JavaScript is disabled in your browser. Please enable JavaScript to view this website.
AB172617

Anti-Pyruvate Dehydrogenase E2 antibody [EPR12455(B)]

4

(2 Reviews)

|

(14 Publications)

Rabbit Recombinant Monoclonal Pyruvate Dehydrogenase E2 antibody. Suitable for IP, WB, ICC/IF, Flow Cyt (Intra), IHC-P and reacts with Human, Mouse, Rat, Transfected cell lysate - Mouse samples. Cited in 14 publications.

View Alternative Names

DLTA, DLAT, 70 kDa mitochondrial autoantigen of primary biliary cirrhosis, Dihydrolipoamide acetyltransferase component of pyruvate dehydrogenase complex, M2 antigen complex 70 kDa subunit, Pyruvate dehydrogenase complex component E2, PBC, PDC-E2, PDCE2

12 Images
Immunohistochemistry (Formalin/PFA-fixed paraffin-embedded sections) - Anti-Pyruvate Dehydrogenase E2 antibody [EPR12455(B)] (AB172617)
  • IHC-P

Lab

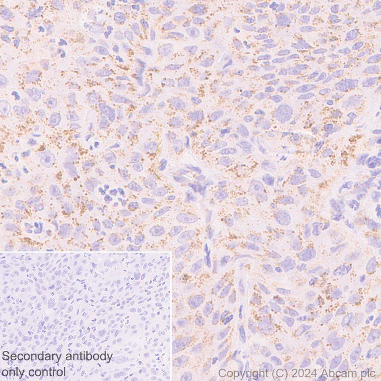
Immunohistochemistry (Formalin/PFA-fixed paraffin-embedded sections) - Anti-Pyruvate Dehydrogenase E2 antibody [EPR12455(B)] (AB172617)

Immunohistochemical analysis of paraffin-embedded human cervical cancer labeling Pyruvate Dehydrogenase E2 with ab172617 at 1/1000 dilution, followed by a ready to use Rabbit specific IHC polymer detection kit HRP/DAB (ab209101).

Positive staining on human cervical cancer.
The section was incubated with ab172617 for 30 mins at room temperature.
The immunostaining was performed on a Leica Biosystems BOND® RX instrument

Counterstained with Hematoxylin.

Secondary antibody only control : Secondary antibody is a ready to use Rabbit specific IHC polymer detection kit HRP/DAB (ab209101).

Heat mediated antigen retrieval was performed with Tris-EDTA buffer (pH 9.0, Epitope Retrieval Solution2) for 20 mins.

Flow Cytometry (Intracellular) - Anti-Pyruvate Dehydrogenase E2 antibody [EPR12455(B)] (AB172617)
  • Flow Cyt (Intra)

Supplier Data

Flow Cytometry (Intracellular) - Anti-Pyruvate Dehydrogenase E2 antibody [EPR12455(B)] (AB172617)

Intracellular flow cytometric analysis of permeabilized Jurkat cells labeling Pyruvate Dehydrogenase E2 with ab172617 at 1/10 dilution (red), compared to a rabbit IgG negative control (green).

Immunocytochemistry/ Immunofluorescence - Anti-Pyruvate Dehydrogenase E2 antibody [EPR12455(B)] (AB172617)
  • ICC/IF

Supplier Data

Immunocytochemistry/ Immunofluorescence - Anti-Pyruvate Dehydrogenase E2 antibody [EPR12455(B)] (AB172617)

Immunofluorescent analysis of HepG2 cells labeling Pyruvate Dehydrogenase E2 with ab172617 at 1/50 dilution.

Immunohistochemistry (Formalin/PFA-fixed paraffin-embedded sections) - Anti-Pyruvate Dehydrogenase E2 antibody [EPR12455(B)] (AB172617)
  • IHC-P

Lab

Immunohistochemistry (Formalin/PFA-fixed paraffin-embedded sections) - Anti-Pyruvate Dehydrogenase E2 antibody [EPR12455(B)] (AB172617)

Immunohistochemical analysis of paraffin-embedded human cerebrum labeling Pyruvate Dehydrogenase E2 with ab172617 at 1/1000 dilution, followed by a ready to use Rabbit specific IHC polymer detection kit HRP/DAB (ab209101).

