JavaScript is disabled in your browser. Please enable JavaScript to view this website.
AB302624

Anti-PU.1/Spi1 antibody [EPR25123-110] (BSA and Azide free)

  • BOND RX™ Validated
  • RabMAb
  • Advanced Validation
  • Recombinant
  • What is this?

Be the first to review this product! Submit a review

|

(0 Publication)

Rabbit Recombinant Monoclonal PU.1/Spi1 antibody. Carrier free. Suitable for WB, IHC-P, ICC/IF, Flow Cyt (Intra), IP, ChIP, ChIC/CUT&RUN-seq and reacts with Human samples.

View Alternative Names

Transcription factor PU.1, 31 kDa-transforming protein, SPI1

13 Images
Immunocytochemistry/ Immunofluorescence - Anti-PU.1/Spi1 antibody [EPR25123-110] (BSA and Azide free) (AB302624)
  • ICC/IF

Supplier Data

Immunocytochemistry/ Immunofluorescence - Anti-PU.1/Spi1 antibody [EPR25123-110] (BSA and Azide free) (AB302624)

This data was developed using ab302623, the same antibody clone in a different buffer formulation. Immunofluorescent analysis of 4% Paraformaldehyde-fixed, 0.1% TritonX-100 permeabilized THP-1 (human monocytic leukemia monocyte) cells labelling PU.1/Spi1 with ab302623 at 1/250 (1.868 ug/ml) dilution, followed by ab150081 Goat Anti-Rabbit IgG H&L (Alexa Fluor® 488) preadsorbed antibody at 1/1000 2ug/mL dilution (Green). Confocal image showing nuclear staining in THP-1 cell line.Negative control : Hela (PMID : 27010793) is observed. ab195889 Anti-alpha Tubulin mouse monoclonal antibody - Microtubule Marker (Alexa Fluor® 594) was used to counterstain tubulin at 1/200 2.5ug/ml dilution (Red). The Nuclear counterstain was DAPI (Blue). Secondary antibody only control : Secondary antibody is ab150081 Goat Anti-Rabbit IgG H&L (Alexa Fluor® 488) preadsorbed at 1/1000 2ug/mL dilution.

Flow Cytometry (Intracellular) - Anti-PU.1/Spi1 antibody [EPR25123-110] (BSA and Azide free) (AB302624)
  • Flow Cyt (Intra)

Supplier Data

Flow Cytometry (Intracellular) - Anti-PU.1/Spi1 antibody [EPR25123-110] (BSA and Azide free) (AB302624)

This data was developed using ab302623, the same antibody clone in a different buffer formulation. Flow cytometric analysis of 4% paraformaldehyde fixed 90% methanol permeabilized THP-1 (human monocytic leukemia monocyte) cells labelling PU.1/Spi1 with ab302623 at 1/500 dilution (0.1ug) (Red) (Red) compared with a Rabbit monoclonal IgG (ab172730) (Black) isotype control and an unlabelled control (cells without incubation with primary antibody and secondary antibody) (Blue). A Goat Anti-Rabbit IgG (Alexa Fluor® 488, ab150081) at 1/2000 dilution was used as the secondary antibody.

Flow Cytometry (Intracellular) - Anti-PU.1/Spi1 antibody [EPR25123-110] (BSA and Azide free) (AB302624)
  • Flow Cyt (Intra)

Supplier Data

Flow Cytometry (Intracellular) - Anti-PU.1/Spi1 antibody [EPR25123-110] (BSA and Azide free) (AB302624)

This data was developed using ab302623, the same antibody clone in a different buffer formulation. Flow cytometric analysis of 4% paraformaldehyde fixed 90% methanol permeabilized HeLa (human cervix adenocarcinoma epithelial cell, Left) / U937 (human histiocytic lymphoma monocyte, Right) cells labelling PU.1/Spi1 with ab302623 at 1/500 dilution (0.1ug) (Red) (Red) compared with a Rabbit monoclonal IgG (ab172730) (Black) isotype control and an unlabelled control (cells without incubation with primary antibody and secondary antibody) (Blue). A Goat Anti-Rabbit IgG (Alexa Fluor® 488, ab150081) at 1/2000 dilution was used as the secondary antibody. Negative control : HeLa (PMID : 27010793)

