JavaScript is disabled in your browser. Please enable JavaScript to view this website.
AB315888

Anti-Puromycin antibody [EPR27218-173] - BSA and Azide free

5

(2 Reviews)

|

(0 Publication)

Rabbit Recombinant Monoclonal Puromycin antibody. Carrier free. Suitable for IHC-P, ICC/IF, WB, Flow Cyt (Intra), IP and reacts with Chemical samples.
8 Images
Flow Cytometry (Intracellular) - Anti-Puromycin antibody [EPR27218-173] - BSA and Azide free (AB315888)
  • Flow Cyt (Intra)

Supplier Data

Flow Cytometry (Intracellular) - Anti-Puromycin antibody [EPR27218-173] - BSA and Azide free (AB315888)

This data was developed using ab315887, the same antibody clone in a different buffer formulation.

Flow cytometric analysis of 4% paraformaldehyde fixed 90% methanol permeabilized HeLa (human cervical adenocarcinoma epithelial cell) treated with 1uM Puromycin for 30min (Red) / Untreated HeLa (Green) cells labelling Puromycin with ab315887 at 1/500 dilution (0.1 ug)/Red (Red) compared with a Rabbit monoclonal IgG (ab172730) (Black) isotype control and an unlabelled control (cells without incubation with primary antibody and secondary antibody) (Blue).

Goat Anti-Rabbit IgG (Alexa Fluor® 488, ab150081) at 1/5000 dilution was used as the secondary antibody.

Immunocytochemistry/ Immunofluorescence - Anti-Puromycin antibody [EPR27218-173] - BSA and Azide free (AB315888)
  • ICC/IF

Supplier Data

Immunocytochemistry/ Immunofluorescence - Anti-Puromycin antibody [EPR27218-173] - BSA and Azide free (AB315888)

This data was developed using ab315887, the same antibody clone in a different buffer formulation.

Immunofluorescent analysis of 4% Paraformaldehyde-fixed, 0.1% TritonX-100 permeabilized HeLa (human cervical adenocarcinoma epithelial cell) cells labelling Puromycin with ab315887 at 1/500 (1.048 ug/ml) dilution, followed by ab150081 Goat Anti-Rabbit IgG H&L (Alexa Fluor® 488) preadsorbed antibody at 1/1000 2 ug/ml dilution (Green).

Confocal image showing cytoplasmic staining in HeLa cells after treatment with 1 uM Puromycin for 30 mins, while showing no staining in untreated HeLa cells.
Image was taken with a confocal microscope(Leica-Microsystems, TCS SP8).

ab195889 Anti-alpha Tubulin mouse monoclonal antibody - Microtubule Marker (Alexa Fluor® 594) was used to counterstain tubulin at 1/200 2.5ug/ml dilution (Red). The Nuclear counterstain was DAPI (Blue).

Secondary antibody only control : Secondary antibody is ab150081 Goat Anti-Rabbit IgG H&L (Alexa Fluor® 488) preadsorbed at 1/1000 2 ug/ml dilution.

Immunohistochemistry (Formalin/PFA-fixed paraffin-embedded sections) - Anti-Puromycin antibody [EPR27218-173] - BSA and Azide free (AB315888)
  • IHC-P

Supplier Data

Immunohistochemistry (Formalin/PFA-fixed paraffin-embedded sections) - Anti-Puromycin antibody [EPR27218-173] - BSA and Azide free (AB315888)

This data was developed using ab315887, the same antibody clone in a different buffer formulation.

Immunohistochemical analysis of paraffin-embedded Human kidney tissue labeling Puromycin with ab315887 at 1/100 (5.24 ug/ml) dilution, followed by a ready to use LeicaDS9800 (Bond™ Polymer Refine Detection).

Negative control : no staining on human kidney. The section was incubated with ab315887 for 30 mins at room temperature.
The immunostaining was performed on a Leica Biosystems BOND® RX instrument

Counterstained with Hematoxylin.

Secondary antibody only control : Secondary antibody is a ready to use LeicaDS9800 (Bond™ Polymer Refine Detection).

