JavaScript is disabled in your browser. Please enable JavaScript to view this website.
AB289865

Anti-PUS7 antibody [EPR25172-31] - BSA and Azide free

Be the first to review this product! Submit a review

|

(0 Publication)

Rabbit Recombinant Monoclonal PUS7 antibody. Carrier free. Suitable for ICC/IF, WB, IHC-P, Flow Cyt (Intra) and reacts with Mouse, Rat, Human samples.

View Alternative Names

KIAA1897, PUS7, Pseudouridylate synthase 7 homolog

6 Images
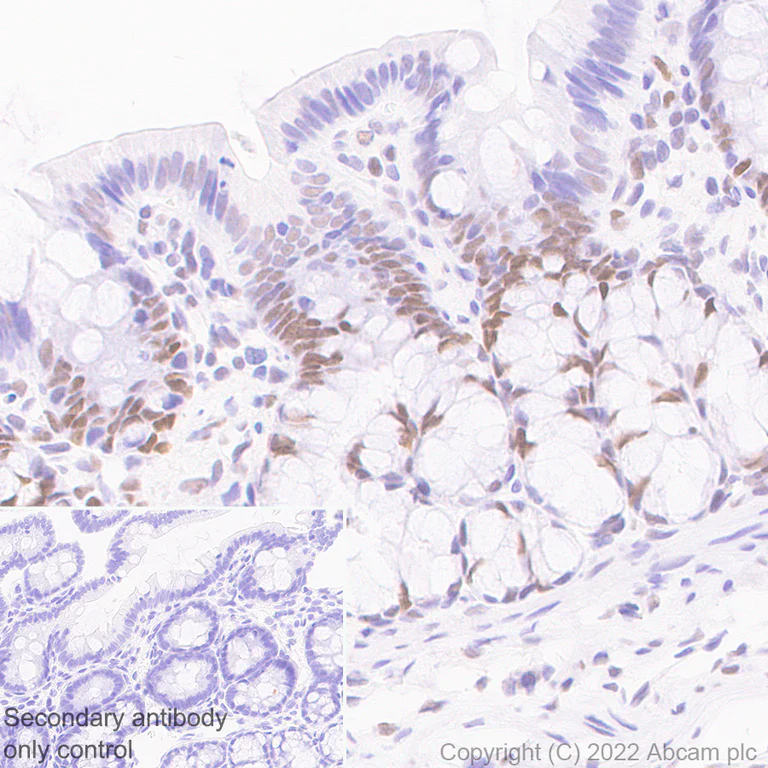
Immunohistochemistry (Formalin/PFA-fixed paraffin-embedded sections) - Anti-PUS7 antibody [EPR25172-31] - BSA and Azide free (AB289865)
  • IHC-P

Supplier Data

Immunohistochemistry (Formalin/PFA-fixed paraffin-embedded sections) - Anti-PUS7 antibody [EPR25172-31] - BSA and Azide free (AB289865)

This data was developed using ab289857, the same antibody clone in a different buffer formulation.

Immunohistochemical analysis of paraffin-embedded rat colon tissue lysate labeling PUS7 at 1/1000 (1.374μg/ml), followed by LeicaDS9800 (BOND™ Polymer Refine Detection). Nuclear staining on rat colon. The section was incubated with ab289857 for 30 mins at room temperature.

The immunostaining was performed on a Leica Biosystems BOND® RX instrument. Counter stained with Hematoxylin.

Heat mediated antigen retrieval with Tris-EDTA buffer (pH 9.0, epitope retrieval solution2) for 20 mins was used.

Secondary antibody only control : Used PBS instead of primary antibody, secondary antibody is LeicaDS9800 (Bond™ Polymer Refine Detection).