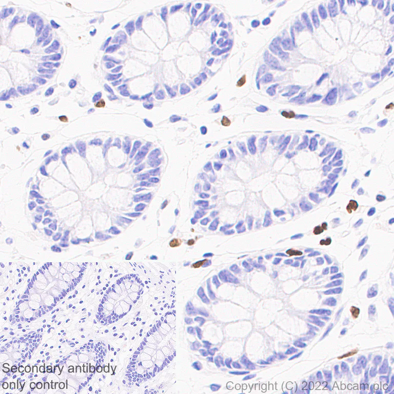
Immunohistochemistry (Formalin/PFA-fixed paraffin-embedded sections) - Anti-PU.1/Spi1 antibody [EPR25123-110] (BSA and Azide free) (AB302624)
  • IHC-P

Supplier Data

Immunohistochemistry (Formalin/PFA-fixed paraffin-embedded sections) - Anti-PU.1/Spi1 antibody [EPR25123-110] (BSA and Azide free) (AB302624)

This data was developed using ab302623, the same antibody clone in a different buffer formulation. Immunohistochemical analysis of paraffin-embedded Human colon tissue labeling PU.1/Spi1 with ab302623 at 1/1000 (0.467 ug/ml) followed by a ready to use LeicaDS9800 (Bond™ Polymer Refine Detection) was used. Positive staining in immune cells of human colon (PMID : 28681454). The section was incubated with ab302623 for 30 mins at room temperature. The immunostaining was performed on a Leica Biosystems BOND® RX instrument. Counterstained with Hematoxylin. Secondary antibody only control : Secondary antibody is a ready to use LeicaDS9800 (Bond™ Polymer Refine Detection) was used. Heat mediated antigen retrieval with Tris-EDTA buffer (pH 9.0, epitope retrieval solution2) for 20 mins

Immunocytochemistry/ Immunofluorescence - Anti-PU.1/Spi1 antibody [EPR25123-110] (BSA and Azide free) (AB302624)
  • ICC/IF

Supplier Data

Immunocytochemistry/ Immunofluorescence - Anti-PU.1/Spi1 antibody [EPR25123-110] (BSA and Azide free) (AB302624)

This data was developed using ab302623, the same antibody clone in a different buffer formulation. Immunofluorescent analysis of 4% Paraformaldehyde-fixed, 0.1% TritonX-100 permeabilized U-937 (human histiocytic lymphoma monocyte) cells labelling PU.1/Spi1 with ab302623 at 1/250 (1.868 ug/ml) dilution, followed by ab150081 Goat Anti-Rabbit IgG H&L (Alexa Fluor® 488) preadsorbed antibody at 1/1000 2ug/mL dilution (Green). Confocal image showing nuclear staining in U-937 cell line. is observed. ab195889 Anti-alpha Tubulin mouse monoclonal antibody - Microtubule Marker (Alexa Fluor® 594) was used to counterstain tubulin at 1/200 2.5ug/ml dilution (Red). The Nuclear counterstain was DAPI (Blue). Secondary antibody only control : Secondary antibody is ab150081 Goat Anti-Rabbit IgG H&L (Alexa Fluor® 488) preadsorbed at 1/1000 2ug/mL dilution.

