JavaScript is disabled in your browser. Please enable JavaScript to view this website.
AB227043

Anti-PYGL (phospho S15) antibody [EPR20881-72]

Be the first to review this product! Submit a review

|

(9 Publications)

Rabbit Recombinant Monoclonal PYGL phospho S15 antibody. Suitable for IP, Dot, WB, IHC-Fr, IHC-P and reacts with Mouse, Rat samples. Cited in 9 publications.

View Alternative Names

Pygl

9 Images
Immunohistochemistry (Frozen sections) - Anti-PYGL (phospho S15) antibody [EPR20881-72] (AB227043)
  • IHC-Fr

Unknown

Immunohistochemistry (Frozen sections) - Anti-PYGL (phospho S15) antibody [EPR20881-72] (AB227043)

Immunohistochemical analysis of frozen section of 4% PFA-fixed, 0.2% Triton X-100 permeabilised mouse liver tissue tissue labeling PYGL (phospho S15) with ab227043 at 1/100 dilution followed by ab150077 AlexaFluor®488 Goat anti-Rabbit secondary at 1/1000 dilution (Green). Cytoplasmic staining on mouse liver, and no staining upon alkaline phosphatase (AP) treatment for 1 h. The nuclear counter stain is DAPI (Blue).

Secondary antibody only control : Secondary antibody is AlexaFluor®488 Goat anti-Rabbit secondary at 1/1000 dilution.

Heat mediated antigen retrieval using sodium citrate buffer (10mM citrate pH 6.0 + 0.05% Tween-20).

Immunohistochemistry (Frozen sections) - Anti-PYGL (phospho S15) antibody [EPR20881-72] (AB227043)
  • IHC-Fr

Unknown

Immunohistochemistry (Frozen sections) - Anti-PYGL (phospho S15) antibody [EPR20881-72] (AB227043)

Immunohistochemical analysis of frozen section of 4% PFA-fixed, 0.2% Triton X-100 permeabilised rat liver tissue tissue labeling PYGL (phospho S15) with ab227043 at 1/100 dilution followed by ab150077 AlexaFluor®488 Goat anti-Rabbit secondary at 1/1000 dilution (Green). Cytoplasmic staining on rat liver, and no staining upon alkaline phosphatase (AP) treatment for 1 h. The nuclear counter stain is DAPI (Blue).

Secondary antibody only control : Secondary antibody is AlexaFluor®488 Goat anti-Rabbit secondary at 1/1000 dilution.

Heat mediated antigen retrieval using sodium citrate buffer (10mM citrate pH 6.0 + 0.05% Tween-20).

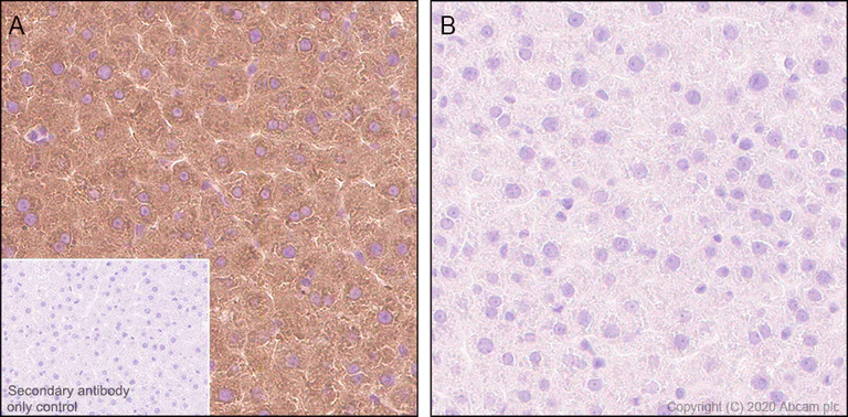
Immunohistochemistry (Formalin/PFA-fixed paraffin-embedded sections) - Anti-PYGL (phospho S15) antibody [EPR20881-72] (AB227043)
  • IHC-P

