JavaScript is disabled in your browser. Please enable JavaScript to view this website.
AB314429

Anti-PYGL (phospho S430) + PYGM (phospho S430) antibody [EPR20852-26] - BSA and Azide free

Be the first to review this product! Submit a review

|

(0 Publication)

Rabbit Recombinant Monoclonal PYGL phospho S430 antibody. Carrier free. Suitable for WB, IP, Dot and reacts with Human, Mouse, Rat, Synthetic peptide samples.

View Alternative Names

Pygl

8 Images
Immunoprecipitation - Anti-PYGL (phospho S430) + PYGM (phospho S430) antibody [EPR20852-26] - BSA and Azide free (AB314429)
  • IP

Supplier Data

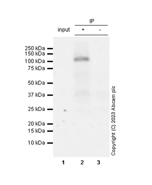
Immunoprecipitation - Anti-PYGL (phospho S430) + PYGM (phospho S430) antibody [EPR20852-26] - BSA and Azide free (AB314429)

This data was developed using ab314428, the same antibody clone in a different buffer formulation.

PYGL (phospho S430) + PYGM (phospho S430) was immunoprecipitated from 0.35 mg Human liver tissue lysate with ab314428 at 1/30 dilution (2ug in 0.35mg lysates). Western blot was performed on the immunoprecipitate using ab314428 at 1/1000 dilution. VeriBlot for IP secondary antibody(HRP)(ab131366) was used at 1/1000 dilution.

Lane 1 : Human liver tissue lysate

Lane 2 : ab314428 at 1/30 IP in Human liver tissue lysate

Lane 3 : Rabbit monoclonal IgG (ab172730) instead of ab314428 in human liver tissue lysate

Blocking and dilution buffer and concentration : 5% NFDM/TBST.

This blot was developed using a high sensitivity ECL substrate. The high-sensitivity ECL substrate used allows for the detection of proteins in the mid-femtogram range.

All lanes:

Immunoprecipitation - Anti-PYGL (phospho S430) + PYGM (phospho S430) antibody [EPR20852-26] (<a href='/en-us/products/primary-antibodies/pygl-phospho-s430-pygm-phospho-s430-antibody-epr20852-26-ab314428'>ab314428</a>) at 1/1000 dilution

Lane 1:

Human liver tissue lysate at 10 µg

Lane 2:

<a href='/en-us/products/primary-antibodies/pygl-phospho-s430-pygm-phospho-s430-antibody-epr20852-26-ab314428'>ab314428</a> at 1/30 IP in Human liver tissue lysate at 10 µg

Secondary

All lanes:

Immunoprecipitation - VeriBlot for IP Detection Reagent (HRP) (<a href='/en-us/products/reagents/veriblot-for-ip-detection-reagent-hrp-ab131366'>ab131366</a>) at 1/1000 dilution

true

Exposure time: 67s

Immunoprecipitation - Anti-PYGL (phospho S430) + PYGM (phospho S430) antibody [EPR20852-26] - BSA and Azide free (AB314429)
  • IP

Supplier Data

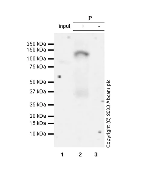
Immunoprecipitation - Anti-PYGL (phospho S430) + PYGM (phospho S430) antibody [EPR20852-26] - BSA and Azide free (AB314429)

This data was developed using ab314428, the same antibody clone in a different buffer formulation.

PYGL (phospho S430) + PYGM (phospho S430) was immunoprecipitated from 0.35 mg Rat liver tissue lysate with ab314428 at 1/30 dilution (2ug in 0.35mg lysates). Western blot was performed on the immunoprecipitate using ab314428 at 1/1000 dilution. VeriBlot for IP secondary antibody(HRP)(ab131366) was used at 1/1000 dilution.

