JavaScript is disabled in your browser. Please enable JavaScript to view this website.
AB244207

Anti-PTP1B antibody [EPR22474]

  • RabMAb
  • Recombinant
  • KO Validated
  • 20ul selling size
  • What is this?

Be the first to review this product! Submit a review

|

(18 Publications)

Anti-PTP1B antibody [EPR22474] (ab244207) is a rabbit monoclonal antibody detecting PTP1B in Western Blot, Flow Cytometry (Intra), Flow Cytometry, IP, IHC-P, ICC/IF. Suitable for Human, Mouse, Rat.

- KO validated for confirmed specificity
- Biophysical QC for unrivalled batch-batch consistency
- Over 10 publications

View Alternative Names

PTP1B, PTPN1, Tyrosine-protein phosphatase non-receptor type 1, Protein-tyrosine phosphatase 1B, PTP-1B

14 Images
Immunohistochemistry (Formalin/PFA-fixed paraffin-embedded sections) - Anti-PTP1B antibody [EPR22474] (AB244207)
  • IHC-P

Unknown

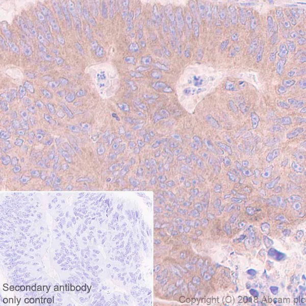
Immunohistochemistry (Formalin/PFA-fixed paraffin-embedded sections) - Anti-PTP1B antibody [EPR22474] (AB244207)

Immunohistochemical analysis of paraffin-embedded human breast cancer tissue labeling PTP1B with ab244207 at 1/1000 dilution, followed by a ready to use Goat Anti-Rabbit IgG H&L (HRP). Higher cytoplasmic expression in human breast cancer than that of adjacent normal tissues (PMID : 27465552) is observed. Counterstained with hematoxylin.
Secondary antibody only control : Used PBS instead of primary antibody, secondary antibody is a ready to use Goat Anti-Rabbit IgG H&L (HRP).
Perform heat mediated antigen retrieval using ab93684 (Tris/EDTA buffer, pH 9.0).

Immunocytochemistry/ Immunofluorescence - Anti-PTP1B antibody [EPR22474] (AB244207)
  • ICC/IF

Unknown

Immunocytochemistry/ Immunofluorescence - Anti-PTP1B antibody [EPR22474] (AB244207)

Immunofluorescent analysis of 4% paraformaldehyde-fixed, 0.1% Triton X-100 permeabilized HCT 116 (human colorectal carcinoma epithelial cell) cells labeling PTP1B with ab244207 at 1/50 dilution, followed by a Goat Anti-Rabbit IgG H&L (Alexa Fluor® 488) (ab150077) secondary antibody at 1/1000 dilution (green). Confocal image showing cytoplasmic staining in HCT 116 cells. The nuclear counterstain is DAPI (blue).
Counterstained with ab195889 Anti-alpha Tubulin antibody [DM1A] - Microtubule Marker (Alexa Fluor® 594) at a 1/200 dilution (red).
The negative control is the secondary antibody only.

Immunocytochemistry/ Immunofluorescence - Anti-PTP1B antibody [EPR22474] (AB244207)
  • ICC/IF

Unknown

Immunocytochemistry/ Immunofluorescence - Anti-PTP1B antibody [EPR22474] (AB244207)

Immunofluorescent analysis of 4% paraformaldehyde-fixed, 0.1% Triton X-100 permeabilized HeLa (human cervix adenocarcinoma epithelial cell) cells labeling PTP1B with ab244207 at 1/50 dilution, followed by Goat Anti-Rabbit IgG H&L (Alexa Fluor® 488) (ab150077) secondary antibody at 1/1000 dilution (green). Confocal image showing cytoplasmic staining in HeLa cells is observed. The nuclear counterstain is DAPI (blue).
Counterstained with ab195889 Anti-alpha Tubulin antibody [DM1A] - Microtubule Marker (Alexa Fluor® 594) at a 1/200 dilution (red).
The negative control is the secondary antibody only.

