JavaScript is disabled in your browser. Please enable JavaScript to view this website.
AB256553

Anti-PYGL (phospho S15) antibody [EPR20881-72] - BSA and Azide free

Be the first to review this product! Submit a review

|

(0 Publication)

Rabbit Recombinant Monoclonal PYGL phospho S15 antibody. Carrier free. Suitable for IP, Dot, WB, IHC-Fr, IHC-P and reacts with Mouse, Rat, Synthetic peptide - Mouse samples.

View Alternative Names

Pygl

6 Images
Immunohistochemistry (Frozen sections) - Anti-PYGL (phospho S15) antibody [EPR20881-72] - BSA and Azide free (AB256553)
  • IHC-Fr

Unknown

Immunohistochemistry (Frozen sections) - Anti-PYGL (phospho S15) antibody [EPR20881-72] - BSA and Azide free (AB256553)

Immunohistochemical analysis of 4% PFA-fixed, 0.2% Triton X-100 permeabilized frozen rat liver tissue labeling PYGL (phospho S15) with ab227043 at 100 dilution followed by ab150077 AlexaFluor®488 Goat anti-Rabbit secondary at 1000 dilution (Green). Cytoplasmic staining on rat liver, and no staining upon alkaline phosphatase (AP) treatment for 1 h. is observed. The nuclear counterstain was DAPI (Blue).

Secondary antibody control : Secondary antibody is ab150077 AlexaFluor®488 Goat anti-Rabbit secondaryat 1000 dilution.

Heat mediated antigen retrieval using sodium citrate buffer (10mM citrate pH 6.0 + 0.05% Tween-20).

This data was developed using the same antibody clone in a different buffer formulation containing PBS, BSA, glycerol, and sodium azide (ab227043).

Immunohistochemistry (Frozen sections) - Anti-PYGL (phospho S15) antibody [EPR20881-72] - BSA and Azide free (AB256553)
  • IHC-Fr

Unknown

Immunohistochemistry (Frozen sections) - Anti-PYGL (phospho S15) antibody [EPR20881-72] - BSA and Azide free (AB256553)

Immunohistochemical analysis of 4% PFA-fixed, 0.2% Triton X-100 permeabilized frozen mouse liver tissue labeling PYGL (phospho S15) with ab227043 at 100 dilution followed by ab150077 AlexaFluor®488 Goat anti-Rabbit secondary at 1000 dilution (Green). Cytoplasmic staining on mouse liver, and no staining upon alkaline phosphatase (AP) treatment for 1 h. is observed. The nuclear counterstain was DAPI (Blue).

Secondary antibody control : Secondary antibody is ab150077 AlexaFluor®488 Goat anti-Rabbit secondary at 1000 dilution.

Heat mediated antigen retrieval using sodium citrate buffer (10mM citrate pH 6.0 + 0.05% Tween-20).

This data was developed using the same antibody clone in a different buffer formulation containing PBS, BSA, glycerol, and sodium azide (ab227043).

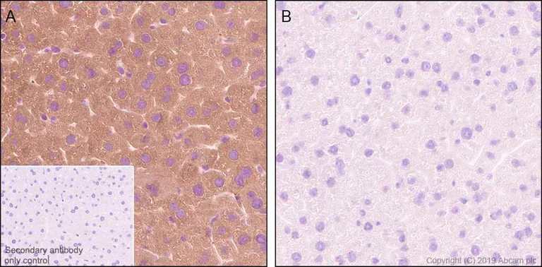
Immunohistochemistry (Formalin/PFA-fixed paraffin-embedded sections) - Anti-PYGL (phospho S15) antibody [EPR20881-72] - BSA and Azide free (AB256553)
  • IHC-P

Unknown

Immunohistochemistry (Formalin/PFA-fixed paraffin-embedded sections) - Anti-PYGL (phospho S15) antibody [EPR20881-72] - BSA and Azide free (AB256553)

Immunohistochemical analysis of paraffin-embedded Rat liver tissue labeling PYGL (phospho S15) with ab227043 at 1/2000 dilution followed by a ready to use Rabbit specific IHC polymer detection kit HRP/DAB (ab209101). Cytoplasmic staining on rat liver without AP treatment (Panel A), no staining was observed after AP treatment (Panel B).The section was incubated with ab227043 for 30 mins at room temperature.The immunostaining was performed on a Leica Biosystems BOND® RX instrument. Counterstained with Hematoxylin.

Secondary antibody only control : Secondary antibody is a ready to use Rabbit specific IHC polymer detection kit HRP/DAB (ab209101).

