JavaScript is disabled in your browser. Please enable JavaScript to view this website.
AB195975

Anti-Pyrin antibody [EPR18676]

Be the first to review this product! Submit a review

|

(17 Publications)

Rabbit Recombinant Monoclonal Pyrin antibody. Suitable for IP, WB and reacts with Mouse samples. Cited in 17 publications.

View Alternative Names

MEF, TRIM20, MEFV, Pyrin, Marenostrin

3 Images
Immunoprecipitation - Anti-Pyrin antibody [EPR18676] (AB195975)
  • IP

Supplier Data

Immunoprecipitation - Anti-Pyrin antibody [EPR18676] (AB195975)

Pyrin was immunoprecipitated from DC2.4 (Human immature dendritic cell line) stable Pyrin expression whole cell lysate with ab195975 at 1/100 dilution. Western blot was performed from the immunoprecipitate using ab195975 at 1/1000 dilution. Goat anti-Rabbit IgG (H+L), was used as secondary antibody at 1/5000 dilution.

Blocking and dilution buffer and concentration : 5% NFDM/TBST.

Exposure time : 30 seconds.

The image was kindly provided by Dr Feng Shao's lab, NIBS.

All lanes:

Immunoprecipitation - Anti-Pyrin antibody [EPR18676] (ab195975) at 1/100 dilution

Lane 1:

DC2.4 whole cell lysate

Lanes 2 - 3:

DC2.4 stable Pyrin expression whole cell lysate

Lane 4:

ab195975 IP in DC2.4 whole cell lysate

Lane 5:

ab195975 IP in DC2.4 stable Pyrin expression whole cell lysate

Lane 6:

Mock IP (without ab195975) in DC2.4 stable Pyrin expression whole cell lysate

Predicted band size: 86 kDa

false

Exposure time: 30s

Western blot - Anti-Pyrin antibody [EPR18676] (AB195975)
  • WB

Supplier Data

Western blot - Anti-Pyrin antibody [EPR18676] (AB195975)

Blocking/Dilution buffer : 5% milk/TBST.

The image was kindly provided by our collaborator Dr Feng Shao's lab, NIBS.

All lanes:

Western blot - Anti-Pyrin antibody [EPR18676] (ab195975) at 1/1000 dilution

Lane 1:

Bone marrow derived-macrophage of Pyrin -/- mice at 5 µg

Lane 2:

Bone marrow derived-macrophage of Pyrin -/- mice stimulated with LPS at 5 µg

Lane 3:

Bone marrow derived-macrophage of Pyrin -/- mice stimulated with TNF alpha at 5 µg

Lane 4:

Bone marrow derived-macrophage of wild type C57/B6 mice at 5 µg

Lane 5:

Bone marrow derived-macrophage of wild type C57/B6 mice stimulated with LPS at 5 µg

Lane 6:

Bone marrow derived-macrophage of wild type C57/B6 mice stimulated with TNF alpha at 5 µg

Secondary

All lanes:

Goat anti-Rabbit IgG (H+L) at 1/5000 dilution

Predicted band size: 86 kDa

Observed band size: 110 kDa

false

Exposure time: 60s

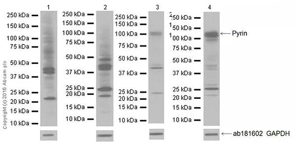
Western blot - Anti-Pyrin antibody [EPR18676] (AB195975)
  • WB

Supplier Data

Western blot - Anti-Pyrin antibody [EPR18676] (AB195975)

Blocking/Dilution buffer : 5% NFDM/TBST.

The lysates were kindly provided by our collaborator Dr Feng Shao's lab, NIBS.

All lanes:

Western blot - Anti-Pyrin antibody [EPR18676] (ab195975) at 1/50 dilution

Lane 1:

Bone marrow derived-macrophage Pyrin -/- mice at 10 µg

Lane 2:

Bone marrow derived-macrophage Pyrin -/- mice stimulated with LPS at 10 µg

Lane 3:

Bone marrow derived-macrophage of wild type C57/B6 mice at 10 µg

Lane 4:

Bone marrow derived-macrophage of wild type C57/B6 mice stimulated with LPS at 10 µg

Secondary

All lanes:

Western blot - Goat Anti-Rabbit IgG H&L (HRP) (<a href='/en-us/products/secondary-antibodies/goat-rabbit-igg-h-l-hrp-ab97051'>ab97051</a>) at 1/2000 dilution

Predicted band size: 86 kDa

false

Exposure time: 30s

  • Carrier free

    Anti-Pyrin antibody [EPR18676] - BSA and Azide free

Key facts

Host species

Rabbit

Clonality

Monoclonal

Clone number

EPR18676

Isotype

IgG

Carrier free

No

Reacts with

Mouse

Applications

WB, IP

applications

Immunogen

The exact immunogen used to generate this antibody is proprietary information.

