JavaScript is disabled in your browser. Please enable JavaScript to view this website.
AB317563

Anti-PYCR1 antibody [EPR28646-7]

  • BOND RX™ Validated
  • 20ul selling size
  • Recombinant
  • RabMAb
  • What is this?

Be the first to review this product! Submit a review

|

(0 Publication)

Rabbit Recombinant Monoclonal PYCR1 antibody. Suitable for Dot, ICC/IF, Flow Cyt (Intra), WB, IP, IHC-P and reacts with Recombinant fragment - Human, Human samples.

View Alternative Names

P5C reductase 1, P5CR 1, PYCR1

10 Images
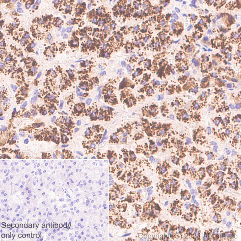
Immunohistochemistry (Formalin/PFA-fixed paraffin-embedded sections) - Anti-PYCR1 antibody [EPR28646-7] (AB317563)
  • IHC-P

Supplier Data

Immunohistochemistry (Formalin/PFA-fixed paraffin-embedded sections) - Anti-PYCR1 antibody [EPR28646-7] (AB317563)

Immunohistochemical analysis of paraffin-embedded Human pancreas tissue labeling PYCR1 with ab317563 at 1/100 (4.99 ug/ml) dilution, followed by a ready to use LeicaDS9800 (Bond™ Polymer Refine Detection).

Positive staining in human pancreas.
The section was incubated with ab317563 for 30 mins at room temperature.
The immunostaining was performed on a Leica Biosystems BOND® RX instrument.

Counterstained with Hematoxylin.

Secondary antibody only control : Secondary antibody is a ready to use LeicaDS9800 (Bond™ Polymer Refine Detection).

Heat mediated antigen retrieval was performed with Tris-EDTA buffer (pH 9.0, Epitope Retrieval Solution2) for 20 mins.

Immunohistochemistry (Formalin/PFA-fixed paraffin-embedded sections) - Anti-PYCR1 antibody [EPR28646-7] (AB317563)
  • IHC-P

Supplier Data

Immunohistochemistry (Formalin/PFA-fixed paraffin-embedded sections) - Anti-PYCR1 antibody [EPR28646-7] (AB317563)

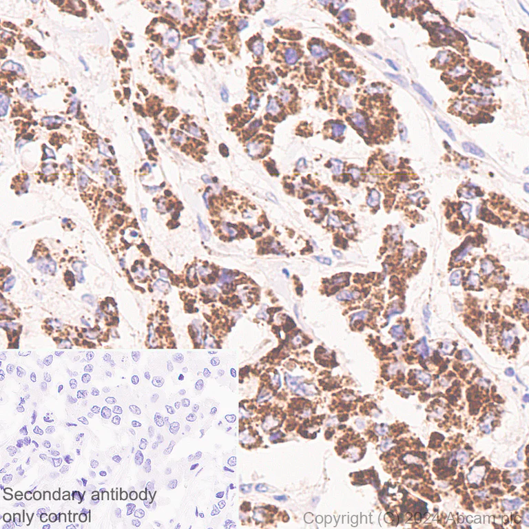
Immunohistochemical analysis of paraffin-embedded Human breast carcinoma tissue labeling PYCR1 with ab317563 at 1/100 (4.99 ug/ml) dilution, followed by a ready to use LeicaDS9800 (Bond™ Polymer Refine Detection).

Positive staining in human breast carcinoma.
The section was incubated with ab317563 for 30 mins at room temperature.
The immunostaining was performed on a Leica Biosystems BOND® RX instrument.

Counterstained with Hematoxylin.

Secondary antibody only control : Secondary antibody is a ready to use LeicaDS9800 (Bond™ Polymer Refine Detection).

Heat mediated antigen retrieval was performed with Tris-EDTA buffer (pH 9.0, Epitope Retrieval Solution2) for 20 mins.

Flow Cytometry (Intracellular) - Anti-PYCR1 antibody [EPR28646-7] (AB317563)
  • Flow Cyt (Intra)

Supplier Data

Flow Cytometry (Intracellular) - Anti-PYCR1 antibody [EPR28646-7] (AB317563)

Flow cytometric analysis of 4% paraformaldehyde fixed 90% methanol permeabilized HeLa(human cervical adenocarcinoma epithelial cell) cells labelling PYCR1 with ab317563 at 1/500 dilution (0.1 ug)/Red (Red) compared with a Rabbit monoclonal IgG (ab172730) (Black) isotype control and an unlabelled control (cells without incubation with primary antibody and secondary antibody) (Blue).

