JavaScript is disabled in your browser. Please enable JavaScript to view this website.
AB275934

Anti-PTPRH antibody [EPR20897-15] - BSA and Azide free

Be the first to review this product! Submit a review

|

(0 Publication)

Rabbit Recombinant Monoclonal PTPRH antibody. Carrier free. Suitable for ICC/IF, WB and reacts with Human samples.

View Alternative Names

SAP1, PTPRH, Receptor-type tyrosine-protein phosphatase H, R-PTP-H, Stomach cancer-associated protein tyrosine phosphatase 1, Transmembrane-type protein-tyrosine phosphatase type H, SAP-1

3 Images
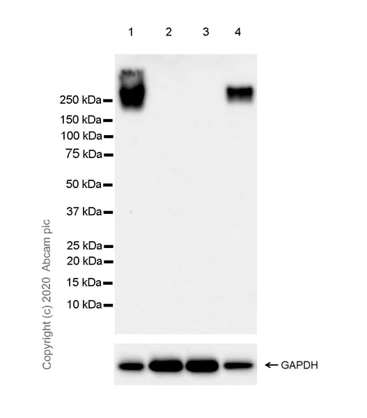
Western blot - Anti-PTPRH antibody [EPR20897-15] - BSA and Azide free (AB275934)
  • WB

Lab

Western blot - Anti-PTPRH antibody [EPR20897-15] - BSA and Azide free (AB275934)

This data was developed using ab231767, the same antibody clone in a different buffer formulation.

Blocking and diluting buffer and concentration : 5% NFDM/TBST.

Negative control : SW480 and Low expression : HCT 116 (PMID : 28713969).

Exposure time : 37 seconds.

All lanes:

Western blot - Anti-PTPRH antibody [EPR20897-15] (<a href='/en-us/products/primary-antibodies/ptprh-antibody-epr20897-15-ab231767'>ab231767</a>) at 1/1000 dilution

Lane 1:

HT-29 (human colorectal adenocarcinoma epithelial cell) whole cell lysate at 20 µg

Lane 2:

HCT 116 (human colorectal carcinoma epithelial cell) whole cell lysate at 20 µg

Lane 3:

SW480 (human colorectal adenocarcinoma epithelial cell) whole cell lysate at 20 µg

Lane 4:

A431 (human epidermoid carcinoma epithelial cell) whole cell lysate at 20 µg

Secondary

All lanes:

Goat Anti-Rabbit IgG, (H+L), Peroxidase conjugated (<a href='/en-us/products/secondary-antibodies/goat-rabbit-igg-h-l-hrp-ab97051'>ab97051</a>) at 1/100000 dilution

Predicted band size: 122 kDa

Observed band size: 250 kDa

false

Immunocytochemistry/ Immunofluorescence - Anti-PTPRH antibody [EPR20897-15] - BSA and Azide free (AB275934)
  • ICC/IF

Unknown

Immunocytochemistry/ Immunofluorescence - Anti-PTPRH antibody [EPR20897-15] - BSA and Azide free (AB275934)

This data was developed using ab231767, the same antibody clone in a different buffer formulation.

Immunofluorescent analysis of 4% Paraformaldehyde-fixed, 0.1% TritonX-100 permeabilized HT-29 cells labelling PTPRH with ab231767 at 1/50 (11.42 ug/ml) dilution, followed by ab150077 Goat Anti-Rabbit IgG H&L (Alexa Fluor® 488) antibody at 1/1000 dilution (Green). Confocal image showing cytoplasmic staining in HT-29 cell line. Negative control : SW480 PMID : 28713969). ab195889 Anti-alpha Tubulin mouse monoclonal antibody - Microtubule Marker (Alexa Fluor® 594) was used to counterstain tubulin at 1/200 dilution (Red). The Nuclear counterstain was DAPI (Blue).

Secondary antibody only control : Secondary antibody is ab150077 Goat Anti-Rabbit IgG H&L (Alexa Fluor® 488) at 1/1000 dilution.

Western blot - Anti-PTPRH antibody [EPR20897-15] - BSA and Azide free (AB275934)
  • WB

Lab

Western blot - Anti-PTPRH antibody [EPR20897-15] - BSA and Azide free (AB275934)

This data was developed using ab231767, the same antibody clone in a different buffer formulation.

Blocking and diluting buffer and concentration : 5% NFDM/TBST

Exposure time : 59 seconds.

