JavaScript is disabled in your browser. Please enable JavaScript to view this website.
AB289867

Anti-PTPN12 antibody [EPR25171-63] - BSA and Azide free

Be the first to review this product! Submit a review

|

(0 Publication)

Rabbit Recombinant Monoclonal PTPN12 antibody. Carrier free. Suitable for ICC/IF, IP, WB, Flow Cyt (Intra) and reacts with Human, Mouse, Rat samples.

View Alternative Names

Tyrosine-protein phosphatase non-receptor type 12, PTP-PEST, Protein-tyrosine phosphatase G1, PTPG1, PTPN12

5 Images
Western blot - Anti-PTPN12 antibody [EPR25171-63] - BSA and Azide free (AB289867)
  • WB

Supplier Data

Western blot - Anti-PTPN12 antibody [EPR25171-63] - BSA and Azide free (AB289867)

This data was developed using ab289859, the same antibody clone in a different buffer formulation.

Blocking and diluting buffer : 5% NFDM/TBST.

ab181602 was used as a loading control at 1/1000000 dilution.

All lanes:

Western blot - Anti-PTPN12 antibody [EPR25171-63] (<a href='/en-us/products/primary-antibodies/ptpn12-antibody-epr25171-63-ab289859'>ab289859</a>) at 1/1000 dilution

Lane 1:

THP-1 (human monocytic leukemia monocyte) transfected with scrambled siRNA control whole cell lysate at 20 µg

Lane 2:

THP-1 transfected with siRNA specifically targeting PTPN12 whole cell lysate at 20 µg

Secondary

All lanes:

Western blot - Goat Anti-Rabbit IgG H&L (HRP) (<a href='/en-us/products/secondary-antibodies/goat-rabbit-igg-h-l-hrp-ab97051'>ab97051</a>) at 1/20000 dilution

Predicted band size: 88 kDa

Observed band size: 110 - 125 kDa

false

Exposure time: 20s

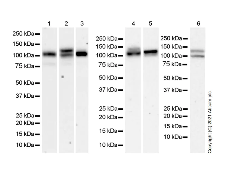
Western blot - Anti-PTPN12 antibody [EPR25171-63] - BSA and Azide free (AB289867)
  • WB

Supplier Data

Western blot - Anti-PTPN12 antibody [EPR25171-63] - BSA and Azide free (AB289867)

This data was developed using ab289859, the same antibody clone in a different buffer formulation.

5% NFDM/TBST was used as a blocking and diluting buffer.

Exposure times :

Lanes 1 - 2 : 125 seconds
Lane 3 : 92 seconds
Lanes 4 - 6 : 3 minutes

Lysates were made fresh and used immediately to minimize protein degradation.
The expression profile/ molecular weight observed is consistent with what has been described in the literature (PMID : 10625692).

All lanes:

Western blot - Anti-PTPN12 antibody [EPR25171-63] (<a href='/en-us/products/primary-antibodies/ptpn12-antibody-epr25171-63-ab289859'>ab289859</a>) at 1/1000 dilution

Lane 1:

U937 (human histiocytic lymphoma monocyte), whole cell lysate at 20 µg

Lane 2:

HeLa (human epithelial cell line from cervix adenocarcinoma), whole cell lysate at 20 µg

Lane 3:

THP-1 (human monocytic leukemia monocyte), whole cell lysate at 20 µg

Lane 4:

PC-12 (rat adrenal gland pheochromocytoma), whole cell lysate at 20 µg

Lane 5:

C6 (rat glial tumor glial cell), whole cell lysate at 20 µg

Lane 6:

RAW264.7 (mouse Abelson murine leukemia virus-induced tumor macrophage), whole cell lysate at 20 µg

Secondary

All lanes:

Western blot - Goat Anti-Rabbit IgG H&L (HRP) (<a href='/en-us/products/secondary-antibodies/goat-rabbit-igg-h-l-hrp-ab97051'>ab97051</a>) at 1/100000 dilution

Predicted band size: 88 kDa

Observed band size: 110-125 kDa

false

Immunocytochemistry/ Immunofluorescence - Anti-PTPN12 antibody [EPR25171-63] - BSA and Azide free (AB289867)
  • ICC/IF

Supplier Data

Immunocytochemistry/ Immunofluorescence - Anti-PTPN12 antibody [EPR25171-63] - BSA and Azide free (AB289867)

This data was developed using ab289859, the same antibody clone in a different buffer formulation.

