JavaScript is disabled in your browser. Please enable JavaScript to view this website.
AB249145

Anti-Quinone oxidoreductase antibody [EPR10843(B)] - BSA and Azide free

Be the first to review this product! Submit a review

|

(1 Publication)

Rabbit Recombinant Monoclonal Quinone oxidoreductase antibody. Carrier free. Suitable for IHC-P, ICC/IF, WB and reacts with Human samples. Cited in 1 publication.

View Alternative Names

Quinone oxidoreductase, NADPH:quinone reductase, Zeta-crystallin, CRYZ

7 Images
Immunohistochemistry (Formalin/PFA-fixed paraffin-embedded sections) - Anti-Quinone oxidoreductase antibody [EPR10843(B)] - BSA and Azide free (AB249145)
  • IHC-P

Unknown

Immunohistochemistry (Formalin/PFA-fixed paraffin-embedded sections) - Anti-Quinone oxidoreductase antibody [EPR10843(B)] - BSA and Azide free (AB249145)

This data was developed using ab154842, the same antibody clone in a different buffer formulation.

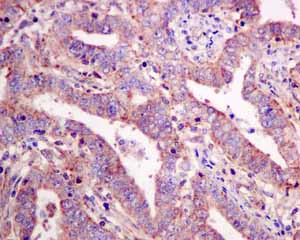
Immunohistochemical analysis of paraffin embedded Human endometrial carcinoma tissue using ab154842 showing +ve staining.

Perform heat mediated antigen retrieval with citrate buffer pH 6 before commencing with IHC staining protocol.

Immunohistochemistry (Formalin/PFA-fixed paraffin-embedded sections) - Anti-Quinone oxidoreductase antibody [EPR10843(B)] - BSA and Azide free (AB249145)
  • IHC-P

Unknown

Immunohistochemistry (Formalin/PFA-fixed paraffin-embedded sections) - Anti-Quinone oxidoreductase antibody [EPR10843(B)] - BSA and Azide free (AB249145)

This data was developed using ab154842, the same antibody clone in a different buffer formulation.

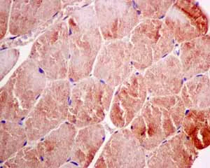
Immunohistochemical analysis of paraffin embedded Human skeletal muscle tissue using ab154842 showing +ve staining.

Perform heat mediated antigen retrieval with citrate buffer pH 6 before commencing with IHC staining protocol.

Immunohistochemistry (Formalin/PFA-fixed paraffin-embedded sections) - Anti-Quinone oxidoreductase antibody [EPR10843(B)] - BSA and Azide free (AB249145)
  • IHC-P

Unknown

Immunohistochemistry (Formalin/PFA-fixed paraffin-embedded sections) - Anti-Quinone oxidoreductase antibody [EPR10843(B)] - BSA and Azide free (AB249145)

This data was developed using ab154842, the same antibody clone in a different buffer formulation.

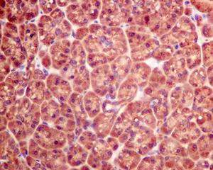
Immunohistochemical analysis of formalin-fixed, paraffin-embedded Human pancreas tissue, labeling Quinone oxidoreductase using ab154842 at a 1/100 dilution.

Perform heat mediated antigen retrieval with citrate buffer pH 6 before commencing with IHC staining protocol.

Immunohistochemistry (Formalin/PFA-fixed paraffin-embedded sections) - Anti-Quinone oxidoreductase antibody [EPR10843(B)] - BSA and Azide free (AB249145)
  • IHC-P

Unknown

Immunohistochemistry (Formalin/PFA-fixed paraffin-embedded sections) - Anti-Quinone oxidoreductase antibody [EPR10843(B)] - BSA and Azide free (AB249145)

This data was developed using ab154842, the same antibody clone in a different buffer formulation.

Immunohistochemical analysis of formalin-fixed, paraffin-embedded Human thyroid gland carcinoma tissue, labeling Quinone oxidoreductase using ab154842 at a 1/100 dilution.

Perform heat mediated antigen retrieval with citrate buffer pH 6 before commencing with IHC staining protocol.

Immunohistochemistry (Formalin/PFA-fixed paraffin-embedded sections) - Anti-Quinone oxidoreductase antibody [EPR10843(B)] - BSA and Azide free (AB249145)
  • IHC-P

Unknown

Immunohistochemistry (Formalin/PFA-fixed paraffin-embedded sections) - Anti-Quinone oxidoreductase antibody [EPR10843(B)] - BSA and Azide free (AB249145)

This data was developed using ab154842, the same antibody clone in a different buffer formulation.

