JavaScript is disabled in your browser. Please enable JavaScript to view this website.
AB92390

Anti-Pumilio 2 antibody [EPR3813]

Be the first to review this product! Submit a review

|

(21 Publications)

Rabbit Recombinant Monoclonal Pumilio 2 antibody. Suitable for IP, WB, ICC/IF, Flow Cyt (Intra) and reacts with Human, Mouse, Rat samples. Cited in 21 publications.

View Alternative Names

KIAA0235, PUMH2, PUM2, Pumilio homolog 2, Pumilio-2

5 Images
Flow Cytometry (Intracellular) - Anti-Pumilio 2 antibody [EPR3813] (AB92390)
  • Flow Cyt (Intra)

Unknown

Flow Cytometry (Intracellular) - Anti-Pumilio 2 antibody [EPR3813] (AB92390)

Intracellular Flow Cytometry analysis of HeLa (Human cervix adenocarcinoma epithelial cell) cells labeling Pumilio 2 with purified ab92390 at 1/30 dilution (10μg/ml) (red). Cells were fixed with 4% Paraformaldehyde and permeabilised with 90% Methanol. A Goat anti rabbit IgG (Alexa Fluorr® 488, ab150077) secondary antibody was used at 1/2000. Isotype control - Rabbit monoclonal IgG (Black). Unlabeled control - Cell without incubation with primary antibody and secondary antibody (Blue).

Immunocytochemistry/ Immunofluorescence - Anti-Pumilio 2 antibody [EPR3813] (AB92390)
  • ICC/IF

Unknown

Immunocytochemistry/ Immunofluorescence - Anti-Pumilio 2 antibody [EPR3813] (AB92390)

Immunocytochemistry/ Immunofluorescence analysis of MCF7 (Human breast adenocarcinoma epithelial cell) cells labeling Pumilio 2 with purified ab92390 at 1/50 dilution (4.8 μg/ml). Cells were fixed in 4% Paraformaldehyde and permeabilized with 0.1% tritonX-100. Cells were counterstained with ab195889 Anti-alpha Tubulin antibody [DM1A] - Microtubule Marker (Alexa Fluor® 594) at 1/200 (2.5 μg/ml) dilution. Goat anti rabbit IgG (Alexa Fluor® 488, ab150077) was used as the secondary antibody at 1/1000 (2 μg/ml) dilution. DAPI (blue) was used as nuclear counterstain. PBS instead of the primary antibody was used as the secondary antibody only control.

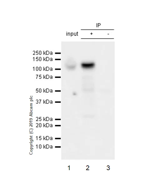
Immunoprecipitation - Anti-Pumilio 2 antibody [EPR3813] (AB92390)
  • IP

Unknown

Immunoprecipitation - Anti-Pumilio 2 antibody [EPR3813] (AB92390)

ab92390 (purified) at 1/20 dilution (1ug) immunoprecipitating Pumilio 2 in HeLa whole cell lysates.
Lane 1 : HeLa (Human cervix adenocarcinoma epithelial cell) whole cell lysates 10ug
Lane 2 (+) : ab92390 & HeLa whole cell lysates
Lane 3 (-) : Rabbit monoclonal IgG (ab172730) instead of ab92390 in HeLa whole cell lysates
For western blotting, VeriBlot for IP Detection Reagent (HRP) (ab131366) was used at 1/1000 dilution.
Blocking and diluting buffer : 5% NFDM/TBST.

All lanes:

Immunoprecipitation - Anti-Pumilio 2 antibody [EPR3813] (ab92390)

Predicted band size: 114 kDa

false

Western blot - Anti-Pumilio 2 antibody [EPR3813] (AB92390)
  • WB

Lab

Western blot - Anti-Pumilio 2 antibody [EPR3813] (AB92390)

All lanes:

Western blot - Anti-Pumilio 2 antibody [EPR3813] (ab92390) at 1/10000 dilution

Lane 1:

HeLa (Human cervix adenocarcinoma epithelial cell) whole cell lysates at 15 µg

Lane 2:

Mouse brain lysates at 15 µg

Lane 3:

Rat brain lysates at 15 µg

Secondary

All lanes:

Western blot - Goat Anti-Rabbit IgG H&L (HRP) (<a href='/en-us/products/secondary-antibodies/goat-rabbit-igg-h-l-hrp-ab97051'>ab97051</a>) at 1/20000 dilution

