JavaScript is disabled in your browser. Please enable JavaScript to view this website.
AB4800

Anti-PYK2 (phospho Y402) antibody

Be the first to review this product! Submit a review

|

(19 Publications)

Rabbit Polyclonal PYK2 phospho Y402 antibody. Suitable for ICC/IF, WB, IHC-P and reacts with Mouse, Human samples. Cited in 19 publications. Immunogen corresponding to Synthetic Peptide within Human PTK2B phospho Y402.

View Alternative Names

FAK2, PYK2, RAFTK, PTK2B, Protein-tyrosine kinase 2-beta, Calcium-dependent tyrosine kinase, Calcium-regulated non-receptor proline-rich tyrosine kinase, Cell adhesion kinase beta, Focal adhesion kinase 2, Proline-rich tyrosine kinase 2, Related adhesion focal tyrosine kinase, CADTK, CAK-beta, CAKB, FADK 2

6 Images
Immunohistochemistry (Formalin/PFA-fixed paraffin-embedded sections) - Anti-PYK2 (phospho Y402) antibody (AB4800)
  • IHC-P

Supplier Data

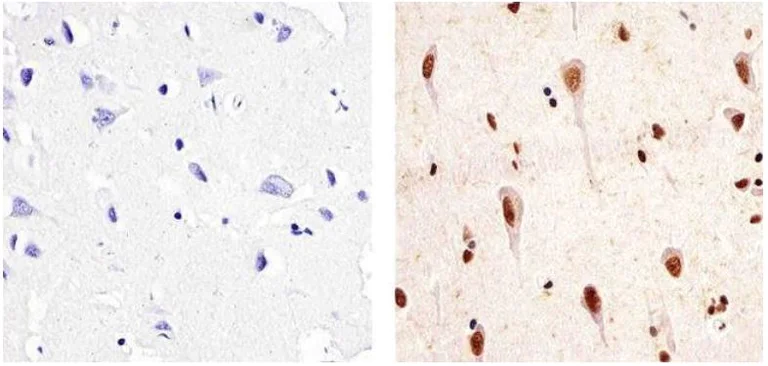
Immunohistochemistry (Formalin/PFA-fixed paraffin-embedded sections) - Anti-PYK2 (phospho Y402) antibody (AB4800)

Paraffin embedded human brain tissue (right) stained for PYK2 using ab4800 at 1/50 dilution in immunohistochemical analysis. Negative control (left) without primary antibody.

Immunohistochemistry (Formalin/PFA-fixed paraffin-embedded sections) - Anti-PYK2 (phospho Y402) antibody (AB4800)
  • IHC-P

Supplier Data

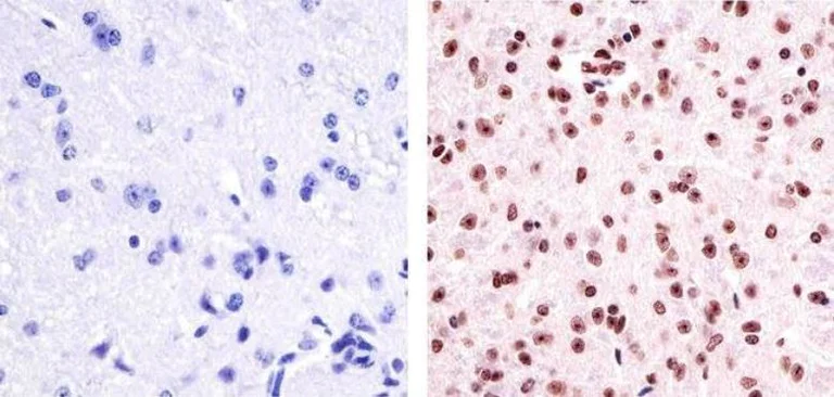
Immunohistochemistry (Formalin/PFA-fixed paraffin-embedded sections) - Anti-PYK2 (phospho Y402) antibody (AB4800)

Paraffin embedded human hepatocarcinoma tissue (right) stained for PYK2 using ab4800 at 1/50 dilution in immunohistochemical analysis. Negative control (left) without primary antibody.

