JavaScript is disabled in your browser. Please enable JavaScript to view this website.
AB198693

Anti-Puma gamma/GPR109A antibody

Be the first to review this product! Submit a review

|

(3 Publications)

Rabbit Polyclonal Puma gamma/GPR109A antibody. Suitable for IHC-P and reacts with Human samples. Cited in 3 publications. Immunogen corresponding to Synthetic Peptide within Human HCAR2.

View Alternative Names

GPR109A, HCA2, HM74A, NIACR1, HCAR2, Hydroxycarboxylic acid receptor 2, G-protein coupled receptor 109A, G-protein coupled receptor HM74A, Niacin receptor 1, Nicotinic acid receptor

2 Images
Immunohistochemistry (Formalin/PFA-fixed paraffin-embedded sections) - Anti-Puma gamma/GPR109A antibody (AB198693)
  • IHC-P

Supplier Data

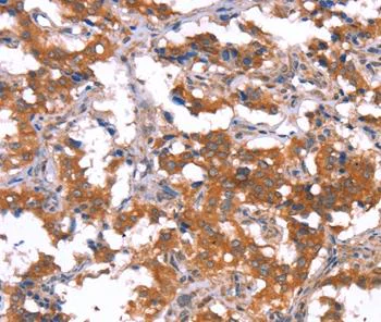
Immunohistochemistry (Formalin/PFA-fixed paraffin-embedded sections) - Anti-Puma gamma/GPR109A antibody (AB198693)

Immunohistochemical analysis of paraffin-embedded Human gastric cancer tissue labeling Puma gamma/GPR109A using ab198693 at a 1/40 dilution.

Immunohistochemistry (Formalin/PFA-fixed paraffin-embedded sections) - Anti-Puma gamma/GPR109A antibody (AB198693)
  • IHC-P

Supplier Data

Immunohistochemistry (Formalin/PFA-fixed paraffin-embedded sections) - Anti-Puma gamma/GPR109A antibody (AB198693)

Immunohistochemical analysis of paraffin-embedded Human thyroid cancer tissue labeling Puma gamma/GPR109A using ab198693 at a 1/40 dilution.

Key facts

Host species

Rabbit

Clonality

Polyclonal

Isotype

IgG

Carrier free

No

Reacts with

Human

Applications

IHC-P

applications

Immunogen

Synthetic Peptide within Human HCAR2. The exact immunogen used to generate this antibody is proprietary information.

Q8TDS4

Reactivity data

{ "title": "Reactivity Data", "filters": { "stats": ["", "Species", "Dilution Info", "Notes"], "tabs": { "all-applications": {"fullname" : "All Applications", "shortname": "All Applications"}, "IHCP" : {"fullname" : "Immunohistochemistry (Formalin/PFA-fixed paraffin-embedded sections)", "shortname":"IHC-P"} }, "product-promise": { "all": "all", "testedAndGuaranteed": "tested", "guaranteed": "expected", "predicted": "predicted", "notRecommended": "not-recommended" } }, "values": { "Human": { "IHCP-species-checked": "testedAndGuaranteed", "IHCP-species-dilution-info": "1/40 - 1/300", "IHCP-species-notes": "<p></p> Perform heat-mediated antigen retrieval with citrate buffer pH 6 before commencing with IHC staining protocol." } } }

Properties and storage information

Form
Liquid
Purification technique
Affinity purification Immunogen
Storage buffer
pH: 7.4 Preservative: 0.05% Sodium azide Constituents: PBS, 50% Glycerol (glycerin, glycerine)
Shipped at conditions
Blue Ice
Appropriate short-term storage duration
1-2 weeks
Appropriate short-term storage conditions
+4°C
Appropriate long-term storage conditions
-20°C
Aliquoting information
Upon delivery aliquot
Storage information
Avoid freeze / thaw cycle

Supplementary information

This supplementary information is collated from multiple sources and compiled automatically.

