JavaScript is disabled in your browser. Please enable JavaScript to view this website.
AB227835

Anti-PU.1/Spi1 antibody [EPR22624-20] - ChIP Grade

  • BOND RX™ Validated
  • RabMAb
  • Recombinant
  • 20ul selling size
  • What is this?

Be the first to review this product! Submit a review

|

(25 Publications)

Rabbit Recombinant Monoclonal PU.1/Spi1 antibody. Suitable for IP, ChIP, WB, ICC/IF, Flow Cyt (Intra), IHC-P and reacts with Mouse samples. Cited in 25 publications.

View Alternative Names

Sfpi-1, Sfpi1, Spi1, Transcription factor PU.1, 31 kDa-transforming protein, SFFV proviral integration 1 protein

7 Images
Immunocytochemistry/ Immunofluorescence - Anti-PU.1/Spi1 antibody [EPR22624-20] - ChIP Grade (AB227835)
  • ICC/IF

Unknown

Immunocytochemistry/ Immunofluorescence - Anti-PU.1/Spi1 antibody [EPR22624-20] - ChIP Grade (AB227835)

Immunofluorescent analysis of 4% parafoprmal;dehyde-fixed, 0.1% Triton X-100 permeabilized RAW 264.7 (Mouse Abelson murine leukemia virus-induced tumor macrophage) cells labeling PU.1/Spi1 with ab227835 at 1/500 dilution, followed by ab150077 AlexaFluor®488 Goat anti-Rabbit secondary at 1/1000 dilution (green). Confocal image showing nuclear staining in RAW 264.7 cell line. The nuclear counter stain is DAPI (blue). Tubulin is detected with ab195889 Anti-alpha Tubulin antibody [DM1A] - Microtubule Marker (Alexa Fluor® 594) at 1/200 dilution (red).

Secodary antibody only control : Used PBS instead of primary antibody, followed by ab150077 AlexaFluor®488 Goat anti-Rabbit secondary at 1/1000 dilution.

Flow Cytometry (Intracellular) - Anti-PU.1/Spi1 antibody [EPR22624-20] - ChIP Grade (AB227835)
  • Flow Cyt (Intra)

Unknown

Flow Cytometry (Intracellular) - Anti-PU.1/Spi1 antibody [EPR22624-20] - ChIP Grade (AB227835)

Intracellular flow cytometric analysis of 4% paraformaldehyde fixed 90% methanol permeabilized RAW264.7 (mouse Abelson murine leukemia virus-induced tumor macrophage) cells labelling Spi1 with ab227835 at 1/50 dilution (Red) compared with a Rabbit monoclonal IgG (ab172730) isotype control (black)and an unlabelled control (cells without incubation with primary antibody and secondary antibody) (Blue). A Goat anti rabbit IgG (Alexa Fluor® 488, ab150077) at 1/2000 dilution was used as the secondary antibody.

Immunohistochemistry (Formalin/PFA-fixed paraffin-embedded sections) - Anti-PU.1/Spi1 antibody [EPR22624-20] - ChIP Grade (AB227835)
  • IHC-P

Unknown

Immunohistochemistry (Formalin/PFA-fixed paraffin-embedded sections) - Anti-PU.1/Spi1 antibody [EPR22624-20] - ChIP Grade (AB227835)

Immunohistochemical analysis of paraffin-embedded Mouse spleen tissue labeling Spi1 with ab227835 at 1/5000 dilution (0.103 ug/ml) followed by a ready to use Rabbit specific IHC polymer detection kit HRP/DAB (ab209101). Nuclear staining on mouse spleen. The section was incubated with ab227835 for 15 mins at RT. The immunostaining staining was performed on a Leica Biosystems BOND® RX instrument Counterstained with Hematoxylin.

Secondary antibody only control/ Secondary antibody is a ready to use Rabbit specific IHC polymer detection kit HRP/DAB (ab209101).

Heat mediated antigen retrieval with Tris-EDTA buffer (pH 9.0, epitope retrieval solution 2) for 20 mins.