Lane 1 : Rat liver tissue lysate

Lane 2 : ab314428 at 1/30 IP in Rat liver tissue lysate

Lane 3 : Rabbit monoclonal IgG (ab172730) instead of ab314428 in rat liver tissue lysate

Blocking and dilution buffer and concentration : 5% NFDM/TBST.

This blot was developed using a high sensitivity ECL substrate. The high-sensitivity ECL substrate used allows for the detection of proteins in the mid-femtogram range.

All lanes:

Immunoprecipitation - Anti-PYGL (phospho S430) + PYGM (phospho S430) antibody [EPR20852-26] (<a href='/en-us/products/primary-antibodies/pygl-phospho-s430-pygm-phospho-s430-antibody-epr20852-26-ab314428'>ab314428</a>) at 1/1000 dilution

Lane 1:

Rat liver tissue lysate at 10 µg

Lane 2:

<a href='/en-us/products/primary-antibodies/pygl-phospho-s430-pygm-phospho-s430-antibody-epr20852-26-ab314428'>ab314428</a> at 1/30 IP in Rat liver tissue lysate at 10 µg

Secondary

All lanes:

Immunoprecipitation - VeriBlot for IP Detection Reagent (HRP) (<a href='/en-us/products/reagents/veriblot-for-ip-detection-reagent-hrp-ab131366'>ab131366</a>) at 1/1000 dilution

true

Exposure time: 67s

Immunoprecipitation - Anti-PYGL (phospho S430) + PYGM (phospho S430) antibody [EPR20852-26] - BSA and Azide free (AB314429)
  • IP

Supplier Data

Immunoprecipitation - Anti-PYGL (phospho S430) + PYGM (phospho S430) antibody [EPR20852-26] - BSA and Azide free (AB314429)

This data was developed using ab314428, the same antibody clone in a different buffer formulation.

PYGL (phospho S430) + PYGM (phospho S430) was immunoprecipitated from 0.35 mg Mouse liver tissue lysate with ab314428 at 1/30 dilution (2ug in 0.35mg lysates). Western blot was performed on the immunoprecipitate using ab314428 at 1/1000 dilution. VeriBlot for IP secondary antibody(HRP)(ab131366) was used at 1/5000 dilution.

Lane 1 : Mouse liver tissue lysate

Lane 2 : ab314428 at 1/30 IP in Mouse liver tissue lysate

Lane 3 : Rabbit monoclonal IgG (ab172730) instead of ab314428 in mouse liver tissue lysate

Blocking and dilution buffer and concentration : 5% NFDM/TBST.

This blot was developed using a high sensitivity ECL substrate. The high-sensitivity ECL substrate used allows for the detection of proteins in the mid-femtogram range.

All lanes:

Immunoprecipitation - Anti-PYGL (phospho S430) + PYGM (phospho S430) antibody [EPR20852-26] (<a href='/en-us/products/primary-antibodies/pygl-phospho-s430-pygm-phospho-s430-antibody-epr20852-26-ab314428'>ab314428</a>) at 1/1000 dilution

Lane 1:

Mouse liver tissue lysate at 10 µg

Lane 2:

<a href='/en-us/products/primary-antibodies/pygl-phospho-s430-pygm-phospho-s430-antibody-epr20852-26-ab314428'>ab314428</a> at 1/30 IP in mouse liver tissue lysate at 10 µg

Secondary

All lanes:

Immunoprecipitation - VeriBlot for IP Detection Reagent (HRP) (<a href='/en-us/products/reagents/veriblot-for-ip-detection-reagent-hrp-ab131366'>ab131366</a>) at 1/5000 dilution

true

Exposure time: 180s

Western blot - Anti-PYGL (phospho S430) + PYGM (phospho S430) antibody [EPR20852-26] - BSA and Azide free (AB314429)
  • WB

Supplier Data

Western blot - Anti-PYGL (phospho S430) + PYGM (phospho S430) antibody [EPR20852-26] - BSA and Azide free (AB314429)