Unknown

Immunohistochemistry (Formalin/PFA-fixed paraffin-embedded sections) - Anti-PYGL (phospho S15) antibody [EPR20881-72] (AB227043)

Immunohistochemical analysis of paraffin-embedded mouse liver tissue labeling PYGL (phospho S15) with ab227043 at 1/2000 dilution followed by a ready to use Rabbit specific IHC polymer detection kit HRP/DAB (ab209101). Cytoplasmic staining on mouse liver without AP treatment (Panel A), no staining was observed after AP treatment (Panel B).The section was incubated with ab227043 for 30 mins at room temperature.The immunostaining was performed on a Leica Biosystems BOND® RX instrument. Counterstained with Hematoxylin.

Secondary antibody only control : Secondary antibody is a ready to use Rabbit specific IHC polymer detection kit HRP/DAB (ab209101).

Heat mediated antigen retrieval with Tris-EDTA buffer (pH 9.0, epitope retrieval solution2) for 20 mins

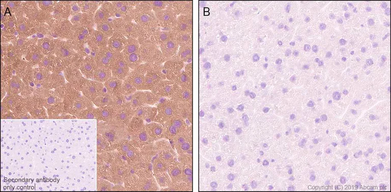
Immunohistochemistry (Formalin/PFA-fixed paraffin-embedded sections) - Anti-PYGL (phospho S15) antibody [EPR20881-72] (AB227043)
  • IHC-P

Unknown

Immunohistochemistry (Formalin/PFA-fixed paraffin-embedded sections) - Anti-PYGL (phospho S15) antibody [EPR20881-72] (AB227043)

Immunohistochemical analysis of paraffin-embedded rat liver tissue labeling PYGL (phospho S15) with ab227043 at 1/2000 dilution followed by a ready to use Rabbit specific IHC polymer detection kit HRP/DAB (ab209101). Cytoplasmic staining on rat liver without AP treatment (Panel A), no staining was observed after AP treatment (Panel B).The section was incubated with ab227043 for 30 mins at room temperature.The immunostaining was performed on a Leica Biosystems BOND® RX instrument. Counterstained with Hematoxylin.

Secondary antibody only control : Secondary antibody is a ready to use Rabbit specific IHC polymer detection kit HRP/DAB (ab209101).

Heat mediated antigen retrieval with Tris-EDTA buffer (pH 9.0, epitope retrieval solution2) for 20 mins

Immunoprecipitation - Anti-PYGL (phospho S15) antibody [EPR20881-72] (AB227043)
  • IP

Unknown

Immunoprecipitation - Anti-PYGL (phospho S15) antibody [EPR20881-72] (AB227043)

PYGL (phospho S15) was immunoprecipitated from 0.35 mg mouse liver lysate with ab227043 at 1/30 dilution (2ug in 0.35mg lysates). Western blot was performed on the immunoprecipitate using ab227043 at 1/500 dilution. VeriBlot for IP Detection Reagent (HRP)(ab131366) was used at 1/5000 dilution.

Lane 1 : Mouse liver lysate 10ug

Lane 2 : ab227043 IP in mouse liver lysate

Lane 3 : Rabbit monoclonal IgG (ab172730) instead of ab227043 in mouse liver lysate

Blocking and dilution buffer and concentration : 5% NFDM/TBST.

Exposure time : 30 seconds

All lanes:

Immunoprecipitation - Anti-PYGL (phospho S15) antibody [EPR20881-72] (ab227043)

Predicted band size: 97 kDa

false

Western blot - Anti-PYGL (phospho S15) antibody [EPR20881-72] (AB227043)
  • WB

Lab

Western blot - Anti-PYGL (phospho S15) antibody [EPR20881-72] (AB227043)

PYGL is abundantly expressed in liver (PMID : 2877458)

All lanes:

Western blot - Anti-PYGL (phospho S15) antibody [EPR20881-72] (ab227043) at 1/1000 dilution

Lane 1:

Mouse liver lysate at 15 µg

Lane 2:

Mouse brain lysate at 15 µg

Lane 3:

Mouse skeletal muscle lysate at 15 µg

Secondary

All lanes:

