JavaScript is disabled in your browser. Please enable JavaScript to view this website.
AB76942

Anti-PTPN12 antibody

Be the first to review this product! Submit a review

|

(4 Publications)

Rabbit Polyclonal PTPN12 antibody. Suitable for IHC-P, IP, WB and reacts with Human, Mouse samples. Cited in 4 publications. Immunogen corresponding to Synthetic Peptide within Human PTPN12.

View Alternative Names

Tyrosine-protein phosphatase non-receptor type 12, PTP-PEST, Protein-tyrosine phosphatase G1, PTPG1, PTPN12

3 Images
Western blot - Anti-PTPN12 antibody (AB76942)
  • WB

Unknown

Western blot - Anti-PTPN12 antibody (AB76942)

All lanes:

Western blot - Anti-PTPN12 antibody (ab76942) at 0.04 µg/mL

Lane 1:

HeLa whole cell lysate at 50 µg

Lane 2:

HeLa whole cell lysate at 15 µg

Lane 3:

HeLa whole cell lysate at 5 µg

Lane 4:

mouse NIH3T3 whole cell lysate at 50 µg

Predicted band size: 88 kDa

Observed band size: 118 kDa,45 kDa

true

Exposure time: 30s

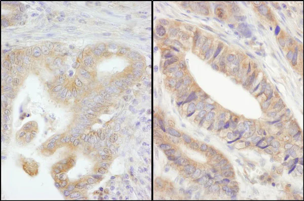
Immunohistochemistry (Formalin/PFA-fixed paraffin-embedded sections) - Anti-PTPN12 antibody (AB76942)
  • IHC-P

Unknown

Immunohistochemistry (Formalin/PFA-fixed paraffin-embedded sections) - Anti-PTPN12 antibody (AB76942)

Immunohistochemistry (Formalin/PFA-fixed paraffin-embedded sections) analysis of human stomach carcinoma (left) and colon carcinoma (right) tissues labelling PTPN12 with ab76942 at 1/200 (1µg/ml). Detection : DAB.

Immunoprecipitation - Anti-PTPN12 antibody (AB76942)
  • IP

Unknown

Immunoprecipitation - Anti-PTPN12 antibody (AB76942)

Lane 1 : ab76942, at 1 µg/mg, staining PTPN12 in HeLa whole cell lysate by Western blot of immunoprecipitate (1 mg of lysate for IP, 20% of IP loaded). Immunoprecipitation was performed by using ab76942 at 3µg/mg of lysate.
Lane 2 : Control IgG.
Detection : Chemiluminescence with an exposure time of 3 seconds.

All lanes:

Immunoprecipitation - Anti-PTPN12 antibody (ab76942)

Predicted band size: 88 kDa

false

Key facts

Host species

Rabbit

Clonality

Polyclonal

Isotype

IgG

Carrier free

No

Reacts with

Mouse, Human

Applications

IP, WB, IHC-P

applications

Immunogen

Synthetic Peptide within Human PTPN12. The exact immunogen used to generate this antibody is proprietary information.

