JavaScript is disabled in your browser. Please enable JavaScript to view this website.
AB227153

Anti-R Cadherin antibody

Be the first to review this product! Submit a review

|

(1 Publication)

Rabbit Polyclonal CADH4 antibody. Suitable for IHC-P and reacts with Mouse samples. Cited in 1 publication. Immunogen corresponding to Recombinant Fragment Protein within Human Cadherin-4.

View Alternative Names

Cadherin-4, Retinal cadherin, R-CAD, R-cadherin, CDH4

1 Images
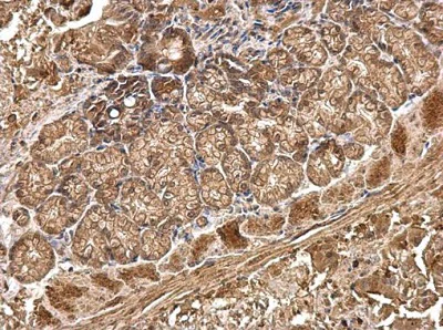
Immunohistochemistry (Formalin/PFA-fixed paraffin-embedded sections) - Anti-R Cadherin antibody (AB227153)
  • IHC-P

Supplier Data

Immunohistochemistry (Formalin/PFA-fixed paraffin-embedded sections) - Anti-R Cadherin antibody (AB227153)

Paraffin embedded mouse duodenum tissue stained for R Cadherin with ab227153 (1/500 dilution) in immunohistochemical analysis.

Key facts

Host species

Rabbit

Clonality

Polyclonal

Isotype

IgG

Carrier free

No

Reacts with

Mouse

Applications

IHC-P

applications

Immunogen

Recombinant Fragment Protein within Human Cadherin-4. The exact immunogen used to generate this antibody is proprietary information.

P55283

Reactivity data

{ "title": "Reactivity Data", "filters": { "stats": ["", "Species", "Dilution Info", "Notes"], "tabs": { "all-applications": {"fullname" : "All Applications", "shortname": "All Applications"}, "IHCP" : {"fullname" : "Immunohistochemistry (Formalin/PFA-fixed paraffin-embedded sections)", "shortname":"IHC-P"} }, "product-promise": { "all": "all", "testedAndGuaranteed": "tested", "guaranteed": "expected", "predicted": "predicted", "notRecommended": "not-recommended" } }, "values": { "Human": { "IHCP-species-checked": "predicted", "IHCP-species-dilution-info": "", "IHCP-species-notes": "" }, "Mouse": { "IHCP-species-checked": "testedAndGuaranteed", "IHCP-species-dilution-info": "1/100 - 1/1000", "IHCP-species-notes": "<p></p>" }, "Chicken": { "IHCP-species-checked": "predicted", "IHCP-species-dilution-info": "", "IHCP-species-notes": "" } } }

Properties and storage information

Form
Liquid
Purification technique
Affinity purification Immunogen
Storage buffer
pH: 7 Preservative: 0.01% Thimerosal (merthiolate) Constituents: PBS, 20% Glycerol (glycerin, glycerine)
Shipped at conditions
Blue Ice
Appropriate short-term storage duration
1-2 weeks
Appropriate short-term storage conditions
+4°C
Appropriate long-term storage conditions
-20°C
Aliquoting information
Upon delivery aliquot
Storage information
Avoid freeze / thaw cycle

Supplementary information

This supplementary information is collated from multiple sources and compiled automatically.

R Cadherin also known as Cadherin-4 or CDH4 is a classical cadherin that plays a role in calcium-dependent cell-cell adhesion. This protein weighs approximately 90 kDa. It expresses in neural tissues particularly within the developing central nervous system as well as in the retina and certain epithelial tissues. R Cadherin is a member of the cadherin superfamily which comprises proteins responsible for mediating cell-cell adhesion in a variety of tissues.
Biological function summary

This protein contributes to the regulation of cell adhesion and tissue morphogenesis. R Cadherin mediates homophilic interactions which means it binds to the same molecule on adjacent cells to maintain tissue architecture. It often forms a complex with catenins which link cadherins to the actin cytoskeleton. This interaction influences cell polarity migration and tissue maintenance impacting the development and maintenance of the nervous system and the eye.

Pathways

Many scientific studies place R Cadherin in the Wnt signaling pathway where it influences cellular proliferation and differentiation. It shows interaction with other cadherins like N-Cadherin part of the same superfamily each playing distinct roles in development processes by modulating cell adhesion properties important for proper pathway functioning. The protein interactions in these pathways help explain its role in cellular development and homeostasis.

Scientists have associated R Cadherin with cancer and retinal disorders. Aberrant expression or dysfunction of this protein can disrupt normal cell adhesion which can lead to tumor progression and metastasis. Furthermore it interacts with proteins like beta-catenin involved in both Wnt signaling and oncogenesis. Alterations in R Cadherin expression also relate to certain retinal degenerative diseases emphasizing its importance in maintaining structured tissue integrity and signaling.

Product protocols

For this product, it's our understanding that no specific protocols are required. You can visit:

Target data

Cadherins are calcium-dependent cell adhesion proteins. They preferentially interact with themselves in a homophilic manner in connecting cells; cadherins may thus contribute to the sorting of heterogeneous cell types. May play an important role in retinal development.
See full target information Cadherin-4

Publications (1)

Recent publications for all applications. Explore the full list and refine your search

Aging cell 17:e12824 PubMed30109767

2018

Altered modulation of lamin A/C-HDAC2 interaction and p21 expression during oxidative stress response in HGPS.

Applications

Unspecified application

Species

Unspecified reactive species

Elisabetta Mattioli,Davide Andrenacci,Cecilia Garofalo,Sabino Prencipe,Katia Scotlandi,Daniel Remondini,Davide Gentilini,Anna Maria Di Blasio,Sergio Valente,Emanuela Scarano,Lucia Cicchilitti,Giulia Piaggio,Antonello Mai,Giovanna Lattanzi
View all publications

Product promise

We are committed to supporting your work with high-quality reagents, and we're here for you every step of the way. In the unlikely event that one of our products does not perform as expected, you're protected by our Product Promise.
For full details, please see our Terms & Conditions

Please note: All products are 'FOR RESEARCH USE ONLY. NOT FOR USE IN DIAGNOSTIC OR THERAPEUTIC PROCEDURES'.

For licensing inquiries, please contact partnerships@abcam.com