Immunofluorescent analysis of 4% paraformaldehyde-fixed, 0.1% Triton X-100 permeabilized THP-1 (human monocytic leukemia monocyte) cells labeling PTPN12 with ab289859 at 1/200 dilution, followed by ab150081 Goat Anti-Rabbit IgG H&L (Alexa Fluor® 488) preadsorbed secondary antibody at 1/1000 dilution (Green). Confocal image showing membranous and cytoplasmic staining in THP-1 cell line. The nuclear counterstain is DAPI (Blue). Tubulin is labeled using ab195889 Anti-alpha Tubulin mouse monoclonal antibody - Microtubule Marker (Alexa Fluor® 594) at 1/200 dilution (Red).

Secondary antibody only control : Used PBS instead of primary antibody, followed by ab150081 Goat Anti-Rabbit IgG H&L (Alexa Fluor® 488) preadsorbed secondary antibody at 1/1000 dilution.

Flow Cytometry (Intracellular) - Anti-PTPN12 antibody [EPR25171-63] - BSA and Azide free (AB289867)
  • Flow Cyt (Intra)

Supplier Data

Flow Cytometry (Intracellular) - Anti-PTPN12 antibody [EPR25171-63] - BSA and Azide free (AB289867)

This data was developed using ab289859, the same antibody clone in a different buffer formulation.

Flow cytometric analysis of 4% paraformaldehyde-fixed, 90% methanol permeabilised THP-1 (human monocytic leukemia monocyte cell line) cells labelling PTPN12 with ab289859 at 1/500 dilution (Red) compared with a Rabbit IgG, monoclonal - Isotype Control (ab172730) (Black) and an unlabelled control (cells without incubation with primary antibody and secondary antibody) (Blue). Goat Anti-Rabbit IgG H&L (Alexa Fluor® 488) (ab150081) at 1/2000 dilution was used as the secondary antibody.

Immunoprecipitation - Anti-PTPN12 antibody [EPR25171-63] - BSA and Azide free (AB289867)
  • IP

Supplier Data

Immunoprecipitation - Anti-PTPN12 antibody [EPR25171-63] - BSA and Azide free (AB289867)

This data was developed using ab289859, the same antibody clone in a different buffer formulation.

PTPN12 was immunoprecipitated from THP-1 (human monocytic leukemia monocyte) whole cell lysate with ab289859 at 1/30 dilution (2 μg in 0.35 mg lysate). VeriBlot for IP secondary antibody(HRP) (ab131366) was used as secondary antibody at 1/5000 dilution.

Lane 1 : THP-1 (human monocytic leukemia monocyte), whole cell lysate 10 μg (Input)

Lane 2 : ab289859 IP in THP-1 whole cell lysate

Lane 3 : Rabbit monoclonal IgG (ab172730) instead of ab289859 in THP-1 whole cell lysate

Blocking and dilution buffer and concentration : 5% NFDM/TBST
Exposure time : 5 seconds

All lanes:

Immunoprecipitation - Anti-PTPN12 antibody [EPR25171-63] (<a href='/en-us/products/primary-antibodies/ptpn12-antibody-epr25171-63-ab289859'>ab289859</a>)

Predicted band size: 88 kDa

Observed band size: 110-125 kDa

false

Exposure time: 5s

Key facts

Host species

Rabbit

Clonality

Monoclonal

Clone number

EPR25171-63

Isotype

IgG

Carrier free

Yes

Reacts with

Rat, Mouse, Human

Applications

IP, ICC/IF, Flow Cyt (Intra), WB

applications

Immunogen

The exact immunogen used to generate this antibody is proprietary information.

Specificity

This antibody shows weak cross reactivity with IGF2BP2.

