JavaScript is disabled in your browser. Please enable JavaScript to view this website.
AB32571

Anti-PYK2 antibody [YE353]

  • RabMAb
  • Recombinant
  • KO Validated
  • 20ul selling size
  • What is this?

Be the first to review this product! Submit a review

|

(42 Publications)

Anti-PYK2 antibody [YE353] (ab32571) is a rabbit monoclonal antibody detecting PYK2 in Western Blot, IHC-P, ICC/IF. Suitable for Human, Mouse, Rat.

- KO validated for confirmed specificity
- Biophysical QC for unrivalled batch-batch consistency
- Over 30 publications
- Trusted since 2006

View Alternative Names

FAK2, PYK2, RAFTK, PTK2B, Protein-tyrosine kinase 2-beta, Calcium-dependent tyrosine kinase, Calcium-regulated non-receptor proline-rich tyrosine kinase, Cell adhesion kinase beta, Focal adhesion kinase 2, Proline-rich tyrosine kinase 2, Related adhesion focal tyrosine kinase, CADTK, CAK-beta, CAKB, FADK 2

13 Images
Immunocytochemistry/ Immunofluorescence - Anti-PYK2 antibody [YE353] (AB32571)
  • ICC/IF

Unknown

Immunocytochemistry/ Immunofluorescence - Anti-PYK2 antibody [YE353] (AB32571)

Immunocytochemistry/Immunofluorescence analysis of HeLa cells labelling PYK2 with purified ab32571 at 1/60. Cells were fixed with 4% paraformaldehyde and permeabilized with 0.1% Triton X-100. ab150077, an Alexa Fluor® 488-conjugated goat anti-rabbit IgG (1/500) was used as the secondary antibody. DAPI (blue) was used as the nuclear counterstain.

Control : primary antibody (1/100) and secondary antibody, ab150120, an Alexa Fluor® 594-conjugated goat anti-mouse IgG (1/500).

Immunohistochemistry (Formalin/PFA-fixed paraffin-embedded sections) - Anti-PYK2 antibody [YE353] (AB32571)
  • IHC-P

Unknown

Immunohistochemistry (Formalin/PFA-fixed paraffin-embedded sections) - Anti-PYK2 antibody [YE353] (AB32571)

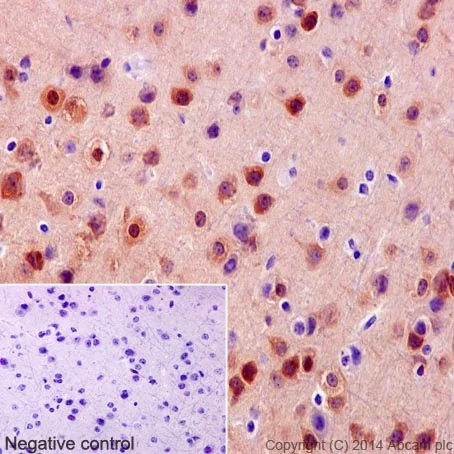
Immunohistochemistry (Formalin/PFA-fixed paraffin-embedded sections) analysis of human cerebral cortex tissue labelling PYK2 with purified ab32571 at 1/300. Heat mediated antigen retrieval was performed using Tris/EDTA buffer pH 9. ab97051, a HRP-conjugated goat anti-rabbit IgG (H+L) was used as the secondary antibody (1/500). Negative control using PBS instead of primary antibody. Counterstained with hematoxylin.

Immunohistochemistry (Formalin/PFA-fixed paraffin-embedded sections) - Anti-PYK2 antibody [YE353] (AB32571)
  • IHC-P

Unknown

Immunohistochemistry (Formalin/PFA-fixed paraffin-embedded sections) - Anti-PYK2 antibody [YE353] (AB32571)

Immunohistochemistry (Formalin/PFA-fixed paraffin-embedded sections) analysis of normal human brain tissue labelling PYK2 with unpurified ab32571 at a 1/250 dilution.

