JavaScript is disabled in your browser. Please enable JavaScript to view this website.
AB250146

Anti-PTPRR/PCPTP1 antibody [EPR13188] - BSA and Azide free

Be the first to review this product! Submit a review

|

(1 Publication)

Rabbit Recombinant Monoclonal PCPTP1/PTPRQ antibody. Carrier free. Suitable for WB and reacts with Human, Mouse, Rat samples. Cited in 1 publication.

View Alternative Names

ECPTP, PTPRQ, PTPRR, Receptor-type tyrosine-protein phosphatase R, R-PTP-R, Ch-1PTPase, NC-PTPCOM1, Protein-tyrosine phosphatase PCPTP1

2 Images
Western blot - Anti-PTPRR/PCPTP1 antibody [EPR13188] - BSA and Azide free (AB250146)
  • WB

Supplier Data

Western blot - Anti-PTPRR/PCPTP1 antibody [EPR13188] - BSA and Azide free (AB250146)

This data was developed using ab180134, the same antibody clone in a different buffer formulation.

All lanes:

Western blot - Anti-PTPRR/PCPTP1 antibody [EPR13188] (<a href='/en-us/products/primary-antibodies/ptprr-pcptp1-antibody-epr13188-ab180134'>ab180134</a>) at 1/5000 dilution

Lane 1:

Human cerebellum lysate at 20 µg

Lane 2:

Mouse brain lysate at 20 µg

Lane 3:

Rat brain lysate at 10 µg

Secondary

All lanes:

Goat Anti-Rabbit IgG, (H+L), Peroxidase conjugated at 1/1000 dilution

Predicted band size: 74 kDa

false

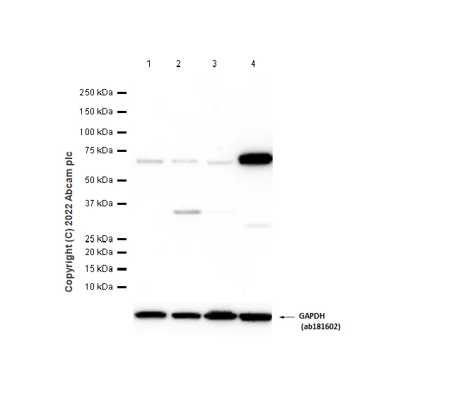
Western blot - Anti-PTPRR/PCPTP1 antibody [EPR13188] - BSA and Azide free (AB250146)
  • WB

Lab

Western blot - Anti-PTPRR/PCPTP1 antibody [EPR13188] - BSA and Azide free (AB250146)

Blocking buffer and concentration : 5% NFDM/TBST Diluting buffer and concentration : 5% NFDM /TBST This data was developed using ab180134, the same antibody clone in a different buffer formulation.

Lanes 1 - 4:

Western blot - Anti-PTPRR/PCPTP1 antibody [EPR13188] - BSA and Azide free (ab250146) at 1/1000 dilution

Lanes 1 - 4:

Western blot - Anti-PTPRR/PCPTP1 antibody [EPR13188] (<a href='/en-us/products/primary-antibodies/ptprr-pcptp1-antibody-epr13188-ab180134'>ab180134</a>) at 1/1000 dilution

Lane 1:

HEK293 (Human embryonic kidney epithelial cell) whole cell lysate at 20 µg

Lane 2:

SK-OV-3 (Human ovarian cancer epithelial cell) whole cell lysate at 20 µg

Lane 3:

HCT 116 (Human colorectal carcinoma epithelial cell) whole cell lysate at 20 µg

Lane 4:

Human cerebellum tissue lysate at 20 µg

Secondary

All lanes:

Goat Anti-Rabbit IgG (HRP) with minimal cross-reactivity with human IgG at 1/2000 dilution

Predicted band size: 74 kDa

Observed band size: 70 kDa

false

Exposure time: 20s

Key facts

Host species

Rabbit

Clonality

Monoclonal

Clone number

EPR13188

Isotype

IgG

Carrier free

Yes

Reacts with

Mouse, Rat, Human

Applications

WB

applications

Immunogen

The exact immunogen used to generate this antibody is proprietary information.

Reactivity data

{ "title": "Reactivity Data", "filters": { "stats": ["", "Species", "Dilution Info", "Notes"], "tabs": { "all-applications": {"fullname" : "All Applications", "shortname": "All Applications"}, "WB" : {"fullname" : "Western blot", "shortname":"WB"} }, "product-promise": { "all": "all", "testedAndGuaranteed": "tested", "guaranteed": "expected", "predicted": "predicted", "notRecommended": "not-recommended" } }, "values": { "Human": { "WB-species-checked": "testedAndGuaranteed", "WB-species-dilution-info": "", "WB-species-notes": "<p></p>" }, "Mouse": { "WB-species-checked": "testedAndGuaranteed", "WB-species-dilution-info": "", "WB-species-notes": "<p></p>" }, "Rat": { "WB-species-checked": "testedAndGuaranteed", "WB-species-dilution-info": "", "WB-species-notes": "<p></p>" } } }

Product details

ab250146 is the carrier-free version of ab180134.

