JavaScript is disabled in your browser. Please enable JavaScript to view this website.
AB153843

Anti-RAB11FIP5 antibody

Be the first to review this product! Submit a review

|

(1 Publication)

Rabbit Polyclonal RAB11FIP5 antibody. Suitable for WB, IHC-P and reacts with Human, Mouse samples. Cited in 1 publication. Immunogen corresponding to Recombinant Fragment Protein within Human RAB11FIP5 aa 100-350.

View Alternative Names

GAF1, KIAA0857, RIP11, RAB11FIP5, Rab11 family-interacting protein 5, Rab11-FIP5, Gamma-SNAP-associated factor 1, Phosphoprotein pp75, Rab11-interacting protein Rip11, Gaf-1

3 Images
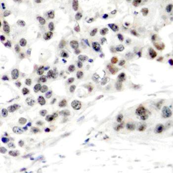
Immunohistochemistry (Formalin/PFA-fixed paraffin-embedded sections) - Anti-RAB11FIP5 antibody (AB153843)
  • IHC-P

Unknown

Immunohistochemistry (Formalin/PFA-fixed paraffin-embedded sections) - Anti-RAB11FIP5 antibody (AB153843)

Immunohistochemical analysis of paraffin-embedded Human Hepatoma tissue labeling RAB11FIP5 with ab153843 at 1/500 dilution.

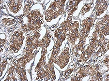
Immunohistochemistry (Formalin/PFA-fixed paraffin-embedded sections) - Anti-RAB11FIP5 antibody (AB153843)
  • IHC-P

Unknown

Immunohistochemistry (Formalin/PFA-fixed paraffin-embedded sections) - Anti-RAB11FIP5 antibody (AB153843)

Immunohistochemical analysis of paraffin-embedded Mouse C2C12 xenograft labeling RAB11FIP5 with ab153843 at 1/500 dilution.

Western blot - Anti-RAB11FIP5 antibody (AB153843)
  • WB

Unknown

Western blot - Anti-RAB11FIP5 antibody (AB153843)

7.5% SDS PAGE

All lanes:

Western blot - Anti-RAB11FIP5 antibody (ab153843) at 1/1000 dilution

Lane 1:

293T whole cell lysate at 30 µg

Lane 2:

A431 whole cell lysate at 30 µg

Predicted band size: 70 kDa

false

Key facts

Host species

Rabbit

Clonality

Polyclonal

Isotype

IgG

Carrier free

No

Reacts with

Mouse, Human

Applications

WB, IHC-P

applications

Immunogen

Recombinant Fragment Protein within Human RAB11FIP5 aa 100-350. The exact immunogen used to generate this antibody is proprietary information.

Q9BXF6

Reactivity data

{ "title": "Reactivity Data", "filters": { "stats": ["", "Species", "Dilution Info", "Notes"], "tabs": { "all-applications": {"fullname" : "All Applications", "shortname": "All Applications"}, "WB" : {"fullname" : "Western blot", "shortname":"WB"}, "IHCP" : {"fullname" : "Immunohistochemistry (Formalin/PFA-fixed paraffin-embedded sections)", "shortname":"IHC-P"} }, "product-promise": { "all": "all", "testedAndGuaranteed": "tested", "guaranteed": "expected", "predicted": "predicted", "notRecommended": "not-recommended" } }, "values": { "Human": { "WB-species-checked": "testedAndGuaranteed", "WB-species-dilution-info": "1/500 - 1/3000", "WB-species-notes": "<p></p>", "IHCP-species-checked": "testedAndGuaranteed", "IHCP-species-dilution-info": "1/100 - 1/1000", "IHCP-species-notes": "<p></p>" }, "Mouse": { "WB-species-checked": "guaranteed", "WB-species-dilution-info": "", "WB-species-notes": "", "IHCP-species-checked": "testedAndGuaranteed", "IHCP-species-dilution-info": "1/100 - 1/1000", "IHCP-species-notes": "<p></p>" } } }

Properties and storage information

Form
Liquid
Purification technique
Affinity purification Immunogen
Storage buffer
pH: 7 Preservative: 0.01% Thimerosal (merthiolate) Constituents: 20% Glycerol (glycerin, glycerine), 1.21% Tris, 0.75% Glycine
Shipped at conditions
Blue Ice
Appropriate short-term storage conditions
+4°C
Appropriate long-term storage conditions
-20°C
Aliquoting information
Upon delivery aliquot
Storage information
Avoid freeze / thaw cycle

Supplementary information

This supplementary information is collated from multiple sources and compiled automatically.

RAB11FIP5 also known as Rab11 Family Interacting Protein 5 or FIP5 functions as an important adaptor protein in intracellular transport processes. This protein has a molecular weight of approximately 81 kDa and facilitates vesicular trafficking by controlling the movement of endosomes and recycling endosomes back to the plasma membrane. RAB11FIP5 is widely expressed in various human tissues with notable expression in polarized epithelial cells where it plays a significant role in maintaining cell polarity and function.
Biological function summary

RAB11FIP5 interacts with the small GTPase RAB11A forming a complex that coordinates the recycling of cargo molecules. This complex is essential for the regulated exocytosis of membrane proteins and lipids. Through its actions RAB11FIP5 impacts important cellular processes such as embryonic development and immune responses by ensuring that important signaling molecules reach the cell surface efficiently.

Pathways

The activities of RAB11FIP5 are integrated into the endocytic recycling pathway and the Golgi-to-plasma membrane transport pathway. In the context of these pathways RAB11FIP5 works in conjunction with other proteins like the RAB11 family and RAB8A facilitating the transfer of cargo from early endosomes to recycling endosomes and ultimately back to the membrane. These pathways are essential for maintaining cellular communication and homeostasis by regulating the localization and abundance of receptors on the cell surface.

The disruption of RAB11FIP5 function associates with genetic and immune-related diseases including ciliary disorders and inflammatory bowel disease. Malfunctions in RAB11FIP5-mediated recycling can impact ciliary function leading to conditions such as primary ciliary dyskinesia. In addition its interaction with other proteins like Myo5B highlights its role in maintaining epithelial integrity where any dysfunction may contribute to disease pathogenesis.

Product protocols

For this product, it's our understanding that no specific protocols are required. You can visit:

Target data

Rab effector involved in protein trafficking from apical recycling endosomes to the apical plasma membrane. Involved in insulin granule exocytosis. May regulate V-ATPase intracellular transport in response to extracellular acidosis.
See full target information RAB11FIP5

Publications (1)

Recent publications for all applications. Explore the full list and refine your search

Endocrine journal 72:495-507 PubMed40010729

2025

Scutellarin mitigates high glucose-induced pyroptosis in diabetic atherosclerosis: Role of Nrf2-FBXL2-mediated NLRP3 degradation.

Applications

Unspecified application

Species

Unspecified reactive species

Qingxin Meng,Yongpan Huang,Xian Long,Lijing Liu,Yani Tang,Jingjing He,Yayuan Luo
View all publications

Product promise

We are committed to supporting your work with high-quality reagents, and we're here for you every step of the way. In the unlikely event that one of our products does not perform as expected, you're protected by our Product Promise.
For full details, please see our Terms & Conditions

Please note: All products are 'FOR RESEARCH USE ONLY. NOT FOR USE IN DIAGNOSTIC OR THERAPEUTIC PROCEDURES'.

For licensing inquiries, please contact partnerships@abcam.com