Predicted band size: 114 kDa

Observed band size: 114 kDa

false

Western blot - Anti-Pumilio 2 antibody [EPR3813] (AB92390)
  • WB

Unknown

Western blot - Anti-Pumilio 2 antibody [EPR3813] (AB92390)

All lanes:

Western blot - Anti-Pumilio 2 antibody [EPR3813] (ab92390) at 1/5000 dilution

Lane 1:

HeLa cell lysate at 10 µg

Lane 2:

293T cell lysate at 10 µg

Secondary

All lanes:

HRP labelled goat anti-rabbit at 1/2000 dilution

Predicted band size: 114 kDa

Observed band size: 114 kDa

false

  • Carrier free

    Anti-Pumilio 2 antibody [EPR3813] - BSA and Azide free

Key facts

Host species

Rabbit

Clonality

Monoclonal

Clone number

EPR3813

Isotype

IgG

Carrier free

No

Reacts with

Mouse, Rat, Human

Applications

Flow Cyt (Intra), IP, ICC/IF, WB

applications

Immunogen

The exact immunogen used to generate this antibody is proprietary information.

Specificity

This antibody is predicted to not cross react with Pumilio 1.

Reactivity data

{ "title": "Reactivity Data", "filters": { "stats": ["", "Species", "Dilution Info", "Notes"], "tabs": { "all-applications": {"fullname" : "All Applications", "shortname": "All Applications"}, "IP" : {"fullname" : "Immunoprecipitation", "shortname":"IP"}, "WB" : {"fullname" : "Western blot", "shortname":"WB"}, "ICCIF" : {"fullname" : "Immunocytochemistry/ Immunofluorescence", "shortname":"ICC/IF"}, "FlowCytIntra" : {"fullname" : "Flow Cytometry (Intracellular)", "shortname":"Flow Cyt (Intra)"} }, "product-promise": { "all": "all", "testedAndGuaranteed": "tested", "guaranteed": "expected", "predicted": "predicted", "notRecommended": "not-recommended" } }, "values": { "Human": { "IP-species-checked": "testedAndGuaranteed", "IP-species-dilution-info": "1/10 - 1/20", "IP-species-notes": "<p></p>", "WB-species-checked": "testedAndGuaranteed", "WB-species-dilution-info": "1/5000 - 1/10000", "WB-species-notes": "<p></p>", "ICCIF-species-checked": "testedAndGuaranteed", "ICCIF-species-dilution-info": "1/50", "ICCIF-species-notes": "<p><strong>For unpurified use at 1/100 - 1/250.</strong></p>", "FlowCytIntra-species-checked": "testedAndGuaranteed", "FlowCytIntra-species-dilution-info": "1/30", "FlowCytIntra-species-notes": "<p></p>" }, "Mouse": { "IP-species-checked": "guaranteed", "IP-species-dilution-info": "", "IP-species-notes": "", "WB-species-checked": "testedAndGuaranteed", "WB-species-dilution-info": "1/5000 - 1/10000", "WB-species-notes": "<p></p>", "ICCIF-species-checked": "guaranteed", "ICCIF-species-dilution-info": "", "ICCIF-species-notes": "", "FlowCytIntra-species-checked": "guaranteed", "FlowCytIntra-species-dilution-info": "", "FlowCytIntra-species-notes": "" }, "Rat": { "IP-species-checked": "guaranteed", "IP-species-dilution-info": "", "IP-species-notes": "", "WB-species-checked": "testedAndGuaranteed", "WB-species-dilution-info": "1/5000 - 1/10000", "WB-species-notes": "<p></p>", "ICCIF-species-checked": "guaranteed", "ICCIF-species-dilution-info": "", "ICCIF-species-notes": "", "FlowCytIntra-species-checked": "guaranteed", "FlowCytIntra-species-dilution-info": "", "FlowCytIntra-species-notes": "" } } }

Product details

Patented technology
Our RabMAb® technology is a patented hybridoma-based technology for making rabbit monoclonal antibodies. For details on our patents, please refer to RabMAb® patents.

What are the advantages of a recombinant monoclonal antibody?
This product is a recombinant monoclonal antibody, which offers several advantages including:

  • - High batch-to-batch consistency and reproducibility
  • - Improved sensitivity and specificity
  • - Long-term security of supply
  • - Animal-free batch production

For more information, read more on recombinant antibodies.

