JavaScript is disabled in your browser. Please enable JavaScript to view this website.
AB223132

Anti-Pyrin antibody [EPR18675] - BSA and Azide free

Be the first to review this product! Submit a review

|

(1 Publication)

Rabbit Recombinant Monoclonal Pyrin antibody. Carrier free. Suitable for IP, WB and reacts with Mouse samples. Cited in 1 publication.

View Alternative Names

Pyrin, Mefv

4 Images
Immunoprecipitation - Anti-Pyrin antibody [EPR18675] - BSA and Azide free (AB223132)
  • IP

Lab

Immunoprecipitation - Anti-Pyrin antibody [EPR18675] - BSA and Azide free (AB223132)

This data was developed using ab214772, the same antibody clone in a different buffer formulation.

Blocking and diluting buffer and concentration : 5% NFDM/TBST.

VeriBlot for IP secondary antibody(HRP)(ab131366) ws used as a secondary.

To minimize protein degradation, cells were lysed immediately after harvest and then applied to a gel and transfer membrane for Western blotting as soon as possible.

This blot was developed using a high-sensitivity ECL substrate, allowing for the detection of proteins in the mid-femtogram range.

All lanes:

Immunoprecipitation - Anti-Pyrin antibody [EPR18675] (<a href='/en-us/products/primary-antibodies/pyrin-antibody-epr18675-ab214772'>ab214772</a>) at 1/1000 dilution

Lane 1:

Mouse spleen tissue whole cell lysate at 10 µg

Lane 2:

<a href='/en-us/products/primary-antibodies/pyrin-antibody-epr18675-ab214772'>ab214772</a> at 1/30 IP in Mouse spleen tissue whole cell lysate at 10 µg

Lane 3:

Rabbit monoclonal IgG (<a href='/en-us/products/primary-antibodies/rabbit-igg-monoclonal-epr25a-isotype-control-ab172730'>ab172730</a>) instead of <a href='/en-us/products/primary-antibodies/pyrin-antibody-epr18675-ab214772'>ab214772</a> in mouse spleen tissue whole cell lysate at 10 µg

Secondary

All lanes:

Immunoprecipitation - VeriBlot for IP Detection Reagent (HRP) (<a href='/en-us/products/reagents/veriblot-for-ip-detection-reagent-hrp-ab131366'>ab131366</a>) at 1/5000 dilution

Observed band size: 86-110 kDa

true

Exposure time: 41s

Western blot - Anti-Pyrin antibody [EPR18675] - BSA and Azide free (AB223132)
  • WB

Supplier Data

Western blot - Anti-Pyrin antibody [EPR18675] - BSA and Azide free (AB223132)

This data was developed using the same antibody clone in a different buffer formulation containing PBS, BSA, glycerol, and sodium azide (ab214772).

Blocking/Dilution buffer : 5% NFDM/TBST.

The lysates were kindly provided by our collaborator Dr Feng Shao's lab, NIBS.

All lanes:

Western blot - Anti-Pyrin antibody [EPR18675] (<a href='/en-us/products/primary-antibodies/pyrin-antibody-epr18675-ab214772'>ab214772</a>) at 1/1000 dilution

Lane 1:

Bone marrow derived-macrophage of Pyrin -/- mice at 10 µg

Lane 2:

Bone marrow derived-macrophage of Pyrin -/- mice stimulated with LPS at 10 µg

Lane 3:

Bone marrow derived-macrophage of wild type C57/B6 mice at 10 µg

Lane 4:

Bone marrow derived-macrophage of wild type C57/B6 mice stimulated with LPS at 10 µg

Secondary

All lanes:

Western blot - Goat Anti-Rabbit IgG H&L (HRP) (<a href='/en-us/products/secondary-antibodies/goat-rabbit-igg-h-l-hrp-ab97051'>ab97051</a>) at 1/20000 dilution

Predicted band size: 86 kDa

Observed band size: 110 kDa

false

Exposure time: 1min

Western blot - Anti-Pyrin antibody [EPR18675] - BSA and Azide free (AB223132)
  • WB

Lab

Western blot - Anti-Pyrin antibody [EPR18675] - BSA and Azide free (AB223132)

This data was developed using ab214772, the same antibody clone in a different buffer formulation.

Blocking and diluting buffer and concentration : 5% NFDM/TBST.

In Western blot, Anti-GAPDH antibody [EPR16891] - Loading Control (ab181602) staining at 1/200000 dilution.

Negative control : heart.

To minimize protein degradation, cells/tissues were lysed immediately after harvest and then applied to a gel and transfer membrane for Western blotting as soon as possible.

The identity of the band between 75 kDa and 50 kDa is unknown.

