93684 (Tris/EDTA buffer, pH 9.0).

Immunoprecipitation - Anti-PTP1B antibody [EPR22468-6] (AB252928)
  • IP

Unknown

Immunoprecipitation - Anti-PTP1B antibody [EPR22468-6] (AB252928)

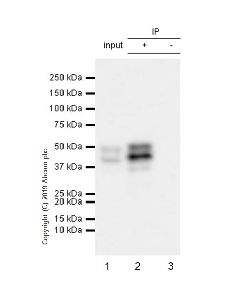
PTP1B was immunoprecipitated from 0.35 mg HCT116 (human colorectal carcinoma epithelial cell) whole cell lysate with ab252928 at 1/30 dilution. Western blot was performed from the immunoprecipitate using ab252928 at 1/1000 dilution. VeriBlot for IP Detection Reagent (HRP) (ab131366), was used at 1/5000 dilution.

Lane 1 : HCT116 whole cell lysate 10 μg (Input).
Lane 2 : ab252928 IP in HCT116 whole cell lysate.
Lane 3 : Rabbit monoclonal IgG (ab172730) instead of ab252928 in HCT116 whole cell lysate.

Blocking/Dilution buffer : 5% NFDM/TBST.
Exposure time : 3 seconds.

The observed MW is consistent with what described in the literature. (PMID : 18253097; PMID : 11895943; PMID : 19797268).

All lanes:

Immunoprecipitation - Anti-PTP1B antibody [EPR22468-6] (ab252928)

Predicted band size: 50 kDa

Observed band size: 36 kDa,46 kDa,50 kDa

false

Western blot - Anti-PTP1B antibody [EPR22468-6] (AB252928)
  • WB

Unknown

Western blot - Anti-PTP1B antibody [EPR22468-6] (AB252928)

The expression profile observed is consistent with what has been described in the literature (PMID : 18253097; PMID : 11895943; PMID : 19797268). The bands below 50kDa may represent truncated forms and cleaved fragments.

Blocking/Dilution buffer : 5% NFDM/TBST.

Exposure times : Lanes 1-3 : 92 secs; Lane 4 : 3 mins.

All lanes:

Western blot - Anti-PTP1B antibody [EPR22468-6] (ab252928) at 1/1000 dilution

Lane 1:

MCF7 (human breast adenocarcinoma epithelial cell), whole cell lysate at 20 µg

Lane 2:

SW480 (human colorectal adenocarcinoma epithelial cell), whole cell lysate at 20 µg

Lane 3:

Human placenta cell lysate at 20 µg

Lane 4:

Human fetal kidney cell lysate at 20 µg

Secondary

Lanes 1 - 3:

Western blot - Goat Anti-Rabbit IgG H&L (HRP) (<a href='/en-us/products/secondary-antibodies/goat-rabbit-igg-h-l-hrp-ab97051'>ab97051</a>) at 1/100000 dilution

Lane 4:

Western blot - VeriBlot for IP Detection Reagent (HRP) (<a href='/en-us/products/reagents/veriblot-for-ip-detection-reagent-hrp-ab131366'>ab131366</a>) at 1/1000 dilution

Predicted band size: 50 kDa

Observed band size: 36 kDa,46 kDa,50 kDa

false

Western blot - Anti-PTP1B antibody [EPR22468-6] (AB252928)
  • WB

Unknown

Western blot - Anti-PTP1B antibody [EPR22468-6] (AB252928)

The expression profile observed is consistent with what has been described in the literature (PMID : 18253097; PMID : 11895943; PMID : 19797268). The bands below 50kDa may represent truncated forms and cleaved fragments.

Blocking/Dilution buffer : 5% NFDM/TBST.

Exposure times : Lanes 1-2 : 70 secs; Lane 3 : 3 mins; Lane 4 : 37 secs; Lanes 5-6 : 3 mins.

