JavaScript is disabled in your browser. Please enable JavaScript to view this website.
AB315338

Anti-PTPN12 antibody [EPR28198-148]

  • BOND RX™ Validated
  • 20ul selling size
  • RabMAb
  • Recombinant
  • What is this?

Be the first to review this product! Submit a review

|

(0 Publication)

Rabbit Recombinant Monoclonal PTPN12 antibody. Suitable for WB, IHC-P, Flow Cyt (Intra) and reacts with Human, Transfected cell lysate - Human samples.

View Alternative Names

Tyrosine-protein phosphatase non-receptor type 12, PTP-PEST, Protein-tyrosine phosphatase G1, PTPG1, PTPN12

7 Images
Immunohistochemistry (Formalin/PFA-fixed paraffin-embedded sections) - Anti-PTPN12 antibody [EPR28198-148] (AB315338)
  • IHC-P

Supplier Data

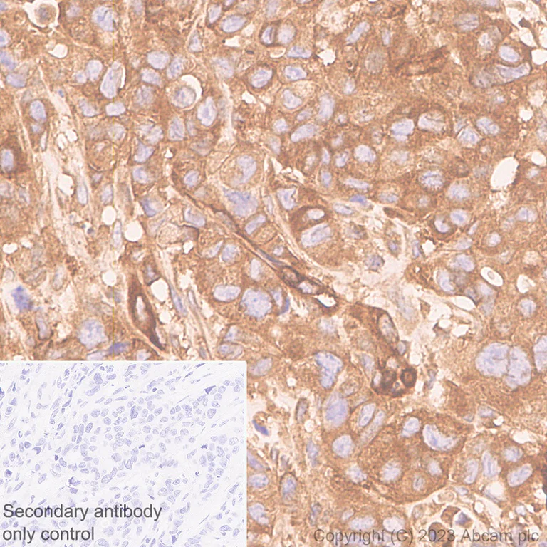
Immunohistochemistry (Formalin/PFA-fixed paraffin-embedded sections) - Anti-PTPN12 antibody [EPR28198-148] (AB315338)

Immunohistochemical analysis of paraffin-embedded Human breast cancer tissue labeling PTPN12 with ab315338 at 1/100 (5.21 ug/ml) dilution, followed by a ready to use LeicaDS9800 (Bond™ Polymer Refine Detection).

Positive staining on human breast cancer (PMID : 23435421; PMID : 23044628). The section was incubated with ab315338 for 30 mins at room temperature. The immunostaining was performed on a Leica Biosystems BOND® RX instrument. Counterstained with Hematoxylin.

Secondary antibody only control : Secondary antibody is a ready to use LeicaDS9800 (Bond™ Polymer Refine Detection).

Heat mediated antigen retrieval was performed with Tris-EDTA buffer (pH 9.0, Epitope Retrieval Solution2) for 20 mins.

Flow Cytometry (Intracellular) - Anti-PTPN12 antibody [EPR28198-148] (AB315338)
  • Flow Cyt (Intra)

Supplier Data

Flow Cytometry (Intracellular) - Anti-PTPN12 antibody [EPR28198-148] (AB315338)

Flow cytometric analysis of 4% paraformaldehyde fixed 90% methanol permeabilized THP-1 (human monocytic leukemia monocyte) cells labelling PTPN12 with ab315338 at 1/50 dilution (1 ug, Red) compared with a Rabbit monoclonal IgG (ab172730) (Black) isotype control and an unlabelled control (cells without incubation with primary antibody and secondary antibody) (Blue).

Goat Anti-Rabbit IgG (Alexa Fluor® 488, ab150081) at 1/5000 dilution was used as the secondary antibody.

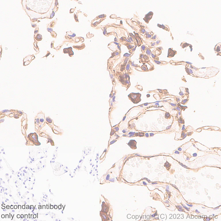
Immunohistochemistry (Formalin/PFA-fixed paraffin-embedded sections) - Anti-PTPN12 antibody [EPR28198-148] (AB315338)
  • IHC-P

Supplier Data

Immunohistochemistry (Formalin/PFA-fixed paraffin-embedded sections) - Anti-PTPN12 antibody [EPR28198-148] (AB315338)

Immunohistochemical analysis of paraffin-embedded Human lung tissue labeling PTPN12 with ab315338 at 1/100 (5.21 ug/ml) dilution, followed by a ready to use LeicaDS9800 (Bond™ Polymer Refine Detection).

Positive staining on human lung (PMID : 25868976). The section was incubated with ab315338 for 30 mins at room temperature. The immunostaining was performed on a Leica Biosystems BOND® RX instrument. Counterstained with Hematoxylin.

Secondary antibody only control : Secondary antibody is a ready to use LeicaDS9800 (Bond™ Polymer Refine Detection).