Heat mediated antigen retrieval was performed with Tris-EDTA buffer (pH 9.0, Epitope Retrieval Solution2) for 20 mins

Immunohistochemistry (Formalin/PFA-fixed paraffin-embedded sections) - Anti-Puromycin antibody [EPR27218-173] - BSA and Azide free (AB315888)
  • IHC-P

Supplier Data

Immunohistochemistry (Formalin/PFA-fixed paraffin-embedded sections) - Anti-Puromycin antibody [EPR27218-173] - BSA and Azide free (AB315888)

This data was developed using ab315887, the same antibody clone in a different buffer formulation.

Immunohistochemical analysis of paraffin-embedded Panel A HeLa (human cervical adenocarcinoma epithelial cell) cell pellet treated with Puromycin (1 uM) for 30min; Panel B untreated HeLa cell pellet. tissue labeling Puromycin with ab315887 at 1/5000 (0.105 ug/ml) dilution, followed by a ready to use LeicaDS9800 (Bond™ Polymer Refine Detection).

Positive staining on (A) HeLa cell pellet treated with Puromycin (1 uM) for 30min; no staining on (B) untreated HeLa cell pellet. The section was incubated with ab315887 for 30 mins at room temperature.
The immunostaining was performed on a Leica Biosystems BOND® RX instrument

Counterstained with Hematoxylin.

Secondary antibody only control : Secondary antibody is a ready to use LeicaDS9800 (Bond™ Polymer Refine Detection).

Heat mediated antigen retrieval was performed with Tris-EDTA buffer (pH 9.0, Epitope Retrieval Solution2) for 20 mins

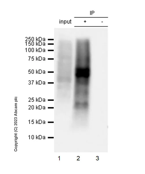
Immunoprecipitation - Anti-Puromycin antibody [EPR27218-173] - BSA and Azide free (AB315888)
  • IP

Supplier Data

Immunoprecipitation - Anti-Puromycin antibody [EPR27218-173] - BSA and Azide free (AB315888)

This data was developed using ab315887, the same antibody clone in a different buffer formulation.

Blocking and diluting buffer and concentration : 5% NFDM/TBST.

Puromycin was immunoprecipitated from 0.35 mg HeLa (human cervical adenocarcinoma epithelial cell) treated with 1uM Puromycin for 30min whole cell lysate with ab315887 at 1/30 dilution (2ug in 0.35mg lysates). Western blot was performed on the immunoprecipitate using ab315887 at 1/1000 dilution. VeriBlot for IP secondary antibody(HRP)(ab131366) was used at 1/5000 dilution.

Lane 1 : HeLa (human cervical adenocarcinoma epithelial cell) treated with 1uM Puromycin for 30min whole cell lysate
Lane 2 : ab315887 IP in HeLa (human cervical adenocarcinoma epithelial cell) treated with 1uM Puromycin for 30min whole cell lysate
Lane 3 : Rabbit monoclonal IgG (ab172730) instead of ab315887 in HeLa treated with 1uM Puromycin for 30min whole cell lysate

All lanes:

Immunoprecipitation - Anti-Puromycin antibody [EPR27218-173] (<a href='/en-us/products/primary-antibodies/puromycin-antibody-epr27218-173-ab315887'>ab315887</a>) at 1/30 dilution

All lanes:

HeLa (human cervical adenocarcinoma epithelial cell) treated with 1uM Puromycin for 30min whole cell lysate

Secondary

All lanes:

Immunoprecipitation - VeriBlot for IP Detection Reagent (HRP) (<a href='/en-us/products/reagents/veriblot-for-ip-detection-reagent-hrp-ab131366'>ab131366</a>) at 1/1000 dilution

