JavaScript is disabled in your browser. Please enable JavaScript to view this website.
AB154842

Anti-Quinone oxidoreductase antibody [EPR10843(B)]

Be the first to review this product! Submit a review

|

(2 Publications)

Rabbit Recombinant Monoclonal Quinone oxidoreductase antibody. Suitable for IHC-P, WB, ICC/IF and reacts with Human samples. Cited in 2 publications.

View Alternative Names

Quinone oxidoreductase, NADPH:quinone reductase, Zeta-crystallin, CRYZ

8 Images
Immunohistochemistry (Formalin/PFA-fixed paraffin-embedded sections) - Anti-Quinone oxidoreductase antibody [EPR10843(B)] (AB154842)
  • IHC-P

Unknown

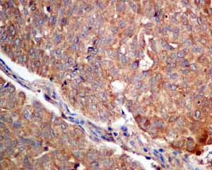
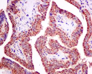
Immunohistochemistry (Formalin/PFA-fixed paraffin-embedded sections) - Anti-Quinone oxidoreductase antibody [EPR10843(B)] (AB154842)

Immunohistochemical analysis of formalin-fixed paraffin-embedded Human thyroid gland carcinoma tissue labeling Quinone oxidoreductase using ab154842 at a 1/100 dilution.

Perform heat mediated antigen retrieval with citrate buffer pH 6 before commencing with IHC staining protocol.

Immunohistochemistry (Formalin/PFA-fixed paraffin-embedded sections) - Anti-Quinone oxidoreductase antibody [EPR10843(B)] (AB154842)
  • IHC-P

Unknown

Immunohistochemistry (Formalin/PFA-fixed paraffin-embedded sections) - Anti-Quinone oxidoreductase antibody [EPR10843(B)] (AB154842)

Immunohistochemical analysis of paraffin embedded Human skeletal muscle tissue using ab154842 showing +ve staining.

Perform heat mediated antigen retrieval with citrate buffer pH 6 before commencing with IHC staining protocol.

Immunohistochemistry (Formalin/PFA-fixed paraffin-embedded sections) - Anti-Quinone oxidoreductase antibody [EPR10843(B)] (AB154842)
  • IHC-P

Unknown

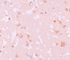
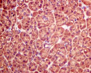
Immunohistochemistry (Formalin/PFA-fixed paraffin-embedded sections) - Anti-Quinone oxidoreductase antibody [EPR10843(B)] (AB154842)

Immunohistochemical analysis of formalin-fixed paraffin-embedded Human pancreas tissue labeling Quinone oxidoreductase using ab154842 at a 1/100 dilution.

Perform heat mediated antigen retrieval with citrate buffer pH 6 before commencing with IHC staining protocol.

Immunohistochemistry (Formalin/PFA-fixed paraffin-embedded sections) - Anti-Quinone oxidoreductase antibody [EPR10843(B)] (AB154842)
  • IHC-P

Unknown

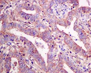
Immunohistochemistry (Formalin/PFA-fixed paraffin-embedded sections) - Anti-Quinone oxidoreductase antibody [EPR10843(B)] (AB154842)

Immunohistochemical analysis of paraffin embedded Human endometrial carcinoma tissue using ab154842 showing +ve staining.

Perform heat mediated antigen retrieval with citrate buffer pH 6 before commencing with IHC staining protocol.

Immunohistochemistry (Formalin/PFA-fixed paraffin-embedded sections) - Anti-Quinone oxidoreductase antibody [EPR10843(B)] (AB154842)
  • IHC-P

Unknown

Immunohistochemistry (Formalin/PFA-fixed paraffin-embedded sections) - Anti-Quinone oxidoreductase antibody [EPR10843(B)] (AB154842)

Immunohistochemical analysis of paraffin embedded Human urinary bladder transitional carcinoma tissue using ab154842 showing +ve staining.

Perform heat mediated antigen retrieval with citrate buffer pH 6 before commencing with IHC staining protocol.