Puma gamma also known as GPR109A is a G-protein-coupled receptor with a molecular weight of approximately 39 kDa. This receptor is expressed in various tissues including adipose tissue the immune system and the gastrointestinal tract. Puma gamma is located on the cell surface where it binds to ligands including niacin and butyrate. Binding leads to changes in cellular activities through signaling specifically influencing cellular responses to external stimuli.
Biological function summary

GPR109A plays an important role in metabolic processes. This receptor is involved in the regulation of lipolysis in adipocytes thereby controlling fat breakdown. GPR109A is also significant in mediating anti-inflammatory responses. Although it does not form part of a larger complex its signaling affects interactions with other cellular components. These functions contribute to maintaining homeostasis within the body's systems.

Pathways

GPR109A participates in the cAMP signaling pathway which has importance in energy balance and hormone regulation. When GPR109A activates it inhibits adenylyl cyclase reducing cyclic AMP levels. This receptor is also linked to the anti-inflammatory pathways through interactions with cytokines and other immune-modulating proteins. GPR109A's activity connects closely with proteins such as beta-arrestins and GRK which modulate its signaling efficiency and duration.

GPR109A has associations with obesity and cardiovascular diseases. High levels of GPR109A expression or dysfunction can lead to increased inflammation contributing to metabolic syndrome and related health problems. This receptor's interaction with niacin is therapeutically targeted in managing dyslipidemia a risk factor for cardiovascular diseases. Additionally research indicates potential links between GPR109A and inflammatory bowel disease through modulation of immune cell activity.

Product protocols

For this product, it's our understanding that no specific protocols are required. You can visit:

Target data

Acts as a high affinity receptor for both nicotinic acid (also known as niacin) and (D)-beta-hydroxybutyrate and mediates increased adiponectin secretion and decreased lipolysis through G(i)-protein-mediated inhibition of adenylyl cyclase. This pharmacological effect requires nicotinic acid doses that are much higher than those provided by a normal diet. Mediates nicotinic acid-induced apoptosis in mature neutrophils. Receptor activation by nicotinic acid results in reduced cAMP levels which may affect activity of cAMP-dependent protein kinase A and phosphorylation of target proteins, leading to neutrophil apoptosis. The rank order of potency for the displacement of nicotinic acid binding is 5-methyl pyrazole-3-carboxylic acid = pyridine-3-acetic acid > acifran > 5-methyl nicotinic acid = acipimox >> nicotinuric acid = nicotinamide.
See full target information HCAR2

Publications (3)

Recent publications for all applications. Explore the full list and refine your search

Frontiers in immunology 12:655212 PubMed34084164

2021

Hydroxycarboxylic Acid Receptor 2, a Pleiotropically Linked Receptor for the Multiple Sclerosis Drug, Monomethyl Fumarate. Possible Implications for the Inflammatory Response.

Applications

Unspecified application

Species

Unspecified reactive species

Benedetta Parodi,Alessia Sanna,Alessia Cedola,Antonio Uccelli,Nicole Kerlero de Rosbo

International journal of biological macromolecules 156:1217-1233 PubMed31759015

2019

An orally administered butyrate-releasing xylan derivative reduces inflammation in dextran sulphate sodium-induced murine colitis.

Applications

Unspecified application

Species

Unspecified reactive species

Zhengqi Zha,Yang Lv,Huiling Tang,Tingting Li,Yinghua Miao,Junwei Cheng,Guoqing Wang,Yanfang Tan,Yan Zhu,Xiao Xing,Kang Ding,Ying Wang,Hongping Yin

FASEB journal : official publication of the Federation of American Societies for Experimental Biology 33:1062-1073 PubMed30085883

2018

Ketones and pain: unexplored role of hydroxyl carboxylic acid receptor type 2 in the pathophysiology of neuropathic pain.

Applications

Unspecified application

Species

Unspecified reactive species

Serena Boccella,Francesca Guida,Francesco De Logu,Danilo De Gregorio,Mariacristina Mazzitelli,Carmela Belardo,Monica Iannotta,Nicola Serra,Romina Nassini,Vito de Novellis,Pierangelo Geppetti,Sabatino Maione,Livio Luongo
View all publications

Product promise

We are committed to supporting your work with high-quality reagents, and we're here for you every step of the way. In the unlikely event that one of our products does not perform as expected, you're protected by our Product Promise.
For full details, please see our Terms & Conditions

Please note: All products are 'FOR RESEARCH USE ONLY. NOT FOR USE IN DIAGNOSTIC OR THERAPEUTIC PROCEDURES'.

For licensing inquiries, please contact partnerships@abcam.com