Immunohistochemistry (Formalin/PFA-fixed paraffin-embedded sections) - Anti-PU.1/Spi1 antibody [EPR22624-20] - ChIP Grade (AB227835)
  • IHC-P

Unknown

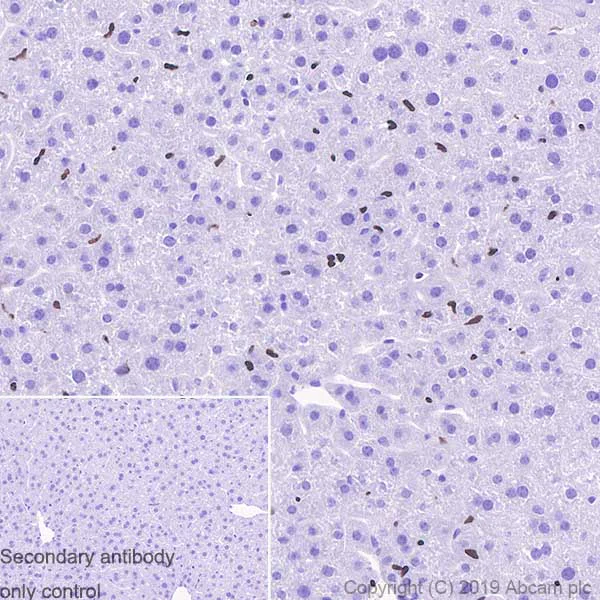
Immunohistochemistry (Formalin/PFA-fixed paraffin-embedded sections) - Anti-PU.1/Spi1 antibody [EPR22624-20] - ChIP Grade (AB227835)

Immunohistochemical analysis of paraffin-embedded Mouse liver tissue labeling Spi1 with ab227835 at 1/5000 dilution (0.103 ug/ml) followed by a ready to use Rabbit specific IHC polymer detection kit HRP/DAB (ab209101). Nuclear staining in Kupffer cells of moue liver. The section was incubated with ab227835 for 15 mins at RT. The immunostaining staining was performed on a Leica Biosystems BOND® RX instrument Counterstained with Hematoxylin.

Secondary antibody only control/ Secondary antibody is a ready to use Rabbit specific IHC polymer detection kit HRP/DAB (ab209101).

Heat mediated antigen retrieval with Tris-EDTA buffer (pH 9.0, epitope retrieval solution 2) for 20 mins.

ChIP - Anti-PU.1/Spi1 antibody [EPR22624-20] - ChIP Grade (AB227835)
  • ChIP

Lab

ChIP - Anti-PU.1/Spi1 antibody [EPR22624-20] - ChIP Grade (AB227835)

Chromatin was prepared from J774A.1 cells according to the Abcam Dual-X-ChIP protocol*. Cells were fixed with 1.5 mM EGS for 30 mins and then formaldehyde for 10 min.

The ChIP was performed with 25 μg of chromatin, 5 μg of ab227835 (red), or 5 μg of rabbit normal IgG ab172730 (gray) and 20 μl of Protein A/G sepharose beads. The immunoprecipitated DNA was quantified by real time PCR (Taqman approach for active and inactive loci, Sybr green approach for heterochromatic loci).

Primers and probes are from paper PMID : 11869689

*http : //www.abcam.com/resources?keywords=X%20ChIP%20protocol

Immunoprecipitation - Anti-PU.1/Spi1 antibody [EPR22624-20] - ChIP Grade (AB227835)
  • IP

Unknown

Immunoprecipitation - Anti-PU.1/Spi1 antibody [EPR22624-20] - ChIP Grade (AB227835)

Spi1 was immunoprecipitated from 0.35 mg J774A.1 (mouse reticulum cell sarcoma monocyte macrophage) whole cell lysate with ab227835 at 1/30 dilution (2ug in 0.35mg lysates). Western blot was performed on the immunoprecipitate using ab227835 at 1/1000 dilution. VeriBlot for IP Detection Reagent (HRP) (ab131366) was used at 1/5000 dilution.

Lane 1 : J774A.1 (mouse reticulum cell sarcoma monocyte macrophage) whole cell lysate 10ug

Lane 2 : ab227835 IP in J774A.1 whole cell lysate

Lane 3 : Rabbit monoclonal IgG (ab172730) instead of ab227835 in J774A.1 whole cell lysate

Blocking and dilution buffer and concentration : 5% NFDM/TBST.

Exposure time : 30 seconds

All lanes:

Immunoprecipitation - Anti-PU.1/Spi1 antibody [EPR22624-20] - ChIP Grade (ab227835)

Predicted band size: 31 kDa

false

Western blot - Anti-PU.1/Spi1 antibody [EPR22624-20] - ChIP Grade (AB227835)
  • WB

Unknown

Western blot - Anti-PU.1/Spi1 antibody [EPR22624-20] - ChIP Grade (AB227835)

Blocking and dilution buffer : 5% NFDM/TBST .

