JavaScript is disabled in your browser. Please enable JavaScript to view this website.
AB308624

Anti-PTRF antibody [EPR27006-67] - BSA and Azide free

  • BOND RX™ Validated
  • RabMAb
  • Recombinant
  • KO Validated
  • What is this?

Be the first to review this product! Submit a review

|

(0 Publication)

Knockout Tested Rabbit Recombinant Monoclonal PTRF antibody. Carrier free. Suitable for WB, IHC-P, ICC/IF, Flow Cyt (Intra) and reacts with Human, Rat samples.

View Alternative Names

PTRF, FKSG13, CAVIN1, Caveolae-associated protein 1, Cavin-1, Polymerase I and transcript release factor

9 Images
Flow Cytometry (Intracellular) - Anti-PTRF antibody [EPR27006-67] - BSA and Azide free (AB308624)
  • Flow Cyt (Intra)

Supplier Data

Flow Cytometry (Intracellular) - Anti-PTRF antibody [EPR27006-67] - BSA and Azide free (AB308624)

This data was developed using ab308623, the same antibody clone in a different buffer formulation. Flow cytometric analysis of 4% paraformaldehyde fixed 90% methanol permeabilized PTRF KO HeLa (ED030969, human PTRF knockout cervical adenocarcinoma epithelial cell, Left) / Parental HeLa (Right) cells labelling PTRF with ab308623 at 1/50 dilution (1 ug)/Red (Red) compared with a Rabbit monoclonal IgG (ab172730) (Black) isotype control and an unlabelled control (cells without incubation with primary antibody and secondary antibody) (Blue). A Goat Anti-Rabbit IgG (Alexa Fluor® 488, ab150081) at 1/5000 dilution was used as the secondary antibody.

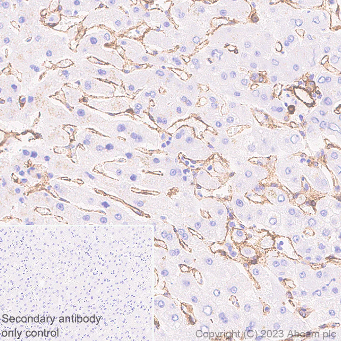
Immunohistochemistry (Formalin/PFA-fixed paraffin-embedded sections) - Anti-PTRF antibody [EPR27006-67] - BSA and Azide free (AB308624)
  • IHC-P

Supplier Data

Immunohistochemistry (Formalin/PFA-fixed paraffin-embedded sections) - Anti-PTRF antibody [EPR27006-67] - BSA and Azide free (AB308624)

Immunohistochemical analysis of paraffin-embedded Human liver tissue labelling PTRF with ab308623 at 1/2000 (0.252 ug/ml) followed by a ready to use LeicaDS9800 (Bond™ Polymer Refine Detection). Positive staining on stromal cells of human liver (PMID : 33042738). The section was incubated with ab308623 for 30 mins at room temperature. The immunostaining was performed on a Leica Biosystems BOND® RX instrument Counterstained with Hematoxylin. Secondary antibody only control : Secondary antibody is a ready to use LeicaDS9800 (Bond™ Polymer Refine Detection). Heat mediated antigen retrieval was performed with Tris-EDTA buffer (pH 9.0, Epitope Retrieval Solution2) for 20 mins

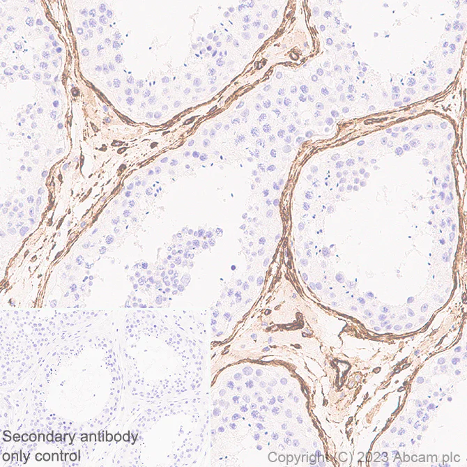
Immunohistochemistry (Formalin/PFA-fixed paraffin-embedded sections) - Anti-PTRF antibody [EPR27006-67] - BSA and Azide free (AB308624)
  • IHC-P

Supplier Data

Immunohistochemistry (Formalin/PFA-fixed paraffin-embedded sections) - Anti-PTRF antibody [EPR27006-67] - BSA and Azide free (AB308624)