Immunohistochemistry (Formalin/PFA-fixed paraffin-embedded sections) - Anti-PYK2 antibody [YE353] (AB32571)
  • IHC-P

Unknown

Immunohistochemistry (Formalin/PFA-fixed paraffin-embedded sections) - Anti-PYK2 antibody [YE353] (AB32571)

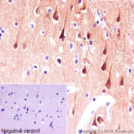
Immunohistochemistry (Formalin/PFA-fixed paraffin-embedded sections) analysis of mouse cerebral cortex tissue labelling PYK2 with purified ab32571 at 1/300. Heat mediated antigen retrieval was performed using Tris/EDTA buffer pH 9. ab97051, a HRP-conjugated goat anti-rabbit IgG (H+L) was used as the secondary antibody (1/500). Negative control using PBS instead of primary antibody. Counterstained with hematoxylin.

Immunohistochemistry (Formalin/PFA-fixed paraffin-embedded sections) - Anti-PYK2 antibody [YE353] (AB32571)
  • IHC-P

Unknown

Immunohistochemistry (Formalin/PFA-fixed paraffin-embedded sections) - Anti-PYK2 antibody [YE353] (AB32571)

Immunohistochemistry (Formalin/PFA-fixed paraffin-embedded sections) analysis of rat cerebral cortex tissue labelling PYK2 with purified ab32571 at 1/300. Heat mediated antigen retrieval was performed using Tris/EDTA buffer pH 9. ab97051, a HRP-conjugated goat anti-rabbit IgG (H+L) was used as the secondary antibody (1/500). Negative control using PBS instead of primary antibody. Counterstained with hematoxylin.

Immunocytochemistry/ Immunofluorescence - Anti-PYK2 antibody [YE353] (AB32571)
  • ICC/IF

Unknown

Immunocytochemistry/ Immunofluorescence - Anti-PYK2 antibody [YE353] (AB32571)

Immunocytochemistry/Immunofluorescence analysis of PC12 cells labelling PYK2 with unpurified ab32571 at a 1/100 dilution.

Western blot - Anti-PYK2 antibody [YE353] (AB32571)
  • WB

Lab

Western blot - Anti-PYK2 antibody [YE353] (AB32571)

Western blot : Rabbit Monoclonal[YE353] to PYK2 ab32571 staining at 1/2000 dilution, shown in green; Mouse anti GAPDH (ab8245) loading control staining at 1/20,000 dilution, shown in magenta.

A band was observed at 120 kDa in Wild-type HCT 116 cell lysates with no signal observed at this size in PTK2B knockout HCT 116 cell line.

To generate this image, samples were run on an SDS-PAGE gel then transferred onto a nitrocellulose membrane. Membranes were blocked in 3pc Milk in TBS-0.1 % Tween® 20 (TBS-T) before incubation with primary antibodies overnight at 4 °C. Blots were washed four times in TBS-T, incubated with secondary antibodies for 1 h at room temperature, washed again four times then imaged.

Secondary antibodies used were Goat anti-Rabbit 800CW & Goat anti-Mouse 680RD at 1/20,000 dilution.

All lanes:

Western blot - Anti-PYK2 antibody [YE353] (ab32571) at 1/1000 dilution

Lane 1:

Wild-type HCT 116 at 20 µg

Lane 2:

PTK2B knockout HCT 116 at 20 µg

Lane 3:

Wild-type A549 at 20 µg

Lane 4:

PTK2B knockout A549 at 20 µg

Secondary

All lanes:

Goat anti-Rabbit 800CW & Goat anti-Mouse 680RD at 1/20000 dilution

Predicted band size: 116 kDa

Observed band size: 120 kDa

false

Western blot - Anti-PYK2 antibody [YE353] (AB32571)
  • WB

Unknown

Western blot - Anti-PYK2 antibody [YE353] (AB32571)

Lane 1 : Wild-type HAP1 whole cell lysate (20 μg)
Lane 2 : PYK2 knockout HAP1 whole cell lysate (20 μg)
Lane 3 : Jurkat whole cell lysate (20 μg)
Lane 4 : Hu brain whole cell lysate (20 μg)

Lanes 1 - 4 : Merged signal (red and green). Green - ab32571 observed at 125 kDa. Red - loading control, ab8245, observed at 37 kDa.

ab32571 was shown to specifically recognize PYK2 in wild-type HAP1 cells along with additional cross reactive bands. No band was observed when PYK2 knockout samples were examined. Wild-type and PYK2 knockout samples were subjected to SDS-PAGE. ab32571 and ab8245 (Mouse anti GAPDH loading control) were incubated overnight at 4°C at 1/1000 dilution and 1/10000 dilution respectively. Blots were developed with Goat anti-Rabbit IgG H&L (IRDye® 800CW) preabsorbed ab216773 and Goat anti-Mouse IgG H&L (IRDye® 680RD) preabsorbed ab216776 secondary antibodies at 1/10000 dilution for 1 hour at room temperature before imaging.