Flow Cytometry (Intracellular) - Anti-PTP1B antibody [EPR22474] (AB244207)
  • Flow Cyt (Intra)

Unknown

Flow Cytometry (Intracellular) - Anti-PTP1B antibody [EPR22474] (AB244207)

Intracellular flow cytometric analysis of 4% paraformaldehyde-fixed, 90% methanol permeabilized HeLa (human cervix adenocarcinoma epithelial cell) cell line labeling PTP1B with ab244207 at 1/500 (red) compared with a Rabbit monoclonal IgG (ab172730)isotype control (black) and an unlabeled control (cells without incubation with primary antibody and secondary antibody) (blue). Goat anti rabbit IgG (Alexa Fluor® 488, ab150077), at 1/2000 dilution was used as the secondary antibody.

Immunohistochemistry (Formalin/PFA-fixed paraffin-embedded sections) - Anti-PTP1B antibody [EPR22474] (AB244207)
  • IHC-P

Unknown

Immunohistochemistry (Formalin/PFA-fixed paraffin-embedded sections) - Anti-PTP1B antibody [EPR22474] (AB244207)

Immunohistochemical analysis of paraffin-embedded human colon cancer tissue labeling PTP1B with ab244207 at 1/1000 dilution, followed by a ready to use Goat Anti-Rabbit IgG H&L (HRP) secondary antibody. Cytoplasmic staining in human colon cancer (PMID : 27752061) is observed. Counterstained with hematoxylin.
Secondary antibody only control : Used PBS instead of primary antibody, secondary antibody is a ready to use Goat Anti-Rabbit IgG H&L (HRP).
Perform heat mediated antigen retrieval using ab93684 (Tris/EDTA buffer, pH 9.0).

Immunocytochemistry/ Immunofluorescence - Anti-PTP1B antibody [EPR22474] (AB244207)
  • ICC/IF

Unknown

Immunocytochemistry/ Immunofluorescence - Anti-PTP1B antibody [EPR22474] (AB244207)

Immunofluorescent analysis of 4% paraformaldehyde-fixed, 0.1% Triton X-100 permeabilized Wild type and PTP1B-knockout HAP1 (Human chronic myelogenous leukemia near-haploid cell line) cells labeling PTP1B with ab244207 at 1/50 dilution, followed by Goat Anti-Rabbit IgG H&L (Alexa Fluor® 488) (ab150077) secondary antibody at 1/1000 dilution (green). Confocal image showing no staining in PTP1B-knockout HAP1 cells. The nuclear counterstain is DAPI (blue).
Counterstained with ab195889 Anti-alpha Tubulin antibody [DM1A] - Microtubule Marker (Alexa Fluor® 594) at a 1/200 dilution (red).
The negative control is the secondary antibody only.

Flow Cytometry (Intracellular) - Anti-PTP1B antibody [EPR22474] (AB244207)
  • Flow Cyt (Intra)

Unknown

Flow Cytometry (Intracellular) - Anti-PTP1B antibody [EPR22474] (AB244207)

Intracellular flow cytometric analysis of 4% paraformaldehyde-fixed, 90% methanol permeabilized HCT 116 (human colorectal carcinoma epithelial cell) cell line labeling PTP1B with ab244207 at 1/50 (red) compared with a Rabbit monoclonal IgG (ab172730) isotype control (black) and an unlabeled control (cells without incubation with primary antibody and secondary antibody) (blue). Goat anti rabbit IgG (Alexa Fluor® 488, ab150077), at 1/2000 dilution was used as the secondary antibody.

