JavaScript is disabled in your browser. Please enable JavaScript to view this website.
AB254269

Anti-PTP1B antibody [EPR22468-6] - BSA and Azide free

Be the first to review this product! Submit a review

|

(0 Publication)

Rabbit Recombinant Monoclonal PTP1B antibody. Carrier free. Suitable for IP, WB, IHC-P and reacts with Human, Mouse, Rat samples.

View Alternative Names

PTP1B, PTPN1, Tyrosine-protein phosphatase non-receptor type 1, Protein-tyrosine phosphatase 1B, PTP-1B

7 Images
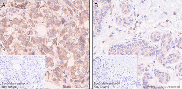
Immunohistochemistry (Formalin/PFA-fixed paraffin-embedded sections) - Anti-PTP1B antibody [EPR22468-6] - BSA and Azide free (AB254269)
  • IHC-P

Unknown

Immunohistochemistry (Formalin/PFA-fixed paraffin-embedded sections) - Anti-PTP1B antibody [EPR22468-6] - BSA and Azide free (AB254269)

Immunohistochemical analysis of paraffin-embedded human gastric cancer (panel A) and its adjacent non-cancerous tissue (panel B) labeling PTP1B with ab252928 at 1/1000 dilution, followed by a ready to use Goat Anti-Rabbit IgG H&L (HRP). Higher cytoplasmic staining in human gastric cancer tissue (panel A) while weakly staining in its adjacent non-cancerous tissue (panel B) (PMID : 21442314) is observed. Counterstained with hematoxylin.
Secondary antibody only control : Used PBS instead of primary antibody, secondary antibody is a ready to use Goat Anti-Rabbit IgG H&L (HRP).
Perform heat mediated antigen retrieval using ab93684 (Tris/EDTA buffer, pH 9.0).This data was developed using the same antibody clone in a different buffer formulation containing PBS, BSA, glycerol, and sodium azide (ab252928).

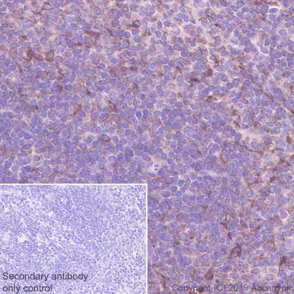
Immunohistochemistry (Formalin/PFA-fixed paraffin-embedded sections) - Anti-PTP1B antibody [EPR22468-6] - BSA and Azide free (AB254269)
  • IHC-P

Unknown

Immunohistochemistry (Formalin/PFA-fixed paraffin-embedded sections) - Anti-PTP1B antibody [EPR22468-6] - BSA and Azide free (AB254269)

Immunohistochemical analysis of paraffin-embedded mouse spleen tissue labeling PTP1B with ab252928 at 1/1000 dilution, followed by a ready to use Goat Anti-Rabbit IgG H&L (HRP). Cytoplasmic staining in mouse spleen (PMID : 18716132) is observed. Counterstained with hematoxylin.
Secondary antibody only control : Used PBS instead of primary antibody, secondary antibody is a ready to use Goat Anti-Rabbit IgG H&L (HRP).
Perform heat mediated antigen retrieval using ab93684 (Tris/EDTA buffer, pH 9.0).This data was developed using the same antibody clone in a different buffer formulation containing PBS, BSA, glycerol, and sodium azide (ab252928).

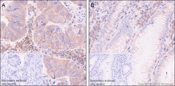
Immunohistochemistry (Formalin/PFA-fixed paraffin-embedded sections) - Anti-PTP1B antibody [EPR22468-6] - BSA and Azide free (AB254269)
  • IHC-P

Unknown

Immunohistochemistry (Formalin/PFA-fixed paraffin-embedded sections) - Anti-PTP1B antibody [EPR22468-6] - BSA and Azide free (AB254269)

Immunohistochemical analysis of paraffin-embedded human breast cancer (panel A) and its adjacent non-cancerous tissue (panel B) labeling PTP1B with ab252928 at 1/1000 dilution, followed by a ready to use Goat Anti-Rabbit IgG H&L (HRP). Higher cytoplasmic staining in human breast cancer tissue (panel A) while weakly staining in its adjacent non-cancerous tissue (panel B) (PMID : 27465552) is observed. Counterstained with hematoxylin.
Secondary antibody only control : Used PBS instead of primary antibody, secondary antibody is a ready to use Goat Anti-Rabbit IgG H&L (HRP).
Perform heat mediated antigen retrieval using ab93684 (Tris/EDTA buffer, pH 9.0).This data was developed using the same antibody clone in a different buffer formulation containing PBS, BSA, glycerol, and sodium azide (ab252928).