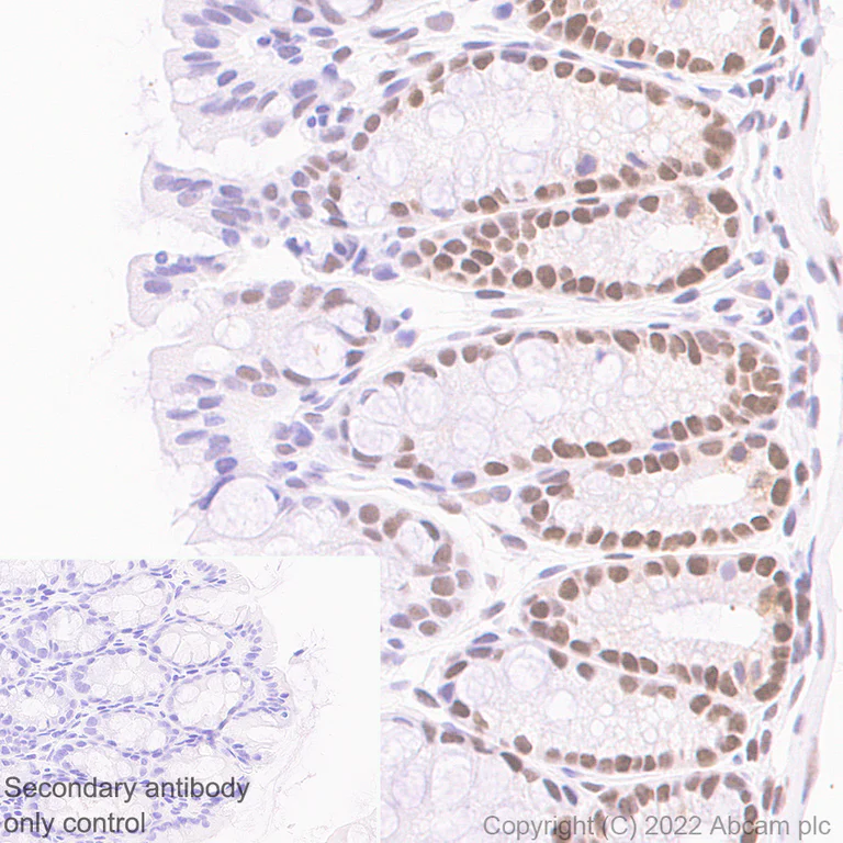
Immunohistochemistry (Formalin/PFA-fixed paraffin-embedded sections) - Anti-PUS7 antibody [EPR25172-31] - BSA and Azide free (AB289865)
  • IHC-P

Supplier Data

Immunohistochemistry (Formalin/PFA-fixed paraffin-embedded sections) - Anti-PUS7 antibody [EPR25172-31] - BSA and Azide free (AB289865)

This data was developed using ab289857, the same antibody clone in a different buffer formulation.

Immunohistochemical analysis of paraffin-embedded mouse colon tissue lysate labeling PUS7 at 1/1000 (1.374μg/ml), followed by LeicaDS9800 (BOND™ Polymer Refine Detection). Nuclear staining on mouse colon. The section was incubated with ab289857 for 30 mins at room temperature. The immunostaining was performed on a Leica Biosystems BOND® RX instrument. Counter stained with Hematoxylin.

Heat mediated antigen retrieval with Tris-EDTA buffer (pH 9.0, epitope retrieval solution2) for 20 mins was used.

Secondary antibody only control : Used PBS instead of primary antibody, secondary antibody is LeicaDS9800 (Bond™ Polymer Refine Detection

Immunocytochemistry/ Immunofluorescence - Anti-PUS7 antibody [EPR25172-31] - BSA and Azide free (AB289865)
  • ICC/IF

Supplier Data

Immunocytochemistry/ Immunofluorescence - Anti-PUS7 antibody [EPR25172-31] - BSA and Azide free (AB289865)

This data was developed using ab289857, the same antibody clone in a different buffer formulation.

Immunofluorescent analysis of 100% methanol-fixed, 0.1% Triton X-100 permeabilized NIH/3T3 (mouse embryonic fibroblast cell line) cells labeling PUS7 with ab289857 at 1/100 dilution, followed by ab150081 Goat Anti-Rabbit IgG H&L (Alexa Fluor® 488) preadsorbed secondary antibody at 1/1000 dilution (Green). Confocal image showing nuclear staining in NIH/3T3 cell line. The nuclear counterstain is DAPI (Blue). Tubulin is labeled using ab195889 Anti-alpha Tubulin mouse monoclonal antibody - Microtubule Marker (Alexa Fluor® 594) at 1/200 dilution (Red).

Secondary antibody only control : Used PBS instead of primary antibody, followed by ab150081 Goat Anti-Rabbit IgG H&L (Alexa Fluor® 488) preadsorbed secondary antibody at 1/1000 dilution.