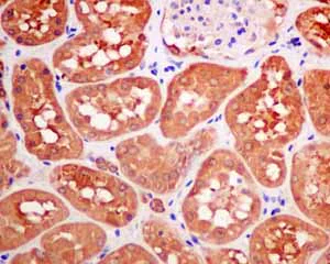
Immunohistochemical analysis of paraffin embedded Human normal kidney tissue using ab154842 showing +ve staining.

Perform heat mediated antigen retrieval with citrate buffer pH 6 before commencing with IHC staining protocol.

Immunocytochemistry/ Immunofluorescence - Anti-Quinone oxidoreductase antibody [EPR10843(B)] - BSA and Azide free (AB249145)
  • ICC/IF

Unknown

Immunocytochemistry/ Immunofluorescence - Anti-Quinone oxidoreductase antibody [EPR10843(B)] - BSA and Azide free (AB249145)

This data was developed using ab154842, the same antibody clone in a different buffer formulation.

Immunofluorescence analysis of HepG2 cells, labeling Quinone oxidoreductase using ab154842 at a 1/250 dilution.

Western blot - Anti-Quinone oxidoreductase antibody [EPR10843(B)] - BSA and Azide free (AB249145)
  • WB

Unknown

Western blot - Anti-Quinone oxidoreductase antibody [EPR10843(B)] - BSA and Azide free (AB249145)

This data was developed using ab154842, the same antibody clone in a different buffer formulation.

All lanes:

Western blot - Anti-Quinone oxidoreductase antibody [EPR10843(B)] (<a href='/en-us/products/primary-antibodies/quinone-oxidoreductase-antibody-epr10843b-ab154842'>ab154842</a>) at 1/1000 dilution

Lane 1:

Human fetal liver lysate at 10 µg

Lane 2:

HepG2 cell lysate at 10 µg

Lane 3:

K562 cell lysate at 10 µg

Predicted band size: 35 kDa

false

  • Unconjugated

    Anti-Quinone oxidoreductase antibody [EPR10843(B)]

Key facts

Host species

Rabbit

Clonality

Monoclonal

Clone number

EPR10843(B)

Isotype

IgG

Carrier free

Yes

Reacts with

Human

Applications

IHC-P, ICC/IF, WB

applications

Immunogen

The exact immunogen used to generate this antibody is proprietary information.

Reactivity data

{ "title": "Reactivity Data", "filters": { "stats": ["", "Species", "Dilution Info", "Notes"], "tabs": { "all-applications": {"fullname" : "All Applications", "shortname": "All Applications"}, "IHCP" : {"fullname" : "Immunohistochemistry (Formalin/PFA-fixed paraffin-embedded sections)", "shortname":"IHC-P"}, "ICCIF" : {"fullname" : "Immunocytochemistry/ Immunofluorescence", "shortname":"ICC/IF"}, "FlowCyt" : {"fullname" : "Flow Cytometry", "shortname":"Flow Cyt"}, "WB" : {"fullname" : "Western blot", "shortname":"WB"} }, "product-promise": { "all": "all", "testedAndGuaranteed": "tested", "guaranteed": "expected", "predicted": "predicted", "notRecommended": "not-recommended" } }, "values": { "Human": { "IHCP-species-checked": "testedAndGuaranteed", "IHCP-species-dilution-info": "", "IHCP-species-notes": "<p></p>", "ICCIF-species-checked": "testedAndGuaranteed", "ICCIF-species-dilution-info": "", "ICCIF-species-notes": "<p></p>", "FlowCyt-species-checked": "notRecommended", "FlowCyt-species-dilution-info": "", "FlowCyt-species-notes": "<p></p>", "WB-species-checked": "testedAndGuaranteed", "WB-species-dilution-info": "", "WB-species-notes": "<p></p>" } } }

Product details

ab249145 is the carrier-free version of ab154842.

Patented technology
Our RabMAb® technology is a patented hybridoma-based technology for making rabbit monoclonal antibodies. For details on our patents, please refer to RabMAb® patents.

What are the advantages of a recombinant monoclonal antibody?
This product is a recombinant monoclonal antibody, which offers several advantages including:

  • - High batch-to-batch consistency and reproducibility
  • - Improved sensitivity and specificity
  • - Long-term security of supply
  • - Animal-free batch production

For more information, read more on recombinant antibodies.