Exposure times.

Lanes 1-2 : 26 seconds; Lane 3 : 3 minuters.

Negative control : NIH/3T3 cell line (PMID : 23509362, 16331260).

All lanes:

Western blot - Anti-PU.1/Spi1 antibody [EPR22624-20] - ChIP Grade (ab227835) at 1/1000 dilution

Lane 1:

RAW264.7 (mouse Abelson murine leukemia virus-induced tumor macrophage), whole cell lysate at 20 µg

Lane 2:

NIH/3T3 (mouse embryonic fibroblast), whole cell lysate at 20 µg

Lane 3:

J774A.1 (mouse reticulum cell sarcoma monocyte macrophage), whole cell at 20 µg

Secondary

All lanes:

Western blot - Goat Anti-Rabbit IgG H&L (HRP) (<a href='/en-us/products/secondary-antibodies/goat-rabbit-igg-h-l-hrp-ab97051'>ab97051</a>) at 1/50000 dilution

Predicted band size: 31 kDa

false

  • Carrier free

    Anti-PU.1/Spi1 antibody [EPR22624-20] - ChIP Grade - BSA and Azide free

Key facts

Host species

Rabbit

Clonality

Monoclonal

Clone number

EPR22624-20

Isotype

IgG

Carrier free

No

Reacts with

Mouse

Applications

IP, ChIP, Flow Cyt (Intra), IHC-P, ICC/IF, WB

applications

Immunogen

The exact immunogen used to generate this antibody is proprietary information.

Reactivity data

{ "title": "Reactivity Data", "filters": { "stats": ["", "Species", "Dilution Info", "Notes"], "tabs": { "all-applications": {"fullname" : "All Applications", "shortname": "All Applications"}, "IP" : {"fullname" : "Immunoprecipitation", "shortname":"IP"}, "ChIP" : {"fullname" : "ChIP", "shortname":"ChIP"}, "WB" : {"fullname" : "Western blot", "shortname":"WB"}, "ICCIF" : {"fullname" : "Immunocytochemistry/ Immunofluorescence", "shortname":"ICC/IF"}, "FlowCytIntra" : {"fullname" : "Flow Cytometry (Intracellular)", "shortname":"Flow Cyt (Intra)"}, "IHCP" : {"fullname" : "Immunohistochemistry (Formalin/PFA-fixed paraffin-embedded sections)", "shortname":"IHC-P"} }, "product-promise": { "all": "all", "testedAndGuaranteed": "tested", "guaranteed": "expected", "predicted": "predicted", "notRecommended": "not-recommended" } }, "values": { "Mouse": { "IP-species-checked": "testedAndGuaranteed", "IP-species-dilution-info": "1/30", "IP-species-notes": "<p></p>", "ChIP-species-checked": "testedAndGuaranteed", "ChIP-species-dilution-info": "5 µg for 25 µg chromatin", "ChIP-species-notes": "<p></p>", "WB-species-checked": "testedAndGuaranteed", "WB-species-dilution-info": "1/1000", "WB-species-notes": "<p></p>", "ICCIF-species-checked": "testedAndGuaranteed", "ICCIF-species-dilution-info": "1/500", "ICCIF-species-notes": "<p></p>", "FlowCytIntra-species-checked": "testedAndGuaranteed", "FlowCytIntra-species-dilution-info": "1/50", "FlowCytIntra-species-notes": "<p></p>", "IHCP-species-checked": "testedAndGuaranteed", "IHCP-species-dilution-info": "1/5000", "IHCP-species-notes": "<p></p> Perform heat-mediated antigen retrieval with Tris/EDTA buffer pH 9.0 before commencing with IHC staining protocol." } } }

Product details

Patented technology
Our RabMAb® technology is a patented hybridoma-based technology for making rabbit monoclonal antibodies. For details on our patents, please refer to RabMAb® patents.

What are the advantages of a recombinant monoclonal antibody?
This product is a recombinant monoclonal antibody, which offers several advantages including:

  • - High batch-to-batch consistency and reproducibility
  • - Improved sensitivity and specificity
  • - Long-term security of supply
  • - Animal-free batch production

For more information, read more on recombinant antibodies.