Immunoprecipitation - Anti-PTP1B antibody [EPR22474] (AB244207)
  • IP

Unknown

Immunoprecipitation - Anti-PTP1B antibody [EPR22474] (AB244207)

PTP1B was immunoprecipitated from 0.35 mg HCT 116 (human colorectal carcinoma epithelial cell) whole cell lysate with ab244207 at 1/30 dilution. Western blot was performed from the immunoprecipitate using ab244207 at 1/1000 dilution. VeriBlot for IP Detection Reagent (HRP) (ab131366), was used for detection at 1/5000 dilution.
Lane 1 : HCT 116 whole cell lysate 10 μg (Input).
Lane 2 : ab244207 IP in HCT 116 whole cell lysate.
Lane 3 : Rabbit monoclonal IgG (ab172730) instead of ab244207 in HCT 116 whole cell lysate.
Blocking/Dilution buffer : 5% NFDM/TBST.
Exposure time : 30 seconds.

The observed MW is consistent with what described in the literatures. (PMID : 18253097; PMID : 11895943; PMID : 19797268).

All lanes:

Immunoprecipitation - Anti-PTP1B antibody [EPR22474] (ab244207)

Predicted band size: 50 kDa

false

Western blot - Anti-PTP1B antibody [EPR22474] (AB244207)
  • WB

Unknown

Western blot - Anti-PTP1B antibody [EPR22474] (AB244207)

The expression profile observed is consistent with what has been described in the literature (PMID : 18253097; PMID : 11895943; PMID : 19797268). The bands below 50 kDa may represent truncated forms and cleaved fragments.

Blocking/Dilution buffer : NFDM/TBST.

Exposure time : 37 seconds.

All lanes:

Western blot - Anti-PTP1B antibody [EPR22474] (ab244207) at 1/1000 dilution

Lane 1:

HepG2 (human hepatocellular carcinoma epithelial cell) whole cell lysate at 20 µg

Lane 2:

A549 (human lung carcinoma epithelial cell) whole cell lysate at 20 µg

Lane 3:

MCF7 (human breast adenocarcinoma epithelial cell) whole cell lysate at 20 µg

Lane 4:

SW480 (human colorectal adenocarcinoma epithelial cell) whole cell lysate at 20 µg

Secondary

All lanes:

Western blot - Goat Anti-Rabbit IgG H&L (HRP) (<a href='/en-us/products/secondary-antibodies/goat-rabbit-igg-h-l-hrp-ab97051'>ab97051</a>) at 1/50000 dilution

Predicted band size: 50 kDa

false

Western blot - Anti-PTP1B antibody [EPR22474] (AB244207)
  • WB

Lab

Western blot - Anti-PTP1B antibody [EPR22474] (AB244207)

Lanes 1- 2 : Merged signal (red and green). Green - ab244207 observed at 50 kDa. Red - Anti-GAPDH antibody [6C5] - Loading Control (ab8245) observed at 37 kDa.

ab244207 was shown to react with PTP1B in wild-type HeLa cells in western blot. The band observed in CRISPR/Cas9 edited cell line ab265014 (CRISPR/Cas9 edited cell lysate ab257617) lane below 50kDa may represent truncated forms and cleaved fragments. This has not been investigated further. Wild-type HeLa and PTPN1 CRISPR/Cas9 edited HeLa cell lysates were subjected to SDS-PAGE. Membrane was blocked for 1 hour at room temperature in 0.1% TBST with 3% non-fat dried milk. ab244207 and Anti-GAPDH antibody [6C5] - Loading Control (ab8245) were incubated overnight at 4°C at a 1 in 1000 dilution and a 1 in 20000 dilution respectively. Blots were developed with Goat anti-Rabbit IgG H&L (IRDye®800CW) preadsorbed (ab216773) and Goat anti-Mouse IgG H&L (IRDye®680RD) preadsorbed (ab216776) secondary antibodies at 1 in 20000 dilution for 1 hour at room temperature before imaging.

