JavaScript is disabled in your browser. Please enable JavaScript to view this website.
AB228954

Anti-RAB11B antibody

Be the first to review this product! Submit a review

|

(2 Publications)

Rabbit Polyclonal RAB11B antibody. Suitable for WB, IHC-P, ICC/IF, IHC-Fr and reacts with Mouse, Rat, Human samples. Cited in 2 publications. Immunogen corresponding to Recombinant Fragment Protein within Human RAB11B.

View Alternative Names

YPT3, RAB11B, Ras-related protein Rab-11B, GTP-binding protein YPT3

6 Images
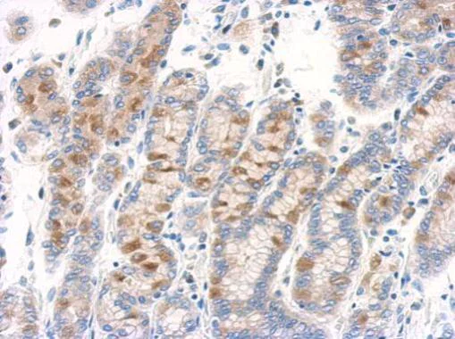
Immunohistochemistry (Formalin/PFA-fixed paraffin-embedded sections) - Anti-RAB11B antibody (AB228954)
  • IHC-P

Supplier Data

Immunohistochemistry (Formalin/PFA-fixed paraffin-embedded sections) - Anti-RAB11B antibody (AB228954)

Paraffin-embedded human colon carcinoma tissue stained for RAB11B using ab228954 at 1/500 dilution in immunohistochemical analysis.

Western blot - Anti-RAB11B antibody (AB228954)
  • WB

Supplier Data

Western blot - Anti-RAB11B antibody (AB228954)

12% SDS-PAGE gel.

All lanes:

Western blot - Anti-RAB11B antibody (ab228954) at 1/1000 dilution

Lane 1:

U-87 MG (human glioblastoma-astrocytoma epithelial cell line) whole cell lysate at 30 µg

Lane 2:

SK-N-SH (human neuroblastoma cell line) whole cell lysate at 30 µg

Lane 3:

IMR32 whole cell lysate at 30 µg

Lane 4:

SK-N-AS whole cell lysate at 30 µg

Predicted band size: 24 kDa

false

Immunocytochemistry/ Immunofluorescence - Anti-RAB11B antibody (AB228954)
  • ICC/IF

Supplier Data

Immunocytochemistry/ Immunofluorescence - Anti-RAB11B antibody (AB228954)

2% paraformaldehyde-fixed HeLa (human epithelial cell line from cervix adenocarcinoma) cells stained for RAB11B (green) using ab228954 at 1/500 dilution in ICC/IF.

Blue : Hoechst 33342 staining.

Immunohistochemistry (Frozen sections) - Anti-RAB11B antibody (AB228954)
  • IHC-Fr

Supplier Data

Immunohistochemistry (Frozen sections) - Anti-RAB11B antibody (AB228954)

Frozen-sectioned adult mouse cerebellum tissue stained for RAB11I using ab228954 at 1/1000 dilution in immunohistochemical analysis.

Western blot - Anti-RAB11B antibody (AB228954)
  • WB

Supplier Data

Western blot - Anti-RAB11B antibody (AB228954)

12% SDS-PAGE gel.

All lanes:

Western blot - Anti-RAB11B antibody (ab228954) at 1/1000 dilution

Lane 1:

PC-12 (rat adrenal gland pheochromocytoma cell line) whole cell extract at 30 µg

Lane 2:

Rat2 (rat fibroblast cell line) whole cell extract at 30 µg

Secondary

All lanes:

HRP-conjugated anti-rabbit IgG

Predicted band size: 24 kDa

false

Western blot - Anti-RAB11B antibody (AB228954)
  • WB

Supplier Data

Western blot - Anti-RAB11B antibody (AB228954)

12% SDS-PAGE gel.

All lanes:

Western blot - Anti-RAB11B antibody (ab228954) at 1/1000 dilution

All lanes:

Mouse brain lysate at 50 µg

Secondary

All lanes:

HRP-conjugated anti-rabbit IgG

Predicted band size: 24 kDa

false

Key facts

Host species

Rabbit

Clonality

Polyclonal

Isotype

IgG

Carrier free

No

Reacts with

Mouse, Rat, Human

Applications

IHC-Fr, IHC-P, ICC/IF, WB

applications

Immunogen

Recombinant Fragment Protein within Human RAB11B. The exact immunogen used to generate this antibody is proprietary information.

