JavaScript is disabled in your browser. Please enable JavaScript to view this website.
AB185078

Anti-PUS10 antibody

Be the first to review this product! Submit a review

|

(1 Publication)

Rabbit Polyclonal PUS10 antibody. Suitable for IHC-P, WB, ICC/IF and reacts with Human samples. Cited in 1 publication. Immunogen corresponding to Recombinant Fragment Protein within Human PUS10 aa 250-400.

View Alternative Names

CCDC139, DOBI, PUS10, tRNA pseudouridine synthase Pus10, Hup10, Coiled-coil domain-containing protein 139, tRNA pseudouridine 55 synthase, tRNA pseudouridylate synthase, tRNA-uridine isomerase, Psi55 synthase

7 Images
Immunohistochemistry (Formalin/PFA-fixed paraffin-embedded sections) - Anti-PUS10 antibody (AB185078)
  • IHC-P

Supplier Data

Immunohistochemistry (Formalin/PFA-fixed paraffin-embedded sections) - Anti-PUS10 antibody (AB185078)

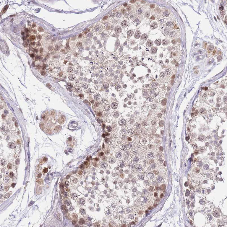
Immunohistochemistry analysis of human testis tissue labeling PUS10 with ab185078 at a 1/50 dilution.

Moderate nuclear and cytoplasmic positivity in seminiferous ducts.

Performed heat mediated antigen retrieval with citrate buffer pH 6 before commencing with IHC staining protocol.

Immunohistochemistry (Formalin/PFA-fixed paraffin-embedded sections) - Anti-PUS10 antibody (AB185078)
  • IHC-P

Unknown

Immunohistochemistry (Formalin/PFA-fixed paraffin-embedded sections) - Anti-PUS10 antibody (AB185078)

Immunohistochemistry analysis of human thyroid gland tissue labeling PUS10 with ab185078 at a 1/50 dilution.

Moderate nuclear positivity in glandular cells.

Performed heat mediated antigen retrieval with citrate buffer pH 6 before commencing with IHC staining protocol.

Immunohistochemistry (Formalin/PFA-fixed paraffin-embedded sections) - Anti-PUS10 antibody (AB185078)
  • IHC-P

Supplier Data

Immunohistochemistry (Formalin/PFA-fixed paraffin-embedded sections) - Anti-PUS10 antibody (AB185078)

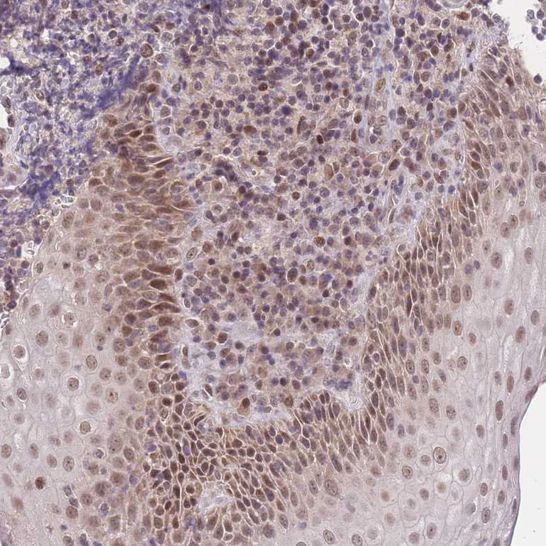
Immunohistochemistry analysis of human tonsil tissue labeling PUS10 with ab185078 at a 1/50 dilution.

Moderate nuclear and cytoplasmic positivity in squamous epithelial cells.

Performed heat mediated antigen retrieval with citrate buffer pH 6 before commencing with IHC staining protocol.

Immunocytochemistry/ Immunofluorescence - Anti-PUS10 antibody (AB185078)
  • ICC/IF

Supplier Data

Immunocytochemistry/ Immunofluorescence - Anti-PUS10 antibody (AB185078)

Immunocytochemistry analysis of A431 (human epidermoid carcinoma cell line) whole cells labeling PUS10 nucleoplasm, nuclear bodies and mitochondria with ab185078 at 2 μg/ml.

Immunohistochemistry (Formalin/PFA-fixed paraffin-embedded sections) - Anti-PUS10 antibody (AB185078)
  • IHC-P

Supplier Data

Immunohistochemistry (Formalin/PFA-fixed paraffin-embedded sections) - Anti-PUS10 antibody (AB185078)

Immunohistochemistry analysis of human cerebral cortex tissue labeling PUS10 with ab185078 at a 1/50 dilution.