Immunohistochemical analysis of paraffin-embedded Human testis tissue labelling PTRF with ab308623 at 1/2000 (0.252 ug/ml) followed by a ready to use LeicaDS9800 (Bond™ Polymer Refine Detection). Positive staining on stromal cells of human testis. The section was incubated with ab308623 for 30 mins at room temperature. The immunostaining was performed on a Leica Biosystems BOND® RX instrument Counterstained with Hematoxylin. Secondary antibody only control : Secondary antibody is a ready to use LeicaDS9800 (Bond™ Polymer Refine Detection). Heat mediated antigen retrieval was performed with Tris-EDTA buffer (pH 9.0, Epitope Retrieval Solution2) for 20 mins

Immunohistochemistry (Formalin/PFA-fixed paraffin-embedded sections) - Anti-PTRF antibody [EPR27006-67] - BSA and Azide free (AB308624)
  • IHC-P

Supplier Data

Immunohistochemistry (Formalin/PFA-fixed paraffin-embedded sections) - Anti-PTRF antibody [EPR27006-67] - BSA and Azide free (AB308624)

Immunohistochemical analysis of paraffin-embedded Human ovarian carcin tissue labelling PTRF with ab308623 at 1/2000 (0.252 ug/ml) followed by a ready to use LeicaDS9800 (Bond™ Polymer Refine Detection). Positive staining on stromal cells of human ovarian carcinoma. The section was incubated with ab308623 for 30 mins at room temperature. The immunostaining was performed on a Leica Biosystems BOND® RX instrument Counterstained with Hematoxylin. Secondary antibody only control : Secondary antibody is a ready to use LeicaDS9800 (Bond™ Polymer Refine Detection). Heat mediated antigen retrieval was performed with Tris-EDTA buffer (pH 9.0, Epitope Retrieval Solution2) for 20 mins

Immunocytochemistry/ Immunofluorescence - Anti-PTRF antibody [EPR27006-67] - BSA and Azide free (AB308624)
  • ICC/IF

Supplier Data

Immunocytochemistry/ Immunofluorescence - Anti-PTRF antibody [EPR27006-67] - BSA and Azide free (AB308624)

This data was developed using ab308623, the same antibody clone in a different buffer formulation. Immunofluorescent analysis of 4% Paraformaldehyde-fixed, 0.1% TritonX-100 permeabilized PTRF KO HeLa (PTRF knockout human cervical adenocarcinoma epithelial cel), ab265435 cells labelling PTRF with ab308623 at 1/500 (1.008 ug/ml) dilution, followed by ab150081 Goat Anti-Rabbit IgG H&L (Alexa Fluor® 488) preadsorbed antibody at 1/1000 2 ug/ml dilution (Green). Confocal image showing membranous and cytoplasmic staining in wildtype HeLa cells and showing no staining in PTRF knockout HeLa cells. Image was taken with a confocal microscope(Leica-Microsystems, TCS SP8). ab195889 Anti-alpha Tubulin mouse monoclonal antibody - Microtubule Marker (Alexa Fluor® 594) was used to counterstain tubulin at 1/200 2.5ug/ml dilution (Red). The Nuclear counterstain was DAPI (Blue). Secondary antibody only control : Secondary antibody is ab150081 Goat Anti-Rabbit IgG H&L (Alexa Fluor® 488) preadsorbed at 1/1000 2 ug/ml dilution.

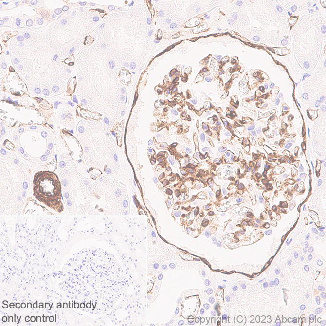
Immunohistochemistry (Formalin/PFA-fixed paraffin-embedded sections) - Anti-PTRF antibody [EPR27006-67] - BSA and Azide free (AB308624)
  • IHC-P

Supplier Data

Immunohistochemistry (Formalin/PFA-fixed paraffin-embedded sections) - Anti-PTRF antibody [EPR27006-67] - BSA and Azide free (AB308624)