Immunohistochemistry (Formalin/PFA-fixed paraffin-embedded sections) - Anti-PYK2 (phospho Y402) antibody (AB4800)
  • IHC-P

Supplier Data

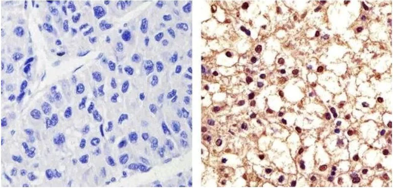
Immunohistochemistry (Formalin/PFA-fixed paraffin-embedded sections) - Anti-PYK2 (phospho Y402) antibody (AB4800)

Paraffin embedded human lung adenocarcinoma tissue(right) stained for PYK2 using ab4800 at 1/20 dilution in immunohistochemical analysis. Negative control (left) without primary antibody.

Immunocytochemistry/ Immunofluorescence - Anti-PYK2 (phospho Y402) antibody (AB4800)
  • ICC/IF

Supplier Data

Immunocytochemistry/ Immunofluorescence - Anti-PYK2 (phospho Y402) antibody (AB4800)

A549 cells stained for PYK2 (green) using ab4800 at 1/500 dilution in ICC/IF. Followed by Goat anti-Rabbit IgG (H+L) Superclonal™ Secondary Antibody, Alexa Fluor® 488 conjugate at 1/2000 dilution for 45 minutes at room temperature (Panel a). Nuclei (Panel b : blue) were stained with SlowFade® Gold Antifade Mountant with DAPI. F-actin (Panel c : red) was stained with Alexa Fluor® 555 Rhodamine Phalloidin at 1/300 dilution. Panel d is a merged image showing cytoplasmic localization. Panel e is a no primary antibody control.

Immunocytochemistry/ Immunofluorescence - Anti-PYK2 (phospho Y402) antibody (AB4800)
  • ICC/IF

Unknown

Immunocytochemistry/ Immunofluorescence - Anti-PYK2 (phospho Y402) antibody (AB4800)

Figure shows Pyk2 staining : Normal mouse mammary (NmuMG) cells were treated with TGFbeta and then grown to confluence, fixed and permeabilized. ab4800 was identified using a selective PSSA followed by incubation with a Cy3-conjugated anti-rabbit secondary antibody (red). F actin was visualized with Oregon Green-conjugated phalloiden (green) and paxillin staining is indicated in blue. The merged image indicates colocalization (purple) of ab4800, F-actin and paxillin in focal adhesion structures.

Immunohistochemistry (Formalin/PFA-fixed paraffin-embedded sections) - Anti-PYK2 (phospho Y402) antibody (AB4800)
  • IHC-P

Supplier Data

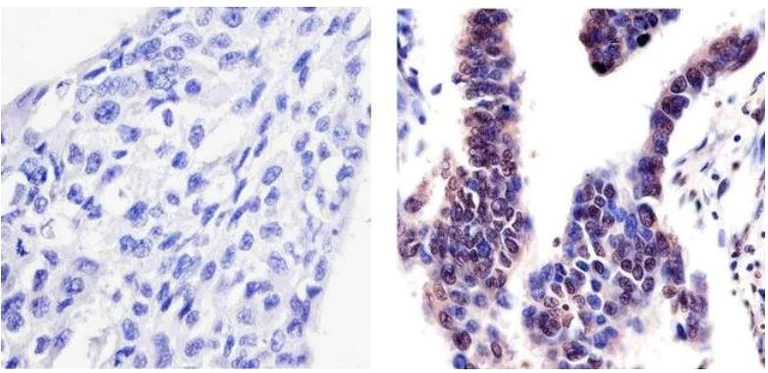
Immunohistochemistry (Formalin/PFA-fixed paraffin-embedded sections) - Anti-PYK2 (phospho Y402) antibody (AB4800)

Paraffin embedded Mouse brain tissue (right) stained for PYK2 using ab4800 at 1/20 dilution in immunohistochemical analysis. Negative control (left) without primary antibody.