Q15907

Reactivity data

{ "title": "Reactivity Data", "filters": { "stats": ["", "Species", "Dilution Info", "Notes"], "tabs": { "all-applications": {"fullname" : "All Applications", "shortname": "All Applications"}, "WB" : {"fullname" : "Western blot", "shortname":"WB"}, "IHCP" : {"fullname" : "Immunohistochemistry (Formalin/PFA-fixed paraffin-embedded sections)", "shortname":"IHC-P"}, "ICCIF" : {"fullname" : "Immunocytochemistry/ Immunofluorescence", "shortname":"ICC/IF"}, "IHCFr" : {"fullname" : "Immunohistochemistry (Frozen sections)", "shortname":"IHC-Fr"} }, "product-promise": { "all": "all", "testedAndGuaranteed": "tested", "guaranteed": "expected", "predicted": "predicted", "notRecommended": "not-recommended" } }, "values": { "Human": { "WB-species-checked": "testedAndGuaranteed", "WB-species-dilution-info": "1/500 - 1/3000", "WB-species-notes": "<p></p>", "IHCP-species-checked": "testedAndGuaranteed", "IHCP-species-dilution-info": "1/100 - 1/1000", "IHCP-species-notes": "<p></p>", "ICCIF-species-checked": "testedAndGuaranteed", "ICCIF-species-dilution-info": "1/100 - 1/1000", "ICCIF-species-notes": "<p></p>", "IHCFr-species-checked": "guaranteed", "IHCFr-species-dilution-info": "", "IHCFr-species-notes": "" }, "Mouse": { "WB-species-checked": "testedAndGuaranteed", "WB-species-dilution-info": "1/500 - 1/3000", "WB-species-notes": "<p></p>", "IHCP-species-checked": "guaranteed", "IHCP-species-dilution-info": "", "IHCP-species-notes": "", "ICCIF-species-checked": "guaranteed", "ICCIF-species-dilution-info": "", "ICCIF-species-notes": "", "IHCFr-species-checked": "testedAndGuaranteed", "IHCFr-species-dilution-info": "1/100 - 1/1000", "IHCFr-species-notes": "<p></p>" }, "Rat": { "WB-species-checked": "testedAndGuaranteed", "WB-species-dilution-info": "1/500 - 1/3000", "WB-species-notes": "<p></p>", "IHCP-species-checked": "guaranteed", "IHCP-species-dilution-info": "", "IHCP-species-notes": "", "ICCIF-species-checked": "guaranteed", "ICCIF-species-dilution-info": "", "ICCIF-species-notes": "", "IHCFr-species-checked": "guaranteed", "IHCFr-species-dilution-info": "", "IHCFr-species-notes": "" }, "Chicken": { "WB-species-checked": "predicted", "WB-species-dilution-info": "", "WB-species-notes": "", "IHCP-species-checked": "predicted", "IHCP-species-dilution-info": "", "IHCP-species-notes": "", "ICCIF-species-checked": "predicted", "ICCIF-species-dilution-info": "", "ICCIF-species-notes": "", "IHCFr-species-checked": "predicted", "IHCFr-species-dilution-info": "", "IHCFr-species-notes": "" }, "Cow": { "WB-species-checked": "predicted", "WB-species-dilution-info": "", "WB-species-notes": "", "IHCP-species-checked": "predicted", "IHCP-species-dilution-info": "", "IHCP-species-notes": "", "ICCIF-species-checked": "predicted", "ICCIF-species-dilution-info": "", "ICCIF-species-notes": "", "IHCFr-species-checked": "predicted", "IHCFr-species-dilution-info": "", "IHCFr-species-notes": "" }, "Pig": { "WB-species-checked": "predicted", "WB-species-dilution-info": "", "WB-species-notes": "", "IHCP-species-checked": "predicted", "IHCP-species-dilution-info": "", "IHCP-species-notes": "", "ICCIF-species-checked": "predicted", "ICCIF-species-dilution-info": "", "ICCIF-species-notes": "", "IHCFr-species-checked": "predicted", "IHCFr-species-dilution-info": "", "IHCFr-species-notes": "" }, "Rhesus monkey": { "WB-species-checked": "predicted", "WB-species-dilution-info": "", "WB-species-notes": "", "IHCP-species-checked": "predicted", "IHCP-species-dilution-info": "", "IHCP-species-notes": "", "ICCIF-species-checked": "predicted", "ICCIF-species-dilution-info": "", "ICCIF-species-notes": "", "IHCFr-species-checked": "predicted", "IHCFr-species-dilution-info": "", "IHCFr-species-notes": "" } } }

Properties and storage information

Form
Liquid
Purification technique
Affinity purification Immunogen
Storage buffer
pH: 7 Preservative: 0.025% Proclin 300 Constituents: 79% PBS, 20% Glycerol (glycerin, glycerine)
Shipped at conditions
Blue Ice
Appropriate short-term storage duration
1-2 weeks
Appropriate short-term storage conditions
+4°C
Appropriate long-term storage conditions
-20°C
Aliquoting information
Upon delivery aliquot
Storage information
Avoid freeze / thaw cycle

Supplementary information

This supplementary information is collated from multiple sources and compiled automatically.