Immunohistochemistry (Formalin/PFA-fixed paraffin-embedded sections) - Anti-Quinone oxidoreductase antibody [EPR10843(B)] (AB154842)
  • IHC-P

Unknown

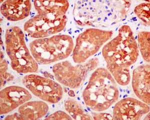
Immunohistochemistry (Formalin/PFA-fixed paraffin-embedded sections) - Anti-Quinone oxidoreductase antibody [EPR10843(B)] (AB154842)

Immunohistochemical analysis of paraffin embedded Human normal kidney tissue using ab154842 showing +ve staining.

Perform heat mediated antigen retrieval with citrate buffer pH 6 before commencing with IHC staining protocol.

Immunocytochemistry/ Immunofluorescence - Anti-Quinone oxidoreductase antibody [EPR10843(B)] (AB154842)
  • ICC/IF

Unknown

Immunocytochemistry/ Immunofluorescence - Anti-Quinone oxidoreductase antibody [EPR10843(B)] (AB154842)

Immunofluorescence analysis of HepG2 cells labeling Quinone oxidoreductase using ab154842 at a 1/250 dilution.

Western blot - Anti-Quinone oxidoreductase antibody [EPR10843(B)] (AB154842)
  • WB

Unknown

Western blot - Anti-Quinone oxidoreductase antibody [EPR10843(B)] (AB154842)

All lanes:

Western blot - Anti-Quinone oxidoreductase antibody [EPR10843(B)] (ab154842) at 1/1000 dilution

Lane 1:

Human fetal liver lysate at 10 µg

Lane 2:

HepG2 cell lysate at 10 µg

Lane 3:

K562 cell lysate at 10 µg

Predicted band size: 35 kDa

false

  • Carrier free

    Anti-Quinone oxidoreductase antibody [EPR10843(B)] - BSA and Azide free

Key facts

Host species

Rabbit

Clonality

Monoclonal

Clone number

EPR10843(B)

Isotype

IgG

Carrier free

No

Reacts with

Human

Applications

IHC-P, ICC/IF, WB

applications

Immunogen

The exact immunogen used to generate this antibody is proprietary information.

Reactivity data

{ "title": "Reactivity Data", "filters": { "stats": ["", "Species", "Dilution Info", "Notes"], "tabs": { "all-applications": {"fullname" : "All Applications", "shortname": "All Applications"}, "IHCP" : {"fullname" : "Immunohistochemistry (Formalin/PFA-fixed paraffin-embedded sections)", "shortname":"IHC-P"}, "FlowCyt" : {"fullname" : "Flow Cytometry", "shortname":"Flow Cyt"}, "WB" : {"fullname" : "Western blot", "shortname":"WB"}, "ICCIF" : {"fullname" : "Immunocytochemistry/ Immunofluorescence", "shortname":"ICC/IF"} }, "product-promise": { "all": "all", "testedAndGuaranteed": "tested", "guaranteed": "expected", "predicted": "predicted", "notRecommended": "not-recommended" } }, "values": { "Human": { "IHCP-species-checked": "testedAndGuaranteed", "IHCP-species-dilution-info": "1/100 - 1/250", "IHCP-species-notes": "<p></p>", "FlowCyt-species-checked": "notRecommended", "FlowCyt-species-dilution-info": "", "FlowCyt-species-notes": "<p></p>", "WB-species-checked": "testedAndGuaranteed", "WB-species-dilution-info": "1/10000 - 1/50000", "WB-species-notes": "<p></p>", "ICCIF-species-checked": "testedAndGuaranteed", "ICCIF-species-dilution-info": "1/250 - 1/500", "ICCIF-species-notes": "<p></p>" } } }

Product details

Species reactivity
Mouse, Rat: We have preliminary internal testing data to indicate this antibody may not react with these species.
Please contact us for more information.

Patented technology
Our RabMAb® technology is a patented hybridoma-based technology for making rabbit monoclonal antibodies. For details on our patents, please refer to RabMAb® patents.

What are the advantages of a recombinant monoclonal antibody?
This product is a recombinant monoclonal antibody, which offers several advantages including:

  • - High batch-to-batch consistency and reproducibility
  • - Improved sensitivity and specificity
  • - Long-term security of supply
  • - Animal-free batch production

For more information, read more on recombinant antibodies.