All lanes:

Western blot - Anti-PYK2 antibody [YE353] (ab32571)

Predicted band size: 116 kDa

false

Western blot - Anti-PYK2 antibody [YE353] (AB32571)
  • WB

Lab

Western blot - Anti-PYK2 antibody [YE353] (AB32571)

Western blot : Anti-PTK2B antibody [YE353] (ab32571) staining at 1/2000 dilution, shown in green; Mouse anti-GAPDH antibody [6C5] (ab8245) loading control staining at 1/20000 dilution, shown in magenta. In Western blot, ab32571 was shown to bind specifically to PTK2B. A band was observed at 130 kDa in wild-type A549 cell lysates with no signal observed at this size in PTK2B knockout cell line. To generate this image, wild-type and PTK2B knockout A549 cell lysates were analysed. First, samples were run on an SDS-PAGE gel then transferred onto a nitrocellulose membrane. Membranes were blocked in 3 % milk in TBS-0.1 % Tween® 20 (TBS-T) before incubation with primary antibodies overnight at 4 °C. Blots were washed four times in TBS-T, incubated with secondary antibodies for 1 h at room temperature, washed again four times then imaged. Secondary antibodies used were Goat anti-Rabbit IgG H&L 800CW and Goat anti-Mouse IgG H&L 680RD at 1/20000 dilution.

All lanes:

Western blot - Anti-PYK2 antibody [YE353] (ab32571) at 1/2000 dilution

Lane 1:

Wild-type A549 cell lysate at 20 µg

Lane 2:

PTK2B knockout A549 cell lysate at 20 µg

Lane 3:

Wild-type HAP1 cell lysate at 20 µg

Lane 4:

PTK2B knockout HAP1 cell lysate at 20 µg

Secondary

All lanes:

Goat anti-Rabbit IgG H&L 800CW and Goat anti-Mouse IgG H&L 680RD at 1/20000 dilution

Observed band size: 130 kDa

false

Western blot - Anti-PYK2 antibody [YE353] (AB32571)
  • WB

Lab

Western blot - Anti-PYK2 antibody [YE353] (AB32571)

Blocking buffer and concentration : 5% NFDM/TBST.

Diluting buffer and concentration : 5% NFDM /TBST.

All lanes:

Western blot - Anti-PYK2 antibody [YE353] (ab32571) at 1/10000 dilution

Lane 1:

Ramos cell lysate at 20 µg

Lane 2:

Jurkat cell lysate at 20 µg

Secondary

All lanes:

Peroxidase-conjugated goat anti-rabbit IgG (H+L) at 1/1000 dilution

Predicted band size: 116 kDa

Observed band size: 116 kDa

false

Western blot - Anti-PYK2 antibody [YE353] (AB32571)
  • WB

Lab

Western blot - Anti-PYK2 antibody [YE353] (AB32571)

Blocking buffer and concentration : 5% NFDM/TBST.

Diluting buffer and concentration : 5% NFDM /TBST.

All lanes:

Western blot - Anti-PYK2 antibody [YE353] (ab32571) at 1/2000 dilution

Lane 1:

Mouse brain tissue lysate at 20 µg

Lane 2:

Rat brain tissue lysate at 20 µg

Secondary

All lanes:

Peroxidase-conjugated goat anti-rabbit IgG (H+L) at 1/1000 dilution

Predicted band size: 116 kDa

Observed band size: 116 kDa

false

Western blot - Anti-PYK2 antibody [YE353] (AB32571)
  • WB

Lab

Western blot - Anti-PYK2 antibody [YE353] (AB32571)

Blocking buffer and concentration : 5% NFDM/TBST.

Diluting buffer and concentration : 5% NFDM /TBST.

