JavaScript is disabled in your browser. Please enable JavaScript to view this website.
AB4807

Anti-PYK2 (phospho Y579 + Y580) antibody

Be the first to review this product! Submit a review

|

(1 Publication)

Rabbit Polyclonal PYK2 phospho Y579 + Y580 antibody. Suitable for ICC, IHC-P and reacts with Human, Mouse samples. Cited in 1 publication. Immunogen corresponding to Synthetic Peptide within Human PTK2B phospho Y579 + Y580.

View Alternative Names

FAK2, PYK2, RAFTK, PTK2B, Protein-tyrosine kinase 2-beta, Calcium-dependent tyrosine kinase, Calcium-regulated non-receptor proline-rich tyrosine kinase, Cell adhesion kinase beta, Focal adhesion kinase 2, Proline-rich tyrosine kinase 2, Related adhesion focal tyrosine kinase, CADTK, CAK-beta, CAKB, FADK 2

3 Images
Immunocytochemistry - Anti-PYK2 (phospho Y579 + Y580) antibody (AB4807)
  • ICC

Unknown

Immunocytochemistry - Anti-PYK2 (phospho Y579 + Y580) antibody (AB4807)

Immunocytochemistry analysis of A549 cells labelling PYK2 with ab4807 at 1/250 dilution. The cells were fixed with 4% paraformaldehyde for 10 minutes, permeabilized with 0.1% Triton™ X-100 for 10 minutes, and blocked with 1% BSA for 1 hour at room temperature. A Goat anti-Rabbit IgG (H+L) Superclonal™ Secondary Antibody, Alexa Fluor® 488 conjugate was used as a secondary antibody at 1 : 2000. Nuclei (Panel b : blue) were stained with DAPI. F-actin (Panel c : red) was stained with Alexa Fluor® 555 Rhodamine Phalloidin. Panel d is a merged image showing membranous localization. Panel e is untreated cell with no signal. Panel f is a no primary antibody control. The images were captured at 60X magnification.

Immunohistochemistry (Formalin/PFA-fixed paraffin-embedded sections) - Anti-PYK2 (phospho Y579 + Y580) antibody (AB4807)
  • IHC-P

Unknown

Immunohistochemistry (Formalin/PFA-fixed paraffin-embedded sections) - Anti-PYK2 (phospho Y579 + Y580) antibody (AB4807)

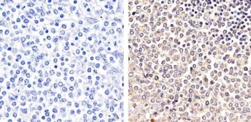
Immunohistochemistry analysis of human spleen tissue labelling Phospho-Pyk2 (pYpY579/580) with ab4807 at 1/20 dilution. Antigen retrieval was performed using 10mM sodium citrate (pH 6.0), microwaved for 8-15 min. Following antigen retrieval, tissues were blocked in 3% H2O2-methanol for 15 min at room temperature, washed with ddH2O and PBS. Tissues were counterstained with hematoxylin and dehydrated with ethanol and xylene to prep for mounting. A no was also produced antibody control (left).

Immunohistochemistry (Formalin/PFA-fixed paraffin-embedded sections) - Anti-PYK2 (phospho Y579 + Y580) antibody (AB4807)
  • IHC-P

Unknown

Immunohistochemistry (Formalin/PFA-fixed paraffin-embedded sections) - Anti-PYK2 (phospho Y579 + Y580) antibody (AB4807)

Immunohistochemistry analysis of mouse brain tissue labelling Phospho-Pyk2 (pYpY579/580) with ab4807 at 1/20 dilution. Antigen retrieval was performed using 10mM sodium citrate (pH 6.0), microwaved for 8-15 min. Following antigen retrieval, tissues were blocked in 3% H2O2-methanol for 15 min at room temperature, washed with ddH2O and PBS. Tissues were counterstained with hematoxylin and dehydrated with ethanol and xylene to prep for mounting. A no was also produced antibody control (left).