Positive staining on human cerebrum.
The section was incubated with ab172617 for 30 mins at room temperature.
The immunostaining was performed on a Leica Biosystems BOND® RX instrument

Counterstained with Hematoxylin.

Secondary antibody only control : Secondary antibody is a ready to use Rabbit specific IHC polymer detection kit HRP/DAB (ab209101).

Heat mediated antigen retrieval was performed with Tris-EDTA buffer (pH 9.0, Epitope Retrieval Solution2) for 20 mins.

Immunoprecipitation - Anti-Pyruvate Dehydrogenase E2 antibody [EPR12455(B)] (AB172617)
  • IP

Supplier Data

Immunoprecipitation - Anti-Pyruvate Dehydrogenase E2 antibody [EPR12455(B)] (AB172617)

Western blot analysis on immunoprecipitation pellet from HepG2 cell lysate immunoprecipitated using ab172617 at 1/10 dilution.

All lanes:

Immunoprecipitation - Anti-Pyruvate Dehydrogenase E2 antibody [EPR12455(B)] (ab172617)

Predicted band size: 69 kDa

false

Immunohistochemistry (Formalin/PFA-fixed paraffin-embedded sections) - Anti-Pyruvate Dehydrogenase E2 antibody [EPR12455(B)] (AB172617)
  • IHC-P

Lab

Immunohistochemistry (Formalin/PFA-fixed paraffin-embedded sections) - Anti-Pyruvate Dehydrogenase E2 antibody [EPR12455(B)] (AB172617)

Immunohistochemical analysis of paraffin-embedded rat kidney labeling Pyruvate Dehydrogenase E2 with ab172617 at 1/500 dilution, followed by a ready to use Rabbit specific IHC polymer detection kit HRP/DAB (ab209101).

Positive staining on rat kidney.
The section was incubated with ab172617 for 30 mins at room temperature.
The immunostaining was performed on a Leica Biosystems BOND® RX instrument

Counterstained with Hematoxylin.

Secondary antibody only control : Secondary antibody is a ready to use Rabbit specific IHC polymer detection kit HRP/DAB (ab209101).

Heat mediated antigen retrieval was performed with Tris-EDTA buffer (pH 9.0, Epitope Retrieval Solution2) for 20 mins.

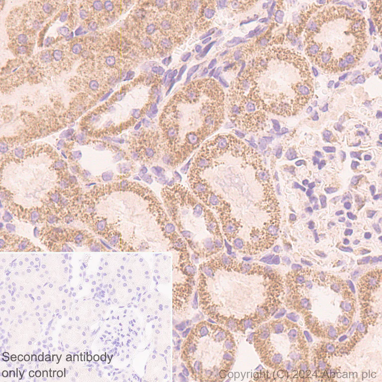
Immunohistochemistry (Formalin/PFA-fixed paraffin-embedded sections) - Anti-Pyruvate Dehydrogenase E2 antibody [EPR12455(B)] (AB172617)
  • IHC-P

Lab

Immunohistochemistry (Formalin/PFA-fixed paraffin-embedded sections) - Anti-Pyruvate Dehydrogenase E2 antibody [EPR12455(B)] (AB172617)

Immunohistochemical analysis of paraffin-embedded mouse kidney labeling Pyruvate Dehydrogenase E2 with ab172617 at 1/500 dilution, followed by a ready to use Rabbit specific IHC polymer detection kit HRP/DAB (ab209101).

Positive staining on mouse kidney.
The section was incubated with ab172617 for 30 mins at room temperature.
The immunostaining was performed on a Leica Biosystems BOND® RX instrument

Counterstained with Hematoxylin.

