JavaScript is disabled in your browser. Please enable JavaScript to view this website.
AB316319

Anti-PYGO2 antibody [EPR27168-186] - BSA and Azide free

Be the first to review this product! Submit a review

|

(0 Publication)

Rabbit Recombinant Monoclonal PYGO2 antibody. Carrier free. Suitable for WB, ICC/IF, Flow Cyt (Intra), IHC-P and reacts with Transfected cell lysate - Human, Human, Mouse, Rat samples.

View Alternative Names

PP7910, PYGO2, Pygopus homolog 2

9 Images
Flow Cytometry (Intracellular) - Anti-PYGO2 antibody [EPR27168-186] - BSA and Azide free (AB316319)
  • Flow Cyt (Intra)

Supplier Data

Flow Cytometry (Intracellular) - Anti-PYGO2 antibody [EPR27168-186] - BSA and Azide free (AB316319)

This data was developed using ab316318, the same antibody clone in a different buffer formulation.

Flow cytometric analysis of 4% paraformaldehyde fixed 90% methanol permeabilized HeLa (human cervical adenocarcinoma epithelial cell) cells labelling PYGO2 with ab316318 at 1/500 dilution (0.1 ug)/Red compared with a Rabbit monoclonal IgG (ab172730) (Black) isotype control and an unlabelled control (cells without incubation with primary antibody and secondary antibody) (Blue).

Goat Anti-Rabbit IgG (Alexa Fluor® 488, ab150081) at 1/5000 dilution was used as the secondary antibody.

Immunohistochemistry (Formalin/PFA-fixed paraffin-embedded sections) - Anti-PYGO2 antibody [EPR27168-186] - BSA and Azide free (AB316319)
  • IHC-P

Supplier Data

Immunohistochemistry (Formalin/PFA-fixed paraffin-embedded sections) - Anti-PYGO2 antibody [EPR27168-186] - BSA and Azide free (AB316319)

This data was developed using ab316318, the same antibody clone in a different buffer formulation.

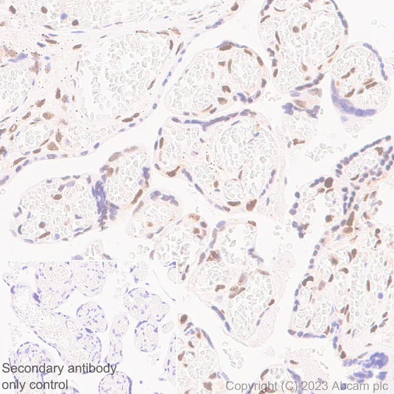
Immunohistochemical analysis of paraffin-embedded Human placenta tissue labeling PYGO2 with ab316318 at 1/5000 (0.103 ug/ml) dilution, followed by a ready to use LeicaDS9800 (Bond™ Polymer Refine Detection).

Nuclear staining on human placenta.
The section was incubated with ab316318 for 30 mins at room temperature.
The immunostaining was performed on a Leica Biosystems BOND® RX instrument.

Counterstained with Hematoxylin.

Secondary antibody only control : Secondary antibody is a ready to use LeicaDS9800 (Bond™ Polymer Refine Detection).

Heat mediated antigen retrieval was performed with Tris-EDTA buffer (pH 9.0, Epitope Retrieval Solution2) for 20 mins

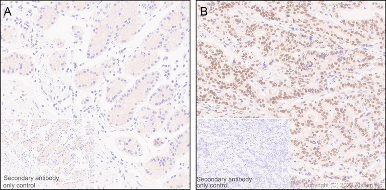
Immunohistochemistry (Formalin/PFA-fixed paraffin-embedded sections) - Anti-PYGO2 antibody [EPR27168-186] - BSA and Azide free (AB316319)
  • IHC-P

Supplier Data

Immunohistochemistry (Formalin/PFA-fixed paraffin-embedded sections) - Anti-PYGO2 antibody [EPR27168-186] - BSA and Azide free (AB316319)

This data was developed using ab316318, the same antibody clone in a different buffer formulation.