Heat mediated antigen retrieval with Tris-EDTA buffer (pH 9.0, epitope retrieval solution2) for 20 mins

This data was developed using the same antibody clone in a different buffer formulation containing PBS, BSA, glycerol, and sodium azide (ab227043).

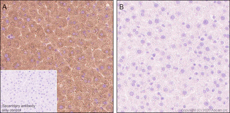
Immunohistochemistry (Formalin/PFA-fixed paraffin-embedded sections) - Anti-PYGL (phospho S15) antibody [EPR20881-72] - BSA and Azide free (AB256553)
  • IHC-P

Unknown

Immunohistochemistry (Formalin/PFA-fixed paraffin-embedded sections) - Anti-PYGL (phospho S15) antibody [EPR20881-72] - BSA and Azide free (AB256553)

Immunohistochemical analysis of paraffin-embedded mouse liver tissue labeling PYGL (phospho S15) with ab227043 at 1/2000 dilution followed by a ready to use Rabbit specific IHC polymer detection kit HRP/DAB (ab209101). Cytoplasmic staining on mouse liver without AP treatment (Panel A), no staining was observed after AP treatment (Panel B).The section was incubated with ab227043 for 30 mins at room temperature.The immunostaining was performed on a Leica Biosystems BOND® RX instrument. Counterstained with Hematoxylin.

Secondary antibody only control : Secondary antibody is a ready to use Rabbit specific IHC polymer detection kit HRP/DAB (ab209101).

Heat mediated antigen retrieval with Tris-EDTA buffer (pH 9.0, epitope retrieval solution2) for 20 mins

This data was developed using the same antibody clone in a different buffer formulation containing PBS, BSA, glycerol, and sodium azide (ab227043).

Immunoprecipitation - Anti-PYGL (phospho S15) antibody [EPR20881-72] - BSA and Azide free (AB256553)
  • IP

Unknown

Immunoprecipitation - Anti-PYGL (phospho S15) antibody [EPR20881-72] - BSA and Azide free (AB256553)

PYGL (phospho S15) was immunoprecipitated from 0.35 mg mouse liver lysate with ab227043 at 1/30 dilution (2ug in 0.35mg lysates). Western blot was performed on the immunoprecipitate using ab227043 at 1/500 dilution. VeriBlot for IP Detection Reagent (HRP)(ab131366) was used at 1/5000 dilution.

Lane 1 : Mouse liver lysate 10ug

Lane 2 : ab227043 IP in mouse liver lysate

Lane 3 : Rabbit monoclonal IgG (ab172730) instead of ab227043 in mouse liver lysate

Blocking and dilution buffer and concentration : 5% NFDM/TBST.

Exposure time : 30 seconds

This data was developed using the same antibody clone in a different buffer formulation containing PBS, BSA, glycerol, and sodium azide (ab227043).

All lanes:

Immunoprecipitation - Anti-PYGL (phospho S15) antibody [EPR20881-72] (<a href='/en-us/products/primary-antibodies/pygl-phospho-s15-antibody-epr20881-72-ab227043'>ab227043</a>)

Predicted band size: 97 kDa

false

Dot Blot - Anti-PYGL (phospho S15) antibody [EPR20881-72] - BSA and Azide free (AB256553)
  • Dot

Supplier Data

Dot Blot - Anti-PYGL (phospho S15) antibody [EPR20881-72] - BSA and Azide free (AB256553)

Dot blot analysis of PYGL (phospho S15) labeled with ab227043 at 1/1000 dilution.

Lane 1 : Mouse PYGL (phospho S15) peptide (aa9-19).
Lane 2 : Mouse PYGL (phospho S15) peptide (aa10-20).
Lane 3 : Mouse PYGL non-phospho peptide (aa9-20).

Goat Anti-Rabbit IgG H&L (HRP) (ab97051) at 1/100000 dilution was used as secondary antibody.

Blocking and dilution buffer : 5% NFDM/TBST.

Exposure time : 3 minutes.

This data was developed using the same antibody clone in a different buffer formulation containing PBS, BSA, glycerol, and sodium azide (ab227043).