Secondary antibody only control : Secondary antibody is a ready to use Rabbit specific IHC polymer detection kit HRP/DAB (ab209101).

Heat mediated antigen retrieval was performed with Tris-EDTA buffer (pH 9.0, Epitope Retrieval Solution2) for 20 mins.

Western blot - Anti-Pyruvate Dehydrogenase E2 antibody [EPR12455(B)] (AB172617)
  • WB

Lab

Western blot - Anti-Pyruvate Dehydrogenase E2 antibody [EPR12455(B)] (AB172617)

Blocking and diluting buffer and concentration : 5% NFDM/TBST.

All lanes:

Western blot - Anti-Pyruvate Dehydrogenase E2 antibody [EPR12455(B)] (ab172617) at 1/1000 dilution

Lane 1:

Rat brain tissue lysate at 20 µg

Lane 2:

Rat kidney tissue lysate at 20 µg

Secondary

All lanes:

Western blot - Goat Anti-Rabbit IgG H&L (HRP) (<a href='/en-us/products/secondary-antibodies/goat-rabbit-igg-h-l-hrp-ab97051'>ab97051</a>) at 1/100000 dilution

Observed band size: 69 kDa

false

Exposure time: 15s

Western blot - Anti-Pyruvate Dehydrogenase E2 antibody [EPR12455(B)] (AB172617)
  • WB

Lab

Western blot - Anti-Pyruvate Dehydrogenase E2 antibody [EPR12455(B)] (AB172617)

All lanes:

Western blot - Anti-Pyruvate Dehydrogenase E2 antibody [EPR12455(B)] (ab172617) at 1/1000 dilution

Lane 1:

C6 (rat glial tumor glial cell) whole cell lysate at 20 µg

Lane 2:

RAW 264.7 (mouse Abelson murine leukemia virus-induced tumor macrophage) whole cell lysate at 20 µg

Lane 3:

PC-12 (rat adrenal gland pheochromocytoma cell) whole cell lysate at 20 µg

Lane 4:

NIH/3T3 (mouse embryonic fibroblast) whole cell lysate at 20 µg

Secondary

All lanes:

Western blot - Goat Anti-Rabbit IgG H&L (HRP) (<a href='/en-us/products/secondary-antibodies/goat-rabbit-igg-h-l-hrp-ab97051'>ab97051</a>) at 1/100000 dilution

Observed band size: 69 kDa

false

Exposure time: 48s

Western blot - Anti-Pyruvate Dehydrogenase E2 antibody [EPR12455(B)] (AB172617)
  • WB

Lab

Western blot - Anti-Pyruvate Dehydrogenase E2 antibody [EPR12455(B)] (AB172617)

Blocking and diluting buffer and concentration : 5% NFDM/TBST.

All lanes:

Western blot - Anti-Pyruvate Dehydrogenase E2 antibody [EPR12455(B)] (ab172617) at 1/1000 dilution

Lane 1:

Mouse brain tissue lysate at 20 µg

Lane 2:

Mouse kidney tissue lysate at 20 µg

Secondary

All lanes:

Western blot - Goat Anti-Rabbit IgG H&L (HRP) (<a href='/en-us/products/secondary-antibodies/goat-rabbit-igg-h-l-hrp-ab97051'>ab97051</a>) at 1/100000 dilution

Observed band size: 69 kDa

false

Exposure time: 26s

Western blot - Anti-Pyruvate Dehydrogenase E2 antibody [EPR12455(B)] (AB172617)
  • WB

Lab

Western blot - Anti-Pyruvate Dehydrogenase E2 antibody [EPR12455(B)] (AB172617)

In Western blot, Anti-GAPDH antibody [EPR16891] - Loading Control (ab181602) staining at 1/200000 dilution.

Blocking and diluting buffer and concentration : 5% NFDM/TBST.