Western blot - Goat Anti-Rabbit IgG H&L (HRP) (<a href='/en-us/products/secondary-antibodies/goat-rabbit-igg-h-l-hrp-ab97051'>ab97051</a>) at 1/100000 dilution

Predicted band size: 97 kDa

Observed band size: 97 kDa

false

Exposure time: 100s

Western blot - Anti-PYGL (phospho S15) antibody [EPR20881-72] (AB227043)
  • WB

Lab

Western blot - Anti-PYGL (phospho S15) antibody [EPR20881-72] (AB227043)

Blocking and diluting buffer and concentration : 5% NFDM/TBST

Exposure time : 15 seconds

All lanes:

Western blot - Anti-PYGL (phospho S15) antibody [EPR20881-72] (ab227043) at 1/1000 dilution

All lanes:

Mouse P70 liver tissue lysate at 20 µg

Secondary

All lanes:

Goat Anti-Rabbit IgG, (H+L), Peroxidase conjugated (<a href='/en-us/products/secondary-antibodies/goat-rabbit-igg-h-l-hrp-ab97051'>ab97051</a>) at 1/100000 dilution

Predicted band size: 97 kDa

Observed band size: 97 kDa

false

Western blot - Anti-PYGL (phospho S15) antibody [EPR20881-72] (AB227043)
  • WB

Supplier Data

Western blot - Anti-PYGL (phospho S15) antibody [EPR20881-72] (AB227043)

Blocking and dilution buffer : 5% NFDM/TBST.

Exposure time : 10 seconds.

Lysates were kindly provided by Dr Peng Li.

All lanes:

Western blot - Anti-PYGL (phospho S15) antibody [EPR20881-72] (ab227043) at 1/1000 dilution

Lane 1:

Mouse primary hepatocyte whole cell lysate at 20 µg

Lane 2:

Mouse primary hepatocyte (treated with 10 μM forskolin for 10 minutes) whole cell lysate at 20 µg

Secondary

All lanes:

Western blot - Goat Anti-Rabbit IgG H&L (HRP) (<a href='/en-us/products/secondary-antibodies/goat-rabbit-igg-h-l-hrp-ab97051'>ab97051</a>) at 1/100000 dilution

Predicted band size: 97 kDa

Observed band size: 97 kDa

false

Dot Blot - Anti-PYGL (phospho S15) antibody [EPR20881-72] (AB227043)
  • Dot

Supplier Data

Dot Blot - Anti-PYGL (phospho S15) antibody [EPR20881-72] (AB227043)

Dot blot analysis of PYGL (phospho S15) labeled with ab227043 at 1/1000 dilution.

Lane 1 : Mouse PYGL (phospho S15) peptide (aa9-19).
Lane 2 : Mouse PYGL (phospho S15) peptide (aa10-20).
Lane 3 : Mouse PYGL non-phospho peptide (aa9-20).

Goat Anti-Rabbit IgG H&L (HRP) (ab97051) at 1/100000 dilution was used as secondary antibody.

Blocking and dilution buffer : 5% NFDM/TBST.

Exposure time : 3 minutes.

  • Carrier free

    Anti-PYGL (phospho S15) antibody [EPR20881-72] - BSA and Azide free

  • 519 Alexa Fluor® 488

    Alexa Fluor® 488 Anti-PYGL (phospho S15) antibody [EPR20881-72]

  • 578 PE

    PE Anti-PYGL (phospho S15) antibody [EPR20881-72]

  • 665 Alexa Fluor® 647

    Alexa Fluor® 647 Anti-PYGL (phospho S15) antibody [EPR20881-72]

  • 617 Alexa Fluor® 594

    Alexa Fluor® 594 Anti-PYGL (phospho S15) antibody [EPR20881-72]

  • 565 Alexa Fluor® 555

    Alexa Fluor® 555 Anti-PYGL (phospho S15) antibody [EPR20881-72]

  • 660 APC

    APC Anti-PYGL (phospho S15) antibody [EPR20881-72]

  • 775 Alexa Fluor® 750

    Alexa Fluor® 750 Anti-PYGL (phospho S15) antibody [EPR20881-72]

Key facts

Host species

Rabbit

Clonality

Monoclonal

Clone number

EPR20881-72

Isotype

IgG

Carrier free

No

Reacts with

Mouse, Rat

Applications

IHC-P, WB, IP, IHC-Fr, Dot

applications

Immunogen

The exact immunogen used to generate this antibody is proprietary information.

