JavaScript is disabled in your browser. Please enable JavaScript to view this website.
AB131543

Anti-PYK2 (phospho Y402) antibody

Be the first to review this product! Submit a review

|

(3 Publications)

Rabbit Polyclonal PYK2 phospho Y402 antibody. Suitable for WB, IHC-P, ICC/IF and reacts with Human samples. Cited in 3 publications. Immunogen corresponding to Synthetic Peptide within Human PTK2B phospho Y402 conjugated to Keyhole Limpet Haemocyanin.

View Alternative Names

FAK2, PYK2, RAFTK, PTK2B, Protein-tyrosine kinase 2-beta, Calcium-dependent tyrosine kinase, Calcium-regulated non-receptor proline-rich tyrosine kinase, Cell adhesion kinase beta, Focal adhesion kinase 2, Proline-rich tyrosine kinase 2, Related adhesion focal tyrosine kinase, CADTK, CAK-beta, CAKB, FADK 2

3 Images
Immunocytochemistry/ Immunofluorescence - Anti-PYK2 (phospho Y402) antibody (AB131543)
  • ICC/IF

Unknown

Immunocytochemistry/ Immunofluorescence - Anti-PYK2 (phospho Y402) antibody (AB131543)

Immunoflourescent analysis of methanol-fixed HeLa cells labelling PYK2 (phospho-Y402) with ab131543 at 1/100 dilution.

Immunohistochemistry (Formalin/PFA-fixed paraffin-embedded sections) - Anti-PYK2 (phospho Y402) antibody (AB131543)
  • IHC-P

Unknown

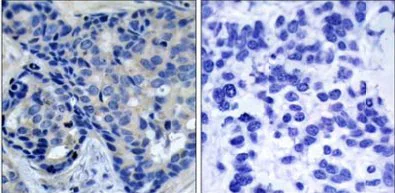
Immunohistochemistry (Formalin/PFA-fixed paraffin-embedded sections) - Anti-PYK2 (phospho Y402) antibody (AB131543)

Immunohistochemical analysis of Human breast carcinoma tissue labelling PYK2 (phospho Y402) with ab131543 at 1/50 dilution. The image on the right is treated with the synthesized peptide.

Western blot - Anti-PYK2 (phospho Y402) antibody (AB131543)
  • WB

Unknown

Western blot - Anti-PYK2 (phospho Y402) antibody (AB131543)

All lanes:

Western blot - Anti-PYK2 (phospho Y402) antibody (ab131543) at 1/500 dilution

Lane 1:

Jurkat cell lysate, untreated

Lane 2:

Jurkat cell lysate, treated with PMA

Predicted band size: 116 kDa

false

Key facts

Host species

Rabbit

Clonality

Polyclonal

Isotype

IgG

Carrier free

No

Reacts with

Human

Applications

WB, IHC-P, ICC/IF

applications

Immunogen

Synthetic Peptide within Human PTK2B phospho Y402 conjugated to Keyhole Limpet Haemocyanin. The exact immunogen used to generate this antibody is proprietary information.

Q14289

Reactivity data

{ "title": "Reactivity Data", "filters": { "stats": ["", "Species", "Dilution Info", "Notes"], "tabs": { "all-applications": {"fullname" : "All Applications", "shortname": "All Applications"}, "WB" : {"fullname" : "Western blot", "shortname":"WB"}, "IHCP" : {"fullname" : "Immunohistochemistry (Formalin/PFA-fixed paraffin-embedded sections)", "shortname":"IHC-P"}, "ICCIF" : {"fullname" : "Immunocytochemistry/ Immunofluorescence", "shortname":"ICC/IF"} }, "product-promise": { "all": "all", "testedAndGuaranteed": "tested", "guaranteed": "expected", "predicted": "predicted", "notRecommended": "not-recommended" } }, "values": { "Human": { "WB-species-checked": "testedAndGuaranteed", "WB-species-dilution-info": "1/500 - 1/1000", "WB-species-notes": "<p></p>", "IHCP-species-checked": "testedAndGuaranteed", "IHCP-species-dilution-info": "1/50 - 1/100", "IHCP-species-notes": "<p></p>", "ICCIF-species-checked": "testedAndGuaranteed", "ICCIF-species-dilution-info": "1/100 - 1/200", "ICCIF-species-notes": "<p></p>" } } }

Properties and storage information

Form
Liquid
Purification technique
Affinity purification Immunogen
Purification notes
ab131543 was purified by affinity chromatography using epitope-specific phosphopeptide. Non-phospho specific antibodies were removed by chromatography using non-phosphopeptide.
Storage buffer
pH: 7.4 Preservative: 0.02% Sodium azide Constituents: PBS, 50% Glycerol (glycerin, glycerine), 0.88% Sodium chloride
Shipped at conditions
Blue Ice
Appropriate short-term storage conditions
+4°C
Appropriate long-term storage conditions
-20°C
Storage information
Stable for 12 months at -20°C

Supplementary information

This supplementary information is collated from multiple sources and compiled automatically.