  • Unconjugated

    Anti-PYGL (phospho S15) antibody [EPR20881-72]

  • 565 Alexa Fluor® 555

    Alexa Fluor® 555 Anti-PYGL (phospho S15) antibody [EPR20881-72]

  • 617 Alexa Fluor® 594

    Alexa Fluor® 594 Anti-PYGL (phospho S15) antibody [EPR20881-72]

  • 660 APC

    APC Anti-PYGL (phospho S15) antibody [EPR20881-72]

  • 519 Alexa Fluor® 488

    Alexa Fluor® 488 Anti-PYGL (phospho S15) antibody [EPR20881-72]

  • 578 PE

    PE Anti-PYGL (phospho S15) antibody [EPR20881-72]

  • 665 Alexa Fluor® 647

    Alexa Fluor® 647 Anti-PYGL (phospho S15) antibody [EPR20881-72]

  • 775 Alexa Fluor® 750

    Alexa Fluor® 750 Anti-PYGL (phospho S15) antibody [EPR20881-72]

Key facts

Host species

Rabbit

Clonality

Monoclonal

Clone number

EPR20881-72

Isotype

IgG

Carrier free

Yes

Reacts with

Mouse, Rat

Applications

IP, IHC-Fr, Dot, WB, IHC-P

applications

Immunogen

The exact immunogen used to generate this antibody is proprietary information.

Reactivity data

{ "title": "Reactivity Data", "filters": { "stats": ["", "Species", "Dilution Info", "Notes"], "tabs": { "all-applications": {"fullname" : "All Applications", "shortname": "All Applications"}, "IP" : {"fullname" : "Immunoprecipitation", "shortname":"IP"}, "Dot" : {"fullname" : "Dot Blot", "shortname":"Dot"}, "WB" : {"fullname" : "Western blot", "shortname":"WB"}, "IHCFr" : {"fullname" : "Immunohistochemistry (Frozen sections)", "shortname":"IHC-Fr"}, "IHCP" : {"fullname" : "Immunohistochemistry (Formalin/PFA-fixed paraffin-embedded sections)", "shortname":"IHC-P"} }, "product-promise": { "all": "all", "testedAndGuaranteed": "tested", "guaranteed": "expected", "predicted": "predicted", "notRecommended": "not-recommended" } }, "values": { "Human": { "IP-species-checked": "notRecommended", "IP-species-dilution-info": "", "IP-species-notes": "<p></p>", "Dot-species-checked": "notRecommended", "Dot-species-dilution-info": "", "Dot-species-notes": "", "WB-species-checked": "notRecommended", "WB-species-dilution-info": "", "WB-species-notes": "<p></p>", "IHCFr-species-checked": "notRecommended", "IHCFr-species-dilution-info": "", "IHCFr-species-notes": "", "IHCP-species-checked": "notRecommended", "IHCP-species-dilution-info": "", "IHCP-species-notes": "<p></p> Perform heat-mediated antigen retrieval with Tris/EDTA buffer pH 9.0 before commencing with IHC staining protocol." }, "Mouse": { "IP-species-checked": "testedAndGuaranteed", "IP-species-dilution-info": "", "IP-species-notes": "<p></p>", "Dot-species-checked": "guaranteed", "Dot-species-dilution-info": "", "Dot-species-notes": "", "WB-species-checked": "guaranteed", "WB-species-dilution-info": "", "WB-species-notes": "<p></p>", "IHCFr-species-checked": "testedAndGuaranteed", "IHCFr-species-dilution-info": "", "IHCFr-species-notes": "<p>Heat mediated antigen retrieval using sodium citrate buffer (10mM citrate pH 6.0 + 0.05% Tween-20).</p>", "IHCP-species-checked": "guaranteed", "IHCP-species-dilution-info": "", "IHCP-species-notes": "" }, "Rat": { "IP-species-checked": "guaranteed", "IP-species-dilution-info": "", "IP-species-notes": "", "Dot-species-checked": "guaranteed", "Dot-species-dilution-info": "", "Dot-species-notes": "", "WB-species-checked": "notRecommended", "WB-species-dilution-info": "", "WB-species-notes": "<p></p>", "IHCFr-species-checked": "guaranteed", "IHCFr-species-dilution-info": "", "IHCFr-species-notes": "", "IHCP-species-checked": "testedAndGuaranteed", "IHCP-species-dilution-info": "", "IHCP-species-notes": "<p></p> Perform heat-mediated antigen retrieval with Tris/EDTA buffer pH 9.0 before commencing with IHC staining protocol." }, "Synthetic peptide - Mouse": { "IP-species-checked": "notRecommended", "IP-species-dilution-info": "", "IP-species-notes": "", "Dot-species-checked": "testedAndGuaranteed", "Dot-species-dilution-info": "", "Dot-species-notes": "<p></p>", "WB-species-checked": "notRecommended", "WB-species-dilution-info": "", "WB-species-notes": "", "IHCFr-species-checked": "notRecommended", "IHCFr-species-dilution-info": "", "IHCFr-species-notes": "", "IHCP-species-checked": "notRecommended", "IHCP-species-dilution-info": "", "IHCP-species-notes": "" } } }

Product details

ab256553 is the carrier-free version of ab227043.