All lanes:

Western blot - Anti-Pyruvate Dehydrogenase E2 antibody [EPR12455(B)] (ab172617) at 1/1000 dilution

Lane 1:

NIH/3T3 (mouse embryonic fibroblast) transfected with scrambled siRNA control whole cell lysate at 20 µg

Lane 2:

NIH/3T3 transfected with siRNA specifically targeting Dlat-1 whole cell lysate at 20 µg

Secondary

All lanes:

Western blot - Goat Anti-Rabbit IgG H&L (HRP) (<a href='/en-us/products/secondary-antibodies/goat-rabbit-igg-h-l-hrp-ab97051'>ab97051</a>) at 1/20000 dilution

Observed band size: 69 kDa

false

Exposure time: 15s

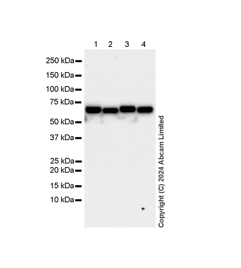
Western blot - Anti-Pyruvate Dehydrogenase E2 antibody [EPR12455(B)] (AB172617)
  • WB

Supplier Data

Western blot - Anti-Pyruvate Dehydrogenase E2 antibody [EPR12455(B)] (AB172617)

All lanes:

Western blot - Anti-Pyruvate Dehydrogenase E2 antibody [EPR12455(B)] (ab172617) at 1/1000 dilution

Lane 1:

HeLa cell lysate at 10 µg

Lane 2:

HepG2 cell lysate at 10 µg

Lane 3:

Jurkat cell lysate at 10 µg

Lane 4:

293T cell lysate at 10 µg

Predicted band size: 69 kDa

false

  • Carrier free

    Anti-Pyruvate Dehydrogenase E2 antibody [EPR12455(B)] - BSA and Azide free

  • 617 Alexa Fluor® 594

    Alexa Fluor® 594 Anti-Pyruvate Dehydrogenase E2 antibody [EPR12455(B)]

  • 519 Alexa Fluor® 488

    Alexa Fluor® 488 Anti-Pyruvate Dehydrogenase E2 antibody [EPR12455(B)]

  • 578 PE

    PE Anti-Pyruvate Dehydrogenase E2 antibody [EPR12455(B)]

  • 660 APC

    APC Anti-Pyruvate Dehydrogenase E2 antibody [EPR12455(B)]

Key facts

Host species

Rabbit

Clonality

Monoclonal

Clone number

EPR12455(B)

Isotype

IgG

Carrier free

No

Reacts with

Human

Applications

WB, Flow Cyt (Intra), ICC/IF, IP, IHC-P

applications

Immunogen

The exact immunogen used to generate this antibody is proprietary information.