Goat Anti-Rabbit IgG (Alexa Fluor® 488, ab150081) at 1/5000 dilution was used as the secondary antibody.

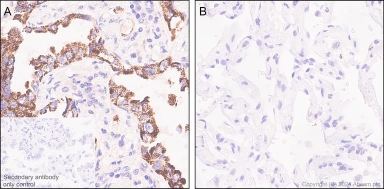
Immunohistochemistry (Formalin/PFA-fixed paraffin-embedded sections) - Anti-PYCR1 antibody [EPR28646-7] (AB317563)
  • IHC-P

Supplier Data

Immunohistochemistry (Formalin/PFA-fixed paraffin-embedded sections) - Anti-PYCR1 antibody [EPR28646-7] (AB317563)

Immunohistochemical analysis of paraffin-embedded (A) Human lung carcinoma. (B) Adjacent lung tissue. tissue labeling PYCR1 with ab317563 at 1/100 (4.99 ug/ml) dilution, followed by a ready to use LeicaDS9800 (Bond™ Polymer Refine Detection).

Positive staining in (A) human lung carcinoma, almost no staining in (B) adjacent lung tissue.
The section was incubated with ab317563 for 30 mins at room temperature.
The immunostaining was performed on a Leica Biosystems BOND® RX instrument.

Counterstained with Hematoxylin.

Secondary antibody only control : Secondary antibody is a ready to use LeicaDS9800 (Bond™ Polymer Refine Detection).

Heat mediated antigen retrieval was performed with Tris-EDTA buffer (pH 9.0, Epitope Retrieval Solution2) for 20 mins.

Immunocytochemistry/ Immunofluorescence - Anti-PYCR1 antibody [EPR28646-7] (AB317563)
  • ICC/IF

Supplier Data

Immunocytochemistry/ Immunofluorescence - Anti-PYCR1 antibody [EPR28646-7] (AB317563)

Immunofluorescent analysis of 4% Paraformaldehyde-fixed, 0.1% TritonX-100 permeabilized HeLa (human cervical adenocarcinoma epithelial cell) cells labelling PYCR1 with ab317563 at 1/50 (9.98 ug/ml) dilution, followed by ab150081 Goat Anti-Rabbit IgG H&L (Alexa Fluor® 488) preadsorbed antibody at 1/1000 2 ug/ml dilution (Green).

Confocal image showing mitochondrial staining in HeLa cell line (shown in green). The counterstain was observed in magenta. Nuclear DNA was labeled with DAPI (shown in blue).
Image was taken with a confocal microscope(Leica-Microsystems, TCS SP8).

anti-COX IV mouse monoclonal antibody - Mitochondrial Marker was used to counterstain tubulin at 1/200 2.5 dilution (Magenta). The Nuclear counterstain was DAPI (Blue).

Secondary antibody only control : Secondary antibody is ab150081 Goat Anti-Rabbit IgG H&L (Alexa Fluor® 488) preadsorbed at 1/1000 2 ug/ml dilution.

-ve control 1 : ab317563 at 1/50 (9.98 ug/ml) dilution, followed by ab150120 at 1/1000 2 ug/mL dilution. -ve control 2 : anti-COX IV mouse monoclonal antibody 1/50 0.5ug/ml dilution, followed by ab150081 at 1/1000 2 ug/mL dilution.