Patented technology
Our RabMAb® technology is a patented hybridoma-based technology for making rabbit monoclonal antibodies. For details on our patents, please refer to RabMAb® patents.

What are the advantages of a recombinant monoclonal antibody?
This product is a recombinant monoclonal antibody, which offers several advantages including:

  • - High batch-to-batch consistency and reproducibility
  • - Improved sensitivity and specificity
  • - Long-term security of supply
  • - Animal-free batch production

For more information, read more on recombinant antibodies.

Conjugation ready
Our carrier-free antibodies are typically supplied in a PBS-only formulation, purified and free of BSA, sodium azide and glycerol. This conjugation-ready format is designed for use with fluorochromes, metal isotopes, oligonucleotides, and enzymes, which makes them ideal for antibody labelling, functional and cell-based assays, flow-based assays (e.g. mass cytometry) and Multiplex Imaging applications.

Use our conjugation kits for antibody conjugates that are ready-to-use in as little as 20 minutes with 1 minute hands-on-time and 100% antibody recovery: available for fluorescent dyes, HRP, biotin and gold.

Compatibility
This product is compatible with the Maxpar® Antibody Labeling Kit from Fluidigm, without the need for antibody preparation. Maxpar® is a trademark of Fluidigm Canada Inc.

Properties and storage information

Form
Liquid
Purification technique
Affinity purification Protein A
Storage buffer
pH: 7.2 - 7.4 Constituents: PBS
Shipped at conditions
Blue Ice
Appropriate short-term storage conditions
+4°C
Appropriate long-term storage conditions
+4°C
Storage information
Do Not Freeze

Supplementary information

This supplementary information is collated from multiple sources and compiled automatically.

PYGL also known as glycogen phosphorylase liver form is an enzyme with a monomeric mass of around 97 kDa. Mechanically PYGL catalyzes the breakdown of glycogen into glucose-1-phosphate by cleaving alpha-14-glycosidic bonds. This enzyme primarily operates in the liver where it plays a critical role in regulating glucose release into the bloodstream. PYGL's activity is tightly controlled by hormonal signals which ensure proper glucose levels.
Biological function summary

The enzyme plays a major role in maintaining energy homeostasis by mobilizing glucose from glycogen stores during fasting states. It does not function as part of a larger complex operating instead as a homodimer when activated. PYGL is critical for the liver's ability to supply glucose to other organs when dietary glucose is not available. Proper functioning of PYGL helps maintain a balance between glucose storage and release contributing to overall metabolic equilibrium.

Pathways

PYGL has a notable role in glycogenolysis a process that liberates stored glycogen as glucose-1-phosphate. This enzyme also connects with gluconeogenesis where it impacts the production of glucose from non-carbohydrate sources. In these pathways its activity often intersects with other enzymes namely phosphoglucomutase and glucose-6-phosphatase which further process the products of PYGL’s activity.

PYGL is associated with conditions such as Hers disease a glycogen storage disease caused by a deficiency in hepatic glycogen phosphorylase. This leads to excessive glycogen accumulation in the liver and resultant hypoglycemia. Additionally abnormal PYGL activity relates to type 2 diabetes where altered glycogen metabolism impacts insulin response and glucose homeostasis. In these contexts it maintains functional connections with proteins like insulin receptor and glycogen synthase which together influence carbohydrate metabolism balance.

Product protocols

For this product, it's our understanding that no specific protocols are required. You can visit:

Target data

Allosteric enzyme that catalyzes the rate-limiting step in glycogen catabolism, the phosphorolytic cleavage of glycogen to produce glucose-1-phosphate, and plays a central role in maintaining cellular and organismal glucose homeostasis.
See full target information Pygl phospho S15

Product promise

We are committed to supporting your work with high-quality reagents, and we're here for you every step of the way. In the unlikely event that one of our products does not perform as expected, you're protected by our Product Promise.
For full details, please see our Terms & Conditions

Please note: All products are 'FOR RESEARCH USE ONLY. NOT FOR USE IN DIAGNOSTIC OR THERAPEUTIC PROCEDURES'.

For licensing inquiries, please contact partnerships@abcam.com