Heat mediated antigen retrieval was performed with Tris-EDTA buffer (pH 9.0, Epitope Retrieval Solution2) for 20 mins.

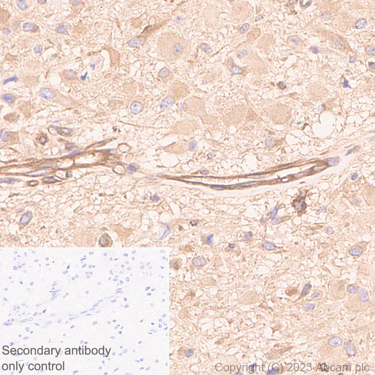
Immunohistochemistry (Formalin/PFA-fixed paraffin-embedded sections) - Anti-PTPN12 antibody [EPR28198-148] (AB315338)
  • IHC-P

Supplier Data

Immunohistochemistry (Formalin/PFA-fixed paraffin-embedded sections) - Anti-PTPN12 antibody [EPR28198-148] (AB315338)

Immunohistochemical analysis of paraffin-embedded Human astrocytoma tissue labeling PTPN12 with ab315338 at 1/100 (5.21 ug/ml) dilution, followed by a ready to use LeicaDS9800 (Bond™ Polymer Refine Detection).

Positive staining on human astrocytoma (PMID : 29743287). The section was incubated with ab315338 for 30 mins at room temperature. The immunostaining was performed on a Leica Biosystems BOND® RX instrument. Counterstained with Hematoxylin.

Secondary antibody only control : Secondary antibody is a ready to use LeicaDS9800 (Bond™ Polymer Refine Detection).

Heat mediated antigen retrieval was performed with Tris-EDTA buffer (pH 9.0, Epitope Retrieval Solution2) for 20 mins.

Western blot - Anti-PTPN12 antibody [EPR28198-148] (AB315338)
  • WB

Supplier Data

Western blot - Anti-PTPN12 antibody [EPR28198-148] (AB315338)

Blocking and diluting buffer and concentration : 5% NFDM/TBST.

Lysates were freshly made and used for Western blotting immediately to minimize protein degradation.

All lanes:

Western blot - Anti-PTPN12 antibody [EPR28198-148] (ab315338) at 1/1000 dilution

Lane 1:

HeLa (human cervical adenocarcinoma epithelial cell) whole cell lysate at 20 µg

Lane 2:

293T (human embryonic kidney epithelial cell) whole cell lysate at 20 µg

Secondary

All lanes:

Western blot - Goat Anti-Rabbit IgG H&L (HRP) (<a href='/en-us/products/secondary-antibodies/goat-rabbit-igg-h-l-hrp-ab97051'>ab97051</a>) at 1/20000 dilution

Observed band size: 110-125 kDa

false

Exposure time: 180s

Western blot - Anti-PTPN12 antibody [EPR28198-148] (AB315338)
  • WB

Supplier Data

Western blot - Anti-PTPN12 antibody [EPR28198-148] (AB315338)

Blocking and diluting buffer and concentration : 5% NFDM/TBST.

In Western blot, Anti-GAPDH antibody [EPR16891] - Loading Control (ab181602) staining at 1/200000 dilution.

Exposure time : Lanes 1-2 : 26 seconds; Lane 3 : 136 seconds.

All lanes:

Western blot - Anti-PTPN12 antibody [EPR28198-148] (ab315338) at 1/1000 dilution

Lane 1:

THP-1 (human monocytic leukemia monocyte) transfected with scrambled siRNA control whole cell lysate at 20 µg

Lane 2:

THP-1 transfected with siRNA specifically targeting PTPN12 whole cell lysate at 20 µg

Lane 3:

PC-3 (human prostate adenocarcinoma epithelial cell) whole cell lysate at 20 µg

Secondary

All lanes:

Western blot - Goat Anti-Rabbit IgG H&L (HRP) (<a href='/en-us/products/secondary-antibodies/goat-rabbit-igg-h-l-hrp-ab97051'>ab97051</a>) at 1/20000 dilution

Observed band size: 110-125 kDa,36 kDa

false

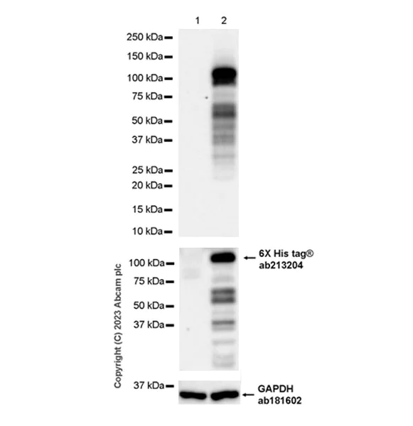
Western blot - Anti-PTPN12 antibody [EPR28198-148] (AB315338)
  • WB

Supplier Data

Western blot - Anti-PTPN12 antibody [EPR28198-148] (AB315338)

Blocking and diluting buffer and concentration : 5% NFDM/TBST.