All lanes:

Western blot - Anti-Pyrin antibody [EPR18675] (<a href='/en-us/products/primary-antibodies/pyrin-antibody-epr18675-ab214772'>ab214772</a>) at 1/1000 dilution

Lane 1:

Mouse spleen tissue lysate at 20 µg

Lane 2:

Mouse heart tissue lysate at 20 µg

Secondary

All lanes:

Western blot - Goat Anti-Rabbit IgG H&L (HRP) (<a href='/en-us/products/secondary-antibodies/goat-rabbit-igg-h-l-hrp-ab97051'>ab97051</a>) at 1/20000 dilution

Observed band size: 86-110 kDa

false

Exposure time: 180s

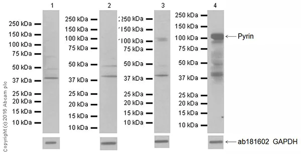
Western blot - Anti-Pyrin antibody [EPR18675] - BSA and Azide free (AB223132)
  • WB

Lab

Western blot - Anti-Pyrin antibody [EPR18675] - BSA and Azide free (AB223132)

This data was developed using ab214772, the same antibody clone in a different buffer formulation.

Blocking and diluting buffer and concentration : 5% NFDM/TBST.

In Western blot, Anti-GAPDH antibody [EPR16891] - Loading Control (ab181602) staining at 1/200000 dilution.

Negative control : lung, skeletal muscle and kidney.

To minimize protein degradation, cells/tissues were lysed immediately after harvest and then applied to a gel and transfer membrane for Western blotting as soon as possible.

All lanes:

Western blot - Anti-Pyrin antibody [EPR18675] (<a href='/en-us/products/primary-antibodies/pyrin-antibody-epr18675-ab214772'>ab214772</a>) at 1/1000 dilution

Lane 1:

Mouse spleen tissue lysate at 20 µg

Lane 2:

Mouse lung tissue lysate at 20 µg

Lane 3:

Mouse skeletal muscle tissue lysate at 20 µg

Lane 4:

Mouse kidney tissue lysate at 20 µg

Secondary

All lanes:

Western blot - Goat Anti-Rabbit IgG H&L (HRP) (<a href='/en-us/products/secondary-antibodies/goat-rabbit-igg-h-l-hrp-ab97051'>ab97051</a>) at 1/20000 dilution

Observed band size: 86-110 kDa

false

Exposure time: 180s

Key facts

Host species

Rabbit

Clonality

Monoclonal

Clone number

EPR18675

Isotype

IgG

Carrier free

Yes

Reacts with

Mouse

Applications

IP, WB

applications

Immunogen

The exact immunogen used to generate this antibody is proprietary information.

Reactivity data

{ "title": "Reactivity Data", "filters": { "stats": ["", "Species", "Dilution Info", "Notes"], "tabs": { "all-applications": {"fullname" : "All Applications", "shortname": "All Applications"}, "IP" : {"fullname" : "Immunoprecipitation", "shortname":"IP"}, "WB" : {"fullname" : "Western blot", "shortname":"WB"} }, "product-promise": { "all": "all", "testedAndGuaranteed": "tested", "guaranteed": "expected", "predicted": "predicted", "notRecommended": "not-recommended" } }, "values": { "Mouse": { "IP-species-checked": "testedAndGuaranteed", "IP-species-dilution-info": "", "IP-species-notes": "<p></p>", "WB-species-checked": "testedAndGuaranteed", "WB-species-dilution-info": "", "WB-species-notes": "<p></p>" } } }

Product details

ab223132 is the carrier-free version of ab214772.

Patented technology
Our RabMAb® technology is a patented hybridoma-based technology for making rabbit monoclonal antibodies. For details on our patents, please refer to RabMAb® patents.

What are the advantages of a recombinant monoclonal antibody?
This product is a recombinant monoclonal antibody, which offers several advantages including:

  • - High batch-to-batch consistency and reproducibility
  • - Improved sensitivity and specificity
  • - Long-term security of supply
  • - Animal-free batch production

For more information, read more on recombinant antibodies.

Conjugation ready
Our carrier-free antibodies are typically supplied in a PBS-only formulation, purified and free of BSA, sodium azide and glycerol. This conjugation-ready format is designed for use with fluorochromes, metal isotopes, oligonucleotides, and enzymes, which makes them ideal for antibody labelling, functional and cell-based assays, flow-based assays (e.g. mass cytometry) and Multiplex Imaging applications.

Use our conjugation kits for antibody conjugates that are ready-to-use in as little as 20 minutes with 1 minute hands-on-time and 100% antibody recovery: available for fluorescent dyes, HRP, biotin and gold.

