JavaScript is disabled in your browser. Please enable JavaScript to view this website.
AB323705

Anti-PVRL1/NECTIN1 antibody [EPR29038-520] - BSA and Azide free

Be the first to review this product! Submit a review

|

(0 Publication)

Rabbit Recombinant Monoclonal PVRL1/NECTIN1 antibody. Carrier free. Suitable for IHC-P, WB and reacts with Human, Mouse samples.

View Alternative Names

CD111, HVEC, PRR1, PVRL1, NECTIN1, Nectin-1, Herpes virus entry mediator C, Herpesvirus Ig-like receptor, Nectin cell adhesion molecule 1, Poliovirus receptor-related protein 1, Herpesvirus entry mediator C, HveC, HIgR

8 Images
Immunohistochemistry (Formalin/PFA-fixed paraffin-embedded sections) - Anti-PVRL1/NECTIN1 antibody [EPR29038-520] - BSA and Azide free (AB323705)
  • IHC-P

Supplier Data

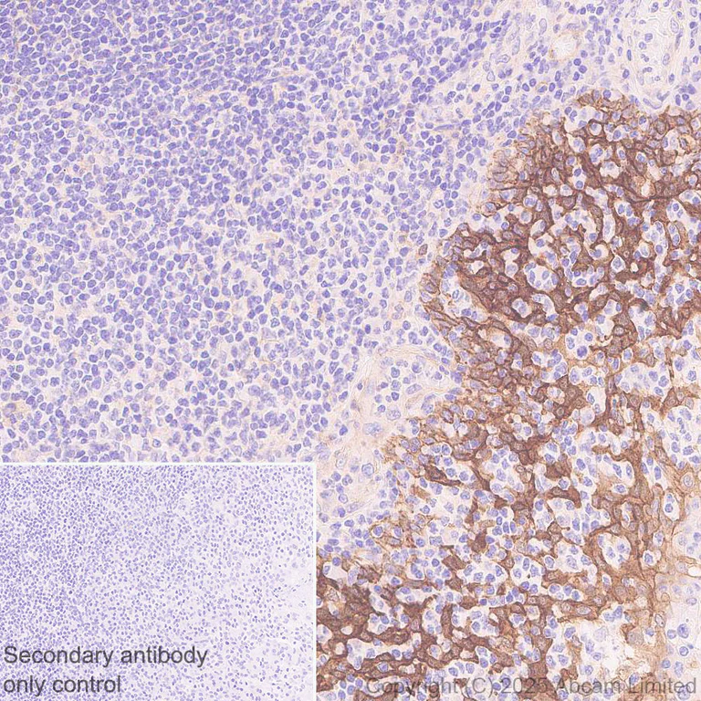
Immunohistochemistry (Formalin/PFA-fixed paraffin-embedded sections) - Anti-PVRL1/NECTIN1 antibody [EPR29038-520] - BSA and Azide free (AB323705)

This data was developed using ab323704, the same antibody clone in a different buffer formulation.

Immunohistochemical analysis of paraffin-embedded Human tonsil tissue labeling PVRL1/NECTIN1 with ab323704 at 1/2000 (0.252 ug/ml) dilution, followed by a ready to use LeicaDS9800 (Bond™ Polymer Refine Detection).

Positive staining in human tonsil.
The section was incubated with ab323704 for 30 mins at room temperature.
The immunostaining was performed on a Leica Biosystems BOND® RX instrument

Counterstained with Hematoxylin.

Secondary antibody only control : Secondary antibody is a ready to use LeicaDS9800 (Bond™ Polymer Refine Detection).

Heat mediated antigen retrieval was performed with Tris-EDTA buffer (pH 9.0, Epitope Retrieval Solution2) for 20 mins

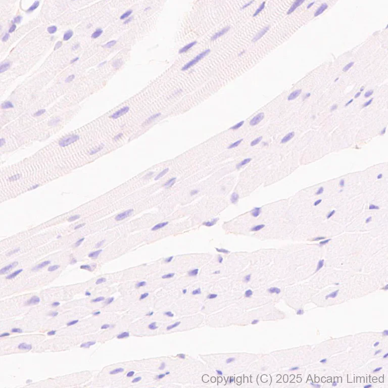
Immunohistochemistry (Formalin/PFA-fixed paraffin-embedded sections) - Anti-PVRL1/NECTIN1 antibody [EPR29038-520] - BSA and Azide free (AB323705)
  • IHC-P

Supplier Data

Immunohistochemistry (Formalin/PFA-fixed paraffin-embedded sections) - Anti-PVRL1/NECTIN1 antibody [EPR29038-520] - BSA and Azide free (AB323705)

This data was developed using ab323704, the same antibody clone in a different buffer formulation.

