JavaScript is disabled in your browser. Please enable JavaScript to view this website.
AB235444

Anti-Quiescin Q6 antibody [EPR21866]

Be the first to review this product! Submit a review

|

(4 Publications)

Rabbit Recombinant Monoclonal Quiescin Q6 antibody. Suitable for IP, WB, Flow Cyt (Intra), IHC-P and reacts with Human samples. Cited in 4 publications.

View Alternative Names

QSCN6, UNQ2520/PRO6013, QSOX1, Sulfhydryl oxidase 1, hQSOX, Quiescin Q6

6 Images
Flow Cytometry (Intracellular) - Anti-Quiescin Q6 antibody [EPR21866] (AB235444)
  • Flow Cyt (Intra)

Unknown

Flow Cytometry (Intracellular) - Anti-Quiescin Q6 antibody [EPR21866] (AB235444)

Intracellular flow cytometric analysis of 4% paraformaldehyde-fixed, 90% methanol-permeabilized MDA-MB-231 (Human breast adenocarcinoma cell line) cells labeling Quiescin Q6 with ab235444 at 1/60 (red) compared with a Rabbit monoclonal IgG (ab172730) (black) and an unlabeled control (cells without incubation with primary antibody and secondary antibody) (blue). Goat Anti-Rabbit IgG H&L (Alexa Fluor® 488) (ab150077), at 1/2000 dilution was used as the secondary antibody.

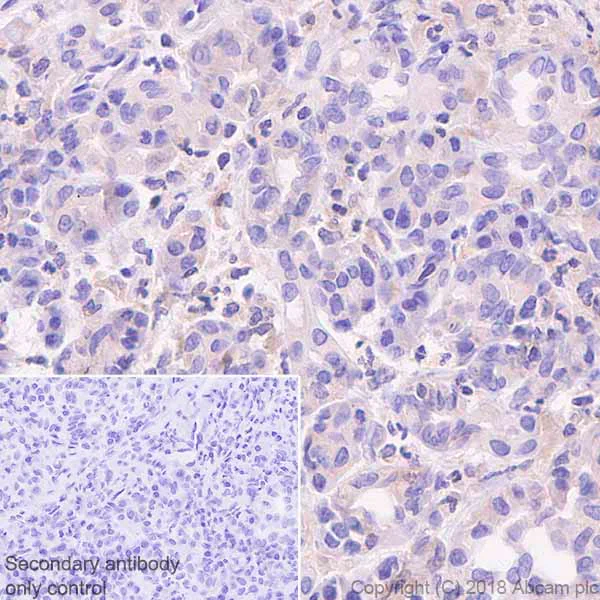
Immunohistochemistry (Formalin/PFA-fixed paraffin-embedded sections) - Anti-Quiescin Q6 antibody [EPR21866] (AB235444)
  • IHC-P

Unknown

Immunohistochemistry (Formalin/PFA-fixed paraffin-embedded sections) - Anti-Quiescin Q6 antibody [EPR21866] (AB235444)

Immunohistochemical analysis of paraffin-embedded human breast ductal cancer tissue labeling Quiescin Q6 with ab235444 at 1/200 dilution, followed by Goat Anti-Rabbit IgG H&L (HRP) ready to use. Cytoplasmic staining in human breast ductal cancer (PMID : 23536962) is observed. Counter stained with hematoxylin.

Secondary antibody only control : Used PBS instead of primary antibody, secondary antibody is Goat Anti-Rabbit IgG H&L (HRP) ready to use.

Heat-mediated antigen retrieval using ab93684 (Tris/EDTA buffer, pH 9.0).