Immunohistochemistry (Formalin/PFA-fixed paraffin-embedded sections) - Anti-PTP1B antibody [EPR22468-6] - BSA and Azide free (AB254269)
  • IHC-P

Unknown

Immunohistochemistry (Formalin/PFA-fixed paraffin-embedded sections) - Anti-PTP1B antibody [EPR22468-6] - BSA and Azide free (AB254269)

Immunohistochemical analysis of paraffin-embedded rat spleen tissue labeling PTP1B with ab252928 at 1/1000 dilution, followed by a ready to use Goat Anti-Rabbit IgG H&L (HRP). Cytoplasmic staining in rat spleen (PMID : 18716132) is observed. Counterstained with hematoxylin.
Secondary antibody only control : Used PBS instead of primary antibody, secondary antibody is a ready to use Goat Anti-Rabbit IgG H&L (HRP).
Perform heat mediated antigen retrieval using ab93684 (Tris/EDTA buffer, pH 9.0).This data was developed using the same antibody clone in a different buffer formulation containing PBS, BSA, glycerol, and sodium azide (ab252928).

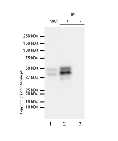
Immunoprecipitation - Anti-PTP1B antibody [EPR22468-6] - BSA and Azide free (AB254269)
  • IP

Unknown

Immunoprecipitation - Anti-PTP1B antibody [EPR22468-6] - BSA and Azide free (AB254269)

PTP1B was immunoprecipitated from 0.35 mg HCT116 (human colorectal carcinoma epithelial cell) whole cell lysate with ab252928 at 1/30 dilution. Western blot was performed from the immunoprecipitate using ab252928 at 1/1000 dilution. VeriBlot for IP Detection Reagent (HRP) (ab131366), was used at 1/5000 dilution.

Lane 1 : HCT116 whole cell lysate 10 μg (Input).
Lane 2 : ab252928 IP in HCT116 whole cell lysate.
Lane 3 : Rabbit monoclonal IgG (ab172730) instead of ab252928 in HCT116 whole cell lysate.

Blocking/Dilution buffer : 5% NFDM/TBST.
Exposure time : 3 seconds.

The observed MW is consistent with what described in the literature. (PMID : 18253097; PMID : 11895943; PMID : 19797268).

This data was developed using the same antibody clone in a different buffer formulation containing PBS, BSA, glycerol, and sodium azide (ab252928).

All lanes:

Immunoprecipitation - Anti-PTP1B antibody [EPR22468-6] (<a href='/en-us/products/primary-antibodies/ptp1b-antibody-epr22468-6-ab252928'>ab252928</a>)

Predicted band size: 50 kDa

Observed band size: 36 kDa,46 kDa,50 kDa

false

Western blot - Anti-PTP1B antibody [EPR22468-6] - BSA and Azide free (AB254269)
  • WB

Lab

Western blot - Anti-PTP1B antibody [EPR22468-6] - BSA and Azide free (AB254269)

This data was developed using the same antibody clone in a different buffer formulation (ab252928).