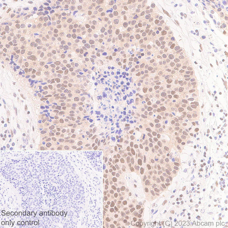
Immunohistochemical analysis of paraffin-embedded Panel A. Human normal stomach Panel B. Human gastric cancer tissue labeling PYGO2 with ab316318 at 1/5000 (0.103 ug/ml) dilution, followed by a ready to use LeicaDS9800 (Bond™ Polymer Refine Detection).

Nearly no staining on human normal stomach (Panel. A), nuclear staining on human gastric cancer (Panel. B) (PMID : 23865714).
The two images come from same donor's tumour and adjacent normal.
The section was incubated with ab316318 for 30 mins at room temperature.
The immunostaining was performed on a Leica Biosystems BOND® RX instrument.

Counterstained with Hematoxylin.

Secondary antibody only control : Secondary antibody is a ready to use LeicaDS9800 (Bond™ Polymer Refine Detection).

Heat mediated antigen retrieval was performed with Tris-EDTA buffer (pH 9.0, Epitope Retrieval Solution2) for 20 mins

Immunohistochemistry (Formalin/PFA-fixed paraffin-embedded sections) - Anti-PYGO2 antibody [EPR27168-186] - BSA and Azide free (AB316319)
  • IHC-P

Supplier Data

Immunohistochemistry (Formalin/PFA-fixed paraffin-embedded sections) - Anti-PYGO2 antibody [EPR27168-186] - BSA and Azide free (AB316319)

This data was developed using ab316318, the same antibody clone in a different buffer formulation.

Immunohistochemical analysis of paraffin-embedded Human lung cancer tissue labeling PYGO2 with ab316318 at 1/5000 (0.103 ug/ml) dilution, followed by a ready to use LeicaDS9800 (Bond™ Polymer Refine Detection).

Positive staining on human lung cancer (PMID : 23865714)
The section was incubated with ab316318 for 30 mins at room temperature.
The immunostaining was performed on a Leica Biosystems BOND® RX instrument.

Counterstained with Hematoxylin.

Secondary antibody only control : Secondary antibody is a ready to use LeicaDS9800 (Bond™ Polymer Refine Detection).

Heat mediated antigen retrieval was performed with Tris-EDTA buffer (pH 9.0, Epitope Retrieval Solution2) for 20 mins

Immunocytochemistry/ Immunofluorescence - Anti-PYGO2 antibody [EPR27168-186] - BSA and Azide free (AB316319)
  • ICC/IF

Supplier Data

Immunocytochemistry/ Immunofluorescence - Anti-PYGO2 antibody [EPR27168-186] - BSA and Azide free (AB316319)

This data was developed using ab316318, the same antibody clone in a different buffer formulation.

Immunofluorescent analysis of 4% Paraformaldehyde-fixed, 0.1% TritonX-100 permeabilized HeLa (human cervical adenocarcinoma epithelial cell) cells labelling PYGO2 with ab316318 at 1/100 (5.13 ug/ml) dilution, followed by ab150081 Goat Anti-Rabbit IgG H&L (Alexa Fluor® 488) preadsorbed antibody at 1/1000 (2 ug/ml) dilution (Green).

Confocal image showing mainly nuclear staining in HeLa cell line.
Image was taken with a confocal microscope(Leica-Microsystems, TCS SP8).

ab195889 Anti-alpha Tubulin mouse monoclonal antibody - Microtubule Marker (Alexa Fluor® 594) was used to counterstain tubulin at 1/200 (2.5ug/ml) dilution (Red). The Nuclear counterstain was DAPI (Blue).

Secondary antibody only control : Secondary antibody is ab150081 Goat Anti-Rabbit IgG H&L (Alexa Fluor® 488) preadsorbed at 1/1000 (2 ug/ml) dilution.