Moderate nuclear and cytoplasmic positivity in neuronal cells.

Performed heat mediated antigen retrieval with citrate buffer pH 6 before commencing with IHC staining protocol.

Immunohistochemistry (Formalin/PFA-fixed paraffin-embedded sections) - Anti-PUS10 antibody (AB185078)
  • IHC-P

Supplier Data

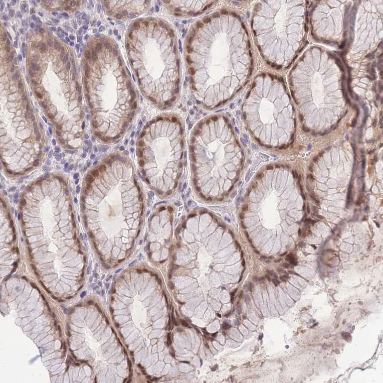
Immunohistochemistry (Formalin/PFA-fixed paraffin-embedded sections) - Anti-PUS10 antibody (AB185078)

Immunohistochemistry analysis of human stomach tissue labeling PUS10 with ab185078 at a 1/50 dilution.

Moderate nuclear and cytoplasmic positivity in glandular cells.

Performed heat mediated antigen retrieval with citrate buffer pH 6 before commencing with IHC staining protocol.

Western blot - Anti-PUS10 antibody (AB185078)
  • WB

Unknown

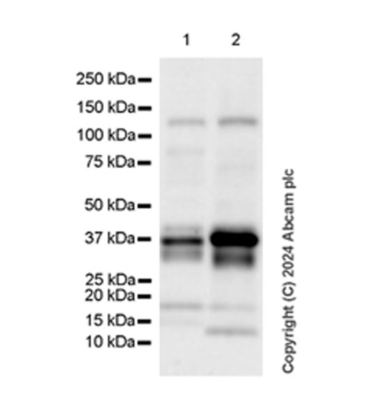
Western blot - Anti-PUS10 antibody (AB185078)

All lanes:

Western blot - Anti-PUS10 antibody (ab185078) at 0.4 µg/mL

All lanes:

Human cell line HepG2

Predicted band size: 60 kDa

false

Key facts

Host species

Rabbit

Clonality

Polyclonal

Isotype

IgG

Carrier free

No

Reacts with

Human

Applications

IHC-P, ICC/IF, WB

applications

Immunogen

Recombinant Fragment Protein within Human PUS10 aa 250-400. The exact immunogen used to generate this antibody is proprietary information.

Q3MIT2

Reactivity data

{ "title": "Reactivity Data", "filters": { "stats": ["", "Species", "Dilution Info", "Notes"], "tabs": { "all-applications": {"fullname" : "All Applications", "shortname": "All Applications"}, "IHCP" : {"fullname" : "Immunohistochemistry (Formalin/PFA-fixed paraffin-embedded sections)", "shortname":"IHC-P"}, "WB" : {"fullname" : "Western blot", "shortname":"WB"}, "ICCIF" : {"fullname" : "Immunocytochemistry/ Immunofluorescence", "shortname":"ICC/IF"} }, "product-promise": { "all": "all", "testedAndGuaranteed": "tested", "guaranteed": "expected", "predicted": "predicted", "notRecommended": "not-recommended" } }, "values": { "Human": { "IHCP-species-checked": "testedAndGuaranteed", "IHCP-species-dilution-info": "1/50 - 1/200", "IHCP-species-notes": "<p></p> Perform heat-mediated antigen retrieval with citrate buffer pH 6 before commencing with IHC staining protocol.", "WB-species-checked": "testedAndGuaranteed", "WB-species-dilution-info": "0.04-0.4 µg/mL", "WB-species-notes": "<p></p>", "ICCIF-species-checked": "testedAndGuaranteed", "ICCIF-species-dilution-info": "0.25-2 µg/mL", "ICCIF-species-notes": "<p>Fixation/Permeabilization: PFA/Triton X-100</p>" }, "Mouse": { "IHCP-species-checked": "predicted", "IHCP-species-dilution-info": "", "IHCP-species-notes": "", "WB-species-checked": "predicted", "WB-species-dilution-info": "", "WB-species-notes": "", "ICCIF-species-checked": "predicted", "ICCIF-species-dilution-info": "", "ICCIF-species-notes": "" }, "Rat": { "IHCP-species-checked": "predicted", "IHCP-species-dilution-info": "", "IHCP-species-notes": "", "WB-species-checked": "predicted", "WB-species-dilution-info": "", "WB-species-notes": "", "ICCIF-species-checked": "predicted", "ICCIF-species-dilution-info": "", "ICCIF-species-notes": "" } } }