This data was developed using ab314428, the same antibody clone in a different buffer formulation. Blocking and diluting buffer and concentration : 5% NFDM/TBST The identities of the additional bands at 150 kDa and between 75 and 10 kDa is unknown

All lanes:

Western blot - Anti-PYGL (phospho S430) + PYGM (phospho S430) antibody [EPR20852-26] (<a href='/en-us/products/primary-antibodies/pygl-phospho-s430-pygm-phospho-s430-antibody-epr20852-26-ab314428'>ab314428</a>) at 1/1000 dilution

Lane 1:

HepG2 (human hepatocellar carcinoma epithelial cell) whole cell lysate at 20 µg

Lane 2:

HaCaT (human skin keratinocyte) whole cell lysate at 20 µg

Lane 3:

A-204 (human muscle rhabdomyosarcoma cell) whole cell lysate at 20 µg

Secondary

All lanes:

Western blot - Goat Anti-Rabbit IgG H&L (HRP) (<a href='/en-us/products/secondary-antibodies/goat-rabbit-igg-h-l-hrp-ab97051'>ab97051</a>) at 1/20000 dilution

Observed band size: 97 kDa

true

Exposure time: 125s

Western blot - Anti-PYGL (phospho S430) + PYGM (phospho S430) antibody [EPR20852-26] - BSA and Azide free (AB314429)
  • WB

Supplier Data

Western blot - Anti-PYGL (phospho S430) + PYGM (phospho S430) antibody [EPR20852-26] - BSA and Azide free (AB314429)

This data was developed using ab314428, the same antibody clone in a different buffer formulation. Blocking and diluting buffer and concentration : 5% NFDM/TBST In Western blot, Anti-GAPDH antibody [EPR16891] - Loading Control (ab181602) staining at 1/200000 dilution.

All lanes:

Western blot - Anti-PYGL (phospho S430) + PYGM (phospho S430) antibody [EPR20852-26] (<a href='/en-us/products/primary-antibodies/pygl-phospho-s430-pygm-phospho-s430-antibody-epr20852-26-ab314428'>ab314428</a>) at 1/1000 dilution

Lane 1:

Human liver tissue lysate (untreated membrane) at 20 µg

Lane 2:

Human liver tissue lysate (Alkaline phosphatase treated membrane) at 20 µg

Secondary

All lanes:

Western blot - Goat Anti-Rabbit IgG H&L (HRP) (<a href='/en-us/products/secondary-antibodies/goat-rabbit-igg-h-l-hrp-ab97051'>ab97051</a>) at 1/20000 dilution

Observed band size: 97 kDa

true

Exposure time: 180s

Western blot - Anti-PYGL (phospho S430) + PYGM (phospho S430) antibody [EPR20852-26] - BSA and Azide free (AB314429)
  • WB

Supplier Data

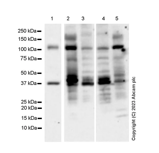
Western blot - Anti-PYGL (phospho S430) + PYGM (phospho S430) antibody [EPR20852-26] - BSA and Azide free (AB314429)

This data was developed using ab314428, the same antibody clone in a different buffer formulation. Blocking and diluting buffer and concentration : 5% NFDM/TBST The identities of the additional bands at 150 kDa and between 75 and 10 kDa is unknown.

All lanes:

Western blot - Anti-PYGL (phospho S430) + PYGM (phospho S430) antibody [EPR20852-26] (<a href='/en-us/products/primary-antibodies/pygl-phospho-s430-pygm-phospho-s430-antibody-epr20852-26-ab314428'>ab314428</a>) at 1/1000 dilution

Lane 1:

Human liver tissue lysate at 20 µg

Lane 2:

Mouse liver tissue lysate at 20 µg

Lane 3:

Mouse skeletal muscle tissue lysate at 20 µg

Lane 4:

Rat skeletal muscle tissue lysate at 20 µg

Lane 5:

Rat liver tissue lysate at 20 µg

Secondary

All lanes:

Western blot - Goat Anti-Rabbit IgG H&L (HRP) (<a href='/en-us/products/secondary-antibodies/goat-rabbit-igg-h-l-hrp-ab97051'>ab97051</a>) at 1/20000 dilution

Observed band size: 97 kDa

true

Exposure time: 180s

Western blot - Anti-PYGL (phospho S430) + PYGM (phospho S430) antibody [EPR20852-26] - BSA and Azide free (AB314429)
  • WB

Supplier Data

Western blot - Anti-PYGL (phospho S430) + PYGM (phospho S430) antibody [EPR20852-26] - BSA and Azide free (AB314429)

This data was developed using ab314428, the same antibody clone in a different buffer formulation. Blocking and diluting buffer and concentration : 5% NFDM/TBST In Western blot, Anti-GAPDH antibody [EPR16891] - Loading Control (ab181602) staining at 1/200000 dilution.

All lanes:

Western blot - Anti-PYGL (phospho S430) + PYGM (phospho S430) antibody [EPR20852-26] (<a href='/en-us/products/primary-antibodies/pygl-phospho-s430-pygm-phospho-s430-antibody-epr20852-26-ab314428'>ab314428</a>) at 1/1000 dilution

Lane 1:

Mouse liver tissue lysate (untreated membrane) at 20 µg

Lane 2:

Rat liver tissue lysate (untreated membrane) at 20 µg

Lane 3:

Mouse liver tissue lysate (Alkaline phosphatase treated membrane) at 20 µg

Lane 4:

Rat liver tissue lysate (Alkaline phosphatase treated membrane) at 20 µg

Secondary

All lanes:

Goat Anti-Rabbit IgG (HRP) with minimal cross-reactivity with human IgG at 1/2000 dilution

Observed band size: 97 kDa

true

Exposure time: 180s

Dot Blot - Anti-PYGL (phospho S430) + PYGM (phospho S430) antibody [EPR20852-26] - BSA and Azide free (AB314429)
  • Dot

Supplier Data

Dot Blot - Anti-PYGL (phospho S430) + PYGM (phospho S430) antibody [EPR20852-26] - BSA and Azide free (AB314429)

This data was developed using ab314428, the same antibody clone in a different buffer formulation. Dot blot analysis of PYGL (phospho S430) + PYGM (phospho S430) using ab314428 at 1 : 1000 (0.526 ug/ml) followed by a Goat Anti-Rabbit IgG, (H+L), Peroxidase conjugated (ab97051) at 1 : 100,000 dilution. Exposure time : 180 seconds Blocking and diluting buffer and concentration : 5% NFDM/TBST

  • Unconjugated

    Anti-PYGL (phospho S430) + PYGM (phospho S430) antibody [EPR20852-26]

Key facts

Host species

Rabbit

Clonality

Monoclonal

Clone number

EPR20852-26

Isotype

IgG

Carrier free

Yes

Reacts with

Human, Mouse, Rat

Applications

WB, IP, Dot

applications

Immunogen

The exact immunogen used to generate this antibody is proprietary information.