Immunohistochemical analysis of paraffin-embedded Human kidney tissue labelling PTRF with ab308623 at 1/2000 (0.252 ug/ml) followed by a ready to use LeicaDS9800 (Bond™ Polymer Refine Detection). Positive staining on stromal cells of human kidney (PMID : 29065889). The section was incubated with ab308623 for 30 mins at room temperature. The immunostaining was performed on a Leica Biosystems BOND® RX instrument Counterstained with Hematoxylin. Secondary antibody only control : Secondary antibody is a ready to use LeicaDS9800 (Bond™ Polymer Refine Detection). Heat mediated antigen retrieval was performed with Tris-EDTA buffer (pH 9.0, Epitope Retrieval Solution2) for 20 mins

Immunohistochemistry (Formalin/PFA-fixed paraffin-embedded sections) - Anti-PTRF antibody [EPR27006-67] - BSA and Azide free (AB308624)
  • IHC-P

Supplier Data

Immunohistochemistry (Formalin/PFA-fixed paraffin-embedded sections) - Anti-PTRF antibody [EPR27006-67] - BSA and Azide free (AB308624)

Immunohistochemical analysis of paraffin-embedded Rat testis tissue labelling PTRF with ab308623 at 1/2000 (0.252 ug/ml) followed by a ready to use LeicaDS9800 (Bond™ Polymer Refine Detection). Positive staining on stromal cells of rat testis (PMID : 27088550). The section was incubated with ab308623 for 30 mins at room temperature. The immunostaining was performed on a Leica Biosystems BOND® RX instrument Counterstained with Hematoxylin. Secondary antibody only control : Secondary antibody is a ready to use LeicaDS9800 (Bond™ Polymer Refine Detection). Heat mediated antigen retrieval was performed with Tris-EDTA buffer (pH 9.0, Epitope Retrieval Solution2) for 20 mins

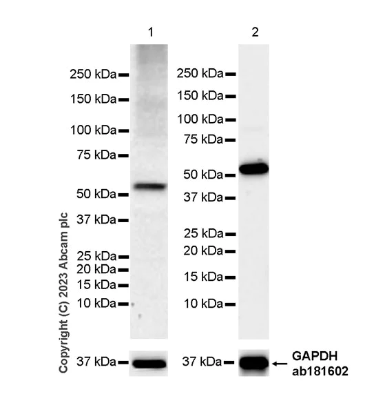
Western blot - Anti-PTRF antibody [EPR27006-67] - BSA and Azide free (AB308624)
  • WB

Supplier Data

Western blot - Anti-PTRF antibody [EPR27006-67] - BSA and Azide free (AB308624)

This data was developed using 308623, the same antibody clone in a different buffer formulation.  Blocking and diluting buffer and concentration : 5% NFDM/TBST. The blot of lane 1 was developed using a high sensitivity ECL substrate. In Western blot, anti-GAPDH antibody (ab181602) loading control staining at 1/200000 dilution. Exposure time : Lane 1 : 180 seconds, lane 2 : 59 seconds

All lanes:

Western blot - Anti-PTRF antibody [EPR27006-67] (<a href='/en-us/products/primary-antibodies/ptrf-antibody-epr27006-67-ab308623'>ab308623</a>) at 1/1000 dilution

Lane 1:

Human kidney tissue lysate at 20 µg

Lane 2:

U-2 OS (human bone osteosarcoma epithelial cell) whole cell lysate at 20 µg

Secondary

All lanes:

Western blot - Goat Anti-Rabbit IgG H&L (HRP) (<a href='/en-us/products/secondary-antibodies/goat-rabbit-igg-h-l-hrp-ab97051'>ab97051</a>) at 1/100000 dilution

Predicted band size: 43 kDa

Observed band size: 43 kDa

false

Western blot - Anti-PTRF antibody [EPR27006-67] - BSA and Azide free (AB308624)
  • WB

Supplier Data

Western blot - Anti-PTRF antibody [EPR27006-67] - BSA and Azide free (AB308624)

This data was developed using 308623, the same antibody clone in a different buffer formulation.  Blocking and diluting buffer and concentration : Intercept® (TBS) Blocking Buffer diluted with an equal volume of TBS. Lysates at 20 µg per lane. The samples were run on a Bis-Tris gel under reducing conditions. Western blot : Anti-PTRF antibody (ab308623) staining at 1/1000 dilution, shown in green; Mouse anti-GAPDH antibody 6C5 (ab8245) loading control staining at 1/20000 dilution, shown in red. In Western blot, ab308623 was shown to bind specifically to PTRF. Target of interest was observed at 50 kDa in wild-type HeLa cell lysates (lane 1) with no signal observed at this size in PTRF knockout cell line ab265435  (knockout cell lysate ab257620) (lane 2).  To generate this image, samples were first run on an SDS-PAGE gel then transferred onto an immobilon-FL PVDF membrane.  Membranes were blocked in a fluorescent western blot (TBS-based) blocking solution before incubation with primary antibodies overnight at 4 °C.  Blots were washed in TBS-T, incubated with secondary antibodies Goat anti-Rabbit IgG H&L 800CW and Goat anti-Mouse IgG H&L 680RD at 1/20000 dilution for 1 h at room temperature, washed again then imaged.

