JavaScript is disabled in your browser. Please enable JavaScript to view this website.
AB229464

Anti-PVRL1/NECTIN1 antibody - N-terminal

Be the first to review this product! Submit a review

|

(2 Publications)

Rabbit Polyclonal PVRL1/NECTIN1 antibody. N-terminal. Suitable for WB, ICC/IF and reacts with Human, Rat samples. Cited in 2 publications. Immunogen corresponding to Recombinant Fragment Protein within Human NECTIN1.

View Alternative Names

CD111, HVEC, PRR1, PVRL1, NECTIN1, Nectin-1, Herpes virus entry mediator C, Herpesvirus Ig-like receptor, Nectin cell adhesion molecule 1, Poliovirus receptor-related protein 1, Herpesvirus entry mediator C, HveC, HIgR

3 Images
Immunocytochemistry/ Immunofluorescence - Anti-PVRL1/NECTIN1 antibody - N-terminal (AB229464)
  • ICC/IF

Supplier Data

Immunocytochemistry/ Immunofluorescence - Anti-PVRL1/NECTIN1 antibody - N-terminal (AB229464)

DIV14 rat E18 primary cortical neurons stained for PVRL1/NECTIN1 (green) using ab229464 at 1/500 dilution in ICC/IF. Cells were fixed in 4% paraformaldehyde at RT for 15 minutes.

Cytoskeleton staining : Beta Tubulin 3/Tuj1 (red).

Nuclear counterstain : Fluoroshield with DAPI (blue).

Immunocytochemistry/ Immunofluorescence - Anti-PVRL1/NECTIN1 antibody - N-terminal (AB229464)
  • ICC/IF

Supplier Data

Immunocytochemistry/ Immunofluorescence - Anti-PVRL1/NECTIN1 antibody - N-terminal (AB229464)

Immunofluorescence analysis of DIV9 rat E18 primary cortical neuron cells fixed in 4% paraformaldehyde at RT for 15 min labelling Nectin 1 protein at cell membrane using ab229464 at a 1/250 dilution (Green).
Tau, an axon marker, stained by Tau antibody at a 1/500 dilution (Red). Hoechst 33342 was used for nuclear staining (Blue).

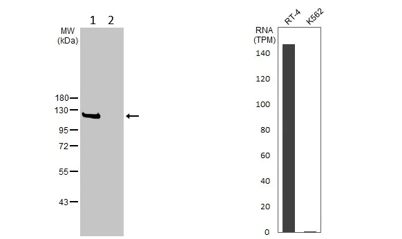
Western blot - Anti-PVRL1/NECTIN1 antibody - N-terminal (AB229464)
  • WB

Supplier Data

Western blot - Anti-PVRL1/NECTIN1 antibody - N-terminal (AB229464)

Samples were separated by 10% SDS-PAGE. Corresponding RNA expression data for the same cell lines are based on Human Protein Atlas program.

All lanes:

Western blot - Anti-PVRL1/NECTIN1 antibody - N-terminal (ab229464) at 1/500 dilution

Lane 1:

RT-4 whole cell extracts at 30 µg

Lane 2:

K562 whole cell extracts at 30 µg

Secondary

All lanes:

HRP-conjugated anti-rabbit IgG antibody

false

Key facts

Host species

Rabbit

Clonality

Polyclonal

Isotype

IgG

Carrier free

No

Reacts with

Rat, Human

Applications

ICC/IF, WB

applications

Immunogen

Recombinant Fragment Protein within Human NECTIN1. The exact immunogen used to generate this antibody is proprietary information.

Q15223

Reactivity data

{ "title": "Reactivity Data", "filters": { "stats": ["", "Species", "Dilution Info", "Notes"], "tabs": { "all-applications": {"fullname" : "All Applications", "shortname": "All Applications"}, "WB" : {"fullname" : "Western blot", "shortname":"WB"}, "ICCIF" : {"fullname" : "Immunocytochemistry/ Immunofluorescence", "shortname":"ICC/IF"} }, "product-promise": { "all": "all", "testedAndGuaranteed": "tested", "guaranteed": "expected", "predicted": "predicted", "notRecommended": "not-recommended" } }, "values": { "Human": { "WB-species-checked": "testedAndGuaranteed", "WB-species-dilution-info": "1/500 - 1/3000", "WB-species-notes": "<p></p>", "ICCIF-species-checked": "guaranteed", "ICCIF-species-dilution-info": "", "ICCIF-species-notes": "" }, "Rat": { "WB-species-checked": "guaranteed", "WB-species-dilution-info": "", "WB-species-notes": "", "ICCIF-species-checked": "testedAndGuaranteed", "ICCIF-species-dilution-info": "1/100 - 1/1000", "ICCIF-species-notes": "<p></p>" }, "Dog": { "WB-species-checked": "predicted", "WB-species-dilution-info": "", "WB-species-notes": "", "ICCIF-species-checked": "predicted", "ICCIF-species-dilution-info": "", "ICCIF-species-notes": "" }, "Pig": { "WB-species-checked": "predicted", "WB-species-dilution-info": "", "WB-species-notes": "", "ICCIF-species-checked": "predicted", "ICCIF-species-dilution-info": "", "ICCIF-species-notes": "" } } }

Properties and storage information

Form
Liquid
Purification technique
Affinity purification Immunogen
Storage buffer
pH: 7 Preservative: 0.025% Proclin 300 Constituents: PBS, 20% Glycerol (glycerin, glycerine)
Shipped at conditions
Blue Ice
Appropriate short-term storage duration
1-2 weeks
Appropriate short-term storage conditions
+4°C
Appropriate long-term storage conditions
-20°C
Aliquoting information
Upon delivery aliquot
Storage information
Avoid freeze / thaw cycle

Supplementary information

This supplementary information is collated from multiple sources and compiled automatically.