Patented technology
Our RabMAb® technology is a patented hybridoma-based technology for making rabbit monoclonal antibodies. For details on our patents, please refer to RabMAb® patents.

What are the advantages of a recombinant monoclonal antibody?
This product is a recombinant monoclonal antibody, which offers several advantages including:

  • - High batch-to-batch consistency and reproducibility
  • - Improved sensitivity and specificity
  • - Long-term security of supply
  • - Animal-free batch production

For more information, read more on recombinant antibodies.

Conjugation ready
Our carrier-free antibodies are typically supplied in a PBS-only formulation, purified and free of BSA, sodium azide and glycerol. This conjugation-ready format is designed for use with fluorochromes, metal isotopes, oligonucleotides, and enzymes, which makes them ideal for antibody labelling, functional and cell-based assays, flow-based assays (e.g. mass cytometry) and Multiplex Imaging applications.

Use our conjugation kits for antibody conjugates that are ready-to-use in as little as 20 minutes with 1 minute hands-on-time and 100% antibody recovery: available for fluorescent dyes, HRP, biotin and gold.

Compatibility
This product is compatible with the Maxpar® Antibody Labeling Kit from Fluidigm, without the need for antibody preparation. Maxpar® is a trademark of Fluidigm Canada Inc.

Properties and storage information

Form
Liquid
Purification technique
Affinity purification Protein A
Storage buffer
pH: 7.2 - 7.4 Constituents: PBS
Shipped at conditions
Blue Ice
Appropriate short-term storage conditions
+4°C
Appropriate long-term storage conditions
+4°C
Storage information
Do Not Freeze

Supplementary information

This supplementary information is collated from multiple sources and compiled automatically.

The protein tyrosine phosphatase receptor type R (PTPRR) also known as PCPTP1 acts as a signaling molecule that regulates phosphorylation states in various cellular processes. The molecular mass of PTPRR is approximately 72 kDa. PTPRR predominantly expresses in the nervous system especially in the brain and cerebellum where it influences neuronal signaling pathways. Its role in the modulation of kinase activity highlights its importance in cellular function.
Biological function summary

PTPRR regulates the activity of mitogen-activated protein kinases (MAPKs) critical elements of intracellular signaling. PTPRR functions as part of multiprotein complexes involving MAPKs affecting their dephosphorylation and inactivation. This modulation influences several cellular responses such as cell growth differentiation and development asserting a significant role in neurophysiological processes.

Pathways

The PTPRR protein plays a role in the MAP kinase signaling pathway and the JNK pathway. By interacting with MAPKs like ERK it helps modulate the transmission of extracellular signals to cellular responses ensuring the appropriate cellular outcome. PTPRR through these pathways relates with other tyrosine phosphatases and interacts with adaptor proteins contributing to signal transduction fidelity and complexity.

Alterations in PTPRR function connect to neurological and psychiatric conditions. Dysregulation of PTPRR can lead to abnormal brain function with associations to disorders like schizophrenia and certain neurodegenerative diseases. Through these disease contexts PTPRR links with other phosphatases such as DUSP6 and MAP kinases highlighting its role in maintaining neuronal health and its potential as a therapeutic target.

Product protocols

For this product, it's our understanding that no specific protocols are required. You can visit:

Target data

Sequesters mitogen-activated protein kinases (MAPKs) such as MAPK1, MAPK3 and MAPK14 in the cytoplasm in an inactive form. The MAPKs bind to a dephosphorylated kinase interacting motif, phosphorylation of which by the protein kinase A complex releases the MAPKs for activation and translocation into the nucleus (By similarity).
See full target information PTPRR

Publications (1)

Recent publications for all applications. Explore the full list and refine your search

The Journal of biological chemistry 295:12868-12884 PubMed32580945

2020

Adipose mesenchymal stem cell-derived extracellular vesicles containing microRNA-26a-5p target TLR4 and protect against diabetic nephropathy.

Applications

Unspecified application

Species

Unspecified reactive species

Yurui Duan,Qingyang Luo,Yun Wang,Yali Ma,Fang Chen,Xiaoguang Zhu,Jun Shi
View all publications

Product promise

We are committed to supporting your work with high-quality reagents, and we're here for you every step of the way. In the unlikely event that one of our products does not perform as expected, you're protected by our Product Promise.
For full details, please see our Terms & Conditions

Please note: All products are 'FOR RESEARCH USE ONLY. NOT FOR USE IN DIAGNOSTIC OR THERAPEUTIC PROCEDURES'.

For licensing inquiries, please contact partnerships@abcam.com