All lanes:

Western blot - Anti-PTP1B antibody [EPR22468-6] (ab252928) at 1/1000 dilution

Lane 1:

RAW264.7 (mouse Abelson murine leukemia virus-induced tumor macrophage), whole cell lysate at 20 µg

Lane 2:

NIH/3T3 (mouse embryonic fibroblast), whole cell lysate at 20 µg

Lane 3:

Mouse brain cell lysate at 20 µg

Lane 4:

Mouse spleen cell lysate at 20 µg

Lane 5:

Rat brain cell lysate at 20 µg

Lane 6:

Rat heart cell lysate at 20 µg

Secondary

All lanes:

Western blot - Goat Anti-Rabbit IgG H&L (HRP) (<a href='/en-us/products/secondary-antibodies/goat-rabbit-igg-h-l-hrp-ab97051'>ab97051</a>) at 1/100000 dilution

Predicted band size: 50 kDa

Observed band size: 36 kDa,46 kDa,48 kDa,50 kDa

false

Western blot - Anti-PTP1B antibody [EPR22468-6] (AB252928)
  • WB

Unknown

Western blot - Anti-PTP1B antibody [EPR22468-6] (AB252928)

Lanes 1- 2 : Merged signal (red and green). Green - ab252928 observed at 50 kDa. Red - Anti-GAPDH antibody [6C5] - Loading Control (ab8245) observed at 37 kDa.

ab252928 was shown to react with PTP1B in wild-type HeLa cells in western blot. The band observed in knockout cell line ab265014 (knockout cell lysate ab257617) lane below 50kDa may represent truncated forms and cleaved fragments. This has not been investigated further. Wild-type HeLa and PTPN1 knockout HeLa cell lysates were subjected to SDS-PAGE. Membrane was blocked for 1 hour at room temperature in 0.1% TBST with 3% non-fat dried milk. ab252928 and Anti-GAPDH antibody [6C5] - Loading Control (ab8245) were incubated overnight at 4°C at a 1 in 1000 dilution and a 1 in 20000 dilution respectively. Blots were developed with Goat anti-Rabbit IgG H&L (IRDye®800CW) preadsorbed (ab216773) and Goat anti-Mouse IgG H&L (IRDye®680RD) preadsorbed (ab216776) secondary antibodies at 1 in 20000 dilution for 1 hour at room temperature before imaging.

All lanes:

Western blot - Anti-PTP1B antibody [EPR22468-6] (ab252928) at 1/1000 dilution

Lane 1:

Wild-type HeLa cell lysate at 20 µg

Lane 2:

PTPN1 knockout HeLa cell lysate at 20 µg

Predicted band size: 50 kDa

Observed band size: 50 kDa

false

Western blot - Anti-PTP1B antibody [EPR22468-6] (AB252928)
  • WB

Lab

Western blot - Anti-PTP1B antibody [EPR22468-6] (AB252928)

Lanes 1- 2 : Merged signal (red and green). Green - ab252928 observed at 50 kDa. Red - Anti-GAPDH antibody [6C5] - Loading Control (ab8245) observed at 37 kDa.

ab252928 was shown to react with PTP1B in wild-type HeLa cells in western blot. The band observed in CRISPR/Cas9 cell line ab265014 (CRISPR/Cas9 cell lysate ab257617) lane below 50kDa may represent truncated forms and cleaved fragments. This has not been investigated further. Wild-type HeLa and PTPN1 CRISPR/Cas9 HeLa cell lysates were subjected to SDS-PAGE. Membrane was blocked for 1 hour at room temperature in 0.1% TBST with 3% non-fat dried milk. ab252928 and Anti-GAPDH antibody [6C5] - Loading Control (ab8245) were incubated overnight at 4°C at a 1 in 1000 dilution and a 1 in 20000 dilution respectively. Blots were developed with Goat anti-Rabbit IgG H&L (IRDye®800CW) preadsorbed (ab216773) and Goat anti-Mouse IgG H&L (IRDye®680RD) preadsorbed (ab216776) secondary antibodies at 1 in 20000 dilution for 1 hour at room temperature before imaging.

All lanes:

Western blot - Anti-PTP1B antibody [EPR22468-6] (ab252928) at 1/1000 dilution

Lane 1:

Wild-type HeLa cell lysate at 20 µg

Lane 2:

PTPN1 CRISPR/Cas9 edited HeLa cell lysate at 20 µg

Lane 2:

Western blot - Human PTPN1 (PTP1B) knockout HeLa cell line (<a href='/en-us/products/cell-lines/human-ptpn1-ptp1b-knockout-hela-cell-line-ab265014'>ab265014</a>)

Predicted band size: 50 kDa

Observed band size: 50 kDa

false

Western blot - Anti-PTP1B antibody [EPR22468-6] (AB252928)
  • WB

Unknown

Western blot - Anti-PTP1B antibody [EPR22468-6] (AB252928)

ab252928 was shown to specifically react with PTP1B in wild-type HAP1 cells as signal was lost in PTP1B knockout cells. Wild-type and PTP1B knockout samples were subjected to SDS-PAGE. ab252928 and ab181602 (Rabbit anti-GAPDH loading control) were incubated 1 hour at room temperature at 1/2000 dilution and 1/200,000 dilution respectively. Blots were developed with Goat Anti-Rabbit IgG, (H+L), Peroxidase conjugated (ab97051) secondary antibody at 1/100,000 dilution for 1 hour at room temperature before imaging.