Properties and storage information

Form
Liquid
Purification technique
Affinity purification Immunogen
Storage buffer
pH: 7.2 Preservative: 0.02% Sodium azide Constituents: 59% PBS, 40% Glycerol (glycerin, glycerine)
Shipped at conditions
Blue Ice
Appropriate short-term storage duration
1-2 weeks
Appropriate short-term storage conditions
+4°C
Appropriate long-term storage conditions
-20°C
Aliquoting information
Upon delivery aliquot
Storage information
Avoid freeze / thaw cycle

Supplementary information

This supplementary information is collated from multiple sources and compiled automatically.

The protein PUS10 also known as pseudouridylate synthase 10 catalyzes the isomerization of uridine to pseudouridine in RNA molecules. This process introduces pseudouridine modifications critical for RNA stability and processing. PUS10 has a molecular mass of approximately 57 kDa and it is expressed in several tissues including the heart and skeletal muscle. This protein is found in both the nucleus and cytoplasm of cells suggesting its role in modifying different types of RNA.
Biological function summary

PUS10 plays significant functions that affect RNA biogenesis and stability. Its involvement in pseudouridylation impacts the structure and function of tRNA rRNA and other small RNA species. This protein is not part of a larger protein complex but works independently. Its activity influences the integrity of RNA molecules which is important for accurate protein synthesis and cellular function.

Pathways

PUS10 significantly contributes to RNA modification and processing pathways. It is a part of the wider RNA maturation process where it cooperates with other RNA-modifying enzymes like dyskerin (DKC1). DKC1 also participates in pseudouridylation highlighting the interconnected roles in ensuring RNA’s proper folding and functionality. PUS10’s involvement in the RNA modification pathway underlines its importance in maintaining RNA function integrity.

PUS10 has been linked to several health conditions. It has notable associations with cancer and autoimmune diseases. In cancer alterations in PUS10 expression levels can disrupt normal cell function potentially leading to tumorigenesis. It also interacts with the p53 protein which plays a role in tumor suppression. In autoimmune diseases the misregulation of RNA modifications including pseudouridylation by PUS10 might contribute to autoimmune responses due to altered RNA structures. Understanding PUS10 in these contexts provides insight into how RNA modifications could influence disease progression and treatment.

Product protocols

For this product, it's our understanding that no specific protocols are required. You can visit:

Target data

Protein with different functions depending on its subcellular location : involved in miRNA processing in the nucleus and acts as a tRNA pseudouridylate synthase in the cytoplasm (PubMed : 31819270, PubMed : 33023933). In the cytoplasm, acts as a pseudouridylate synthase by catalyzing synthesis of pseudouridine(54) and pseudouridine(55) from uracil-54 and uracil-55, respectively, in the psi GC loop of a subset of tRNAs (PubMed : 30530625, PubMed : 31819270, PubMed : 33023933). tRNA pseudouridylate synthase activity is enhanced by the presence of 1-methyladenosine at position 53-61 of tRNAs (PubMed : 30530625). Does not show tRNA pseudouridylate synthase activity in the nucleus (PubMed : 33023933). In the nucleus, promotes primary microRNAs (pri-miRNAs) processing independently of its RNA pseudouridylate synthase activity (PubMed : 31819270). Binds pri-miRNAs (PubMed : 31819270). Modulator of TRAIL/TNFSF10-induced cell death via activation of procaspase-8 and BID cleavage (PubMed : 14527409, PubMed : 19712588). Required for the progression of the apoptotic signal through intrinsic mitochondrial cell death (PubMed : 19712588).
See full target information PUS10

Publications (1)

Recent publications for all applications. Explore the full list and refine your search

Osteoarthritis and cartilage 27:140-147 PubMed30223022

2018

CRISPR-Cas9 targeting of MMP13 in human chondrocytes leads to significantly reduced levels of the metalloproteinase and enhanced type II collagen accumulation.

Applications

Unspecified application

Species

Unspecified reactive species

C I Seidl,T A Fulga,C L Murphy
View all publications

Product promise

We are committed to supporting your work with high-quality reagents, and we're here for you every step of the way. In the unlikely event that one of our products does not perform as expected, you're protected by our Product Promise.
For full details, please see our Terms & Conditions

Please note: All products are 'FOR RESEARCH USE ONLY. NOT FOR USE IN DIAGNOSTIC OR THERAPEUTIC PROCEDURES'.

For licensing inquiries, please contact partnerships@abcam.com