Properties and storage information

Form
Liquid
Purification technique
Affinity purification Protein A
Storage buffer
pH: 7.2 - 7.4 Preservative: 0.01% Sodium azide Constituents: PBS, 40% Glycerol (glycerin, glycerine), 0.05% BSA
Shipped at conditions
Blue Ice
Appropriate short-term storage duration
1-2 weeks
Appropriate short-term storage conditions
+4°C
Appropriate long-term storage conditions
-20°C
Aliquoting information
Upon delivery aliquot
Storage information
Avoid freeze / thaw cycle

Supplementary information

This supplementary information is collated from multiple sources and compiled automatically.

Pumilio 2 also known as PUM2 is a member of the PUF family of RNA-binding proteins. It has an approximate mass of 120 kDa. PUM2 is expressed in a variety of tissues including the brain testis and ovary. The protein primarily interacts with the 3'-untranslated regions (3' UTRs) of target mRNAs influencing their stability and translation. PUM2 acts by binding to specific sequences which mediates post-transcriptional regulation of gene expression.
Biological function summary

The regulation of mRNA stability and translation by PUM2 contributes to critical cellular processes such as development and differentiation. PUM2's involvement is observed within the context of RNA-protein complexes where it functions as an important regulator of mRNA fate. Its activity allows cells to tailor protein production according to specific needs such as maintaining stem cell pluripotency or guiding germ cell development.

Pathways

PUM2 participates in the regulation of mRNA translation and degradation aligning with pathways like the RNA processing and cell cycle pathways. In these pathways PUM2 collaborates with elements like the DCP1-DCP2 decapping complex to influence mRNA longevity and turnover. It also interacts with proteins such as NANOS enabling fine-tuned control over cell cycle progression and differentiation.

Altered expression of PUM2 has ties to neurological conditions like intellectual disability and infertility-related disorders. Mutations or misregulation in PUM2 expression can disrupt normal neural function with impacts linked to proteins like FMRP which is associated with fragile X syndrome. In reproductive diseases PUM2 regulation of specific mRNAs influences germline stem cell maintenance connecting its role to fertility issues.

Product protocols

For this product, it's our understanding that no specific protocols are required. You can visit:

Target data

Sequence-specific RNA-binding protein that acts as a post-transcriptional repressor by binding the 3'-UTR of mRNA targets. Binds to an RNA consensus sequence, the Pumilio Response Element (PRE), 5'-UGUANAUA-3', that is related to the Nanos Response Element (NRE) (, PubMed : 21397187). Mediates post-transcriptional repression of transcripts via different mechanisms : acts via direct recruitment of the CCR4-POP2-NOT deadenylase leading to translational inhibition and mRNA degradation (PubMed : 22955276). Also mediates deadenylation-independent repression by promoting accessibility of miRNAs (PubMed : 18776931, PubMed : 22345517). Acts as a post-transcriptional repressor of E2F3 mRNAs by binding to its 3'-UTR and facilitating miRNA regulation (PubMed : 22345517). Plays a role in cytoplasmic sensing of viral infection (PubMed : 25340845). Represses a program of genes necessary to maintain genomic stability such as key mitotic, DNA repair and DNA replication factors. Its ability to repress those target mRNAs is regulated by the lncRNA NORAD (non-coding RNA activated by DNA damage) which, due to its high abundance and multitude of PUMILIO binding sites, is able to sequester a significant fraction of PUM1 and PUM2 in the cytoplasm (PubMed : 26724866). May regulate DCUN1D3 mRNA levels (PubMed : 25349211). May support proliferation and self-renewal of stem cells. Binds specifically to miRNA MIR199A precursor, with PUM1, regulates miRNA MIR199A expression at a postranscriptional level (PubMed : 28431233).
See full target information PUM2

Publications (21)

Recent publications for all applications. Explore the full list and refine your search

Diabetes & metabolism journal : PubMed40930160

2025

PUM2 Lowers HDAC9 mRNA Stability to Improve Contrast-Induced Acute Kidney Injury through Attenuating Oxidative Stress and Promoting Autophagy.

Applications

Unspecified application

Species

Unspecified reactive species

Wei Chen,Hengcheng Lu,Wenni Dai,Hao Li,Yinyin Chen,Guoyong Liu,Liyu He

Clinical and translational medicine 15:e70388 PubMed40629911

2025

IGF2BP2 binding to CPSF6 facilitates m6A-mediated alternative polyadenylation of PUM2 and promotes malignant progression in ovarian cancer.