The protein PVRL1 also known as NECTIN1 or nectin-1 functions mechanically as an immunoglobulin-like cell adhesion molecule. It plays a role in creating adherens junctions between cells operating as both a homophilic and heterophilic binding partner. Nectin-1 has a molecular mass of approximately 97 kDa. It is expressed prominently in epithelial tissues and particularly in the nervous system which suggests it plays an important role in cell-cell communication in these areas.
Biological function summary

Nectin-1 facilitates cellular processes through its involvement in cell adhesion complexes. It functions as part of a larger complex including proteins like afadin which links to the actin cytoskeleton and promotes cell junction integrity. This organization impacts cellular adhesion migration and proliferation. Nectin-1's adhesive functions are fundamental in maintaining structural tissues and transmitting signals within cells a necessity for development and tissue maintenance.

Pathways

Nectin-1 contributes to the activation of the MAPK/ERK signaling pathway central to regulating various cell functions including proliferation and differentiation. It also participates in the cadherin-catenin complex pathway working in conjunction with E-cadherin a critical protein in maintaining epithelial cell layer integrity. These pathways highlight nectin-1’s role as a signal transducer affecting how cells interact and react to their environment.

Nectin-1 is implicated in cleft lip and palate disorder. Mutations affecting nectin-1 can disrupt cell adhesion processes necessary for proper development of facial structures. Furthermore alterations in nectin-1 gene expression are associated with susceptibility to herpes simplex virus infections as nectin-1 acts as a viral entry receptor. In these conditions its interaction with closely related membrane proteins such as nectin-3 is significant in disease manifestation and progression.

Product protocols

For this product, it's our understanding that no specific protocols are required. You can visit:

Target data

Cell adhesion molecule that promotes cell-cell contacts and plays important roles in the development of the nervous system (PubMed : 21325282). Acts by forming homophilic or heterophilic trans-dimers (PubMed : 21325282). Heterophilic interactions have been detected between NECTIN1 and NECTIN3 and between NECTIN1 and NECTIN4 (By similarity). Involved in axon guidance by promoting contacts between the commissural axons and the floor plate cells (By similarity). Involved in synaptogegesis (By similarity). Has some neurite outgrowth-promoting activity (By similarity). Promotes formation of checkerboard-like cellular pattern of hair cells and supporting cells in the auditory epithelium via heterophilic interaction with NECTIN3 : NECTIN1 is present in the membrane of hair cells and associates with NECTIN3 on supporting cells, thereby mediating heterotypic adhesion between these two cell types (By similarity). Required for enamel mineralization (By similarity).. (Microbial infection) Acts as a receptor for herpes simplex virus 1/HHV-1, herpes simplex virus 2/HHV-2, and pseudorabies virus/PRV (PubMed : 21980294, PubMed : 25231300, PubMed : 28381567, PubMed : 28542478, PubMed : 34587223, PubMed : 38857290, PubMed : 39048823, PubMed : 39048830, PubMed : 7721102, PubMed : 9616127, PubMed : 9657005). Constitutes the major receptor for herpes simplex virus 1/HHV-1 entry into host cells (PubMed : 34587223).
See full target information NECTIN1

Publications (2)

Recent publications for all applications. Explore the full list and refine your search

Journal of the American Chemical Society 146:12410-12422 PubMed38669207

2024

Programmable RNA Loading of Extracellular Vesicles with Toehold-Release Purification.

Applications

Unspecified application

Species

Unspecified reactive species

Mette Galsgaard Malle,Ping Song,Philipp M G Löffler,Nazmie Kalisi,Yan Yan,Julián Valero,Stefan Vogel,Jørgen Kjems

Journal of virology 95:e0122721 PubMed34468169

2021

Nectin-1 Is an Entry Mediator for Varicella-Zoster Virus Infection of Human Neurons.

Applications

Unspecified application

Species

Unspecified reactive species

Labchan Rajbhandari,Priya Shukla,Balaji Jagdish,Abby Mandalla,Qingxue Li,Mir A Ali,Hojae Lee,Gabsang Lee,Tomohiko Sadaoka,Jeffrey I Cohen,Arun Venkatesan
View all publications

Product promise

We are committed to supporting your work with high-quality reagents, and we're here for you every step of the way. In the unlikely event that one of our products does not perform as expected, you're protected by our Product Promise.
For full details, please see our Terms & Conditions

Please note: All products are 'FOR RESEARCH USE ONLY. NOT FOR USE IN DIAGNOSTIC OR THERAPEUTIC PROCEDURES'.

For licensing inquiries, please contact partnerships@abcam.com