Flow Cytometry (Intracellular) - Anti-PUS7 antibody [EPR25172-31] - BSA and Azide free (AB289865)
  • Flow Cyt (Intra)

Supplier Data

Flow Cytometry (Intracellular) - Anti-PUS7 antibody [EPR25172-31] - BSA and Azide free (AB289865)

This data was developed using ab289857, the same antibody clone in a different buffer formulation.

Flow cytometric analysis of 4% paraformaldehyde-fixed, 90% methonol-permeabilised NIH/3T3 (Mouse embryonic fibroblast cell line) cells labelling PUS7 with ab289857 at 1/500 dilution (Red) compared with a Rabbit IgG, monoclonal [EPR25A] - Isotype Control (ab172730) (Black) and an unlabelled control (cells without incubation with primary antibody and secondary antibody) (Blue). Goat Anti-Rabbit IgG H&L (Alexa Fluor® 488) (ab150081) at 1/2000 dilution was used as the secondary antibody.

Western blot - Anti-PUS7 antibody [EPR25172-31] - BSA and Azide free (AB289865)
  • WB

Unknown

Western blot - Anti-PUS7 antibody [EPR25172-31] - BSA and Azide free (AB289865)

This data was developed using ab289857, the same antibody clone in a different buffer formulation.

5% NFDM/TBST was used as blocking and diluting buffer.

Exposure times :

Lane 1 : 81 seconds
Lanes 2-3 : 180 seconds

All lanes:

Western blot - Anti-PUS7 antibody [EPR25172-31] (<a href='/en-us/products/primary-antibodies/pus7-antibody-epr25172-31-ab289857'>ab289857</a>) at 1/1000 dilution

Lane 1:

Mouse liver tissue lysate at 20 µg

Lane 2:

Rat pancreas tissue lysate at 20 µg

Lane 3:

Rat liver tissue lysate at 20 µg

Secondary

All lanes:

Western blot - Goat Anti-Rabbit IgG H&L (HRP) (<a href='/en-us/products/secondary-antibodies/goat-rabbit-igg-h-l-hrp-ab97051'>ab97051</a>) at 1/100000 dilution

Predicted band size: 75 kDa

Observed band size: 75 kDa

false

Western blot - Anti-PUS7 antibody [EPR25172-31] - BSA and Azide free (AB289865)
  • WB

Supplier Data

Western blot - Anti-PUS7 antibody [EPR25172-31] - BSA and Azide free (AB289865)

This data was developed using ab289857, the same antibody clone in a different buffer formulation.

5% NFDM/TBST was used as blocking and diluting buffer.

Lysates were prepared from fresh material and used for Western blotting immediately to minimize protein degradation.
We observe an unknown band at around 37kDa.

All lanes:

Western blot - Anti-PUS7 antibody [EPR25172-31] (<a href='/en-us/products/primary-antibodies/pus7-antibody-epr25172-31-ab289857'>ab289857</a>) at 1/1000 dilution

Lane 1:

HeLa (human cervix adenocarcinoma epithelial cell) whole cell lysate at 20 µg

Lane 2:

HEK-293T (human embryonic kidney epithelial cell) whole cell lysate at 20 µg

Lane 3:

NIH/3T3 (mouse embryonic fibroblast) whole cell lysate at 20 µg

Lane 4:

PC-12 (rat adrenal gland pheochromocytoma) whole cell lysate at 20 µg

Lane 5:

HCT116 (human colorectal carcinoma epithelial cell) whole cell lysate at 20 µg

Secondary

All lanes:

Western blot - Goat Anti-Rabbit IgG H&L (HRP) (<a href='/en-us/products/secondary-antibodies/goat-rabbit-igg-h-l-hrp-ab97051'>ab97051</a>) at 1/100000 dilution

Predicted band size: 75 kDa

Observed band size: 34 kDa,75 kDa

false

Exposure time: 15s

Key facts

Host species

Rabbit

Clonality

Monoclonal

Clone number

EPR25172-31

Isotype

IgG

Carrier free

Yes

Reacts with

Human, Mouse, Rat

Applications

ICC/IF, IHC-P, WB, Flow Cyt (Intra)

applications

Immunogen

The exact immunogen used to generate this antibody is proprietary information.

Specificity

This antibody does not react with Human species for IHC, ICC and FC application.

