JavaScript is disabled in your browser. Please enable JavaScript to view this website.
AB239909

Anti-Pumilio 2 antibody [EPR3813] - BSA and Azide free

Be the first to review this product! Submit a review

|

(0 Publication)

Rabbit Recombinant Monoclonal Pumilio 2 antibody. Carrier free. Suitable for IP, WB, ICC/IF, Flow Cyt (Intra) and reacts with Human, Mouse, Rat samples.

View Alternative Names

KIAA0235, PUMH2, PUM2, Pumilio homolog 2, Pumilio-2

5 Images
Flow Cytometry (Intracellular) - Anti-Pumilio 2 antibody [EPR3813] - BSA and Azide free (AB239909)
  • Flow Cyt (Intra)

Unknown

Flow Cytometry (Intracellular) - Anti-Pumilio 2 antibody [EPR3813] - BSA and Azide free (AB239909)

Intracellular Flow Cytometry analysis of HeLa (Human cervix adenocarcinoma epithelial cell) cells labeling Pumilio 2 with purified ab92390 at 1/30 dilution (10μg/ml) (red). Cells were fixed with 4% Paraformaldehyde and permeabilised with 90% Methanol. A Goat anti rabbit IgG (Alexa Fluor® 488, ab150077) secondary antibody was used at 1/2000. Isotype control - Rabbit monoclonal IgG (Black). Unlabeled control - Cell without incubation with primary antibody and secondary antibody (Blue).

This data was developed using the same antibody clone in a different buffer formulation containing PBS, BSA, glycerol, and sodium azide (ab92390).

Immunocytochemistry/ Immunofluorescence - Anti-Pumilio 2 antibody [EPR3813] - BSA and Azide free (AB239909)
  • ICC/IF

Unknown

Immunocytochemistry/ Immunofluorescence - Anti-Pumilio 2 antibody [EPR3813] - BSA and Azide free (AB239909)

Immunocytochemistry/ Immunofluorescence analysis of MCF7 (Human breast adenocarcinoma epithelial cell) cells labeling Pumilio 2 with purified ab92390 at 1/50 dilution (4.8 μg/ml). Cells were fixed in 4% Paraformaldehyde and permeabilized with 0.1% tritonX-100. Cells were counterstained with ab195889 Anti-alpha Tubulin antibody [DM1A] - Microtubule Marker (Alexa Fluor® 594) at 1/200 (2.5 μg/ml) dilution. Goat anti rabbit IgG (Alexa Fluor® 488, ab150077) was used as the secondary antibody at 1/1000 (2 μg/ml) dilution. DAPI (blue) was used as nuclear counterstain. PBS instead of the primary antibody was used as the secondary antibody only control.

This data was developed using the same antibody clone in a different buffer formulation containing PBS, BSA, glycerol, and sodium azide (ab92390).

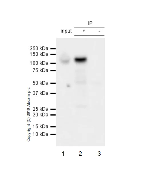
Immunoprecipitation - Anti-Pumilio 2 antibody [EPR3813] - BSA and Azide free (AB239909)
  • IP

Unknown

Immunoprecipitation - Anti-Pumilio 2 antibody [EPR3813] - BSA and Azide free (AB239909)

ab92390 (purified) at 1/20 dilution (1ug) immunoprecipitating Pumilio 2 in HeLa whole cell lysates.
Lane 1 : HeLa (Human cervix adenocarcinoma epithelial cell) whole cell lysates 10ug
Lane 2 (+) : ab92390 & HeLa whole cell lysates
Lane 3 (-) : Rabbit monoclonal IgG (ab172730) instead of ab92390 in HeLa whole cell lysates
For western blotting, VeriBlot for IP Detection Reagent (HRP) (ab131366) was used at 1/1000 dilution.
Blocking and diluting buffer : 5% NFDM/TBST.

This data was developed using the same antibody clone in a different buffer formulation containing PBS, BSA, glycerol, and sodium azide (ab92390).

All lanes:

Immunoprecipitation - Anti-Pumilio 2 antibody [EPR3813] (<a href='/en-us/products/primary-antibodies/pumilio-2-antibody-epr3813-ab92390'>ab92390</a>)

Predicted band size: 114 kDa

false

Western blot - Anti-Pumilio 2 antibody [EPR3813] - BSA and Azide free (AB239909)
  • WB

Unknown

Western blot - Anti-Pumilio 2 antibody [EPR3813] - BSA and Azide free (AB239909)

This data was developed using the same antibody clone in a different buffer formulation containing PBS, BSA, glycerol, and sodium azide (ab92390).