All lanes:

Western blot - Anti-PYK2 antibody [YE353] (ab32571) at 10000 Cells

All lanes:

RAW264.7 cell lysate at 20 µg

Secondary

All lanes:

Peroxidase-conjugated goat anti-rabbit IgG (H+L) at 1/1000 dilution

Predicted band size: 116 kDa

Observed band size: 116 kDa

false

Western blot - Anti-PYK2 antibody [YE353] (AB32571)
  • WB

Unknown

Western blot - Anti-PYK2 antibody [YE353] (AB32571)

All lanes:

Western blot - Anti-PYK2 antibody [YE353] (ab32571) at 1/5000 dilution

All lanes:

Jurkat cell lysate

Predicted band size: 116 kDa

Observed band size: 116 kDa

false

Key facts

Host species

Rabbit

Clonality

Monoclonal

Clone number

YE353

Isotype

IgG

Carrier free

No

Reacts with

Mouse, Rat, Human

Applications

ICC/IF, WB, IHC-P

applications

Immunogen

The exact immunogen used to generate this antibody is proprietary information.

Specificity

This antibody recognizes PYK2. It does not cross react with other FAK family members.

Reactivity data

{ "title": "Reactivity Data", "filters": { "stats": ["", "Species", "Dilution Info", "Notes"], "tabs": { "all-applications": {"fullname" : "All Applications", "shortname": "All Applications"}, "IP" : {"fullname" : "Immunoprecipitation", "shortname":"IP"}, "WB" : {"fullname" : "Western blot", "shortname":"WB"}, "ICCIF" : {"fullname" : "Immunocytochemistry/ Immunofluorescence", "shortname":"ICC/IF"}, "IHCP" : {"fullname" : "Immunohistochemistry (Formalin/PFA-fixed paraffin-embedded sections)", "shortname":"IHC-P"} }, "product-promise": { "all": "all", "testedAndGuaranteed": "tested", "guaranteed": "expected", "predicted": "predicted", "notRecommended": "not-recommended" } }, "values": { "Human": { "IP-species-checked": "notRecommended", "IP-species-dilution-info": "", "IP-species-notes": "<p></p>", "WB-species-checked": "testedAndGuaranteed", "WB-species-dilution-info": "1/2000", "WB-species-notes": "<p><strong>For unpurified use at 1/1000 - 1/5000.</strong></p>", "ICCIF-species-checked": "testedAndGuaranteed", "ICCIF-species-dilution-info": "1/60", "ICCIF-species-notes": "<p><strong>For unpurified use at 1/100.</strong></p>", "IHCP-species-checked": "testedAndGuaranteed", "IHCP-species-dilution-info": "1/300", "IHCP-species-notes": "<p><strong>For unpurified use at 1/250 - 1/500.</strong></p> Perform heat-mediated antigen retrieval with Tris/EDTA buffer pH 9.0 before commencing with IHC staining protocol." }, "Mouse": { "IP-species-checked": "notRecommended", "IP-species-dilution-info": "", "IP-species-notes": "<p></p>", "WB-species-checked": "testedAndGuaranteed", "WB-species-dilution-info": "1/2000", "WB-species-notes": "<p><strong>For unpurified use at 1/1000 - 1/5000.</strong></p>", "ICCIF-species-checked": "guaranteed", "ICCIF-species-dilution-info": "", "ICCIF-species-notes": "", "IHCP-species-checked": "testedAndGuaranteed", "IHCP-species-dilution-info": "1/300", "IHCP-species-notes": "<p><strong>For unpurified use at 1/250 - 1/500.</strong></p> Perform heat-mediated antigen retrieval with Tris/EDTA buffer pH 9.0 before commencing with IHC staining protocol." }, "Rat": { "IP-species-checked": "notRecommended", "IP-species-dilution-info": "", "IP-species-notes": "<p></p>", "WB-species-checked": "guaranteed", "WB-species-dilution-info": "", "WB-species-notes": "", "ICCIF-species-checked": "testedAndGuaranteed", "ICCIF-species-dilution-info": "1/60", "ICCIF-species-notes": "<p><strong>For unpurified use at 1/100.</strong></p>", "IHCP-species-checked": "testedAndGuaranteed", "IHCP-species-dilution-info": "1/300", "IHCP-species-notes": "<p><strong>For unpurified use at 1/250 - 1/500.</strong></p> Perform heat-mediated antigen retrieval with Tris/EDTA buffer pH 9.0 before commencing with IHC staining protocol." } } }

Product details

What is this antibody validated in?
Anti-PYK2 antibody [YE353] (ab32571) is a rabbit recombinant monoclonal antibody and is validated for use in Western Blot (WB), Immunohistochemistry (IHC-P), Immunocytochemistry/immunofluorescence (ICC/IF) in Human, Mouse, Rat samples.