Conjugation ready
Our carrier-free antibodies are typically supplied in a PBS-only formulation, purified and free of BSA, sodium azide and glycerol. This conjugation-ready format is designed for use with fluorochromes, metal isotopes, oligonucleotides, and enzymes, which makes them ideal for antibody labelling, functional and cell-based assays, flow-based assays (e.g. mass cytometry) and Multiplex Imaging applications.

Use our conjugation kits for antibody conjugates that are ready-to-use in as little as 20 minutes with 1 minute hands-on-time and 100% antibody recovery: available for fluorescent dyes, HRP, biotin and gold.

Compatibility
This product is compatible with the Maxpar® Antibody Labeling Kit from Fluidigm, without the need for antibody preparation. Maxpar® is a trademark of Fluidigm Canada Inc.

Properties and storage information

Form
Liquid
Purification technique
Affinity purification Protein A
Storage buffer
pH: 7.2 - 7.4 Constituents: PBS
Shipped at conditions
Blue Ice
Appropriate short-term storage conditions
+4°C
Appropriate long-term storage conditions
+4°C
Storage information
Do Not Freeze

Supplementary information

This supplementary information is collated from multiple sources and compiled automatically.

Quinone oxidoreductase also known by its popular alternate name NQO1 is a flavoenzyme with a molecular mass of approximately 31 kDa. It functions mechanically by catalyzing the reduction of quinones to hydroquinones utilizing NAD(P)H as an electron donor. This enzymatic activity helps in preventing redox cycling and oxidative stress by removing reactive quinones. Quinone oxidoreductase is expressed in various tissues including liver lung and heart highlighting its role in many biological processes.
Biological function summary

Quinone oxidoreductase acts as a detoxifying enzyme. It maintains cellular protection against oxidative damage by neutralizing harmful quinones. This enzyme is not reported as part of a larger protein complex but it plays a complementary role with other phase II detoxification enzymes like glutathione S-transferase. Its protective attributes attribute to cell survival especially under oxidative stress conditions.

Pathways

Quinone oxidoreductase is integral to the oxidative stress response and xenobiotic metabolism pathways. It is closely related to proteins such as cytochrome P450 and glutathione which work together to maintain cellular redox homeostasis and metabolism of foreign compounds. This collaboration allows quinone oxidoreductase to help in converting toxic substances into less harmful forms.

Quinone oxidoreductase is implicated in cancer and neurodegenerative disorders. In cancer its overexpression can lead to chemoresistance as its detoxifying functions may neutralize chemotherapeutic agents sharing functional pathways with proteins like p53. In neurodegenerative diseases altered activity of quinone oxidoreductase influences oxidative damage a common cause in disorders such as Parkinson's disease. Its relation with proteins like PARK7 (DJ-1) highlights its role in protecting neuronal cells from oxidative stress.

Product protocols

For this product, it's our understanding that no specific protocols are required. You can visit:

Target data

Does not have alcohol dehydrogenase activity. Binds NADP and acts through a one-electron transfer process. Orthoquinones, such as 1,2-naphthoquinone or 9,10-phenanthrenequinone, are the best substrates (in vitro). May act in the detoxification of xenobiotics. Interacts with (AU)-rich elements (ARE) in the 3'-UTR of target mRNA species. Enhances the stability of mRNA coding for BCL2. NADPH binding interferes with mRNA binding.
See full target information Quinone oxidoreductase

Publications (1)

Recent publications for all applications. Explore the full list and refine your search

Developmental cell 60:2744-2760.e9 PubMed40460835

2025

ATG9A and ARFIP2 cooperate to control PI4P levels for lysosomal repair.

Applications

Unspecified application

Species

Unspecified reactive species

Stefano De Tito,Eugenia Almacellas,Daniel Dai Yu,Emily Millard,Wenxin Zhang,Cecilia de Heus,Christophe Queval,Javier H Hervás,Enrica Pellegrino,Ioanna Panagi,Ditte Fogde,Teresa L M Thurston,Judith Klumperman,Maximiliano Gutierrez,Sharon A Tooze
View all publications

Product promise

We are committed to supporting your work with high-quality reagents, and we're here for you every step of the way. In the unlikely event that one of our products does not perform as expected, you're protected by our Product Promise.
For full details, please see our Terms & Conditions

Please note: All products are 'FOR RESEARCH USE ONLY. NOT FOR USE IN DIAGNOSTIC OR THERAPEUTIC PROCEDURES'.

For licensing inquiries, please contact partnerships@abcam.com