Lanes 1- 2 : Merged signal (red and green). Green - ab252928 observed at 50 kDa. Red - Anti-GAPDH antibody [6C5] - Loading Control (ab8245) observed at 37 kDa.

ab252928 was shown to react with PTP1B in wild-type HeLa cells in western blot. The band observed in CRISPR/Cas9 edited cell line ab265014 (CRISPR/Cas9 edited cell lysate ab257617) lane below 50kDa may represent truncated forms and cleaved fragments. This has not been investigated further. Wild-type HeLa and PTPN1 CRISPR/Cas9 edited HeLa cell lysates were subjected to SDS-PAGE. Membrane was blocked for 1 hour at room temperature in 0.1% TBST with 3% non-fat dried milk. ab252928 and Anti-GAPDH antibody [6C5] - Loading Control (ab8245) were incubated overnight at 4°C at a 1 in 1000 dilution and a 1 in 20000 dilution respectively. Blots were developed with Goat anti-Rabbit IgG H&L (IRDye®800CW) preadsorbed (ab216773) and Goat anti-Mouse IgG H&L (IRDye®680RD) preadsorbed (ab216776) secondary antibodies at 1 in 20000 dilution for 1 hour at room temperature before imaging.

All lanes:

Western blot - Anti-PTP1B antibody [EPR22468-6] (<a href='/en-us/products/primary-antibodies/ptp1b-antibody-epr22468-6-ab252928'>ab252928</a>) at 1/1000 dilution

Lane 1:

Wild-type HeLa cell lysate at 20 µg

Lane 2:

PTPN1 CRISPR/Cas9 edited HeLa cell lysate at 20 µg

Lane 2:

Western blot - Human PTPN1 (PTP1B) knockout HeLa cell line (<a href='/en-us/products/cell-lines/human-ptpn1-ptp1b-knockout-hela-cell-line-ab265014'>ab265014</a>)

Predicted band size: 50 kDa

Observed band size: 50 kDa

false

Western blot - Anti-PTP1B antibody [EPR22468-6] - BSA and Azide free (AB254269)
  • WB

Unknown

Western blot - Anti-PTP1B antibody [EPR22468-6] - BSA and Azide free (AB254269)

ab252928 was shown to specifically react with PTP1B in wild-type HAP1 cells as signal was lost in PTP1B knockout cells. Wild-type and PTP1B knockout samples were subjected to SDS-PAGE. ab252928 and ab181602 (Rabbit anti-GAPDH loading control) were incubated 1 hour at room temperature at 1/2000 dilution and 1/200,000 dilution respectively. Blots were developed with Goat Anti-Rabbit IgG, (H+L), Peroxidase conjugated (ab97051) secondary antibody at 1/100,000 dilution for 1 hour at room temperature before imaging.

The blot was developed on a BIO-RAD® ChemiDoc™ MP instrument using the ECL technique.

The expression profile observed is consistent with what has been described in the literature (PMID : 18253097; PMID : 11895943; PMID : 19797268). The bands below 50kDa may represent truncated forms and cleaved fragments.

Blocking/Dilution buffer : 5% NFDM/TBST.

Exposure times : Lanes 1-3 : 3 mins; Lanes 4-6 : 15 secs; Lane 7 : 3 mins.

This data was developed using the same antibody clone in a different buffer formulation containing PBS, BSA, glycerol, and sodium azide (ab252928).

All lanes:

Western blot - Anti-PTP1B antibody [EPR22468-6] (<a href='/en-us/products/primary-antibodies/ptp1b-antibody-epr22468-6-ab252928'>ab252928</a>) at 1/2000 dilution

Lane 1:

HCT116 (human colorectal carcinoma epithelial cell), whole cell lysate at 20 µg

Lane 2:

Wild-type HAP1 whole cell lysate at 20 µg

Lane 3:

PTP1B knockout HAP1 whole cell lysate at 20 µg

Lane 4:

HeLa (human cervix adenocarcinoma epithelial cell), whole cell lysate at 20 µg

Lane 5:

HepG2 (human hepatocellular carcinoma epithelial cell), whole cell lysate at 20 µg

Lane 6:

TF-1 (human Erythroleukemia erythroblast), whole cell lysate at 20 µg

Lane 7:

A549 (human lung carcinoma epithelial cell), whole cell lysate at 20 µg

Secondary

All lanes:

Western blot - Goat Anti-Rabbit IgG H&L (HRP) (<a href='/en-us/products/secondary-antibodies/goat-rabbit-igg-h-l-hrp-ab97051'>ab97051</a>) at 1/100000 dilution

Predicted band size: 50 kDa

Observed band size: 36 kDa,46 kDa,48 kDa,50 kDa

false

Key facts

Host species

Rabbit

Clonality

Monoclonal

Clone number

EPR22468-6

Isotype

IgG

Carrier free

Yes

Reacts with

Mouse, Rat, Human

Applications

IP, WB, IHC-P

applications

Immunogen

The exact immunogen used to generate this antibody is proprietary information.