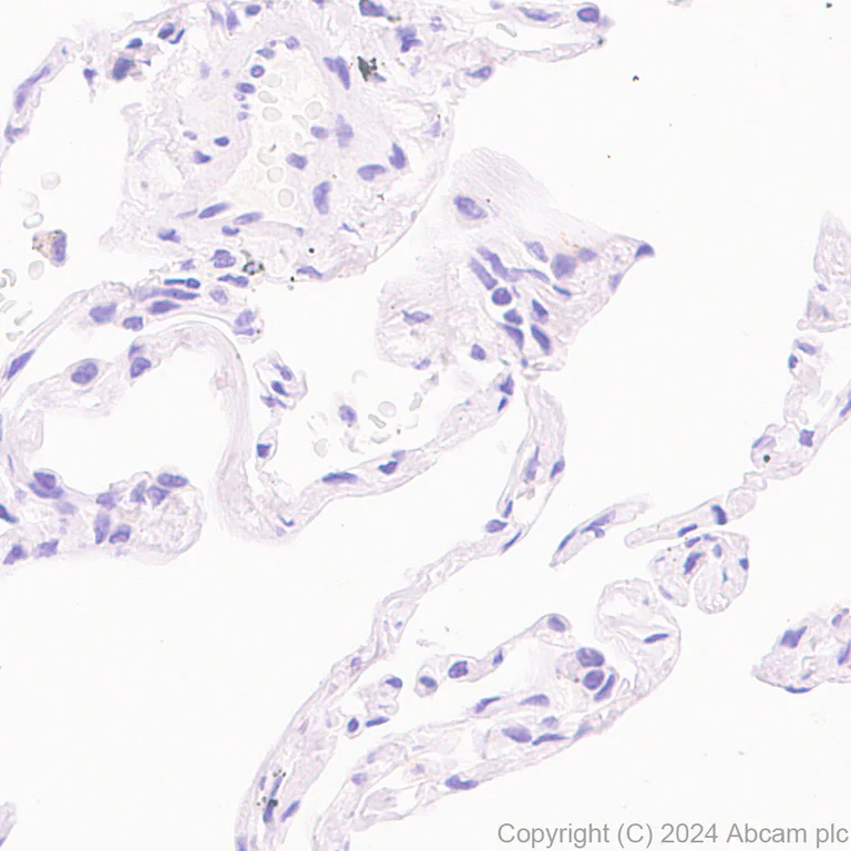
Immunohistochemistry (Formalin/PFA-fixed paraffin-embedded sections) - Anti-PYCR1 antibody [EPR28646-7] (AB317563)
  • IHC-P

Supplier Data

Immunohistochemistry (Formalin/PFA-fixed paraffin-embedded sections) - Anti-PYCR1 antibody [EPR28646-7] (AB317563)

Immunohistochemical analysis of paraffin-embedded Human lung tissue labeling PYCR1 with ab317563 at 1/100 (4.99 ug/ml) dilution, followed by a ready to use LeicaDS9800 (Bond™ Polymer Refine Detection).

Low expression tissue : No staining in human lung.
The section was incubated with ab317563 for 30 mins at room temperature.
The immunostaining was performed on a Leica Biosystems BOND® RX instrument.

Counterstained with Hematoxylin.

Secondary antibody only control : Secondary antibody is a ready to use LeicaDS9800 (Bond™ Polymer Refine Detection).

Heat mediated antigen retrieval was performed with Tris-EDTA buffer (pH 9.0, Epitope Retrieval Solution2) for 20 mins.

Immunoprecipitation - Anti-PYCR1 antibody [EPR28646-7] (AB317563)
  • IP

Supplier Data

Immunoprecipitation - Anti-PYCR1 antibody [EPR28646-7] (AB317563)

PYCR1 was immunoprecipitated from 0.35 mg HeLa (human cervical adenocarcinoma epithelial cell) whole cell lysate with ab317563 at 1/30 dilution (2ug in 0.35mg lysates). Western blot was performed on the immunoprecipitate using ab317563 at 1/1000 dilution. VeriBlot for IP secondary antibody(HRP)(ab131366) was used at 1/5000 dilution.

Lane 1 : HeLa (human cervical adenocarcinoma epithelial cell) whole cell lysate
Lane 2 : ab317563 IP in HeLa (human cervical adenocarcinoma epithelial cell) whole cell lysate
Lane 3 : Rabbit monoclonal IgG (ab172730) instead of ab317563 in HeLa whole cell lysate

All lanes:

Immunoprecipitation - Anti-PYCR1 antibody [EPR28646-7] (ab317563) at 1/30 dilution

All lanes:

HeLa (human cervical adenocarcinoma epithelial cell) whole cell lysate at 10 µg

Secondary

All lanes:

Immunoprecipitation - VeriBlot for IP Detection Reagent (HRP) (<a href='/en-us/products/reagents/veriblot-for-ip-detection-reagent-hrp-ab131366'>ab131366</a>) at 1/5000 dilution

false

Exposure time: 3s

Western blot - Anti-PYCR1 antibody [EPR28646-7] (AB317563)
  • WB

Supplier Data

Western blot - Anti-PYCR1 antibody [EPR28646-7] (AB317563)

Low expression : lung, colon, breast, skeletal muscle.

In Western blot, Anti-GAPDH antibody [EPR16891] - Loading Control (ab181602) staining at 1/200000 dilution.