Reactivity data

{ "title": "Reactivity Data", "filters": { "stats": ["", "Species", "Dilution Info", "Notes"], "tabs": { "all-applications": {"fullname" : "All Applications", "shortname": "All Applications"}, "IP" : {"fullname" : "Immunoprecipitation", "shortname":"IP"}, "WB" : {"fullname" : "Western blot", "shortname":"WB"}, "ICCIF" : {"fullname" : "Immunocytochemistry/ Immunofluorescence", "shortname":"ICC/IF"}, "FlowCytIntra" : {"fullname" : "Flow Cytometry (Intracellular)", "shortname":"Flow Cyt (Intra)"}, "IHCP" : {"fullname" : "Immunohistochemistry (Formalin/PFA-fixed paraffin-embedded sections)", "shortname":"IHC-P"} }, "product-promise": { "all": "all", "testedAndGuaranteed": "tested", "guaranteed": "expected", "predicted": "predicted", "notRecommended": "not-recommended" } }, "values": { "Human": { "IP-species-checked": "testedAndGuaranteed", "IP-species-dilution-info": "1/10 - 1/100", "IP-species-notes": "<p></p>", "WB-species-checked": "testedAndGuaranteed", "WB-species-dilution-info": "1/1000 - 1/10000", "WB-species-notes": "<p></p>", "ICCIF-species-checked": "testedAndGuaranteed", "ICCIF-species-dilution-info": "1/50 - 1/100", "ICCIF-species-notes": "<p></p>", "FlowCytIntra-species-checked": "testedAndGuaranteed", "FlowCytIntra-species-dilution-info": "1/10 - 1/100", "FlowCytIntra-species-notes": "<p><a href='/en-us/products/primary-antibodies/rabbit-igg-monoclonal-epr25a-isotype-control-ab172730'>ab172730</a> - Rabbit monoclonal IgG, is suitable for use as an isotype control with this antibody.</p>", "IHCP-species-checked": "testedAndGuaranteed", "IHCP-species-dilution-info": "1/500 - 1/1000", "IHCP-species-notes": "<p></p>" }, "Mouse": { "IP-species-checked": "guaranteed", "IP-species-dilution-info": "", "IP-species-notes": "", "WB-species-checked": "testedAndGuaranteed", "WB-species-dilution-info": "1/1000", "WB-species-notes": "<p></p>", "ICCIF-species-checked": "notRecommended", "ICCIF-species-dilution-info": "", "ICCIF-species-notes": "<p></p>", "FlowCytIntra-species-checked": "guaranteed", "FlowCytIntra-species-dilution-info": "", "FlowCytIntra-species-notes": "", "IHCP-species-checked": "testedAndGuaranteed", "IHCP-species-dilution-info": "1/500 - 1/1000", "IHCP-species-notes": "<p></p>" }, "Rat": { "IP-species-checked": "guaranteed", "IP-species-dilution-info": "", "IP-species-notes": "", "WB-species-checked": "testedAndGuaranteed", "WB-species-dilution-info": "1/1000", "WB-species-notes": "<p></p>", "ICCIF-species-checked": "notRecommended", "ICCIF-species-dilution-info": "", "ICCIF-species-notes": "<p></p>", "FlowCytIntra-species-checked": "guaranteed", "FlowCytIntra-species-dilution-info": "", "FlowCytIntra-species-notes": "", "IHCP-species-checked": "testedAndGuaranteed", "IHCP-species-dilution-info": "1/500 - 1/1000", "IHCP-species-notes": "<p></p>" }, "Transfected cell lysate - Mouse": { "IP-species-checked": "notRecommended", "IP-species-dilution-info": "", "IP-species-notes": "", "WB-species-checked": "testedAndGuaranteed", "WB-species-dilution-info": "1/1000", "WB-species-notes": "<p></p>", "ICCIF-species-checked": "notRecommended", "ICCIF-species-dilution-info": "", "ICCIF-species-notes": "", "FlowCytIntra-species-checked": "notRecommended", "FlowCytIntra-species-dilution-info": "", "FlowCytIntra-species-notes": "", "IHCP-species-checked": "notRecommended", "IHCP-species-dilution-info": "", "IHCP-species-notes": "" } } }

Product details

Patented technology
Our RabMAb® technology is a patented hybridoma-based technology for making rabbit monoclonal antibodies. For details on our patents, please refer to RabMAb® patents.

What are the advantages of a recombinant monoclonal antibody?
This product is a recombinant monoclonal antibody, which offers several advantages including:

  • - High batch-to-batch consistency and reproducibility
  • - Improved sensitivity and specificity
  • - Long-term security of supply
  • - Animal-free batch production

For more information, read more on recombinant antibodies.

Properties and storage information

Form
Liquid
Purification technique
Affinity purification Protein A
Storage buffer
pH: 7.2 - 7.4 Preservative: 0.01% Sodium azide Constituents: PBS, 50% Tissue culture supernatant, 40% Glycerol (glycerin, glycerine), 0.05% BSA
Shipped at conditions
Blue Ice
Appropriate short-term storage duration
1-2 weeks
Appropriate short-term storage conditions
+4°C
Appropriate long-term storage conditions
-20°C
Aliquoting information
Upon delivery aliquot
Storage information
Avoid freeze / thaw cycle

Supplementary information

This supplementary information is collated from multiple sources and compiled automatically.