Immunohistochemical analysis of paraffin-embedded Human cardiac muscle tissue labeling PVRL1/NECTIN1 with ab323704 at 1/2000 (0.252 ug/ml) dilution, followed by a ready to use LeicaDS9800 (Bond™ Polymer Refine Detection).

Negative control : No staining in human cardiac muscle.
The section was incubated with ab323704 for 30 mins at room temperature.
The immunostaining was performed on a Leica Biosystems BOND® RX instrument

Counterstained with Hematoxylin.

Secondary antibody only control : Secondary antibody is a ready to use LeicaDS9800 (Bond™ Polymer Refine Detection).

Heat mediated antigen retrieval was performed with Tris-EDTA buffer (pH 9.0, Epitope Retrieval Solution2) for 20 mins

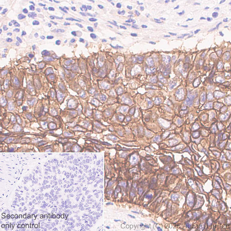
Immunohistochemistry (Formalin/PFA-fixed paraffin-embedded sections) - Anti-PVRL1/NECTIN1 antibody [EPR29038-520] - BSA and Azide free (AB323705)
  • IHC-P

Supplier Data

Immunohistochemistry (Formalin/PFA-fixed paraffin-embedded sections) - Anti-PVRL1/NECTIN1 antibody [EPR29038-520] - BSA and Azide free (AB323705)

This data was developed using ab323704, the same antibody clone in a different buffer formulation.

Immunohistochemical analysis of paraffin-embedded Human lung cancer tissue labeling PVRL1/NECTIN1 with ab323704 at 1/2000 (0.252 ug/ml) dilution, followed by a ready to use LeicaDS9800 (Bond™ Polymer Refine Detection).

Positive staining in human lung cancer.
The section was incubated with ab323704 for 30 mins at room temperature.
The immunostaining was performed on a Leica Biosystems BOND® RX instrument

Counterstained with Hematoxylin.

Secondary antibody only control : Secondary antibody is a ready to use LeicaDS9800 (Bond™ Polymer Refine Detection).

Heat mediated antigen retrieval was performed with Tris-EDTA buffer (pH 9.0, Epitope Retrieval Solution2) for 20 mins

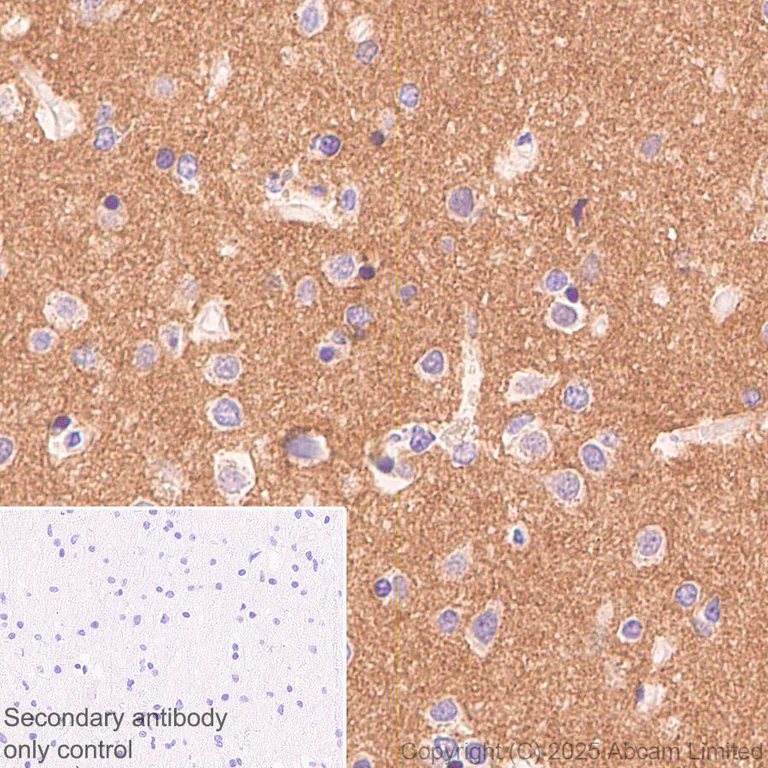
Immunohistochemistry (Formalin/PFA-fixed paraffin-embedded sections) - Anti-PVRL1/NECTIN1 antibody [EPR29038-520] - BSA and Azide free (AB323705)
  • IHC-P

Supplier Data

Immunohistochemistry (Formalin/PFA-fixed paraffin-embedded sections) - Anti-PVRL1/NECTIN1 antibody [EPR29038-520] - BSA and Azide free (AB323705)

This data was developed using ab323704, the same antibody clone in a different buffer formulation.