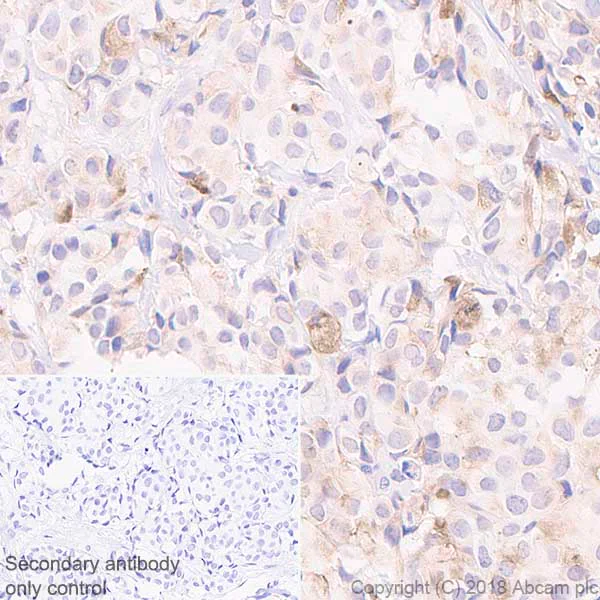
Immunohistochemistry (Formalin/PFA-fixed paraffin-embedded sections) - Anti-Quiescin Q6 antibody [EPR21866] (AB235444)
  • IHC-P

Unknown

Immunohistochemistry (Formalin/PFA-fixed paraffin-embedded sections) - Anti-Quiescin Q6 antibody [EPR21866] (AB235444)

Immunohistochemical analysis of paraffin-embedded human pancreatic cancer tissue labeling Quiescin Q6 with ab235444 at 1/200 dilution, followed by Goat Anti-Rabbit IgG H&L (HRP) ready to use. Cytoplasmic staining in human pancreatic cancer (PMID : 19795908, 21989104) is observed. Counter stained with hematoxylin.

Secondary antibody only control : Used PBS instead of primary antibody, secondary antibody is Goat Anti-Rabbit IgG H&L (HRP) ready to use.

Heat-mediated antigen retrieval using ab93684 (Tris/EDTA buffer, pH 9.0).

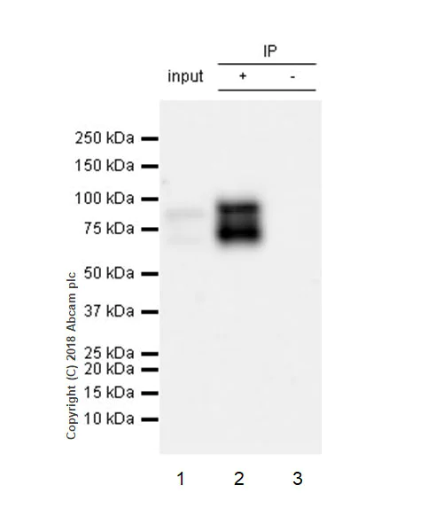
Immunoprecipitation - Anti-Quiescin Q6 antibody [EPR21866] (AB235444)
  • IP

Unknown

Immunoprecipitation - Anti-Quiescin Q6 antibody [EPR21866] (AB235444)

Quiescin Q6 was immunoprecipitated from 0.35 mg of MDA-MB-231 (Human breast adenocarcinoma cell line) whole cell lysate with ab235444 at 1/30 dilution. Western blot was performed from the immunoprecipitate using ab235444 at 1/1000 dilution. VeriBlot for IP Detection Reagent (HRP) (ab131366), was used for detection at 1/5000 dilution.

Lane 1 : MDA-MB-231 whole cell lysate 10 μg (Input).
Lane 2 : ab235444 IP in MDA-MD-231 whole cell lysate.
Lane 3 : Rabbit monoclonal IgG (ab172730) instead of ab235444 in MDA-MD-231 whole cell lysate.

Blocking/Dilution buffer : 5% NFDM/TBST.
Exposure time : 30 seconds.

Quiescin Q6 has two isoforms due to expression from a long (Quiescin Q6-L) and a short (Quiescin Q6-S) transcript.