Reactivity data

{ "title": "Reactivity Data", "filters": { "stats": ["", "Species", "Dilution Info", "Notes"], "tabs": { "all-applications": {"fullname" : "All Applications", "shortname": "All Applications"}, "IP" : {"fullname" : "Immunoprecipitation", "shortname":"IP"}, "WB" : {"fullname" : "Western blot", "shortname":"WB"} }, "product-promise": { "all": "all", "testedAndGuaranteed": "tested", "guaranteed": "expected", "predicted": "predicted", "notRecommended": "not-recommended" } }, "values": { "Mouse": { "IP-species-checked": "testedAndGuaranteed", "IP-species-dilution-info": "1/100", "IP-species-notes": "<p></p>", "WB-species-checked": "testedAndGuaranteed", "WB-species-dilution-info": "1/1000", "WB-species-notes": "<p></p>" } } }

Product details

Patented technology
Our RabMAb® technology is a patented hybridoma-based technology for making rabbit monoclonal antibodies. For details on our patents, please refer to RabMAb® patents.

What are the advantages of a recombinant monoclonal antibody?
This product is a recombinant monoclonal antibody, which offers several advantages including:

  • - High batch-to-batch consistency and reproducibility
  • - Improved sensitivity and specificity
  • - Long-term security of supply
  • - Animal-free batch production

For more information, read more on recombinant antibodies.

Properties and storage information

Form
Liquid
Purification technique
Affinity purification Protein A
Storage buffer
pH: 7.2 - 7.4 Preservative: 0.01% Sodium azide Constituents: PBS, 40% Glycerol (glycerin, glycerine), 0.05% BSA
Shipped at conditions
Blue Ice
Appropriate short-term storage duration
1-2 weeks
Appropriate short-term storage conditions
+4°C
Appropriate long-term storage conditions
-20°C
Aliquoting information
Upon delivery aliquot
Storage information
Avoid freeze / thaw cycle

Supplementary information

This supplementary information is collated from multiple sources and compiled automatically.

Pyrin also known as marenostrin or MEFV is a protein involved in the innate immune response. It has a molecular mass of about 88 kDa. Pyrin gets mainly expressed in neutrophils and macrophages cells integral to the body's defensive mechanisms. Mechanically this protein plays a role in modulating the assembly of inflammasomes which are multiprotein complexes essential for the production of pro-inflammatory cytokines such as interleukin-1 beta.
Biological function summary

Pyrin functions by interacting with the cytosolic adapter protein ASC forming part of the pyrin inflammasome complex. This interaction initiates an inflammatory response. The pyrin-meditated inflammasome assembly is important in regulating the body's response to pathogenic microorganisms and cellular stress. In addition to its immune role pyrin may regulate apoptosis the process of programmed cell death under certain conditions.

Pathways

The pyrin protein is a critical component of the inflammasome signaling pathway and the interleukin-1 signaling pathway. Within these pathways pyrin interacts directly with proteins like caspase-1 which processes pro-inflammatory cytokines into their active forms. These pathways play significant roles in various immune responses and help maintain homeostasis by modulating inflammation and cell death processes.

Pyrin mutations are linked to Familial Mediterranean Fever (FMF) and Behçet's disease. FMF a hereditary inflammatory disorder results from pyrin's inability to properly regulate inflammasome activity causing recurrent fever abdominal pain and inflammation in joints and skin. Additionally Behçet's disease characterized by recurrent oral and genital ulcers is associated with abnormal pyrin functioning. Changes in the pyrin protein may also interact with proteins like NLRP3 influencing susceptibility to these conditions.

Product protocols

For this product, it's our understanding that no specific protocols are required. You can visit:

Target data

Involved in the regulation of innate immunity and the inflammatory response in response to IFNG/IFN-gamma (PubMed : 10807793, PubMed : 11468188, PubMed : 16037825, PubMed : 16785446, PubMed : 17431422, PubMed : 17964261, PubMed : 18577712, PubMed : 19109554, PubMed : 19584923, PubMed : 26347139, PubMed : 27030597, PubMed : 28835462). Organizes autophagic machinery by serving as a platform for the assembly of ULK1, Beclin 1/BECN1, ATG16L1, and ATG8 family members and recognizes specific autophagy targets, thus coordinating target recognition with assembly of the autophagic apparatus and initiation of autophagy (PubMed : 16785446, PubMed : 17431422, PubMed : 26347139). Acts as an autophagy receptor for the degradation of several inflammasome components, including CASP1, NLRP1 and NLRP3, hence preventing excessive IL1B- and IL18-mediated inflammation (PubMed : 16785446, PubMed : 17431422, PubMed : 26347139). However, it can also have a positive effect in the inflammatory pathway, acting as an innate immune sensor that triggers PYCARD/ASC specks formation, caspase-1 activation, and IL1B and IL18 production (PubMed : 16037825, PubMed : 27030597, PubMed : 28835462). Together with AIM2, also acts as a mediator of pyroptosis, necroptosis and apoptosis (PANoptosis), an integral part of host defense against pathogens, in response to bacterial infection (By similarity). It is required for PSTPIP1-induced PYCARD/ASC oligomerization and inflammasome formation (PubMed : 10807793, PubMed : 11468188, PubMed : 17964261, PubMed : 18577712, PubMed : 19109554, PubMed : 19584923). Recruits PSTPIP1 to inflammasomes, and is required for PSTPIP1 oligomerization (PubMed : 10807793, PubMed : 11468188, PubMed : 17964261, PubMed : 18577712, PubMed : 19109554, PubMed : 19584923).
See full target information MEFV

Publications (17)

Recent publications for all applications. Explore the full list and refine your search

Investigative ophthalmology & visual science 66:33 PubMed39808118

2025

Piezo1 Enhances Macrophage Phagocytosis and Pyrin Activation to Ameliorate Fungal Keratitis.