Reactivity data

{ "title": "Reactivity Data", "filters": { "stats": ["", "Species", "Dilution Info", "Notes"], "tabs": { "all-applications": {"fullname" : "All Applications", "shortname": "All Applications"}, "ICCIF" : {"fullname" : "Immunocytochemistry/ Immunofluorescence", "shortname":"ICC/IF"}, "IP" : {"fullname" : "Immunoprecipitation", "shortname":"IP"}, "WB" : {"fullname" : "Western blot", "shortname":"WB"}, "IHCP" : {"fullname" : "Immunohistochemistry (Formalin/PFA-fixed paraffin-embedded sections)", "shortname":"IHC-P"}, "FlowCytIntra" : {"fullname" : "Flow Cytometry (Intracellular)", "shortname":"Flow Cyt (Intra)"} }, "product-promise": { "all": "all", "testedAndGuaranteed": "tested", "guaranteed": "expected", "predicted": "predicted", "notRecommended": "not-recommended" } }, "values": { "Human": { "ICCIF-species-checked": "notRecommended", "ICCIF-species-dilution-info": "", "ICCIF-species-notes": "<p></p> Perform heat-mediated antigen retrieval with Tris/EDTA buffer pH 9.0 before commencing with IHC staining protocol.", "IP-species-checked": "notRecommended", "IP-species-dilution-info": "", "IP-species-notes": "<p></p>", "WB-species-checked": "testedAndGuaranteed", "WB-species-dilution-info": "", "WB-species-notes": "<p></p>", "IHCP-species-checked": "notRecommended", "IHCP-species-dilution-info": "", "IHCP-species-notes": "<p></p> Perform heat-mediated antigen retrieval with Tris/EDTA buffer pH 9.0 before commencing with IHC staining protocol.", "FlowCytIntra-species-checked": "notRecommended", "FlowCytIntra-species-dilution-info": "", "FlowCytIntra-species-notes": "<p></p>" }, "Mouse": { "ICCIF-species-checked": "testedAndGuaranteed", "ICCIF-species-dilution-info": "", "ICCIF-species-notes": "<p></p> Perform heat-mediated antigen retrieval with Tris/EDTA buffer pH 9.0 before commencing with IHC staining protocol.", "IP-species-checked": "notRecommended", "IP-species-dilution-info": "", "IP-species-notes": "<p></p>", "WB-species-checked": "testedAndGuaranteed", "WB-species-dilution-info": "", "WB-species-notes": "<p></p>", "IHCP-species-checked": "testedAndGuaranteed", "IHCP-species-dilution-info": "", "IHCP-species-notes": "<p></p> Perform heat-mediated antigen retrieval with Tris/EDTA buffer pH 9.0 before commencing with IHC staining protocol.", "FlowCytIntra-species-checked": "testedAndGuaranteed", "FlowCytIntra-species-dilution-info": "", "FlowCytIntra-species-notes": "<p></p>" }, "Rat": { "ICCIF-species-checked": "guaranteed", "ICCIF-species-dilution-info": "", "ICCIF-species-notes": "", "IP-species-checked": "notRecommended", "IP-species-dilution-info": "", "IP-species-notes": "", "WB-species-checked": "testedAndGuaranteed", "WB-species-dilution-info": "", "WB-species-notes": "<p></p>", "IHCP-species-checked": "testedAndGuaranteed", "IHCP-species-dilution-info": "", "IHCP-species-notes": "<p></p> Perform heat-mediated antigen retrieval with Tris/EDTA buffer pH 9.0 before commencing with IHC staining protocol.", "FlowCytIntra-species-checked": "guaranteed", "FlowCytIntra-species-dilution-info": "", "FlowCytIntra-species-notes": "" } } }

Product details

ab289865 is the carrier-free version of ab289857.

Patented technology
Our RabMAb® technology is a patented hybridoma-based technology for making rabbit monoclonal antibodies. For details on our patents, please refer to RabMAb® patents.

What are the advantages of a recombinant monoclonal antibody?
This product is a recombinant monoclonal antibody, which offers several advantages including:

  • - High batch-to-batch consistency and reproducibility
  • - Improved sensitivity and specificity
  • - Long-term security of supply
  • - Animal-free batch production

For more information, read more on recombinant antibodies.

Conjugation ready
Our carrier-free antibodies are typically supplied in a PBS-only formulation, purified and free of BSA, sodium azide and glycerol. This conjugation-ready format is designed for use with fluorochromes, metal isotopes, oligonucleotides, and enzymes, which makes them ideal for antibody labelling, functional and cell-based assays, flow-based assays (e.g. mass cytometry) and Multiplex Imaging applications.