Lane 1:

Wild-type HeLa whole cell lysate at 20 µg

Lane 2:

PTRF knockout HeLa whole cell lysate at 20 µg

Predicted band size: 43 kDa

Observed band size: 50 kDa

false

Key facts

Host species

Rabbit

Clonality

Monoclonal

Clone number

EPR27006-67

Isotype

IgG

Carrier free

Yes

Reacts with

Rat, Human

Applications

ICC/IF, IHC-P, Flow Cyt (Intra), WB

applications

Immunogen

The exact immunogen used to generate this antibody is proprietary information.

Reactivity data

{ "title": "Reactivity Data", "filters": { "stats": ["", "Species", "Dilution Info", "Notes"], "tabs": { "all-applications": {"fullname" : "All Applications", "shortname": "All Applications"}, "WB" : {"fullname" : "Western blot", "shortname":"WB"}, "IHCP" : {"fullname" : "Immunohistochemistry (Formalin/PFA-fixed paraffin-embedded sections)", "shortname":"IHC-P"}, "ICCIF" : {"fullname" : "Immunocytochemistry/ Immunofluorescence", "shortname":"ICC/IF"}, "FlowCytIntra" : {"fullname" : "Flow Cytometry (Intracellular)", "shortname":"Flow Cyt (Intra)"}, "IP" : {"fullname" : "Immunoprecipitation", "shortname":"IP"} }, "product-promise": { "all": "all", "testedAndGuaranteed": "tested", "guaranteed": "expected", "predicted": "predicted", "notRecommended": "not-recommended" } }, "values": { "Human": { "WB-species-checked": "testedAndGuaranteed", "WB-species-dilution-info": "", "WB-species-notes": "<p></p>", "IHCP-species-checked": "testedAndGuaranteed", "IHCP-species-dilution-info": "", "IHCP-species-notes": "<p></p>", "ICCIF-species-checked": "testedAndGuaranteed", "ICCIF-species-dilution-info": "", "ICCIF-species-notes": "<p></p>", "FlowCytIntra-species-checked": "testedAndGuaranteed", "FlowCytIntra-species-dilution-info": "", "FlowCytIntra-species-notes": "<p></p>", "IP-species-checked": "notRecommended", "IP-species-dilution-info": "", "IP-species-notes": "<p></p>" }, "Mouse": { "WB-species-checked": "notRecommended", "WB-species-dilution-info": "", "WB-species-notes": "<p></p>", "IHCP-species-checked": "notRecommended", "IHCP-species-dilution-info": "", "IHCP-species-notes": "<p></p>", "ICCIF-species-checked": "notRecommended", "ICCIF-species-dilution-info": "", "ICCIF-species-notes": "<p></p>", "FlowCytIntra-species-checked": "notRecommended", "FlowCytIntra-species-dilution-info": "", "FlowCytIntra-species-notes": "<p></p>", "IP-species-checked": "notRecommended", "IP-species-dilution-info": "", "IP-species-notes": "" }, "Rat": { "WB-species-checked": "notRecommended", "WB-species-dilution-info": "", "WB-species-notes": "<p></p>", "IHCP-species-checked": "testedAndGuaranteed", "IHCP-species-dilution-info": "", "IHCP-species-notes": "<p></p>", "ICCIF-species-checked": "guaranteed", "ICCIF-species-dilution-info": "", "ICCIF-species-notes": "", "FlowCytIntra-species-checked": "guaranteed", "FlowCytIntra-species-dilution-info": "", "FlowCytIntra-species-notes": "", "IP-species-checked": "notRecommended", "IP-species-dilution-info": "", "IP-species-notes": "" } } }

Product details

Patented technology
Our RabMAb® technology is a patented hybridoma-based technology for making rabbit monoclonal antibodies. For details on our patents, please refer to RabMAb® patents.