Applications

Unspecified application

Species

Unspecified reactive species

Xin Luo,Qinglv Wei,Lingcui Xie,Ningxuan Chen,Bin Gu,Jiani Xu,Xiaoyan Jiang,Xinzhao Zuo,Hongyan Zhao,Xiaoyi Liu,Yu Yang,Tao Liu,Yong Zhu,Ping Yi,Jing Xu

Cell biology and toxicology 41:28 PubMed39794619

2025

SENP1 inhibits aerobic glycolysis in Aβ-incubated astrocytes by promoting PUM2 deSUMOylation.

Applications

Unspecified application

Species

Unspecified reactive species

Qianshuo Liu,Meixi Jiang,Zhengze Wang,Jihong Meng,Hui Jia,Jing Li,Jiacai Lin,Libin Guo,Lianbo Gao

Cellular and molecular biology (Noisy-le-Grand, France) 70:116-120 PubMed39262254

2024

MiR-495-3p promotes cardiac hypertrophy by targeting Pum2.

Applications

Unspecified application

Species

Unspecified reactive species

Shushu Yu,Mingliang Wang,Yun Xie,Bo Wang,Yawei Xu

Environmental toxicology 39:4318-4332 PubMed38733337

2024

PUM2 promoted osteoarthritis progression through PTEN-mediated chondrocyte ferroptosis by facilitating NEDD4 mRNA degradation.

Applications

Unspecified application

Species

Unspecified reactive species

Yu Meng,Li Chen,Yuxia Chai,Weili Meng,Guohui Yang,Jia Ren,Hongshuai Li,Peiyi Qi,Juwu Chen,Nan Wang

Nucleic acids research 52:e48 PubMed38726866

2024

Massively parallel dissection of RNA in RNA-protein interactions in vivo.

Applications

Unspecified application

Species

Unspecified reactive species

Yu Hsuan Lee,Evan P Hass,Will Campodonico,Yong Kyu Lee,Erika Lasda,Jaynish S Shah,John L Rinn,Taeyoung Hwang

Nature methods 20:1887-1899 PubMed37857907

2023

RNA molecular recording with an engineered RNA deaminase.

Applications

Unspecified application

Species

Unspecified reactive species

Yizhu Lin,Samentha Kwok,Abigail E Hein,Bao Quoc Thai,Yewande Alabi,Megan S Ostrowski,Ke Wu,Stephen N Floor

Molecular therapy. Nucleic acids 33:910-924 PubMed37680988

2023

Expression of correlates with breast cancer aggressiveness and protects breast cancer cells from chemotherapy.

Applications

Unspecified application

Species

Unspecified reactive species

Catarina Alves-Vale,Ana Maria Capela,Carlota Tavares-Marcos,Beatriz Domingues-Silva,Bruno Pereira,Francisco Santos,Carla Pereira Gomes,Guadalupe Espadas,Rui Vitorino,Eduard Sabidó,Paula Borralho,Sandrina Nóbrega-Pereira,Bruno Bernardes de Jesus

European journal of haematology 110:498-509 PubMed36536516

2023

RNA-binding protein PUM2 promotes T-cell acute lymphoblastic leukemia via competitively binding to RBM5 3'UTR with miR-28-5p.

Applications

Unspecified application

Species

Unspecified reactive species

Taomin Bai,Na Liu

Molecular and cellular biochemistry 478:609-620 PubMed35997855

2022

PUM2 aggravates the neuroinflammation and brain damage induced by ischemia-reperfusion through the SLC7A11-dependent inhibition of ferroptosis via suppressing the SIRT1.

Applications

Unspecified application

Species

Unspecified reactive species

Qingran Liu,Yongchang Liu,Yan Li,Zhen Hong,Shaoquan Li,Chen Liu
View all publications

Product promise

We are committed to supporting your work with high-quality reagents, and we're here for you every step of the way. In the unlikely event that one of our products does not perform as expected, you're protected by our Product Promise.
For full details, please see our Terms & Conditions

Please note: All products are 'FOR RESEARCH USE ONLY. NOT FOR USE IN DIAGNOSTIC OR THERAPEUTIC PROCEDURES'.

For licensing inquiries, please contact partnerships@abcam.com