All lanes:

Immunoprecipitation - Anti-Quiescin Q6 antibody [EPR21866] (ab235444)

Predicted band size: 83 kDa

Observed band size: 65 kDa,83 kDa

false

Immunoprecipitation - Anti-Quiescin Q6 antibody [EPR21866] (AB235444)
  • IP

Supplier Data

Immunoprecipitation - Anti-Quiescin Q6 antibody [EPR21866] (AB235444)

Quiescin Q6 was immunoprecipitated from 0.35 mg ab323533 at 1/30 IP in PANC-1(human pancreatic epithelioid carcinoma epithelial cell) whole cell lysate with ab323533 at 1/30 dilution (2ug in 0.35mg lysates). Western blot was performed on the immunoprecipitate using ab323533 at 1/1000 dilution.

Blocking and dilution buffer and concentration : 5% NFDM/TBST

The IP experiment was performed by ab323533 using PANC-1 lysate. The blot was probed by another Anti-Quiescin Q6 antibody [EPR21866] (ab235444)(1 : 1000).

All lanes:

Immunoprecipitation - Anti-Quiescin Q6 antibody [EPR25653-56] (<a href='/en-us/products/primary-antibodies/quiescin-q6-antibody-epr25653-56-ab323533'>ab323533</a>) at 1/1000 dilution

Lane 1:

PANC-1(human pancreatic epithelioid carcinoma epithelial cell) whole cell lysate at 10 µg

Lane 2:

<a href='/en-us/products/primary-antibodies/quiescin-q6-antibody-epr25653-56-ab323533'>ab323533</a> at 1/30 IP in PANC-1(human pancreatic epithelioid carcinoma epithelial cell) whole cell lysate at 10 µg

Lane 3:

Rabbit monoclonal IgG (<a href='/en-us/products/primary-antibodies/rabbit-igg-monoclonal-epr25a-isotype-control-ab172730'>ab172730</a>) instead of <a href='/en-us/products/primary-antibodies/quiescin-q6-antibody-epr25653-56-ab323533'>ab323533</a> in PANC-1 whole cell lysate at 10 µg

Secondary

All lanes:

Immunoprecipitation - VeriBlot for IP Detection Reagent (HRP) (<a href='/en-us/products/reagents/veriblot-for-ip-detection-reagent-hrp-ab131366'>ab131366</a>) at 1/5000 dilution

false

Exposure time: 180s

Western blot - Anti-Quiescin Q6 antibody [EPR21866] (AB235444)
  • WB

Unknown

Western blot - Anti-Quiescin Q6 antibody [EPR21866] (AB235444)

Blocking/Dilution buffer : 5% NFDM/TBST.

Exposure times : Lanes 1-3 & 5 : 3 minutes, Lane 4 : 37 seconds, Lane 6 : 103 seconds.

Quiescin Q6 has two isoforms due to expression from a long (Quiescin Q6-L) and a short (Quiescin Q6-S) transcript.

All lanes:

Western blot - Anti-Quiescin Q6 antibody [EPR21866] (ab235444) at 1/1000 dilution

Lane 1:

BxPC-3 (human pancreas adenocarcinoma cell line) whole cell lysate at 20 µg

Lane 2:

MCF7 (human breast adenocarcinoma cell line) whole cell lysate at 20 µg

Lane 3:

MDA-MB-231 (human breast adenocarcinoma cell line) whole cell lysate at 20 µg

Lane 4:

PANC-1 (human pancreatic epithelial cancinoma cell line) whole cell lysate at 10 µg

Lane 5:

T-47D (Human ductal breast epithelial tumor cell line) whole cell lysate at 10 µg

Lane 6:

Human breast cancer lysate at 10 µg

Secondary

Lanes 1 - 5:

Western blot - Goat Anti-Rabbit IgG H&L (HRP) (<a href='/en-us/products/secondary-antibodies/goat-rabbit-igg-h-l-hrp-ab97051'>ab97051</a>) at 1/100000 dilution

Lane 6:

Western blot - VeriBlot for IP Detection Reagent (HRP) (<a href='/en-us/products/reagents/veriblot-for-ip-detection-reagent-hrp-ab131366'>ab131366</a>) at 1/1000 dilution

Predicted band size: 83 kDa

Observed band size: 67 kDa,83 kDa

false

Key facts

Host species

Rabbit

Clonality

Monoclonal

Clone number

EPR21866

Isotype

IgG

Carrier free

No

Reacts with

Human

Applications

IHC-P, WB, Flow Cyt (Intra), IP

applications

Immunogen

The exact immunogen used to generate this antibody is proprietary information.