Reactivity data

{ "title": "Reactivity Data", "filters": { "stats": ["", "Species", "Dilution Info", "Notes"], "tabs": { "all-applications": {"fullname" : "All Applications", "shortname": "All Applications"}, "IP" : {"fullname" : "Immunoprecipitation", "shortname":"IP"}, "FlowCyt" : {"fullname" : "Flow Cytometry", "shortname":"Flow Cyt"}, "WB" : {"fullname" : "Western blot", "shortname":"WB"}, "ICCIF" : {"fullname" : "Immunocytochemistry/ Immunofluorescence", "shortname":"ICC/IF"}, "IHCP" : {"fullname" : "Immunohistochemistry (Formalin/PFA-fixed paraffin-embedded sections)", "shortname":"IHC-P"} }, "product-promise": { "all": "all", "testedAndGuaranteed": "tested", "guaranteed": "expected", "predicted": "predicted", "notRecommended": "not-recommended" } }, "values": { "Human": { "IP-species-checked": "testedAndGuaranteed", "IP-species-dilution-info": "", "IP-species-notes": "<p></p>", "FlowCyt-species-checked": "notRecommended", "FlowCyt-species-dilution-info": "", "FlowCyt-species-notes": "<p></p>", "WB-species-checked": "testedAndGuaranteed", "WB-species-dilution-info": "", "WB-species-notes": "<p></p>", "ICCIF-species-checked": "notRecommended", "ICCIF-species-dilution-info": "", "ICCIF-species-notes": "<p></p>", "IHCP-species-checked": "testedAndGuaranteed", "IHCP-species-dilution-info": "", "IHCP-species-notes": "<p></p>" }, "Mouse": { "IP-species-checked": "guaranteed", "IP-species-dilution-info": "", "IP-species-notes": "", "FlowCyt-species-checked": "notRecommended", "FlowCyt-species-dilution-info": "", "FlowCyt-species-notes": "<p></p>", "WB-species-checked": "testedAndGuaranteed", "WB-species-dilution-info": "", "WB-species-notes": "<p></p>", "ICCIF-species-checked": "notRecommended", "ICCIF-species-dilution-info": "", "ICCIF-species-notes": "<p></p>", "IHCP-species-checked": "testedAndGuaranteed", "IHCP-species-dilution-info": "", "IHCP-species-notes": "<p></p>" }, "Rat": { "IP-species-checked": "guaranteed", "IP-species-dilution-info": "", "IP-species-notes": "", "FlowCyt-species-checked": "notRecommended", "FlowCyt-species-dilution-info": "", "FlowCyt-species-notes": "<p></p>", "WB-species-checked": "testedAndGuaranteed", "WB-species-dilution-info": "", "WB-species-notes": "<p></p>", "ICCIF-species-checked": "notRecommended", "ICCIF-species-dilution-info": "", "ICCIF-species-notes": "<p></p>", "IHCP-species-checked": "testedAndGuaranteed", "IHCP-species-dilution-info": "", "IHCP-species-notes": "<p></p>" } } }

You may be interested in:

AB139465

PTP1B Inhibitor Screening Assay Kit

0

0 Reviews

View product

We recommend this product because it’s often used in the same experiment or related research.

We advise that you always check the datasheet to ensure it fits your experiments, or contact ourtechnical teamfor help.

Product details

ab254269 is the carrier-free version of ab252928.

Patented technology
Our RabMAb® technology is a patented hybridoma-based technology for making rabbit monoclonal antibodies. For details on our patents, please refer to RabMAb® patents.

What are the advantages of a recombinant monoclonal antibody?
This product is a recombinant monoclonal antibody, which offers several advantages including:

  • - High batch-to-batch consistency and reproducibility
  • - Improved sensitivity and specificity
  • - Long-term security of supply
  • - Animal-free batch production

For more information, read more on recombinant antibodies.

