JavaScript is disabled in your browser. Please enable JavaScript to view this website.
AB232383

Anti-PU.1/Spi1 antibody [EPR3158Y] - BSA and Azide free

Be the first to review this product! Submit a review

|

(1 Publication)

Rabbit Recombinant Monoclonal PU.1/Spi1 antibody. Carrier free. Suitable for WB, IHC-P and reacts with Human samples. Cited in 1 publication.

View Alternative Names

Transcription factor PU.1, 31 kDa-transforming protein, SPI1

2 Images
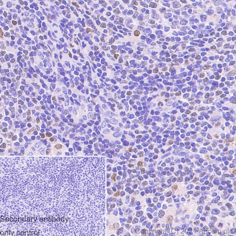
Immunohistochemistry (Formalin/PFA-fixed paraffin-embedded sections) - Anti-PU.1/Spi1 antibody [EPR3158Y] - BSA and Azide free (AB232383)
  • IHC-P

Supplier Data

Immunohistochemistry (Formalin/PFA-fixed paraffin-embedded sections) - Anti-PU.1/Spi1 antibody [EPR3158Y] - BSA and Azide free (AB232383)

This data was developed using ab76543, the same antibody clone in a different buffer formulation.
Immunohistochemistry (Formalin/PFA-fixed paraffin-embedded sections) analysis of human tonsil tissue sections labeling PU.1/Spi1 with Purified ab76543 at 1 : 3000 dilution (0.035 µg/ml). Heat mediated antigen retrieval was performed using Heat mediated antigen retrieval using Bond™ Epitope Retrieval Solution 2 (pH 9.0) . Tissue was counterstained with Hematoxylin. Rabbit specific IHC polymer detection kit HRP/DAB (ab209101) secondary antibody was used. PBS instead of the primary antibody was used as the negative control.

Western blot - Anti-PU.1/Spi1 antibody [EPR3158Y] - BSA and Azide free (AB232383)
  • WB

Unknown

Western blot - Anti-PU.1/Spi1 antibody [EPR3158Y] - BSA and Azide free (AB232383)

This data was developed using ab76543, the same antibody clone in a different buffer formulation.

PU.1 is a 37-42 kDa member of the ets family of transcription factors. The molecule weight observed is consistent with what has been described in the literature (PMID : 28362429, 31586032, 28586009).

All lanes:

Western blot - Anti-PU.1/Spi1 antibody [EPR3158Y] (<a href='/en-us/products/primary-antibodies/pu1-spi1-antibody-epr3158y-ab76543'>ab76543</a>) at 1/1000 dilution

Lane 1:

Daudi (Human Burkitt's lymphoma lymphoblast) whole cell lysate at 20 µg

Lane 2:

THP-1 (Human monocytic leukemia monocyte) whole cell lysate at 20 µg

Lane 3:

Raji (Human Burkitt's lymphoma B lymphocyte) whole cell lysate at 20 µg

Secondary

All lanes:

Western blot - Goat Anti-Rabbit IgG H&L (HRP) (<a href='/en-us/products/secondary-antibodies/goat-rabbit-igg-h-l-hrp-ab97051'>ab97051</a>) at 1/20000 dilution

Predicted band size: 31 kDa

Observed band size: 37-42 kDa

false

Key facts

Host species

Rabbit

Clonality

Monoclonal

Clone number

EPR3158Y

Isotype

IgG

Carrier free

Yes

Reacts with

Human

Applications

WB, IHC-P

applications

Immunogen

The exact immunogen used to generate this antibody is proprietary information.

Reactivity data

{ "title": "Reactivity Data", "filters": { "stats": ["", "Species", "Dilution Info", "Notes"], "tabs": { "all-applications": {"fullname" : "All Applications", "shortname": "All Applications"}, "WB" : {"fullname" : "Western blot", "shortname":"WB"}, "IHCP" : {"fullname" : "Immunohistochemistry (Formalin/PFA-fixed paraffin-embedded sections)", "shortname":"IHC-P"}, "ICCIF" : {"fullname" : "Immunocytochemistry/ Immunofluorescence", "shortname":"ICC/IF"}, "FlowCytIntra" : {"fullname" : "Flow Cytometry (Intracellular)", "shortname":"Flow Cyt (Intra)"} }, "product-promise": { "all": "all", "testedAndGuaranteed": "tested", "guaranteed": "expected", "predicted": "predicted", "notRecommended": "not-recommended" } }, "values": { "Human": { "WB-species-checked": "testedAndGuaranteed", "WB-species-dilution-info": "", "WB-species-notes": "<p></p>", "IHCP-species-checked": "testedAndGuaranteed", "IHCP-species-dilution-info": "", "IHCP-species-notes": "<p></p>", "ICCIF-species-checked": "notRecommended", "ICCIF-species-dilution-info": "", "ICCIF-species-notes": "<p></p>", "FlowCytIntra-species-checked": "notRecommended", "FlowCytIntra-species-dilution-info": "", "FlowCytIntra-species-notes": "<p></p>" } } }

Product details

ab232383 is the carrier-free version of ab76543.

Patented technology
Our RabMAb® technology is a patented hybridoma-based technology for making rabbit monoclonal antibodies. For details on our patents, please refer to RabMAb® patents.