PYK2 also known as Protein Tyrosine Kinase 2 Beta (PTK2B) is a protein with a mass of approximately 116 kDa. This enzyme belongs to the focal adhesion kinase (FAK) family and functions as a non-receptor protein tyrosine kinase. Mechanically PYK2 is involved in calcium-dependent signaling and is activated by increases in intracellular calcium levels. It plays a critical role in cell proliferation migration and survival. PYK2 expresses widely in neuronal tissues hematopoietic cells and various epithelial cells.
Biological function summary

PYK2 interacts with integrins and G-protein-coupled receptors (GPCRs) linking extracellular signals to intracellular pathways. It forms complexes with other signaling molecules including Rac1 and c-Src facilitating downstream signaling. These interactions contribute to cellular communication and adhesion processes especially in the central nervous system and immune cells. Through its involvement in signal transduction PYK2 supports cellular responses to environmental changes.

Pathways

PYK2 participates in the MAPK and JNK signaling pathways. These pathways are critical for transmitting signals from the cell surface to the nucleus influencing cellular growth and stress responses. PYK2 interacts closely with other proteins such as Src and FAK which help coordinate signals that regulate cellular dynamics. Through these pathways PYK2 modulates processes involved in the structural reorganization of cells and tissues.

PYK2 has been linked to neurodegenerative diseases and certain types of cancers. In Alzheimer's disease PYK2 may contribute to synaptic dysfunction and cognitive decline as it interacts with amyloid-beta peptides and tau proteins. In cancer PYK2 overexpression can promote cancer cell invasion metastasis and resistance to apoptosis often in coordination with proteins like FAK. Therefore understanding the role of PYK2 in these conditions provides insights for therapeutic developments.

Product protocols

For this product, it's our understanding that no specific protocols are required. You can visit:

Target data

Non-receptor protein-tyrosine kinase that regulates reorganization of the actin cytoskeleton, cell polarization, cell migration, adhesion, spreading and bone remodeling. Plays a role in the regulation of the humoral immune response, and is required for normal levels of marginal B-cells in the spleen and normal migration of splenic B-cells. Required for normal macrophage polarization and migration towards sites of inflammation. Regulates cytoskeleton rearrangement and cell spreading in T-cells, and contributes to the regulation of T-cell responses. Promotes osteoclastic bone resorption; this requires both PTK2B/PYK2 and SRC. May inhibit differentiation and activity of osteoprogenitor cells. Functions in signaling downstream of integrin and collagen receptors, immune receptors, G-protein coupled receptors (GPCR), cytokine, chemokine and growth factor receptors, and mediates responses to cellular stress. Forms multisubunit signaling complexes with SRC and SRC family members upon activation; this leads to the phosphorylation of additional tyrosine residues, creating binding sites for scaffold proteins, effectors and substrates. Regulates numerous signaling pathways. Promotes activation of phosphatidylinositol 3-kinase and of the AKT1 signaling cascade. Promotes activation of NOS3. Regulates production of the cellular messenger cGMP. Promotes activation of the MAP kinase signaling cascade, including activation of MAPK1/ERK2, MAPK3/ERK1 and MAPK8/JNK1. Promotes activation of Rho family GTPases, such as RHOA and RAC1. Recruits the ubiquitin ligase MDM2 to P53/TP53 in the nucleus, and thereby regulates P53/TP53 activity, P53/TP53 ubiquitination and proteasomal degradation. Acts as a scaffold, binding to both PDPK1 and SRC, thereby allowing SRC to phosphorylate PDPK1 at 'Tyr-9, 'Tyr-373', and 'Tyr-376'. Promotes phosphorylation of NMDA receptors by SRC family members, and thereby contributes to the regulation of NMDA receptor ion channel activity and intracellular Ca(2+) levels. May also regulate potassium ion transport by phosphorylation of potassium channel subunits. Phosphorylates SRC; this increases SRC kinase activity. Phosphorylates ASAP1, NPHP1, KCNA2 and SHC1. Promotes phosphorylation of ASAP2, RHOU and PXN; this requires both SRC and PTK2/PYK2.
See full target information PTK2B phospho Y402

Publications (3)

Recent publications for all applications. Explore the full list and refine your search

The Journal of neuroscience : the official journal 39:1910-1929 PubMed30626696

2019

Pyk2 Signaling through Graf1 and RhoA GTPase Is Required for Amyloid-β Oligomer-Triggered Synapse Loss.

Applications

Unspecified application

Species

Unspecified reactive species

Suho Lee,Santiago V Salazar,Timothy O Cox,Stephen M Strittmatter

The Journal of neuroscience : the official journal of the Society for Neuroscience 39:758-772 PubMed30518596

2018

Alzheimer's Disease Risk Factor Pyk2 Mediates Amyloid-β-Induced Synaptic Dysfunction and Loss.

Applications

Unspecified application

Species

Unspecified reactive species

Santiago V Salazar,Timothy O Cox,Suho Lee,A Harrison Brody,Annabel S Chyung,Laura T Haas,Stephen M Strittmatter

The Journal of biological chemistry 289:29519-30 PubMed25217637

2014

Short mitochondrial ARF triggers Parkin/PINK1-dependent mitophagy.

Applications

Unspecified application

Species

Unspecified reactive species

Karl Grenier,Maria Kontogiannea,Edward A Fon
View all publications

Product promise

We are committed to supporting your work with high-quality reagents, and we're here for you every step of the way. In the unlikely event that one of our products does not perform as expected, you're protected by our Product Promise.
For full details, please see our Terms & Conditions

Please note: All products are 'FOR RESEARCH USE ONLY. NOT FOR USE IN DIAGNOSTIC OR THERAPEUTIC PROCEDURES'.

For licensing inquiries, please contact partnerships@abcam.com