All lanes:

Western blot - Anti-PYCR1 antibody [EPR28646-7] (ab317563) at 1/1000 dilution

Lane 1:

Human pancreas tissue lysate at 50 µg

Lane 2:

Human lung tissue lysate at 50 µg

Lane 3:

Human colon tissue lysate at 50 µg

Lane 4:

Human breast tissue lysate at 50 µg

Lane 5:

Human salivary gland tissue lysate at 50 µg

Lane 6:

Human skeletal muscle tissue lysate at 50 µg

Secondary

All lanes:

Goat Anti-Rabbit IgG (HRP) with minimal cross-reactivity with human IgG at 1/2000 dilution

Observed band size: 33 kDa,36 kDa

false

Exposure time: 26s

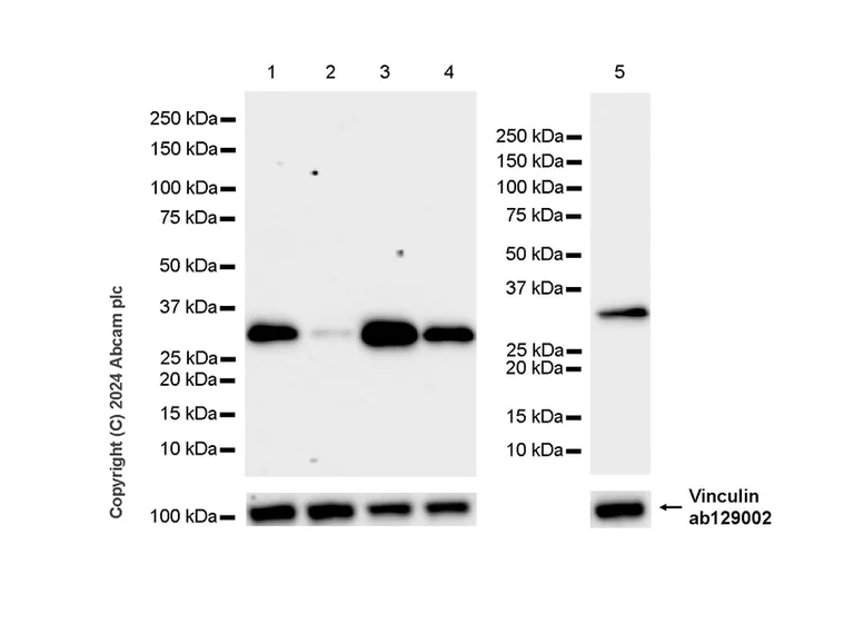
Western blot - Anti-PYCR1 antibody [EPR28646-7] (AB317563)
  • WB

Supplier Data

Western blot - Anti-PYCR1 antibody [EPR28646-7] (AB317563)

In Western blot, Anti-Vinculin antibody [EPR8185] (ab129002) staining at 1/10000 dilution.

All lanes:

Western blot - Anti-PYCR1 antibody [EPR28646-7] (ab317563) at 1/1000 dilution

Lane 1:

HeLa (human cervical adenocarcinoma epithelial cell) transfected with scrambled siRNA control whole cell lysate at 20 µg

Lane 2:

HeLa transfected with siRNA specifically targeting PYCR1 whole cell lysate 20 at 20 µg

Lane 3:

PANC-1 (human pancreatic epithelioid carcinoma epithelial cell) whole cell lysate at 20 µg

Lane 4:

A549 (human lung carcinoma epithelial cell) whole cell lysate at 20 µg

Lane 5:

HT-1080 (human fibrosarcoma epithelial cell) whole cell lysate at 20 µg

Secondary

All lanes:

Goat Anti-Rabbit IgG (HRP) with minimal cross-reactivity with human IgG at 1/2000 dilution

Observed band size: 33 kDa,124 kDa

false

Exposure time: 37s

Dot Blot - Anti-PYCR1 antibody [EPR28646-7] (AB317563)
  • Dot

Supplier Data

Dot Blot - Anti-PYCR1 antibody [EPR28646-7] (AB317563)

Dot blot analysis of PYCR1 using ab317563 at 1 : 1000 (0.499 ug/ml) followed by a Goat Anti-Rabbit IgG, (H+L), Peroxidase conjugated (ab97051) at 1 : 20,000 dilution.

Exposure time : 180 seconds.

Blocking and diluting buffer and concentration : 5% NFDM/TBST.

This antibody does not cross-react with human PYCR2.