Reactivity data

{ "title": "Reactivity Data", "filters": { "stats": ["", "Species", "Dilution Info", "Notes"], "tabs": { "all-applications": {"fullname" : "All Applications", "shortname": "All Applications"}, "WB" : {"fullname" : "Western blot", "shortname":"WB"}, "IP" : {"fullname" : "Immunoprecipitation", "shortname":"IP"}, "Dot" : {"fullname" : "Dot Blot", "shortname":"Dot"}, "FlowCytIntra" : {"fullname" : "Flow Cytometry (Intracellular)", "shortname":"Flow Cyt (Intra)"}, "IHCP" : {"fullname" : "Immunohistochemistry (Formalin/PFA-fixed paraffin-embedded sections)", "shortname":"IHC-P"}, "ICCIF" : {"fullname" : "Immunocytochemistry/ Immunofluorescence", "shortname":"ICC/IF"} }, "product-promise": { "all": "all", "testedAndGuaranteed": "tested", "guaranteed": "expected", "predicted": "predicted", "notRecommended": "not-recommended" } }, "values": { "Human": { "WB-species-checked": "testedAndGuaranteed", "WB-species-dilution-info": "", "WB-species-notes": "<p></p>", "IP-species-checked": "testedAndGuaranteed", "IP-species-dilution-info": "", "IP-species-notes": "<p></p>", "Dot-species-checked": "guaranteed", "Dot-species-dilution-info": "", "Dot-species-notes": "", "FlowCytIntra-species-checked": "notRecommended", "FlowCytIntra-species-dilution-info": "", "FlowCytIntra-species-notes": "<p></p>", "IHCP-species-checked": "notRecommended", "IHCP-species-dilution-info": "", "IHCP-species-notes": "<p></p>", "ICCIF-species-checked": "notRecommended", "ICCIF-species-dilution-info": "", "ICCIF-species-notes": "<p></p>" }, "Mouse": { "WB-species-checked": "testedAndGuaranteed", "WB-species-dilution-info": "", "WB-species-notes": "<p></p>", "IP-species-checked": "testedAndGuaranteed", "IP-species-dilution-info": "", "IP-species-notes": "<p></p>", "Dot-species-checked": "guaranteed", "Dot-species-dilution-info": "", "Dot-species-notes": "", "FlowCytIntra-species-checked": "notRecommended", "FlowCytIntra-species-dilution-info": "", "FlowCytIntra-species-notes": "", "IHCP-species-checked": "notRecommended", "IHCP-species-dilution-info": "", "IHCP-species-notes": "<p></p>", "ICCIF-species-checked": "notRecommended", "ICCIF-species-dilution-info": "", "ICCIF-species-notes": "" }, "Rat": { "WB-species-checked": "testedAndGuaranteed", "WB-species-dilution-info": "", "WB-species-notes": "<p></p>", "IP-species-checked": "testedAndGuaranteed", "IP-species-dilution-info": "", "IP-species-notes": "<p></p>", "Dot-species-checked": "guaranteed", "Dot-species-dilution-info": "", "Dot-species-notes": "", "FlowCytIntra-species-checked": "notRecommended", "FlowCytIntra-species-dilution-info": "", "FlowCytIntra-species-notes": "", "IHCP-species-checked": "notRecommended", "IHCP-species-dilution-info": "", "IHCP-species-notes": "<p></p>", "ICCIF-species-checked": "notRecommended", "ICCIF-species-dilution-info": "", "ICCIF-species-notes": "" }, "Synthetic peptide": { "WB-species-checked": "notRecommended", "WB-species-dilution-info": "", "WB-species-notes": "", "IP-species-checked": "notRecommended", "IP-species-dilution-info": "", "IP-species-notes": "", "Dot-species-checked": "testedAndGuaranteed", "Dot-species-dilution-info": "", "Dot-species-notes": "<p></p>", "FlowCytIntra-species-checked": "notRecommended", "FlowCytIntra-species-dilution-info": "", "FlowCytIntra-species-notes": "", "IHCP-species-checked": "notRecommended", "IHCP-species-dilution-info": "", "IHCP-species-notes": "", "ICCIF-species-checked": "notRecommended", "ICCIF-species-dilution-info": "", "ICCIF-species-notes": "" } } }

Product details

ab314429 is the carrier-free version of ab314428.

Patented technology
Our RabMAb® technology is a patented hybridoma-based technology for making rabbit monoclonal antibodies. For details on our patents, please refer to RabMAb® patents.

