JavaScript is disabled in your browser. Please enable JavaScript to view this website.
AB126224

Anti-Pyruvate Dehydrogenase E2 antibody

5

(1 Review)

|

(5 Publications)

Rabbit Polyclonal Pyruvate Dehydrogenase E2 antibody. Suitable for WB, ICC/IF and reacts with Human samples. Cited in 5 publications. Immunogen corresponding to Recombinant Fragment Protein within Human DLAT aa 300-550.

View Alternative Names

DLTA, DLAT, 70 kDa mitochondrial autoantigen of primary biliary cirrhosis, Dihydrolipoamide acetyltransferase component of pyruvate dehydrogenase complex, M2 antigen complex 70 kDa subunit, Pyruvate dehydrogenase complex component E2, PBC, PDC-E2, PDCE2

3 Images
Immunocytochemistry/ Immunofluorescence - Anti-Pyruvate Dehydrogenase E2 antibody (AB126224)
  • ICC/IF

Supplier Data

Immunocytochemistry/ Immunofluorescence - Anti-Pyruvate Dehydrogenase E2 antibody (AB126224)

Immunofluorescence analysis of HeLa cells fixed in ice-cold MeOH for 5 min labelling DLAT protein at mitochondria using ab126224 at a 1/500 dilution (Green). Hoechst 33342 was used for nuclear staining (Blue).

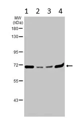
Western blot - Anti-Pyruvate Dehydrogenase E2 antibody (AB126224)
  • WB

Supplier Data

Western blot - Anti-Pyruvate Dehydrogenase E2 antibody (AB126224)

Samples were separated by 7.5% SDS PAGE.

All lanes:

Western blot - Anti-Pyruvate Dehydrogenase E2 antibody (ab126224) at 1/1000 dilution

Lane 1:

293T whole cell lysates at 30 µg

Lane 2:

A431 whole cell lysates at 30 µg

Lane 3:

HeLa whole cell lysates at 30 µg

Lane 4:

HepG2 whole cell lysates at 30 µg

Secondary

All lanes:

HRP-conjugated anti-rabbit IgG antibody

Predicted band size: 69 kDa

false

Western blot - Anti-Pyruvate Dehydrogenase E2 antibody (AB126224)
  • WB

CiteAb

Western blot - Anti-Pyruvate Dehydrogenase E2 antibody (AB126224)

Pyruvate Dehydrogenase E2 western blot using anti-Pyruvate Dehydrogenase E2 antibody ab126224. Publication image and figure legend from Osinalde, N., Sánchez-Quiles, V., et al., 2016, Sci Rep, PubMed 27025927.

ab126224 was used in this publication in western blot. This may not be the same as the application(s) guaranteed by Abcam. For a full list of applications guaranteed by Abcam for ab126224 please see the product overview.

IL-2-inducible Gab2-interacting proteins.(A) Heat map and hierarchical clustering dendrogram indicating the SILAC IL-2/Ctr ratio displayed by the cytokine-inducible Gab2-binding protein in each replica. (B) Validation of selected well-known and novel Gab2-binding proteins by immunoblot. (C) Relative binding abundance of the detected Gab2 interactors. *indicates described Gab2 interactors.

false

Key facts

Host species

Rabbit

Clonality

Polyclonal

Isotype

IgG

Carrier free

No

Reacts with

Human

Applications

WB, ICC/IF

applications

Immunogen

Recombinant Fragment Protein within Human DLAT aa 300-550. The exact immunogen used to generate this antibody is proprietary information.

P10515

Reactivity data

{ "title": "Reactivity Data", "filters": { "stats": ["", "Species", "Dilution Info", "Notes"], "tabs": { "all-applications": {"fullname" : "All Applications", "shortname": "All Applications"}, "WB" : {"fullname" : "Western blot", "shortname":"WB"}, "ICCIF" : {"fullname" : "Immunocytochemistry/ Immunofluorescence", "shortname":"ICC/IF"} }, "product-promise": { "all": "all", "testedAndGuaranteed": "tested", "guaranteed": "expected", "predicted": "predicted", "notRecommended": "not-recommended" } }, "values": { "Human": { "WB-species-checked": "testedAndGuaranteed", "WB-species-dilution-info": "1/5000 - 1/20000", "WB-species-notes": "<p></p>", "ICCIF-species-checked": "testedAndGuaranteed", "ICCIF-species-dilution-info": "1/100 - 1/1000", "ICCIF-species-notes": "<p></p>" } } }

Properties and storage information

Form
Liquid
Purification technique
Affinity purification Immunogen
Storage buffer
pH: 7 Preservative: 0.01% Thimerosal (merthiolate) Constituents: PBS, 20% Glycerol (glycerin, glycerine), 1% BSA
Shipped at conditions
Blue Ice
Appropriate short-term storage conditions
+4°C
Appropriate long-term storage conditions
-20°C
Aliquoting information
Upon delivery aliquot
Storage information
Avoid freeze / thaw cycle

Supplementary information

This supplementary information is collated from multiple sources and compiled automatically.