Properties and storage information

Form
Liquid
Purification technique
Affinity purification Protein A
Storage buffer
pH: 7.2 - 7.4 Preservative: 0.01% Sodium azide Constituents: PBS, 40% Glycerol (glycerin, glycerine), 0.05% BSA
Shipped at conditions
Blue Ice
Appropriate short-term storage duration
1-2 weeks
Appropriate short-term storage conditions
+4°C
Appropriate long-term storage conditions
-20°C
Aliquoting information
Upon delivery aliquot
Storage information
Avoid freeze / thaw cycle

Supplementary information

This supplementary information is collated from multiple sources and compiled automatically.

PU.1 also known as Spi1 is a transcription factor that belongs to the ETS family of transcription factors. It plays a major role in gene regulation and is an important player in hematopoietic cell differentiation. PU.1 has a molecular mass of approximately 31 kDa and is predominantly expressed in hematopoietic cells such as myeloid and B-lymphoid cells. It actively interacts with specific DNA sequences to regulate the expression of target genes.
Biological function summary

PU.1 influences the development and function of various blood cells including macrophages neutrophils and B-cells. It is essential for the regulation of genes involved in immune responses cell proliferation and survival. PU.1 functions as part of a larger transcriptional regulatory complex and often partners with other transcription factors and coactivators to exert its effects. This cooperation allows precise gene expression control in specific cell lineages.

Pathways

Expression of PU.1 is critical in the hematopoietic development pathway and the immune response pathway. It closely interacts with other transcription factors like GATA-1 and C/EBPα forming a network that affects hematopoietic lineage commitment. Within these pathways PU.1 constantly coordinates signals that influence progenitor cell fate and differentiation ensuring a balanced proportion of cell types within the blood.

PU.1 has significant implications in leukemia and other hematological malignancies. Dysregulation or mutation of PU.1 can lead to improper hematopoietic cell development and contribute to acute myeloid leukemia (AML) and other blood disorders. Additionally its expression level is closely linked with immune system function associating PU.1 indirectly with autoimmune conditions. In these contexts the interaction with other proteins like AML1 and C/EBPγ can influence disease pathogenesis by modulating gene expression patterns critical for normal hematopoietic and immune function.

Product protocols

For this product, it's our understanding that no specific protocols are required. You can visit:

Target data

Pioneer transcription factor, which controls hematopoietic cell fate by decompacting stem cell heterochromatin and allowing other transcription factors to enter otherwise inaccessible genomic sites (PubMed : 8079170). Once in open chromatin, can directly control gene expression by binding genetic regulatory elements and can also more broadly influence transcription by recruiting transcription factors, such as interferon regulatory factors (IRFs), to otherwise inaccessible genomic regions (By similarity). Transcriptionally activates genes important for myeloid and lymphoid lineages, such as CSF1R (By similarity). Transcriptional activation from certain promoters, possibly containing low affinity binding sites, is achieved cooperatively with other transcription factors. FCER1A transactivation is achieved in cooperation with GATA1 (By similarity). May be particularly important for the pro- to pre-B cell transition (PubMed : 8079170). Binds (via the ETS domain) onto the purine-rich DNA core sequence 5'-GAGGAA-3', also known as the PU-box (PubMed : 2180582). In vitro can bind RNA and interfere with pre-mRNA splicing (PubMed : 8626664).
See full target information Spi1

Publications (25)

Recent publications for all applications. Explore the full list and refine your search

Nature communications 16:7228 PubMed40764291

2025

Targeting Msx2 as a brake in the fusion fate of osteoclasts and an anabolic therapy in pre-clinical models of osteoporosis.

Applications

Unspecified application

Species

Unspecified reactive species

Qingliang Ma,Shiyu Wang,Hong Xue,Linhui Ni,Putao Yuan,Yang Shen,Bingjie Zheng,Qingqing Wang,Jiateng Zhang,Haoming Wang,Hongwei Xie,Chao Jiang,An Qin,Shunwu Fan,Ziang Xie,Zhiwei Jie

The journal of headache and pain 26:158 PubMed40640733

2025

Spi1 aggravates neuropathic pain by modulating Clec7a-mediated neuroinflammation and microglial phagocytosis.

