JavaScript is disabled in your browser. Please enable JavaScript to view this website.
AB313623

Anti-PUS10 antibody [EPR26272-66] - BSA and Azide free

Be the first to review this product! Submit a review

|

(0 Publication)

Rabbit Recombinant Monoclonal PUS10 antibody. Carrier free. Suitable for WB, IP, Flow Cyt (Intra), IHC-P and reacts with Human samples.

View Alternative Names

CCDC139, DOBI, PUS10, tRNA pseudouridine synthase Pus10, Hup10, Coiled-coil domain-containing protein 139, tRNA pseudouridine 55 synthase, tRNA pseudouridylate synthase, tRNA-uridine isomerase, Psi55 synthase

8 Images
Immunohistochemistry (Formalin/PFA-fixed paraffin-embedded sections) - Anti-PUS10 antibody [EPR26272-66] - BSA and Azide free (AB313623)
  • IHC-P

Supplier Data

Immunohistochemistry (Formalin/PFA-fixed paraffin-embedded sections) - Anti-PUS10 antibody [EPR26272-66] - BSA and Azide free (AB313623)

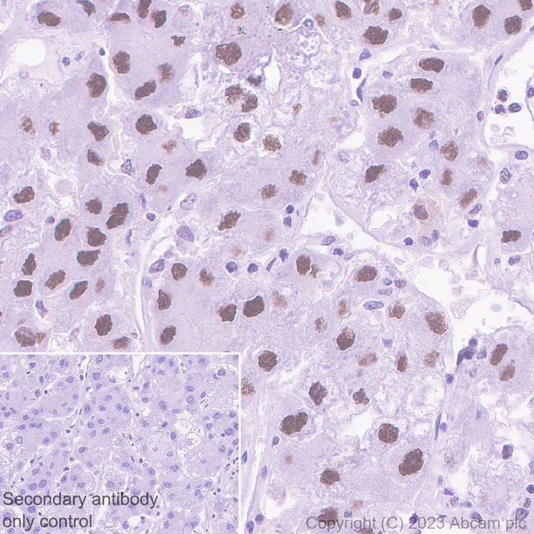
This data was developed using ab313622, the same antibody clone in a different buffer formulation. Immunohistochemical analysis of paraffin-embedded Human hepatocellular tissue labeling PUS10 with ab313622 at 1/2000 (0.252 ug/ml) followed by a ready to use Rabbit specific IHC polymer detection kit HRP/DAB (ab209101). Positive staining on human hepatocellular carcinoma. The section was incubated with ab313622 for 30 mins at room temperature.The immunostaining was performed on a Leica Biosystems BOND® RX instrument Counterstained with Hematoxylin. Secondary antibody only control : Secondary antibody is a ready to use Rabbit specific IHC polymer detection kit HRP/DAB (ab209101). Heat mediated antigen retrieval was performed with Tris-EDTA buffer (pH 9.0, Epitope Retrieval Solution2) for 20 mins

Flow Cytometry (Intracellular) - Anti-PUS10 antibody [EPR26272-66] - BSA and Azide free (AB313623)
  • Flow Cyt (Intra)

Supplier Data

Flow Cytometry (Intracellular) - Anti-PUS10 antibody [EPR26272-66] - BSA and Azide free (AB313623)

This data was developed using ab313622, the same antibody clone in a different buffer formulation. Flow cytometric analysis of PC-3 (human prostate adenocarcinoma epithelial cell) cells labelling PUS10 with ab313622 at 1/500 dilution (0.1 ug)/Red compared with a Rabbit monoclonal IgG (ab172730) (Black) isotype control and an unlabelled control (cells without incubation with primary antibody and secondary antibody) (Blue). Goat Anti-Rabbit IgG (Alexa Fluor® 488, ab150081) at 1/5000 dilution was used as the secondary antibody.

