JavaScript is disabled in your browser. Please enable JavaScript to view this website.
AB126150

Anti-QDPR/DHPR antibody

Be the first to review this product! Submit a review

|

(2 Publications)

Rabbit Polyclonal QDPR/DHPR antibody. Suitable for WB, IHC-P and reacts with Mouse, Human samples. Cited in 2 publications. Immunogen corresponding to Recombinant Fragment Protein within Human QDPR aa 1 to C-terminus.

View Alternative Names

DHPR, SDR33C1, QDPR, Dihydropteridine reductase, HDHPR, Quinoid dihydropteridine reductase, Short chain dehydrogenase/reductase family 33C member 1

3 Images
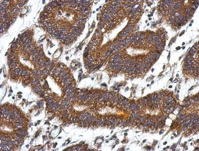
Immunohistochemistry (Formalin/PFA-fixed paraffin-embedded sections) - Anti-QDPR/DHPR antibody (AB126150)
  • IHC-P

Unknown

Immunohistochemistry (Formalin/PFA-fixed paraffin-embedded sections) - Anti-QDPR/DHPR antibody (AB126150)

ab126150, at 1/500 dilution, staining QDPR/DHPR in Formalin-fixed, Paraffin-embedded Human Colon cancer tissue by Immunohistochemistry.

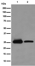
Western blot - Anti-QDPR/DHPR antibody (AB126150)
  • WB

Unknown

Western blot - Anti-QDPR/DHPR antibody (AB126150)

12% SDS PAGE

All lanes:

Western blot - Anti-QDPR/DHPR antibody (ab126150) at 1/1000 dilution

All lanes:

Jurkat whole cell lysate at 30 µg

Predicted band size: 26 kDa

false

Western blot - Anti-QDPR/DHPR antibody (AB126150)
  • WB

Unknown

Western blot - Anti-QDPR/DHPR antibody (AB126150)

12% SDS PAGE

All lanes:

Western blot - Anti-QDPR/DHPR antibody (ab126150) at 1/1000 dilution

All lanes:

Mouse liver whole cell lysate at 50 µg

Predicted band size: 26 kDa,29 kDa,30 kDa

false

Key facts

Host species

Rabbit

Clonality

Polyclonal

Isotype

IgG

Carrier free

No

Reacts with

Mouse, Human

Applications

WB, IHC-P

applications

Immunogen

Recombinant Fragment Protein within Human QDPR aa 1 to C-terminus. The exact immunogen used to generate this antibody is proprietary information.

P09417

Reactivity data

{ "title": "Reactivity Data", "filters": { "stats": ["", "Species", "Dilution Info", "Notes"], "tabs": { "all-applications": {"fullname" : "All Applications", "shortname": "All Applications"}, "WB" : {"fullname" : "Western blot", "shortname":"WB"}, "IHCP" : {"fullname" : "Immunohistochemistry (Formalin/PFA-fixed paraffin-embedded sections)", "shortname":"IHC-P"} }, "product-promise": { "all": "all", "testedAndGuaranteed": "tested", "guaranteed": "expected", "predicted": "predicted", "notRecommended": "not-recommended" } }, "values": { "Human": { "WB-species-checked": "testedAndGuaranteed", "WB-species-dilution-info": "1/500 - 1/3000", "WB-species-notes": "<p></p>", "IHCP-species-checked": "testedAndGuaranteed", "IHCP-species-dilution-info": "1/100 - 1/500", "IHCP-species-notes": "<p>Perform antigen retrieval using heat mediated 10mM Citrate buffer(pH6.0) or Tris-EDTA buffer (pH8.0)</p>" }, "Mouse": { "WB-species-checked": "testedAndGuaranteed", "WB-species-dilution-info": "1/500 - 1/3000", "WB-species-notes": "<p></p>", "IHCP-species-checked": "guaranteed", "IHCP-species-dilution-info": "", "IHCP-species-notes": "" } } }

Properties and storage information

Form
Liquid
Purification technique
Affinity purification Immunogen
Storage buffer
pH: 7 Preservative: 0.01% Thimerosal (merthiolate) Constituents: 20% Glycerol (glycerin, glycerine), 1.21% Tris, 0.75% Glycine
Shipped at conditions
Blue Ice
Appropriate short-term storage conditions
+4°C
Appropriate long-term storage conditions
-20°C
Aliquoting information
Upon delivery aliquot
Storage information
Avoid freeze / thaw cycle

Supplementary information

This supplementary information is collated from multiple sources and compiled automatically.