All lanes:

Western blot - Anti-PTP1B antibody [EPR22474] (ab244207) at 1/1000 dilution

Lane 1:

Wild-type HeLa cell lysate at 20 µg

Lane 2:

PTPN1 CRISPR/Cas9 edited HeLa cell lysate at 20 µg

Lane 2:

Western blot - Human PTPN1 (PTP1B) knockout HeLa cell line (<a href='/en-us/products/cell-lines/human-ptpn1-ptp1b-knockout-hela-cell-line-ab265014'>ab265014</a>)

Predicted band size: 50 kDa

Observed band size: 50 kDa

false

Western blot - Anti-PTP1B antibody [EPR22474] (AB244207)
  • WB

Lab

Western blot - Anti-PTP1B antibody [EPR22474] (AB244207)

Lanes 1 - 4 : Merged signal (red and green). Green - ab244207 observed at 51 kDa. Red - loading control ab8245 (Mouse anti-GAPDH antibody [6C5]) observed at 37 kDa.

ab244207 was shown to react with PTP1B in wild-type HeLa cells in western blot. The band observed in knockout cell line ab265014 (knockout cell lysate ab257617) lane below 50kDa may represent truncated forms and cleaved fragments. This has not been investigated further. Wild-type HeLa and PTPN1 knockout cell lysates were subjected to SDS-PAGE. Membranes were blocked in 5 % milk in TBS-T (0.1 % Tween®) before incubation with ab244207 and ab8245 (Mouse anti-GAPDH antibody [6C5]) overnight at 4 °C at a 1 in 1000 dilution and a 1 in 20000 dilution respectively. Blots were incubated with Goat anti-Rabbit IgG H&L (IRDye® 800CW) preabsorbed (ab216773) and Goat anti-Mouse IgG H&L (IRDye® 680RD) preabsorbed (ab216776) secondary antibodies at 1 in 20000 dilution for 1 h at room temperature before imaging.

All lanes:

Western blot - Anti-PTP1B antibody [EPR22474] (ab244207) at 1/1000 dilution

Lane 1:

Wild-type HeLa cell lysate at 20 µg

Lane 2:

PTPN1 knockout HeLa cell lysate at 20 µg

Lane 2:

Western blot - Human PTPN1 (PTP1B) knockout HeLa cell line (<a href='/en-us/products/cell-lines/human-ptpn1-ptp1b-knockout-hela-cell-line-ab265014'>ab265014</a>)

Lane 3:

Jurkat cell lysate at 20 µg

Lane 4:

MCF7 cell lysate at 20 µg

Predicted band size: 50 kDa

Observed band size: 51 kDa

false

Western blot - Anti-PTP1B antibody [EPR22474] (AB244207)
  • WB

Unknown

Western blot - Anti-PTP1B antibody [EPR22474] (AB244207)

ab244207 was shown to specifically react with PTP1B in wild-type HAP1 cells as signal was lost in PTP1B knockout cells. Wild-type and PTP1B knockout samples were subjected to SDS-PAGE. ab244207 and ab181602 (Rabbit anti-GAPDH loading control) were incubated 1 hour at room temperature at 1/1000 dilution and 1/200,000 dilution respectively. Blots were developed with Goat Anti-Rabbit IgG, (H+L), Peroxidase conjugated (ab97051) secondary antibody at 1/100,000 dilution for 1 hour at room temperature before imaging. The blot was developed on a BIO-RAD® ChemiDoc™ MP instrument using the ECL technique.

The expression profile observed is consistent with what has been described in the literature (PMID : 18253097; PMID : 11895943; PMID : 19797268). The bands below 50 kDa may represent truncated forms and cleaved fragments.

Blocking/Dilution buffer : 5% NFDM/TBST.

Exposure time : 3 minutes.

All lanes:

Western blot - Anti-PTP1B antibody [EPR22474] (ab244207) at 1/1000 dilution

Lane 1:

Wild-type HAP1 whole cell lysate at 20 µg

Lane 2:

PTP1B knockout HAP1 whole cell lysate at 20 µg

Lane 3:

HeLa (human cervix adenocarcinoma epithelial cell) whole cell lysate at 20 µg

Lane 4:

HCT 116 (human colorectal carcinoma epithelial cell) whole cell lysate at 20 µg

Secondary

All lanes:

Western blot - Goat Anti-Rabbit IgG H&L (HRP) (<a href='/en-us/products/secondary-antibodies/goat-rabbit-igg-h-l-hrp-ab97051'>ab97051</a>) at 1/100000 dilution