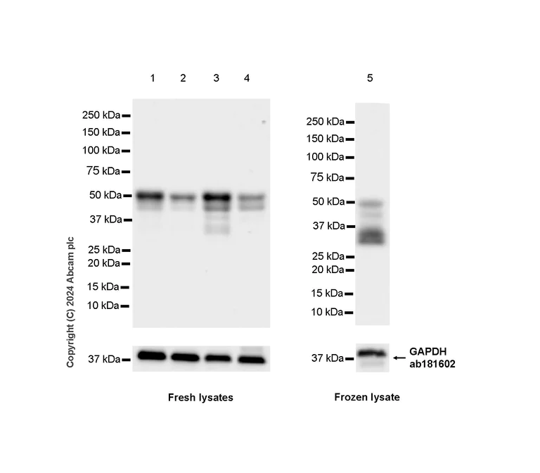
Western blot - Anti-PYGO2 antibody [EPR27168-186] - BSA and Azide free (AB316319)
  • WB

Supplier Data

Western blot - Anti-PYGO2 antibody [EPR27168-186] - BSA and Azide free (AB316319)

This data was developed using ab316318, the same antibody clone in a different buffer formulation.

In lane 5, the lysate was stored at -80°C prior to Western Blotting. In lane 1, 2, 3 & 4, lysates were freshly made and used for Western Blotting immediately to minimize protein degradation

In Western blot, Anti-GAPDH antibody [EPR16891] - Loading Control (ab181602) staining at 1/200000 dilution.

Exposure time : Lane 1-4 : 26 seconds; Lane 5 : 37 seconds

All lanes:

Western blot - Anti-PYGO2 antibody [EPR27168-186] (<a href='/en-us/products/primary-antibodies/pygo2-antibody-epr27168-186-ab316318'>ab316318</a>) at 1/1000 dilution

Lane 1:

HeLa (human cervical adenocarcinoma epithelial cell) whole cell lysate at 20 µg

Lane 2:

293T (human embryonic kidney epithelial cell) whole cell lysate at 20 µg

Lanes 3 and 5:

NIH/3T3 (mouse embryonic fibroblast) whole cell lysate at 20 µg

Lane 4:

PC-12 (rat adrenal gland pheochromocytoma cell) whole cell lysate at 20 µg

Secondary

All lanes:

Western blot - Goat Anti-Rabbit IgG H&L (HRP) (<a href='/en-us/products/secondary-antibodies/goat-rabbit-igg-h-l-hrp-ab97051'>ab97051</a>) at 1/100000 dilution

Observed band size: 50 kDa,36 kDa

false

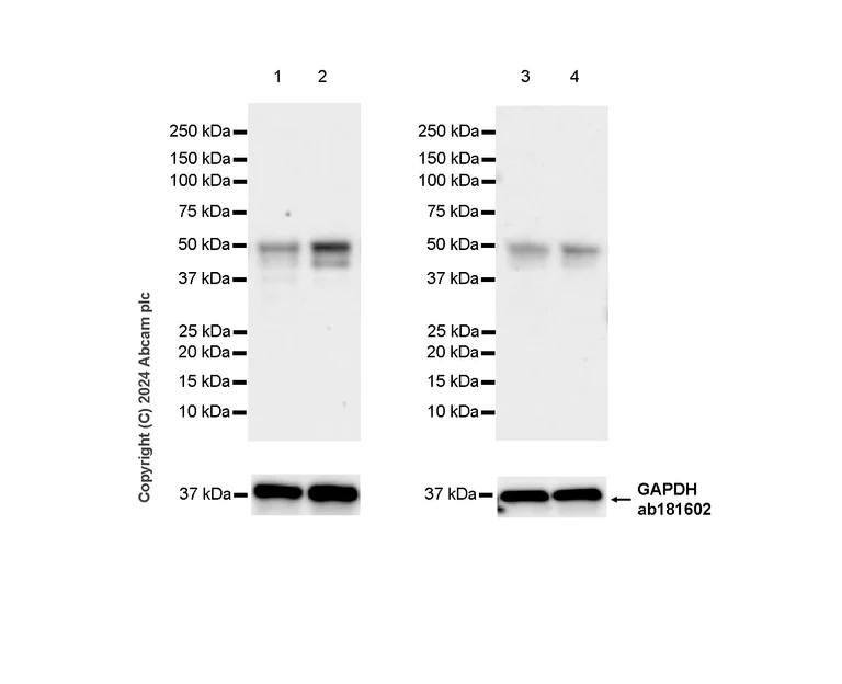
Western blot - Anti-PYGO2 antibody [EPR27168-186] - BSA and Azide free (AB316319)
  • WB

Supplier Data

Western blot - Anti-PYGO2 antibody [EPR27168-186] - BSA and Azide free (AB316319)

This data was developed using ab316318, the same antibody clone in a different buffer formulation.