Immunohistochemistry (Formalin/PFA-fixed paraffin-embedded sections) - Anti-PU.1/Spi1 antibody [EPR25123-110] (BSA and Azide free) (AB302624)
  • IHC-P

Supplier Data

Immunohistochemistry (Formalin/PFA-fixed paraffin-embedded sections) - Anti-PU.1/Spi1 antibody [EPR25123-110] (BSA and Azide free) (AB302624)

This data was developed using ab302623, the same antibody clone in a different buffer formulation. Immunohistochemical analysis of paraffin-embedded Human diffuse large tissue labeling PU.1/Spi1 with ab302623 at 1/1000 (0.467 ug/ml) followed by a ready to use LeicaDS9800 (Bond™ Polymer Refine Detection) was used. Positive staining in human diffuse large B-cell lymphoma (PMID : 16648862). The section was incubated with ab302623 for 30 mins at room temperature. The immunostaining was performed on a Leica Biosystems BOND® RX instrument. Counterstained with Hematoxylin. Secondary antibody only control : Secondary antibody is a ready to use LeicaDS9800 (Bond™ Polymer Refine Detection) was used. Heat mediated antigen retrieval with Tris-EDTA buffer (pH 9.0, epitope retrieval solution2) for 20 mins

ChIP - Anti-PU.1/Spi1 antibody [EPR25123-110] (BSA and Azide free) (AB302624)
  • ChIP

Lab

ChIP - Anti-PU.1/Spi1 antibody [EPR25123-110] (BSA and Azide free) (AB302624)

This data was developed using ab302623, the same antibody clone in a different buffer formulation.

Chromatin was prepared from U-937 cells according to the Abcam Dual-X-ChIP protocol. Cells were fixed with 1.5 mM EGS for 30mins and then formaldehyde for 10min. The ChIP was performed with 25 µg of chromatin, 5 µg of ab302623 (red), or 5 µg of rabbit normal IgG ab172730 (gray) and 25 µl of Protein A/G Dynabeads. The immunoprecipitated DNA was quantified by real time PCR (Sybr green approach).

Primers and probes are from paper PMID : 21402070, 21094529, 26622774

Immunoprecipitation - Anti-PU.1/Spi1 antibody [EPR25123-110] (BSA and Azide free) (AB302624)
  • IP

Supplier Data

Immunoprecipitation - Anti-PU.1/Spi1 antibody [EPR25123-110] (BSA and Azide free) (AB302624)

PU.1/Spi1 was immunoprecipitated from 0.35 mg THP-1 (human monocytic leukemia monocyte), whole cell lysate 10 µg with ab302623 at 1/30 dilution (2µg in 0.35mg lysates). Western blot was performed on the immunoprecipitate using ab302623 at 1/1000 dilution. VeriBlot for IP secondary antibody(HRP)(ab131366) was used at 1/5000 dilution.

Lane 1 : THP-1 (human monocytic leukemia monocyte), whole cell lysate 10 µg
Lane 2 : ab302623 IP in THP-1 whole cell lysate
Lane 3 : Rabbit monoclonal IgG (ab172730) instead of ab302623 in THP-1 whole cell lysate

Blocking and dilution buffer and concentration : 5% NFDM/TBST.

All lanes:

Immunoprecipitation - Anti-PU.1/Spi1 antibody [EPR25123-110] (<a href='/en-us/products/primary-antibodies/pu1-spi1-antibody-epr25123-110-ab302623'>ab302623</a>) at 1/30 dilution

All lanes:

THP-1 (human monocytic leukemia monocyte), whole cell lysate

Secondary

All lanes:

Immunoprecipitation - VeriBlot for IP Detection Reagent (HRP) (<a href='/en-us/products/reagents/veriblot-for-ip-detection-reagent-hrp-ab131366'>ab131366</a>) at 1/5000 dilution

Predicted band size: 31 kDa

Observed band size: 31 kDa

false

Exposure time: 3min

Western blot - Anti-PU.1/Spi1 antibody [EPR25123-110] (BSA and Azide free) (AB302624)
  • WB

Lab

Western blot - Anti-PU.1/Spi1 antibody [EPR25123-110] (BSA and Azide free) (AB302624)

This data was developed using ab302623, the same antibody clone in a different buffer formulation.