Compatibility
This product is compatible with the Maxpar® Antibody Labeling Kit from Fluidigm, without the need for antibody preparation. Maxpar® is a trademark of Fluidigm Canada Inc.

Properties and storage information

Form
Liquid
Purification technique
Affinity purification Protein A
Storage buffer
pH: 7.2 - 7.4 Constituents: PBS
Shipped at conditions
Blue Ice
Appropriate short-term storage conditions
+4°C
Appropriate long-term storage conditions
+4°C
Storage information
Do Not Freeze

Supplementary information

This supplementary information is collated from multiple sources and compiled automatically.

Pyrin also known as marenostrin or MEFV is a protein involved in the innate immune response. It has a molecular mass of about 88 kDa. Pyrin gets mainly expressed in neutrophils and macrophages cells integral to the body's defensive mechanisms. Mechanically this protein plays a role in modulating the assembly of inflammasomes which are multiprotein complexes essential for the production of pro-inflammatory cytokines such as interleukin-1 beta.
Biological function summary

Pyrin functions by interacting with the cytosolic adapter protein ASC forming part of the pyrin inflammasome complex. This interaction initiates an inflammatory response. The pyrin-meditated inflammasome assembly is important in regulating the body's response to pathogenic microorganisms and cellular stress. In addition to its immune role pyrin may regulate apoptosis the process of programmed cell death under certain conditions.

Pathways

The pyrin protein is a critical component of the inflammasome signaling pathway and the interleukin-1 signaling pathway. Within these pathways pyrin interacts directly with proteins like caspase-1 which processes pro-inflammatory cytokines into their active forms. These pathways play significant roles in various immune responses and help maintain homeostasis by modulating inflammation and cell death processes.

Pyrin mutations are linked to Familial Mediterranean Fever (FMF) and Behçet's disease. FMF a hereditary inflammatory disorder results from pyrin's inability to properly regulate inflammasome activity causing recurrent fever abdominal pain and inflammation in joints and skin. Additionally Behçet's disease characterized by recurrent oral and genital ulcers is associated with abnormal pyrin functioning. Changes in the pyrin protein may also interact with proteins like NLRP3 influencing susceptibility to these conditions.

Product protocols

For this product, it's our understanding that no specific protocols are required. You can visit:

Target data

Involved in the regulation of innate immunity and the inflammatory response in response to IFNG/IFN-gamma (PubMed : 34471287). Organizes autophagic machinery by serving as a platform for the assembly of ULK1, Beclin 1/BECN1, ATG16L1, and ATG8 family members and recognizes specific autophagy targets, thus coordinating target recognition with assembly of the autophagic apparatus and initiation of autophagy (By similarity). Acts as an autophagy receptor for the degradation of several inflammasome components, including CASP1, NLRP1 and NLRP3, hence preventing excessive IL1B- and IL18-mediated inflammation (By similarity). However, it can also have a positive effect in the inflammatory pathway, acting as an innate immune sensor that triggers PYCARD/ASC specks formation, caspase-1 activation, and IL1B and IL18 production (By similarity). Together with AIM2, also acts as a mediator of pyroptosis, necroptosis and apoptosis (PANoptosis), an integral part of host defense against pathogens, in response to bacterial infection (PubMed : 34471287). It is required for PSTPIP1-induced PYCARD/ASC oligomerization and inflammasome formation (By similarity). Recruits PSTPIP1 to inflammasomes, and is required for PSTPIP1 oligomerization (By similarity).
See full target information Mefv

Publications (1)

Recent publications for all applications. Explore the full list and refine your search

Nature communications 16:8882 PubMed41053097

2025

The Hippo terminal effector YAP boosts enterovirus replication in type 1 diabetes.

Applications

Unspecified application

Species

Unspecified reactive species

Shirin Geravandi,Huan Liu,Heena Pahwa,Murali Krishna Madduri,Farah Atawneh,Adib Miraki Feriz,Sahar Rafizadeh,Annabelle Elisabeth Kruf,Mona Khazaei,Pouria Bahrami,David Gotti,Mohamed Elawour,Ruth M Elgamal,Ausilia Maria Grasso,David Bund,Blaz Lupse,Zahra Azizi,Omar Zabad,Karim Bouzakri,Marc Horwitz,Alberto Pugliese,Kathrin Maedler,Amin Ardestani
View all publications

Product promise

We are committed to supporting your work with high-quality reagents, and we're here for you every step of the way. In the unlikely event that one of our products does not perform as expected, you're protected by our Product Promise.
For full details, please see our Terms & Conditions

Please note: All products are 'FOR RESEARCH USE ONLY. NOT FOR USE IN DIAGNOSTIC OR THERAPEUTIC PROCEDURES'.

For licensing inquiries, please contact partnerships@abcam.com