Properties and storage information

Form
Liquid
Purification technique
Affinity purification Protein A
Storage buffer
pH: 7.2 - 7.4 Preservative: 0.01% Sodium azide Constituents: PBS, 50% Tissue culture supernatant, 40% Glycerol (glycerin, glycerine), 0.05% BSA
Shipped at conditions
Blue Ice
Appropriate short-term storage conditions
+4°C
Appropriate long-term storage conditions
-20°C

Supplementary information

This supplementary information is collated from multiple sources and compiled automatically.

Quinone oxidoreductase also known by its popular alternate name NQO1 is a flavoenzyme with a molecular mass of approximately 31 kDa. It functions mechanically by catalyzing the reduction of quinones to hydroquinones utilizing NAD(P)H as an electron donor. This enzymatic activity helps in preventing redox cycling and oxidative stress by removing reactive quinones. Quinone oxidoreductase is expressed in various tissues including liver lung and heart highlighting its role in many biological processes.
Biological function summary

Quinone oxidoreductase acts as a detoxifying enzyme. It maintains cellular protection against oxidative damage by neutralizing harmful quinones. This enzyme is not reported as part of a larger protein complex but it plays a complementary role with other phase II detoxification enzymes like glutathione S-transferase. Its protective attributes attribute to cell survival especially under oxidative stress conditions.

Pathways

Quinone oxidoreductase is integral to the oxidative stress response and xenobiotic metabolism pathways. It is closely related to proteins such as cytochrome P450 and glutathione which work together to maintain cellular redox homeostasis and metabolism of foreign compounds. This collaboration allows quinone oxidoreductase to help in converting toxic substances into less harmful forms.

Quinone oxidoreductase is implicated in cancer and neurodegenerative disorders. In cancer its overexpression can lead to chemoresistance as its detoxifying functions may neutralize chemotherapeutic agents sharing functional pathways with proteins like p53. In neurodegenerative diseases altered activity of quinone oxidoreductase influences oxidative damage a common cause in disorders such as Parkinson's disease. Its relation with proteins like PARK7 (DJ-1) highlights its role in protecting neuronal cells from oxidative stress.

Product protocols

For this product, it's our understanding that no specific protocols are required. You can visit:

Target data

Does not have alcohol dehydrogenase activity. Binds NADP and acts through a one-electron transfer process. Orthoquinones, such as 1,2-naphthoquinone or 9,10-phenanthrenequinone, are the best substrates (in vitro). May act in the detoxification of xenobiotics. Interacts with (AU)-rich elements (ARE) in the 3'-UTR of target mRNA species. Enhances the stability of mRNA coding for BCL2. NADPH binding interferes with mRNA binding.
See full target information Quinone oxidoreductase

Publications (2)

Recent publications for all applications. Explore the full list and refine your search

World journal of gastrointestinal oncology 17:104522 PubMed40487942

2025

Simvastatin inhibits proliferation and migration, promotes oxidative stress and ferroptosis in colon cancer.

Applications

Unspecified application

Species

Unspecified reactive species

Ying Liu,Hao Ge,Zhi-Min Fan,Ting Lu,Lei He,Meng Li,Hao-Ran Zhao,Qiang Leng

Frontiers in bioengineering and biotechnology 8:681 PubMed32671048

2020

Long-Term Evaluation of Orthotypical and Heterotypical Bioengineered Human Corneas.

Applications

Unspecified application

Species

Unspecified reactive species

Ingrid Garzón,Jesus Chato-Astrain,Carmen González-Gallardo,Ana Ionescu,Juan de la Cruz Cardona,Miguel Mateu,Carmen Carda,María Del Mar Pérez,Miguel Ángel Martín-Piedra,Miguel Alaminos
View all publications

Product promise

We are committed to supporting your work with high-quality reagents, and we're here for you every step of the way. In the unlikely event that one of our products does not perform as expected, you're protected by our Product Promise.
For full details, please see our Terms & Conditions

Please note: All products are 'FOR RESEARCH USE ONLY. NOT FOR USE IN DIAGNOSTIC OR THERAPEUTIC PROCEDURES'.

For licensing inquiries, please contact partnerships@abcam.com