Exposure time : Lane 1-2 : 180 seconds; Lane 3-4 : 20 seconds

In Western blot, Anti-GAPDH antibody [EPR16891] - Loading Control (ab181602) staining at 1/1000000 dilution.

ab76543 is more sensitive than ab302623 in WB testing.

Lanes 1 - 2:

Western blot - Anti-PU.1/Spi1 antibody [EPR25123-110] (<a href='/en-us/products/primary-antibodies/pu1-spi1-antibody-epr25123-110-ab302623'>ab302623</a>) at 1/1000 dilution

Lanes 1 - 4:

Western blot - Anti-PU.1/Spi1 antibody [EPR25123-110] (BSA and Azide free) (ab302624) at 1/1000 dilution

Lanes 3 - 4:

Western blot - Anti-PU.1/Spi1 antibody [EPR3158Y] (<a href='/en-us/products/primary-antibodies/pu1-spi1-antibody-epr3158y-ab76543'>ab76543</a>) at 1/1000 dilution

Lanes 1 and 3:

Daudi whole cell lysate at 20 µg

Lanes 2 and 4:

Raji whole cell lysate at 20 µg

Secondary

All lanes:

Western blot - Goat Anti-Rabbit IgG H&L (HRP) (<a href='/en-us/products/secondary-antibodies/goat-rabbit-igg-h-l-hrp-ab97051'>ab97051</a>) at 1/20000 dilution

Predicted band size: 31 kDa

Observed band size: 37-42 kDa

false

Western blot - Anti-PU.1/Spi1 antibody [EPR25123-110] (BSA and Azide free) (AB302624)
  • WB

Supplier Data

Western blot - Anti-PU.1/Spi1 antibody [EPR25123-110] (BSA and Azide free) (AB302624)

This data was developed using ab302623, the same antibody clone in a different buffer

Blocking and diluting buffer and concentration : 5% NFDM/TBST.

Negative control : HeLa (PMID : 27010793).

This blot was developed using a high sensitivity ECL substrate. The high-sensitivity ECL substrate used allows for the detection of proteins in the mid-femtogram range.

All lanes:

Western blot - Anti-PU.1/Spi1 antibody [EPR25123-110] (<a href='/en-us/products/primary-antibodies/pu1-spi1-antibody-epr25123-110-ab302623'>ab302623</a>) at 1/1000 dilution

Lane 1:

THP-1 (human monocytic leukemia monocyte), whole cell lysate at 20 µg

Lane 2:

U937 (human histiocytic lymphoma monocyte), whole cell lysate at 20 µg

Lane 3:

Daudi (human Burkitts lymphoma lymphoblast), whole cell lysate at 20 µg

Lane 4:

HeLa (human cervix adenocarcinoma epithelial cell), whole cell lysate at 20 µg

Secondary

All lanes:

Western blot - Goat Anti-Rabbit IgG H&L (HRP) (<a href='/en-us/products/secondary-antibodies/goat-rabbit-igg-h-l-hrp-ab97051'>ab97051</a>) at 1/100000 dilution

Observed band size: 31 kDa

true

Exposure time: 3min

ChIC/CUT&RUN sequencing - Anti-PU.1/Spi1 antibody [EPR25123-110] (BSA and Azide free) (AB302624)
  • ChIC/CUT&RUN-seq

Lab

ChIC/CUT&RUN sequencing - Anti-PU.1/Spi1 antibody [EPR25123-110] (BSA and Azide free) (AB302624)

"This data was developed using the same antibody clone in a different buffer formulation (ab302623). ChIC/CUT&RUN was performed using a pAG-MNase at a final concentration of 700 ng/mL, 2.5 x 10^5 THP-1 (Human monocytic leukemia monocyte) cells and 5 µg of ab302623 [EPR25123-110]. The resulting DNA was sequenced on the Illumina NovaSeq 6000 to a depth of 10 million reads. The negative IgG control ab172730 is also shown. The University of Geneva owns patents relevant to ChIC (Chromatin Immuno-Cleavage) methods."