Predicted band size: 50 kDa

false

Western blot - Anti-PTP1B antibody [EPR22474] (AB244207)
  • WB

Lab

Western blot - Anti-PTP1B antibody [EPR22474] (AB244207)

Lanes 1- 2 : Merged signal (red and green). Green - ab244207 observed at 50 kDa. Red - Anti-GAPDH antibody [6C5] - Loading Control (ab8245) observed at 37 kDa.

ab244207 was shown to react with PTP1B in wild-type HeLa cells in western blot. The band observed in knockout cell line ab265014 (knockout cell lysate ab257617) lane below 50kDa may represent truncated forms and cleaved fragments. This has not been investigated further. Wild-type HeLa and PTPN1 knockout HeLa cell lysates were subjected to SDS-PAGE. Membrane was blocked for 1 hour at room temperature in 0.1% TBST with 3% non-fat dried milk. ab244207 and Anti-GAPDH antibody [6C5] - Loading Control (ab8245) were incubated overnight at 4°C at a 1 in 1000 dilution and a 1 in 20000 dilution respectively. Blots were developed with Goat anti-Rabbit IgG H&L (IRDye®800CW) preadsorbed (ab216773) and Goat anti-Mouse IgG H&L (IRDye®680RD) preadsorbed (ab216776) secondary antibodies at 1 in 20000 dilution for 1 hour at room temperature before imaging.

All lanes:

Western blot - Anti-PTP1B antibody [EPR22474] (ab244207) at 1/1000 dilution

Lane 1:

Wild-type HeLa cell lysate at 20 µg

Lane 2:

PTPN1 knockout HeLa cell lysate at 20 µg

Predicted band size: 50 kDa

Observed band size: 50 kDa

false

Western blot - Anti-PTP1B antibody [EPR22474] (AB244207)
  • WB

Unknown

Western blot - Anti-PTP1B antibody [EPR22474] (AB244207)

The expression profile observed is consistent with what has been described in the literature (PMID : 18253097; PMID : 11895943; PMID : 19797268). The bands below 50 kDa may represent truncated forms and cleaved fragments.

Blocking/Dilution buffer : 5% NFDM/TBST.

Exposure time : 48 seconds.

All lanes:

Western blot - Anti-PTP1B antibody [EPR22474] (ab244207) at 1/1000 dilution

Lane 1:

RAW 264.7 (mouse abelson murine leukemia virus-induced tumor macrophage) whole cell lysate at 10 µg

Lane 2:

PC-12 (rat adrenal gland pheochromocytoma) whole cell lysate at 10 µg

Lane 3:

NIH/3T3 (mouse embryonic fibroblast) whole cell lysate at 10 µg

Secondary

All lanes:

Western blot - Goat Anti-Rabbit IgG H&L (HRP) (<a href='/en-us/products/secondary-antibodies/goat-rabbit-igg-h-l-hrp-ab97051'>ab97051</a>) at 1/20000 dilution

Predicted band size: 50 kDa

false

  • Carrier free

    Anti-PTP1B antibody [EPR22474] - BSA and Azide free

Key facts

Host species

Rabbit

Clonality

Monoclonal

Clone number

EPR22474

Isotype

IgG

Carrier free

No

Reacts with

Mouse, Rat, Human

Applications

ICC/IF, IHC-P, WB, IP, Flow Cyt (Intra)

applications

Immunogen

The exact immunogen used to generate this antibody is proprietary information.

Specificity

IHC is recommended for human only.