Reactivity data

{ "title": "Reactivity Data", "filters": { "stats": ["", "Species", "Dilution Info", "Notes"], "tabs": { "all-applications": {"fullname" : "All Applications", "shortname": "All Applications"}, "IP" : {"fullname" : "Immunoprecipitation", "shortname":"IP"}, "WB" : {"fullname" : "Western blot", "shortname":"WB"}, "FlowCytIntra" : {"fullname" : "Flow Cytometry (Intracellular)", "shortname":"Flow Cyt (Intra)"}, "IHCP" : {"fullname" : "Immunohistochemistry (Formalin/PFA-fixed paraffin-embedded sections)", "shortname":"IHC-P"} }, "product-promise": { "all": "all", "testedAndGuaranteed": "tested", "guaranteed": "expected", "predicted": "predicted", "notRecommended": "not-recommended" } }, "values": { "Human": { "IP-species-checked": "testedAndGuaranteed", "IP-species-dilution-info": "1/30", "IP-species-notes": "<p></p>", "WB-species-checked": "testedAndGuaranteed", "WB-species-dilution-info": "1/1000", "WB-species-notes": "<p></p>", "FlowCytIntra-species-checked": "testedAndGuaranteed", "FlowCytIntra-species-dilution-info": "1/60", "FlowCytIntra-species-notes": "<p></p>", "IHCP-species-checked": "testedAndGuaranteed", "IHCP-species-dilution-info": "1/200", "IHCP-species-notes": "<p></p>" } } }

Product details

Patented technology
Our RabMAb® technology is a patented hybridoma-based technology for making rabbit monoclonal antibodies. For details on our patents, please refer to RabMAb® patents.

What are the advantages of a recombinant monoclonal antibody?
This product is a recombinant monoclonal antibody, which offers several advantages including:

  • - High batch-to-batch consistency and reproducibility
  • - Improved sensitivity and specificity
  • - Long-term security of supply
  • - Animal-free batch production

For more information, read more on recombinant antibodies.

Properties and storage information

Form
Liquid
Purification technique
Affinity purification Protein A
Storage buffer
pH: 7.2 - 7.4 Preservative: 0.01% Sodium azide Constituents: PBS, 40% Glycerol (glycerin, glycerine), 0.05% BSA
Shipped at conditions
Blue Ice
Appropriate short-term storage duration
1-2 weeks
Appropriate short-term storage conditions
+4°C
Appropriate long-term storage conditions
-20°C
Aliquoting information
Upon delivery aliquot
Storage information
Avoid freeze / thaw cycle

Supplementary information

This supplementary information is collated from multiple sources and compiled automatically.

Quiescin Q6 also known as QSOX1 is an enzyme belonging to the Quiescin-sulfhydryl oxidase family. It functions by catalyzing the oxidation of sulfhydryl groups to form disulfide bonds in proteins an important step for proper protein folding. QSOX1 has a molecular mass between 60-100 kDa depending on its isoform. This protein is expressed in various tissues with high levels present in the pancreas placenta and some cancer cells suggesting a role in tissue specific processes and during certain pathological conditions.
Biological function summary

Quiescin Q6 influences cell growth and differentiation. The protein is involved in extracellular matrix organization where it plays a role in maintaining the stability and function of connective tissues. It doesn't typically assemble into large complexes but interacts with substrates directly facilitating the formation of stable proteins. QSOX1 ensures that proteins achieve their functional conformation by reshaping their disulfide bonds efficiently aiding in the cellular machinery of protein conformation.

Pathways

The functions of Quiescin Q6 intersect with the protein folding and oxidative stress response pathways. It relates closely to the endoplasmic reticulum protein folding pathway due to its role in disulfide bonding as well as to the antioxidant defense pathway where it mediates protection against oxidative stress. Its activity connects with proteins such as protein disulfide isomerase (PDI) which also participate in creating disulfide bonds but at different stages or cellular locations showcasing distinct but cooperative functions within these pathways.