Key facts

Host species

Rabbit

Clonality

Polyclonal

Isotype

IgG

Carrier free

No

Reacts with

Mouse, Human

Applications

WB, ICC/IF, IHC-P

applications

Immunogen

Synthetic Peptide within Human PTK2B phospho Y402. The exact immunogen used to generate this antibody is proprietary information.

Q14289

Reactivity data

{ "title": "Reactivity Data", "filters": { "stats": ["", "Species", "Dilution Info", "Notes"], "tabs": { "all-applications": {"fullname" : "All Applications", "shortname": "All Applications"}, "ICCIF" : {"fullname" : "Immunocytochemistry/ Immunofluorescence", "shortname":"ICC/IF"}, "WB" : {"fullname" : "Western blot", "shortname":"WB"}, "IHCP" : {"fullname" : "Immunohistochemistry (Formalin/PFA-fixed paraffin-embedded sections)", "shortname":"IHC-P"} }, "product-promise": { "all": "all", "testedAndGuaranteed": "tested", "guaranteed": "expected", "predicted": "predicted", "notRecommended": "not-recommended" } }, "values": { "Human": { "ICCIF-species-checked": "testedAndGuaranteed", "ICCIF-species-dilution-info": "1-2 µg/mL", "ICCIF-species-notes": "<p></p>", "WB-species-checked": "testedAndGuaranteed", "WB-species-dilution-info": "1/1000", "WB-species-notes": "<p></p>", "IHCP-species-checked": "testedAndGuaranteed", "IHCP-species-dilution-info": "1/10 - 1/50", "IHCP-species-notes": "<p></p>" }, "Mouse": { "ICCIF-species-checked": "testedAndGuaranteed", "ICCIF-species-dilution-info": "1-2 µg/mL", "ICCIF-species-notes": "<p></p>", "WB-species-checked": "guaranteed", "WB-species-dilution-info": "", "WB-species-notes": "", "IHCP-species-checked": "testedAndGuaranteed", "IHCP-species-dilution-info": "1/10 - 1/50", "IHCP-species-notes": "<p></p>" } } }

Properties and storage information

Form
Liquid
Purification technique
Affinity purification Immunogen
Purification notes
Purified from rabbit serum by epitope specific chromatography. The antibody has been negatively pre-adsorbed using a non-phosphopeptide corresponding to the site of phosphorylation to remove antibody that is reactive with non-phosphorylated PYK 2. The final product is generated by affinity chromatography using a PYK 2-derived peptide that is phosphorylated at tyrosine 402.
Storage buffer
pH: 7.3 Preservative: 0.05% Sodium azide Constituents: PBS, 50% Glycerol (glycerin, glycerine), 0.1% BSA
Shipped at conditions
Blue Ice
Appropriate short-term storage conditions
+4°C
Appropriate long-term storage conditions
-20°C
Aliquoting information
Upon delivery aliquot
Storage information
Avoid freeze / thaw cycle

Supplementary information

This supplementary information is collated from multiple sources and compiled automatically.

PYK2 also known as Protein Tyrosine Kinase 2 Beta (PTK2B) is a protein with a mass of approximately 116 kDa. This enzyme belongs to the focal adhesion kinase (FAK) family and functions as a non-receptor protein tyrosine kinase. Mechanically PYK2 is involved in calcium-dependent signaling and is activated by increases in intracellular calcium levels. It plays a critical role in cell proliferation migration and survival. PYK2 expresses widely in neuronal tissues hematopoietic cells and various epithelial cells.
Biological function summary

PYK2 interacts with integrins and G-protein-coupled receptors (GPCRs) linking extracellular signals to intracellular pathways. It forms complexes with other signaling molecules including Rac1 and c-Src facilitating downstream signaling. These interactions contribute to cellular communication and adhesion processes especially in the central nervous system and immune cells. Through its involvement in signal transduction PYK2 supports cellular responses to environmental changes.

Pathways

PYK2 participates in the MAPK and JNK signaling pathways. These pathways are critical for transmitting signals from the cell surface to the nucleus influencing cellular growth and stress responses. PYK2 interacts closely with other proteins such as Src and FAK which help coordinate signals that regulate cellular dynamics. Through these pathways PYK2 modulates processes involved in the structural reorganization of cells and tissues.