Immunohistochemistry (Formalin/PFA-fixed paraffin-embedded sections) - Anti-PUS10 antibody [EPR26272-66] - BSA and Azide free (AB313623)
  • IHC-P

Supplier Data

Immunohistochemistry (Formalin/PFA-fixed paraffin-embedded sections) - Anti-PUS10 antibody [EPR26272-66] - BSA and Azide free (AB313623)

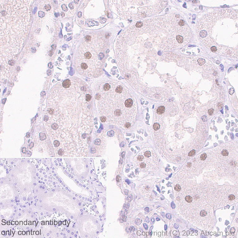
This data was developed using ab313622, the same antibody clone in a different buffer formulation. Immunohistochemical analysis of paraffin-embedded Human kidney tissue labeling PUS10 with ab313622 at 1/2000 (0.252 ug/ml) followed by a ready to use Rabbit specific IHC polymer detection kit HRP/DAB (ab209101). Positive staining on human kidney. The section was incubated with ab313622 for 30 mins at room temperature.The immunostaining was performed on a Leica Biosystems BOND® RX instrument Counterstained with Hematoxylin. Secondary antibody only control : Secondary antibody is a ready to use Rabbit specific IHC polymer detection kit HRP/DAB (ab209101). Heat mediated antigen retrieval was performed with Tris-EDTA buffer (pH 9.0, Epitope Retrieval Solution2) for 20 mins

Immunohistochemistry (Formalin/PFA-fixed paraffin-embedded sections) - Anti-PUS10 antibody [EPR26272-66] - BSA and Azide free (AB313623)
  • IHC-P

Supplier Data

Immunohistochemistry (Formalin/PFA-fixed paraffin-embedded sections) - Anti-PUS10 antibody [EPR26272-66] - BSA and Azide free (AB313623)

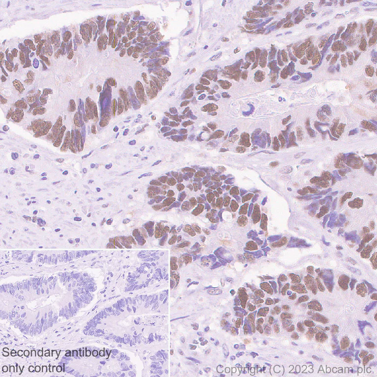
This data was developed using ab313622, the same antibody clone in a different buffer formulation. Immunohistochemical analysis of paraffin-embedded Human colon carcinom tissue labeling PUS10 with ab313622 at 1/2000 (0.252 ug/ml) followed by a ready to use Rabbit specific IHC polymer detection kit HRP/DAB (ab209101). Positive staining on human colon carcinoma. The section was incubated with ab313622 for 30 mins at room temperature.The immunostaining was performed on a Leica Biosystems BOND® RX instrument Counterstained with Hematoxylin. Secondary antibody only control : Secondary antibody is a ready to use Rabbit specific IHC polymer detection kit HRP/DAB (ab209101). Heat mediated antigen retrieval was performed with Tris-EDTA buffer (pH 9.0, Epitope Retrieval Solution2) for 20 mins

Immunoprecipitation - Anti-PUS10 antibody [EPR26272-66] - BSA and Azide free (AB313623)
  • IP

Supplier Data

Immunoprecipitation - Anti-PUS10 antibody [EPR26272-66] - BSA and Azide free (AB313623)

This data was developed using ab313622, the same antibody clone in a different buffer formulation. PUS10 was immunoprecipitated from 0.35 mg PC-3 (human prostate adenocarcinoma epithelial cell) whole cell lysate with ab313622 at 1/30 dilution (2ug in 0.35mg lysates). Western blot was performed on the immunoprecipitate using ab313622 at 1/1000 dilution. VeriBlot for IP secondary antibody(HRP)(ab131366) was used at 1/5000 dilution. Lane 1 : PC-3 (human prostate adenocarcinoma epithelial cell) whole cell lysate Lane 2 : ab313622 IP in PC-3 (human prostate adenocarcinoma epithelial cell) whole cell lysate Lane 3 : Rabbit monoclonal IgG (ab172730) instead of ab313622 in PC-3 whole cell lysate Blocking and dilution buffer and concentration : 5% NFDM/TBST. Exposure time : 24 seconds

All lanes:

Immunoprecipitation - Anti-PUS10 antibody [EPR26272-66] (<a href='/en-us/products/primary-antibodies/pus10-antibody-epr26272-66-ab313622'>ab313622</a>) at 1/30 dilution

