JavaScript is disabled in your browser. Please enable JavaScript to view this website.
AB224119

Anti-PUS7 antibody

Be the first to review this product! Submit a review

|

(4 Publications)

Rabbit Polyclonal PUS7 antibody. Suitable for IHC-P, WB, ICC/IF and reacts with Human, Mouse, Rat samples. Cited in 4 publications. Immunogen corresponding to Recombinant Fragment Protein within Human PUS7 aa 500 to C-terminus.

View Alternative Names

KIAA1897, PUS7, Pseudouridylate synthase 7 homolog

7 Images
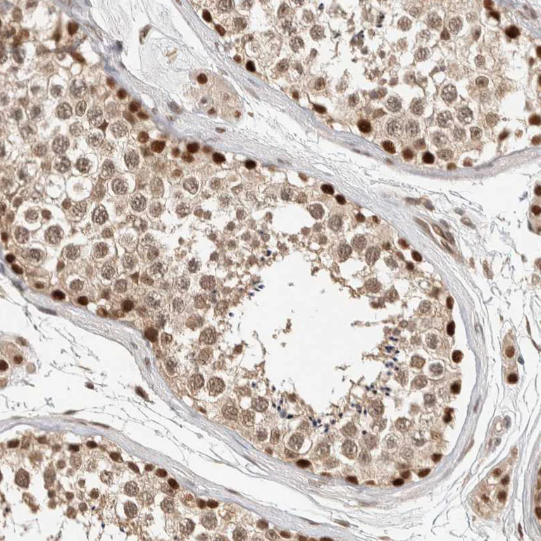
Immunohistochemistry (Formalin/PFA-fixed paraffin-embedded sections) - Anti-PUS7 antibody (AB224119)
  • IHC-P

Supplier Data

Immunohistochemistry (Formalin/PFA-fixed paraffin-embedded sections) - Anti-PUS7 antibody (AB224119)

Immunohistochemical analysis of Formalin/PFA-fixed paraffin-embedded human testis sections labeling PUS7 antibody with ab224119 at 1/200. Antigen retrieval was heat mediated with citrate buffer pH 6 before commencing with IHC staining protocol.

Immunohistochemistry (Formalin/PFA-fixed paraffin-embedded sections) - Anti-PUS7 antibody (AB224119)
  • IHC-P

Supplier Data

Immunohistochemistry (Formalin/PFA-fixed paraffin-embedded sections) - Anti-PUS7 antibody (AB224119)

Immunohistochemical analysis of Formalin/PFA-fixed paraffin-embedded human cervix uterine sections labeling PUS7 antibody with ab224119 at 1/200. Antigen retrieval was heat mediated with citrate buffer pH 6 before commencing with IHC staining protocol.

Immunocytochemistry/ Immunofluorescence - Anti-PUS7 antibody (AB224119)
  • ICC/IF

Supplier Data

Immunocytochemistry/ Immunofluorescence - Anti-PUS7 antibody (AB224119)

PFA-fixed, Triton X-100 permeabilized U-251 MG (human brain glioma cell line) cells stained for PUS7 (green) using ab224119 (4 μg/ml) in ICC/IF.

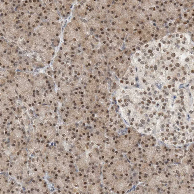
Immunohistochemistry (Formalin/PFA-fixed paraffin-embedded sections) - Anti-PUS7 antibody (AB224119)
  • IHC-P

Supplier Data

Immunohistochemistry (Formalin/PFA-fixed paraffin-embedded sections) - Anti-PUS7 antibody (AB224119)

Immunohistochemical analysis of Formalin/PFA-fixed paraffin-embedded human pancreas sections labeling PUS7 antibody with ab224119 at 1/200. Antigen retrieval was heat mediated with citrate buffer pH 6 before commencing with IHC staining protocol.

Immunohistochemistry (Formalin/PFA-fixed paraffin-embedded sections) - Anti-PUS7 antibody (AB224119)
  • IHC-P

Supplier Data

Immunohistochemistry (Formalin/PFA-fixed paraffin-embedded sections) - Anti-PUS7 antibody (AB224119)

Immunohistochemical analysis of Formalin/PFA-fixed paraffin-embedded human endometrium sections labeling PUS7 antibody with ab224119 at 1/200. Antigen retrieval was heat mediated with citrate buffer pH 6 before commencing with IHC staining protocol.

