JavaScript is disabled in your browser. Please enable JavaScript to view this website.
AB198268

Anti-PYGL antibody

4

(3 Reviews)

|

(13 Publications)

Rabbit Polyclonal PYGL antibody. Suitable for WB, IHC-P and reacts with Human samples. Cited in 13 publications. Immunogen corresponding to Recombinant Fragment Protein within Human Glycogen phosphorylase, liver form.

View Alternative Names

PYGL

2 Images
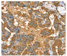
Immunohistochemistry (Formalin/PFA-fixed paraffin-embedded sections) - Anti-PYGL antibody (AB198268)
  • IHC-P

Supplier Data

Immunohistochemistry (Formalin/PFA-fixed paraffin-embedded sections) - Anti-PYGL antibody (AB198268)

Immunohistochemical analysis of paraffin-embedded Human thyroid cancer tissue labeling PYGL with ab198268 at 1/35 dilution.

Western blot - Anti-PYGL antibody (AB198268)
  • WB

Supplier Data

Western blot - Anti-PYGL antibody (AB198268)

All lanes:

Western blot - Anti-PYGL antibody (ab198268) at 1/400 dilution

Lane 1:

231 cell lysate at 40 µg

Lane 2:

PC3 cell lysate at 40 µg

Predicted band size: 97 kDa

true

Exposure time: 20s

Key facts

Host species

Rabbit

Clonality

Polyclonal

Isotype

IgG

Carrier free

No

Reacts with

Human

Applications

WB, IHC-P

applications

Immunogen

Recombinant Fragment Protein within Human Glycogen phosphorylase, liver form. The exact immunogen used to generate this antibody is proprietary information.

P06737

Reactivity data

{ "title": "Reactivity Data", "filters": { "stats": ["", "Species", "Dilution Info", "Notes"], "tabs": { "all-applications": {"fullname" : "All Applications", "shortname": "All Applications"}, "WB" : {"fullname" : "Western blot", "shortname":"WB"}, "IHCP" : {"fullname" : "Immunohistochemistry (Formalin/PFA-fixed paraffin-embedded sections)", "shortname":"IHC-P"} }, "product-promise": { "all": "all", "testedAndGuaranteed": "tested", "guaranteed": "expected", "predicted": "predicted", "notRecommended": "not-recommended" } }, "values": { "Human": { "WB-species-checked": "testedAndGuaranteed", "WB-species-dilution-info": "1/500 - 1/2000", "WB-species-notes": "<p></p>", "IHCP-species-checked": "testedAndGuaranteed", "IHCP-species-dilution-info": "1/30 - 1/150", "IHCP-species-notes": "<p></p>" }, "Mouse": { "WB-species-checked": "predicted", "WB-species-dilution-info": "", "WB-species-notes": "", "IHCP-species-checked": "predicted", "IHCP-species-dilution-info": "", "IHCP-species-notes": "" }, "Rat": { "WB-species-checked": "predicted", "WB-species-dilution-info": "", "WB-species-notes": "", "IHCP-species-checked": "predicted", "IHCP-species-dilution-info": "", "IHCP-species-notes": "" } } }

Properties and storage information

Form
Liquid
Purification technique
Affinity purification Immunogen
Storage buffer
pH: 7.4 Preservative: 0.05% Sodium azide Constituents: PBS, 50% Glycerol (glycerin, glycerine)
Shipped at conditions
Blue Ice
Appropriate short-term storage duration
1-2 weeks
Appropriate short-term storage conditions
+4°C
Appropriate long-term storage conditions
-20°C
Aliquoting information
Upon delivery aliquot
Storage information
Avoid freeze / thaw cycle

Supplementary information

This supplementary information is collated from multiple sources and compiled automatically.

PYGL also known as glycogen phosphorylase liver form is an enzyme with a monomeric mass of around 97 kDa. Mechanically PYGL catalyzes the breakdown of glycogen into glucose-1-phosphate by cleaving alpha-14-glycosidic bonds. This enzyme primarily operates in the liver where it plays a critical role in regulating glucose release into the bloodstream. PYGL's activity is tightly controlled by hormonal signals which ensure proper glucose levels.
Biological function summary

The enzyme plays a major role in maintaining energy homeostasis by mobilizing glucose from glycogen stores during fasting states. It does not function as part of a larger complex operating instead as a homodimer when activated. PYGL is critical for the liver's ability to supply glucose to other organs when dietary glucose is not available. Proper functioning of PYGL helps maintain a balance between glucose storage and release contributing to overall metabolic equilibrium.

Pathways

PYGL has a notable role in glycogenolysis a process that liberates stored glycogen as glucose-1-phosphate. This enzyme also connects with gluconeogenesis where it impacts the production of glucose from non-carbohydrate sources. In these pathways its activity often intersects with other enzymes namely phosphoglucomutase and glucose-6-phosphatase which further process the products of PYGL’s activity.

PYGL is associated with conditions such as Hers disease a glycogen storage disease caused by a deficiency in hepatic glycogen phosphorylase. This leads to excessive glycogen accumulation in the liver and resultant hypoglycemia. Additionally abnormal PYGL activity relates to type 2 diabetes where altered glycogen metabolism impacts insulin response and glucose homeostasis. In these contexts it maintains functional connections with proteins like insulin receptor and glycogen synthase which together influence carbohydrate metabolism balance.

Product protocols

For this product, it's our understanding that no specific protocols are required. You can visit:

Target data

Allosteric enzyme that catalyzes the rate-limiting step in glycogen catabolism, the phosphorolytic cleavage of glycogen to produce glucose-1-phosphate, and plays a central role in maintaining cellular and organismal glucose homeostasis.
See full target information Glycogen phosphorylase, liver form

Publications (13)

Recent publications for all applications. Explore the full list and refine your search

EMBO reports 25:5383-5407 PubMed39424955

2024

Glycogenesis and glyconeogenesis from glutamine, lactate and glycerol support human macrophage functions.