Applications

Unspecified application

Species

Unspecified reactive species

Jiahui Yang,Jing Zhong,Zhenyuan Fu,Dalian He,Jing Zhang,Jin Yuan

Cellular & molecular immunology 20:1513-1526 PubMed38008850

2023

Integrated NLRP3, AIM2, NLRC4, Pyrin inflammasome activation and assembly drive PANoptosis.

Applications

Unspecified application

Species

Unspecified reactive species

SuHyeon Oh,Jihye Lee,Jueun Oh,Gyoengju Yu,Haesun Ryu,Daesik Kim,SangJoon Lee

mBio 14:e0206623 PubMed37787552

2023

Phosphoprotein phosphatase activity positively regulates oligomeric pyrin to trigger inflammasome assembly in phagocytes.

Applications

Unspecified application

Species

Unspecified reactive species

Haleema S Malik,Flora Magnotti,Nicole A Loeven,Jose M Delgado,Arminja N Kettenbach,Thomas Henry,James B Bliska

Frontiers in immunology 14:1146612 PubMed37051243

2023

Alpha-linolenic acid pretreatment alleviates NETs-induced alveolar macrophage pyroptosis by inhibiting pyrin inflammasome activation in a mouse model of sepsis-induced ALI/ARDS.

Applications

Unspecified application

Species

Unspecified reactive species

Chenchen Liu,Yu Zhou,Qing Tu,Liangfang Yao,Jinbao Li,Zhongwei Yang

Cell death & disease 13:1020 PubMed36470869

2022

FUNDC1 protects against doxorubicin-induced cardiomyocyte PANoptosis through stabilizing mtDNA via interaction with TUFM.

Applications

Unspecified application

Species

Unspecified reactive species

Yaguang Bi,Haixia Xu,Xiang Wang,Hong Zhu,Junbo Ge,Jun Ren,Yingmei Zhang

Cell reports 41:111688 PubMed36417874

2022

Neutrophil inflammasomes sense the subcellular delivery route of translocated bacterial effectors and toxins.

Applications

Unspecified application

Species

Unspecified reactive species

Changhoon Oh,Lupeng Li,Ambika Verma,Arianna D Reuven,Edward A Miao,James B Bliska,Youssef Aachoui

JACC. Basic to translational science 6:964-980 PubMed35024502

2021

Rivaroxaban, a Direct Oral Factor Xa Inhibitor, Attenuates Atherosclerosis by Alleviating Factor Xa-PAR2-Mediated Autophagy Suppression.

Applications

Unspecified application

Species

Unspecified reactive species

Yusuke Ito,Yasuhiro Maejima,Shun Nakagama,Yuka Shiheido-Watanabe,Natsuko Tamura,Tetsuo Sasano

mBio 12:e0209821 PubMed34579569

2021

The Burkholderia cenocepacia Type VI Secretion System Effector TecA Is a Virulence Factor in Mouse Models of Lung Infection.

Applications

Unspecified application

Species

Unspecified reactive species

Nicole A Loeven,Andrew I Perault,Peggy A Cotter,Craig A Hodges,Joseph D Schwartzman,Thomas H Hampton,James B Bliska

Nature 597:415-419 PubMed34471287

2021

AIM2 forms a complex with pyrin and ZBP1 to drive PANoptosis and host defence.

Applications

Unspecified application

Species

Unspecified reactive species

SangJoon Lee,Rajendra Karki,Yaqiu Wang,Lam Nhat Nguyen,Ravi C Kalathur,Thirumala-Devi Kanneganti

Journal of immunology (Baltimore, Md. : 1950) 205:2778-2785 PubMed32989095

2020

RIPK3 Promotes Expression and Pyrin Inflammasome Activation via Modulation of mTOR Signaling.

Applications

Unspecified application

Species

Unspecified reactive species

Deepika Sharma,Ankit Malik,Arjun Balakrishnan,R K Subbarao Malireddi,Thirumala-Devi Kanneganti
View all publications

Product promise

We are committed to supporting your work with high-quality reagents, and we're here for you every step of the way. In the unlikely event that one of our products does not perform as expected, you're protected by our Product Promise.
For full details, please see our Terms & Conditions

Please note: All products are 'FOR RESEARCH USE ONLY. NOT FOR USE IN DIAGNOSTIC OR THERAPEUTIC PROCEDURES'.

For licensing inquiries, please contact partnerships@abcam.com