In Western blot, Anti-GAPDH antibody [EPR16891] - Loading Control (ab181602) staining at 1/200000 dilution.

In Western blot, Anti-6X His tag® antibody [EPR20547] - ChIP Grade (ab213204) staining at 1/5000 dilution.

All lanes:

Western blot - Anti-PTPN12 antibody [EPR28198-148] (ab315338) at 1/1000 dilution

Lane 1:

293T (human embryonic kidney epithelial cell) cells transfected with an empty vector containing a myc-His-tag®, whole cell lysate at 4 µg

Lane 2:

293T cells transfected with a human PTPN12 expression vector containing a myc-His-tag®, whole cell lysate at 4 µg

Secondary

All lanes:

Western blot - Goat Anti-Rabbit IgG H&L (HRP) (<a href='/en-us/products/secondary-antibodies/goat-rabbit-igg-h-l-hrp-ab97051'>ab97051</a>) at 1/20000 dilution

Observed band size: 110-125 kDa,36 kDa

false

Exposure time: 10s

Key facts

Host species

Rabbit

Clonality

Monoclonal

Clone number

EPR28198-148

Isotype

IgG

Carrier free

No

Reacts with

Human

Applications

WB, Flow Cyt (Intra), IHC-P

applications

Immunogen

The exact immunogen used to generate this antibody is proprietary information.

Reactivity data

{ "title": "Reactivity Data", "filters": { "stats": ["", "Species", "Dilution Info", "Notes"], "tabs": { "all-applications": {"fullname" : "All Applications", "shortname": "All Applications"}, "WB" : {"fullname" : "Western blot", "shortname":"WB"}, "IHCP" : {"fullname" : "Immunohistochemistry (Formalin/PFA-fixed paraffin-embedded sections)", "shortname":"IHC-P"}, "FlowCytIntra" : {"fullname" : "Flow Cytometry (Intracellular)", "shortname":"Flow Cyt (Intra)"}, "ICCIF" : {"fullname" : "Immunocytochemistry/ Immunofluorescence", "shortname":"ICC/IF"}, "IP" : {"fullname" : "Immunoprecipitation", "shortname":"IP"} }, "product-promise": { "all": "all", "testedAndGuaranteed": "tested", "guaranteed": "expected", "predicted": "predicted", "notRecommended": "not-recommended" } }, "values": { "Human": { "WB-species-checked": "testedAndGuaranteed", "WB-species-dilution-info": "1/1000", "WB-species-notes": "<p></p>", "IHCP-species-checked": "testedAndGuaranteed", "IHCP-species-dilution-info": "1/100", "IHCP-species-notes": "<p></p> Perform heat-mediated antigen retrieval with Tris/EDTA buffer pH 9.0 before commencing with IHC staining protocol.", "FlowCytIntra-species-checked": "testedAndGuaranteed", "FlowCytIntra-species-dilution-info": "1/50", "FlowCytIntra-species-notes": "<p></p>", "ICCIF-species-checked": "notRecommended", "ICCIF-species-dilution-info": "", "ICCIF-species-notes": "<p></p>", "IP-species-checked": "notRecommended", "IP-species-dilution-info": "", "IP-species-notes": "<p></p>" }, "Mouse": { "WB-species-checked": "notRecommended", "WB-species-dilution-info": "", "WB-species-notes": "<p></p>", "IHCP-species-checked": "notRecommended", "IHCP-species-dilution-info": "", "IHCP-species-notes": "<p></p>", "FlowCytIntra-species-checked": "notRecommended", "FlowCytIntra-species-dilution-info": "", "FlowCytIntra-species-notes": "", "ICCIF-species-checked": "notRecommended", "ICCIF-species-dilution-info": "", "ICCIF-species-notes": "", "IP-species-checked": "notRecommended", "IP-species-dilution-info": "", "IP-species-notes": "" }, "Rat": { "WB-species-checked": "notRecommended", "WB-species-dilution-info": "", "WB-species-notes": "<p></p>", "IHCP-species-checked": "notRecommended", "IHCP-species-dilution-info": "", "IHCP-species-notes": "<p></p>", "FlowCytIntra-species-checked": "notRecommended", "FlowCytIntra-species-dilution-info": "", "FlowCytIntra-species-notes": "", "ICCIF-species-checked": "notRecommended", "ICCIF-species-dilution-info": "", "ICCIF-species-notes": "", "IP-species-checked": "notRecommended", "IP-species-dilution-info": "", "IP-species-notes": "" }, "Transfected cell lysate - Human": { "WB-species-checked": "testedAndGuaranteed", "WB-species-dilution-info": "1/1000", "WB-species-notes": "<p></p>", "IHCP-species-checked": "notRecommended", "IHCP-species-dilution-info": "", "IHCP-species-notes": "", "FlowCytIntra-species-checked": "notRecommended", "FlowCytIntra-species-dilution-info": "", "FlowCytIntra-species-notes": "", "ICCIF-species-checked": "notRecommended", "ICCIF-species-dilution-info": "", "ICCIF-species-notes": "", "IP-species-checked": "notRecommended", "IP-species-dilution-info": "", "IP-species-notes": "" } } }

Product details

Patented technology
Our RabMAb® technology is a patented hybridoma-based technology for making rabbit monoclonal antibodies. For details on our patents, please refer to RabMAb® patents.