Conjugation ready
Our carrier-free antibodies are typically supplied in a PBS-only formulation, purified and free of BSA, sodium azide and glycerol. This conjugation-ready format is designed for use with fluorochromes, metal isotopes, oligonucleotides, and enzymes, which makes them ideal for antibody labelling, functional and cell-based assays, flow-based assays (e.g. mass cytometry) and Multiplex Imaging applications.

Use our conjugation kits for antibody conjugates that are ready-to-use in as little as 20 minutes with 1 minute hands-on-time and 100% antibody recovery: available for fluorescent dyes, HRP, biotin and gold.

Compatibility
This product is compatible with the Maxpar® Antibody Labeling Kit from Fluidigm, without the need for antibody preparation. Maxpar® is a trademark of Fluidigm Canada Inc.

Properties and storage information

Form
Liquid
Purification technique
Affinity purification Protein A
Storage buffer
pH: 7.2 - 7.4 Constituents: PBS
Shipped at conditions
Blue Ice
Appropriate short-term storage conditions
+4°C
Appropriate long-term storage conditions
+4°C
Storage information
Do Not Freeze

Supplementary information

This supplementary information is collated from multiple sources and compiled automatically.

Protein tyrosine phosphatase 1B (PTP1B) is an enzyme involved in the dephosphorylation of tyrosine residues in proteins. Known also as PTPN1 this protein has a molecular weight of approximately 50 kDa. PTP1B is widely expressed in tissues but is highly present in the liver muscle and adipose tissue. It plays a critical role in regulating signal transduction pathways by removing phosphate groups from phosphotyrosine residues on target proteins. This action generally serves as a 'turn-off' switch for various signaling pathways.
Biological function summary

PTP1B plays important roles in glucose and lipid metabolism. It is not generally considered a part of a complex functioning instead as a singular enzyme. Its main action involves the negative regulation of the insulin signaling pathway by dephosphorylating the insulin receptor as well as its associated substrates. This regulation helps maintain normal levels of insulin sensitivity influencing cellular glucose uptake and metabolism.

Pathways

PTP1B has important functions in the insulin and leptin signaling pathways. It has a regulatory influence in these pathways affecting key metabolic processes. In the insulin signaling pathway PTP1B closely interacts with the insulin receptor as well as with insulin receptor substrates (IRS). Its dephosphorylating activity can lead to decreased insulin sensitivity. In the leptin pathway PTP1B modulates leptin signaling by dephosphorylating the Janus kinase 2 (JAK2) another protein involved in the control of energy balance and metabolism.

Excessive activity of PTP1B links with disorders such as type 2 diabetes and obesity. Overactivity of PTP1B can lead to insulin resistance contributing to the pathogenesis of type 2 diabetes. In obesity PTP1B may interfere with the normal activity of leptin a hormone critical for regulating energy balance. Its interaction with the insulin receptor and JAK2 makes PTP1B a target for therapeutic interventions aimed at improving insulin sensitivity and energy homeostasis.

Product protocols

For this product, it's our understanding that no specific protocols are required. You can visit:

Target data

Tyrosine-protein phosphatase which acts as a regulator of endoplasmic reticulum unfolded protein response. Mediates dephosphorylation of EIF2AK3/PERK; inactivating the protein kinase activity of EIF2AK3/PERK. May play an important role in CKII- and p60c-src-induced signal transduction cascades. May regulate the EFNA5-EPHA3 signaling pathway which modulates cell reorganization and cell-cell repulsion. May also regulate the hepatocyte growth factor receptor signaling pathway through dephosphorylation of MET.
See full target information PTPN1

Product promise

We are committed to supporting your work with high-quality reagents, and we're here for you every step of the way. In the unlikely event that one of our products does not perform as expected, you're protected by our Product Promise.
For full details, please see our Terms & Conditions

Please note: All products are 'FOR RESEARCH USE ONLY. NOT FOR USE IN DIAGNOSTIC OR THERAPEUTIC PROCEDURES'.

For licensing inquiries, please contact partnerships@abcam.com