Reactivity data

{ "title": "Reactivity Data", "filters": { "stats": ["", "Species", "Dilution Info", "Notes"], "tabs": { "all-applications": {"fullname" : "All Applications", "shortname": "All Applications"}, "ICCIF" : {"fullname" : "Immunocytochemistry/ Immunofluorescence", "shortname":"ICC/IF"}, "IP" : {"fullname" : "Immunoprecipitation", "shortname":"IP"}, "WB" : {"fullname" : "Western blot", "shortname":"WB"}, "IHCP" : {"fullname" : "Immunohistochemistry (Formalin/PFA-fixed paraffin-embedded sections)", "shortname":"IHC-P"}, "FlowCytIntra" : {"fullname" : "Flow Cytometry (Intracellular)", "shortname":"Flow Cyt (Intra)"} }, "product-promise": { "all": "all", "testedAndGuaranteed": "tested", "guaranteed": "expected", "predicted": "predicted", "notRecommended": "not-recommended" } }, "values": { "Human": { "ICCIF-species-checked": "testedAndGuaranteed", "ICCIF-species-dilution-info": "", "ICCIF-species-notes": "<p></p>", "IP-species-checked": "testedAndGuaranteed", "IP-species-dilution-info": "", "IP-species-notes": "<p></p>", "WB-species-checked": "testedAndGuaranteed", "WB-species-dilution-info": "", "WB-species-notes": "<p></p>", "IHCP-species-checked": "notRecommended", "IHCP-species-dilution-info": "", "IHCP-species-notes": "<p></p>", "FlowCytIntra-species-checked": "testedAndGuaranteed", "FlowCytIntra-species-dilution-info": "", "FlowCytIntra-species-notes": "<p></p>" }, "Mouse": { "ICCIF-species-checked": "guaranteed", "ICCIF-species-dilution-info": "", "ICCIF-species-notes": "", "IP-species-checked": "guaranteed", "IP-species-dilution-info": "", "IP-species-notes": "", "WB-species-checked": "testedAndGuaranteed", "WB-species-dilution-info": "", "WB-species-notes": "<p></p>", "IHCP-species-checked": "notRecommended", "IHCP-species-dilution-info": "", "IHCP-species-notes": "<p></p>", "FlowCytIntra-species-checked": "guaranteed", "FlowCytIntra-species-dilution-info": "", "FlowCytIntra-species-notes": "" }, "Rat": { "ICCIF-species-checked": "guaranteed", "ICCIF-species-dilution-info": "", "ICCIF-species-notes": "", "IP-species-checked": "guaranteed", "IP-species-dilution-info": "", "IP-species-notes": "", "WB-species-checked": "testedAndGuaranteed", "WB-species-dilution-info": "", "WB-species-notes": "<p></p>", "IHCP-species-checked": "notRecommended", "IHCP-species-dilution-info": "", "IHCP-species-notes": "<p></p>", "FlowCytIntra-species-checked": "guaranteed", "FlowCytIntra-species-dilution-info": "", "FlowCytIntra-species-notes": "" } } }

You may be interested in:

AB314375

Human PTPN12 ELISA Kit

0

0 Reviews

View product

We recommend this product because it’s often used in the same experiment or related research.

We advise that you always check the datasheet to ensure it fits your experiments, or contact ourtechnical teamfor help.

Product details

ab289867 is the carrier-free version of ab289859.

Patented technology
Our RabMAb® technology is a patented hybridoma-based technology for making rabbit monoclonal antibodies. For details on our patents, please refer to RabMAb® patents.

What are the advantages of a recombinant monoclonal antibody?
This product is a recombinant monoclonal antibody, which offers several advantages including:

  • - High batch-to-batch consistency and reproducibility
  • - Improved sensitivity and specificity
  • - Long-term security of supply
  • - Animal-free batch production

For more information, read more on recombinant antibodies.

Conjugation ready
Our carrier-free antibodies are typically supplied in a PBS-only formulation, purified and free of BSA, sodium azide and glycerol. This conjugation-ready format is designed for use with fluorochromes, metal isotopes, oligonucleotides, and enzymes, which makes them ideal for antibody labelling, functional and cell-based assays, flow-based assays (e.g. mass cytometry) and Multiplex Imaging applications.