Pyruvate Dehydrogenase E2 (PDH-E2) also referred to as PDC-E2 or E2 protein is a central component of cellular metabolism. It is the inner core dihydrolipoamide acetyltransferase component of the pyruvate dehydrogenase complex. PDH-E2 facilitates the conversion of pyruvate to acetyl-CoA which is an important step in aerobic respiration. The E2 protein is expressed in the mitochondria where it actively engages in its enzymatic roles. With a molecular weight of approximately 55 kDa PDH-E2 functions through its interaction with other components of the pyruvate dehydrogenase complex.
Biological function summary

PDH-E2 plays a significant role in cellular energy production. It is an important part of the pyruvate dehydrogenase complex where its coordinated enzymatic activity drives the decarboxylation of pyruvate. This activity supplies acetyl-CoA for the citric acid cycle essential for ATP production. PDH-E2's function regulates the flow of carbon within cells linking glycolysis and the citric acid cycle making it essential for energy homeostasis. Its function integrates signals that regulate metabolic pathways helping maintain cellular energy balance.

Pathways

PDH-E2 integrates the glycolysis and citric acid cycle facilitating efficient energy production. It interacts with tightly linked enzymes in the pyruvate dehydrogenase complex important for catalyzing the conversion processes. Key related proteins include pyruvate dehydrogenase (E1) and dihydrolipoamide dehydrogenase (E3) which form the complex alongside E2. This complex is also critical in adjusting metabolic responses based on cellular energy needs efficiently managing substrate flux into the mitochondria.

Dysfunctional PDH-E2 activity associates with metabolic conditions like pyruvate dehydrogenase deficiency and primary biliary cholangitis (PBC). PDH deficiency leads to lactic acidosis and neurological dysfunction due to impaired energy production. In PBC the immune system aberrantly targets the E2 component causing liver damage and leading to cholestasis. These diseases highlight the critical role of PDH-E2 and its interaction with other mitochondrial proteins in maintaining metabolic health.

Product protocols

For this product, it's our understanding that no specific protocols are required. You can visit:

Target data

As part of the pyruvate dehydrogenase complex, catalyzes the transfers of an acetyl group to a lipoic acid moiety (Probable). The pyruvate dehydrogenase complex, catalyzes the overall conversion of pyruvate to acetyl-CoA and CO(2), and thereby links cytoplasmic glycolysis and the mitochondrial tricarboxylic acid (TCA) cycle (Probable).
See full target information DLAT

Publications (14)

Recent publications for all applications. Explore the full list and refine your search

Oncology research 33:617-630 PubMed40109870

2025

A novel prognostic scoring model based on cuproptosis identifies COMMD1 as a novel therapy target for liver hepatocellular carcinoma.

Applications

Unspecified application

Species

Unspecified reactive species

K E Tian,Zhipeng Li,Xiangyu Zhai,Huaxin Zhou,Hui Yao

Journal of translational medicine 23:162 PubMed39915841

2025

MT2A promotes angiogenesis in chronically ischemic brains through a copper-mitochondria regulatory mechanism.

Applications

Unspecified application

Species

Unspecified reactive species

Ni Mo,Chuyang Tai,Yang Yang,Cong Ling,Baoyu Zhang,Lei Wei,Cian Yao,Hui Wang,Chuan Chen

Scientific reports 14:21926 PubMed39300184

2024

Characterization of the AGR2-NPM3 axis uncovers the AGR2 involvement in PD-L1 regulation in colorectal cancer.

Applications

Unspecified application

Species

Unspecified reactive species

Andrea Martisova,Jakub Faktor,Tereza Sosolikova,Iveta Klemesova,Tamara Kolarova,Jitka Holcakova,Roman Hrstka

The Journal of biological chemistry 299:105333 PubMed37827290

2023

Reactive nitrogen species inhibit branched chain alpha-ketoacid dehydrogenase complex and impact muscle cell metabolism.