Reactivity data

{ "title": "Reactivity Data", "filters": { "stats": ["", "Species", "Dilution Info", "Notes"], "tabs": { "all-applications": {"fullname" : "All Applications", "shortname": "All Applications"}, "IP" : {"fullname" : "Immunoprecipitation", "shortname":"IP"}, "WB" : {"fullname" : "Western blot", "shortname":"WB"}, "ICCIF" : {"fullname" : "Immunocytochemistry/ Immunofluorescence", "shortname":"ICC/IF"}, "FlowCytIntra" : {"fullname" : "Flow Cytometry (Intracellular)", "shortname":"Flow Cyt (Intra)"}, "IHCP" : {"fullname" : "Immunohistochemistry (Formalin/PFA-fixed paraffin-embedded sections)", "shortname":"IHC-P"} }, "product-promise": { "all": "all", "testedAndGuaranteed": "tested", "guaranteed": "expected", "predicted": "predicted", "notRecommended": "not-recommended" } }, "values": { "Human": { "IP-species-checked": "testedAndGuaranteed", "IP-species-dilution-info": "1/30", "IP-species-notes": "<p></p>", "WB-species-checked": "testedAndGuaranteed", "WB-species-dilution-info": "1/1000", "WB-species-notes": "<p></p>", "ICCIF-species-checked": "testedAndGuaranteed", "ICCIF-species-dilution-info": "1/50", "ICCIF-species-notes": "<p></p>", "FlowCytIntra-species-checked": "testedAndGuaranteed", "FlowCytIntra-species-dilution-info": "1/50", "FlowCytIntra-species-notes": "<p></p>", "IHCP-species-checked": "testedAndGuaranteed", "IHCP-species-dilution-info": "1/1000", "IHCP-species-notes": "<p>IHC is recommended for human only.</p> Perform heat-mediated antigen retrieval with Tris/EDTA buffer pH 9.0 before commencing with IHC staining protocol." }, "Mouse": { "IP-species-checked": "guaranteed", "IP-species-dilution-info": "", "IP-species-notes": "", "WB-species-checked": "testedAndGuaranteed", "WB-species-dilution-info": "1/1000", "WB-species-notes": "<p></p>", "ICCIF-species-checked": "guaranteed", "ICCIF-species-dilution-info": "", "ICCIF-species-notes": "", "FlowCytIntra-species-checked": "guaranteed", "FlowCytIntra-species-dilution-info": "", "FlowCytIntra-species-notes": "", "IHCP-species-checked": "guaranteed", "IHCP-species-dilution-info": "", "IHCP-species-notes": "" }, "Rat": { "IP-species-checked": "guaranteed", "IP-species-dilution-info": "", "IP-species-notes": "", "WB-species-checked": "testedAndGuaranteed", "WB-species-dilution-info": "1/1000", "WB-species-notes": "<p></p>", "ICCIF-species-checked": "guaranteed", "ICCIF-species-dilution-info": "", "ICCIF-species-notes": "", "FlowCytIntra-species-checked": "guaranteed", "FlowCytIntra-species-dilution-info": "", "FlowCytIntra-species-notes": "", "IHCP-species-checked": "guaranteed", "IHCP-species-dilution-info": "", "IHCP-species-notes": "" } } }

Product details

What is this antibody validated in?
Anti-PTP1B antibody [EPR22474] (ab244207) is a rabbit recombinant monoclonal antibody and is validated for use in Western Blot (WB), Flow Cytometry (Intra), Flow Cytometry (Flow Cyt), Immunoprecipitation (IP), Immunohistochemistry (IHC-P), Immunocytochemistry/immunofluorescence (ICC/IF) in Human, Mouse, Rat samples.

What is the molecular weight of PTP1B?
Anti-PTP1B [EPR22474] (ab244207) specifically detects a band for PTP1B (UniProt: P18031) at a molecular weight of 50kDa.

Trusted by the scientific community
Anti-PTP1B [EPR22474] (ab244207) was first used in a scientific publication in 2019 and has been cited over 10 times in peer-reviewed journals.

Trial sizes available!
Test your antibody or perform pre-screening before committing to a larger quantity. Sold in 10µl. Discover our selection of trial-size antibodies.

Specificity confirmed
The specificity of Anti-PTP1B antibody [EPR22474] (ab244207) has been confirmed by Immunocytochemistry testing in PTPN1 Knockout HAP1 cell line, ab265014.

Other related products
We have a range of other formats of antibody clone [EPR22474] also available for your convenience: ab244207, Carrier free - ab245984

Patented technology
Our RabMAb® technology is a patented hybridoma-based technology for making rabbit monoclonal antibodies. For details on our patents, please refer to RabMAb® patents.