What is the molecular weight of PYK2?
Anti-PYK2 [YE353] (ab32571) specifically detects a band for PYK2 (UniProt: Q14289) at a molecular weight of 116kDa.

Trusted by the scientific community
Anti-PYK2 [YE353] (ab32571) was first used in a scientific publication in 2006 and has been cited over 30 times in peer-reviewed journals.

Trial sizes available!
Test your antibody or perform pre-screening before committing to a larger quantity. Sold in 10µl. Discover our selection of trial-size antibodies.

Specificity confirmed
The specificity of Anti-PYK2 antibody [YE353] (ab32571) has been confirmed by Western blot testing in PTK2B Knockout HAP1 cells.

Other related products
We have a range of other formats of antibody clone [YE353] also available for your convenience: ab32571, HRP - ab214497, Alexa Fluor® 647 - ab224955, Alexa Fluor® 488 - ab224956, Carrier free - ab228477

Patented technology
Our RabMAb® technology is a patented hybridoma-based technology for making rabbit monoclonal antibodies. For details on our patents, please refer to RabMAb® patents.

What are the advantages of a recombinant monoclonal antibody?
This product is a recombinant monoclonal antibody, which offers several advantages including:

  • - High batch-to-batch consistency and reproducibility
  • - Improved sensitivity and specificity
  • - Long-term security of supply
  • - Animal-free batch production

For more information, read more on recombinant antibodies.

Properties and storage information

Form
Liquid
Purification technique
Affinity purification Protein A
Storage buffer
pH: 7.2 - 7.4 Preservative: 0.01% Sodium azide Constituents: PBS, 40% Glycerol (glycerin, glycerine), 0.05% BSA
Shipped at conditions
Blue Ice
Appropriate short-term storage duration
1-2 weeks
Appropriate short-term storage conditions
+4°C
Appropriate long-term storage conditions
-20°C
Aliquoting information
Upon delivery aliquot
Storage information
Avoid freeze / thaw cycle

Supplementary information

This supplementary information is collated from multiple sources and compiled automatically.

PYK2 also known as Protein Tyrosine Kinase 2 Beta (PTK2B) is a protein with a mass of approximately 116 kDa. This enzyme belongs to the focal adhesion kinase (FAK) family and functions as a non-receptor protein tyrosine kinase. Mechanically PYK2 is involved in calcium-dependent signaling and is activated by increases in intracellular calcium levels. It plays a critical role in cell proliferation migration and survival. PYK2 expresses widely in neuronal tissues hematopoietic cells and various epithelial cells.
Biological function summary

PYK2 interacts with integrins and G-protein-coupled receptors (GPCRs) linking extracellular signals to intracellular pathways. It forms complexes with other signaling molecules including Rac1 and c-Src facilitating downstream signaling. These interactions contribute to cellular communication and adhesion processes especially in the central nervous system and immune cells. Through its involvement in signal transduction PYK2 supports cellular responses to environmental changes.

Pathways

PYK2 participates in the MAPK and JNK signaling pathways. These pathways are critical for transmitting signals from the cell surface to the nucleus influencing cellular growth and stress responses. PYK2 interacts closely with other proteins such as Src and FAK which help coordinate signals that regulate cellular dynamics. Through these pathways PYK2 modulates processes involved in the structural reorganization of cells and tissues.

PYK2 has been linked to neurodegenerative diseases and certain types of cancers. In Alzheimer's disease PYK2 may contribute to synaptic dysfunction and cognitive decline as it interacts with amyloid-beta peptides and tau proteins. In cancer PYK2 overexpression can promote cancer cell invasion metastasis and resistance to apoptosis often in coordination with proteins like FAK. Therefore understanding the role of PYK2 in these conditions provides insights for therapeutic developments.