PYK2 has been linked to neurodegenerative diseases and certain types of cancers. In Alzheimer's disease PYK2 may contribute to synaptic dysfunction and cognitive decline as it interacts with amyloid-beta peptides and tau proteins. In cancer PYK2 overexpression can promote cancer cell invasion metastasis and resistance to apoptosis often in coordination with proteins like FAK. Therefore understanding the role of PYK2 in these conditions provides insights for therapeutic developments.

Product protocols

For this product, it's our understanding that no specific protocols are required. You can visit:

Target data

Non-receptor protein-tyrosine kinase that regulates reorganization of the actin cytoskeleton, cell polarization, cell migration, adhesion, spreading and bone remodeling. Plays a role in the regulation of the humoral immune response, and is required for normal levels of marginal B-cells in the spleen and normal migration of splenic B-cells. Required for normal macrophage polarization and migration towards sites of inflammation. Regulates cytoskeleton rearrangement and cell spreading in T-cells, and contributes to the regulation of T-cell responses. Promotes osteoclastic bone resorption; this requires both PTK2B/PYK2 and SRC. May inhibit differentiation and activity of osteoprogenitor cells. Functions in signaling downstream of integrin and collagen receptors, immune receptors, G-protein coupled receptors (GPCR), cytokine, chemokine and growth factor receptors, and mediates responses to cellular stress. Forms multisubunit signaling complexes with SRC and SRC family members upon activation; this leads to the phosphorylation of additional tyrosine residues, creating binding sites for scaffold proteins, effectors and substrates. Regulates numerous signaling pathways. Promotes activation of phosphatidylinositol 3-kinase and of the AKT1 signaling cascade. Promotes activation of NOS3. Regulates production of the cellular messenger cGMP. Promotes activation of the MAP kinase signaling cascade, including activation of MAPK1/ERK2, MAPK3/ERK1 and MAPK8/JNK1. Promotes activation of Rho family GTPases, such as RHOA and RAC1. Recruits the ubiquitin ligase MDM2 to P53/TP53 in the nucleus, and thereby regulates P53/TP53 activity, P53/TP53 ubiquitination and proteasomal degradation. Acts as a scaffold, binding to both PDPK1 and SRC, thereby allowing SRC to phosphorylate PDPK1 at 'Tyr-9, 'Tyr-373', and 'Tyr-376'. Promotes phosphorylation of NMDA receptors by SRC family members, and thereby contributes to the regulation of NMDA receptor ion channel activity and intracellular Ca(2+) levels. May also regulate potassium ion transport by phosphorylation of potassium channel subunits. Phosphorylates SRC; this increases SRC kinase activity. Phosphorylates ASAP1, NPHP1, KCNA2 and SHC1. Promotes phosphorylation of ASAP2, RHOU and PXN; this requires both SRC and PTK2/PYK2.
See full target information PTK2B phospho Y402

Publications (19)

Recent publications for all applications. Explore the full list and refine your search

Molecular biology of the cell 35:ar64 PubMed38507235

2024

CD56/NCAM mediates cell migration of human NK cells by promoting integrin-mediated adhesion turnover.

Applications

Unspecified application

Species

Unspecified reactive species

Amera L Martinez,Michael J Shannon,Tyler Sloan,Emily M Mace

Current issues in molecular biology 45:7058-7074 PubMed37754230

2023

Targeting FAK/PYK2 with SJP1602 for Anti-Tumor Activity in Triple-Negative Breast Cancer.

Applications

Unspecified application

Species

Unspecified reactive species

Myeongjin Jeon,Sungpyo Hong,Hyoungmin Cho,Hanbyeol Park,Soo-Min Lee,Soonkil Ahn

Circulation. Heart failure 16:e010294 PubMed37465947

2023

Inhibition of Pyk2 Improves Cx43 Intercalated Disc Localization, Infarct Size, and Cardiac Function in Rats With Heart Failure.