Use our conjugation kits for antibody conjugates that are ready-to-use in as little as 20 minutes with 1 minute hands-on-time and 100% antibody recovery: available for fluorescent dyes, HRP, biotin and gold.

Compatibility
This product is compatible with the Maxpar® Antibody Labeling Kit from Fluidigm, without the need for antibody preparation. Maxpar® is a trademark of Fluidigm Canada Inc.

Properties and storage information

Form
Liquid
Purification technique
Affinity purification Protein A
Storage buffer
pH: 7.2 - 7.4 Constituents: 100% PBS
Shipped at conditions
Blue Ice
Appropriate short-term storage conditions
+4°C
Appropriate long-term storage conditions
+4°C

Supplementary information

This supplementary information is collated from multiple sources and compiled automatically.

The Protein Tyrosine Phosphatase Non-Receptor Type 12 (PTPN12) often referred to as PTP-PeST is an enzyme that plays a significant mechanical role within cells. PTPN12 is part of the protein tyrosine phosphatase (PTP) family which is responsible for removing phosphate groups from phosphotyrosine residues on proteins. This activity regulates many cellular processes including growth and differentiation. PTPN12 has a molecular mass of approximately 86 kDa. It is ubiquitously expressed in various tissues but shows higher expression in hematopoietic cells.
Biological function summary

As a non-receptor type phosphatase PTPN12 partners with several proteins to perform essential cellular functions. It interacts with multiple components in the cell participating in the assembly of protein complexes that manage cytoskeletal dynamics and cell movement. PTPN12 influences signal transduction pathways by interacting with adapter proteins such as p130Cas and Paxillin which are vital for cell adhesion and migration. It also plays a role in maintaining cellular homeostasis by controlling signaling cascades that prevent excessive cell proliferation.

Pathways

PTPN12 takes part in critical signal transduction networks most notably the Integrin signaling and RhoA pathways. In the Integrin pathway PTPN12 negatively regulates signaling by dephosphorylating focal adhesion-associated proteins. This regulation affects cell attachment to the extracellular matrix and cell motility. The interaction of PTPN12 with proteins such as Src and FAK (Focal Adhesion Kinase) illustrates its involvement in these processes. In the RhoA pathway PTPN12 influences cytoskeletal rearrangement and cell shape regulation linking to its role in cell migration.

Disruptions in PTPN12 function associate with cancer progression such as breast cancer and inflammatory disorders. In breast cancer physiological studies indicate that PTPN12 acts as a tumor suppressor. Its loss or reduced activity may lead to unregulated cell proliferation and metastasis by failing to restrain pathways involving Src and FAK. In inflammatory disorders altered activities of PTPN12 can affect immune cell function contributing to conditions like rheumatoid arthritis. The enzyme's dysfunction can amplify inflammatory signals through faults in the regulation of immune cells linking PTPN12 to increased disease susceptibility.

Product protocols

For this product, it's our understanding that no specific protocols are required. You can visit:

Target data

Dephosphorylates a range of proteins, and thereby regulates cellular signaling cascades (PubMed : 18559503). Dephosphorylates cellular tyrosine kinases, such as ERBB2 and PTK2B/PYK2, and thereby regulates signaling via ERBB2 and PTK2B/PYK2 (PubMed : 17329398, PubMed : 27134172). Selectively dephosphorylates ERBB2 phosphorylated at 'Tyr-1112', 'Tyr-1196', and/or 'Tyr-1248' (PubMed : 27134172).
See full target information PTPN12

Product promise

We are committed to supporting your work with high-quality reagents, and we're here for you every step of the way. In the unlikely event that one of our products does not perform as expected, you're protected by our Product Promise.
For full details, please see our Terms & Conditions

Please note: All products are 'FOR RESEARCH USE ONLY. NOT FOR USE IN DIAGNOSTIC OR THERAPEUTIC PROCEDURES'.

For licensing inquiries, please contact partnerships@abcam.com