Anti-6X His tag® antibody [EPR20547] - ChIP Grade (ab213204) as total protein control staining at 1/5000 dilution.

Lane 1:

His-tagged human PYCR1 recombinant protein

Lane 2:

His-tagged human PYCR2 recombinant protein

false

Exposure time: 180s

  • Carrier free

    Anti-PYCR1 antibody [EPR28646-7] - BSA and Azide free

Key facts

Host species

Rabbit

Clonality

Monoclonal

Clone number

EPR28646-7

Isotype

IgG

Carrier free

No

Reacts with

Human

Applications

IP, WB, Flow Cyt (Intra), ICC/IF, Dot, IHC-P

applications

Immunogen

The exact immunogen used to generate this antibody is proprietary information.

Reactivity data

{ "title": "Reactivity Data", "filters": { "stats": ["", "Species", "Dilution Info", "Notes"], "tabs": { "all-applications": {"fullname" : "All Applications", "shortname": "All Applications"}, "Dot" : {"fullname" : "Dot Blot", "shortname":"Dot"}, "ICCIF" : {"fullname" : "Immunocytochemistry/ Immunofluorescence", "shortname":"ICC/IF"}, "FlowCytIntra" : {"fullname" : "Flow Cytometry (Intracellular)", "shortname":"Flow Cyt (Intra)"}, "WB" : {"fullname" : "Western blot", "shortname":"WB"}, "IP" : {"fullname" : "Immunoprecipitation", "shortname":"IP"}, "IHCP" : {"fullname" : "Immunohistochemistry (Formalin/PFA-fixed paraffin-embedded sections)", "shortname":"IHC-P"} }, "product-promise": { "all": "all", "testedAndGuaranteed": "tested", "guaranteed": "expected", "predicted": "predicted", "notRecommended": "not-recommended" } }, "values": { "Human": { "Dot-species-checked": "guaranteed", "Dot-species-dilution-info": "", "Dot-species-notes": "", "ICCIF-species-checked": "testedAndGuaranteed", "ICCIF-species-dilution-info": "1/50", "ICCIF-species-notes": "<p></p>", "FlowCytIntra-species-checked": "testedAndGuaranteed", "FlowCytIntra-species-dilution-info": "1/500", "FlowCytIntra-species-notes": "<p></p>", "WB-species-checked": "testedAndGuaranteed", "WB-species-dilution-info": "1/1000", "WB-species-notes": "<p></p>", "IP-species-checked": "testedAndGuaranteed", "IP-species-dilution-info": "1/30", "IP-species-notes": "<p></p>", "IHCP-species-checked": "testedAndGuaranteed", "IHCP-species-dilution-info": "1/100", "IHCP-species-notes": "<p></p> Perform heat-mediated antigen retrieval with Tris/EDTA buffer pH 9.0 before commencing with IHC staining protocol." }, "Mouse": { "Dot-species-checked": "notRecommended", "Dot-species-dilution-info": "", "Dot-species-notes": "", "ICCIF-species-checked": "notRecommended", "ICCIF-species-dilution-info": "", "ICCIF-species-notes": "<p></p>", "FlowCytIntra-species-checked": "notRecommended", "FlowCytIntra-species-dilution-info": "", "FlowCytIntra-species-notes": "", "WB-species-checked": "notRecommended", "WB-species-dilution-info": "", "WB-species-notes": "<p></p>", "IP-species-checked": "notRecommended", "IP-species-dilution-info": "", "IP-species-notes": "", "IHCP-species-checked": "notRecommended", "IHCP-species-dilution-info": "", "IHCP-species-notes": "<p></p>" }, "Rat": { "Dot-species-checked": "notRecommended", "Dot-species-dilution-info": "", "Dot-species-notes": "", "ICCIF-species-checked": "notRecommended", "ICCIF-species-dilution-info": "", "ICCIF-species-notes": "", "FlowCytIntra-species-checked": "notRecommended", "FlowCytIntra-species-dilution-info": "", "FlowCytIntra-species-notes": "", "WB-species-checked": "notRecommended", "WB-species-dilution-info": "", "WB-species-notes": "<p></p>", "IP-species-checked": "notRecommended", "IP-species-dilution-info": "", "IP-species-notes": "", "IHCP-species-checked": "notRecommended", "IHCP-species-dilution-info": "", "IHCP-species-notes": "<p></p>" }, "Recombinant fragment - Human": { "Dot-species-checked": "testedAndGuaranteed", "Dot-species-dilution-info": "1/1000", "Dot-species-notes": "<p></p>", "ICCIF-species-checked": "notRecommended", "ICCIF-species-dilution-info": "", "ICCIF-species-notes": "", "FlowCytIntra-species-checked": "notRecommended", "FlowCytIntra-species-dilution-info": "", "FlowCytIntra-species-notes": "", "WB-species-checked": "notRecommended", "WB-species-dilution-info": "", "WB-species-notes": "", "IP-species-checked": "notRecommended", "IP-species-dilution-info": "", "IP-species-notes": "", "IHCP-species-checked": "notRecommended", "IHCP-species-dilution-info": "", "IHCP-species-notes": "" } } }