All lanes:

Western blot - Anti-Pumilio 2 antibody [EPR3813] (<a href='/en-us/products/primary-antibodies/pumilio-2-antibody-epr3813-ab92390'>ab92390</a>) at 1/5000 dilution

Lane 1:

HeLa cell lysate at 10 µg

Lane 2:

293T cell lysate at 10 µg

Secondary

All lanes:

HRP labelled goat anti-rabbit at 1/2000 dilution

Predicted band size: 114 kDa

Observed band size: 114 kDa

false

Western blot - Anti-Pumilio 2 antibody [EPR3813] - BSA and Azide free (AB239909)
  • WB

Lab

Western blot - Anti-Pumilio 2 antibody [EPR3813] - BSA and Azide free (AB239909)

This data was developed using the same antibody clone in a different buffer formulation containing PBS, BSA, glycerol, and sodium azide (ab92390).

All lanes:

Western blot - Anti-Pumilio 2 antibody [EPR3813] (<a href='/en-us/products/primary-antibodies/pumilio-2-antibody-epr3813-ab92390'>ab92390</a>) at 1/10000 dilution

Lane 1:

HeLa (Human cervix adenocarcinoma epithelial cell) whole cell lysates at 15 µg

Lane 2:

Mouse brain lysates at 15 µg

Lane 3:

Rat brain lysates at 15 µg

Secondary

All lanes:

Western blot - Goat Anti-Rabbit IgG H&L (HRP) (<a href='/en-us/products/secondary-antibodies/goat-rabbit-igg-h-l-hrp-ab97051'>ab97051</a>) at 1/20000 dilution

Predicted band size: 114 kDa

Observed band size: 114 kDa

false

Key facts

Host species

Rabbit

Clonality

Monoclonal

Clone number

EPR3813

Isotype

IgG

Carrier free

Yes

Reacts with

Mouse, Rat, Human

Applications

IP, ICC/IF, Flow Cyt (Intra), WB

applications

Immunogen

The exact immunogen used to generate this antibody is proprietary information.

Specificity

This antibody is predicted to not cross react with Pumilio 1.

Reactivity data

{ "title": "Reactivity Data", "filters": { "stats": ["", "Species", "Dilution Info", "Notes"], "tabs": { "all-applications": {"fullname" : "All Applications", "shortname": "All Applications"}, "IP" : {"fullname" : "Immunoprecipitation", "shortname":"IP"}, "WB" : {"fullname" : "Western blot", "shortname":"WB"}, "ICCIF" : {"fullname" : "Immunocytochemistry/ Immunofluorescence", "shortname":"ICC/IF"}, "FlowCytIntra" : {"fullname" : "Flow Cytometry (Intracellular)", "shortname":"Flow Cyt (Intra)"} }, "product-promise": { "all": "all", "testedAndGuaranteed": "tested", "guaranteed": "expected", "predicted": "predicted", "notRecommended": "not-recommended" } }, "values": { "Human": { "IP-species-checked": "testedAndGuaranteed", "IP-species-dilution-info": "", "IP-species-notes": "<p></p>", "WB-species-checked": "testedAndGuaranteed", "WB-species-dilution-info": "", "WB-species-notes": "<p></p>", "ICCIF-species-checked": "testedAndGuaranteed", "ICCIF-species-dilution-info": "", "ICCIF-species-notes": "<p></p>", "FlowCytIntra-species-checked": "testedAndGuaranteed", "FlowCytIntra-species-dilution-info": "", "FlowCytIntra-species-notes": "<p></p>" }, "Mouse": { "IP-species-checked": "guaranteed", "IP-species-dilution-info": "", "IP-species-notes": "", "WB-species-checked": "testedAndGuaranteed", "WB-species-dilution-info": "", "WB-species-notes": "<p></p>", "ICCIF-species-checked": "guaranteed", "ICCIF-species-dilution-info": "", "ICCIF-species-notes": "", "FlowCytIntra-species-checked": "guaranteed", "FlowCytIntra-species-dilution-info": "", "FlowCytIntra-species-notes": "" }, "Rat": { "IP-species-checked": "guaranteed", "IP-species-dilution-info": "", "IP-species-notes": "", "WB-species-checked": "testedAndGuaranteed", "WB-species-dilution-info": "", "WB-species-notes": "<p></p>", "ICCIF-species-checked": "guaranteed", "ICCIF-species-dilution-info": "", "ICCIF-species-notes": "", "FlowCytIntra-species-checked": "guaranteed", "FlowCytIntra-species-dilution-info": "", "FlowCytIntra-species-notes": "" } } }

Product details

ab239909 is the carrier-free version of ab92390.

Patented technology
Our RabMAb® technology is a patented hybridoma-based technology for making rabbit monoclonal antibodies. For details on our patents, please refer to RabMAb® patents.

What are the advantages of a recombinant monoclonal antibody?
This product is a recombinant monoclonal antibody, which offers several advantages including:

  • - High batch-to-batch consistency and reproducibility
  • - Improved sensitivity and specificity
  • - Long-term security of supply
  • - Animal-free batch production

For more information, read more on recombinant antibodies.