Applications

Unspecified application

Species

Unspecified reactive species

Nicholas L Arp,Gretchen L Seim,James A Votava,Jordyn Josephson,Jing Fan

Nature communications 14:5114 PubMed37607904

2023

Pyruvate dehydrogenase operates as an intramolecular nitroxyl generator during macrophage metabolic reprogramming.

Applications

Unspecified application

Species

Unspecified reactive species

Erika M Palmieri,Ronald Holewinski,Christopher L McGinity,Ciro L Pierri,Nunziata Maio,Jonathan M Weiss,Vincenzo Tragni,Katrina M Miranda,Tracey A Rouault,Thorkell Andresson,David A Wink,Daniel W McVicar

eLife 12: PubMed36881526

2023

Recessive pathogenic variants in cause combined oxidative phosphorylation deficiency.

Applications

Unspecified application

Species

Unspecified reactive species

Bryn D Webb,Sara M Nowinski,Ashley Solmonson,Jaya Ganesh,Richard J Rodenburg,Joao Leandro,Anthony Evans,Hieu S Vu,Thomas P Naidich,Bruce D Gelb,Ralph J DeBerardinis,Jared Rutter,Sander M Houten

Molecular therapy. Methods & clinical development 24:367-378 PubMed35252470

2022

overexpression of frataxin causes toxicity mediated by iron-sulfur cluster deficiency.

Applications

Unspecified application

Species

Unspecified reactive species

Claudia Huichalaf,Tyler L Perfitt,Anna Kuperman,Renea Gooch,Ramesh C Kovi,Karrie A Brenneman,Xian Chen,Dinesh Hirenallur-Shanthappa,Tiffany Ma,Basel T Assaf,Ingrid Pardo,Tania Franks,Laura Monarski,Ting-Wen Cheng,Kevin Le,Chunyan Su,Suryanarayan Somanathan,Laurence O Whiteley,Christine Bulawa,Marko J Pregel,Alain Martelli

Frontiers in pharmacology 12:690371 PubMed34950023

2021

Hydrogen Sulfide Ameliorates Angiotensin II-Induced Atrial Fibrosis Progression to Atrial Fibrillation Through Inhibition of the Warburg Effect and Endoplasmic Reticulum Stress.

Applications

Unspecified application

Species

Unspecified reactive species

Heng-Jing Hu,Xiu-Heng Wang,Yao Liu,Tian-Qing Zhang,Zheng-Rong Chen,Chi Zhang,Zhi-Han Tang,Shun-Lin Qu,Hui-Fang Tang,Zhi-Sheng Jiang

Analytica chimica acta 1168:338609 PubMed34051998

2021

Characterization of RNA-binding proteins in the cell nucleus and cytoplasm.

Applications

Unspecified application

Species

Unspecified reactive species

Shuai Yan,Dongqing Zhao,Chunqing Wang,Hao Wang,Xinyu Guan,Yan Gao,Xiangyang Zhang,Ning Zhang,Ruibing Chen

Blood 137:2090-2102 PubMed33529321

2021

Defective palmitoylation of transferrin receptor triggers iron overload in Friedreich ataxia fibroblasts.

Applications

Unspecified application

Species

Unspecified reactive species

Floriane Petit,Anthony Drecourt,Michaël Dussiot,Coralie Zangarelli,Olivier Hermine,Arnold Munnich,Agnès Rötig
View all publications

Product promise

We are committed to supporting your work with high-quality reagents, and we're here for you every step of the way. In the unlikely event that one of our products does not perform as expected, you're protected by our Product Promise.
For full details, please see our Terms & Conditions

Please note: All products are 'FOR RESEARCH USE ONLY. NOT FOR USE IN DIAGNOSTIC OR THERAPEUTIC PROCEDURES'.

For licensing inquiries, please contact partnerships@abcam.com