Applications

Unspecified application

Species

Unspecified reactive species

Najia Jeroundi,Charlotte Roy,Laetitia Basset,Pascale Pignon,Laurence Preisser,Simon Blanchard,Cinzia Bocca,Cyril Abadie,Julie Lalande,Naïg Gueguen,Guillaume Mabilleau,Guy Lenaers,Aurélie Moreau,Marie-Christine Copin,Guillaume Tcherkez,Yves Delneste,Dominique Couez,Pascale Jeannin

American journal of translational research 16:27-38 PubMed38322550

2024

Artemether regulates liver glycogen and lipid utilization through mitochondrial pyruvate oxidation in db/db mice.

Applications

Unspecified application

Species

Unspecified reactive species

Wenci Weng,Lingling Shen,Xuewen Yu,Rui Yuan,Mumin Shao,Pengxun Han,Huili Sun

Journal of lipid research 64:100440 PubMed37826876

2023

Metabolic switch from glycogen to lipid in the liver maintains glucose homeostasis in neonatal mice.

Applications

Unspecified application

Species

Unspecified reactive species

Liangkui Li,Haoyu Zhou,Jinhui Wang,Jiaxin Li,Xuchao Lyu,Wenshan Wang,Chengting Luo,He Huang,Dawang Zhou,Xiaowei Chen,Li Xu,Peng Li

Molecular nutrition & food research 66:e2200182 PubMed35972028

2022

Calorie Restriction Enhanced Glycogen Metabolism to Compensate for Lipid Insufficiency.

Applications

Unspecified application

Species

Unspecified reactive species

Lili Hu,Xinyi Xia,Yue Zong,Yunjie Gu,Li Wei,Jun Yin

Molecular metabolism 54:101360 PubMed34673295

2021

Hepatic glycogenolysis is determined by maternal high-calorie diet via methylation of Pygl and it is modified by oteocalcin administration in mice.

Applications

Unspecified application

Species

Unspecified reactive species

Tomoyo Kawakubo-Yasukochi,Ena Yano,Soi Kimura,Takuya Nishinakagawa,Akiko Mizokami,Yoshikazu Hayashi,Yuji Hatakeyama,Kenji Ohe,Atsushi Yasukochi,Seiji Nakamura,Eijiro Jimi,Masato Hirata

Bioengineered 12:6687-6702 PubMed34516362

2021

Long noncoding RNA KCNMB2-AS1 promotes the development of esophageal cancer by modulating the miR-3194-3p/PYGL axis.

Applications

Unspecified application

Species

Unspecified reactive species

Jiwen Xu,Xiaoyan Liu,Xueting Liu,Yunlai Zhi

Frontiers in physiology 12:593129 PubMed33841168

2021

Up-Regulation of Glycogen Synthesis and Degradation Enzyme Level Maintained Myocardial Glycogen in Huddling Brandt's Voles Under Cool Environments.

Applications

Unspecified application

Species

Unspecified reactive species

Jin-Hui Xu,Zhe Wang,Jun-Jie Mou,Chuan-Li Wang,Wei-Mei Huang,Hui-Liang Xue,Ming Wu,Lei Chen,Lai-Xiang Xu

Cell metabolism 33:411-423.e4 PubMed33306983

2020

Neutrophils Fuel Effective Immune Responses through Gluconeogenesis and Glycogenesis.

Applications

Unspecified application

Species

Unspecified reactive species

Pranvera Sadiku,Joseph A Willson,Eilise M Ryan,David Sammut,Patricia Coelho,Emily R Watts,Robert Grecian,Jason M Young,Martin Bewley,Simone Arienti,Ananda S Mirchandani,Manuel A Sanchez Garcia,Tyler Morrison,Ailing Zhang,Leila Reyes,Tobias Griessler,Privjyot Jheeta,Gordon G Paterson,Christopher J Graham,John P Thomson,Kenneth Baillie,A A Roger Thompson,Jessie-May Morgan,Abel Acosta-Sanchez,Veronica M Dardé,Jordi Duran,Joan J Guinovart,Gio Rodriguez-Blanco,Alex Von Kriegsheim,Richard R Meehan,Massimiliano Mazzone,David H Dockrell,Bart Ghesquiere,Peter Carmeliet,Moira K B Whyte,Sarah R Walmsley

Frontiers in microbiology 11:557039 PubMed33329421

2020

Glycogen Phosphorylase: A Drug Target of Amino Alcohols in , Predicted by a Computer-Aided Method.

Applications

Unspecified application

Species

Unspecified reactive species

Congshan Liu,Jianhai Yin,Wei Hu,Haobing Zhang

Cellular oncology (Dordrecht) : PubMed32860207

2020

Co-expression analysis of pancreatic cancer proteome reveals biology and prognostic biomarkers.

Applications

Unspecified application

Species

Unspecified reactive species

G Mantini,A M Vallés,T Y S Le Large,M Capula,N Funel,T V Pham,S R Piersma,G Kazemier,M F Bijlsma,E Giovannetti,C R Jimenez
View all publications

Product promise

We are committed to supporting your work with high-quality reagents, and we're here for you every step of the way. In the unlikely event that one of our products does not perform as expected, you're protected by our Product Promise.
For full details, please see our Terms & Conditions

Please note: All products are 'FOR RESEARCH USE ONLY. NOT FOR USE IN DIAGNOSTIC OR THERAPEUTIC PROCEDURES'.

For licensing inquiries, please contact partnerships@abcam.com