Immunohistochemical analysis of paraffin-embedded Human cerebrum tissue labeling PVRL1/NECTIN1 with ab323704 at 1/2000 (0.252 ug/ml) dilution, followed by a ready to use LeicaDS9800 (Bond™ Polymer Refine Detection).

Positive staining in human cerebrum.
The section was incubated with ab323704 for 30 mins at room temperature.
The immunostaining was performed on a Leica Biosystems BOND® RX instrument

Counterstained with Hematoxylin.

Secondary antibody only control : Secondary antibody is a ready to use LeicaDS9800 (Bond™ Polymer Refine Detection).

Heat mediated antigen retrieval was performed with Tris-EDTA buffer (pH 9.0, Epitope Retrieval Solution2) for 20 mins

Immunohistochemistry (Formalin/PFA-fixed paraffin-embedded sections) - Anti-PVRL1/NECTIN1 antibody [EPR29038-520] - BSA and Azide free (AB323705)
  • IHC-P

Supplier Data

Immunohistochemistry (Formalin/PFA-fixed paraffin-embedded sections) - Anti-PVRL1/NECTIN1 antibody [EPR29038-520] - BSA and Azide free (AB323705)

This data was developed using ab323704, the same antibody clone in a different buffer formulation.

Immunohistochemical analysis of paraffin-embedded Mouse cardiac muscle tissue labeling PVRL1/NECTIN1 with ab323704 at 1/5000 (0.101 ug/ml) dilution, followed by a ready to use LeicaDS9800 (Bond™ Polymer Refine Detection).

Negative control : No staining in mouse cardiac muscle.
The section was incubated with ab323704 for 10 mins at room temperature.
The immunostaining was performed on a Leica Biosystems BOND® RX instrument

Counterstained with Hematoxylin.

Secondary antibody only control : Secondary antibody is a ready to use LeicaDS9800 (Bond™ Polymer Refine Detection).

Heat mediated antigen retrieval was performed with Tris-EDTA buffer (pH 9.0, Epitope Retrieval Solution2) for 20 mins

Immunohistochemistry (Formalin/PFA-fixed paraffin-embedded sections) - Anti-PVRL1/NECTIN1 antibody [EPR29038-520] - BSA and Azide free (AB323705)
  • IHC-P

Supplier Data

Immunohistochemistry (Formalin/PFA-fixed paraffin-embedded sections) - Anti-PVRL1/NECTIN1 antibody [EPR29038-520] - BSA and Azide free (AB323705)

This data was developed using ab323704, the same antibody clone in a different buffer formulation.

Immunohistochemical analysis of paraffin-embedded Mouse cerebrum tissue labeling PVRL1/NECTIN1 with ab323704 at 1/5000 (0.101 ug/ml) dilution, followed by a ready to use LeicaDS9800 (Bond™ Polymer Refine Detection).

Positive staining in mouse cerebrum.
The section was incubated with ab323704 for 10 mins at room temperature.
The immunostaining was performed on a Leica Biosystems BOND® RX instrument

Counterstained with Hematoxylin.

Secondary antibody only control : Secondary antibody is a ready to use LeicaDS9800 (Bond™ Polymer Refine Detection).

Heat mediated antigen retrieval was performed with Tris-EDTA buffer (pH 9.0, Epitope Retrieval Solution2) for 20 mins

Western blot - Anti-PVRL1/NECTIN1 antibody [EPR29038-520] - BSA and Azide free (AB323705)
  • WB

Supplier Data

Western blot - Anti-PVRL1/NECTIN1 antibody [EPR29038-520] - BSA and Azide free (AB323705)

This data was developed using ab323704, the same antibody clone in a different buffer formulation.

Blocking and diluting buffer and concentration : 5% NFDM/TBST.

Lanes 1-4 are applied with Goat Anti-Rabbit IgG (HRP) with minimal cross reactivity with human IgG at 1/2000 and lanes 5-7 are applied with Goat Anti-Rabbit IgG, (H+L), Peroxidase conjugated (ab97051) at 1/20000

Low expression : testis, heart (PMID : 11090177), liver.

The identity of the bands lower than 57 kDa are unknown.