All lanes:

PC-3 (human prostate adenocarcinoma epithelial cell) whole cell lysate

Secondary

All lanes:

Immunoprecipitation - VeriBlot for IP Detection Reagent (HRP) (<a href='/en-us/products/reagents/veriblot-for-ip-detection-reagent-hrp-ab131366'>ab131366</a>) at 1/1000 dilution

false

Exposure time: 24s

Western blot - Anti-PUS10 antibody [EPR26272-66] - BSA and Azide free (AB313623)
  • WB

Supplier Data

Western blot - Anti-PUS10 antibody [EPR26272-66] - BSA and Azide free (AB313623)

This data was developed using ab313622, the same antibody clone in a different buffer formulation. Blocking and diluting buffer and concentration : 5% NFDM/TBST Exposure time : 180 seconds

All lanes:

Western blot - Anti-PUS10 antibody [EPR26272-66] (<a href='/en-us/products/primary-antibodies/pus10-antibody-epr26272-66-ab313622'>ab313622</a>) at 1/1000 dilution

Lane 1:

293T (human embryonic kidney epithelial cell) whole cell lysate at 20 µg

Lane 2:

HepG2 (human hepatocellar carcinoma epithelial cell) whole cell lysate at 20 µg

Secondary

All lanes:

Western blot - Goat Anti-Rabbit IgG H&L (HRP) (<a href='/en-us/products/secondary-antibodies/goat-rabbit-igg-h-l-hrp-ab97051'>ab97051</a>) at 1/100000 dilution

Observed band size: 60 kDa

false

Exposure time: 180s

Western blot - Anti-PUS10 antibody [EPR26272-66] - BSA and Azide free (AB313623)
  • WB

Supplier Data

Western blot - Anti-PUS10 antibody [EPR26272-66] - BSA and Azide free (AB313623)

This data was developed using ab313622, the same antibody clone in a different buffer formulation. Blocking and diluting buffer and concentration : 5% NFDM/TBST The identity of the lower MW band at approximately 37 kDa is unknown. Exposure time : 180 seconds

All lanes:

Western blot - Anti-PUS10 antibody [EPR26272-66] (<a href='/en-us/products/primary-antibodies/pus10-antibody-epr26272-66-ab313622'>ab313622</a>) at 1/1000 dilution

Lane 1:

Human testis tissue lysate at 20 µg

Lane 2:

Human kidney tissue lysate at 20 µg

Secondary

All lanes:

Goat Anti-Rabbit IgG (HRP) with minimal cross-reactivity with human IgG at 1/2000 dilution

Observed band size: 60 kDa

false

Exposure time: 180s

Western blot - Anti-PUS10 antibody [EPR26272-66] - BSA and Azide free (AB313623)
  • WB

Supplier Data

Western blot - Anti-PUS10 antibody [EPR26272-66] - BSA and Azide free (AB313623)

This data was developed using ab313622, the same antibody clone in a different buffer formulation. Blocking and diluting buffer and concentration : 5% NFDM/TBST In Western blot, anti-GAPDH antibody (ab181602) loading control staining at 1/200000 dilution. Exposure time : 103 seconds

All lanes:

Western blot - Anti-PUS10 antibody [EPR26272-66] (<a href='/en-us/products/primary-antibodies/pus10-antibody-epr26272-66-ab313622'>ab313622</a>) at 1/1000 dilution

Lane 1:

HeLa (human cervical adenocarcinoma epithelial cell) whole cell lysate at 20 µg

Lane 2:

PC-3 (human prostate adenocarcinoma epithelial cell) transfected with scrambled siRNA control whole cell lysate at 20 µg

Lane 3:

PC-3 transfected with siRNA specifically targeti PUS10 whole cell lysate at 20 µg

Secondary

All lanes:

Western blot - Goat Anti-Rabbit IgG H&L (HRP) (<a href='/en-us/products/secondary-antibodies/goat-rabbit-igg-h-l-hrp-ab97051'>ab97051</a>) at 1/100000 dilution

Observed band size: 60 kDa

false

Exposure time: 103s

Key facts

Host species

Rabbit

Clonality

Monoclonal

Clone number

EPR26272-66

Isotype

IgG

Carrier free

Yes

Reacts with

Human

Applications

IP, IHC-P, WB, Flow Cyt (Intra)

applications

Immunogen

The exact immunogen used to generate this antibody is proprietary information.