QDPR also known as Quinoid Dihydropteridine Reductase or DHPR is an enzyme that plays an important role in tetrahydrobiopterin (BH4) regeneration. It has a molecular mass of approximately 25 kDa and is found in various tissues such as the liver and brain where it contributes to neurotransmitter synthesis and other physiological processes. The DHPR protein is encoded by the QDPR gene in humans and is highly conserved across species indicating its essential function.
Biological function summary

QDPR catalyzes the reduction of quinonoid dihydrobiopterin (qBH2) to tetrahydrobiopterin maintaining BH4 homeostasis. This process supports neurotransmitter synthesis by replenishing BH4 a cofactor for aromatic amino acid hydroxylases. QDPR does not operate as part of a large multi-protein complex but has a significant role as a standalone enzyme that assists hydroxylating enzymes important for dopamine serotonin and nitric oxide production.

Pathways

QDPR contributes to the biosynthesis of catecholamines and serotonin both essential neurotransmitter pathways. It supports phenylalanine hydroxylase tyrosine hydroxylase and tryptophan hydroxylase activities by sustaining BH4 levels. These pathways are integral to proper neurological function and are tightly regulated due to their dependence on QDPR's enzymatic activity. The function of QDPR aligns with the regulation of neurotransmitter metabolism working alongside other critical proteins in these pathways.

QDPR deficiency can result in hyperphenylalaninemia a condition characterized by elevated phenylalanine levels leading to cognitive impairments. This deficiency affects neurotransmitter synthesis linking it to neurological diseases such as depressive disorders. Additionally QDPR-related disruptions can implicate other proteins like phenylalanine hydroxylase showing how these metabolic pathways and their components are interwoven into broader physiological contexts.

Product protocols

For this product, it's our understanding that no specific protocols are required. You can visit:

Target data

Catalyzes the conversion of quinonoid dihydrobiopterin into tetrahydrobiopterin.
See full target information QDPR

Publications (2)

Recent publications for all applications. Explore the full list and refine your search

Scientific reports 15:31679 PubMed40877340

2025

Sex based cardiovascular differences in adult and middle-aged hypertensive schlager mice.

Applications

Unspecified application

Species

Unspecified reactive species

Devika Sunil,Gowtham Subramaniam,Bhoomika Shivanaiah,Surya Prakash Tiwari,Mathivathana Palanisamy,Modesty Blazy Mariasuresh,Kalaivani Vallinayagam,Ganga Jal Godara,Shwetha Sekar,Arathi Bangalore Prabhashankar,Angela Panoskaltsis-Mortari,Nagalingam Ravi Sundaresan,Ninitha Asirvatham-Jeyaraj

Cellular and molecular life sciences : CMLS 79:553 PubMed36251090

2022

A plant-based mutant huntingtin model-driven discovery of impaired expression of GTPCH and DHFR.

Applications

Unspecified application

Species

Unspecified reactive species

Chiu-Yueh Hung,Chuanshu Zhu,Farooqahmed S Kittur,Maotao He,Erland Arning,Jianhui Zhang,Asia J Johnson,Gurpreet S Jawa,Michelle D Thomas,Tomas T Ding,Jiahua Xie
View all publications

Product promise

We are committed to supporting your work with high-quality reagents, and we're here for you every step of the way. In the unlikely event that one of our products does not perform as expected, you're protected by our Product Promise.
For full details, please see our Terms & Conditions

Please note: All products are 'FOR RESEARCH USE ONLY. NOT FOR USE IN DIAGNOSTIC OR THERAPEUTIC PROCEDURES'.

For licensing inquiries, please contact partnerships@abcam.com