Applications

Unspecified application

Species

Unspecified reactive species

Li Zheng,Gaelle Spagnol,Devashri R Gandhi,Kanika Sharma,Vikas Kumar,Kaushik P Patel,Paul L Sorgen

Microbiology (Reading, England) 169: PubMed37311220

2023

PF-431396 hydrate inhibition of kinase phosphorylation during adherent-invasive infection inhibits intra-macrophage replication and inflammatory cytokine release.

Applications

Unspecified application

Species

Unspecified reactive species

Xiang Li,Michael J Ormsby,Ghaith Fallata,Lynsey M Meikle,Daniel Walker,Damo Xu,Daniel M Wall

Current research in pharmacology and drug discovery 4:100147 PubMed36632414

2023

A novel drug-like water-soluble small molecule Focal Adhesion Kinase (FAK) activator promotes intestinal mucosal healing.

Applications

Unspecified application

Species

Unspecified reactive species

Qinggang Wang,Ricardo Gallardo-Macias,Emilie E Vomhof-DeKrey,Rashmi Gupta,Svetlana A Golovko,Mikhail Y Golovko,Sema Oncel,Vadim J Gurvich,Marc D Basson

International journal of molecular medicine 49: PubMed35266010

2022

Potential mechanisms of osteoprotegerin-induced damage to osteoclast adhesion structures via P2X7R-mediated MAPK signaling.

Applications

Unspecified application

Species

Unspecified reactive species

Yonggang Ma,Xueni Shi,Hongyan Zhao,Ruilong Song,Hui Zou,Jiaqiao Zhu,Zongping Liu

Evidence-based complementary and alternative medicine : eCAM 2022:7857022 PubMed35047050

2022

Quanzhenyiqitang Reverses LPS-Induced Inflammation via Inhibiting PYK2/p38MAPK/HDAC2/CK2 Signaling Pathway in Rat Alveolar Macrophage.

Applications

Unspecified application

Species

Unspecified reactive species

Ke-Qiang Chen,Da-Zhi Li,Zhi-Bin Chen,Chuan-Lin Zhang,Bin-Can Wang,Chun-E Wang

Acta pharmacologica Sinica 43:797-810 PubMed34226665

2021

Pyk2 inhibition attenuates hypoxic-ischemic brain injury in neonatal mice.

Applications

Unspecified application

Species

Unspecified reactive species

Jie Zhu,Shi-Feng Chu,Ye Peng,Dan-Dan Liu,Chen Chen,Wen-Xuan Jian,Hong-Shuo Sun,Zhong-Ping Feng,Zhao Zhang,Nai-Hong Chen

Biomolecules 10: PubMed33080786

2020

Calmodulin Directly Interacts with the Cx43 Carboxyl-Terminus and Cytoplasmic Loop Containing Three ODDD-Linked Mutants (M147T, R148Q, and T154A) that Retain α-Helical Structure, but Exhibit Loss-of-Function and Cellular Trafficking Defects.

Applications

Unspecified application

Species

Unspecified reactive species

Li Zheng,Sylvie Chenavas,Fabien Kieken,Andrew Trease,Sarah Brownell,Asokan Anbanandam,Paul L Sorgen,Gaelle Spagnol

Brain communications 2:fcaa139 PubMed33718872

2020

Pyk2 overexpression in postsynaptic neurons blocks amyloid β-induced synaptotoxicity in microfluidic co-cultures.

Applications

Unspecified application

Species

Unspecified reactive species

Devrim Kilinc,Anaïs-Camille Vreulx,Tiago Mendes,Amandine Flaig,Diego Marques-Coelho,Maxime Verschoore,Florie Demiautte,Philippe Amouyel,Fanny Eysert,Pierre Dourlen,Julien Chapuis,Marcos R Costa,Nicolas Malmanche,Frédéric Checler,Jean-Charles Lambert
View all publications

Product promise

We are committed to supporting your work with high-quality reagents, and we're here for you every step of the way. In the unlikely event that one of our products does not perform as expected, you're protected by our Product Promise.
For full details, please see our Terms & Conditions

Please note: All products are 'FOR RESEARCH USE ONLY. NOT FOR USE IN DIAGNOSTIC OR THERAPEUTIC PROCEDURES'.

For licensing inquiries, please contact partnerships@abcam.com