All lanes:

Western blot - Anti-PTPRH antibody [EPR20897-15] (<a href='/en-us/products/primary-antibodies/ptprh-antibody-epr20897-15-ab231767'>ab231767</a>) at 1/1000 dilution

Lane 1:

HT-29 (human colorectal adenocarcinoma epithelial cell) whole cell lysate at 20 µg

Lane 2:

HT-29 whole cell lysate treated with PNGase F at 20 µg

Secondary

All lanes:

Goat Anti-Rabbit IgG, (H+L), Peroxidase conjugated (<a href='/en-us/products/secondary-antibodies/goat-rabbit-igg-h-l-hrp-ab97051'>ab97051</a>) at 1/100000 dilution

Predicted band size: 122 kDa

Observed band size: 122 kDa,250 kDa

false

Key facts

Host species

Rabbit

Clonality

Monoclonal

Clone number

EPR20897-15

Isotype

IgG1

Carrier free

Yes

Reacts with

Human

Applications

ICC/IF, WB

applications

Immunogen

The exact immunogen used to generate this antibody is proprietary information.

Reactivity data

{ "title": "Reactivity Data", "filters": { "stats": ["", "Species", "Dilution Info", "Notes"], "tabs": { "all-applications": {"fullname" : "All Applications", "shortname": "All Applications"}, "ICCIF" : {"fullname" : "Immunocytochemistry/ Immunofluorescence", "shortname":"ICC/IF"}, "IP" : {"fullname" : "Immunoprecipitation", "shortname":"IP"}, "FlowCyt" : {"fullname" : "Flow Cytometry", "shortname":"Flow Cyt"}, "WB" : {"fullname" : "Western blot", "shortname":"WB"}, "IHCP" : {"fullname" : "Immunohistochemistry (Formalin/PFA-fixed paraffin-embedded sections)", "shortname":"IHC-P"} }, "product-promise": { "all": "all", "testedAndGuaranteed": "tested", "guaranteed": "expected", "predicted": "predicted", "notRecommended": "not-recommended" } }, "values": { "Human": { "ICCIF-species-checked": "testedAndGuaranteed", "ICCIF-species-dilution-info": "", "ICCIF-species-notes": "<p></p>", "IP-species-checked": "notRecommended", "IP-species-dilution-info": "", "IP-species-notes": "<p></p>", "FlowCyt-species-checked": "notRecommended", "FlowCyt-species-dilution-info": "", "FlowCyt-species-notes": "<p></p>", "WB-species-checked": "testedAndGuaranteed", "WB-species-dilution-info": "", "WB-species-notes": "<p></p>", "IHCP-species-checked": "notRecommended", "IHCP-species-dilution-info": "", "IHCP-species-notes": "<p></p>" }, "Mouse": { "ICCIF-species-checked": "notRecommended", "ICCIF-species-dilution-info": "", "ICCIF-species-notes": "", "IP-species-checked": "notRecommended", "IP-species-dilution-info": "", "IP-species-notes": "", "FlowCyt-species-checked": "notRecommended", "FlowCyt-species-dilution-info": "", "FlowCyt-species-notes": "", "WB-species-checked": "notRecommended", "WB-species-dilution-info": "", "WB-species-notes": "<p></p>", "IHCP-species-checked": "notRecommended", "IHCP-species-dilution-info": "", "IHCP-species-notes": "<p></p>" }, "Rat": { "ICCIF-species-checked": "notRecommended", "ICCIF-species-dilution-info": "", "ICCIF-species-notes": "", "IP-species-checked": "notRecommended", "IP-species-dilution-info": "", "IP-species-notes": "", "FlowCyt-species-checked": "notRecommended", "FlowCyt-species-dilution-info": "", "FlowCyt-species-notes": "", "WB-species-checked": "notRecommended", "WB-species-dilution-info": "", "WB-species-notes": "<p></p>", "IHCP-species-checked": "notRecommended", "IHCP-species-dilution-info": "", "IHCP-species-notes": "<p></p>" } } }

Product details

ab275934 is the carrier-free version of ab231767.

Patented technology
Our RabMAb® technology is a patented hybridoma-based technology for making rabbit monoclonal antibodies. For details on our patents, please refer to RabMAb® patents.