Reactivity data

{ "title": "Reactivity Data", "filters": { "stats": ["", "Species", "Dilution Info", "Notes"], "tabs": { "all-applications": {"fullname" : "All Applications", "shortname": "All Applications"}, "IP" : {"fullname" : "Immunoprecipitation", "shortname":"IP"}, "Dot" : {"fullname" : "Dot Blot", "shortname":"Dot"}, "WB" : {"fullname" : "Western blot", "shortname":"WB"}, "IHCFr" : {"fullname" : "Immunohistochemistry (Frozen sections)", "shortname":"IHC-Fr"}, "IHCP" : {"fullname" : "Immunohistochemistry (Formalin/PFA-fixed paraffin-embedded sections)", "shortname":"IHC-P"} }, "product-promise": { "all": "all", "testedAndGuaranteed": "tested", "guaranteed": "expected", "predicted": "predicted", "notRecommended": "not-recommended" } }, "values": { "Human": { "IP-species-checked": "notRecommended", "IP-species-dilution-info": "1/30", "IP-species-notes": "<p></p>", "Dot-species-checked": "notRecommended", "Dot-species-dilution-info": "", "Dot-species-notes": "", "WB-species-checked": "notRecommended", "WB-species-dilution-info": "1/1000", "WB-species-notes": "<p></p>", "IHCFr-species-checked": "notRecommended", "IHCFr-species-dilution-info": "", "IHCFr-species-notes": "", "IHCP-species-checked": "notRecommended", "IHCP-species-dilution-info": "1/2000", "IHCP-species-notes": "<p></p> Perform heat-mediated antigen retrieval with Tris/EDTA buffer pH 9.0 before commencing with IHC staining protocol." }, "Mouse": { "IP-species-checked": "testedAndGuaranteed", "IP-species-dilution-info": "1/30", "IP-species-notes": "<p></p>", "Dot-species-checked": "testedAndGuaranteed", "Dot-species-dilution-info": "1/1000", "Dot-species-notes": "<p></p>", "WB-species-checked": "testedAndGuaranteed", "WB-species-dilution-info": "1/1000", "WB-species-notes": "<p></p>", "IHCFr-species-checked": "testedAndGuaranteed", "IHCFr-species-dilution-info": "1/100", "IHCFr-species-notes": "<p>Heat mediated antigen retrieval using sodium citrate buffer (10mM citrate pH 6.0 + 0.05% Tween-20).</p>", "IHCP-species-checked": "testedAndGuaranteed", "IHCP-species-dilution-info": "1/2000", "IHCP-species-notes": "<p></p> Perform heat-mediated antigen retrieval with Tris/EDTA buffer pH 9.0 before commencing with IHC staining protocol." }, "Rat": { "IP-species-checked": "guaranteed", "IP-species-dilution-info": "", "IP-species-notes": "", "Dot-species-checked": "guaranteed", "Dot-species-dilution-info": "", "Dot-species-notes": "", "WB-species-checked": "notRecommended", "WB-species-dilution-info": "1/1000", "WB-species-notes": "<p></p>", "IHCFr-species-checked": "testedAndGuaranteed", "IHCFr-species-dilution-info": "1/100", "IHCFr-species-notes": "<p>Heat mediated antigen retrieval using sodium citrate buffer (10mM citrate pH 6.0 + 0.05% Tween-20).</p>", "IHCP-species-checked": "testedAndGuaranteed", "IHCP-species-dilution-info": "1/2000", "IHCP-species-notes": "<p></p> Perform heat-mediated antigen retrieval with Tris/EDTA buffer pH 9.0 before commencing with IHC staining protocol." } } }

Product details

Patented technology
Our RabMAb® technology is a patented hybridoma-based technology for making rabbit monoclonal antibodies. For details on our patents, please refer to RabMAb® patents.