What are the advantages of a recombinant monoclonal antibody?
This product is a recombinant monoclonal antibody, which offers several advantages including:

  • - High batch-to-batch consistency and reproducibility
  • - Improved sensitivity and specificity
  • - Long-term security of supply
  • - Animal-free batch production

For more information, read more on recombinant antibodies.

Properties and storage information

Form
Liquid
Purification technique
Affinity purification Protein A
Storage buffer
pH: 7.2 - 7.4 Preservative: 0.01% Sodium azide Constituents: PBS, 40% Glycerol (glycerin, glycerine), 0.05% BSA
Shipped at conditions
Blue Ice
Appropriate short-term storage duration
1-2 weeks
Appropriate short-term storage conditions
+4°C
Appropriate long-term storage conditions
-20°C
Aliquoting information
Upon delivery aliquot
Storage information
Avoid freeze / thaw cycle

Supplementary information

This supplementary information is collated from multiple sources and compiled automatically.

The Protein Tyrosine Phosphatase Non-Receptor Type 12 (PTPN12) often referred to as PTP-PeST is an enzyme that plays a significant mechanical role within cells. PTPN12 is part of the protein tyrosine phosphatase (PTP) family which is responsible for removing phosphate groups from phosphotyrosine residues on proteins. This activity regulates many cellular processes including growth and differentiation. PTPN12 has a molecular mass of approximately 86 kDa. It is ubiquitously expressed in various tissues but shows higher expression in hematopoietic cells.
Biological function summary

As a non-receptor type phosphatase PTPN12 partners with several proteins to perform essential cellular functions. It interacts with multiple components in the cell participating in the assembly of protein complexes that manage cytoskeletal dynamics and cell movement. PTPN12 influences signal transduction pathways by interacting with adapter proteins such as p130Cas and Paxillin which are vital for cell adhesion and migration. It also plays a role in maintaining cellular homeostasis by controlling signaling cascades that prevent excessive cell proliferation.

Pathways

PTPN12 takes part in critical signal transduction networks most notably the Integrin signaling and RhoA pathways. In the Integrin pathway PTPN12 negatively regulates signaling by dephosphorylating focal adhesion-associated proteins. This regulation affects cell attachment to the extracellular matrix and cell motility. The interaction of PTPN12 with proteins such as Src and FAK (Focal Adhesion Kinase) illustrates its involvement in these processes. In the RhoA pathway PTPN12 influences cytoskeletal rearrangement and cell shape regulation linking to its role in cell migration.

Disruptions in PTPN12 function associate with cancer progression such as breast cancer and inflammatory disorders. In breast cancer physiological studies indicate that PTPN12 acts as a tumor suppressor. Its loss or reduced activity may lead to unregulated cell proliferation and metastasis by failing to restrain pathways involving Src and FAK. In inflammatory disorders altered activities of PTPN12 can affect immune cell function contributing to conditions like rheumatoid arthritis. The enzyme's dysfunction can amplify inflammatory signals through faults in the regulation of immune cells linking PTPN12 to increased disease susceptibility.

Product protocols

For this product, it's our understanding that no specific protocols are required. You can visit:

Target data

Dephosphorylates a range of proteins, and thereby regulates cellular signaling cascades (PubMed : 18559503). Dephosphorylates cellular tyrosine kinases, such as ERBB2 and PTK2B/PYK2, and thereby regulates signaling via ERBB2 and PTK2B/PYK2 (PubMed : 17329398, PubMed : 27134172). Selectively dephosphorylates ERBB2 phosphorylated at 'Tyr-1112', 'Tyr-1196', and/or 'Tyr-1248' (PubMed : 27134172).
See full target information PTPN12

Product promise

We are committed to supporting your work with high-quality reagents, and we're here for you every step of the way. In the unlikely event that one of our products does not perform as expected, you're protected by our Product Promise.
For full details, please see our Terms & Conditions

Please note: All products are 'FOR RESEARCH USE ONLY. NOT FOR USE IN DIAGNOSTIC OR THERAPEUTIC PROCEDURES'.

For licensing inquiries, please contact partnerships@abcam.com