Pyruvate Dehydrogenase E2 (PDH-E2) also referred to as PDC-E2 or E2 protein is a central component of cellular metabolism. It is the inner core dihydrolipoamide acetyltransferase component of the pyruvate dehydrogenase complex. PDH-E2 facilitates the conversion of pyruvate to acetyl-CoA which is an important step in aerobic respiration. The E2 protein is expressed in the mitochondria where it actively engages in its enzymatic roles. With a molecular weight of approximately 55 kDa PDH-E2 functions through its interaction with other components of the pyruvate dehydrogenase complex.
Biological function summary

PDH-E2 plays a significant role in cellular energy production. It is an important part of the pyruvate dehydrogenase complex where its coordinated enzymatic activity drives the decarboxylation of pyruvate. This activity supplies acetyl-CoA for the citric acid cycle essential for ATP production. PDH-E2's function regulates the flow of carbon within cells linking glycolysis and the citric acid cycle making it essential for energy homeostasis. Its function integrates signals that regulate metabolic pathways helping maintain cellular energy balance.

Pathways

PDH-E2 integrates the glycolysis and citric acid cycle facilitating efficient energy production. It interacts with tightly linked enzymes in the pyruvate dehydrogenase complex important for catalyzing the conversion processes. Key related proteins include pyruvate dehydrogenase (E1) and dihydrolipoamide dehydrogenase (E3) which form the complex alongside E2. This complex is also critical in adjusting metabolic responses based on cellular energy needs efficiently managing substrate flux into the mitochondria.

Dysfunctional PDH-E2 activity associates with metabolic conditions like pyruvate dehydrogenase deficiency and primary biliary cholangitis (PBC). PDH deficiency leads to lactic acidosis and neurological dysfunction due to impaired energy production. In PBC the immune system aberrantly targets the E2 component causing liver damage and leading to cholestasis. These diseases highlight the critical role of PDH-E2 and its interaction with other mitochondrial proteins in maintaining metabolic health.

Product protocols

For this product, it's our understanding that no specific protocols are required. You can visit:

Target data

As part of the pyruvate dehydrogenase complex, catalyzes the transfers of an acetyl group to a lipoic acid moiety (Probable). The pyruvate dehydrogenase complex, catalyzes the overall conversion of pyruvate to acetyl-CoA and CO(2), and thereby links cytoplasmic glycolysis and the mitochondrial tricarboxylic acid (TCA) cycle (Probable).
See full target information DLAT

Publications (5)

Recent publications for all applications. Explore the full list and refine your search

Nature communications 15:4244 PubMed38762605

2024

Mitochondrial respiratory function is preserved under cysteine starvation via glutathione catabolism in NSCLC.

Applications

Unspecified application

Species

Unspecified reactive species

Nathan P Ward,Sang Jun Yoon,Tyce Flynn,Amanda M Sherwood,Maddison A Olley,Juliana Madej,Gina M DeNicola

International journal of molecular sciences 24: PubMed37761999

2023

Association of Phosphorylated Pyruvate Dehydrogenase with Pyruvate Kinase M2 Promotes PKM2 Stability in Response to Insulin.

Applications

Unspecified application

Species

Unspecified reactive species

Abu Jubayer Hossain,Rokibul Islam,Jong-Bok Seo,Hwee-Seon Park,Jong-Il Kim,Vikas Kumar,Keun Woo Lee,Jae-Bong Park

Biomedicines 10: PubMed35740278

2022

Pyruvate Dehydrogenase A1 Phosphorylated by Insulin Associates with Pyruvate Kinase M2 and Induces LINC00273 through Histone Acetylation.

Applications

Unspecified application

Species

Unspecified reactive species

Abu Jubayer Hossain,Rokibul Islam,Jae-Gyu Kim,Oyungerel Dogsom,Kim Cuong Cap,Jae-Bong Park

The Journal of experimental medicine 217: PubMed32196080

2020

Nicotinamide nucleotide transhydrogenase regulates mitochondrial metabolism in NSCLC through maintenance of Fe-S protein function.

Applications

Unspecified application

Species

Unspecified reactive species

Nathan P Ward,Yun Pyo Kang,Aimee Falzone,Theresa A Boyle,Gina M DeNicola

Scientific reports 6:23530 PubMed27025927

2016

Changes in Gab2 phosphorylation and interaction partners in response to interleukin (IL)-2 stimulation in T-lymphocytes.

Applications

WB

Species

Unspecified reactive species

Nerea Osinalde,Virginia Sánchez-Quiles,Blagoy Blagoev,Irina Kratchmarova
View all publications

Product promise

We are committed to supporting your work with high-quality reagents, and we're here for you every step of the way. In the unlikely event that one of our products does not perform as expected, you're protected by our Product Promise.
For full details, please see our Terms & Conditions

Please note: All products are 'FOR RESEARCH USE ONLY. NOT FOR USE IN DIAGNOSTIC OR THERAPEUTIC PROCEDURES'.

For licensing inquiries, please contact partnerships@abcam.com