Lysates were freshly made and used for Western blotting immediately to minimize protein degradation.

In Western blot, Anti-GAPDH antibody [EPR16891] - Loading Control (ab181602) staining at 1/200000 dilution.

All lanes:

Western blot - Anti-PYGO2 antibody [EPR27168-186] (<a href='/en-us/products/primary-antibodies/pygo2-antibody-epr27168-186-ab316318'>ab316318</a>) at 1/1000 dilution

Lane 1:

HeLa (human cervix adenocarcinoma epithelial cell) transfected with scrambled siRNA control whole cell lysate at 20 µg

Lane 2:

HeLa transfected with siRNA specifically targeting human PYGO2 whole cell lysate at 20 µg

Secondary

All lanes:

Western blot - Goat Anti-Rabbit IgG H&L (HRP) (<a href='/en-us/products/secondary-antibodies/goat-rabbit-igg-h-l-hrp-ab97051'>ab97051</a>) at 1/100000 dilution

Observed band size: 50 kDa,36 kDa

false

Exposure time: 92s

Western blot - Anti-PYGO2 antibody [EPR27168-186] - BSA and Azide free (AB316319)
  • WB

Supplier Data

Western blot - Anti-PYGO2 antibody [EPR27168-186] - BSA and Azide free (AB316319)

This data was developed using ab316318, the same antibody clone in a different buffer formulation.

Lysates were freshly made and used for Western blotting immediately to minimize protein degradation.

In Western blot, Anti-GAPDH antibody [EPR16891] - Loading Control (ab181602) staining at 1/200000 dilution.

All lanes:

Western blot - Anti-PYGO2 antibody [EPR27168-186] (<a href='/en-us/products/primary-antibodies/pygo2-antibody-epr27168-186-ab316318'>ab316318</a>) at 1/1000 dilution

Lane 1:

Mouse liver tissue lysate at 20 µg

Lane 2:

Mouse testis tissue lysate at 20 µg

Lane 3:

Rat liver tissue lysate at 20 µg

Lane 4:

Rat testis tissue lysate at 20 µg

Secondary

All lanes:

Western blot - Goat Anti-Rabbit IgG H&L (HRP) (<a href='/en-us/products/secondary-antibodies/goat-rabbit-igg-h-l-hrp-ab97051'>ab97051</a>) at 1/100000 dilution

Observed band size: 50 kDa,36 kDa

false

Exposure time: 103s

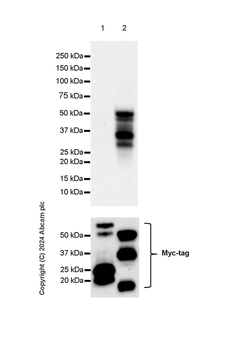
Western blot - Anti-PYGO2 antibody [EPR27168-186] - BSA and Azide free (AB316319)
  • WB

Supplier Data

Western blot - Anti-PYGO2 antibody [EPR27168-186] - BSA and Azide free (AB316319)

This data was developed using ab316318, the same antibody clone in a different buffer formulation.

In Western blot, Anti-Myc tag mAb staining at 1/10000 dilution.

All lanes:

Western blot - Anti-PYGO2 antibody [EPR27168-186] (<a href='/en-us/products/primary-antibodies/pygo2-antibody-epr27168-186-ab316318'>ab316318</a>) at 1/1000 dilution

Lane 1:

293T (human embryonic kidney epithelial cell) cells transfected with human PYGO1 expression vector containing a myc-His-tag®, whole cell lysate at 10 µg

Lane 2:

293T cells transfected with human PYGO2 expression vector containing a myc-His-tag®, whole cell lysate at 10 µg

Secondary

All lanes:

Western blot - Goat Anti-Rabbit IgG H&L (HRP) (<a href='/en-us/products/secondary-antibodies/goat-rabbit-igg-h-l-hrp-ab97051'>ab97051</a>) at 1/100000 dilution

Observed band size: 50 kDa

false

Exposure time: 10s

Key facts

Host species

Rabbit

Clonality

Monoclonal

Clone number

EPR27168-186

Isotype

IgG

Carrier free

Yes

Reacts with

Human, Mouse, Rat

Applications

ICC/IF, WB, IHC-P, Flow Cyt (Intra)

applications

Immunogen

The exact immunogen used to generate this antibody is proprietary information.