Key facts

Host species

Rabbit

Clonality

Polyclonal

Isotype

IgG

Carrier free

No

Reacts with

Mouse, Human

Applications

IHC-P, ICC

applications

Immunogen

Synthetic Peptide within Human PTK2B phospho Y579 + Y580. The exact immunogen used to generate this antibody is proprietary information.

Q14289

Specificity

Some cross-reactivity still may be experienced in cases where Focal Adhesion Kinase is overexpressed relative to PYK 2 within the same cell system.

Reactivity data

{ "title": "Reactivity Data", "filters": { "stats": ["", "Species", "Dilution Info", "Notes"], "tabs": { "all-applications": {"fullname" : "All Applications", "shortname": "All Applications"}, "ICC" : {"fullname" : "Immunocytochemistry", "shortname":"ICC"}, "IHCP" : {"fullname" : "Immunohistochemistry (Formalin/PFA-fixed paraffin-embedded sections)", "shortname":"IHC-P"} }, "product-promise": { "all": "all", "testedAndGuaranteed": "tested", "guaranteed": "expected", "predicted": "predicted", "notRecommended": "not-recommended" } }, "values": { "Human": { "ICC-species-checked": "testedAndGuaranteed", "ICC-species-dilution-info": "1/250", "ICC-species-notes": "<p></p>", "IHCP-species-checked": "testedAndGuaranteed", "IHCP-species-dilution-info": "1/10 - 1/100", "IHCP-species-notes": "<p></p>" }, "Mouse": { "ICC-species-checked": "guaranteed", "ICC-species-dilution-info": "", "ICC-species-notes": "", "IHCP-species-checked": "testedAndGuaranteed", "IHCP-species-dilution-info": "1/10 - 1/100", "IHCP-species-notes": "<p></p>" } } }

Properties and storage information

Form
Liquid
Purification technique
Affinity purification Immunogen
Purification notes
Purified from rabbit serum by sequential epitope-specific chromatography. The antibody has been negatively preadsorbed using (i) a non-phosphopeptide corresponding to the site of phosphorylation to remove antibody that is reactive with non-phosphorylated PYK 2, (ii) a generic tyrosine phosphorylated peptide to remove antibody that is reactive with phosphotyrosine, irrespective of the sequence, and (iii) a phosphopeptide derived from the corresponding region of Focal Adhesion Kinase (a PYK 2-related protein) to remove antibody that is reactive with phosphorylated Focal Adhesion Kinase protein. The final product is generated by affinity chromatography using a PYK 2-derived peptide that is phosphorylated at tyrosines 579 and 580.
Storage buffer
pH: 7.3 Constituents: PBS, 50% Glycerol (glycerin, glycerine), 1% BSA
Shipped at conditions
Blue Ice
Appropriate short-term storage conditions
+4°C
Appropriate long-term storage conditions
-20°C
Aliquoting information
Upon delivery aliquot
Storage information
Avoid freeze / thaw cycle

Supplementary information

This supplementary information is collated from multiple sources and compiled automatically.

PYK2 also known as Protein Tyrosine Kinase 2 Beta (PTK2B) is a protein with a mass of approximately 116 kDa. This enzyme belongs to the focal adhesion kinase (FAK) family and functions as a non-receptor protein tyrosine kinase. Mechanically PYK2 is involved in calcium-dependent signaling and is activated by increases in intracellular calcium levels. It plays a critical role in cell proliferation migration and survival. PYK2 expresses widely in neuronal tissues hematopoietic cells and various epithelial cells.
Biological function summary

PYK2 interacts with integrins and G-protein-coupled receptors (GPCRs) linking extracellular signals to intracellular pathways. It forms complexes with other signaling molecules including Rac1 and c-Src facilitating downstream signaling. These interactions contribute to cellular communication and adhesion processes especially in the central nervous system and immune cells. Through its involvement in signal transduction PYK2 supports cellular responses to environmental changes.