What are the advantages of a recombinant monoclonal antibody?
This product is a recombinant monoclonal antibody, which offers several advantages including:

  • - High batch-to-batch consistency and reproducibility
  • - Improved sensitivity and specificity
  • - Long-term security of supply
  • - Animal-free batch production

For more information, read more on recombinant antibodies.

Conjugation ready
Our carrier-free antibodies are typically supplied in a PBS-only formulation, purified and free of BSA, sodium azide and glycerol. This conjugation-ready format is designed for use with fluorochromes, metal isotopes, oligonucleotides, and enzymes, which makes them ideal for antibody labelling, functional and cell-based assays, flow-based assays (e.g. mass cytometry) and Multiplex Imaging applications.

Use our conjugation kits for antibody conjugates that are ready-to-use in as little as 20 minutes with 1 minute hands-on-time and 100% antibody recovery: available for fluorescent dyes, HRP, biotin and gold.

Compatibility
This product is compatible with the Maxpar® Antibody Labeling Kit from Fluidigm, without the need for antibody preparation. Maxpar® is a trademark of Fluidigm Canada Inc.

Properties and storage information

Form
Liquid
Purification technique
Affinity purification Protein A
Storage buffer
Constituents: 100% PBS
Shipped at conditions
Blue Ice
Appropriate short-term storage conditions
+4°C
Appropriate long-term storage conditions
+4°C

Supplementary information

This supplementary information is collated from multiple sources and compiled automatically.

PTPRH also known as human protein tyrosine phosphatase receptor type H (SAP-1) is a receptor-type protein tyrosine phosphatase. It weighs around 130 kDa. This protein is mainly found in epithelial tissues including the liver pancreas stomach and intestines. PTPRH contains an extracellular domain a single transmembrane region and an intracellular catalytic domain playing a significant role in dephosphorylation processes.
Biological function summary

PTPRH functions as a regulator of cellular signaling processes by modulating phosphorylation levels. It acts in the cellular communication network impacting cell growth differentiation and adhesion. This protein does not usually exist as part of a larger complex but interacts directly with phosphorylated substrates to exert its activity. PTPRH’s role in modulating signal transduction affects various cellular processes from metabolism to immune responses.

Pathways

PTPRH shows involvement in the MAPK/ERK signaling pathway and the PI3K/AKT signaling pathway. These pathways are important for transmitting extracellular signals to regulate gene expression and cell survival. PTPRH impacts molecular partners such as ERK and AKT through dephosphorylation influencing cellular responses. Its activity also integrates with other signaling molecules ensuring accurate control over cellular functions.

PTPRH associates with several pathologies with notable implications in cancer and liver disease. Loss of PTPRH function or alterations in its expression levels have been linked to colorectal cancer development due to disrupted cellular signaling. Additionally changes in PTPRH activity can affect proteins like EGFR which plays a part in cell proliferation and survival further connecting it to oncogenic processes. Understanding PTPRH's role provides insights into mechanisms leading to disease progression and potential therapeutic targets.

Product protocols

For this product, it's our understanding that no specific protocols are required. You can visit:

Target data

Protein phosphatase that may contribute to contact inhibition of cell growth and motility by mediating the dephosphorylation of focal adhesion-associated substrates and thus negatively regulating integrin-promoted signaling processes. Induces apoptotic cell death by at least two distinct mechanisms : inhibition of cell survival signaling mediated by PI 3-kinase, Akt, and ILK and activation of a caspase-dependent proapoptotic pathway. Inhibits the basal activity of LCK and its activation in response to TCR stimulation and TCR-induced activation of MAP kinase and surface expression of CD69. Inhibits TCR-induced tyrosine phosphorylation of LAT and ZAP70. Inhibits both basal activity of DOK1 and its CD2-induced tyrosine phosphorylation. Induces dephosphorylation of BCAR1, focal adhesion kinase and SRC. Reduces migratory activity of activity of Jurkat cells. Reduces tyrosine phosphorylation of CEACAM20 and thereby contributes to suppress the intestinal immune response CEACAM20 (By similarity).
See full target information PTPRH

Product promise

We are committed to supporting your work with high-quality reagents, and we're here for you every step of the way. In the unlikely event that one of our products does not perform as expected, you're protected by our Product Promise.
For full details, please see our Terms & Conditions

Please note: All products are 'FOR RESEARCH USE ONLY. NOT FOR USE IN DIAGNOSTIC OR THERAPEUTIC PROCEDURES'.

For licensing inquiries, please contact partnerships@abcam.com