In Western blot, Anti-GAPDH antibody [EPR16891] - Loading Control (ab181602) staining at 1/200000 dilution.

All lanes:

Western blot - Anti-PVRL1/NECTIN1 antibody [EPR29038-520] (<a href='/en-us/products/primary-antibodies/pvrl1-nectin1-antibody-epr29038-520-ab323704'>ab323704</a>) at 1/1000 dilution

Lane 1:

Untreated human hippocampus tissue lysate at 20 µg

Lane 2:

Human hippocampus tissue lysate treated with Protein Deglycosylation MIX II at 20 µg

Lane 3:

Human liver tissue lysate at 20 µg

Lane 4:

Human testis tissue lysate at 20 µg

Lane 5:

Mouse brain tissue lysate at 20 µg

Lane 6:

Mouse heart tissue lysate at 20 µg

Lane 7:

Mouse hippocampus lysate at 20 µg

Secondary

Lanes 1 - 4:

Goat Anti-Rabbit IgG (HRP) with minimal cross-reactivity with human IgG at 1/2000 dilution

Lanes 5 - 7:

Western blot - Goat Anti-Rabbit IgG H&L (HRP) (<a href='/en-us/products/secondary-antibodies/goat-rabbit-igg-h-l-hrp-ab97051'>ab97051</a>) at 1/20000 dilution

Observed band size: 57 kDa,75 kDa,36 kDa

false

Exposure time: 3s

Western blot - Anti-PVRL1/NECTIN1 antibody [EPR29038-520] - BSA and Azide free (AB323705)
  • WB

Supplier Data

Western blot - Anti-PVRL1/NECTIN1 antibody [EPR29038-520] - BSA and Azide free (AB323705)

This data was developed using ab323704, the same antibody clone in a different buffer formulation.

Blocking and diluting buffer and concentration : 5% NFDM/TBST.

Low expression : A20.

The identity of the bands lower than 57 kDa are unknown.

In Western blot, Anti-GAPDH antibody [EPR16891] - Loading Control (ab181602) staining at 1/200000 dilution.

Exposure time : Lanes 1-2 : 37 seconds; Lanes 3-5 : 6 seconds.

All lanes:

Western blot - Anti-PVRL1/NECTIN1 antibody [EPR29038-520] (<a href='/en-us/products/primary-antibodies/pvrl1-nectin1-antibody-epr29038-520-ab323704'>ab323704</a>) at 1/1000 dilution

Lane 1:

HeLa (human cervical adenocarcinoma epithelial cell) transfected with scrambled siRNA control whole cell lysate at 20 µg

Lane 2:

HeLa transfected with siRNA specifically targeting PVRL1 whole cell lysate at 20 µg

Lane 3:

HaCaT (human skin keratinocyte) whole cell lysate at 20 µg

Lane 4:

A20 (mouse reticulum sarcoma b lymphocyte) whole cell lysate at 20 µg

Lane 5:

NIH/3T3 (mouse embryonic fibroblast) whole cell lysate at 20 µg

Secondary

All lanes:

Western blot - Goat Anti-Rabbit IgG H&L (HRP) (<a href='/en-us/products/secondary-antibodies/goat-rabbit-igg-h-l-hrp-ab97051'>ab97051</a>) at 1/20000 dilution

Observed band size: 57 kDa,75 kDa,36 kDa

false

Key facts

Host species

Rabbit

Clonality

Monoclonal

Clone number

EPR29038-520

Isotype

IgG

Carrier free

Yes

Reacts with

Human, Mouse

Applications

WB, IHC-P

applications

Immunogen

The exact immunogen used to generate this antibody is proprietary information.

Reactivity data

{ "title": "Reactivity Data", "filters": { "stats": ["", "Species", "Dilution Info", "Notes"], "tabs": { "all-applications": {"fullname" : "All Applications", "shortname": "All Applications"}, "IHCP" : {"fullname" : "Immunohistochemistry (Formalin/PFA-fixed paraffin-embedded sections)", "shortname":"IHC-P"}, "WB" : {"fullname" : "Western blot", "shortname":"WB"}, "ICCIF" : {"fullname" : "Immunocytochemistry/ Immunofluorescence", "shortname":"ICC/IF"} }, "product-promise": { "all": "all", "testedAndGuaranteed": "tested", "guaranteed": "expected", "predicted": "predicted", "notRecommended": "not-recommended" } }, "values": { "Human": { "IHCP-species-checked": "testedAndGuaranteed", "IHCP-species-dilution-info": "", "IHCP-species-notes": "<p></p> Perform heat-mediated antigen retrieval with Tris/EDTA buffer pH 9.0 before commencing with IHC staining protocol.", "WB-species-checked": "testedAndGuaranteed", "WB-species-dilution-info": "", "WB-species-notes": "<p></p>", "ICCIF-species-checked": "notRecommended", "ICCIF-species-dilution-info": "", "ICCIF-species-notes": "<p></p>" }, "Mouse": { "IHCP-species-checked": "testedAndGuaranteed", "IHCP-species-dilution-info": "", "IHCP-species-notes": "<p></p> Perform heat-mediated antigen retrieval with Tris/EDTA buffer pH 9.0 before commencing with IHC staining protocol.", "WB-species-checked": "testedAndGuaranteed", "WB-species-dilution-info": "", "WB-species-notes": "<p></p>", "ICCIF-species-checked": "notRecommended", "ICCIF-species-dilution-info": "", "ICCIF-species-notes": "<p></p>" } } }