What are the advantages of a recombinant monoclonal antibody?
This product is a recombinant monoclonal antibody, which offers several advantages including:

  • - High batch-to-batch consistency and reproducibility
  • - Improved sensitivity and specificity
  • - Long-term security of supply
  • - Animal-free batch production

For more information, read more on recombinant antibodies.

Conjugation ready
Our carrier-free antibodies are typically supplied in a PBS-only formulation, purified and free of BSA, sodium azide and glycerol. This conjugation-ready format is designed for use with fluorochromes, metal isotopes, oligonucleotides, and enzymes, which makes them ideal for antibody labelling, functional and cell-based assays, flow-based assays (e.g. mass cytometry) and Multiplex Imaging applications.

Use our conjugation kits for antibody conjugates that are ready-to-use in as little as 20 minutes with 1 minute hands-on-time and 100% antibody recovery: available for fluorescent dyes, HRP, biotin and gold.

Compatibility
This product is compatible with the Maxpar® Antibody Labeling Kit from Fluidigm, without the need for antibody preparation. Maxpar® is a trademark of Fluidigm Canada Inc.

Properties and storage information

Form
Liquid
Purification technique
Affinity purification Protein A
Storage buffer
pH: 7.2 - 7.4 Constituents: PBS
Shipped at conditions
Blue Ice
Appropriate short-term storage conditions
+4°C
Appropriate long-term storage conditions
+4°C

Supplementary information

This supplementary information is collated from multiple sources and compiled automatically.

PTRF also known as Cavin-1 is a protein with a mass of approximately 43 kDa. It functions primarily as a regulator of caveolae formation and stability. Caveolae are small flask-shaped invaginations in the plasma membrane. PTRF interacts directly with caveolin proteins to facilitate caveolae assembly. It is largely expressed in adipose tissue muscle tissue and endothelial cells indicating a significant role in cellular processes in these cells.
Biological function summary

PTRF facilitates various processes like signal transduction and lipid metabolism due to its role in caveolae function. As part of the caveolae complex it is essential for maintaining structural integrity and organization. PTRF interacts with other proteins such as cavin family members and caveolins aiding in cellular response to mechanochemical stimuli. By regulating the caveolae PTRF influences activities including endocytosis and potocytosis.

Pathways

PTRF is critical in cholesterol homeostasis and endothelial nitric oxide synthase (eNOS) signaling pathways. It associates with caveolin-1 modulating these pathways to balance lipid composition and promote endothelial function. The interaction between PTRF and caveolin-1 enhances nitric oxide production which is important for vascular tone regulation and cellular stress response. This positions PTRF as a regulator in cardiovascular and metabolic pathways.

Defects or deficiencies in PTRF can lead to disorders such as lipodystrophy and muscular dystrophy. The absence or malfunction of PTRF disrupts normal caveolae structure leading to impaired lipid storage and muscle function. PTRF's interaction with caveolin-1 connects it to cardiovascular diseases as caveolin-1 mutations contribute to the pathogenesis of cardiac dysfunction. Understanding PTRF's role offers insights into therapeutic strategies for these conditions.

Product protocols

For this product, it's our understanding that no specific protocols are required. You can visit:

Target data

Plays an important role in caveolae formation and organization. Essential for the formation of caveolae in all tissues (PubMed : 18056712, PubMed : 18191225, PubMed : 19726876). Core component of the CAVIN complex which is essential for recruitment of the complex to the caveolae in presence of calveolin-1 (CAV1). Essential for normal oligomerization of CAV1. Promotes ribosomal transcriptional activity in response to metabolic challenges in the adipocytes and plays an important role in the formation of the ribosomal transcriptional loop. Dissociates transcription complexes paused by DNA-bound TTF1, thereby releasing both RNA polymerase I and pre-RNA from the template (By similarity) (PubMed : 18056712, PubMed : 18191225, PubMed : 19726876). The caveolae biogenesis pathway is required for the secretion of proteins such as GASK1A (By similarity).
See full target information CAVIN1

Product promise

We are committed to supporting your work with high-quality reagents, and we're here for you every step of the way. In the unlikely event that one of our products does not perform as expected, you're protected by our Product Promise.
For full details, please see our Terms & Conditions

Please note: All products are 'FOR RESEARCH USE ONLY. NOT FOR USE IN DIAGNOSTIC OR THERAPEUTIC PROCEDURES'.

For licensing inquiries, please contact partnerships@abcam.com