Use our conjugation kits for antibody conjugates that are ready-to-use in as little as 20 minutes with 1 minute hands-on-time and 100% antibody recovery: available for fluorescent dyes, HRP, biotin and gold.

Compatibility
This product is compatible with the Maxpar® Antibody Labeling Kit from Fluidigm, without the need for antibody preparation. Maxpar® is a trademark of Fluidigm Canada Inc.

Properties and storage information

Form
Liquid
Purification technique
Affinity purification Protein A
Storage buffer
pH: 7.2 - 7.4 Constituents: 100% PBS
Shipped at conditions
Blue Ice
Appropriate short-term storage conditions
+4°C
Appropriate long-term storage conditions
+4°C

Supplementary information

This supplementary information is collated from multiple sources and compiled automatically.

Pseudouridine synthase 7 (PUS7) also known as PUS7L or pseudouridylate synthase 7 is an enzyme that catalyzes the isomerization of uridine to pseudouridine in RNA molecules. It has a molecular weight of approximately 80 kDa. This protein is highly conserved and widely expressed in various cell types including in tissues like the brain liver and testes. PUS7 is present in the nucleus where it modifies specific uridines in rRNA tRNA and snRNA impacting their stability and function.
Biological function summary

PUS7 participates in the post-transcriptional modification of RNA which is critical for RNA maturation and function. This enzyme does not work in isolation; it interacts with other components of the RNA modification machinery. PUS7's activity enhances the structural stability of RNA molecules and affects the efficiency of protein synthesis by modifying RNA substrates fine-tuning their roles in processes like translation and splicing.

Pathways

PUS7 is involved in the RNA modification and processing pathways specifically those related to ribosome biogenesis and mRNA splicing. These pathways are central to the synthesis and maturation of various RNA species ensuring proper protein production. PUS7 interacts closely with proteins like fibrillarin in the nucleolus during rRNA processing and U2 auxiliary factor in mRNA splicing aligning with transcription dynamics and ribosome assembly.

Aberrant PUS7 function associates with certain neurodevelopmental disorders and cancers. Alterations in PUS7 activity can disrupt normal RNA processing leading to defects in brain development and function notably in conditions such as intellectual disability. The enzyme's altered function also relates to cancer where dysregulated RNA modification contributes to tumorigenesis. Proteins connected with these disorders like dyskerin and U2AF65 interact with PUS7 highlighting its involvement in disease mechanisms.

Product protocols

For this product, it's our understanding that no specific protocols are required. You can visit:

Target data

Pseudouridylate synthase that catalyzes pseudouridylation of RNAs (PubMed : 28073919, PubMed : 29628141, PubMed : 30778726, PubMed : 31477916, PubMed : 34718722, PubMed : 35051350). Acts as a regulator of protein synthesis in embryonic stem cells by mediating pseudouridylation of RNA fragments derived from tRNAs (tRFs) : pseudouridylated tRFs inhibit translation by targeting the translation initiation complex (PubMed : 29628141). Also catalyzes pseudouridylation of mRNAs : mediates pseudouridylation of mRNAs with the consensus sequence 5'-UGUAG-3' (PubMed : 28073919, PubMed : 31477916, PubMed : 35051350). Acts as a regulator of pre-mRNA splicing by mediating pseudouridylation of pre-mRNAs at locations associated with alternatively spliced regions (PubMed : 35051350). Pseudouridylation of pre-mRNAs near splice sites directly regulates mRNA splicing and mRNA 3'-end processing (PubMed : 35051350). In addition to mRNAs and tRNAs, binds other types of RNAs, such as snRNAs, Y RNAs and vault RNAs, suggesting that it can catalyze pseudouridylation of many RNA types (PubMed : 29628141).
See full target information PUS7

Product promise

We are committed to supporting your work with high-quality reagents, and we're here for you every step of the way. In the unlikely event that one of our products does not perform as expected, you're protected by our Product Promise.
For full details, please see our Terms & Conditions

Please note: All products are 'FOR RESEARCH USE ONLY. NOT FOR USE IN DIAGNOSTIC OR THERAPEUTIC PROCEDURES'.

For licensing inquiries, please contact partnerships@abcam.com