Product protocols

For this product, it's our understanding that no specific protocols are required. You can visit:

Target data

Non-receptor protein-tyrosine kinase that regulates reorganization of the actin cytoskeleton, cell polarization, cell migration, adhesion, spreading and bone remodeling. Plays a role in the regulation of the humoral immune response, and is required for normal levels of marginal B-cells in the spleen and normal migration of splenic B-cells. Required for normal macrophage polarization and migration towards sites of inflammation. Regulates cytoskeleton rearrangement and cell spreading in T-cells, and contributes to the regulation of T-cell responses. Promotes osteoclastic bone resorption; this requires both PTK2B/PYK2 and SRC. May inhibit differentiation and activity of osteoprogenitor cells. Functions in signaling downstream of integrin and collagen receptors, immune receptors, G-protein coupled receptors (GPCR), cytokine, chemokine and growth factor receptors, and mediates responses to cellular stress. Forms multisubunit signaling complexes with SRC and SRC family members upon activation; this leads to the phosphorylation of additional tyrosine residues, creating binding sites for scaffold proteins, effectors and substrates. Regulates numerous signaling pathways. Promotes activation of phosphatidylinositol 3-kinase and of the AKT1 signaling cascade. Promotes activation of NOS3. Regulates production of the cellular messenger cGMP. Promotes activation of the MAP kinase signaling cascade, including activation of MAPK1/ERK2, MAPK3/ERK1 and MAPK8/JNK1. Promotes activation of Rho family GTPases, such as RHOA and RAC1. Recruits the ubiquitin ligase MDM2 to P53/TP53 in the nucleus, and thereby regulates P53/TP53 activity, P53/TP53 ubiquitination and proteasomal degradation. Acts as a scaffold, binding to both PDPK1 and SRC, thereby allowing SRC to phosphorylate PDPK1 at 'Tyr-9, 'Tyr-373', and 'Tyr-376'. Promotes phosphorylation of NMDA receptors by SRC family members, and thereby contributes to the regulation of NMDA receptor ion channel activity and intracellular Ca(2+) levels. May also regulate potassium ion transport by phosphorylation of potassium channel subunits. Phosphorylates SRC; this increases SRC kinase activity. Phosphorylates ASAP1, NPHP1, KCNA2 and SHC1. Promotes phosphorylation of ASAP2, RHOU and PXN; this requires both SRC and PTK2/PYK2.
See full target information PTK2B

Publications (42)

Recent publications for all applications. Explore the full list and refine your search

Nature communications 16:4581 PubMed40389409

2025

Epstein-Barr virus induces aberrant B cell migration and diapedesis via FAK-dependent chemotaxis pathways.

Applications

Unspecified application

Species

Unspecified reactive species

Susanne Delecluse,Francesco Baccianti,Manon Zala,Alina Steffens,Carolin Drenda,Daniel Judt,Tim Holland-Letz,Remy Poirey,Pierre Sujobert,Henri-Jacques Delecluse

Cell reports. Medicine 5:101830 PubMed39603243

2024

Macrophages are activated toward phagocytic lymphoma cell clearance by pentose phosphate pathway inhibition.

Applications

Unspecified application

Species

Unspecified reactive species

Anna C Beielstein,Elena Izquierdo,Stuart Blakemore,Nadine Nickel,Michael Michalik,Samruddhi Chawan,Reinhild Brinker,Hans-Henrik Bartel,Daniela Vorholt,Lukas Albert,Janica L Nolte,Rebecca Linke,Carolina Raíssa Costa Picossi,Jorge Sáiz,Felix Picard,Alexandra Florin,Jörn Meinel,Reinhard Büttner,Paul Diefenhardt,Sebastian Brähler,Alma Villaseñor,Holger Winkels,Michael Hallek,Marcus Krüger,Coral Barbas,Christian P Pallasch

Cell communication and signaling : CCS 22:313 PubMed38844957

2024

Integrin αVβ1-activated PYK2 promotes the progression of non-small-cell lung cancer via the STAT3-VGF axis.