Western blot - Anti-PUS7 antibody (AB224119)
  • WB

Supplier Data

Western blot - Anti-PUS7 antibody (AB224119)

All lanes:

Western blot - Anti-PUS7 antibody (ab224119) at 0.4 µg/mL

All lanes:

K562 cell lysates

Predicted band size: 75 kDa

false

Western blot - Anti-PUS7 antibody (AB224119)
  • WB

Supplier Data

Western blot - Anti-PUS7 antibody (AB224119)

All lanes:

Western blot - Anti-PUS7 antibody (ab224119) at 1/100 dilution

Lane 1:

NIH/3T3 (mouse embyro fibroblast cell line) cell lysate

Lane 2:

NBT-II (Rat Wistar bladder tumor cell line) cell lysate

Predicted band size: 75 kDa

false

Key facts

Host species

Rabbit

Clonality

Polyclonal

Isotype

IgG

Carrier free

No

Reacts with

Mouse, Rat, Human

Applications

ICC/IF, IHC-P, WB

applications

Immunogen

Recombinant Fragment Protein within Human PUS7 aa 500 to C-terminus. The exact immunogen used to generate this antibody is proprietary information.

Q96PZ0

Reactivity data

{ "title": "Reactivity Data", "filters": { "stats": ["", "Species", "Dilution Info", "Notes"], "tabs": { "all-applications": {"fullname" : "All Applications", "shortname": "All Applications"}, "IHCP" : {"fullname" : "Immunohistochemistry (Formalin/PFA-fixed paraffin-embedded sections)", "shortname":"IHC-P"}, "WB" : {"fullname" : "Western blot", "shortname":"WB"}, "ICCIF" : {"fullname" : "Immunocytochemistry/ Immunofluorescence", "shortname":"ICC/IF"} }, "product-promise": { "all": "all", "testedAndGuaranteed": "tested", "guaranteed": "expected", "predicted": "predicted", "notRecommended": "not-recommended" } }, "values": { "Human": { "IHCP-species-checked": "testedAndGuaranteed", "IHCP-species-dilution-info": "1/50 - 1/200", "IHCP-species-notes": "<p></p> Perform heat-mediated antigen retrieval with citrate buffer pH 6 before commencing with IHC staining protocol.", "WB-species-checked": "testedAndGuaranteed", "WB-species-dilution-info": "0.04-0.4 µg/mL", "WB-species-notes": "<p></p>", "ICCIF-species-checked": "testedAndGuaranteed", "ICCIF-species-dilution-info": "0.25-2 µg/mL", "ICCIF-species-notes": "<p>Fixation/Permeabilization: PFA/Triton X-100.</p>" }, "Mouse": { "IHCP-species-checked": "guaranteed", "IHCP-species-dilution-info": "", "IHCP-species-notes": "", "WB-species-checked": "testedAndGuaranteed", "WB-species-dilution-info": "0.04-0.4 µg/mL", "WB-species-notes": "<p></p>", "ICCIF-species-checked": "guaranteed", "ICCIF-species-dilution-info": "", "ICCIF-species-notes": "" }, "Rat": { "IHCP-species-checked": "guaranteed", "IHCP-species-dilution-info": "", "IHCP-species-notes": "", "WB-species-checked": "testedAndGuaranteed", "WB-species-dilution-info": "0.04-0.4 µg/mL", "WB-species-notes": "<p></p>", "ICCIF-species-checked": "guaranteed", "ICCIF-species-dilution-info": "", "ICCIF-species-notes": "" }, "Cow": { "IHCP-species-checked": "predicted", "IHCP-species-dilution-info": "", "IHCP-species-notes": "", "WB-species-checked": "predicted", "WB-species-dilution-info": "", "WB-species-notes": "", "ICCIF-species-checked": "predicted", "ICCIF-species-dilution-info": "", "ICCIF-species-notes": "" } } }

Properties and storage information

Form
Liquid
Purification technique
Affinity purification Immunogen
Storage buffer
pH: 7.2 Preservative: 0.02% Sodium azide Constituents: PBS, 40% Glycerol (glycerin, glycerine)
Shipped at conditions
Blue Ice
Appropriate short-term storage duration
1-2 weeks
Appropriate short-term storage conditions
+4°C
Appropriate long-term storage conditions
-20°C
Aliquoting information
Upon delivery aliquot
Storage information
Avoid freeze / thaw cycle

Supplementary information

This supplementary information is collated from multiple sources and compiled automatically.

Pseudouridine synthase 7 (PUS7) also known as PUS7L or pseudouridylate synthase 7 is an enzyme that catalyzes the isomerization of uridine to pseudouridine in RNA molecules. It has a molecular weight of approximately 80 kDa. This protein is highly conserved and widely expressed in various cell types including in tissues like the brain liver and testes. PUS7 is present in the nucleus where it modifies specific uridines in rRNA tRNA and snRNA impacting their stability and function.
Biological function summary

PUS7 participates in the post-transcriptional modification of RNA which is critical for RNA maturation and function. This enzyme does not work in isolation; it interacts with other components of the RNA modification machinery. PUS7's activity enhances the structural stability of RNA molecules and affects the efficiency of protein synthesis by modifying RNA substrates fine-tuning their roles in processes like translation and splicing.