What are the advantages of a recombinant monoclonal antibody?
This product is a recombinant monoclonal antibody, which offers several advantages including:

  • - High batch-to-batch consistency and reproducibility
  • - Improved sensitivity and specificity
  • - Long-term security of supply
  • - Animal-free batch production

For more information, read more on recombinant antibodies.

Properties and storage information

Form
Liquid
Purification technique
Affinity purification Protein A
Storage buffer
pH: 7.2 - 7.4 Preservative: 0.01% Sodium azide Constituents: PBS, 40% Glycerol (glycerin, glycerine), 0.05% BSA
Shipped at conditions
Blue Ice
Appropriate short-term storage duration
1-2 weeks
Appropriate short-term storage conditions
+4°C
Appropriate long-term storage conditions
-20°C
Aliquoting information
Upon delivery aliquot
Storage information
Avoid freeze / thaw cycle

Supplementary information

This supplementary information is collated from multiple sources and compiled automatically.

Protein tyrosine phosphatase 1B (PTP1B) is an enzyme involved in the dephosphorylation of tyrosine residues in proteins. Known also as PTPN1 this protein has a molecular weight of approximately 50 kDa. PTP1B is widely expressed in tissues but is highly present in the liver muscle and adipose tissue. It plays a critical role in regulating signal transduction pathways by removing phosphate groups from phosphotyrosine residues on target proteins. This action generally serves as a 'turn-off' switch for various signaling pathways.
Biological function summary

PTP1B plays important roles in glucose and lipid metabolism. It is not generally considered a part of a complex functioning instead as a singular enzyme. Its main action involves the negative regulation of the insulin signaling pathway by dephosphorylating the insulin receptor as well as its associated substrates. This regulation helps maintain normal levels of insulin sensitivity influencing cellular glucose uptake and metabolism.

Pathways

PTP1B has important functions in the insulin and leptin signaling pathways. It has a regulatory influence in these pathways affecting key metabolic processes. In the insulin signaling pathway PTP1B closely interacts with the insulin receptor as well as with insulin receptor substrates (IRS). Its dephosphorylating activity can lead to decreased insulin sensitivity. In the leptin pathway PTP1B modulates leptin signaling by dephosphorylating the Janus kinase 2 (JAK2) another protein involved in the control of energy balance and metabolism.

Excessive activity of PTP1B links with disorders such as type 2 diabetes and obesity. Overactivity of PTP1B can lead to insulin resistance contributing to the pathogenesis of type 2 diabetes. In obesity PTP1B may interfere with the normal activity of leptin a hormone critical for regulating energy balance. Its interaction with the insulin receptor and JAK2 makes PTP1B a target for therapeutic interventions aimed at improving insulin sensitivity and energy homeostasis.

Product protocols

For this product, it's our understanding that no specific protocols are required. You can visit:

Target data

Tyrosine-protein phosphatase which acts as a regulator of endoplasmic reticulum unfolded protein response. Mediates dephosphorylation of EIF2AK3/PERK; inactivating the protein kinase activity of EIF2AK3/PERK. May play an important role in CKII- and p60c-src-induced signal transduction cascades. May regulate the EFNA5-EPHA3 signaling pathway which modulates cell reorganization and cell-cell repulsion. May also regulate the hepatocyte growth factor receptor signaling pathway through dephosphorylation of MET.
See full target information PTPN1

Publications (18)

Recent publications for all applications. Explore the full list and refine your search

Nature communications 16:8030 PubMed40877267

2025

Organic-inorganic covalent selenium reversing ischemic reperfusion injury.

Applications

Unspecified application

Species

Unspecified reactive species

Zushuang Xiong,Guanning Huang,Jia-Run Huang,Ying Liu,Lizhen He,Tianfeng Chen

European journal of medical research 29:554 PubMed39558432

2024

MiR-10b-5p attenuates spinal cord injury and alleviates LPS-induced PC12 cells injury by inhibiting TGF-β1 decay and activating TGF-β1/Smad3 pathway through PTBP1.