Reactivity data

{ "title": "Reactivity Data", "filters": { "stats": ["", "Species", "Dilution Info", "Notes"], "tabs": { "all-applications": {"fullname" : "All Applications", "shortname": "All Applications"}, "WB" : {"fullname" : "Western blot", "shortname":"WB"}, "IP" : {"fullname" : "Immunoprecipitation", "shortname":"IP"}, "FlowCytIntra" : {"fullname" : "Flow Cytometry (Intracellular)", "shortname":"Flow Cyt (Intra)"}, "IHCP" : {"fullname" : "Immunohistochemistry (Formalin/PFA-fixed paraffin-embedded sections)", "shortname":"IHC-P"}, "ICCIF" : {"fullname" : "Immunocytochemistry/ Immunofluorescence", "shortname":"ICC/IF"} }, "product-promise": { "all": "all", "testedAndGuaranteed": "tested", "guaranteed": "expected", "predicted": "predicted", "notRecommended": "not-recommended" } }, "values": { "Human": { "WB-species-checked": "testedAndGuaranteed", "WB-species-dilution-info": "", "WB-species-notes": "<p></p>", "IP-species-checked": "testedAndGuaranteed", "IP-species-dilution-info": "", "IP-species-notes": "<p></p>", "FlowCytIntra-species-checked": "testedAndGuaranteed", "FlowCytIntra-species-dilution-info": "", "FlowCytIntra-species-notes": "<p></p>", "IHCP-species-checked": "testedAndGuaranteed", "IHCP-species-dilution-info": "", "IHCP-species-notes": "<p></p>", "ICCIF-species-checked": "notRecommended", "ICCIF-species-dilution-info": "", "ICCIF-species-notes": "<p></p>" }, "Mouse": { "WB-species-checked": "notRecommended", "WB-species-dilution-info": "", "WB-species-notes": "<p></p>", "IP-species-checked": "notRecommended", "IP-species-dilution-info": "", "IP-species-notes": "<p></p>", "FlowCytIntra-species-checked": "notRecommended", "FlowCytIntra-species-dilution-info": "", "FlowCytIntra-species-notes": "", "IHCP-species-checked": "notRecommended", "IHCP-species-dilution-info": "", "IHCP-species-notes": "<p></p>", "ICCIF-species-checked": "notRecommended", "ICCIF-species-dilution-info": "", "ICCIF-species-notes": "<p></p>" }, "Rat": { "WB-species-checked": "notRecommended", "WB-species-dilution-info": "", "WB-species-notes": "<p></p>", "IP-species-checked": "notRecommended", "IP-species-dilution-info": "", "IP-species-notes": "", "FlowCytIntra-species-checked": "notRecommended", "FlowCytIntra-species-dilution-info": "", "FlowCytIntra-species-notes": "", "IHCP-species-checked": "notRecommended", "IHCP-species-dilution-info": "", "IHCP-species-notes": "<p></p>", "ICCIF-species-checked": "notRecommended", "ICCIF-species-dilution-info": "", "ICCIF-species-notes": "" } } }

Product details

Patented technology
Our RabMAb® technology is a patented hybridoma-based technology for making rabbit monoclonal antibodies. For details on our patents, please refer to RabMAb® patents.

What are the advantages of a recombinant monoclonal antibody?
This product is a recombinant monoclonal antibody, which offers several advantages including:

  • - High batch-to-batch consistency and reproducibility
  • - Improved sensitivity and specificity
  • - Long-term security of supply
  • - Animal-free batch production

For more information, read more on recombinant antibodies.

Conjugation ready
Our carrier-free antibodies are typically supplied in a PBS-only formulation, purified and free of BSA, sodium azide and glycerol. This conjugation-ready format is designed for use with fluorochromes, metal isotopes, oligonucleotides, and enzymes, which makes them ideal for antibody labelling, functional and cell-based assays, flow-based assays (e.g. mass cytometry) and Multiplex Imaging applications.