What are the advantages of a recombinant monoclonal antibody?
This product is a recombinant monoclonal antibody, which offers several advantages including:

  • - High batch-to-batch consistency and reproducibility
  • - Improved sensitivity and specificity
  • - Long-term security of supply
  • - Animal-free batch production

For more information, read more on recombinant antibodies.

Conjugation ready
Our carrier-free antibodies are typically supplied in a PBS-only formulation, purified and free of BSA, sodium azide and glycerol. This conjugation-ready format is designed for use with fluorochromes, metal isotopes, oligonucleotides, and enzymes, which makes them ideal for antibody labelling, functional and cell-based assays, flow-based assays (e.g. mass cytometry) and Multiplex Imaging applications.

Use our conjugation kits for antibody conjugates that are ready-to-use in as little as 20 minutes with 1 minute hands-on-time and 100% antibody recovery: available for fluorescent dyes, HRP, biotin and gold.

Compatibility
This product is compatible with the Maxpar® Antibody Labeling Kit from Fluidigm, without the need for antibody preparation. Maxpar® is a trademark of Fluidigm Canada Inc.

Properties and storage information

Form
Liquid
Purification technique
Affinity purification Protein A
Storage buffer
pH: 7.2 - 7.4 Constituents: PBS
Shipped at conditions
Blue Ice
Appropriate short-term storage conditions
+4°C
Appropriate long-term storage conditions
+4°C
Storage information
Do Not Freeze

Supplementary information

This supplementary information is collated from multiple sources and compiled automatically.

PU.1 also known as Spi1 is a transcription factor that belongs to the ETS family of transcription factors. It plays a major role in gene regulation and is an important player in hematopoietic cell differentiation. PU.1 has a molecular mass of approximately 31 kDa and is predominantly expressed in hematopoietic cells such as myeloid and B-lymphoid cells. It actively interacts with specific DNA sequences to regulate the expression of target genes.
Biological function summary

PU.1 influences the development and function of various blood cells including macrophages neutrophils and B-cells. It is essential for the regulation of genes involved in immune responses cell proliferation and survival. PU.1 functions as part of a larger transcriptional regulatory complex and often partners with other transcription factors and coactivators to exert its effects. This cooperation allows precise gene expression control in specific cell lineages.

Pathways

Expression of PU.1 is critical in the hematopoietic development pathway and the immune response pathway. It closely interacts with other transcription factors like GATA-1 and C/EBPα forming a network that affects hematopoietic lineage commitment. Within these pathways PU.1 constantly coordinates signals that influence progenitor cell fate and differentiation ensuring a balanced proportion of cell types within the blood.

PU.1 has significant implications in leukemia and other hematological malignancies. Dysregulation or mutation of PU.1 can lead to improper hematopoietic cell development and contribute to acute myeloid leukemia (AML) and other blood disorders. Additionally its expression level is closely linked with immune system function associating PU.1 indirectly with autoimmune conditions. In these contexts the interaction with other proteins like AML1 and C/EBPγ can influence disease pathogenesis by modulating gene expression patterns critical for normal hematopoietic and immune function.

Product protocols

For this product, it's our understanding that no specific protocols are required. You can visit:

Target data

Pioneer transcription factor, which controls hematopoietic cell fate by decompacting stem cell heterochromatin and allowing other transcription factors to enter otherwise inaccessible genomic sites. Once in open chromatin, can directly control gene expression by binding genetic regulatory elements and can also more broadly influence transcription by recruiting transcription factors, such as interferon regulatory factors (IRFs), to otherwise inaccessible genomic regions (PubMed : 23658224, PubMed : 33951726). Transcriptionally activates genes important for myeloid and lymphoid lineages, such as CSF1R (By similarity). Transcriptional activation from certain promoters, possibly containing low affinity binding sites, is achieved cooperatively with other transcription factors. FCER1A transactivation is achieved in cooperation with GATA1 (By similarity). May be particularly important for the pro- to pre-B cell transition (PubMed : 33951726). Binds (via the ETS domain) onto the purine-rich DNA core sequence 5'-GAGGAA-3', also known as the PU-box (PubMed : 33951726). In vitro can bind RNA and interfere with pre-mRNA splicing (By similarity).
See full target information SPI1

Publications (1)

Recent publications for all applications. Explore the full list and refine your search

Cancer research 81:4910-4925 PubMed34321241

2021

Long Noncoding RNA NIHCOLE Promotes Ligation Efficiency of DNA Double-Strand Breaks in Hepatocellular Carcinoma.

Applications

Unspecified application

Species

Unspecified reactive species

Juan P Unfried,Mikel Marín-Baquero,Ángel Rivera-Calzada,Nerea Razquin,Eva M Martín-Cuevas,Sara de Bragança,Clara Aicart-Ramos,Christopher McCoy,Laura Prats-Mari,Raquel Arribas-Bosacoma,Linda Lee,Stefano Caruso,Jessica Zucman-Rossi,Bruno Sangro,Gareth Williams,Fernando Moreno-Herrero,Oscar Llorca,Susan P Lees-Miller,Puri Fortes
View all publications

Product promise

We are committed to supporting your work with high-quality reagents, and we're here for you every step of the way. In the unlikely event that one of our products does not perform as expected, you're protected by our Product Promise.
For full details, please see our Terms & Conditions

Please note: All products are 'FOR RESEARCH USE ONLY. NOT FOR USE IN DIAGNOSTIC OR THERAPEUTIC PROCEDURES'.

For licensing inquiries, please contact partnerships@abcam.com