Pathways

PUS7 is involved in the RNA modification and processing pathways specifically those related to ribosome biogenesis and mRNA splicing. These pathways are central to the synthesis and maturation of various RNA species ensuring proper protein production. PUS7 interacts closely with proteins like fibrillarin in the nucleolus during rRNA processing and U2 auxiliary factor in mRNA splicing aligning with transcription dynamics and ribosome assembly.

Aberrant PUS7 function associates with certain neurodevelopmental disorders and cancers. Alterations in PUS7 activity can disrupt normal RNA processing leading to defects in brain development and function notably in conditions such as intellectual disability. The enzyme's altered function also relates to cancer where dysregulated RNA modification contributes to tumorigenesis. Proteins connected with these disorders like dyskerin and U2AF65 interact with PUS7 highlighting its involvement in disease mechanisms.

Product protocols

For this product, it's our understanding that no specific protocols are required. You can visit:

Target data

Pseudouridylate synthase that catalyzes pseudouridylation of RNAs (PubMed : 28073919, PubMed : 29628141, PubMed : 30778726, PubMed : 31477916, PubMed : 34718722, PubMed : 35051350). Acts as a regulator of protein synthesis in embryonic stem cells by mediating pseudouridylation of RNA fragments derived from tRNAs (tRFs) : pseudouridylated tRFs inhibit translation by targeting the translation initiation complex (PubMed : 29628141). Also catalyzes pseudouridylation of mRNAs : mediates pseudouridylation of mRNAs with the consensus sequence 5'-UGUAG-3' (PubMed : 28073919, PubMed : 31477916, PubMed : 35051350). Acts as a regulator of pre-mRNA splicing by mediating pseudouridylation of pre-mRNAs at locations associated with alternatively spliced regions (PubMed : 35051350). Pseudouridylation of pre-mRNAs near splice sites directly regulates mRNA splicing and mRNA 3'-end processing (PubMed : 35051350). In addition to mRNAs and tRNAs, binds other types of RNAs, such as snRNAs, Y RNAs and vault RNAs, suggesting that it can catalyze pseudouridylation of many RNA types (PubMed : 29628141).
See full target information PUS7

Publications (4)

Recent publications for all applications. Explore the full list and refine your search

Journal of cardiothoracic surgery 18:222 PubMed37420297

2023

Higher expression of pseudouridine synthase 7 promotes non-small cell lung cancer progression and suggests a poor prognosis.

Applications

Unspecified application

Species

Unspecified reactive species

Guihong Zhang,Yongde Zhu,Yonghuang Tan,Biao Chen,Shichao Shan,Gengyu Zhang,Jianjun Lu

Cellular and molecular gastroenterology and hepatology 15:533-558 PubMed36270602

2022

Hepatitis B Virus Utilizes a Retrograde Trafficking Route via the Trans-Golgi Network to Avoid Lysosomal Degradation.

Applications

Unspecified application

Species

Unspecified reactive species

Ying-Yi Li,Kazuyuki Kuroki,Tetsuro Shimakami,Kazuhisa Murai,Kazunori Kawaguchi,Takayoshi Shirasaki,Kouki Nio,Saiho Sugimoto,Tomoki Nishikawa,Hikari Okada,Noriaki Orita,Hideo Takayama,Ying Wang,Phuong Doan Thi Bich,Astuya Ishida,Sadahiro Iwabuchi,Shinichi Hashimoto,Takeshi Shimaoka,Noriko Tabata,Miho Watanabe-Takahashi,Kiyotaka Nishikawa,Hiroshi Yanagawa,Motoharu Seiki,Kouji Matsushima,Taro Yamashita,Shuichi Kaneko,Masao Honda

Journal of experimental & clinical cancer research : CR 40:170 PubMed33990203

2021

HSP90-dependent PUS7 overexpression facilitates the metastasis of colorectal cancer cells by regulating LASP1 abundance.

Applications

Unspecified application

Species

Unspecified reactive species

Dan Song,Ming Guo,Shuai Xu,Xiaotian Song,Bin Bai,Zhengyan Li,Jie Chen,Yanxin An,Yongzhan Nie,Kaichun Wu,Shiqi Wang,Qingchuan Zhao

Digestive diseases and sciences 67:1260-1270 PubMed33811565

2021

Pseudouridylate Synthase 7 Promotes Cell Proliferation and Invasion in Colon Cancer Through Activating PI3K/AKT/mTOR Signaling Pathway.

Applications

Unspecified application

Species

Unspecified reactive species

Jiming Du,Aimin Gong,Xuefeng Zhao,Guixin Wang
View all publications

Product promise

We are committed to supporting your work with high-quality reagents, and we're here for you every step of the way. In the unlikely event that one of our products does not perform as expected, you're protected by our Product Promise.
For full details, please see our Terms & Conditions

Please note: All products are 'FOR RESEARCH USE ONLY. NOT FOR USE IN DIAGNOSTIC OR THERAPEUTIC PROCEDURES'.

For licensing inquiries, please contact partnerships@abcam.com