What are the advantages of a recombinant monoclonal antibody?
This product is a recombinant monoclonal antibody, which offers several advantages including:

  • - High batch-to-batch consistency and reproducibility
  • - Improved sensitivity and specificity
  • - Long-term security of supply
  • - Animal-free batch production

For more information, read more on recombinant antibodies.

Properties and storage information

Form
Liquid
Purification technique
Affinity purification Protein A
Storage buffer
pH: 7.2 - 7.4 Preservative: 0.01% Sodium azide Constituents: PBS, 40% Glycerol (glycerin, glycerine), 0.05% BSA
Shipped at conditions
Blue Ice
Appropriate short-term storage duration
1-2 weeks
Appropriate short-term storage conditions
+4°C
Appropriate long-term storage conditions
-20°C
Aliquoting information
Upon delivery aliquot
Storage information
Avoid freeze / thaw cycle

Supplementary information

This supplementary information is collated from multiple sources and compiled automatically.

PYGL also known as glycogen phosphorylase liver form is an enzyme with a monomeric mass of around 97 kDa. Mechanically PYGL catalyzes the breakdown of glycogen into glucose-1-phosphate by cleaving alpha-14-glycosidic bonds. This enzyme primarily operates in the liver where it plays a critical role in regulating glucose release into the bloodstream. PYGL's activity is tightly controlled by hormonal signals which ensure proper glucose levels.
Biological function summary

The enzyme plays a major role in maintaining energy homeostasis by mobilizing glucose from glycogen stores during fasting states. It does not function as part of a larger complex operating instead as a homodimer when activated. PYGL is critical for the liver's ability to supply glucose to other organs when dietary glucose is not available. Proper functioning of PYGL helps maintain a balance between glucose storage and release contributing to overall metabolic equilibrium.

Pathways

PYGL has a notable role in glycogenolysis a process that liberates stored glycogen as glucose-1-phosphate. This enzyme also connects with gluconeogenesis where it impacts the production of glucose from non-carbohydrate sources. In these pathways its activity often intersects with other enzymes namely phosphoglucomutase and glucose-6-phosphatase which further process the products of PYGL’s activity.

PYGL is associated with conditions such as Hers disease a glycogen storage disease caused by a deficiency in hepatic glycogen phosphorylase. This leads to excessive glycogen accumulation in the liver and resultant hypoglycemia. Additionally abnormal PYGL activity relates to type 2 diabetes where altered glycogen metabolism impacts insulin response and glucose homeostasis. In these contexts it maintains functional connections with proteins like insulin receptor and glycogen synthase which together influence carbohydrate metabolism balance.

Product protocols

For this product, it's our understanding that no specific protocols are required. You can visit:

Target data

Allosteric enzyme that catalyzes the rate-limiting step in glycogen catabolism, the phosphorolytic cleavage of glycogen to produce glucose-1-phosphate, and plays a central role in maintaining cellular and organismal glucose homeostasis.
See full target information Pygl phospho S15

Publications (9)

Recent publications for all applications. Explore the full list and refine your search

Nature communications 15:2719 PubMed38548794

2024

Architecture and activation of human muscle phosphorylase kinase.

Applications

WB

Species

Human

Xiaoke Yang,Mingqi Zhu,Xue Lu,Yuxin Wang,Junyu Xiao

The Journal of clinical investigation 133: PubMed38099490

2023

Aryl hydrocarbon receptor sulfenylation promotes glycogenolysis and rescues cancer chemoresistance.

Applications

WB, IHC

Species

Human, Human

Nannan Zhou,Jie Chen,Zheng Ling,Chaoqi Zhang,Yabo Zhou,Dianheng Wang,Li Zhou,Zhenfeng Wang,Nan Sun,Xin Wang,Huafeng Zhang,Ke Tang,Jingwei Ma,Jiadi Lv,Bo Huang

Journal of lipid research 64:100440 PubMed37826876

2023

Metabolic switch from glycogen to lipid in the liver maintains glucose homeostasis in neonatal mice.