false

Exposure time: 8s

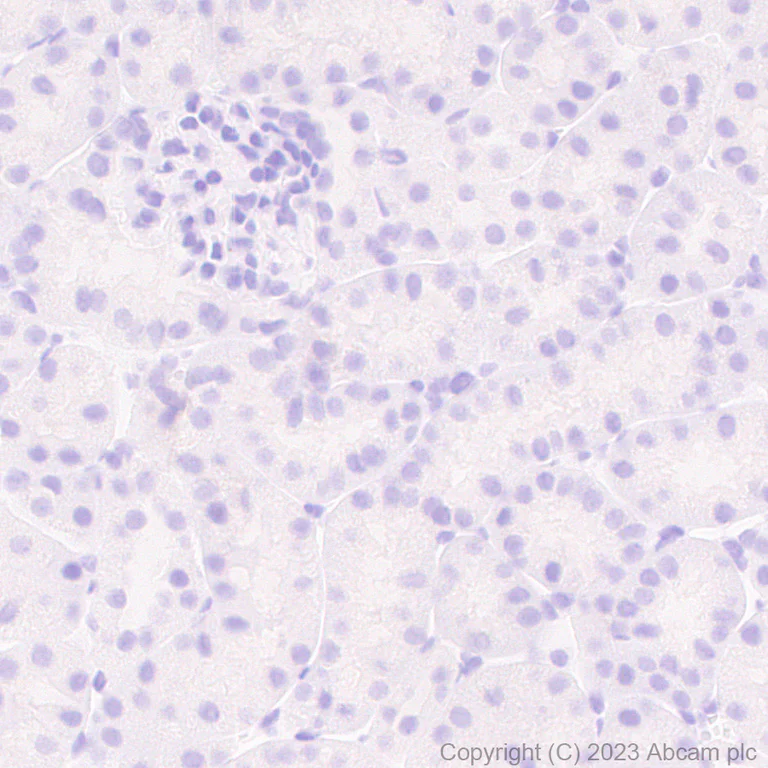
Immunohistochemistry (Formalin/PFA-fixed paraffin-embedded sections) - Anti-Puromycin antibody [EPR27218-173] - BSA and Azide free (AB315888)
  • IHC-P

Supplier Data

Immunohistochemistry (Formalin/PFA-fixed paraffin-embedded sections) - Anti-Puromycin antibody [EPR27218-173] - BSA and Azide free (AB315888)

This data was developed using ab315887, the same antibody clone in a different buffer formulation.

Immunohistochemical analysis of paraffin-embedded Mouse kidney tissue labeling Puromycin with ab315887 at 1/100 (5.24 ug/ml) dilution, followed by a ready to use LeicaDS9800 (Bond™ Polymer Refine Detection).

Negative control : no staining on mouse kidney. The section was incubated with ab315887 for 30 mins at room temperature.
The immunostaining was performed on a Leica Biosystems BOND® RX instrument

Counterstained with Hematoxylin.

Secondary antibody only control : Secondary antibody is a ready to use LeicaDS9800 (Bond™ Polymer Refine Detection).

Heat mediated antigen retrieval was performed with Tris-EDTA buffer (pH 9.0, Epitope Retrieval Solution2) for 20 mins

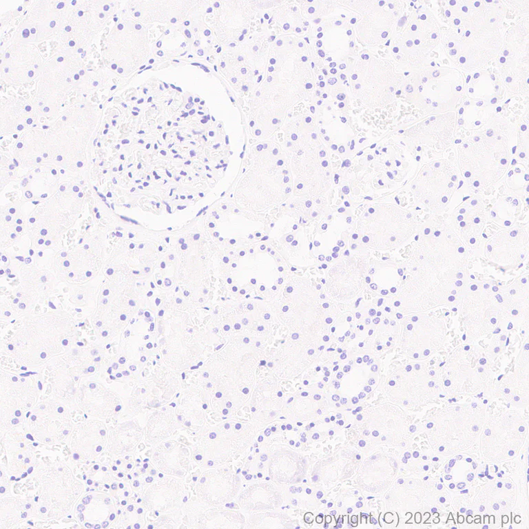
Immunohistochemistry (Formalin/PFA-fixed paraffin-embedded sections) - Anti-Puromycin antibody [EPR27218-173] - BSA and Azide free (AB315888)
  • IHC-P

Supplier Data

Immunohistochemistry (Formalin/PFA-fixed paraffin-embedded sections) - Anti-Puromycin antibody [EPR27218-173] - BSA and Azide free (AB315888)

This data was developed using ab315887, the same antibody clone in a different buffer formulation.

Immunohistochemical analysis of paraffin-embedded Rat kidney tissue labeling Puromycin with ab315887 at 1/100 (5.24 ug/ml) dilution, followed by a ready to use LeicaDS9800 (Bond™ Polymer Refine Detection).

Negative control : no staining on rat kidney. The section was incubated with ab315887 for 30 mins at room temperature.
The immunostaining was performed on a Leica Biosystems BOND® RX instrument

Counterstained with Hematoxylin.