Quiescin Q6 has been linked to cancer progression and fibrosis. Its overexpression has been observed in various tumors indicating a potential role in tumor growth and metastasis. In fibrotic diseases elevated levels of QSOX1 contribute to excessive extracellular matrix deposition. It connects with the transforming growth factor-beta (TGF-beta) pathway a critical regulator in fibrosis and cancer where QSOX1's regulation of matrix composition may influence TGF-beta signaling. Understanding these connections offers potential for developing targeted therapeutic strategies in treating related diseases.

Product protocols

For this product, it's our understanding that no specific protocols are required. You can visit:

Target data

Catalyzes the oxidation of sulfhydryl groups in peptide and protein thiols to disulfides with the reduction of oxygen to hydrogen peroxide (PubMed : 17331072, PubMed : 18393449, PubMed : 23704371, PubMed : 23867277, PubMed : 30367560). Plays a role in disulfide bond formation in a variety of extracellular proteins (PubMed : 17331072, PubMed : 22801504, PubMed : 23867277, PubMed : 30367560). In fibroblasts, required for normal incorporation of laminin into the extracellular matrix, and thereby for normal cell-cell adhesion and cell migration (PubMed : 23704371, PubMed : 23867277, PubMed : 30367560).
See full target information QSOX1

Publications (4)

Recent publications for all applications. Explore the full list and refine your search

Frontiers in oncology 15:1520948 PubMed40182033

2025

Polysialic acid is upregulated on activated immune cells and negatively regulates anticancer immune activity.

Applications

Unspecified application

Species

Unspecified reactive species

Olivia Drummond-Guy,John Daly,Angeline Wu,Natalie Stewart,Katy Milne,Chloe Duff,Brad H Nelson,Karla C Williams,Simon Wisnovsky

Antioxidants (Basel, Switzerland) 14: PubMed39857439

2025

(-)-Epigallocatechin-3-Gallate and Quercetin Inhibit Quiescin Sulfhydryl Oxidase 1 Secretion from Hepatocellular Carcinoma Cells.

Applications

Unspecified application

Species

Unspecified reactive species

Lumin Yang,Yuying Fang,Yufeng He,Jinsong Zhang

Molecular cancer 22:81 PubMed37161388

2023

Aberrant m5C hypermethylation mediates intrinsic resistance to gefitinib through NSUN2/YBX1/QSOX1 axis in EGFR-mutant non-small-cell lung cancer.

Applications

Unspecified application

Species

Unspecified reactive species

Yueqin Wang,Jingyao Wei,Luyao Feng,Ouwen Li,Lan Huang,Shaoxuan Zhou,Yingjie Xu,Ke An,Yu Zhang,Ruiying Chen,Lulu He,Qiming Wang,Han Wang,Yue Du,Ruijuan Liu,Chunmin Huang,Xiaojian Zhang,Yun-Gui Yang,Quancheng Kan,Xin Tian

Cancers 13: PubMed33802764

2021

Proteomic Analyses of Fibroblast- and Serum-Derived Exosomes Identify QSOX1 as a Marker for Non-invasive Detection of Colorectal Cancer.

Applications

Unspecified application

Species

Unspecified reactive species

Nicole Ganig,Franziska Baenke,May-Linn Thepkaysone,Kuailu Lin,Venkatesh S Rao,Fang Cheng Wong,Heike Polster,Martin Schneider,Dominic Helm,Mathieu Pecqueux,Adrian M Seifert,Lena Seifert,Jürgen Weitz,Nuh N Rahbari,Christoph Kahlert
View all publications

Product promise

We are committed to supporting your work with high-quality reagents, and we're here for you every step of the way. In the unlikely event that one of our products does not perform as expected, you're protected by our Product Promise.
For full details, please see our Terms & Conditions

Please note: All products are 'FOR RESEARCH USE ONLY. NOT FOR USE IN DIAGNOSTIC OR THERAPEUTIC PROCEDURES'.

For licensing inquiries, please contact partnerships@abcam.com