ChIC/CUT&RUN sequencing - Anti-PU.1/Spi1 antibody [EPR25123-110] (BSA and Azide free) (AB302624)
  • ChIC/CUT&RUN-seq

Lab

ChIC/CUT&RUN sequencing - Anti-PU.1/Spi1 antibody [EPR25123-110] (BSA and Azide free) (AB302624)

"This data was developed using the same antibody clone in a different buffer formulation (ab302623). ChIC/CUT&RUN was performed using a pAG-MNase at a final concentration of 700 ng/mL, 2.5 x 10^5 THP-1 (Human monocytic leukemia monocyte) cells and 5 µg of ab302623 [EPR25123-110]. The resulting DNA was sequenced on the Illumina NovaSeq 6000 to a depth of 10 million reads. The negative IgG control ab172730 is also shown. The University of Geneva owns patents relevant to ChIC (Chromatin Immuno-Cleavage) methods."

ChIC/CUT&RUN sequencing - Anti-PU.1/Spi1 antibody [EPR25123-110] (BSA and Azide free) (AB302624)
  • ChIC/CUT&RUN-seq

Lab

ChIC/CUT&RUN sequencing - Anti-PU.1/Spi1 antibody [EPR25123-110] (BSA and Azide free) (AB302624)

"This data was developed using the same antibody clone in a different buffer formulation (ab302623). ChIC/CUT&RUN was performed using a pAG-MNase at a final concentration of 700 ng/mL, 2.5 x 10^5 THP-1 (Human monocytic leukemia monocyte) cells and 5 µg of ab302623 [EPR25123-110]. The resulting DNA was sequenced on the Illumina NovaSeq 6000 to a depth of 10 million reads. The negative IgG control ab172730 is also shown. The University of Geneva owns patents relevant to ChIC (Chromatin Immuno-Cleavage) methods."

Key facts

Host species

Rabbit

Clonality

Monoclonal

Clone number

EPR25123-110

Isotype

IgG

Carrier free

Yes

Reacts with

Human

Applications

WB, ChIC/CUT&RUN-seq, ChIP, IHC-P, Flow Cyt (Intra), ICC/IF, IP

applications

Immunogen

The exact immunogen used to generate this antibody is proprietary information.