RAB11B also known as Ras-related protein Rab-11B is a small GTPase enzyme that belongs to the RAB protein family. RAB11B has a molecular mass of approximately 24 kDa. This protein is expressed in several tissues particularly in brain and testes. It plays a critical role in the regulation of membrane trafficking. As a member of the RAB family RAB11B cycles between an inactive GDP-bound form and an active GTP-bound form which is necessary for its function in vesicular transport.
Biological function summary

Small GTPases like RAB11B govern intracellular vesicle trafficking between different organelles. It resides mainly in recycling endosomes and is important for the recycling of receptors and other cell surface proteins. RAB11B often associates with other proteins like recycling endosome coat proteins to form complexes critical for its function. It maintains the proper localization and recycling of surface proteins which is essential for maintaining cellular function.

Pathways

Regulation of vesicular transport by RAB11B integrates into several cellular pathways particularly the endocytic recycling pathway. This pathway supports the recycling of endocytosed material back to the plasma membrane. RAB11B interacts with other proteins such as RAB11A which has overlapping roles in vesicular transport to fine-tune the trafficking of molecules and maintain homeostasis.

RAB11B has links to conditions such as cancer and neurodegenerative diseases. Its dysregulation can result in abnormalities in vesicular trafficking which disrupts cellular homeostasis. For example in cancer altered RAB11B activity changes receptor recycling influencing cellular proliferation. In neurodegenerative diseases it may interact with amyloid precursor protein (APP) and facilitate events leading to disease progression. Changes in RAB11B function can associate with altered cell surface protein dynamics impacting disease development.

Product protocols

For this product, it's our understanding that no specific protocols are required. You can visit:

Target data

The small GTPases Rab are key regulators of intracellular membrane trafficking, from the formation of transport vesicles to their fusion with membranes. Rabs cycle between an inactive GDP-bound form and an active GTP-bound form that is able to recruit to membranes different set of downstream effectors directly responsible for vesicle formation, movement, tethering and fusion. The small Rab GTPase RAB11B plays a role in endocytic recycling, regulating apical recycling of several transmembrane proteins including cystic fibrosis transmembrane conductance regulator/CFTR, epithelial sodium channel/ENaC, potassium voltage-gated channel, and voltage-dependent L-type calcium channel. May also regulate constitutive and regulated secretion, like insulin granule exocytosis. Required for melanosome transport and release from melanocytes. Also regulates V-ATPase intracellular transport in response to extracellular acidosis. Promotes Rabin8/RAB3IP preciliary vesicular trafficking to mother centriole by forming a ciliary targeting complex containing Rab11, ASAP1, Rabin8/RAB3IP, RAB11FIP3 and ARF4, thereby regulating ciliogenesis initiation (Probable). On the contrary, upon LPAR1 receptor signaling pathway activation, interaction with phosphorylated WDR44 prevents Rab11-RAB3IP-RAB11FIP3 complex formation and cilia growth (Probable).
See full target information RAB11B

Publications (2)

Recent publications for all applications. Explore the full list and refine your search

Frontiers in oncology 10:1172 PubMed32850336

2020

LncRNA DLX6-AS1 Promotes Malignant Phenotype and Lymph Node Metastasis in Prostate Cancer by Inducing LARGE Methylation.

Applications

Unspecified application

Species

Unspecified reactive species

Zhifeng Zhao,Shuxia Liang,Fuguang Sun

Annals of translational medicine 8:582 PubMed32566609

2020

Upregulation of long noncoding RNA promotes tumor metastasis and predicts poor prognosis in lung cancer.

Applications

Unspecified application

Species

Unspecified reactive species

Tiegang Li,Di Wu,Qun Liu,Dedong Wang,Jinbin Chen,Hongjun Zhao,Lan Zhang,Chenli Xie,Wei Zhu,Zhixu Chen,Yifeng Zhou,Soham Datta,Fuman Qiu,Lei Yang,Jiachun Lu
View all publications

Product promise

We are committed to supporting your work with high-quality reagents, and we're here for you every step of the way. In the unlikely event that one of our products does not perform as expected, you're protected by our Product Promise.
For full details, please see our Terms & Conditions

Please note: All products are 'FOR RESEARCH USE ONLY. NOT FOR USE IN DIAGNOSTIC OR THERAPEUTIC PROCEDURES'.

For licensing inquiries, please contact partnerships@abcam.com