Applications

Unspecified application

Species

Unspecified reactive species

Yin Xu,Xinli Liu,Hui Chen,Yun Zhao,Yubai Zhao,Yu Xie,Jiahui Pang,Hui Zeng,Yanyan Zeng,Weiwei Peng,Manxu Zheng,Wen Wu

Frontiers in oncology 15:1592862 PubMed40636695

2025

Exploration of the role and mechanism of Rhizoma Paridis total saponins in osteosarcoma based on SPI1/LCN2-mediated ferroptosis.

Applications

Unspecified application

Species

Unspecified reactive species

Ge Yang,Fenghui Li,Xiongke Hu,Miao Li,Yaoxi Liu,Guanghui Zhu,Qian Tan

Bone research 13:47 PubMed40229258

2025

SPI1 activates mitochondrial unfolded response signaling to inhibit chondrocyte senescence and relieves osteoarthritis.

Applications

Unspecified application

Species

Unspecified reactive species

Xiangyu Zu,Shenghong Chen,Zhengyuan Li,Lin Hao,Wenhan Fu,Hui Zhang,Zongsheng Yin,Yin Wang,Jun Wang

Molecular cancer 24:34 PubMed39876004

2025

Sorafenib enhanced the function of myeloid-derived suppressor cells in hepatocellular carcinoma by facilitating PPARα-mediated fatty acid oxidation.

Applications

Unspecified application

Species

Unspecified reactive species

Chunxiao Li,Liting Xiong,Yuhan Yang,Ping Jiang,Junjie Wang,Mengyuan Li,Shuhua Wei,Suqing Tian,Yuexuan Wang,Mi Zhang,Jie Tang

Archives of toxicology 99:597-610 PubMed39688681

2024

The ETS domain-containing hematopoietic transcription factor PU.1 mediates the induction of arachidonate 5-lipoxygenase by multi-walled carbon nanotubes in macrophages in vitro.

Applications

Unspecified application

Species

Unspecified reactive species

Chol Seung Lim,Ja Kook Gu,Qiang Ma

Nature communications 15:9337 PubMed39472435

2024

Alternations in inflammatory macrophage niche drive phenotypic and functional plasticity of Kupffer cells.

Applications

Unspecified application

Species

Unspecified reactive species

Han-Ying Huang,Yan-Zhou Chen,Chuang Zhao,Xin-Nan Zheng,Kai Yu,Jia-Xing Yue,Huai-Qiang Ju,Yan-Xia Shi,Lin Tian

eLife 13: PubMed39373630

2024

Super-enhancer-driven ZFP36L1 promotes PD-L1 expression in infiltrative gastric cancer.

Applications

Unspecified application

Species

Unspecified reactive species

Xujin Wei,Jie Liu,Jia Cheng,Wangyu Cai,Wen Xie,Kang Wang,Lingyun Lin,Jingjing Hou,Jianchun Cai,Huiqin Zhuo

Cell reports 43:114819 PubMed39368087

2024

PD-L1 restrains PD-1Nrp1 Treg cells to suppress inflammation-driven colorectal tumorigenesis.

Applications

Unspecified application

Species

Unspecified reactive species

Dakota B Poschel,John D Klement,Alyssa D Merting,Chunwan Lu,Yang Zhao,Dafeng Yang,Wei Xiao,Huabin Zhu,Ponnala Rajeshwari,Michael Toscano,Kimya Jones,Amanda Barrett,Roni J Bollag,Padraic G Fallon,Huidong Shi,Kebin Liu

Frontiers in neuroscience 18:1418615 PubMed39211434

2024

Targeting transcription factor pu.1 for improving neurologic outcomes after spinal cord injury.

Applications

Unspecified application

Species

Unspecified reactive species

Yi Shi,Meige Zheng,Yang Luo,Jianjian Li,Fangru Ouyang,Yuanzhe Zhao,Jingwen Wang,Zhida Ma,Congpeng Meng,Yihui Bi,Li Cheng,Juehua Jing
View all publications

Product promise

We are committed to supporting your work with high-quality reagents, and we're here for you every step of the way. In the unlikely event that one of our products does not perform as expected, you're protected by our Product Promise.
For full details, please see our Terms & Conditions

Please note: All products are 'FOR RESEARCH USE ONLY. NOT FOR USE IN DIAGNOSTIC OR THERAPEUTIC PROCEDURES'.

For licensing inquiries, please contact partnerships@abcam.com