Q05209

Reactivity data

{ "title": "Reactivity Data", "filters": { "stats": ["", "Species", "Dilution Info", "Notes"], "tabs": { "all-applications": {"fullname" : "All Applications", "shortname": "All Applications"}, "IHCP" : {"fullname" : "Immunohistochemistry (Formalin/PFA-fixed paraffin-embedded sections)", "shortname":"IHC-P"}, "IP" : {"fullname" : "Immunoprecipitation", "shortname":"IP"}, "WB" : {"fullname" : "Western blot", "shortname":"WB"} }, "product-promise": { "all": "all", "testedAndGuaranteed": "tested", "guaranteed": "expected", "predicted": "predicted", "notRecommended": "not-recommended" } }, "values": { "Human": { "IHCP-species-checked": "testedAndGuaranteed", "IHCP-species-dilution-info": "1/100 - 1/500", "IHCP-species-notes": "<p></p>", "IP-species-checked": "testedAndGuaranteed", "IP-species-dilution-info": "2-5 µg/mg of lysate", "IP-species-notes": "<p></p>", "WB-species-checked": "testedAndGuaranteed", "WB-species-dilution-info": "1/2000 - 1/10000", "WB-species-notes": "<p></p>" }, "Mouse": { "IHCP-species-checked": "guaranteed", "IHCP-species-dilution-info": "", "IHCP-species-notes": "", "IP-species-checked": "guaranteed", "IP-species-dilution-info": "", "IP-species-notes": "", "WB-species-checked": "testedAndGuaranteed", "WB-species-dilution-info": "1/2000 - 1/10000", "WB-species-notes": "<p></p>" }, "Rat": { "IHCP-species-checked": "predicted", "IHCP-species-dilution-info": "", "IHCP-species-notes": "", "IP-species-checked": "predicted", "IP-species-dilution-info": "", "IP-species-notes": "", "WB-species-checked": "predicted", "WB-species-dilution-info": "", "WB-species-notes": "" }, "Chimpanzee": { "IHCP-species-checked": "predicted", "IHCP-species-dilution-info": "", "IHCP-species-notes": "", "IP-species-checked": "predicted", "IP-species-dilution-info": "", "IP-species-notes": "", "WB-species-checked": "predicted", "WB-species-dilution-info": "", "WB-species-notes": "" }, "Cow": { "IHCP-species-checked": "predicted", "IHCP-species-dilution-info": "", "IHCP-species-notes": "", "IP-species-checked": "predicted", "IP-species-dilution-info": "", "IP-species-notes": "", "WB-species-checked": "predicted", "WB-species-dilution-info": "", "WB-species-notes": "" }, "Dog": { "IHCP-species-checked": "predicted", "IHCP-species-dilution-info": "", "IHCP-species-notes": "", "IP-species-checked": "predicted", "IP-species-dilution-info": "", "IP-species-notes": "", "WB-species-checked": "predicted", "WB-species-dilution-info": "", "WB-species-notes": "" }, "Gorilla": { "IHCP-species-checked": "predicted", "IHCP-species-dilution-info": "", "IHCP-species-notes": "", "IP-species-checked": "predicted", "IP-species-dilution-info": "", "IP-species-notes": "", "WB-species-checked": "predicted", "WB-species-dilution-info": "", "WB-species-notes": "" }, "Guinea pig": { "IHCP-species-checked": "predicted", "IHCP-species-dilution-info": "", "IHCP-species-notes": "", "IP-species-checked": "predicted", "IP-species-dilution-info": "", "IP-species-notes": "", "WB-species-checked": "predicted", "WB-species-dilution-info": "", "WB-species-notes": "" }, "Horse": { "IHCP-species-checked": "predicted", "IHCP-species-dilution-info": "", "IHCP-species-notes": "", "IP-species-checked": "predicted", "IP-species-dilution-info": "", "IP-species-notes": "", "WB-species-checked": "predicted", "WB-species-dilution-info": "", "WB-species-notes": "" }, "Orangutan": { "IHCP-species-checked": "predicted", "IHCP-species-dilution-info": "", "IHCP-species-notes": "", "IP-species-checked": "predicted", "IP-species-dilution-info": "", "IP-species-notes": "", "WB-species-checked": "predicted", "WB-species-dilution-info": "", "WB-species-notes": "" }, "Platypus": { "IHCP-species-checked": "predicted", "IHCP-species-dilution-info": "", "IHCP-species-notes": "", "IP-species-checked": "predicted", "IP-species-dilution-info": "", "IP-species-notes": "", "WB-species-checked": "predicted", "WB-species-dilution-info": "", "WB-species-notes": "" }, "Rabbit": { "IHCP-species-checked": "predicted", "IHCP-species-dilution-info": "", "IHCP-species-notes": "", "IP-species-checked": "predicted", "IP-species-dilution-info": "", "IP-species-notes": "", "WB-species-checked": "predicted", "WB-species-dilution-info": "", "WB-species-notes": "" }, "Rhesus monkey": { "IHCP-species-checked": "predicted", "IHCP-species-dilution-info": "", "IHCP-species-notes": "", "IP-species-checked": "predicted", "IP-species-dilution-info": "", "IP-species-notes": "", "WB-species-checked": "predicted", "WB-species-dilution-info": "", "WB-species-notes": "" } } }

Properties and storage information

Form
Liquid
Purification technique
Affinity purification Immunogen
Purification notes
ab76942 was affinity purified using an epitope specific to PTPN12 immobilized on solid support. Antibody concentration was determined by extinction coefficient: absorbance at 280 nm of 1.4 equals 1.0 mg of IgG.
Storage buffer
pH: 6.8 - 7.4 Preservative: 0.09% Sodium azide Constituents: Tris buffered saline, 0.1% BSA
Shipped at conditions
Blue Ice
Appropriate short-term storage conditions
+4°C
Appropriate long-term storage conditions
-20°C
Aliquoting information
Upon delivery aliquot
Storage information
Avoid freeze / thaw cycle

Supplementary information

This supplementary information is collated from multiple sources and compiled automatically.