Reactivity data

{ "title": "Reactivity Data", "filters": { "stats": ["", "Species", "Dilution Info", "Notes"], "tabs": { "all-applications": {"fullname" : "All Applications", "shortname": "All Applications"}, "WB" : {"fullname" : "Western blot", "shortname":"WB"}, "IHCP" : {"fullname" : "Immunohistochemistry (Formalin/PFA-fixed paraffin-embedded sections)", "shortname":"IHC-P"}, "ICCIF" : {"fullname" : "Immunocytochemistry/ Immunofluorescence", "shortname":"ICC/IF"}, "FlowCytIntra" : {"fullname" : "Flow Cytometry (Intracellular)", "shortname":"Flow Cyt (Intra)"}, "IP" : {"fullname" : "Immunoprecipitation", "shortname":"IP"}, "ChIP" : {"fullname" : "ChIP", "shortname":"ChIP"}, "ChICCUTRUNseq" : {"fullname" : "ChIC/CUT&RUN sequencing", "shortname":"ChIC/CUT&RUN-seq"} }, "product-promise": { "all": "all", "testedAndGuaranteed": "tested", "guaranteed": "expected", "predicted": "predicted", "notRecommended": "not-recommended" } }, "values": { "Human": { "WB-species-checked": "testedAndGuaranteed", "WB-species-dilution-info": "", "WB-species-notes": "<p></p>", "IHCP-species-checked": "testedAndGuaranteed", "IHCP-species-dilution-info": "", "IHCP-species-notes": "<p></p>", "ICCIF-species-checked": "testedAndGuaranteed", "ICCIF-species-dilution-info": "", "ICCIF-species-notes": "<p></p>", "FlowCytIntra-species-checked": "testedAndGuaranteed", "FlowCytIntra-species-dilution-info": "", "FlowCytIntra-species-notes": "<p></p>", "IP-species-checked": "testedAndGuaranteed", "IP-species-dilution-info": "", "IP-species-notes": "<p></p>", "ChIP-species-checked": "testedAndGuaranteed", "ChIP-species-dilution-info": "", "ChIP-species-notes": "<p></p>", "ChICCUTRUNseq-species-checked": "testedAndGuaranteed", "ChICCUTRUNseq-species-dilution-info": "", "ChICCUTRUNseq-species-notes": "<p></p>" }, "Mouse": { "WB-species-checked": "notRecommended", "WB-species-dilution-info": "", "WB-species-notes": "<p></p>", "IHCP-species-checked": "notRecommended", "IHCP-species-dilution-info": "", "IHCP-species-notes": "<p></p>", "ICCIF-species-checked": "notRecommended", "ICCIF-species-dilution-info": "", "ICCIF-species-notes": "<p></p>", "FlowCytIntra-species-checked": "notRecommended", "FlowCytIntra-species-dilution-info": "", "FlowCytIntra-species-notes": "<p></p>", "IP-species-checked": "notRecommended", "IP-species-dilution-info": "", "IP-species-notes": "", "ChIP-species-checked": "notRecommended", "ChIP-species-dilution-info": "", "ChIP-species-notes": "", "ChICCUTRUNseq-species-checked": "notRecommended", "ChICCUTRUNseq-species-dilution-info": "", "ChICCUTRUNseq-species-notes": "" }, "Rat": { "WB-species-checked": "notRecommended", "WB-species-dilution-info": "", "WB-species-notes": "<p></p>", "IHCP-species-checked": "notRecommended", "IHCP-species-dilution-info": "", "IHCP-species-notes": "<p></p>", "ICCIF-species-checked": "notRecommended", "ICCIF-species-dilution-info": "", "ICCIF-species-notes": "", "FlowCytIntra-species-checked": "notRecommended", "FlowCytIntra-species-dilution-info": "", "FlowCytIntra-species-notes": "", "IP-species-checked": "notRecommended", "IP-species-dilution-info": "", "IP-species-notes": "", "ChIP-species-checked": "notRecommended", "ChIP-species-dilution-info": "", "ChIP-species-notes": "", "ChICCUTRUNseq-species-checked": "notRecommended", "ChICCUTRUNseq-species-dilution-info": "", "ChICCUTRUNseq-species-notes": "" } } }

Product details

Want a custom formulation?
This antibody clone is manufactured by Abcam. If you require a custom buffer formulation or conjugation for your experiments, please contact orders@abcam.com

Patented technology
Our RabMAb® technology is a patented hybridoma-based technology for making rabbit monoclonal antibodies. For details on our patents, please refer to RabMAb® patents.

Conjugation ready
Our carrier-free antibodies are typically supplied in a PBS-only formulation, purified and free of BSA, sodium azide and glycerol. This conjugation-ready format is designed for use with fluorochromes, metal isotopes, oligonucleotides, and enzymes, which makes them ideal for antibody labelling, functional and cell-based assays, flow-based assays (e.g. mass cytometry) and Multiplex Imaging applications.

Use our conjugation kits for antibody conjugates that are ready-to-use in as little as 20 minutes with 1 minute hands-on-time and 100% antibody recovery: available for fluorescent dyes, HRP, biotin and gold.

Compatibility
This product is compatible with the Maxpar® Antibody Labeling Kit from Fluidigm, without the need for antibody preparation. Maxpar® is a trademark of Fluidigm Canada Inc.