Reactivity data

{ "title": "Reactivity Data", "filters": { "stats": ["", "Species", "Dilution Info", "Notes"], "tabs": { "all-applications": {"fullname" : "All Applications", "shortname": "All Applications"}, "WB" : {"fullname" : "Western blot", "shortname":"WB"}, "ICCIF" : {"fullname" : "Immunocytochemistry/ Immunofluorescence", "shortname":"ICC/IF"}, "FlowCytIntra" : {"fullname" : "Flow Cytometry (Intracellular)", "shortname":"Flow Cyt (Intra)"}, "IHCP" : {"fullname" : "Immunohistochemistry (Formalin/PFA-fixed paraffin-embedded sections)", "shortname":"IHC-P"}, "IP" : {"fullname" : "Immunoprecipitation", "shortname":"IP"} }, "product-promise": { "all": "all", "testedAndGuaranteed": "tested", "guaranteed": "expected", "predicted": "predicted", "notRecommended": "not-recommended" } }, "values": { "Human": { "WB-species-checked": "testedAndGuaranteed", "WB-species-dilution-info": "", "WB-species-notes": "<p></p>", "ICCIF-species-checked": "testedAndGuaranteed", "ICCIF-species-dilution-info": "", "ICCIF-species-notes": "<p></p>", "FlowCytIntra-species-checked": "testedAndGuaranteed", "FlowCytIntra-species-dilution-info": "", "FlowCytIntra-species-notes": "<p></p>", "IHCP-species-checked": "testedAndGuaranteed", "IHCP-species-dilution-info": "", "IHCP-species-notes": "<p></p>", "IP-species-checked": "notRecommended", "IP-species-dilution-info": "", "IP-species-notes": "<p></p>" }, "Mouse": { "WB-species-checked": "testedAndGuaranteed", "WB-species-dilution-info": "", "WB-species-notes": "<p></p>", "ICCIF-species-checked": "guaranteed", "ICCIF-species-dilution-info": "", "ICCIF-species-notes": "", "FlowCytIntra-species-checked": "guaranteed", "FlowCytIntra-species-dilution-info": "", "FlowCytIntra-species-notes": "", "IHCP-species-checked": "guaranteed", "IHCP-species-dilution-info": "", "IHCP-species-notes": "", "IP-species-checked": "notRecommended", "IP-species-dilution-info": "", "IP-species-notes": "" }, "Rat": { "WB-species-checked": "testedAndGuaranteed", "WB-species-dilution-info": "", "WB-species-notes": "<p></p>", "ICCIF-species-checked": "guaranteed", "ICCIF-species-dilution-info": "", "ICCIF-species-notes": "", "FlowCytIntra-species-checked": "guaranteed", "FlowCytIntra-species-dilution-info": "", "FlowCytIntra-species-notes": "", "IHCP-species-checked": "guaranteed", "IHCP-species-dilution-info": "", "IHCP-species-notes": "", "IP-species-checked": "notRecommended", "IP-species-dilution-info": "", "IP-species-notes": "" }, "Transfected cell lysate - Human": { "WB-species-checked": "testedAndGuaranteed", "WB-species-dilution-info": "", "WB-species-notes": "<p></p>", "ICCIF-species-checked": "notRecommended", "ICCIF-species-dilution-info": "", "ICCIF-species-notes": "", "FlowCytIntra-species-checked": "notRecommended", "FlowCytIntra-species-dilution-info": "", "FlowCytIntra-species-notes": "", "IHCP-species-checked": "notRecommended", "IHCP-species-dilution-info": "", "IHCP-species-notes": "", "IP-species-checked": "notRecommended", "IP-species-dilution-info": "", "IP-species-notes": "" } } }

Product details

ab316319 is the carrirer-free version of ab316318.