The Protein Tyrosine Phosphatase Non-Receptor Type 12 (PTPN12) often referred to as PTP-PeST is an enzyme that plays a significant mechanical role within cells. PTPN12 is part of the protein tyrosine phosphatase (PTP) family which is responsible for removing phosphate groups from phosphotyrosine residues on proteins. This activity regulates many cellular processes including growth and differentiation. PTPN12 has a molecular mass of approximately 86 kDa. It is ubiquitously expressed in various tissues but shows higher expression in hematopoietic cells.
Biological function summary

As a non-receptor type phosphatase PTPN12 partners with several proteins to perform essential cellular functions. It interacts with multiple components in the cell participating in the assembly of protein complexes that manage cytoskeletal dynamics and cell movement. PTPN12 influences signal transduction pathways by interacting with adapter proteins such as p130Cas and Paxillin which are vital for cell adhesion and migration. It also plays a role in maintaining cellular homeostasis by controlling signaling cascades that prevent excessive cell proliferation.

Pathways

PTPN12 takes part in critical signal transduction networks most notably the Integrin signaling and RhoA pathways. In the Integrin pathway PTPN12 negatively regulates signaling by dephosphorylating focal adhesion-associated proteins. This regulation affects cell attachment to the extracellular matrix and cell motility. The interaction of PTPN12 with proteins such as Src and FAK (Focal Adhesion Kinase) illustrates its involvement in these processes. In the RhoA pathway PTPN12 influences cytoskeletal rearrangement and cell shape regulation linking to its role in cell migration.

Disruptions in PTPN12 function associate with cancer progression such as breast cancer and inflammatory disorders. In breast cancer physiological studies indicate that PTPN12 acts as a tumor suppressor. Its loss or reduced activity may lead to unregulated cell proliferation and metastasis by failing to restrain pathways involving Src and FAK. In inflammatory disorders altered activities of PTPN12 can affect immune cell function contributing to conditions like rheumatoid arthritis. The enzyme's dysfunction can amplify inflammatory signals through faults in the regulation of immune cells linking PTPN12 to increased disease susceptibility.

Product protocols

For this product, it's our understanding that no specific protocols are required. You can visit:

Target data

Dephosphorylates a range of proteins, and thereby regulates cellular signaling cascades (PubMed : 18559503). Dephosphorylates cellular tyrosine kinases, such as ERBB2 and PTK2B/PYK2, and thereby regulates signaling via ERBB2 and PTK2B/PYK2 (PubMed : 17329398, PubMed : 27134172). Selectively dephosphorylates ERBB2 phosphorylated at 'Tyr-1112', 'Tyr-1196', and/or 'Tyr-1248' (PubMed : 27134172).
See full target information PTPN12

Publications (4)

Recent publications for all applications. Explore the full list and refine your search

Molecular therapy. Methods & clinical development 23:241-253 PubMed34703845

2021

Evaluation of two assays for tumorigenicity assessment of CRISPR-Cas9 genome-edited cells.

Applications

Unspecified application

Species

Unspecified reactive species

Myriam Lemmens,Benoit Fischer,Michael Zogg,Lindsey Rodrigues,Grainne Kerr,Alberto Del Rio-Espinola,Fanny Schaeffer,Danilo Maddalo,Valerie Dubost,Alessandro Piaia,Arne Mueller,Ulla Plappert-Helbig,Ulrike Naumann,Jasmin Haegele,Alex Odermatt,Hans-Jörg Martus,Silvana Libertini

Cancer research 78:3809-3822 PubMed29743287

2018

PTPN12/PTP-PEST Regulates Phosphorylation-Dependent Ubiquitination and Stability of Focal Adhesion Substrates in Invasive Glioblastoma Cells.

Applications

Unspecified application

Species

Unspecified reactive species

Zhihua Chen,John E Morales,Paola A Guerrero,Huandong Sun,Joseph H McCarty

Cellular physiology and biochemistry : internation 46:2335-2346 PubMed29742497

2018

Prognostic Value of Phosphotyrosine Phosphatases in Hepatocellular Carcinoma.

Applications

Unspecified application

Species

Unspecified reactive species

Guangyan Zhangyuan,Yin Yin,Wenjie Zhang,WeiWei Yu,Kangpeng Jin,Fei Wang,Ruyi Huang,Haiyuan Shen,Xiaochen Wang,Beicheng Sun

PloS one 11:e0164829 PubMed27760174

2016

BAR Proteins PSTPIP1/2 Regulate Podosome Dynamics and the Resorption Activity of Osteoclasts.

Applications

WB, ICC/IF

Species

Unspecified reactive species, Unspecified reactive species

Martin Sztacho,Sandra Segeletz,Maria Arantzazu Sanchez-Fernandez,Cornelia Czupalla,Christian Niehage,Bernard Hoflack
View all publications

Product promise

We are committed to supporting your work with high-quality reagents, and we're here for you every step of the way. In the unlikely event that one of our products does not perform as expected, you're protected by our Product Promise.
For full details, please see our Terms & Conditions

Please note: All products are 'FOR RESEARCH USE ONLY. NOT FOR USE IN DIAGNOSTIC OR THERAPEUTIC PROCEDURES'.

For licensing inquiries, please contact partnerships@abcam.com