What are the advantages of a recombinant monoclonal antibody?
This product is a recombinant monoclonal antibody, which offers several advantages including:

  • - High batch-to-batch consistency and reproducibility
  • - Improved sensitivity and specificity
  • - Long-term security of supply
  • - Animal-free batch production

For more information, read more on recombinant antibodies.

Properties and storage information

Form
Liquid
Purification technique
Affinity purification Protein A
Storage buffer
pH: 7.2 - 7.4 Constituents: PBS
Shipped at conditions
Blue Ice
Appropriate short-term storage conditions
+4°C
Appropriate long-term storage conditions
+4°C
Storage information
Do Not Freeze

Supplementary information

This supplementary information is collated from multiple sources and compiled automatically.

PU.1 also known as Spi1 is a transcription factor that belongs to the ETS family of transcription factors. It plays a major role in gene regulation and is an important player in hematopoietic cell differentiation. PU.1 has a molecular mass of approximately 31 kDa and is predominantly expressed in hematopoietic cells such as myeloid and B-lymphoid cells. It actively interacts with specific DNA sequences to regulate the expression of target genes.
Biological function summary

PU.1 influences the development and function of various blood cells including macrophages neutrophils and B-cells. It is essential for the regulation of genes involved in immune responses cell proliferation and survival. PU.1 functions as part of a larger transcriptional regulatory complex and often partners with other transcription factors and coactivators to exert its effects. This cooperation allows precise gene expression control in specific cell lineages.

Pathways

Expression of PU.1 is critical in the hematopoietic development pathway and the immune response pathway. It closely interacts with other transcription factors like GATA-1 and C/EBPα forming a network that affects hematopoietic lineage commitment. Within these pathways PU.1 constantly coordinates signals that influence progenitor cell fate and differentiation ensuring a balanced proportion of cell types within the blood.

PU.1 has significant implications in leukemia and other hematological malignancies. Dysregulation or mutation of PU.1 can lead to improper hematopoietic cell development and contribute to acute myeloid leukemia (AML) and other blood disorders. Additionally its expression level is closely linked with immune system function associating PU.1 indirectly with autoimmune conditions. In these contexts the interaction with other proteins like AML1 and C/EBPγ can influence disease pathogenesis by modulating gene expression patterns critical for normal hematopoietic and immune function.

Product protocols

For this product, it's our understanding that no specific protocols are required. You can visit:

Target data

Pioneer transcription factor, which controls hematopoietic cell fate by decompacting stem cell heterochromatin and allowing other transcription factors to enter otherwise inaccessible genomic sites. Once in open chromatin, can directly control gene expression by binding genetic regulatory elements and can also more broadly influence transcription by recruiting transcription factors, such as interferon regulatory factors (IRFs), to otherwise inaccessible genomic regions (PubMed : 23658224, PubMed : 33951726). Transcriptionally activates genes important for myeloid and lymphoid lineages, such as CSF1R (By similarity). Transcriptional activation from certain promoters, possibly containing low affinity binding sites, is achieved cooperatively with other transcription factors. FCER1A transactivation is achieved in cooperation with GATA1 (By similarity). May be particularly important for the pro- to pre-B cell transition (PubMed : 33951726). Binds (via the ETS domain) onto the purine-rich DNA core sequence 5'-GAGGAA-3', also known as the PU-box (PubMed : 33951726). In vitro can bind RNA and interfere with pre-mRNA splicing (By similarity).
See full target information SPI1

Product promise

We are committed to supporting your work with high-quality reagents, and we're here for you every step of the way. In the unlikely event that one of our products does not perform as expected, you're protected by our Product Promise.
For full details, please see our Terms & Conditions

Please note: All products are 'FOR RESEARCH USE ONLY. NOT FOR USE IN DIAGNOSTIC OR THERAPEUTIC PROCEDURES'.

For licensing inquiries, please contact partnerships@abcam.com