Conjugation ready
Our carrier-free antibodies are typically supplied in a PBS-only formulation, purified and free of BSA, sodium azide and glycerol. This conjugation-ready format is designed for use with fluorochromes, metal isotopes, oligonucleotides, and enzymes, which makes them ideal for antibody labelling, functional and cell-based assays, flow-based assays (e.g. mass cytometry) and Multiplex Imaging applications.

Use our conjugation kits for antibody conjugates that are ready-to-use in as little as 20 minutes with 1 minute hands-on-time and 100% antibody recovery: available for fluorescent dyes, HRP, biotin and gold.

Compatibility
This product is compatible with the Maxpar® Antibody Labeling Kit from Fluidigm, without the need for antibody preparation. Maxpar® is a trademark of Fluidigm Canada Inc.

Properties and storage information

Form
Liquid
Purification technique
Affinity purification Protein A
Storage buffer
pH: 7.2 - 7.4 Constituents: PBS
Shipped at conditions
Blue Ice
Appropriate short-term storage conditions
+4°C
Appropriate long-term storage conditions
+4°C
Storage information
Do Not Freeze

Supplementary information

This supplementary information is collated from multiple sources and compiled automatically.

Pumilio 2 also known as PUM2 is a member of the PUF family of RNA-binding proteins. It has an approximate mass of 120 kDa. PUM2 is expressed in a variety of tissues including the brain testis and ovary. The protein primarily interacts with the 3'-untranslated regions (3' UTRs) of target mRNAs influencing their stability and translation. PUM2 acts by binding to specific sequences which mediates post-transcriptional regulation of gene expression.
Biological function summary

The regulation of mRNA stability and translation by PUM2 contributes to critical cellular processes such as development and differentiation. PUM2's involvement is observed within the context of RNA-protein complexes where it functions as an important regulator of mRNA fate. Its activity allows cells to tailor protein production according to specific needs such as maintaining stem cell pluripotency or guiding germ cell development.

Pathways

PUM2 participates in the regulation of mRNA translation and degradation aligning with pathways like the RNA processing and cell cycle pathways. In these pathways PUM2 collaborates with elements like the DCP1-DCP2 decapping complex to influence mRNA longevity and turnover. It also interacts with proteins such as NANOS enabling fine-tuned control over cell cycle progression and differentiation.

Altered expression of PUM2 has ties to neurological conditions like intellectual disability and infertility-related disorders. Mutations or misregulation in PUM2 expression can disrupt normal neural function with impacts linked to proteins like FMRP which is associated with fragile X syndrome. In reproductive diseases PUM2 regulation of specific mRNAs influences germline stem cell maintenance connecting its role to fertility issues.

Product protocols

For this product, it's our understanding that no specific protocols are required. You can visit:

Target data

Sequence-specific RNA-binding protein that acts as a post-transcriptional repressor by binding the 3'-UTR of mRNA targets. Binds to an RNA consensus sequence, the Pumilio Response Element (PRE), 5'-UGUANAUA-3', that is related to the Nanos Response Element (NRE) (, PubMed : 21397187). Mediates post-transcriptional repression of transcripts via different mechanisms : acts via direct recruitment of the CCR4-POP2-NOT deadenylase leading to translational inhibition and mRNA degradation (PubMed : 22955276). Also mediates deadenylation-independent repression by promoting accessibility of miRNAs (PubMed : 18776931, PubMed : 22345517). Acts as a post-transcriptional repressor of E2F3 mRNAs by binding to its 3'-UTR and facilitating miRNA regulation (PubMed : 22345517). Plays a role in cytoplasmic sensing of viral infection (PubMed : 25340845). Represses a program of genes necessary to maintain genomic stability such as key mitotic, DNA repair and DNA replication factors. Its ability to repress those target mRNAs is regulated by the lncRNA NORAD (non-coding RNA activated by DNA damage) which, due to its high abundance and multitude of PUMILIO binding sites, is able to sequester a significant fraction of PUM1 and PUM2 in the cytoplasm (PubMed : 26724866). May regulate DCUN1D3 mRNA levels (PubMed : 25349211). May support proliferation and self-renewal of stem cells. Binds specifically to miRNA MIR199A precursor, with PUM1, regulates miRNA MIR199A expression at a postranscriptional level (PubMed : 28431233).
See full target information PUM2

Product promise

We are committed to supporting your work with high-quality reagents, and we're here for you every step of the way. In the unlikely event that one of our products does not perform as expected, you're protected by our Product Promise.
For full details, please see our Terms & Conditions

Please note: All products are 'FOR RESEARCH USE ONLY. NOT FOR USE IN DIAGNOSTIC OR THERAPEUTIC PROCEDURES'.

For licensing inquiries, please contact partnerships@abcam.com