The blot was developed on a BIO-RAD® ChemiDoc™ MP instrument using the ECL technique.

The expression profile observed is consistent with what has been described in the literature (PMID : 18253097; PMID : 11895943; PMID : 19797268). The bands below 50kDa may represent truncated forms and cleaved fragments.

Blocking/Dilution buffer : 5% NFDM/TBST.

Exposure times : Lanes 1-3 : 3 mins; Lanes 4-6 : 15 secs; Lane 7 : 3 mins.

All lanes:

Western blot - Anti-PTP1B antibody [EPR22468-6] (ab252928) at 1/2000 dilution

Lane 1:

HCT116 (human colorectal carcinoma epithelial cell), whole cell lysate at 20 µg

Lane 2:

Wild-type HAP1 whole cell lysate at 20 µg

Lane 3:

PTP1B knockout HAP1 whole cell lysate at 20 µg

Lane 4:

HeLa (human cervix adenocarcinoma epithelial cell), whole cell lysate at 20 µg

Lane 5:

HepG2 (human hepatocellular carcinoma epithelial cell), whole cell lysate at 20 µg

Lane 6:

TF-1 (human Erythroleukemia erythroblast), whole cell lysate at 20 µg

Lane 7:

A549 (human lung carcinoma epithelial cell), whole cell lysate at 20 µg

Secondary

All lanes:

Western blot - Goat Anti-Rabbit IgG H&L (HRP) (<a href='/en-us/products/secondary-antibodies/goat-rabbit-igg-h-l-hrp-ab97051'>ab97051</a>) at 1/100000 dilution

Predicted band size: 50 kDa

Observed band size: 36 kDa,46 kDa,48 kDa,50 kDa

false

  • Carrier free

    Anti-PTP1B antibody [EPR22468-6] - BSA and Azide free

  • 578 PE

    PE Anti-PTP1B antibody [EPR22468-6]

  • 660 APC

    APC Anti-PTP1B antibody [EPR22468-6]

  • 565 Alexa Fluor® 555

    Alexa Fluor® 555 Anti-PTP1B antibody [EPR22468-6]

  • 519 Alexa Fluor® 488

    Alexa Fluor® 488 Anti-PTP1B antibody [EPR22468-6]

  • 665 Alexa Fluor® 647

    Alexa Fluor® 647 Anti-PTP1B antibody [EPR22468-6]

  • 617 Alexa Fluor® 594

    Alexa Fluor® 594 Anti-PTP1B antibody [EPR22468-6]

  • 775 Alexa Fluor® 750

    Alexa Fluor® 750 Anti-PTP1B antibody [EPR22468-6]

Key facts

Host species

Rabbit

Clonality

Monoclonal

Clone number

EPR22468-6

Isotype

IgG

Carrier free

No

Reacts with

Mouse, Rat, Human

Applications

IHC-P, WB, IP

applications

Immunogen

The exact immunogen used to generate this antibody is proprietary information.