Product details

Patented technology
Our RabMAb® technology is a patented hybridoma-based technology for making rabbit monoclonal antibodies. For details on our patents, please refer to RabMAb® patents.

What are the advantages of a recombinant monoclonal antibody?
This product is a recombinant monoclonal antibody, which offers several advantages including:

  • - High batch-to-batch consistency and reproducibility
  • - Improved sensitivity and specificity
  • - Long-term security of supply
  • - Animal-free batch production

For more information, read more on recombinant antibodies.

Properties and storage information

Form
Liquid
Purification technique
Affinity purification Protein A
Storage buffer
pH: 7.2 - 7.4 Preservative: 0.01% Sodium azide Constituents: PBS, 40% Glycerol (glycerin, glycerine), 0.05% BSA
Shipped at conditions
Blue Ice
Appropriate short-term storage duration
1-2 weeks
Appropriate short-term storage conditions
+4°C
Appropriate long-term storage conditions
-20°C
Aliquoting information
Upon delivery aliquot
Storage information
Avoid freeze / thaw cycle

Supplementary information

This supplementary information is collated from multiple sources and compiled automatically.

PYCR1 also known as Pyrroline-5-carboxylate reductase 1 is an enzyme with a molecular weight of approximately 33 kDa. It facilitates the conversion of pyrroline-5-carboxylate to proline an essential amino acid. PYCR1 is mainly expressed in human tissues with high metabolic activity such as the liver kidney and pancreas which highlights its role in amino acid metabolism. This enzyme plays a central role in maintaining the balance between cellular oxidation and reduction and is typically active in the cytoplasm of the cells.
Biological function summary

PYCR1 participates in the proline biosynthesis pathway and contributes to the cellular response to stress. It functions as a homopolymer indicating its need to form complexes for activity. The production of proline is important as proline protects cells by maintaining membrane integrity and stabilizing proteins during environmental stress like oxidative stress. Proline synthesis involving PYCR1 is essential for collagen production which supports tissue and structural integrity in humans.

Pathways

PYCR1 acts within the proline biosynthesis pathway and the larger metabolism of amino acids. This enzyme works closely with ALDH4A1 which is another enzyme that catalyzes the earlier stages of the proline biosynthesis pathway before PYCR1 performs its function. The pathway plays a significant role in plant and animal cell adaptation to environmental changes. By modulating these pathways cells gain enhanced abilities to manage osmotic pressures and support vital functions under stress conditions linking PYCR1's activity to cellular survival and resilience.

PYCR1 mutations or dysfunction is associated with Cutis laxa a rare connective tissue disorder characterized by loose sagging skin and systemic involvement. These dysfunctions affect proline synthesis impairing collagen production which leads to abnormal connective tissue structure. PYCR1 is also connected to pyrroline-5-carboxylate synthetase implicating dysfunction in the larger metabolic framework that supports protein synthesis and cellular health. These disturbances underline the enzyme's importance in maintaining normal physiological conditions and hint at possible therapeutic targets for related disorders.

Product protocols

For this product, it's our understanding that no specific protocols are required. You can visit:

Target data

Housekeeping enzyme that catalyzes the last step in proline biosynthesis. Can utilize both NAD and NADP, but has higher affinity for NAD. Involved in the cellular response to oxidative stress.
See full target information Pyrroline-5-carboxylate reductase 1, mitochondrial

Product promise

We are committed to supporting your work with high-quality reagents, and we're here for you every step of the way. In the unlikely event that one of our products does not perform as expected, you're protected by our Product Promise.
For full details, please see our Terms & Conditions

Please note: All products are 'FOR RESEARCH USE ONLY. NOT FOR USE IN DIAGNOSTIC OR THERAPEUTIC PROCEDURES'.

For licensing inquiries, please contact partnerships@abcam.com