Secondary antibody only control : Secondary antibody is a ready to use LeicaDS9800 (Bond™ Polymer Refine Detection).

Heat mediated antigen retrieval was performed with Tris-EDTA buffer (pH 9.0, Epitope Retrieval Solution2) for 20 mins

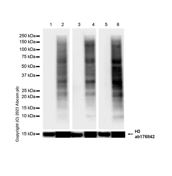
Western blot - Anti-Puromycin antibody [EPR27218-173] - BSA and Azide free (AB315888)
  • WB

Supplier Data

Western blot - Anti-Puromycin antibody [EPR27218-173] - BSA and Azide free (AB315888)

This data was developed using ab315887, the same antibody clone in a different buffer formulation.

Blocking and diluting buffer and concentration : 5% NFDM/TBST.

Puromycin is a naturally occurring aminonucleoside antibiotic that inhibits protein synthesis by ribosome-catalyzed incorporation into the C-terminus of elongating nascent chains, blocking further extension and resulting in premature termination of translation.

In Western blot, Anti-Histone H3 antibody [EPR16987] - Nuclear Marker and ChIP Grade (ab176842) staining at 1/100000 dilution.

Exposure time : Lane 1-2 : 1 second, Lane 3-4 : 6 seconds, Lane 5-6 : 3 seconds.

All lanes:

Western blot - Anti-Puromycin antibody [EPR27218-173] (<a href='/en-us/products/primary-antibodies/puromycin-antibody-epr27218-173-ab315887'>ab315887</a>) at 1/1000 dilution

Lane 1:

Untreated HeLa (human cervical adenocarcinoma epithelial cell) whole cell lysate at 20 µg

Lane 2:

HeLa treated with 1uM Puromycin for 30min whole cell lysate at 20 µg

Lane 3:

Untreated NIH/3T3 (mouse embryonic fibroblast) whole cell lysate at 20 µg

Lane 4:

NIH/3T3 treated with 1uM Puromycin for 30min whole cell lysate at 20 µg

Lane 5:

Untreated C6 (rat glial tumor glial cell) whole cell lysate at 20 µg

Lane 6:

C6 treated with 1uM Puromycin for 30min whole cell lysate at 20 µg

Secondary

All lanes:

Western blot - Goat Anti-Rabbit IgG H&L (HRP) (<a href='/en-us/products/secondary-antibodies/goat-rabbit-igg-h-l-hrp-ab97051'>ab97051</a>) at 1/20000 dilution

Observed band size: 10-250 kDa,15 kDa

false

Key facts

Host species

Rabbit

Clonality

Monoclonal

Clone number

EPR27218-173

Isotype

IgG

Carrier free

Yes

Applications

IHC-P, WB, Flow Cyt (Intra), IP, ICC/IF

applications

Immunogen

The exact immunogen used to generate this antibody is proprietary information.

Reactivity data

{ "title": "Reactivity Data", "filters": { "stats": ["", "Species", "Dilution Info", "Notes"], "tabs": { "all-applications": {"fullname" : "All Applications", "shortname": "All Applications"}, "IHCP" : {"fullname" : "Immunohistochemistry (Formalin/PFA-fixed paraffin-embedded sections)", "shortname":"IHC-P"}, "ICCIF" : {"fullname" : "Immunocytochemistry/ Immunofluorescence", "shortname":"ICC/IF"}, "WB" : {"fullname" : "Western blot", "shortname":"WB"}, "FlowCytIntra" : {"fullname" : "Flow Cytometry (Intracellular)", "shortname":"Flow Cyt (Intra)"}, "IP" : {"fullname" : "Immunoprecipitation", "shortname":"IP"} }, "product-promise": { "all": "all", "testedAndGuaranteed": "tested", "guaranteed": "expected", "predicted": "predicted", "notRecommended": "not-recommended" } }, "values": { "Chemical": { "IHCP-species-checked": "testedAndGuaranteed", "IHCP-species-dilution-info": "", "IHCP-species-notes": "<p></p>", "ICCIF-species-checked": "testedAndGuaranteed", "ICCIF-species-dilution-info": "", "ICCIF-species-notes": "<p></p>", "WB-species-checked": "testedAndGuaranteed", "WB-species-dilution-info": "", "WB-species-notes": "<p></p>", "FlowCytIntra-species-checked": "testedAndGuaranteed", "FlowCytIntra-species-dilution-info": "", "FlowCytIntra-species-notes": "<p></p>", "IP-species-checked": "testedAndGuaranteed", "IP-species-dilution-info": "", "IP-species-notes": "<p></p>" } } }

Product details

ab315888 is the carrier-free version of ab315887.