Pathways

PYK2 participates in the MAPK and JNK signaling pathways. These pathways are critical for transmitting signals from the cell surface to the nucleus influencing cellular growth and stress responses. PYK2 interacts closely with other proteins such as Src and FAK which help coordinate signals that regulate cellular dynamics. Through these pathways PYK2 modulates processes involved in the structural reorganization of cells and tissues.

PYK2 has been linked to neurodegenerative diseases and certain types of cancers. In Alzheimer's disease PYK2 may contribute to synaptic dysfunction and cognitive decline as it interacts with amyloid-beta peptides and tau proteins. In cancer PYK2 overexpression can promote cancer cell invasion metastasis and resistance to apoptosis often in coordination with proteins like FAK. Therefore understanding the role of PYK2 in these conditions provides insights for therapeutic developments.

Product protocols

For this product, it's our understanding that no specific protocols are required. You can visit:

Target data

Non-receptor protein-tyrosine kinase that regulates reorganization of the actin cytoskeleton, cell polarization, cell migration, adhesion, spreading and bone remodeling. Plays a role in the regulation of the humoral immune response, and is required for normal levels of marginal B-cells in the spleen and normal migration of splenic B-cells. Required for normal macrophage polarization and migration towards sites of inflammation. Regulates cytoskeleton rearrangement and cell spreading in T-cells, and contributes to the regulation of T-cell responses. Promotes osteoclastic bone resorption; this requires both PTK2B/PYK2 and SRC. May inhibit differentiation and activity of osteoprogenitor cells. Functions in signaling downstream of integrin and collagen receptors, immune receptors, G-protein coupled receptors (GPCR), cytokine, chemokine and growth factor receptors, and mediates responses to cellular stress. Forms multisubunit signaling complexes with SRC and SRC family members upon activation; this leads to the phosphorylation of additional tyrosine residues, creating binding sites for scaffold proteins, effectors and substrates. Regulates numerous signaling pathways. Promotes activation of phosphatidylinositol 3-kinase and of the AKT1 signaling cascade. Promotes activation of NOS3. Regulates production of the cellular messenger cGMP. Promotes activation of the MAP kinase signaling cascade, including activation of MAPK1/ERK2, MAPK3/ERK1 and MAPK8/JNK1. Promotes activation of Rho family GTPases, such as RHOA and RAC1. Recruits the ubiquitin ligase MDM2 to P53/TP53 in the nucleus, and thereby regulates P53/TP53 activity, P53/TP53 ubiquitination and proteasomal degradation. Acts as a scaffold, binding to both PDPK1 and SRC, thereby allowing SRC to phosphorylate PDPK1 at 'Tyr-9, 'Tyr-373', and 'Tyr-376'. Promotes phosphorylation of NMDA receptors by SRC family members, and thereby contributes to the regulation of NMDA receptor ion channel activity and intracellular Ca(2+) levels. May also regulate potassium ion transport by phosphorylation of potassium channel subunits. Phosphorylates SRC; this increases SRC kinase activity. Phosphorylates ASAP1, NPHP1, KCNA2 and SHC1. Promotes phosphorylation of ASAP2, RHOU and PXN; this requires both SRC and PTK2/PYK2.
See full target information PTK2B phospho Y579 + Y580

Publications (1)

Recent publications for all applications. Explore the full list and refine your search

Molecular and cellular neurosciences 45:101-7 PubMed20558294

2010

Circulating neprilysin clears brain amyloid.

Applications

Unspecified application

Species

Unspecified reactive species

Yinxing Liu,Christa Studzinski,Tina Beckett,M Paul Murphy,Ronald L Klein,Louis B Hersh
View all publications

Product promise

We are committed to supporting your work with high-quality reagents, and we're here for you every step of the way. In the unlikely event that one of our products does not perform as expected, you're protected by our Product Promise.
For full details, please see our Terms & Conditions

Please note: All products are 'FOR RESEARCH USE ONLY. NOT FOR USE IN DIAGNOSTIC OR THERAPEUTIC PROCEDURES'.

For licensing inquiries, please contact partnerships@abcam.com