Reactivity data

{ "title": "Reactivity Data", "filters": { "stats": ["", "Species", "Dilution Info", "Notes"], "tabs": { "all-applications": {"fullname" : "All Applications", "shortname": "All Applications"}, "IP" : {"fullname" : "Immunoprecipitation", "shortname":"IP"}, "FlowCyt" : {"fullname" : "Flow Cytometry", "shortname":"Flow Cyt"}, "WB" : {"fullname" : "Western blot", "shortname":"WB"}, "ICCIF" : {"fullname" : "Immunocytochemistry/ Immunofluorescence", "shortname":"ICC/IF"}, "IHCP" : {"fullname" : "Immunohistochemistry (Formalin/PFA-fixed paraffin-embedded sections)", "shortname":"IHC-P"} }, "product-promise": { "all": "all", "testedAndGuaranteed": "tested", "guaranteed": "expected", "predicted": "predicted", "notRecommended": "not-recommended" } }, "values": { "Human": { "IP-species-checked": "testedAndGuaranteed", "IP-species-dilution-info": "1/30", "IP-species-notes": "<p></p>", "FlowCyt-species-checked": "notRecommended", "FlowCyt-species-dilution-info": "", "FlowCyt-species-notes": "<p></p>", "WB-species-checked": "testedAndGuaranteed", "WB-species-dilution-info": "1/1000", "WB-species-notes": "<p></p>", "ICCIF-species-checked": "notRecommended", "ICCIF-species-dilution-info": "", "ICCIF-species-notes": "<p></p>", "IHCP-species-checked": "testedAndGuaranteed", "IHCP-species-dilution-info": "1/1000", "IHCP-species-notes": "<p></p>" }, "Mouse": { "IP-species-checked": "guaranteed", "IP-species-dilution-info": "", "IP-species-notes": "", "FlowCyt-species-checked": "notRecommended", "FlowCyt-species-dilution-info": "", "FlowCyt-species-notes": "<p></p>", "WB-species-checked": "testedAndGuaranteed", "WB-species-dilution-info": "1/1000", "WB-species-notes": "<p></p>", "ICCIF-species-checked": "notRecommended", "ICCIF-species-dilution-info": "", "ICCIF-species-notes": "<p></p>", "IHCP-species-checked": "testedAndGuaranteed", "IHCP-species-dilution-info": "1/1000", "IHCP-species-notes": "<p></p>" }, "Rat": { "IP-species-checked": "guaranteed", "IP-species-dilution-info": "", "IP-species-notes": "", "FlowCyt-species-checked": "notRecommended", "FlowCyt-species-dilution-info": "", "FlowCyt-species-notes": "<p></p>", "WB-species-checked": "testedAndGuaranteed", "WB-species-dilution-info": "1/1000", "WB-species-notes": "<p></p>", "ICCIF-species-checked": "notRecommended", "ICCIF-species-dilution-info": "", "ICCIF-species-notes": "<p></p>", "IHCP-species-checked": "testedAndGuaranteed", "IHCP-species-dilution-info": "1/1000", "IHCP-species-notes": "<p></p>" } } }

You may be interested in:

AB139465

PTP1B Inhibitor Screening Assay Kit

0

0 Reviews

View product

We recommend this product because it’s often used in the same experiment or related research.

We advise that you always check the datasheet to ensure it fits your experiments, or contact ourtechnical teamfor help.

Product details

Patented technology
Our RabMAb® technology is a patented hybridoma-based technology for making rabbit monoclonal antibodies. For details on our patents, please refer to RabMAb® patents.

What are the advantages of a recombinant monoclonal antibody?
This product is a recombinant monoclonal antibody, which offers several advantages including:

  • - High batch-to-batch consistency and reproducibility
  • - Improved sensitivity and specificity
  • - Long-term security of supply
  • - Animal-free batch production

For more information, read more on recombinant antibodies.

Properties and storage information

Form
Liquid
Purification technique
Affinity purification Protein A
Storage buffer
pH: 7.2 - 7.4 Preservative: 0.01% Sodium azide Constituents: PBS, 40% Glycerol (glycerin, glycerine), 0.05% BSA
Shipped at conditions
Blue Ice
Appropriate short-term storage duration
1-2 weeks
Appropriate short-term storage conditions
+4°C
Appropriate long-term storage conditions
-20°C
Aliquoting information
Upon delivery aliquot
Storage information
Avoid freeze / thaw cycle

Supplementary information

This supplementary information is collated from multiple sources and compiled automatically.

Protein tyrosine phosphatase 1B (PTP1B) is an enzyme involved in the dephosphorylation of tyrosine residues in proteins. Known also as PTPN1 this protein has a molecular weight of approximately 50 kDa. PTP1B is widely expressed in tissues but is highly present in the liver muscle and adipose tissue. It plays a critical role in regulating signal transduction pathways by removing phosphate groups from phosphotyrosine residues on target proteins. This action generally serves as a 'turn-off' switch for various signaling pathways.
Biological function summary

PTP1B plays important roles in glucose and lipid metabolism. It is not generally considered a part of a complex functioning instead as a singular enzyme. Its main action involves the negative regulation of the insulin signaling pathway by dephosphorylating the insulin receptor as well as its associated substrates. This regulation helps maintain normal levels of insulin sensitivity influencing cellular glucose uptake and metabolism.