Patented technology
Our RabMAb® technology is a patented hybridoma-based technology for making rabbit monoclonal antibodies. For details on our patents, please refer to RabMAb® patents.

What are the advantages of a recombinant monoclonal antibody?
This product is a recombinant monoclonal antibody, which offers several advantages including:

  • - High batch-to-batch consistency and reproducibility
  • - Improved sensitivity and specificity
  • - Long-term security of supply
  • - Animal-free batch production

For more information, read more on recombinant antibodies.

Conjugation ready
Our carrier-free antibodies are typically supplied in a PBS-only formulation, purified and free of BSA, sodium azide and glycerol. This conjugation-ready format is designed for use with fluorochromes, metal isotopes, oligonucleotides, and enzymes, which makes them ideal for antibody labelling, functional and cell-based assays, flow-based assays (e.g. mass cytometry) and Multiplex Imaging applications.

Use our conjugation kits for antibody conjugates that are ready-to-use in as little as 20 minutes with 1 minute hands-on-time and 100% antibody recovery: available for fluorescent dyes, HRP, biotin and gold.

Compatibility
This product is compatible with the Maxpar® Antibody Labeling Kit from Fluidigm, without the need for antibody preparation. Maxpar® is a trademark of Fluidigm Canada Inc.

Properties and storage information

Form
Liquid
Purification technique
Affinity purification Protein A
Storage buffer
pH: 7.2 - 7.4 Constituents: PBS
Shipped at conditions
Blue Ice
Appropriate short-term storage conditions
+4°C
Appropriate long-term storage conditions
+4°C

Supplementary information

This supplementary information is collated from multiple sources and compiled automatically.

Puromycin is a well-known antibiotic that acts by disrupting protein synthesis. It mimics the structure of an aminoacyl-tRNA leading to premature termination of the growing polypeptide chain during translation. Puromycin is small with a molecular mass of approximately 471 daltons. It interacts mainly within the cytoplasm where it can incorporate into the peptide chain due to its similarity to the 3' end of the aminoacyl-tRNA. Puromycin does not have a specific expression site like endogenous proteins because it is not naturally occurring in animals; rather it is used experimentally.
Biological function summary

The function of puromycin is to interfere with protein synthesis by targeting ribosomes. It binds to the ribosomal A site leading to the release of incomplete polypeptides. Puromycin is not part of a complex but establishes a strong interaction with ribosomes found in prokaryotic and eukaryotic cells. This interaction gives it unique utility in experiments that require inhibition of translation such as studies involving protein turnover and synthesis rates.

Pathways

The action of puromycin strongly impacts protein synthesis pathways. It inhibits the elongation stage of the translation pathway by mimicking an aminoacyl-tRNA. Puromycin does not involve complex pathways itself but its effects can influence other proteins involved in translation such as elongation factors and the ribosomal subunits. This makes puromycin useful in basic scientific research to study how cells control protein synthesis.

Puromycin's ability to inhibit translation links it to studies on cancer and neurodegenerative diseases. Researchers use puromycin to explore how disrupting protein synthesis can affect cancer cell growth. It serves as a model for understanding toxins that affect similar pathways in neurodegenerative disorders. Through these studies connections have been made between puromycin's action and proteins involved in these diseases such as oncogenes and neuromodulatory proteins which are key to understanding disease progression and developing potential treatments.

Product protocols

For this product, it's our understanding that no specific protocols are required. You can visit:

Product promise

We are committed to supporting your work with high-quality reagents, and we're here for you every step of the way. In the unlikely event that one of our products does not perform as expected, you're protected by our Product Promise.
For full details, please see our Terms & Conditions

Please note: All products are 'FOR RESEARCH USE ONLY. NOT FOR USE IN DIAGNOSTIC OR THERAPEUTIC PROCEDURES'.

For licensing inquiries, please contact partnerships@abcam.com