Applications

Unspecified application

Species

Unspecified reactive species

Zhengyan Wu,Min Jiao,Chenying Shu,Saiqun Zhang,Jiajia Wang,Jianhong Pu,Jianjie Zhu,Yuanyuan Zeng,Yehan Zhu,Zeyi Liu

Brain pathology (Zurich, Switzerland) 34:e13235 PubMed38247340

2024

Proteomic analysis identifies HSP90AA1, PTK2B, and ANXA2 in the human entorhinal cortex in Alzheimer's disease: Potential role in synaptic homeostasis and Aβ pathology through microglial and astroglial cells.

Applications

Unspecified application

Species

Unspecified reactive species

Veronica Astillero-Lopez,Sandra Villar-Conde,Melania Gonzalez-Rodriguez,Alicia Flores-Cuadrado,Isabel Ubeda-Banon,Daniel Saiz-Sanchez,Alino Martinez-Marcos

Arteriosclerosis, thrombosis, and vascular biology 44:366-390 PubMed38126170

2023

Requirement of Site-Specific Tyrosine Phosphorylation of Cortactin in Retinal Neovascularization and Vascular Leakage.

Applications

Unspecified application

Species

Unspecified reactive species

Raj Kumar,Klemens Rottner,Gadiparthi N Rao

The American journal of pathology 194:180-194 PubMed38029923

2023

Multilamellated Basement Membranes in the Capillary Network of Alveolar Capillary Dysplasia.

Applications

Unspecified application

Species

Unspecified reactive species

Jan C Kamp,Lavinia Neubert,Jonas C Schupp,Peter Braubach,Christoph Wrede,Florian Laenger,Tim Salditt,Jakob Reichmann,Tobias Welte,Arjang Ruhparwar,Fabio Ius,Nicolaus Schwerk,Anke K Bergmann,Sandra von Hardenberg,Matthias Griese,Christina Rapp,Karen M Olsson,Jan Fuge,Da-Hee Park,Marius M Hoeper,Danny D Jonigk,Lars Knudsen,Mark P Kuehnel

Current issues in molecular biology 45:7058-7074 PubMed37754230

2023

Targeting FAK/PYK2 with SJP1602 for Anti-Tumor Activity in Triple-Negative Breast Cancer.

Applications

Unspecified application

Species

Unspecified reactive species

Myeongjin Jeon,Sungpyo Hong,Hyoungmin Cho,Hanbyeol Park,Soo-Min Lee,Soonkil Ahn

Frontiers in immunology 14:1179742 PubMed37622116

2023

Identification of cuproptosis and immune-related gene prognostic signature in lung adenocarcinoma.

Applications

Unspecified application

Species

Unspecified reactive species

Wentao Zhang,Haizeng Qu,Xiaoqing Ma,Liang Li,Yanjun Wei,Ye Wang,Renya Zeng,Yuanliu Nie,Chenggui Zhang,Ke Yin,Fengge Zhou,Zhe Yang

Scientific reports 13:7134 PubMed37130848

2023

Nono deficiency impedes the proliferation and adhesion of H9c2 cardiomyocytes through Pi3k/Akt signaling pathway.

Applications

Unspecified application

Species

Unspecified reactive species

Yu-Qing Lei,Zhou-Jie Ye,Ya-Lan Wei,Li-Ping Zhu,Xu-Dong Zhuang,Xin-Rui Wang,Hua Cao

Medicine 101:e31178 PubMed36253980

2022

High expression of PYK2 is associated with poor prognosis and cancer progression in early-stage cervical carcinoma.

Applications

Unspecified application

Species

Unspecified reactive species

Can Zhang,Xinghua Zhu,Yong Li,Jia Shao,Haibo Xu,Lei Chen,Youli Dan,Hua Jin,Aiqin He
View all publications

Product promise

We are committed to supporting your work with high-quality reagents, and we're here for you every step of the way. In the unlikely event that one of our products does not perform as expected, you're protected by our Product Promise.
For full details, please see our Terms & Conditions

Please note: All products are 'FOR RESEARCH USE ONLY. NOT FOR USE IN DIAGNOSTIC OR THERAPEUTIC PROCEDURES'.

For licensing inquiries, please contact partnerships@abcam.com