Use our conjugation kits for antibody conjugates that are ready-to-use in as little as 20 minutes with 1 minute hands-on-time and 100% antibody recovery: available for fluorescent dyes, HRP, biotin and gold.

Compatibility
This product is compatible with the Maxpar® Antibody Labeling Kit from Fluidigm, without the need for antibody preparation. Maxpar® is a trademark of Fluidigm Canada Inc.

Properties and storage information

Form
Liquid
Purification technique
Affinity purification Protein A
Storage buffer
pH: 7.2 - 7.4 Constituents: PBS
Shipped at conditions
Blue Ice
Appropriate short-term storage conditions
+4°C
Appropriate long-term storage conditions
+4°C

Supplementary information

This supplementary information is collated from multiple sources and compiled automatically.

The protein PUS10 also known as pseudouridylate synthase 10 catalyzes the isomerization of uridine to pseudouridine in RNA molecules. This process introduces pseudouridine modifications critical for RNA stability and processing. PUS10 has a molecular mass of approximately 57 kDa and it is expressed in several tissues including the heart and skeletal muscle. This protein is found in both the nucleus and cytoplasm of cells suggesting its role in modifying different types of RNA.
Biological function summary

PUS10 plays significant functions that affect RNA biogenesis and stability. Its involvement in pseudouridylation impacts the structure and function of tRNA rRNA and other small RNA species. This protein is not part of a larger protein complex but works independently. Its activity influences the integrity of RNA molecules which is important for accurate protein synthesis and cellular function.

Pathways

PUS10 significantly contributes to RNA modification and processing pathways. It is a part of the wider RNA maturation process where it cooperates with other RNA-modifying enzymes like dyskerin (DKC1). DKC1 also participates in pseudouridylation highlighting the interconnected roles in ensuring RNA’s proper folding and functionality. PUS10’s involvement in the RNA modification pathway underlines its importance in maintaining RNA function integrity.

PUS10 has been linked to several health conditions. It has notable associations with cancer and autoimmune diseases. In cancer alterations in PUS10 expression levels can disrupt normal cell function potentially leading to tumorigenesis. It also interacts with the p53 protein which plays a role in tumor suppression. In autoimmune diseases the misregulation of RNA modifications including pseudouridylation by PUS10 might contribute to autoimmune responses due to altered RNA structures. Understanding PUS10 in these contexts provides insight into how RNA modifications could influence disease progression and treatment.

Product protocols

For this product, it's our understanding that no specific protocols are required. You can visit:

Target data

Protein with different functions depending on its subcellular location : involved in miRNA processing in the nucleus and acts as a tRNA pseudouridylate synthase in the cytoplasm (PubMed : 31819270, PubMed : 33023933). In the cytoplasm, acts as a pseudouridylate synthase by catalyzing synthesis of pseudouridine(54) and pseudouridine(55) from uracil-54 and uracil-55, respectively, in the psi GC loop of a subset of tRNAs (PubMed : 30530625, PubMed : 31819270, PubMed : 33023933). tRNA pseudouridylate synthase activity is enhanced by the presence of 1-methyladenosine at position 53-61 of tRNAs (PubMed : 30530625). Does not show tRNA pseudouridylate synthase activity in the nucleus (PubMed : 33023933). In the nucleus, promotes primary microRNAs (pri-miRNAs) processing independently of its RNA pseudouridylate synthase activity (PubMed : 31819270). Binds pri-miRNAs (PubMed : 31819270). Modulator of TRAIL/TNFSF10-induced cell death via activation of procaspase-8 and BID cleavage (PubMed : 14527409, PubMed : 19712588). Required for the progression of the apoptotic signal through intrinsic mitochondrial cell death (PubMed : 19712588).
See full target information PUS10

Product promise

We are committed to supporting your work with high-quality reagents, and we're here for you every step of the way. In the unlikely event that one of our products does not perform as expected, you're protected by our Product Promise.
For full details, please see our Terms & Conditions

Please note: All products are 'FOR RESEARCH USE ONLY. NOT FOR USE IN DIAGNOSTIC OR THERAPEUTIC PROCEDURES'.

For licensing inquiries, please contact partnerships@abcam.com