Applications

WB

Species

Mouse

Liangkui Li,Haoyu Zhou,Jinhui Wang,Jiaxin Li,Xuchao Lyu,Wenshan Wang,Chengting Luo,He Huang,Dawang Zhou,Xiaowei Chen,Li Xu,Peng Li

Cell reports 42:112578 PubMed37267108

2023

Mutant IDH regulates glycogen metabolism from early cartilage development to malignant chondrosarcoma formation.

Applications

Unspecified application

Species

Unspecified reactive species

Sinthu Pathmanapan,Raymond Poon,Tomasa Barrientos De Renshaw,Puviindran Nadesan,Makoto Nakagawa,Gireesh A Seesankar,Adrian Kwan Ho Loe,Hongyuan H Zhang,Joan J Guinovart,Jordi Duran,Christopher B Newgard,Jay S Wunder,Benjamin A Alman

Frontiers in oncology 13:1162406 PubMed37182147

2023

Prognostic biomarker CCR6 and its correlation with immune infiltration in cutaneous melanoma.

Applications

Unspecified application

Species

Unspecified reactive species

Yeltai Nurzat,Damao Dai,Julong Hu,Feiyu Zhang,Zaihuan Lin,Yang Huang,Liang Gang,Hang Ji,Xiaowen Zhang

Molecular nutrition & food research 66:e2200182 PubMed35972028

2022

Calorie Restriction Enhanced Glycogen Metabolism to Compensate for Lipid Insufficiency.

Applications

Unspecified application

Species

Unspecified reactive species

Lili Hu,Xinyi Xia,Yue Zong,Yunjie Gu,Li Wei,Jun Yin

Redox biology 56:102420 PubMed35969998

2022

Vitamin C deficiency induces hypoglycemia and cognitive disorder through S-nitrosylation-mediated activation of glycogen synthase kinase 3β.

Applications

WB, IHC

Species

Mouse, Mouse

Yingying Shu,Chaochun Zou,Yuqing Cai,Qiangqiang He,Xiaowei Wu,Haibin Zhu,Meiyu Qv,Yunqi Chao,Chengyun Xu,Lanfang Tang,Ximei Wu

Journal of the American Society of Nephrology : JASN 33:1864-1875 PubMed35820785

2022

Dapagliflozin Prevents Kidney Glycogen Accumulation and Improves Renal Proximal Tubule Cell Functions in a Mouse Model of Glycogen Storage Disease Type 1b.

Applications

Unspecified application

Species

Unspecified reactive species

Mariavittoria D'Acierno,Roberta Resaz,Anna Iervolino,Rikke Nielsen,Donato Sardella,Sabrina Siccardi,Vincenzo Costanzo,Luciano D'Apolito,Yoko Suzumoto,Daniela Segalerba,Simonetta Astigiano,Alessandra F Perna,Giovambattista Capasso,Alessandra Eva,Francesco Trepiccione

Aging cell 21:e13667 PubMed35811457

2022

Glycogen accumulation in adipocyte precursors from elderly and obese subjects triggers inflammation via SIRT1/6 signaling.

Applications

WB

Species

Human

Margarida Terrón-Puig,Isabel Huber-Ruano,Joan Sabadell-Basallote,Miriam Ejarque,Catalina Núñez-Roa,Elsa Maymó-Masip,Rosa Jorba,Carolina Serena,Joan Vendrell,Sonia Fernández-Veledo
View all publications

Product promise

We are committed to supporting your work with high-quality reagents, and we're here for you every step of the way. In the unlikely event that one of our products does not perform as expected, you're protected by our Product Promise.
For full details, please see our Terms & Conditions

Please note: All products are 'FOR RESEARCH USE ONLY. NOT FOR USE IN DIAGNOSTIC OR THERAPEUTIC PROCEDURES'.

For licensing inquiries, please contact partnerships@abcam.com