What are the advantages of a recombinant monoclonal antibody?
This product is a recombinant monoclonal antibody, which offers several advantages including:

  • - High batch-to-batch consistency and reproducibility
  • - Improved sensitivity and specificity
  • - Long-term security of supply
  • - Animal-free batch production

For more information, read more on recombinant antibodies.

Conjugation ready
Our carrier-free antibodies are typically supplied in a PBS-only formulation, purified and free of BSA, sodium azide and glycerol. This conjugation-ready format is designed for use with fluorochromes, metal isotopes, oligonucleotides, and enzymes, which makes them ideal for antibody labelling, functional and cell-based assays, flow-based assays (e.g. mass cytometry) and Multiplex Imaging applications.

Use our conjugation kits for antibody conjugates that are ready-to-use in as little as 20 minutes with 1 minute hands-on-time and 100% antibody recovery: available for fluorescent dyes, HRP, biotin and gold.

Compatibility
This product is compatible with the Maxpar® Antibody Labeling Kit from Fluidigm, without the need for antibody preparation. Maxpar® is a trademark of Fluidigm Canada Inc.

Properties and storage information

Form
Liquid
Purification technique
Affinity purification Protein A
Storage buffer
pH: 7.2 - 7.4 Constituents: PBS
Shipped at conditions
Blue Ice
Appropriate short-term storage conditions
+4°C
Appropriate long-term storage conditions
+4°C

Supplementary information

This supplementary information is collated from multiple sources and compiled automatically.

PYGL (phospho S430) and PYGM (phospho S430) are phosphorylated forms of the enzymes glycogen phosphorylase liver (PYGL) and muscle (PYGM). These enzymes play fundamental roles in glycogen metabolism catalyzing the breakdown of glycogen into glucose-1-phosphate which can then be converted to glucose-6-phosphate for energy production. The phosphorylated form at the serine 430 residue is significant for regulation. PYGL is predominantly expressed in liver tissues while PYGM is found mainly in skeletal muscle. The mass of PYGL is approximately 97 kDa and PYGM is around 97 kDa as well.
Biological function summary

Glycogen phosphorylases participate in the glycogenolysis process providing energy during fasting or muscular activity. The enzymes operate as dimers or tetramers forming more active configurations when phosphorylated. PYGL helps maintain blood sugar levels during fasting by releasing glucose from liver glycogen stores. PYGM facilitates glucose availability during muscle contraction. Both forms influence energy balance and metabolic responses.

Pathways

Both PYGL and PYGM are central to carbohydrate metabolism and energy homeostasis. They are key components of the glycogen breakdown pathway which intersects with glycolysis. These enzymes interact with proteins like AMP-activated protein kinase (AMPK) which influences their activity through phosphorylation status. This regulation connects to pathways like the insulin signaling pathway controlling glucose production and uptake.

Glycogen phosphorylase activity associates with conditions like McArdle disease and Hers disease. McArdle disease involves a deficiency of PYGM leading to muscle pain and exercise intolerance. Conversely Hers disease results from deficient PYGL activity causing hypoglycemia and liver enlargement. In these conditions the malfunction of either PYGL or PYGM disrupts normal glycogen metabolism linking them to altered energy states and organ function.

Product protocols

For this product, it's our understanding that no specific protocols are required. You can visit:

Target data

Allosteric enzyme that catalyzes the rate-limiting step in glycogen catabolism, the phosphorolytic cleavage of glycogen to produce glucose-1-phosphate, and plays a central role in maintaining cellular and organismal glucose homeostasis.
See full target information Pygl phospho S430

Additional targets

Pygm phospho S430

Product promise

We are committed to supporting your work with high-quality reagents, and we're here for you every step of the way. In the unlikely event that one of our products does not perform as expected, you're protected by our Product Promise.
For full details, please see our Terms & Conditions

Please note: All products are 'FOR RESEARCH USE ONLY. NOT FOR USE IN DIAGNOSTIC OR THERAPEUTIC PROCEDURES'.

For licensing inquiries, please contact partnerships@abcam.com