Patented technology
Our RabMAb® technology is a patented hybridoma-based technology for making rabbit monoclonal antibodies. For details on our patents, please refer to RabMAb® patents.

What are the advantages of a recombinant monoclonal antibody?
This product is a recombinant monoclonal antibody, which offers several advantages including:

  • - High batch-to-batch consistency and reproducibility
  • - Improved sensitivity and specificity
  • - Long-term security of supply
  • - Animal-free batch production

For more information, read more on recombinant antibodies.

Conjugation ready
Our carrier-free antibodies are typically supplied in a PBS-only formulation, purified and free of BSA, sodium azide and glycerol. This conjugation-ready format is designed for use with fluorochromes, metal isotopes, oligonucleotides, and enzymes, which makes them ideal for antibody labelling, functional and cell-based assays, flow-based assays (e.g. mass cytometry) and Multiplex Imaging applications.

Use our conjugation kits for antibody conjugates that are ready-to-use in as little as 20 minutes with 1 minute hands-on-time and 100% antibody recovery: available for fluorescent dyes, HRP, biotin and gold.

Compatibility
This product is compatible with the Maxpar® Antibody Labeling Kit from Fluidigm, without the need for antibody preparation. Maxpar® is a trademark of Fluidigm Canada Inc.

Properties and storage information

Form
Liquid
Purification technique
Affinity purification Protein A
Storage buffer
pH: 7.2 - 7.4 Constituents: PBS
Shipped at conditions
Blue Ice
Appropriate short-term storage conditions
+4°C
Appropriate long-term storage conditions
+4°C

Supplementary information

This supplementary information is collated from multiple sources and compiled automatically.

PYGO2 also known as Pygopus family PHD finger 2 is a nuclear protein involved in gene transcription. This protein has a molecular mass of approximately 45 kDa. PYGO2 localizes mainly in the nucleus and it is expressed in several tissues particularly in those with high proliferation demands like embryonic tissues or certain tumor cells. Its role in transcription is linked to its ability to bind to histones and recruit other transcriptional cofactors facilitating the assembly of transcriptional machinery at specific genomic sites.
Biological function summary

This protein plays a significant role in gene expression regulation functioning as a component of the Wnt signaling pathway. PYGO2 works in a transcriptional complex with other proteins including BCL9 to regulate gene transcription that is important for cell proliferation and differentiation. The interaction with BCL9 is critical for stabilizing the multiprotein complexes involved in transcriptional activation indicating the importance of PYGO2 in developmental processes.

Pathways

PYGO2 serves a critical function in the canonical Wnt signaling pathway which is vital in controlling the expression of target genes related to cell growth and development. The Wnt pathway requires the cooperation of PYGO2 with LEF/TCF transcription factors and β-catenin allowing them to operate as an activated complex. The interaction with β-catenin highlights PYGO2's role in translating extracellular Wnt signals into gene transcription responses within the cell.

PYGO2 has associations with several cancer types particularly those with aberrant Wnt signaling such as colorectal cancer. Disruptions in PYGO2 expression or function can lead to dysregulation of gene expression linked to tumorigenesis. Another potential link exists with breast cancer where altered expression of PYGO2 and its interaction with β-catenin can influence cancer cell proliferation and invasion. Understanding the specific role of PYGO2 in these contexts might offer insights into potential therapeutic targets for cancer treatment.

Product protocols

For this product, it's our understanding that no specific protocols are required. You can visit:

Target data

Involved in signal transduction through the Wnt pathway.
See full target information PYGO2

Product promise

We are committed to supporting your work with high-quality reagents, and we're here for you every step of the way. In the unlikely event that one of our products does not perform as expected, you're protected by our Product Promise.
For full details, please see our Terms & Conditions

Please note: All products are 'FOR RESEARCH USE ONLY. NOT FOR USE IN DIAGNOSTIC OR THERAPEUTIC PROCEDURES'.

For licensing inquiries, please contact partnerships@abcam.com