Pathways

PTP1B has important functions in the insulin and leptin signaling pathways. It has a regulatory influence in these pathways affecting key metabolic processes. In the insulin signaling pathway PTP1B closely interacts with the insulin receptor as well as with insulin receptor substrates (IRS). Its dephosphorylating activity can lead to decreased insulin sensitivity. In the leptin pathway PTP1B modulates leptin signaling by dephosphorylating the Janus kinase 2 (JAK2) another protein involved in the control of energy balance and metabolism.

Excessive activity of PTP1B links with disorders such as type 2 diabetes and obesity. Overactivity of PTP1B can lead to insulin resistance contributing to the pathogenesis of type 2 diabetes. In obesity PTP1B may interfere with the normal activity of leptin a hormone critical for regulating energy balance. Its interaction with the insulin receptor and JAK2 makes PTP1B a target for therapeutic interventions aimed at improving insulin sensitivity and energy homeostasis.

Product protocols

For this product, it's our understanding that no specific protocols are required. You can visit:

Target data

Tyrosine-protein phosphatase which acts as a regulator of endoplasmic reticulum unfolded protein response. Mediates dephosphorylation of EIF2AK3/PERK; inactivating the protein kinase activity of EIF2AK3/PERK. May play an important role in CKII- and p60c-src-induced signal transduction cascades. May regulate the EFNA5-EPHA3 signaling pathway which modulates cell reorganization and cell-cell repulsion. May also regulate the hepatocyte growth factor receptor signaling pathway through dephosphorylation of MET.
See full target information PTPN1

Publications (5)

Recent publications for all applications. Explore the full list and refine your search

Frontiers in immunology 14:1232047 PubMed37936713

2023

PTPN1 is a prognostic biomarker related to cancer immunity and drug sensitivity: from pan-cancer analysis to validation in breast cancer.

Applications

Unspecified application

Species

Unspecified reactive species

Ruijun Zhao,Shuanglong Chen,Weiheng Cui,Chaoyu Xie,Aiping Zhang,Li Yang,Hongmei Dong

Frontiers in physiology 14:1198390 PubMed37389126

2023

Physical inactivity induces insulin resistance in plantaris muscle through protein tyrosine phosphatase 1B activation in mice.

Applications

Unspecified application

Species

Unspecified reactive species

Saori Kakehi,Yoshifumi Tamura,Shin-Ichi Ikeda,Naoko Kaga,Hikari Taka,Yuya Nishida,Ryuzo Kawamori,Hirotaka Watada

Journal of cell science 136: PubMed36744428

2023

LRRK1 functions as a scaffold for PTP1B-mediated EGFR sorting into ILVs at the ER-endosome contact site.

Applications

Unspecified application

Species

Unspecified reactive species

Hiroshi Hanafusa,Keitaro Fujita,Misa Kamio,Shiori Iida,Yasushi Tamura,Naoki Hisamoto,Kunihiro Matsumoto

Molecular medicine reports 25: PubMed35169857

2022

Ophiopogonin‑B targets PTP1B to inhibit the malignant progression of hepatocellular carcinoma by regulating the PI3K/AKT and AMPK signaling pathways.

Applications

Unspecified application

Species

Unspecified reactive species

Fang Yuan,Qian Gao,Hailin Tang,Jun Shi,Yiqun Zhou

Chinese medicine 16:93 PubMed34579756

2021

Mechanism exploration of Gouqi-wentang formula against type 2 diabetes mellitus by phytochemistry and network pharmacology-based analysis and biological validation.

Applications

Unspecified application

Species

Unspecified reactive species

Lin Han,Hao-Yu Yang,Yu-Jiao Zheng,Xiu-Xiu Wei,Wen-Chao Dan,Li-Li Zhang,Qi-You Ding,Xu Ma,Xin-Miao Wang,Lin-Hua Zhao,Xiao-Lin Tong
View all publications

Product promise

We are committed to supporting your work with high-quality reagents, and we're here for you every step of the way. In the unlikely event that one of our products does not perform as expected, you're protected by our Product Promise.
For full details, please see our Terms & Conditions

Please note: All products are 'FOR RESEARCH USE ONLY. NOT FOR USE IN DIAGNOSTIC OR THERAPEUTIC PROCEDURES'.

For licensing inquiries, please contact partnerships@abcam.com