Product details

ab323705 is the carrier-free version of ab323704

Patented technology
Our RabMAb® technology is a patented hybridoma-based technology for making rabbit monoclonal antibodies. For details on our patents, please refer to RabMAb® patents.

What are the advantages of a recombinant monoclonal antibody?
This product is a recombinant monoclonal antibody, which offers several advantages including:

  • - High batch-to-batch consistency and reproducibility
  • - Improved sensitivity and specificity
  • - Long-term security of supply
  • - Animal-free batch production

For more information, read more on recombinant antibodies.

Compatibility
This product is compatible with the Maxpar® Antibody Labeling Kit from Fluidigm, without the need for antibody preparation. Maxpar® is a trademark of Fluidigm Canada Inc.

Conjugation ready
Our carrier-free antibodies are typically supplied in a PBS-only formulation, purified and free of BSA, sodium azide and glycerol. This conjugation-ready format is designed for use with fluorochromes, metal isotopes, oligonucleotides, and enzymes, which makes them ideal for antibody labelling, functional and cell-based assays, flow-based assays (e.g. mass cytometry) and Multiplex Imaging applications.

Use our conjugation kits for antibody conjugates that are ready-to-use in as little as 20 minutes with 1 minute hands-on-time and 100% antibody recovery: available for fluorescent dyes, HRP, biotin and gold.

Properties and storage information

Form
Liquid
Purification technique
Affinity purification Protein A
Storage buffer
pH: 7.2 - 7.4 Constituents: PBS
Shipped at conditions
Blue Ice
Appropriate short-term storage conditions
+4°C
Appropriate long-term storage conditions
+4°C

Product protocols

For this product, it's our understanding that no specific protocols are required. You can visit:

Target data

Cell adhesion molecule that promotes cell-cell contacts and plays important roles in the development of the nervous system (PubMed : 21325282). Acts by forming homophilic or heterophilic trans-dimers (PubMed : 21325282). Heterophilic interactions have been detected between NECTIN1 and NECTIN3 and between NECTIN1 and NECTIN4 (By similarity). Involved in axon guidance by promoting contacts between the commissural axons and the floor plate cells (By similarity). Involved in synaptogegesis (By similarity). Has some neurite outgrowth-promoting activity (By similarity). Promotes formation of checkerboard-like cellular pattern of hair cells and supporting cells in the auditory epithelium via heterophilic interaction with NECTIN3 : NECTIN1 is present in the membrane of hair cells and associates with NECTIN3 on supporting cells, thereby mediating heterotypic adhesion between these two cell types (By similarity). Required for enamel mineralization (By similarity).. (Microbial infection) Acts as a receptor for herpes simplex virus 1/HHV-1, herpes simplex virus 2/HHV-2, and pseudorabies virus/PRV (PubMed : 21980294, PubMed : 25231300, PubMed : 28381567, PubMed : 28542478, PubMed : 34587223, PubMed : 38857290, PubMed : 39048823, PubMed : 39048830, PubMed : 7721102, PubMed : 9616127, PubMed : 9657005). Constitutes the major receptor for herpes simplex virus 1/HHV-1 entry into host cells (PubMed : 34587223).
See full target information NECTIN1

Additional targets

Nectin1

Product promise

We are committed to supporting your work with high-quality reagents, and we're here for you every step of the way. In the unlikely event that one of our products does not perform as expected, you're protected by our Product Promise.
For full details, please see our Terms & Conditions

Please note: All products are 'FOR RESEARCH USE ONLY. NOT FOR USE IN DIAGNOSTIC OR THERAPEUTIC PROCEDURES'.

For licensing inquiries, please contact partnerships@abcam.com