Applications

Unspecified application

Species

Unspecified reactive species

Huandong Liu,Chong Liang,Hongfei Liu,Ping Liang,Huilin Cheng

Journal of extracellular vesicles 13:e70002 PubMed39497621

2024

A switch from lysosomal degradation to secretory autophagy initiates osteogenic bone metastasis in prostate cancer.

Applications

Unspecified application

Species

Unspecified reactive species

Xiaoyu Wei,Mengmeng Liang,Min Deng,Ji Zheng,Fei Luo,Qinyu Ma

Functional & integrative genomics 24:200 PubMed39453497

2024

PTP1B inhibitor alleviates deleterious septic lung injury through Src signaling.

Applications

Unspecified application

Species

Unspecified reactive species

Chongrong Qiu,Zhijian Sun,Fen Liu,Wei Deng,Xiufang Ouyang,Qingqing Zhang,Wenqiang Tao

Nutrition & diabetes 14:7 PubMed38429305

2024

Anti-diabetic effect of anthocyanin cyanidin-3-O-glucoside: data from insulin resistant hepatocyte and diabetic mouse.

Applications

Unspecified application

Species

Unspecified reactive species

Xiang Ye,Wen Chen,Xu-Fan Huang,Fu-Jie Yan,Shui-Guang Deng,Xiao-Dong Zheng,Peng-Fei Shan

Molecules (Basel, Switzerland) 28: PubMed37836790

2023

Discovery of a SHP2 Degrader with In Vivo Anti-Tumor Activity.

Applications

Unspecified application

Species

Unspecified reactive species

Jinmin Miao,Yunpeng Bai,Yiming Miao,Zihan Qu,Jiajun Dong,Ruo-Yu Zhang,Devesh Aggarwal,Brenson A Jassim,Quyen Nguyen,Zhong-Yin Zhang

Nature communications 14:4524 PubMed37500611

2023

A small molecule inhibitor of PTP1B and PTPN2 enhances T cell anti-tumor immunity.

Applications

Unspecified application

Species

Unspecified reactive species

Shuwei Liang,Eric Tran,Xin Du,Jiajun Dong,Harrison Sudholz,Hao Chen,Zihan Qu,Nicholas D Huntington,Jeffrey J Babon,Nadia J Kershaw,Zhong-Yin Zhang,Jonathan B Baell,Florian Wiede,Tony Tiganis

eLife 11: PubMed35686730

2022

Tyrosine phosphorylation tunes chemical and thermal sensitivity of TRPV2 ion channel.

Applications

Unspecified application

Species

Unspecified reactive species

Xiaoyi Mo,Peiyuan Pang,Yulin Wang,Dexiang Jiang,Mengyu Zhang,Yang Li,Peiyu Wang,Qizhi Geng,Chang Xie,Hai-Ning Du,Bo Zhong,Dongdong Li,Jing Yao

Experimental and therapeutic medicine 24:467 PubMed35747159

2022

PTP1B inhibition ameliorates inflammatory injury and dysfunction in ox-LDL-induced HUVECs by activating the AMPK/SIRT1 signaling pathway via negative regulation of KLF2.

Applications

Unspecified application

Species

Unspecified reactive species

Yunfeng Zhang,Qiang Guan,Zhenfeng Wang

Free radical biology & medicine 181:118-129 PubMed35131446

2022

RedoxiFluor: A microplate technique to quantify target-specific protein thiol redox state in relative percentage and molar terms.

Applications

Unspecified application

Species

Unspecified reactive species

Ahmet Tuncay,Anna Noble,Matthew Guille,James N Cobley
View all publications

Product promise

We are committed to supporting your work with high-quality reagents, and we're here for you every step of the way. In the unlikely event that one of our products does not perform as expected, you're protected by our Product Promise.
For full details, please see our Terms & Conditions

Please note: All products are 'FOR RESEARCH USE ONLY. NOT FOR USE IN DIAGNOSTIC OR THERAPEUTIC PROCEDURES'.

For licensing inquiries, please contact partnerships@abcam.com